Fatal Hemoptysis Secondary to Severe Pulmonary Veins Stenosis and Fibrosing Mediastinitis following Radiofrequency Ablation for Atrial Fibrillation: A Case Report and Review of the Literature
Abstract
1. Introduction
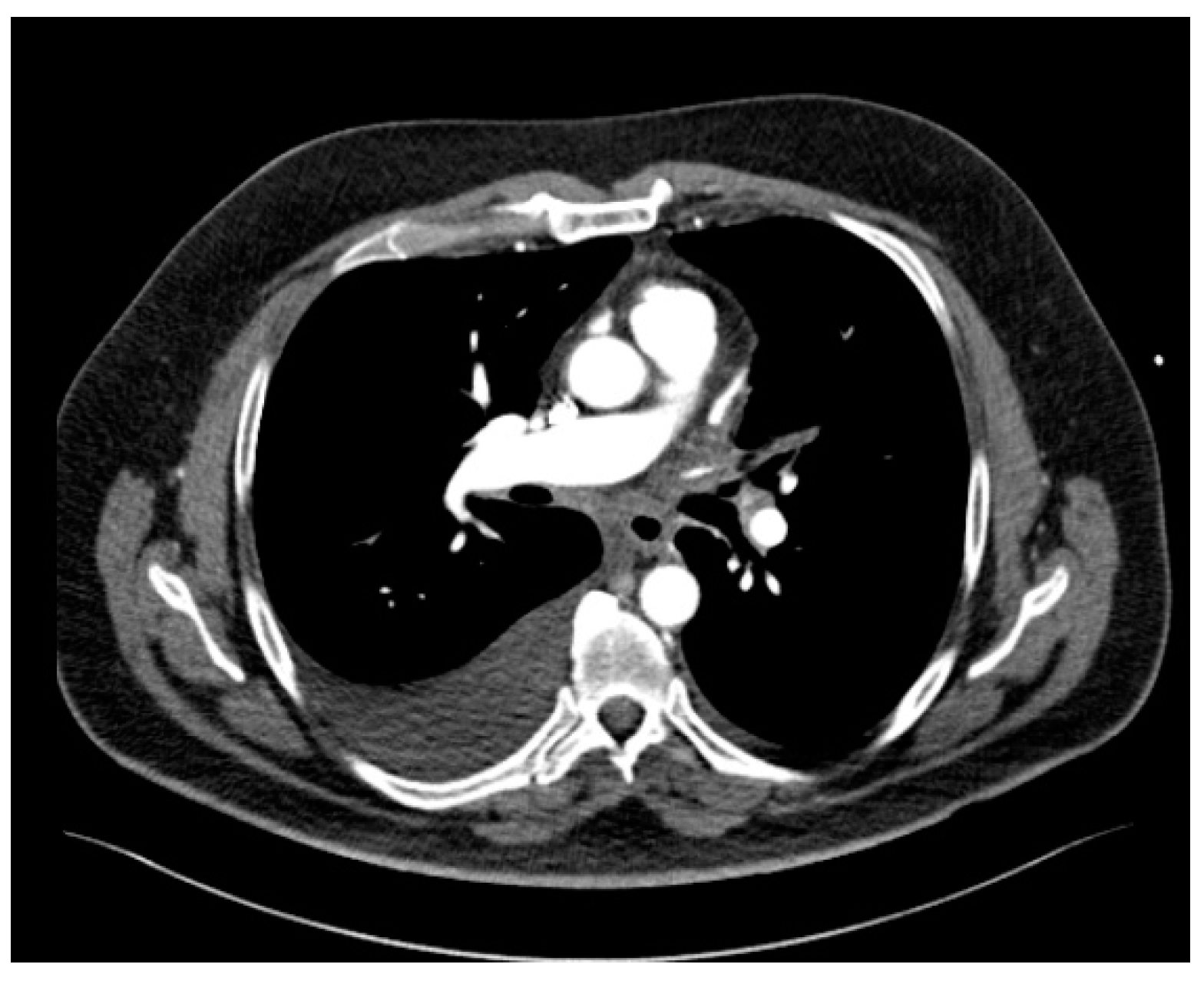
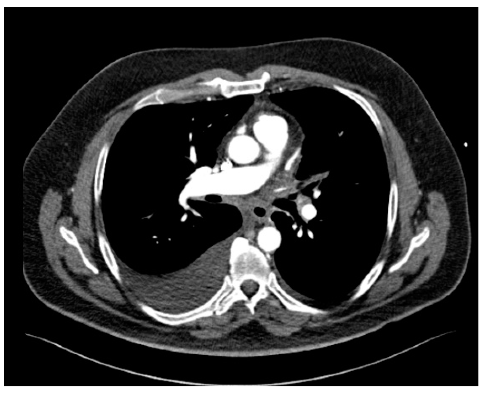
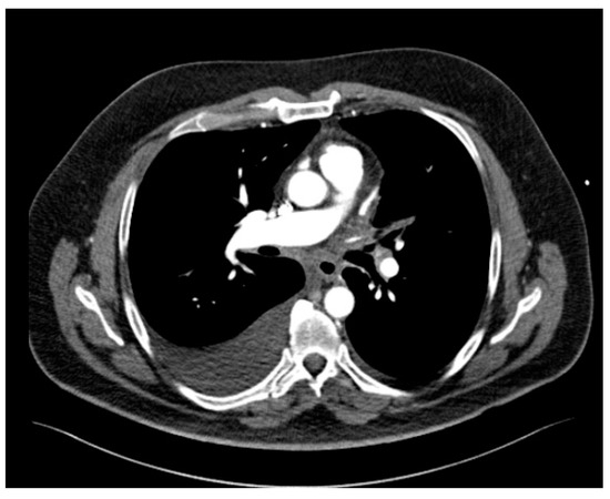
2. Detailed Case Description
3. Discussion
4. Conclusions
Author Contributions
Funding
Institutional Review Board Statement
Informed Consent Statement
Data Availability Statement
Conflicts of Interest
References
- Tanaka, Y.; Shah, N.S.; Passman, R.; Greenland, P.; Lloyd-Jones, D.M.; Khan, S.S. Trends in Cardiovascular Mortality Related to Atrial Fibrillation in the United States, 2011 to 2018. J. Am. Heart Assoc. 2021, 10, e020163. [Google Scholar] [CrossRef] [PubMed]
- De Greef, Y.; Tavernier, R.; Raeymaeckers, S.; Schwagten, B.; Desurgeloose, D.; De Keulenaer, G.; Stockman, D.; De Buyzere, M.; Duytschaever, M. Prevalence, Characteristics, and Predictors of Pulmonary Vein Narrowing After Isolation Using the Pulmonary Vein Ablation Catheter. Circ. Arrhythm. Electrophysiol. 2012, 5, 52–60. [Google Scholar] [CrossRef] [PubMed][Green Version]
- Yu, W.C.; Hsu, T.L.; Tai, C.T.; Tsai, C.F.; Hsieh, M.H.; Lin, W.S.; Lin, Y.K.; Tsao, H.M.; Ding, Y.A.; Chang, M.S.; et al. Acquired pulmonary vein stenosis after radiofrequency catheter ablation of paroxysmal atrial fibrillation. J. Cardiovasc. Electrophysiol. 2001, 12, 887–892. [Google Scholar] [CrossRef] [PubMed]
- Almendral, J.; Barrio-López, M.T. Pulmonary Vein Stenosis After Ablation: The Difference Between Clinical Symptoms and Imaging Findings, and the Importance of Definitions in This Context. Rev. Esp. Cardiol. (Engl. Ed.) 2015, 68, 1056–1058. [Google Scholar] [CrossRef] [PubMed]
- Cappato, R.; Calkins, H.; Chen, S.-A.; Davies, W.; Iesaka, Y.; Kalman, J.; Kim, Y.-H.; Klein, G.; Natale, A.; Packer, D.; et al. Updated worldwide survey on the methods, efficacy, and safety of catheter ablation for human atrial fibrillation. Circ. Arrhythmia Electrophysiol. 2010, 3, 32–38. [Google Scholar] [CrossRef] [PubMed]
- Shroff, N.; Choi, W.; Villanueva-Meyer, J.; Palacio, D.M.; Bhargava, P. Pulmonary Vein Occlusion: A Delayed Complication Following Radiofrequency Ablation for Atrial Fibrillation. Radiol. Case Rep. 2021, 16, 3666–3671. [Google Scholar] [CrossRef]
- Calkins, H.; Hindricks, G.; Cappato, R.; Kim, Y.-H.; Saad, E.B.; Aguinaga, L.; Akar, J.G.; Badhwar, V.; Brugada, J.; Camm, J.; et al. 2017 HRS/EHRA/ECAS/APHRS/SOLAECE Expert Consensus Statement on Catheter and Surgical Ablation of Atrial Fibrillation. Heart Rhythm. 2017, 14, e275–e444. [Google Scholar] [CrossRef] [PubMed]
- Teunissen, C.; Velthuis, B.K.; Hassink, R.J.; van der Heijden, J.F.; Vonken, E.-J.P.A.; Clappers, N.; Doevendans, P.A.; Loh, P. Incidence of Pulmonary Vein Stenosis after Radiofrequency Catheter Ablation of Atrial Fibrillation. JACC Clin. Electrophysiol. 2017, 3, 589–598. [Google Scholar] [CrossRef] [PubMed]
- Xuan, Z.; Liu, B.; Ci, M.; Wang, Z.; Fan, Y. Hemoptysis Secondary to Pulmonary Vein Stenosis after Radiofrequency Ablation for Atrial Fibrillation: A Case Report and Literature Review. J. Interv. Med. 2020, 3, 98–100. [Google Scholar] [CrossRef] [PubMed]
- El Baba, M.; Sabayon, D.; Refaat, M.M. Radiofrequency Catheter Ablation: How to Manage and Prevent Collateral Damage? J. Innov. Card. Rhythm. Manag. 2020, 11, 4234–4240. [Google Scholar] [CrossRef] [PubMed]
- Alaeddini, J.; Wood, M.A.; Lee, B.P.; Ellenbogen, K.A. Incidence, Time Course, and Characteristics of Microbubble Formation during Radiofrequency Ablation of Pulmonary Veins with an 8-Mm Ablation Catheter. Pacing Clin. Electrophysiol. 2006, 29, 979–984. [Google Scholar] [CrossRef]
- Lu, H.-W.; Wei, P.; Jiang, S.; Gu, S.-Y.; Fan, L.-C.; Liang, S.; Ji, X.; Rajbanshi, B.; Xu, J.-F. Pulmonary Vein Stenosis Complicating Radiofrequency Catheter Ablation: Five Case Reports and Literature Review. Medicine 2015, 94, e1346. [Google Scholar] [CrossRef]
- Szczepanek, E.; Bolechała, F.; Koziej, M.; Jasińska, K.A.; Hołda, M.K. Morphometric Characteristics of Myocardial Sleeves of the Pulmonary Veins. J. Cardiovasc. Electrophysiol. 2020, 31, 2455–2461. [Google Scholar] [CrossRef]
- Yang, H.-M.; Lai, C.K.; Patel, J.; Moore, J.; Chen, P.-S.; Shivkumar, K.; Fishbein, M.C. Irreversible Intrapulmonary Vascular Changes after Pulmonary Vein Stenosis Complicating Catheter Ablation for Atrial Fibrillation. Cardiovasc. Pathol. 2007, 16, 51–55. [Google Scholar] [CrossRef]
- Makhija, Z.; Murgatroyd, F.; Gall, N.; Marrinan, M.T.; Deshpande, R.; Desai, S.R. Fibrosing mediastinitis and occlusion of pulmonary veins after radiofrequency ablation. Ann. Thorac. Surg. 2009, 88, 1674–1676. [Google Scholar] [CrossRef] [PubMed]
- Wang, A.; Su, H.; Duan, Y.; Jiang, K.; Li, Y.; Deng, M.; Long, X.; Wang, H.; Zhang, M.; Zhang, Y.; et al. Pulmonary Hypertension Caused by Fibrosing Mediastinitis. JACC Asia 2022, 2, 218–234. [Google Scholar] [CrossRef]
- Fender, E.A.; Widmer, R.J.; Hodge, D.O.; Cooper, G.M.; Monahan, K.H.; Peterson, L.A.; Holmes, D.R.J.; Packer, D.L. Severe Pulmonary Vein Stenosis Resulting from Ablation for Atrial Fibrillation: Presentation, Management, and Clinical Outcomes. Circulation 2016, 134, 1812–1821. [Google Scholar] [CrossRef] [PubMed]
- Feins, E.N.; Ireland, C.; Gauvreau, K.; Chávez, M.; Callahan, R.; Jenkins, K.J.; Baird, C.W. Pulmonary Vein Stenosis: Anatomic Considerations, Surgical Management, and Outcomes. J. Thorac. Cardiovasc. Surg. 2022, 163, 2198–2207.e3. [Google Scholar] [CrossRef] [PubMed]



Disclaimer/Publisher’s Note: The statements, opinions and data contained in all publications are solely those of the individual author(s) and contributor(s) and not of MDPI and/or the editor(s). MDPI and/or the editor(s) disclaim responsibility for any injury to people or property resulting from any ideas, methods, instructions or products referred to in the content. |
© 2023 by the authors. Licensee MDPI, Basel, Switzerland. This article is an open access article distributed under the terms and conditions of the Creative Commons Attribution (CC BY) license (https://creativecommons.org/licenses/by/4.0/).
Share and Cite
Burduloi, V.M.; Corciova, F.C.; Sargu, G.D.; Chistol, R.O.; Rusu, A.C.; Stan, C.I. Fatal Hemoptysis Secondary to Severe Pulmonary Veins Stenosis and Fibrosing Mediastinitis following Radiofrequency Ablation for Atrial Fibrillation: A Case Report and Review of the Literature. Reports 2024, 7, 2. https://doi.org/10.3390/reports7010002
Burduloi VM, Corciova FC, Sargu GD, Chistol RO, Rusu AC, Stan CI. Fatal Hemoptysis Secondary to Severe Pulmonary Veins Stenosis and Fibrosing Mediastinitis following Radiofrequency Ablation for Atrial Fibrillation: A Case Report and Review of the Literature. Reports. 2024; 7(1):2. https://doi.org/10.3390/reports7010002
Chicago/Turabian StyleBurduloi, Vladut Mirel, Flavia Catalina Corciova, Gabriela Dumachita Sargu, Raluca Ozana Chistol, Alexandra Cristina Rusu, and Cristinel Ionel Stan. 2024. "Fatal Hemoptysis Secondary to Severe Pulmonary Veins Stenosis and Fibrosing Mediastinitis following Radiofrequency Ablation for Atrial Fibrillation: A Case Report and Review of the Literature" Reports 7, no. 1: 2. https://doi.org/10.3390/reports7010002
APA StyleBurduloi, V. M., Corciova, F. C., Sargu, G. D., Chistol, R. O., Rusu, A. C., & Stan, C. I. (2024). Fatal Hemoptysis Secondary to Severe Pulmonary Veins Stenosis and Fibrosing Mediastinitis following Radiofrequency Ablation for Atrial Fibrillation: A Case Report and Review of the Literature. Reports, 7(1), 2. https://doi.org/10.3390/reports7010002
