Clinical Features and PTCH1 Expression in Gorlin–Goltz Syndrome: A Case Report †
Abstract
1. Introduction and Clinical Significance
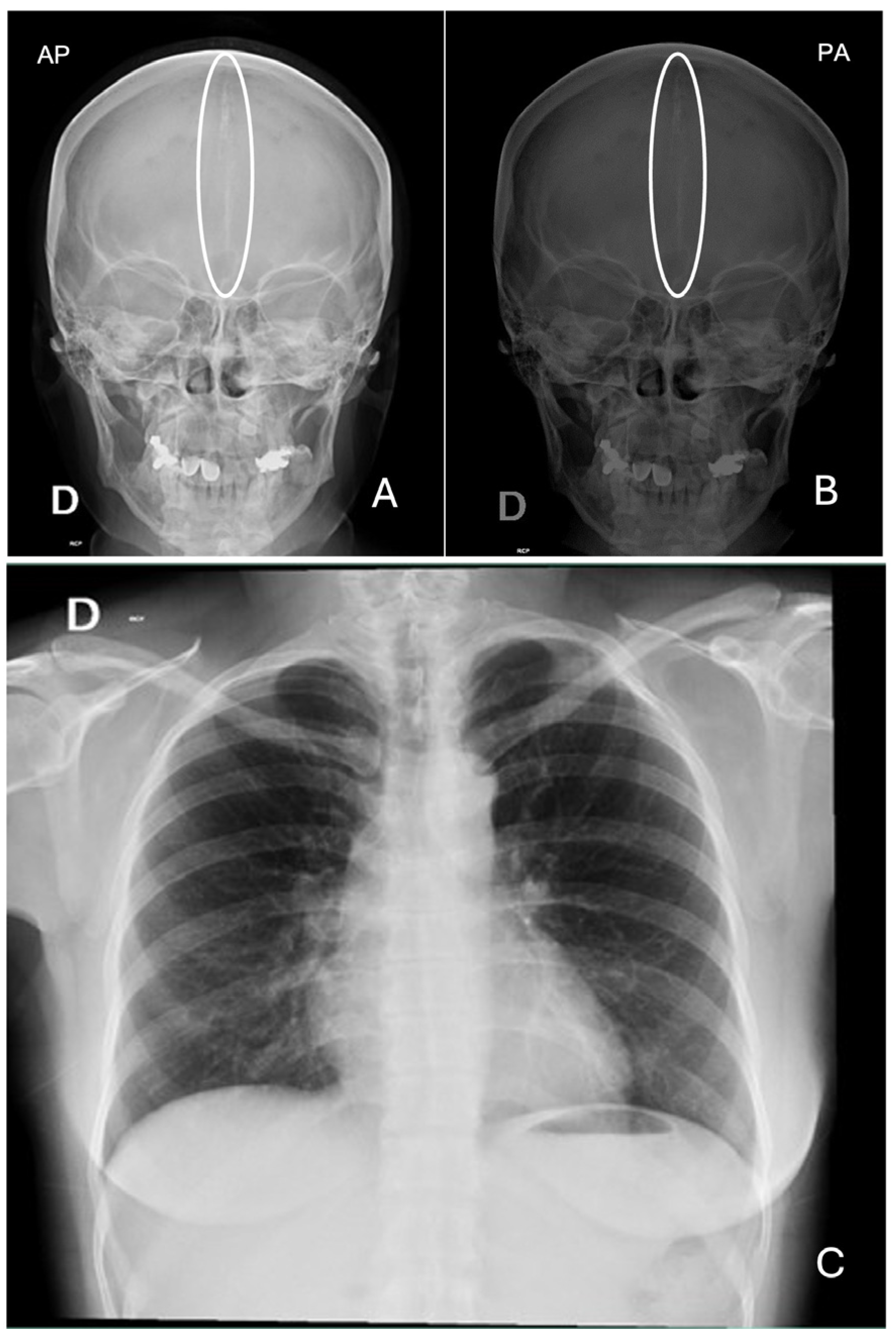
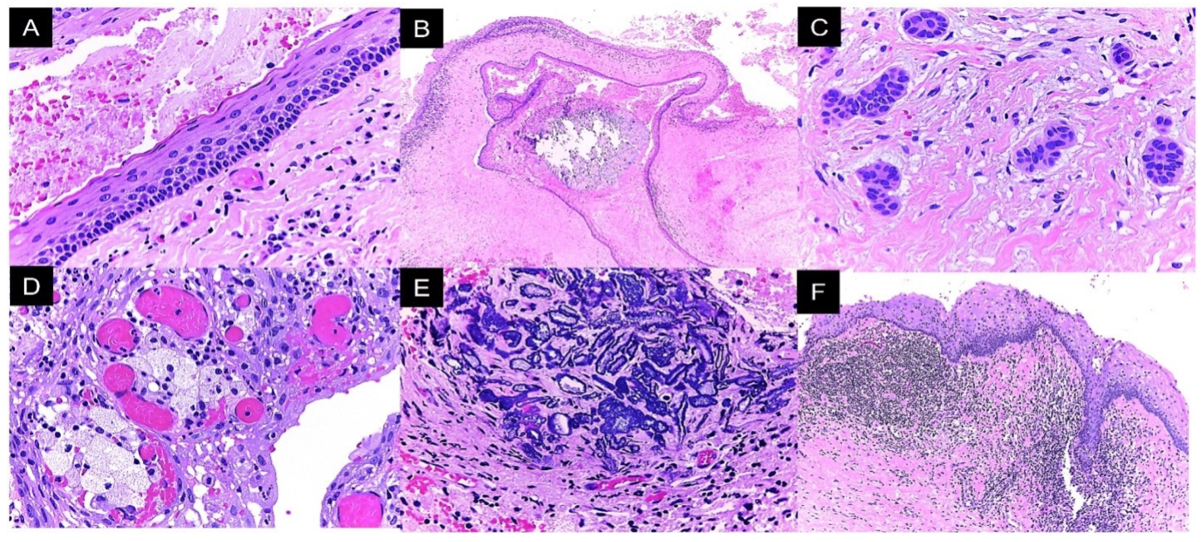
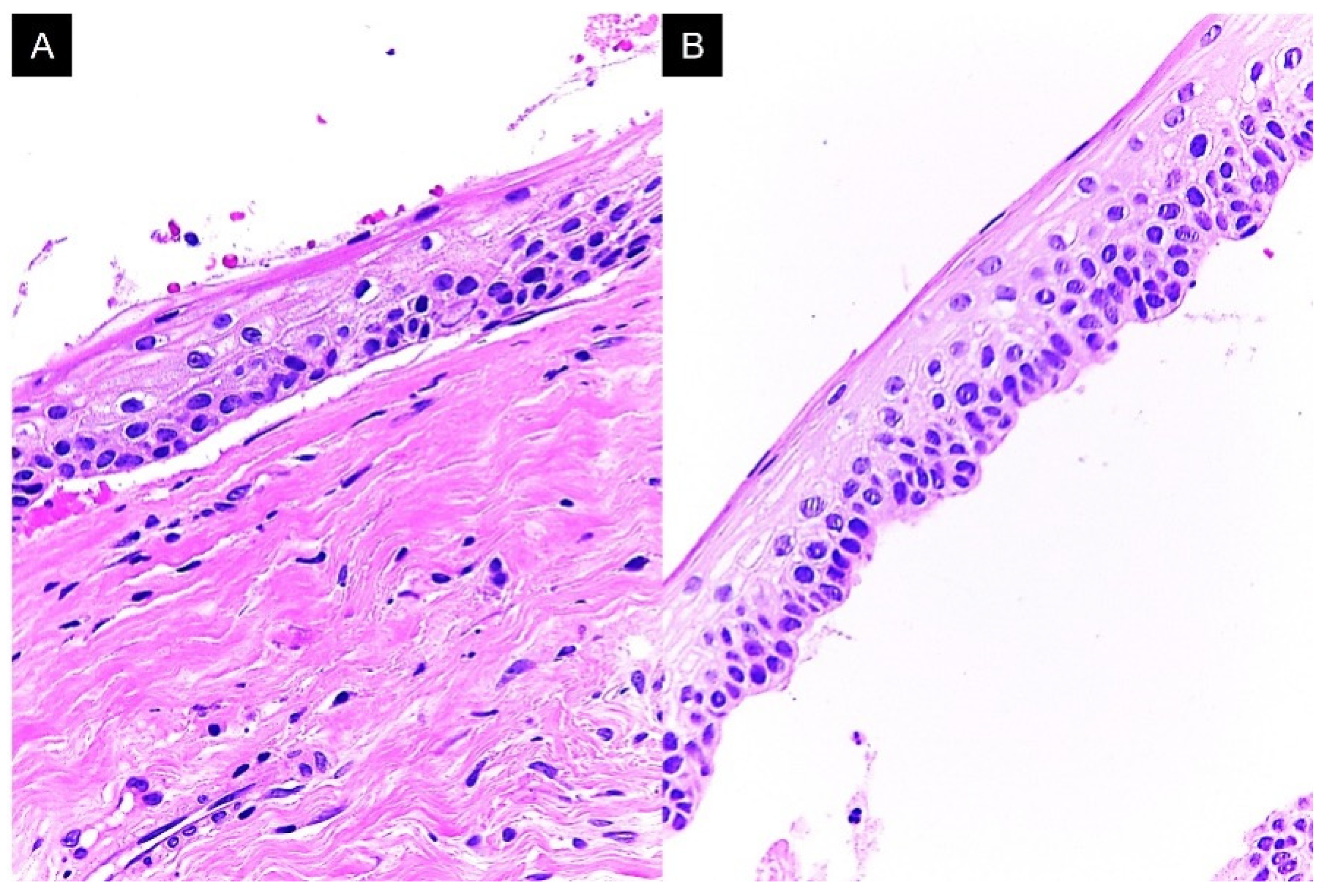
2. Case Presentation
3. Discussion
4. Conclusions
Author Contributions
Funding
Institutional Review Board Statement
Informed Consent Statement
Data Availability Statement
Conflicts of Interest
Abbreviations
| GGS | Gorlin–Goltz Syndrome |
| SHH | Sonic HedgeHog |
| PTCH1 | Patched 1 |
| OKC | Odontogenic keratocyst |
| BCC | Basal cell carcinoma |
References
- Speight, P.; Devilliers, P.; Li, T.J.; Odell, E.W.; Wright, J.M. Odontogenic keratocyst. In WHO Classification of Head and Neck Tumours, 4th ed.; El-Naggar, A.K., Chan, J.K.C., Grandis, J.R., Takata, T., Slootweg, P.J., Eds.; IARC: Lyon, France, 2017; pp. 235–236. [Google Scholar]
- Neville, B.; Allen, C.; Damm, D.; Chi, A. Oral and Maxillofacial Pathology, 5th ed.; Elsevier: Toronto, ON, Canada, 2023. [Google Scholar]
- Stojanov, I.J.; Schaefer, I.M.; Menon, R.S.; Wasman, J.; Gokozan, H.N.; Garcia, E.P.; Baur, D.A.; Woo, S.B.; Sholl, L.M. Biallelic PTCH1 Inactivation Is a Dominant Genomic Change in Sporadic Keratocystic Odontogenic Tumors. Am. J. Surg. Pathol. 2020, 44, 553–560. [Google Scholar] [CrossRef] [PubMed]
- Charazac, A.; Fayyad, N.; Beal, D.; Bourgoin-Voillard, S.; Seve, M.; Sauvaigo, S.; Lamartine, J.; Soularue, P.; Moratille, S.; Martin, M.T.; et al. Impairment of Base Excision Repair in Dermal Fibroblasts Isolated From Nevoid Basal Cell Carcinoma Patients. Front. Oncol. 2020, 10, 1551. [Google Scholar] [CrossRef]
- Phatak, A.; Athar, M.; Crowell, J.A.; Leffel, D.; Herbert, B.S.; Bale, A.E.; Kopelovich, L. Global gene expression of histologically normal primary skin cells from BCNS subjects reveals “single-hit” effects that are influenced by rapamycin. Oncotarget 2019, 10, 1360–1387. [Google Scholar] [CrossRef]
- Beltrami, B.; Prada, E.; Tolva, G.; Scuvera, G.; Silipigni, R.; Graziani, D.; Bulfamante, G.; Gervasini, C.; Marchisio, P.; Milani, D. Unexpected phenotype in a frameshift mutation of PTCH1. Mol. Genet. Genom. Med. 2020, 8, e987. [Google Scholar] [CrossRef]
- Kimonis, V.E.; Goldstein, A.M.; Pastakia, B.; Yang, M.L.; Kase, R.; DiGiovanna, J.J.; Bale, A.E.; Bale, S.J. Clinical manifestations in 105 persons with nevoid basal cell carcinoma syndrome. Am. J. Med. Genet. 1997, 69, 299–308. [Google Scholar] [CrossRef]
- Palacios-Álvarez, I.; González-Sarmiento, R.; Fernández-López, E. Gorlin Syndrome. Actas Dermo-Sifiliográficas (Engl. Ed.) 2018, 109, 207–217. [Google Scholar] [CrossRef]
- Onodera, S.; Nakamura, Y.; Azuma, T. Gorlin Syndrome: Recent Advances in Genetic Testing and Molecular and Cellular Biological Research. Int. J. Mol. Sci. 2020, 21, 7559. [Google Scholar] [CrossRef] [PubMed]
- Gao, Q.; Xu, N.; Yang, C.; Yang, K.; Bian, Z. Novel PTCH1 mutation in Gorlin-Goltz syndrome potentially altered interactions with lipid bilayer. Oral. Dis. 2021, 27, 475–483. [Google Scholar] [CrossRef]
- Hoyos-Cadavid, A.M.; Kaminagakura, E.; Rodrigues, M.F.S.D.; Pinto, C.A.L.; Teshima, T.H.N.; Alves, F.A. Immunohistochemical evaluation of Sonic Hedgehog signaling pathway proteins (Shh, Ptch1, Ptch2, Smo, Gli1, Gli2, and Gli3) in sporadic and syndromic odontogenic keratocysts. Clin. Oral. Investig. 2019, 23, 153–159. [Google Scholar] [CrossRef]
- Gurgel, C.A.; Buim, M.E.; Carvalho, K.C.; Sales, C.B.; Reis, M.G.; de Souza, R.O.; de Faro Valverde, L.; de Azevedo, R.A.; Dos Santos, J.N.; Soares, F.A.; et al. Transcriptional profiles of SHH pathway genes in keratocystic odontogenic tumor and ameloblastoma. J. Oral. Pathol. Med. 2014, 43, 619–626. [Google Scholar] [CrossRef]
- Garcia-Garcia, M.; García-González, S.; Cabañuz, C.; Prieto-Torres, L. Gorlin-Like Phenotype in a Young Girl With a De Novo PTCH2 Variant Mutation of Uncertain Significance. Am. J. Dermatopathol. 2024, 46, 247–251. [Google Scholar] [CrossRef]
- Lin, M.J.; Dubin, D.P.; Khorasani, H.; Giordano, C.N. Basal cell nevus syndrome: From DNA to therapeutics. Clin. Dermatol. 2020, 38, 467–476. [Google Scholar] [CrossRef]
- Kalogirou, E.M.; Thermos, G.; Zogopoulos, V.; Foutadakis, S.; Michalopoulos, I.; Agelopoulos, M.; Tosios, K.I. The immunohistochemical profile of basal cell nevus syndrome-associated and sporadic odontogenic keratocysts: A systematic review and meta-analysis. Clin. Oral. Investig. 2021, 25, 3351–3367. [Google Scholar] [CrossRef]
- Gorlin, R.; Cohen, M.; Hennekam, R. Syndromes of the Head and Neck, 4th ed.; Oxford University Press: New York, NY, USA, 2001. [Google Scholar]
- Shimada, Y.; Morita, K.; Kabasawa, Y.; Taguchi, T.; Omura, K. Clinical manifestations and treatment for keratocystic odontogenic tumors associated with nevoid basal cell carcinoma syndrome: A study in 25 Japanese patients. J. Oral. Pathol. Med. 2013, 42, 275–280. [Google Scholar] [CrossRef]
- Woolgar, J.A.; Rippin, J.W.; Browne, R.M. A comparative histological study of odontogenic keratocysts in basal cell naevus syndrome and control patients. J. Oral. Pathol. 1987, 16, 75–80. [Google Scholar] [CrossRef]
- PTCH1. The Human Protein Atlas. Available online: https://www.proteinatlas.org/ENSG00000185920-PTCH1 (accessed on 15 May 2024).
- Evans, D.G. Nevoid Basal Cell Carcinoma Syndrome. In GeneReviews®; Adam, M.P., Feldman, J., Mirzaa, G.M., Pagon, R.A., Wallace, S.E., Amemiya, A., Eds.; University of Washington: Seattle, WA, USA, 2002. [Google Scholar]
- Morita, K.; Naruto, T.; Tanimoto, K.; Yasukawa, C.; Oikawa, Y.; Masuda, K.; Imoto, I.; Inazawa, J.; Omura, K.; Harada, H. Simultaneous Detection of Both Single Nucleotide Variations and Copy Number Alterations by Next-Generation Sequencing in Gorlin Syndrome. PLoS ONE 2015, 10, e0140480. [Google Scholar] [CrossRef]
- Valdivia, A.D.C.M.; Ramos-Ibarra, M.L.; Franco-Barrera, M.J.; Arias-Ruiz, L.F.; García-Cruz, J.M.; Torres-Bugarín, O. What is Currently Known about Odontogenic Keratocysts? Oral. Health Prev. Dent. 2022, 20, 321–330. [Google Scholar] [CrossRef]
- Peled, M.; Kohn, Y.; Laufer, D. Conservative approach to unerupted teeth within cystic lesions in Gorlin’s syndrome. Am. J. Orthod. Dentofacial Orthop. 1991, 99, 294–297. [Google Scholar] [CrossRef]
- Longley, D.B.; Harkin, D.P.; Johnston, P.G. 5-fluorouracil: Mechanisms of action and clinical strategies. Nat. Rev. Cancer 2003, 3, 330–338. [Google Scholar] [CrossRef]
- Ledderhof, N.J.; Caminiti, M.F.; Bradley, G.; Lam, D.K. Topical 5-Fluorouracil is a Novel Targeted Therapy for the Keratocystic Odontogenic Tumor. J. Oral. Maxillofac. Surg. 2017, 75, 514–524. [Google Scholar] [CrossRef]
- Al-Moraissi, E.A.; Kaur, A.; Gomez, R.S.; Ellis, E., 3rd. Effectiveness of different treatments for odontogenic keratocyst: A network meta-analysis. Int. J. Oral. Maxillofac. Surg. 2023, 52, 32–43. [Google Scholar] [CrossRef] [PubMed]








| Major Criteria | Minor Criteria |
|---|---|
| More than two basal cell carcinomas or one in a patient under 30 years of age | Macrocephaly determined after size adjustment |
| Histologically confirmed odontogenic keratocysts | Congenital malformations: cleft lip or palate, bulging of the frontal bone, coarse facies, hypertelorism |
| Three or more palmoplantar pits | Skeletal abnormalities: Sprengel deformity, syndactyly |
| Bilamellar calcification of the falx cerebri | Radiological abnormalities: pons sella turcica, vertebral abnormalities such as fusion or elongation of the vertebral bodies |
| Bifid or fused ribs | Ovarian fibromas |
| First-degree relative with GGS | Medulloblastoma |
Disclaimer/Publisher’s Note: The statements, opinions and data contained in all publications are solely those of the individual author(s) and contributor(s) and not of MDPI and/or the editor(s). MDPI and/or the editor(s) disclaim responsibility for any injury to people or property resulting from any ideas, methods, instructions or products referred to in the content. |
© 2025 by the authors. Licensee MDPI, Basel, Switzerland. This article is an open access article distributed under the terms and conditions of the Creative Commons Attribution (CC BY) license (https://creativecommons.org/licenses/by/4.0/).
Share and Cite
González-López, G.; Mendoza-Álvarez, S.; Mejia-Velazquez, C.P.; Ramírez-Martínez, C.M.; Alonso-Moctezuma, A.; Jacinto-Alemán, L.F. Clinical Features and PTCH1 Expression in Gorlin–Goltz Syndrome: A Case Report. Reports 2025, 8, 34. https://doi.org/10.3390/reports8010034
González-López G, Mendoza-Álvarez S, Mejia-Velazquez CP, Ramírez-Martínez CM, Alonso-Moctezuma A, Jacinto-Alemán LF. Clinical Features and PTCH1 Expression in Gorlin–Goltz Syndrome: A Case Report. Reports. 2025; 8(1):34. https://doi.org/10.3390/reports8010034
Chicago/Turabian StyleGonzález-López, Gabriela, Samuel Mendoza-Álvarez, Claudia Patricia Mejia-Velazquez, Carla Monserrat Ramírez-Martínez, Alejandro Alonso-Moctezuma, and Luis Fernando Jacinto-Alemán. 2025. "Clinical Features and PTCH1 Expression in Gorlin–Goltz Syndrome: A Case Report" Reports 8, no. 1: 34. https://doi.org/10.3390/reports8010034
APA StyleGonzález-López, G., Mendoza-Álvarez, S., Mejia-Velazquez, C. P., Ramírez-Martínez, C. M., Alonso-Moctezuma, A., & Jacinto-Alemán, L. F. (2025). Clinical Features and PTCH1 Expression in Gorlin–Goltz Syndrome: A Case Report. Reports, 8(1), 34. https://doi.org/10.3390/reports8010034

