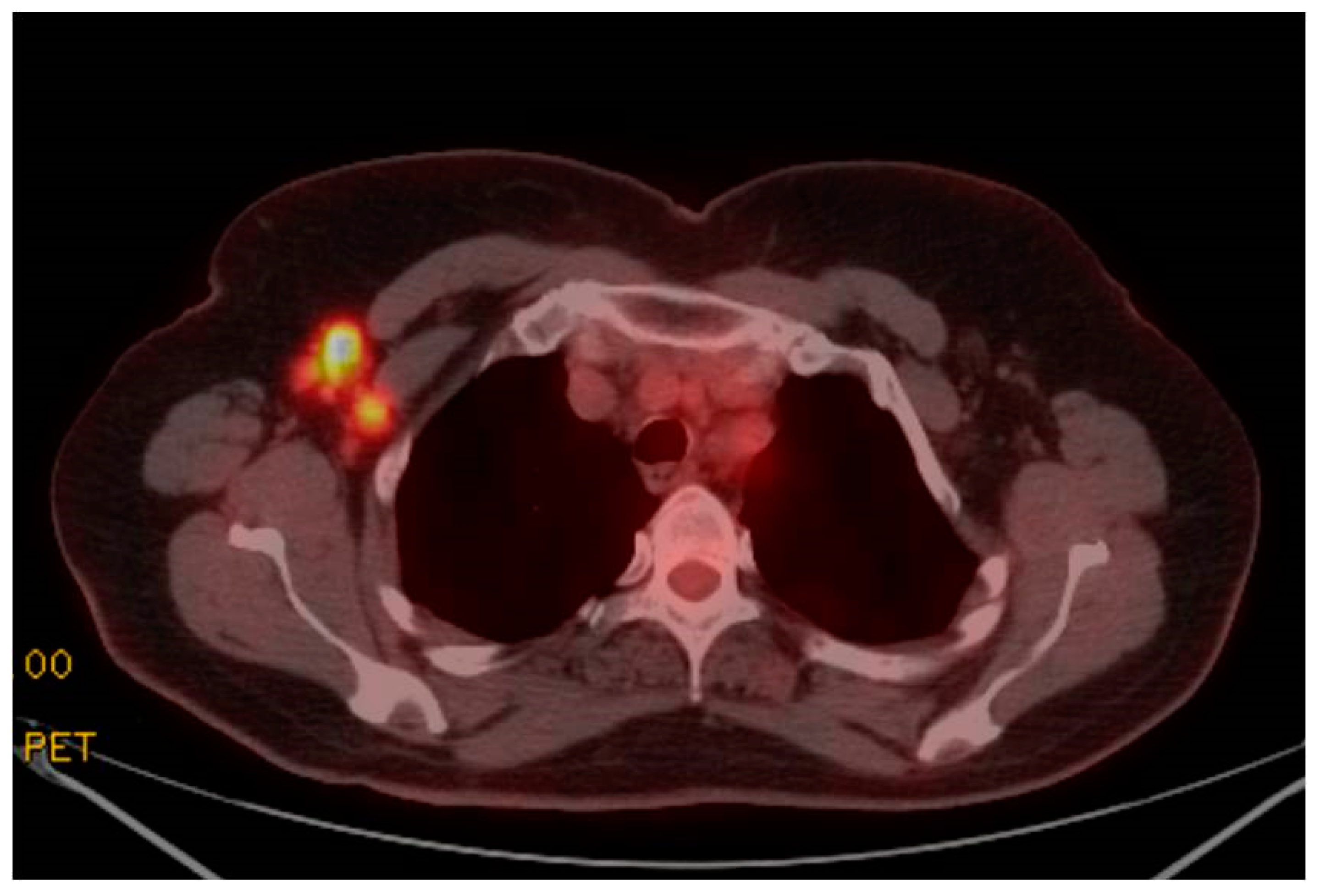
Increased FluoroDeoxyGlucose (FDG) Avidity Following COVID-19 Vaccination
Funding
Institutional Review Board Statement
Informed Consent Statement
Conflicts of Interest
References
- McIntosh, L.J.; Bankier, A.A.; Vijayaraghavan, G.R.; Licho, R.; Rosen, M.P. COVID-19 Vaccination-Related Uptake on FDG PET/CT: An Emerging Dilemma and Suggestions for Management. Am. J. Roentgenol. 2021, 217, 975–983. [Google Scholar] [CrossRef] [PubMed]
- Shah, S.; Wagner, T.; Nathan, M.; Szyszko, T. COVID-19 vaccine-related lymph node activation—Patterns of uptake on PET-CT. BJR Case Rep. 2021, 7, 20210040. [Google Scholar] [CrossRef] [PubMed]


Publisher’s Note: MDPI stays neutral with regard to jurisdictional claims in published maps and institutional affiliations. |
© 2022 by the authors. Licensee MDPI, Basel, Switzerland. This article is an open access article distributed under the terms and conditions of the Creative Commons Attribution (CC BY) license (https://creativecommons.org/licenses/by/4.0/).
Share and Cite
Nassar, M.; Soubani, A. Increased FluoroDeoxyGlucose (FDG) Avidity Following COVID-19 Vaccination. Adv. Respir. Med. 2022, 90, 376-377. https://doi.org/10.3390/arm90050047
Nassar M, Soubani A. Increased FluoroDeoxyGlucose (FDG) Avidity Following COVID-19 Vaccination. Advances in Respiratory Medicine. 2022; 90(5):376-377. https://doi.org/10.3390/arm90050047
Chicago/Turabian StyleNassar, Mo’ath, and Ayman Soubani. 2022. "Increased FluoroDeoxyGlucose (FDG) Avidity Following COVID-19 Vaccination" Advances in Respiratory Medicine 90, no. 5: 376-377. https://doi.org/10.3390/arm90050047
APA StyleNassar, M., & Soubani, A. (2022). Increased FluoroDeoxyGlucose (FDG) Avidity Following COVID-19 Vaccination. Advances in Respiratory Medicine, 90(5), 376-377. https://doi.org/10.3390/arm90050047

