A Rare Case of Cerebral Venous Sinus Thrombosis Following the Second Dose of BNT162b2 mRNA COVID-19 Vaccine—Just a Coincidence? A Case Report
Abstract
1. Introduction and Clinical Significance
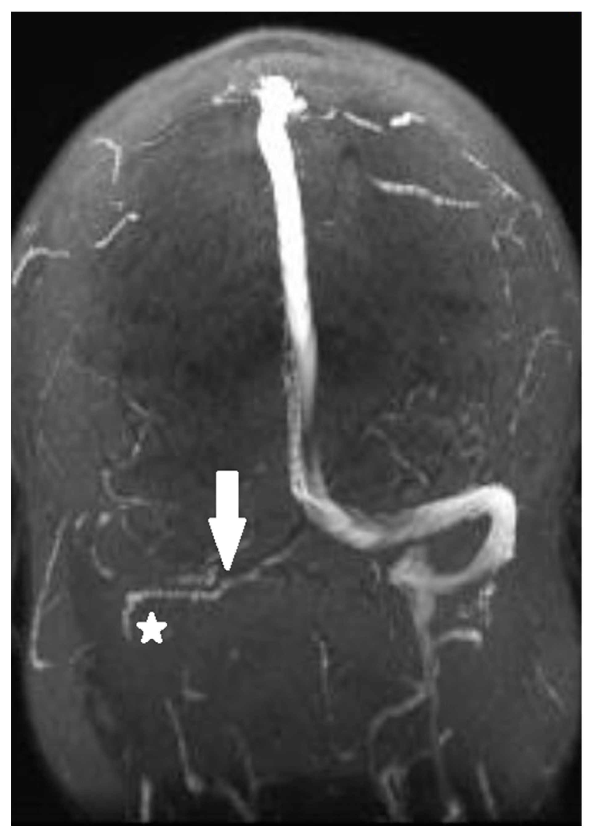
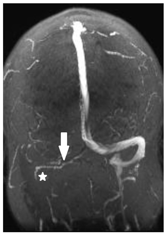
2. Case Presentation
3. Discussion
4. Conclusions
Author Contributions
Funding
Institutional Review Board Statement
Informed Consent Statement
Data Availability Statement
Conflicts of Interest
References
- Bousser, M.G.; Ferro, J.M. Cerebral venous thrombosis: An update. Lancet Neurol. 2007, 6, 162–170. [Google Scholar] [CrossRef] [PubMed]
- Bikdeli, B.; Jiménez, D.; Demelo-Rodriguez, P.; Galeano-Valle, F.; Porras, J.A.; Barba, R.; Ay, C.; Malý, R.; Braester, A.; Imbalzano, E.; et al. Venous thrombosis within 30 days after vaccination against SARS-CoV-2 in a multinational venous thromboembolism registry. Viruses 2022, 14, 178. [Google Scholar] [CrossRef]
- de Gregorio, C.; Colarusso, L.; Calcaterra, G.; Bassareo, P.P.; Ieni, A.; Mazzeo, A.T.; Ferrazzo, G.; Noto, A.; Koniari, I.; Mehta, J.L.; et al. Cerebral venous sinus thrombosis following COVID-19 vaccination: Analysis of 552 worldwide cases. Vaccines 2022, 10, 232. [Google Scholar] [CrossRef] [PubMed]
- Kerr, S.; Joy, M.; Torabi, F.; Bedston, S.; Akbari, A.; Agrawal, U.; Beggs, J.; Bradley, D.; Chuter, A.; Docherty, A.B.; et al. First dose ChAdOx1 and BNT162b2 COVID-19 vaccinations and cerebral venous sinus thrombosis: A pooled self-controlled case series study of 11.6 million individuals in England, Scotland, and Wales. PLoS Med. 2022, 19, e1003927. [Google Scholar] [CrossRef] [PubMed]
- Krzywicka, K.; van de Munckhof, A.; van Kammen, M.S.; Heldner, M.R.; Jood, K.; Lindgren, E.; Tatlisumak, T.; Putaala, J.; Hovinga, J.A.K.; Middeldorp, S.; et al. Age-stratified risk of cerebral venous sinus thrombosis after SARS-CoV-2 vaccination. Neurology 2022, 98, e759–e768. [Google Scholar] [CrossRef]
- Faksova, K.; Walsh, D.; Jiang, Y.; Griffin, J.; Phillips, A.; Gentile, A.; Kwong, J.C.; Macartney, K.; Naus, M.; Grange, Z.; et al. COVID-19 vaccines and adverse events of special interest: A multinational Global Vaccine Data Network (GVDN) cohort study of 99 million vaccinated individuals. Vaccine 2024, 42, 2200–2211. [Google Scholar] [CrossRef]
- Alhashim, A.; Hadhiah, K.; Al Khalifah, Z.; Alhaddad, F.M.; Al Arhain, S.A.; Bin Saif, F.H.; Abid, A.; Al Gamdi, O.; Alsulaiman, F.; AlQarni, M. Extensive cerebral venous sinus thrombosis (CVST) after the first dose of Pfizer-BioNTech BNT162b2 mRNA COVID-19 vaccine without thrombotic thrombocytopenia syndrome (TTS) in a healthy woman. Am. J. Case Rep. 2022, 23, e934744. [Google Scholar] [CrossRef]
- Chang, J.C.; Hawley, H.B. Vaccine-associated thrombocytopenia and thrombosis: Venous endotheliopathy leading to venous combined micro-macrothrombosis. Medicina 2021, 57, 1163. [Google Scholar] [CrossRef]
- Joy, M.; Agrawal, U.; Fan, X.; Robertson, C.; Anand, S.N.; Ordonez-Mena, J.; Byford, R.; Goudie, R.; Jamie, G.; Kar, D.; et al. Thrombocytopenic, thromboembolic and haemorrhagic events following second dose with BNT162b2 and ChAdOx1: Self-controlled case series analysis of the English national sentinel cohort. Lancet Reg. Health Eur. 2023, 32, 100681. [Google Scholar] [CrossRef]
- Nakagawa, I.; Okamoto, A.; Kotsugi, M.; Yokoyama, S.; Yamada, S.; Nakase, H. Endovascular mechanical thrombectomy for cerebral venous sinus thrombosis after mRNA-based SIRS-CoV-2 vaccination. Interdiscip. Neurosurg. 2022, 30, 101644. [Google Scholar] [CrossRef]
- Chemaitelly, H.; Akhtar, N.; Al Jerdi, S.; Kamran, S.; Joseph, S.; Morgan, D.; Uy, R.; Abid, F.B.; Al-Khal, A.; Bertollini, R.; et al. Association between COVID-19 vaccination and stroke: A nationwide case-control study in Qatar. Int. J. Infect. Dis. 2024, 145, 107095. [Google Scholar] [CrossRef] [PubMed]
- Hippisley-Cox, J.; Patone, M.; Mei, X.W.; Saatci, D.; Dixon, S.; Khunti, K.; Zaccardi, F.; Watkinson, P.; Shankar-Hari, M.; Doidge, J.; et al. Risk of thrombocytopenia and thromboembolism after COVID-19 vaccination and SARS-CoV-2 positive testing: Self-controlled case series study. BMJ 2021, 374, n1931. [Google Scholar] [CrossRef] [PubMed]
- Krzywicka, K.; Heldner, M.R.; van Kammen, M.S.; van Haaps, T.; Hiltunen, S.; Silvis, S.M.; Levi, M.; Hovinga, J.A.K.; Jood, K.; Lindgren, E.; et al. Post-SARS-CoV-2-vaccination cerebral venous sinus thrombosis: An analysis of cases notified to the European Medicines Agency. Eur. J. Neurol. 2021, 28, 3656–3662. [Google Scholar] [CrossRef] [PubMed]
- Yamaguchi, Y.; Kimihira, L.; Nagasawa, H.; Seo, K.; Wada, M. Cerebral venous sinus thrombosis after BNT162b2 mRNA COVID-19 vaccination. Cureus 2021, 13, e18775. [Google Scholar] [CrossRef]
- Gurjar, H.; Dhallu, M.; Lvovsky, D.; Sadullah, S.; Chilimuri, S. A rare case of coronavirus disease 2019 vaccine-associated cerebral venous sinus thrombosis treated with mechanical thrombectomy. Am. J. Case Rep. 2022, 23, e935355. [Google Scholar] [CrossRef]
- Leach, J.L.; Strub, W.M.; Gaskill-Shipley, M.F. Cerebral venous thrombus signal intensity and susceptibility effects on gradient recalled-echo MR imaging. AJNR Am. J. Neuroradiol. 2007, 28, 940–945. [Google Scholar]
- Bourguignon, A.; Arnold, D.M.; Warkentin, T.E.; Smith, J.W.; Pannu, T.; Shrum, J.M.; Al Maqrashi, Z.A.A.; Shroff, A.; Lessard, M.C.; Blais, N.; et al. Adjunct immune globulin for vaccine-induced immune thrombotic thrombocytopenia. N. Engl. J. Med. 2021, 385, 720–728. [Google Scholar] [CrossRef] [PubMed] [PubMed Central]
- Greinacher, A.; Thiele, T.; Warkentin, T.E.; Weisser, K.; Kyrle, P.A.; Eichinger, S. Thrombotic thrombocytopenia after ChAdOx1 nCov-19 vaccination. N. Engl. J. Med. 2021, 384, 2092–2101. [Google Scholar] [CrossRef]
- Huynh, A.; Kelton, J.G.; Arnold, D.M.; Daka, M.; Nazy, I. Antibody epitopes in vaccine-induced immune thrombotic thrombocytopaenia. Nature 2021, 596, 565–569. [Google Scholar] [CrossRef]
- Dias, L.; Soares-Dos-Reis, R.; Meira, J.; Ferrão, D.; Soares, P.R.; Pastor, A.; Gama, G.; Fonseca, L.; Fagundes, V.; Carvalho, M. Cerebral venous thrombosis after BNT162b2 mRNA SARS-CoV-2 vaccine. J. Stroke Cerebrovasc. Dis. 2021, 30, 105906. [Google Scholar] [CrossRef]
- Fan, B.E.; Shen, J.Y.; Lim, X.R.; Tu, T.M.; Chang, C.C.R.; Khin, H.S.W.; Koh, J.S.; Rao, J.P.; Lau, S.L.; Tan, G.B.; et al. Cerebral venous thrombosis post BNT162b2 mRNA SARS-CoV-2 vaccination: A black swan event. Am. J. Hematol. 2021, 96, E357–E361. [Google Scholar] [CrossRef] [PubMed]
- Gil-Díaz, A.; Gil-Hernández, A.; Lozano-Jiménez, A.I.; Benítez-Peña, J.; Conde-Martel, A. Safety of COVID-19 vaccination in patients with previous cerebral venous sinus thrombosis. Thromb. Res. 2022, 209, 84–85. [Google Scholar] [CrossRef] [PubMed]


| Examined Condition | Result |
|---|---|
| Factor V Leiden Thrombophilia | Negative |
| FII2010a mutation | Negative |
| Protein C deficiency | Negative |
| Protein S deficiency | Negative |
| Primary antiphospholipid syndrome | Negative |
| Seronegative antiphospholipid syndrome | Negative |
| Anti-platelet factor 4 | Negative |
| JAK-2 mutation | Negative |
| Calreticulin | Negative |
| Antithrombin deficiency | Negative |
| Myeloproliferative disease | Negative |
| Monoclonal gammopathy | Negative |
| Paroxysmal nocturnal hemoglobinuria or another intravascular hemolysis | Negative |
| Sticky platelet syndrome | Negative |
| Hyperhomocysteinemia | Negative |
| Systemic vasculitis | Negative |
| Laboratory Data | Value |
|---|---|
| Leukocytes | 11.97 × 109/L |
| Erythrocytes | 5.06 × 109/L |
| Hemoglobin | 160 g/L |
| Thrombocytes | 205 × 109/L |
| D-dimers | 0.83 mg/L |
| INR | 0.81 |
| APTT | 31.5 s |
| Creatinine | 84 umol/L |
| CRP | 1.9 mg/L |
Disclaimer/Publisher’s Note: The statements, opinions and data contained in all publications are solely those of the individual author(s) and contributor(s) and not of MDPI and/or the editor(s). MDPI and/or the editor(s) disclaim responsibility for any injury to people or property resulting from any ideas, methods, instructions or products referred to in the content. |
© 2025 by the authors. Licensee MDPI, Basel, Switzerland. This article is an open access article distributed under the terms and conditions of the Creative Commons Attribution (CC BY) license (https://creativecommons.org/licenses/by/4.0/).
Share and Cite
Matyáš, D.; Herzig, R.; Šimůnek, L.; Abuhajar, M. A Rare Case of Cerebral Venous Sinus Thrombosis Following the Second Dose of BNT162b2 mRNA COVID-19 Vaccine—Just a Coincidence? A Case Report. Reports 2025, 8, 50. https://doi.org/10.3390/reports8020050
Matyáš D, Herzig R, Šimůnek L, Abuhajar M. A Rare Case of Cerebral Venous Sinus Thrombosis Following the Second Dose of BNT162b2 mRNA COVID-19 Vaccine—Just a Coincidence? A Case Report. Reports. 2025; 8(2):50. https://doi.org/10.3390/reports8020050
Chicago/Turabian StyleMatyáš, David, Roman Herzig, Libor Šimůnek, and Mohamed Abuhajar. 2025. "A Rare Case of Cerebral Venous Sinus Thrombosis Following the Second Dose of BNT162b2 mRNA COVID-19 Vaccine—Just a Coincidence? A Case Report" Reports 8, no. 2: 50. https://doi.org/10.3390/reports8020050
APA StyleMatyáš, D., Herzig, R., Šimůnek, L., & Abuhajar, M. (2025). A Rare Case of Cerebral Venous Sinus Thrombosis Following the Second Dose of BNT162b2 mRNA COVID-19 Vaccine—Just a Coincidence? A Case Report. Reports, 8(2), 50. https://doi.org/10.3390/reports8020050

