Diode Laser with Scaling and Root Planing for Treating Generalized Periodontitis: Case Report and Analysis of the Relevant Literature
Abstract
1. Introduction and Clinical Significance
2. Case Presentation
2.1. Patient Presentation
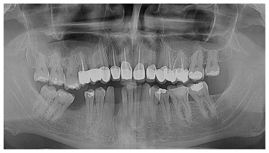
2.2. Initial Consultation
2.3. Treatment Plan and Rationale for Laser Therapy
2.4. Procedure Protocol
2.5. Six-Month Follow-Up and Evaluations
3. Discussion
4. Conclusions
Author Contributions
Funding
Institutional Review Board Statement
Informed Consent Statement
Data Availability Statement
Conflicts of Interest
References
- Checherita, L.E.; Antohe, M.E.; Stamatin, O.; Rudnic, I.; Lupu, I.-C.; Croitoru, I.; Surdu, A.; Cioloca, D.P.; Gradinaru, I.; Frâncu, L.L.; et al. Periodontal Disease Diagnosis in the Context of Oral Rehabilitation Approaches. Appl. Sci. 2022, 12, 9067. [Google Scholar] [CrossRef]
- Hameed, M.; Rashid, U.; Batool, S.M.; Saif, S.; Rana, S.; Umer, A. Frequency of Gingival Recession and Its Severity. Pak. J. Med. Health Sci. 2022, 16, 351. [Google Scholar] [CrossRef]
- Hegde, R.; Awan, K.H. Effects of Periodontal Disease on Systemic Health. Dis. Mon. 2019, 65, 185–192. [Google Scholar] [CrossRef] [PubMed]
- Saglam, M.; Kantarci, A.; Dundar, N.; Hakki, S.S. Clinical and Biochemical Effects of Diode Laser as an Adjunct to Nonsurgical Treatment of Chronic Periodontitis: A Randomized, Controlled Clinical Trial. Lasers Med. Sci. 2014, 29, 37–46. [Google Scholar] [CrossRef] [PubMed]
- Kozak, M.; Pawlik, A. The Role of the Oral Microbiome in the Development of Diseases. Int. J. Mol. Sci. 2023, 24, 5231. [Google Scholar] [CrossRef]
- Silva, N.; Abusleme, L.; Bravo, D.; Dutzan, N.; García-Sesnich, J.; Vernal, R.; Hernández, M.; Gamonal, J. Host Response Mechanisms in Periodontal Diseases. J. Appl. Oral Sci. 2015, 23, 329–355. [Google Scholar] [CrossRef]
- Muñoz-Carrillo, J.L.; Hernández-Reyes, V.E.; García-Huerta, O.E.; Chávez-Ruvalcaba, F.; Chávez-Ruvalcaba, M.I.; Chávez-Ruvalcaba, K.M.; Díaz-Alfaro, L. Pathogenesis of Periodontal Disease. In Periodontal Disease-Diagnostic and Adjunctive Non-Surgical Considerations; IntechOpen: London, UK, 2019. [Google Scholar]
- Salvi, G.E.; Roccuzzo, A.; Imber, J.-C.; Stähli, A.; Klinge, B.; Lang, N.P. Clinical Periodontal Diagnosis. Periodontology 2000 2023, 1–19. [Google Scholar] [CrossRef]
- Isola, G.; Santonocito, S.; Lupi, S.M.; Polizzi, A.; Sclafani, R.; Patini, R.; Marchetti, E. Periodontal Health and Disease in the Context of Systemic Diseases. Mediat. Inflamm. 2023, 2023, 9720947. [Google Scholar] [CrossRef]
- Wang, R.P.-H.; Huang, J.; Chan, K.W.Y.; Leung, W.K.; Goto, T.; Ho, Y.S.; Chang, R.C.-C. IL-1β and TNF-α Play an Important Role in Modulating the Risk of Periodontitis and Alzheimer’s Disease. J. Neuroinflamm. 2023, 20, 71. [Google Scholar] [CrossRef]
- Yunus, B. Hatimurni Radiographic Form of Periodontal Tissue Damage. Makassar Dent. J. 2022, 11, 126–130. [Google Scholar] [CrossRef]
- Fontana, C.R.; Kurachi, C.; Mendonça, C.R.; Bagnato, V.S. Microbial Reduction in Periodontal Pockets under Exposition of a Medium Power Diode Laser: An Experimental Study in Rats. Lasers Surg. Med. 2004, 35, 263–268. [Google Scholar] [CrossRef] [PubMed]
- Priyadarshini, S.; Tyagi, G.; Lewis, A.; Stubblefield, H.; Veerji, A. Clinical Case Evaluating Improved Gingival and Periodontal Health Indices After Laser Therapy and Local Antibiotics as an Adjunct to Periodontal Therapy. SVOA Dent. 2023, 4, 80–83. [Google Scholar] [CrossRef]
- Laforgia, A.; Inchingolo, A.D.; Piras, F.; Colonna, V.; Giorgio, R.V.; Carone, C.; Rapone, B.; Malcangi, G.; Inchingolo, A.M.; Inchingolo, F.; et al. Therapeutic Strategies and Genetic Implications for Periodontal Disease Management: A Systematic Review. Int. J. Mol. Sci. 2024, 25, 7217. [Google Scholar] [CrossRef]
- Manjunath, S.; Singla, D.; Singh, R. Clinical and Microbiological Evaluation of the Synergistic Effects of Diode Laser with Nonsurgical Periodontal Therapy: A Randomized Clinical Trial. J. Indian Soc. Periodontol. 2020, 24, 145–149. [Google Scholar] [CrossRef]
- Zare, D.; Haerian, A.; Molla, R.; Vaziri, F. Evaluation of the Effects of Diode (980 Nm) Laser on Gingival Inflammation after Nonsurgical Periodontal Therapy. J. Lasers Med. Sci. 2014, 5, 27–31. [Google Scholar]
- Syahriel, D.; Haryani, I. Plaque Control in Periodontal Disease. Interdental J. Kedokt. Gigi IJKG 2023, 19, 55–61. [Google Scholar] [CrossRef]
- Claesson, R.; Johansson, A.; Belibasakis, G.N. Age-Related Subgingival Colonization of Aggregatibacter Actinomycetemcomitans, Porphyromonas Gingivalis and Parvimonas Micra—A Pragmatic Microbiological Retrospective Report. Microorganisms 2023, 11, 1434. [Google Scholar] [CrossRef]
- Schäffer, C.; Andrukhov, O. The Intriguing Strategies of Tannerella Forsythia’s Host Interaction. Front. Oral. Health 2024, 5, 1434217. [Google Scholar] [CrossRef]
- Dalvi, S.; Khetal, N.; Ansari, S.; Benedicenti, S.; Hanna, R. Utilization of 810 Nm Diode Laser Treatment in Periodontitis as an Alternative to Surgical Debridement Approach. Photochem. Photobiol. 2021, 97, 566–573. [Google Scholar] [CrossRef]
- Suárez, L.J.; Vargas, D.; Rodríguez, A.; Arce, R.M.; Roa, N.S. Systemic Th17 Response in the Presence of Periodontal Inflammation. J. Appl. Oral Sci. 2020, 28, e20190490. [Google Scholar] [CrossRef]
- Dopico, J.; Botelho, J.; Ouro, A.; Domínguez, C.; Machado, V.; Aramburu-Nuñez, M.; Custodia, A.; Blanco, T.; Vázquez-Reza, M.; Romaus-Sanjurjo, D.; et al. Association between Periodontitis and Peripheral Markers of Innate Immunity Activation and Inflammation. J. Periodontol. 2023, 94, 11–19. [Google Scholar] [CrossRef] [PubMed]
- Fine, N.; Chadwick, J.W.; Sun, C.; Parbhakar, K.K.; Khoury, N.; Barbour, A.; Goldberg, M.; Tenenbaum, H.C.; Glogauer, M. Periodontal Inflammation Primes the Systemic Innate Immune Response. J. Dent. Res. 2021, 100, 318–325. [Google Scholar] [CrossRef] [PubMed]
- Vesna, A. Etiologic Factors of The Periodontal Disease Pathogenesis. J. Periodontal. Res. 2018, 30, 23–33. [Google Scholar] [CrossRef]
- Esberg, A.; Isehed, C.; Isehed, C.; Holmlund, A.; Lindquist, S.; Lundberg, P. Serum Proteins Associated with Periodontitis Relapse Post-Surgery: A Pilot Study. J. Periodontol. 2021, 92, 1805–1814. [Google Scholar] [CrossRef]
- Yu, B.; Wang, C.-Y. Osteoporosis and Periodontal Diseases—An Update on Their Association and Mechanistic Links. Periodontology 2000 2022, 89, 99–113. [Google Scholar] [CrossRef] [PubMed]
- Chandran, D.W.; Dharmadhikari, D.S.; Shetty, D. Viruses in Periodontal Disease: A Literature Review. Int. J. Appl. Dent. Sci. 2022, 8, 242–245. [Google Scholar] [CrossRef]
- Arcas, V.C.; Tig, I.A.; Moga, D.F.C.; Vlad, A.L.; Roman-Filip, C.; Fratila, A.M. A Systematic Literature Review on Inflammatory Markers in the Saliva of Patients with Multiple Sclerosis: A Cause or a Consequence of Periodontal Diseases. Medicina 2024, 60, 859. [Google Scholar] [CrossRef] [PubMed]
- Grant, W.B.; Amerongen, B.M.V.; Boucher, B.J. Periodontal Disease and Other Adverse Health Outcomes Share Risk Factors, Including Dietary Factors and Vitamin D Status. Nutrients 2023, 15, 2787. [Google Scholar] [CrossRef] [PubMed]
- Lazureanu, P.C.; Popescu, F.G.; Stef, L.; Focsa, M.; Vaida, M.A.; Mihaila, R. The Influence of Periodontal Disease on Oral Health Quality of Life in Patients with Cardiovascular Disease: A Cross-Sectional Observational Single-Center Study. Medicina 2022, 58, 584. [Google Scholar] [CrossRef]
- Seyed-Monir, A.; Seyed-Monir, E.; Mihandoust, S. Evaluation of 940-Nm Diode Laser Effectiveness on Pocket Depth, Clinical Attachment Level, and Bleeding on Probing in Chronic Periodontitis: A Randomized Clinical Single-Masked Split-Mouth Study. Dent. Res. J. 2023, 20, 113. [Google Scholar] [CrossRef]
- Yu, S.; Zhao, X.; Zhang, Y.; Liu, Y.; Li, A.; Pei, D. Clinical Effectiveness of Adjunctive Diode Laser on Scaling and Root Planing in the Treatment of Periodontitis: Is There an Optimal Combination of Usage Mode and Application Regimen? A Systematic Review and Meta-Analysis. Lasers Med. Sci. 2022, 37, 759–769. [Google Scholar] [CrossRef] [PubMed]
- Crispino, A.; Figliuzzi, M.M.; Iovane, C.; Del Giudice, T.; Lomanno, S.; Pacifico, D.; Fortunato, L.; Del Giudice, R. Effectiveness of a Diode Laser in Addition to Non-Surgical Periodontal Therapy: Study of Intervention. Ann. Stomatol. 2015, 6, 15–20. [Google Scholar] [CrossRef]
- Everett, J.D.; Rossmann, J.A.; Kerns, D.G.; Al-Hashimi, I. Laser Assisted Non-Surgical Periodontal Therapy: A Double Blind, Randomized Clinical Trial. Open Dent. J. 2017, 11, 79–90. [Google Scholar] [CrossRef] [PubMed]
- Haque, M.; Yerex, K.; Kelekis-Cholakis, A.; Duan, K. Advances in Novel Therapeutic Approaches for Periodontal Diseases. BMC Oral Health 2022, 22, 492. [Google Scholar] [CrossRef] [PubMed]
- Grzech-Leśniak, K.; Sculean, A.; Gašpirc, B. Laser Reduction of Specific Microorganisms in the Periodontal Pocket Using Er:YAG and Nd:YAG Lasers: A Randomized Controlled Clinical Study. Lasers Med. Sci. 2018, 33, 1461–1470. [Google Scholar] [CrossRef]
- Luchian, I.; Goriuc, A.; Martu, M.A.; Covasa, M. Clindamycin as an Alternative Option in Optimizing Periodontal Therapy. Antibiotics 2021, 10, 814. [Google Scholar] [CrossRef]
- Giannelli, M.; Lasagni, M.; Bani, D. Photonic Therapy in Periodontal Diseases an Overview with Appraisal of the Literature and Reasoned Treatment Recommendations. Int. J. Mol. Sci. 2019, 20, 4741. [Google Scholar] [CrossRef]
- Stef, L.; Fratila, A.; Ionas, M. Oral Health Education: An Incentive towards Quality Life Enhancement in the Case of Romanian Poor Children. Procedia Soc. Behav. Sci. 2014, 116, 2474–2477. [Google Scholar] [CrossRef]
- Matarese, G.; Ramaglia, L.; Cicciù, M.; Cordasco, G.; Isola, G. The Effects of Diode Laser Therapy as an Adjunct to Scaling and Root Planing in the Treatment of Aggressive Periodontitis: A 1-Year Randomized Controlled Clinical Trial. Photomed. Laser Surg. 2017, 35, 702–709. [Google Scholar] [CrossRef]
- Amato, M.; Santonocito, S.; Polizzi, A.; Tartaglia, G.M.; Ronsivalle, V.; Viglianisi, G.; Grippaudo, C.; Isola, G. Local Delivery and Controlled Release Drugs Systems: A New Approach for the Clinical Treatment of Periodontitis Therapy. Pharmaceutics 2023, 15, 1312. [Google Scholar] [CrossRef]
- Santonocito, S.; Ferlito, S.; Polizzi, A.; Ronsivalle, V.; Sclafani, R.; Valletta, A.; Lo Giudice, A.; Cavalcanti, R.; Spagnuolo, G.; Isola, G. Therapeutic and Metagenomic Potential of the Biomolecular Therapies against Periodontitis and the Oral Microbiome: Current Evidence and Future Perspectives. Int. J. Mol. Sci. 2022, 23, 13708. [Google Scholar] [CrossRef] [PubMed]
- Cirino, C.C.d.S.; Vale, H.F.d.; Casati, M.Z.; Sallum, E.A.; Casarin, R.C.V.; Sallum, A.W. Clinical and Microbiological Evaluation of Surgical and Nonsurgical Treatment of Aggressive Periodontitis. Braz. Dent. J. 2019, 30, 577–586. [Google Scholar] [CrossRef] [PubMed]
- Tudose, A.D.; Radulescu, E.D.; Manea, S.; Scarlatescu, S.; Perlea, P.; Burcea, A. SEM Microscopic Analysis of the Labial Tooth Surfaces after the Bleaching Procedure Done by Epic Biolase Diode Laser 940 Nm. Romanian J. Stomatol. 2023, 69, 109–115. [Google Scholar] [CrossRef]
- Tudose, D.A.; Biclesanu, C. Teeth Bleaching with Epic Diode Laser 940 Nm (Biolase USA). Romanian J. Stomatol. 2020, 66, 167–171. [Google Scholar] [CrossRef]
- Alizadeh Tabari, Z.; Pournasir, L.; Mohammadreza, S.; Anbari, F. Clinical Efficacy of the 940-Nm Diode Laser in the Treatment of Recurrent Pockets in the Periodontal Maintenance Phase. J. Lasers Med. Sci. 2021, 12, e68. [Google Scholar] [CrossRef]
- Blashkova, S.V.; Butaeva, Z.R.; Fazylova, Y.V. The Clinical Experience of Using a Diode Laser in the Treatment of Chronic Generalized Periodontitis. Parodontologiya 2022, 27, 193–198. [Google Scholar] [CrossRef]
- Passanezi, E.; Damante, C.A.; de Rezende, M.L.R.; Greghi, S.L.A. Lasers in Periodontal Therapy. Periodontology 2000 2015, 67, 268–291. [Google Scholar] [CrossRef]
- Periodontal Chart. Available online: https://www.periodontalchart-online.com/uk/ (accessed on 28 March 2023).
- Newman, M.G.; Takei, H.H.; Klokkevold, P.R. Carranza’s Clinical Periodontology, 10th ed.; Carranza, F.A., Ed.; Saunders Elsevier: St. Louis, MN, USA, 2006; ISBN 978-1-4160-2400-2. [Google Scholar]
- Sgolastra, F.; Severino, M.; Gatto, R.; Monaco, A. Effectiveness of Diode Laser as Adjunctive Therapy to Scaling Root Planning in the Treatment of Chronic Periodontitis: A Meta-Analysis. Lasers Med. Sci. 2013, 28, 1393–1402. [Google Scholar] [CrossRef]
- Schwarz, F.; Aoki, A.; Becker, J.; Sculean, A. Laser Application in Non-Surgical Periodontal Therapy: A Systematic Review. J. Clin. Periodontol. 2008, 35, 29–44. [Google Scholar] [CrossRef]
- Giannelli, M.; Bani, D.; Viti, C.; Tani, A.; Lorenzini, L.; Zecchi-Orlandini, S.; Formigli, L. Comparative Evaluation of the Effects of Different Photoablative Laser Irradiation Protocols on the Gingiva of Periodontopathic Patients. Photomed. Laser Surg. 2012, 30, 222–230. [Google Scholar] [CrossRef]
- Abduljabbar, T.; Vohra, F.; Kellesarian, S.V.; Javed, F. Efficacy of Scaling and Root Planning with and without Adjunct Nd:YAG Laser Therapy on Clinical Periodontal Parameters and Gingival Crevicular Fluid Interleukin 1-Beta and Tumor Necrosis Factor-Alpha Levels among Patients with Periodontal Disease: A Prospective Randomized Split-Mouth Clinical Study. J. Photochem. Photobiol. B Biol. 2017, 169, 70–74. [Google Scholar] [CrossRef]
- Dengizek Eltas, S.; Gursel, M.; Eltas, A.; Alptekin, N.O.; Ataoglu, T. Evaluation of Long-Term Effects of Diode Laser Application in Periodontal Treatment of Poorly Controlled Type 2 Diabetic Patients with Chronic Periodontitis. Int. J. Dent. Hyg. 2019, 17, 292–299. [Google Scholar] [CrossRef] [PubMed]
- Lesniewski, A.; Estrin, N.; Romanos, G.E. Comparing the Use of Diode Lasers to Light-Emitting Diode Phototherapy in Oral Soft and Hard Tissue Procedures: A Literature Review. Photobiomodul. Photomed. Laser Surg. 2022, 40, 522–531. [Google Scholar] [CrossRef] [PubMed]
- Slot, D.E.; Jorritsma, K.H.; Cobb, C.M.; Van der Weijden, F.A. The Effect of the Thermal Diode Laser (Wavelength 808-980 Nm) in Non-Surgical Periodontal Therapy: A Systematic Review and Meta-Analysis. J. Clin. Periodontol. 2014, 41, 681–692. [Google Scholar] [CrossRef] [PubMed]










Disclaimer/Publisher’s Note: The statements, opinions and data contained in all publications are solely those of the individual author(s) and contributor(s) and not of MDPI and/or the editor(s). MDPI and/or the editor(s) disclaim responsibility for any injury to people or property resulting from any ideas, methods, instructions or products referred to in the content. |
© 2024 by the authors. Licensee MDPI, Basel, Switzerland. This article is an open access article distributed under the terms and conditions of the Creative Commons Attribution (CC BY) license (https://creativecommons.org/licenses/by/4.0/).
Share and Cite
Tene, T.; Fratila, A.M.; Arcas, V.C.; Sava, M.; Roman-Filip, C. Diode Laser with Scaling and Root Planing for Treating Generalized Periodontitis: Case Report and Analysis of the Relevant Literature. Reports 2024, 7, 109. https://doi.org/10.3390/reports7040109
Tene T, Fratila AM, Arcas VC, Sava M, Roman-Filip C. Diode Laser with Scaling and Root Planing for Treating Generalized Periodontitis: Case Report and Analysis of the Relevant Literature. Reports. 2024; 7(4):109. https://doi.org/10.3390/reports7040109
Chicago/Turabian StyleTene, Teodora, Anca Maria Fratila, Vasile Calin Arcas, Mihai Sava, and Corina Roman-Filip. 2024. "Diode Laser with Scaling and Root Planing for Treating Generalized Periodontitis: Case Report and Analysis of the Relevant Literature" Reports 7, no. 4: 109. https://doi.org/10.3390/reports7040109
APA StyleTene, T., Fratila, A. M., Arcas, V. C., Sava, M., & Roman-Filip, C. (2024). Diode Laser with Scaling and Root Planing for Treating Generalized Periodontitis: Case Report and Analysis of the Relevant Literature. Reports, 7(4), 109. https://doi.org/10.3390/reports7040109

