Diffuse Large B-Cell Lymphoma with t(1;22)(q21;q11.2) and t(6;18)(p25;q21): A Case Report
Abstract
1. Introduction and Clinical Significance
2. Case Presentation
2.1. Materials and Methods
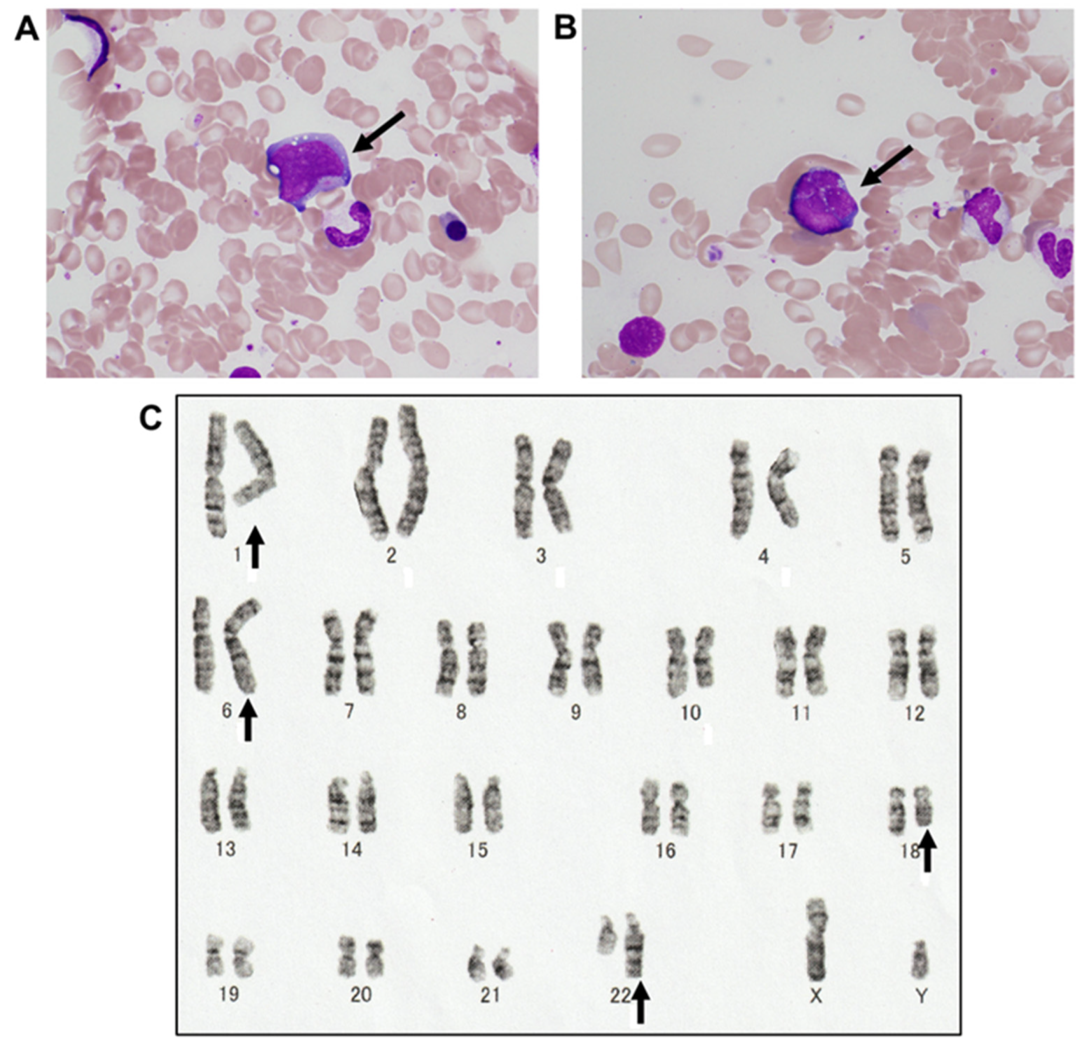
2.1.1. Cytogenetic Analysis by G-Banding
2.1.2. FISH
3. Discussion
4. Conclusions
Author Contributions
Funding
Institutional Review Board Statement
Informed Consent Statement
Data Availability Statement
Acknowledgments
Conflicts of Interest
References
- Susanibar-Adaniya, S.; Barta, S.K. 2021 Update on Diffuse large B cell lymphoma: A review of current data and potential applications on risk stratification and management. Am. J. Hematol. 2021, 96, 617–629. [Google Scholar] [CrossRef] [PubMed]
- Duarte, C.; Kamdar, M. Management Considerations for Patients with Primary Refractory and Early Relapsed Diffuse Large B-Cell Lymphoma. In American Society of Clinical Oncology Educational Book; American Society of Clinical Oncology: Alexandria, VA, USA, 2023; Volume 43, p. e390802. [Google Scholar] [CrossRef]
- Testoni, M.; Zucca, E.; Young, K.H.; Bertoni, F. Genetic lesions in diffuse large B-cell lymphomas. Ann. Oncol. 2015, 26, 1069–1080. [Google Scholar] [CrossRef] [PubMed]
- Alizadeh, A.A.; Eisen, M.B.; Davis, R.E.; Ma, C.; Lossos, I.S.; Rosenwald, A.; Boldrick, J.C.; Sabet, H.; Tran, T.; Yu, X.; et al. Distinct types of diffuse large B-cell lymphoma identified by gene expression profiling. Nature 2000, 403, 503–511. [Google Scholar] [CrossRef] [PubMed]
- Alaggio, R.; Amador, C.; Anagnostopoulos, I.; Attygalle, A.D.; Araujo, I.B.O.; Berti, E.; Bhagat, G.; Borges, A.M.; Boyer, D.; Calaminici, M.; et al. The 5th edition of the World Health Organization Classification of Haematolymphoid Tumours: Lymphoid Neoplasms. Leukemia 2022, 36, 1720–1748. [Google Scholar] [CrossRef]
- Campo, E.; Jaffe, E.S.; Cook, J.R.; Quintanilla-Martinez, L.; Swerdlow, S.H.; Anderson, K.C.; Brousset, P.; Cerroni, L.; de Leval, L.; Dirnhofer, S.; et al. The International Consensus Classification of Mature Lymphoid Neoplasms: A report from the Clinical Advisory Committee. Blood 2022, 140, 1229–1253. [Google Scholar] [CrossRef]
- Chapuy, B.; Stewart, C.; Dunford, A.J.; Kim, J.; Kamburov, A.; Redd, R.A.; Lawrence, M.S.; Roemer, M.G.M.; Li, A.J.; Ziepert, M.; et al. Molecular subtypes of diffuse large B cell lymphoma are associated with distinct pathogenic mechanisms and outcomes. Nat. Med. 2018, 24, 679–690. [Google Scholar] [CrossRef]
- Schmitz, R.; Wright, G.W.; Huang, D.W.; Johnson, C.A.; Phelan, J.D.; Wang, J.Q.; Roulland, S.; Kasbekar, M.; Young, R.M.; Shaffer, A.L.; et al. Genetics and Pathogenesis of Diffuse Large B-Cell Lymphoma. N. Engl. J. Med. 2018, 378, 1396–1407. [Google Scholar] [CrossRef]
- Wright, G.W.; Huang, D.W.; Phelan, J.D.; Coulibaly, Z.A.; Roulland, S.; Young, R.M.; Wang, J.Q.; Schmitz, R.; Morin, R.D.; Tang, J.; et al. A Probabilistic Classification Tool for Genetic Subtypes of Diffuse Large B Cell Lymphoma with Therapeutic Implications. Cancer Cell 2020, 37, 551–568.e14. [Google Scholar] [CrossRef]
- Iqbal, J.; Sanger, W.G.; Horsman, D.E.; Rosenwald, A.; Pickering, D.L.; Dave, B.; Dave, S.; Xiao, L.; Cao, K.; Zhu, Q.; et al. BCL2 translocation defines a unique tumor subset within the germinal center B-cell-like diffuse large B-cell lymphoma. Am. J. Pathol. 2004, 165, 159–166. [Google Scholar] [CrossRef]
- Marti, G.E.; Rawstron, A.C.; Ghia, P.; Hillmen, P.; Houlston, R.S.; Kay, N.; Schleinitz, T.A.; Caporaso, N. International Familial CLL Consortium., Diagnostic criteria for monoclonal B-cell lymphocytosis. Br. J. Haematol. 2005, 130, 325–332. [Google Scholar] [CrossRef]
- Hans, C.P.; Weisenburger, D.D.; Greiner, T.C.; Gascoyne, R.D.; Delabie, J.; Ott, G.; Müller-Hermelink, H.K.; Campo, E.; Braziel, R.M.; Jaffe, E.S.; et al. Confirmation of the molecular classification of diffuse large B-cell lymphoma by immunohistochemistry using a tissue microarray. Blood 2004, 103, 275–282. [Google Scholar] [CrossRef] [PubMed]
- Zhou, Z.; Sehn, L.H.; Rademaker, A.W.; Gordon, L.I.; Lacasce, A.S.; Crosby-Thompson, A.; Vanderplas, A.; Zelenetz, A.D.; Abel, G.A.; Rodriguez, M.A.; et al. An enhanced International Prognostic Index (NCCN-IPI) for patients with diffuse large B-cell lymphoma treated in the rituximab era. Blood 2014, 123, 837–842. [Google Scholar] [CrossRef] [PubMed]
- Seabright, M. A rapid banding technique for human chromosomes. Lancet 1971, 2, 971–972. [Google Scholar] [CrossRef] [PubMed]
- Kurata, M.; Maesako, Y.; Ueda, C.; Nishikori, M.; Akasaka, T.; Uchiyama, T.; Ohno, H. Characterization of t(3;6)(q27;p21) breakpoints in B-cell non-Hodgkin’s lymphoma and construction of the histone H4/BCL6 fusion gene, leading to altered expression of Bcl-6. Cancer Res. 2002, 62, 6224–6230. [Google Scholar] [PubMed]
- Ueda, C.; Akasaka, T.; Kurata, M.; Maesako, Y.; Nishikori, M.; Ichinohasama, R.; Imada, K.; Uchiyama, T.; Ohno, H. The gene for interleukin-21 receptor is the partner of BCL6 in t(3;16)(q27;p11), which is recurrently observed in diffuse large B-cell lymphoma. Oncogene 2002, 21, 368–376. [Google Scholar] [CrossRef][Green Version]
- Hosokawa, Y.; Maeda, Y.; Ichinohasama, R.; Miura, I.; Taniwaki, M.; Seto, M. The Ikaros gene, a central regulator of lymphoid differentiation, fuses to the BCL6 gene as a result of t(3;7)(q27;p12) translocation in a patient with diffuse large B-cell lymphoma. Blood 2000, 95, 2719–2721. [Google Scholar] [CrossRef]
- Niitsu, N.; Okamoto, M.; Nakamura, N.; Nakamine, H.; Aoki, S.; Hirano, M.; Miura, I. Prognostic impact of chromosomal alteration of 3q27 on nodal B-cell lymphoma: Correlation with histology, immunophenotype, karyotype, and clinical outcome in 329 consecutive patients. Leuk. Res. 2007, 31, 1191–1197. [Google Scholar] [CrossRef]
- Iqbal, J.; Neppalli, V.T.; Wright, G.; Dave, B.J.; Horsman, D.E.; Rosenwald, A.; Lynch, J.; Hans, C.P.; Weisenburger, D.D.; Greiner, T.C.; et al. BCL2 expression is a prognostic marker for the activated B-cell-like type of diffuse large B-cell lymphoma. J. Clin. Oncol. 2006, 24, 961–968. [Google Scholar] [CrossRef]
- Stasik, C.J.; Nitta, H.; Zhang, W.; Mosher, C.H.; Cook, J.R.; Tubbs, R.R.; Unger, J.M.; Brooks, T.A.; Persky, D.O.; Wilkinson, S.T.; et al. Increased MYC gene copy number correlates with increased mRNA levels in diffuse large B-cell lymphoma. Haematologica 2010, 95, 597–603. [Google Scholar] [CrossRef]
- Berglund, M.; Enblad, G.; Thunberg, U.; Amini, R.M.; Sundström, C.; Roos, G.; Erlanson, M.; Rosenquist, R.; Larsson, C.; Lagercrantz, S. Genomic imbalances during transformation from follicular lymphoma to diffuse large B-cell lymphoma. Mod. Pathol. 2007, 20, 63–75. [Google Scholar] [CrossRef]
- Tsuyama, N.; Sakata, S.; Baba, S.; Mishima, Y.; Nishimura, N.; Ueda, K.; Yokoyama, M.; Terui, Y.; Hatake, K.; Kitagawa, M.; et al. BCL2 expression in DLBCL: Reappraisal of immunohistochemistry with new criteria for therapeutic biomarker evaluation. Blood 2017, 130, 489–500. [Google Scholar] [CrossRef] [PubMed]
- Tamura, A.; Miura, I.; Iida, S.; Yokota, S.; Horiike, S.; Nishida, K.; Fujii, H.; Nakamura, S.; Seto, M.; Ueda, R.; et al. Interphase detection of immunoglobulin heavy chain gene translocations with specific oncogene loci in 173 patients with B-cell lymphoma. Cancer Genet. Cytogenet. 2001, 129, 1–9. [Google Scholar] [CrossRef] [PubMed]
- Tabata, R.; Yasumizu, R.; Tabata, C.; Kojima, M. Double-hit lymphoma demonstrating t(6;14;18)(p25;q32;q21), suggesting two independent dual-hit translocations, MYC/BCL-2 and IRF4/BCL-2. J. Clin. Exp. Hematop. 2013, 53, 141–150. [Google Scholar] [CrossRef] [PubMed]
- Willis, T.G.; Zalcberg, I.R.; Coignet, L.J.; Wlodarska, I.; Stul, M.; Jadayel, D.M.; Bastard, C.; Treleaven, J.G.; Catovsky, D.; Silva, M.L.; et al. Molecular cloning of translocation t(1;14)(q21;q32) defines a novel gene (BCL9) at chromosome 1q21. Blood 1998, 91, 1873–1881. [Google Scholar] [CrossRef]
- Adachi, M.; Nakanishi, K. Chromosomal translocation t(1;22)(q21;q11) in a patient with angioimmunoblastic T-cell lymphoma. Int. J. Hematol. 2017, 105, 113–115. [Google Scholar] [CrossRef]
- Wenzel, S.S.; Grau, M.; Mavis, C.; Hailfinger, S.; Wolf, A.; Madle, H.; Deeb, G.; Dörken, B.; Thome, M.; Lenz, P.; et al. MCL1 is deregulated in subgroups of diffuse large B-cell lymphoma. Leukemia 2013, 27, 1381–1390. [Google Scholar] [CrossRef]
- Miller, I.; Hatzivassiliou, G.; Cattoretti, G.; Mendelsohn, C.; Dalla-Favera, R. IRTAs: A new family of immunoglobulinlike receptors differentially expressed in B cells. Blood 2002, 99, 2662–2669. [Google Scholar] [CrossRef]
- Hanamura, I. Gain/Amplification of Chromosome Arm 1q21 in Multiple Myeloma. Cancers 2021, 13, 256. [Google Scholar] [CrossRef]
- Fujimoto, Y.; Nomura, K.; Fukada, S.; Shimizu, D.; Shimura, K.; Matsumoto, Y.; Horiike, S.; Nishida, K.; Shimazaki, C.; Abe, M.; et al. Immunoglobulin light chain gene translocations in non-Hodgkin’s lymphoma as assessed by fluorescence in situ hybridisation. Eur. J. Haematol. 2008, 80, 143–150. [Google Scholar] [CrossRef]
- O’Mahony, D.; Peikarz, R.L.; Bandettini, W.P.; Arai, A.E.; Wilson, W.H.; Bates, S.E. Cardiac involvement with lymphoma: A review of the literature. Clin. Lymphoma Myeloma 2008, 8, 249–252. [Google Scholar] [CrossRef]
- Lucchini, E.; Merlo, M.; Ballerini, M.; Porcari, A.; Sinagra, G.; Pagnan, L.; Rensi, M.; Romano, A.; Bussani, R.; Ballotta, L.; et al. Case Report: Cardiac Involvement by Lymphoma: Rare but Heterogeneous Condition With Challenging Behaviors. Front. Oncol. 2021, 11, 665736. [Google Scholar] [CrossRef] [PubMed]
- Yoshihara, M.; Itamura, H.; Fukushima, N.; Itoh, M.; Furukawa, K.; Nagatomo, D.; Kamachi, K.; Kitamura, H.; Shindo, T.; Kubota, Y.; et al. Therapeutic management in cardiac lymphoma. Leuk. Lymphoma 2014, 55, 1215–1217. [Google Scholar] [CrossRef] [PubMed]
- Yang, Y.; Li, Z.; Li, Y.; Zhao, Y.; Shi, M. Relapsed/refractory diffuse large B cell lymphoma with cardiac involvement: A case report and literature review. Front. Oncol. 2023, 13, 1091074. [Google Scholar] [CrossRef] [PubMed]
- Arcari, A.; Cavallo, F.; Puccini, B.; Vallisa, D. New treatment options in elderly patients with Diffuse Large B-cell Lymphoma. Front. Oncol. 2023, 13, 1214026. [Google Scholar] [CrossRef]



Disclaimer/Publisher’s Note: The statements, opinions and data contained in all publications are solely those of the individual author(s) and contributor(s) and not of MDPI and/or the editor(s). MDPI and/or the editor(s) disclaim responsibility for any injury to people or property resulting from any ideas, methods, instructions or products referred to in the content. |
© 2025 by the authors. Licensee MDPI, Basel, Switzerland. This article is an open access article distributed under the terms and conditions of the Creative Commons Attribution (CC BY) license (https://creativecommons.org/licenses/by/4.0/).
Share and Cite
Nagaie, T.; Kubota, Y.; Hanamura, I.; Karnan, S.; Tomimasu, R.; Akashi, M.; Tsuruda, S.; Takami, A.; Kimura, S.; Miyahara, M. Diffuse Large B-Cell Lymphoma with t(1;22)(q21;q11.2) and t(6;18)(p25;q21): A Case Report. Reports 2025, 8, 5. https://doi.org/10.3390/reports8010005
Nagaie T, Kubota Y, Hanamura I, Karnan S, Tomimasu R, Akashi M, Tsuruda S, Takami A, Kimura S, Miyahara M. Diffuse Large B-Cell Lymphoma with t(1;22)(q21;q11.2) and t(6;18)(p25;q21): A Case Report. Reports. 2025; 8(1):5. https://doi.org/10.3390/reports8010005
Chicago/Turabian StyleNagaie, Toshiaki, Yasushi Kubota, Ichiro Hanamura, Sivasundaram Karnan, Rika Tomimasu, Michiaki Akashi, Shiho Tsuruda, Akiyoshi Takami, Shinya Kimura, and Masaharu Miyahara. 2025. "Diffuse Large B-Cell Lymphoma with t(1;22)(q21;q11.2) and t(6;18)(p25;q21): A Case Report" Reports 8, no. 1: 5. https://doi.org/10.3390/reports8010005
APA StyleNagaie, T., Kubota, Y., Hanamura, I., Karnan, S., Tomimasu, R., Akashi, M., Tsuruda, S., Takami, A., Kimura, S., & Miyahara, M. (2025). Diffuse Large B-Cell Lymphoma with t(1;22)(q21;q11.2) and t(6;18)(p25;q21): A Case Report. Reports, 8(1), 5. https://doi.org/10.3390/reports8010005

