Prognostic Value of Chest-Computed Tomography in Patients with COVID-19
Abstract
:Highlights
- Our study verifies that chest CT is one of the most helpful tools for diagnosing COVID-19 pneumonia.
- The chest CT scoring system shown in the current study provides important prognostic value in patients with COVID-19.
- The current study showed a correlation between chest CT score and inflammation biomarkers in COVID-19 pneumonia.
Abstract
1. Introduction
2. Materials and Methods
2.1. Study Population
2.2. Clinical and Laboratory Parameters
2.3. CT Protocol
2.4. Chest CT Evaluation
2.5. Statistical Analysis
Ethics Approval
3. Results
3.1. Patient Characteristics
3.2. Results of Laboratory Characteristics
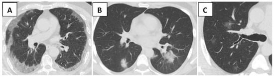
Results of Chest CT
4. Discussion
5. Limitations
6. Conclusions
Author Contributions
Funding
Institutional Review Board Statement
Informed Consent Statement
Data Availability Statement
Conflicts of Interest
References
- World Health Organisation. Available online: https://www.who.int/emergencies/diseases/novel-coronavirus-2019 (accessed on 22 March 2021).
- Chen, N.; Zhou, M.; Dong, X.; Qu, J.; Gong, F.; Han, Y.; Qiu, Y.; Wang, J.; Liu, Y.; Wei, Y.; et al. Epidemiological and clinical characteristics of 99 cases of 2019 novel coronavirus pneumonia in Wuhan, China: A descriptive study. Lancet 2020, 395, 507–513. [Google Scholar] [CrossRef] [Green Version]
- Zou, L.; Ruan, F.; Huang, M.; Liang, L.; Huang, H.; Hong, Z.; Yu, J.; Kang, M.; Song, Y.; Xia, J.; et al. SARS-CoV-2 Viral Load in Upper Respiratory Specimens of Infected Patients. N. Engl. J. Med. 2020, 382, 1177–1179. [Google Scholar] [CrossRef] [PubMed]
- Lauer, S.A.; Grantz, K.H.; Bi, Q.; Jones, F.K.; Zheng, Q.; Meredith, H.R.; Azman, A.S.; Reich, N.G.; Lessler, J. The Incubation Period of Coronavirus Disease 2019 (COVID-19) From Publicly Reported Confirmed Cases: Estimation and Application. Ann. Intern. Med. 2020, 172, 577–582. [Google Scholar] [CrossRef] [PubMed] [Green Version]
- Gallo Marin, B.; Aghagoli, G.; Lavine, K.; Yang, L.; Siff, E.J.; Chiang, S.S.; Salazar-Mather, T.P.; Dumenco, L.; Savaria, M.C.; Aung, S.N.; et al. Predictors of COVID-19 severity: A literature review. Rev. Med. Virol. 2021, 31, 1–10. [Google Scholar] [CrossRef] [PubMed]
- Zheng, Y.; Wang, L.; Ben, S. Meta-analysis of chest CT features of patients with COVID-19 pneumonia. J. Med. Virol. 2021, 93, 241–249. [Google Scholar] [CrossRef]
- Ye, Z.; Zhang, Y.; Wang, Y.; Huang, Z.; Song, B. Chest CT manifestations of new coronavirus disease 2019 (COVID-19): A pictorial review. Eur. Radiol. 2020, 30, 4381–4389. [Google Scholar] [CrossRef] [Green Version]
- Dong, D.; Tang, Z.; Wang, S.; Hui, H.; Gong, L.; Lu, Y.; Xue, Z.; Liao, H.; Chen, F.; Yang, F.; et al. The Role of Imaging in the Detection and Management of COVID-19: A Review. IEEE Rev. Biomed. Eng. 2021, 14, 16–29. [Google Scholar] [CrossRef]
- Böger, B.; Fachi, M.M.; Vilhena, R.O.; Cobre, A.F.; Tonin, F.S.; Pontarolo, R. Systematic review with meta-analysis of the accuracy of diagnostic tests for COVID-19. Am. J. Infect. Control 2021, 49, 21–29. [Google Scholar] [CrossRef]
- Sun, Q.; Li, Q.; Gao, F.; Li, J.; Xu, X.; Huang, X. Evolution of computed tomography manifestations of eleven patients with severe coronavirus disease 2019 (COVID-19) pneumonia. Int. J. Clin. Pract. 2021, 75, e13654. [Google Scholar] [CrossRef]
- Pan, F.; Ye, T.; Sun, P.; Gui, S.; Liang, B.; Li, L.; Zheng, D.; Wang, J.; Hesketh, R.L.; Yang, L.; et al. Time Course of Lung Changes at Chest CT during Recovery from Coronavirus Disease 2019 (COVID-19). Radiology 2020, 295, 715–721. [Google Scholar] [CrossRef] [Green Version]
- Herpe, G.; Lederlin, M.; Naudin, M.; Ohana, M.; Chaumoitre, K.; Gregory, J.; Vilgrain, V.; Freitag, C.A.; De Margerie-Mellon, C.; Flory, V.; et al. Efficacy of Chest CT for COVID-19 Pneumonia Diagnosis in France. Radiology 2021, 298, E81–E87. [Google Scholar] [CrossRef]
- Yan, L.; Zhang, H.-T.; Goncalves, J.; Xiao, Y.; Wang, M.; Guo, Y.; Sun, C.; Tang, X.; Jing, L.; Zhang, M.; et al. An interpretable mortality prediction model for COVID-19 patients. Nat. Mach. Intell. 2020, 2, 283–288. [Google Scholar] [CrossRef]
- Hansell, D.M.; Bankier, A.A.; MacMahon, H.; McLoud, T.C.; Müller, N.L.; Remy, J. Fleischner Society: Glossary of Terms for Thoracic Imaging. Radiology 2008, 246, 697–722. [Google Scholar] [CrossRef] [Green Version]
- Simpson, S.; Kay, F.U.; Abbara, S.; Bhalla, S.; Chung, J.H.; Chung, M.; Henry, T.S.; Kanne, J.P.; Kligerman, S.; Ko, J.P.; et al. Radiological Society of North America Expert Consensus Statement on Reporting Chest CT Findings Related to COVID-19. Endorsed by the Society of Thoracic Radiology, the American College of Radiology, and RSNA-Secondary Publication. J. Thorac. Imaging 2020, 35, 219–227. [Google Scholar] [CrossRef]
- Brouqui, P.; Amrane, S.; Million, M.; Cortaredona, S.; Parola, P.; Lagier, J.-C.; Raoult, D. Asymptomatic hypoxia in COVID-19 is associated with poor outcome. Int. J. Infect. Dis. 2021, 102, 233–238. [Google Scholar] [CrossRef]
- Wong HY, F.; Lam HY, S.; Fong, A.H.-T.; Leung, S.T.; Chin, T.W.-Y.; Lo CS, Y.; Lui, M.M.-S.; Lee JC, Y.; Chiu, K.W.-H.; Chung, T.W.-H.; et al. Frequency and Distribution of Chest Radiographic Findings in Patients Positive for COVID-19. Radiology 2020, 296, E72–E78. [Google Scholar] [CrossRef] [Green Version]
- Chung, M.; Bernheim, A.; Mei, X.; Zhang, N.; Huang, M.; Zeng, X.; Cui, J.; Xu, W.; Yang, Y.; Fayad, Z.A.; et al. CT Imaging Features of 2019 Novel Coronavirus (2019-nCoV). Radiology 2020, 295, 202–207. [Google Scholar] [CrossRef] [Green Version]
- Francone, M.; Iafrate, F.; Masci, G.M.; Coco, S.; Cilia, F.; Manganaro, L.; Panebianco, V.; Andreoli, C.; Colaiacomo, M.C.; Zingaropoli, M.A.; et al. Chest CT score in COVID-19 patients: Correlation with disease severity and short-term prognosis. Eur. Radiol. 2020, 30, 6808–6817. [Google Scholar] [CrossRef]
- Lippi, G.; Favaloro, E.J. D-dimer is Associated with Severity of Coronavirus Disease 2019: A Pooled Analysis. Thromb. Haemost. 2020, 120, 876–878. [Google Scholar] [CrossRef] [Green Version]
- Liu, F.; Li, L.; Xu, M.; Wu, J.; Luo, D.; Zhu, Y.; Li, B.; Song, X.; Zhou, X. Prognostic value of interleukin-6, C-reactive protein, and procalcitonin in patients with COVID-19. J. Clin. Virol. 2020, 127, 104370. [Google Scholar] [CrossRef]
- Yuan, M.; Yin, W.; Tao, Z.; Tan, W.; Hu, Y. Association of radiologic findings with mortality of patients infected with 2019 novel coronavirus in Wuhan, China ed O Schildgen. PLoS ONE 2020, 15, e0230548. [Google Scholar] [CrossRef] [Green Version]
- Caruso, D.; Polici, M.; Zerunian, M.; Pucciarelli, F.; Polidori, T.; Guido, G.; Rucci, C.; Bracci, B.; Muscogiuri, E.; De Dominicis, C.; et al. Quantitative Chest CT analysis in discriminating COVID-19 from non-COVID-19 patients. Radiol. Med. 2021, 126, 243–249. [Google Scholar] [CrossRef]
- Wang, D.; Hu, B.; Hu, C.; Zhu, F.; Liu, X.; Zhang, J.; Wang, B.; Xiang, H.; Cheng, Z.; Xiong, Y.; et al. Clinical Characteristics of 138 Hospitalized Patients With 2019 Novel Coronavirus-Infected Pneumonia in Wuhan, China. JAMA 2020, 323, 1061–1069. [Google Scholar] [CrossRef]
- Guan, W.; Ni, Z.; Hu, Y.; Liang, W.; Ou, C.; He, J.; Liu, L.; Shan, H.; Lei, C.; Hui, D.S.C.; et al. Clinical Characteristics of Coronavirus Disease 2019 in China. N. Engl. J. Med. 2020, 382, 1708–1720. [Google Scholar] [CrossRef]




| Overall (n = 521) | Survivors (n = 309) | Non-Survivors (n = 212) | p-Value | |
|---|---|---|---|---|
| Male, n (%) | 267 (51.2) | 132 (42.7) | 135 (63.7) | <0.001 |
| Female, n (%) | 254 (48.8) | 177 (57.3) | 77 (36.3) | <0.001 |
| Age (years), median (IQR) | 66 (51–78) | 51 (31–66) | 78 (66–87.5) | <0.001 |
| Initial Vital Signs | ||||
| SBP (mmHg), median (IQR) | 110 (110–120) | 120 (110–130) | 110 (95–120) | <0.001 |
| DBP (mmHg), median (IQR) | 70 (60–70) | 70 (70–80) | 60 (60–70) | <0.001 |
| Heart Rate, median (IQR) | 96 (82–122) | 82 (78–92) | 126 (122–130) | <0.001 |
| Saturation (%), median (IQR) | 90 (80–94) | 94 (93–96) | 76 (72–80) | <0.001 |
| RR/minute, median (IQR) | 22 (20–30) | 20 (18–20) | 31 (28–32) | <0.001 |
| Symptoms at arrival | ||||
| Fever, n (%) | 141 (27.1) | 54 (17.5) | 87 (41) | <0.001 |
| Cough, n (%) | 237 (45.5) | 109 (35.3) | 128 (60.4) | <0.001 |
| Dyspnea, n (%) | 289 (55.5) | 97 (31.4) | 192 (90.6) | <0.001 |
| Fatigue, n (%) | 224 (43) | 76 (24.6) | 148 (69.8) | <0.001 |
| Nausea, n (%) | 26 (5) | 24 (7.8) | 2 (0.9) | <0.001 |
| Diarrhea, n (%) | 9 (1.7) | 8 (2.6) | 1 (0.5) | 0.068 |
| Anosmia, n (%) | 15 (2.9) | 13 (4.2) | 2 (0.9) | 0.029 |
| Anorexia, n (%) | 87 (16.8) | 15 (4.9) | 72 (34) | <0.001 |
| Ageusia, n (%) | 17 (3.3) | 16 (5.2) | 1 (0.5) | 0.003 |
| Sore throat, n (%) | 59 (11.3) | 52 (16.8) | 7 (3.3) | <0.001 |
| Abdominal pain, n (%) | 10 (1.9) | 9 (2.9) | 1 (0.5) | 0.046 |
| Headache, n (%) | 85 (16.3) | 66 (21.4) | 19 (9) | <0.001 |
| arthralgia/Myalgia, n (%) | 188 (36.1) | 49 (15.9) | 139 (65.6) | <0.001 |
| Laboratory findings at admission | ||||
| Hgb (g/dL), median (IQR) | 13.8 (12.4–15.3) | 14.1 (12.8–15.7) | 13.8 (10.2–14.7) | <0.001 |
| WBC (×103/μL), median (IQR) | 6.9 (5.2–10.6) | 5.7 (4.08–7.2) | 7.35 (4.84–11.2) | <0.001 |
| Lymphocyte (×103/μL), median (IQR) | 1.23 (0.64–1.71) | 1.53 (1.11–2) | 0.73 (0.44–1.39) | <0.001 |
| Neutrophil (×103/μL), median (IQR) | 4.92 (3.01–8.37) | 3.17 (2–4.92) | 5.58 (3.96 -9.49) | <0.001 |
| PLT (×103/μL), median (IQR) | 191 (147–254) | 198 (174–248) | 183 (98–232) | 0.037 |
| Total protein (g/L), median (IQR) | 68.8 (63–73) | 72 (68–74) | 62 (53–67) | <0.001 |
| Albumin (g/L), median (IQR) | 37.8 (29.7–42.8) | 43 (39–45) | 32 (25–37) | <0.001 |
| ProBNP (pg/mL), median (IQR) | 134 (21–1102) | 37.5 (13–137) | 555 (90–1936) | <0.001 |
| CRP (mg/L), median (IQR) | 25.1 (4.5–111.9) | 4.2 (2–10.5) | 79.7 (35.6–150.3) | <0.001 |
| Procalcitonin (ug/L), median (IQR) | 0.061 (0.039–0.155) | 0.052 (0.037–0.073) | 0.233 (0.117–0.589) | <0.001 |
| Ferritin (ug/L), median (IQR) | 233 (68–505) | 128 (42–254) | 439 (186–1053) | <0.001 |
| Creatinine (mg/dL), median (IQR) | 0.94 (0.75–1.44) | 0.78 (0.69–1) | 0.95 (0.82–1.59) | <0.001 |
| D-Dimer (μg/mL), median (IQR) | 531 (295–1543) | 343 (224–802) | 924 (324–1570) | <0.001 |
| Comorbidities | ||||
| Hypertension, n (%) | 240 (46.1) | 96 (31.1) | 144 (67.9) | <0.001 |
| Diabetes, n (%) | 88 (16.9) | 27 (8.7) | 61 (28.8) | <0.001 |
| Cigarette smoking, n (%) | 187 (35.9) | 98 (31.7) | 89 (42) | 0.016 |
| Coronary artery disease, n (%) | 54 (10.4) | 16 (5.2) | 38 (17.9) | <0.001 |
| chronic heart failure, n (%) | 24 (4.6) | 4 (1.3) | 20 (9.4) | <0.001 |
| COPD, n (%) | 151 (29) | 63 (20.4) | 88 (41.5) | <0.001 |
| CKD (eGFR < 60 mL/min/m2), n (%) | 66 (12.7) | 22 (7.1) | 44 (20.8) | <0.001 |
| CVD, n (%) | 39 (7.5) | 7 (2.3) | 32 (15.1) | <0.001 |
| Overall (n = 521) | Survivors (n = 309) | Non-Survivors (n = 212) | p-Value | ||
|---|---|---|---|---|---|
| Typical, n (%) | 316 (60.7) | 150 (48.5) | 166 (78.3) | <0.001 | |
| Bilateral, peripheral, and basal GGO with or without consolidation, n (%) | 301 (57.8) | 139 (45) | 162 (76.4) | <0.001 | |
| Bilateral, peripheral, and basalconsolidation, n (%) | 58 (11.1) | 27 (8.7) | 31 (14.6) | 0.036 | |
| Multifocal rounded GGO with or without consolidation, n (%) | 25 (4.8) | 21 (6.8) | 4 (1.9) | 0.01 | |
| Peribronchial enlargement, n (%) | 42 (8.1) | 20 (6.5) | 22 (10.4) | 0.108 | |
| Reversed halo sign, n (%) | 10 (1.9) | 4 (1.3) | 6 (2.8) | 0.209 | |
| Crazy paving pattern, n (%) | 10 (1.9) | 0 (0) | 10 (4.7) | <0.001 | |
| Indeterminate, n (%) | 61 (11.7) | 43 (13.9) | 18 (8.5) | 0.058 | |
| Unilateral GGO with or without consolidation, n (%) | 40 (7.7) | 34 (11) | 6 (2.8) | 0.001 | |
| Perihilar GGO with or without consolidation, n (%) | 4 (0.8) | 0 (0) | 4 (1.9) | 0.015 | |
| Diffuse GGO, n (%) | 5 (1) | 5 (1.6) | 0 (0) | 0.063 | |
| Few and small non-peripheric GGO, n (%) | 3 (0.6) | 3 (1) | 0 (0) | 0.15 | |
| Atypical, n (%) | 34 (6.5) | 10 (3.2) | 24 (11.3) | <0.001 | |
| Lobar pneumonia, n (%) | 4 (0.8) | 2 (0.6) | 2 (0.9) | 0.704 | |
| Effusion, n (%) | 16 (3.1) | 0 (0) | 16 (7.5) | <0.001 | |
| Interlobular septal thickening, n (%) | 6 (1.2) | 2 (0.6) | 4 (1.9) | 0.193 | |
| Pulmonary fibrosis, n (%) | 6 (1.2) | 2 (0.6) | 4 (1.9) | 0.193 | |
| Lymphadenopathy, n (%) | 2 (0.4) | 2 (0.6) | 0 (0) | 0.241 | |
| Involved Lobes and global Score | |||||
| RUL, n (%) | 297 (57) | 132 (42.7) | 165 (77.8) | <0.001 | |
| RML, n (%) | 242 (46.4) | 98 (31.7) | 144 (67.9) | <0.001 | |
| RLL, n (%) | 250 (47.9) | 134 (43.3) | 170 (80) | <0.001 | |
| LUL, n (%) | 305 (58.5) | 129 (41.7) | 176 (83) | <0.001 | |
| LLL, n (%) | 299 (57.4) | 123 (39.8) | 176 (83) | <0.001 | |
| Global score, median (IQR) | 5 (0–10) | 1 (0–6) | 10 (5–13) | <0.001 | |
| Univariate Analysis | Multivariate Analysis | |||
|---|---|---|---|---|
| OR (95% CI) | p-Value | OR (95% CI) | p-Value | |
| Age | 1.12 (1.10–1.15) | <0.001 | 1.10 (1.02–1.18) | 0.008 |
| CRP | 1.018 (1.015–1.02) | <0.001 | 1.013 (1.002–1.023) | 0.015 |
| Diabetes | 4.21 (2.54–6.91) | <0.001 | 5.51 (1.77–17.2) | 0.003 |
| Global CT score | 1.25 (1.19–1.30) | <0.001 | 1.73 (1.27–2.34) | <0.001 |
Publisher’s Note: MDPI stays neutral with regard to jurisdictional claims in published maps and institutional affiliations. |
© 2022 by the authors. Licensee MDPI, Basel, Switzerland. This article is an open access article distributed under the terms and conditions of the Creative Commons Attribution (CC BY) license (https://creativecommons.org/licenses/by/4.0/).
Share and Cite
Perincek, G.; Önal, C.; Omar, T. Prognostic Value of Chest-Computed Tomography in Patients with COVID-19. Adv. Respir. Med. 2022, 90, 312-322. https://doi.org/10.3390/arm90040041
Perincek G, Önal C, Omar T. Prognostic Value of Chest-Computed Tomography in Patients with COVID-19. Advances in Respiratory Medicine. 2022; 90(4):312-322. https://doi.org/10.3390/arm90040041
Chicago/Turabian StylePerincek, Gökhan, Canver Önal, and Timor Omar. 2022. "Prognostic Value of Chest-Computed Tomography in Patients with COVID-19" Advances in Respiratory Medicine 90, no. 4: 312-322. https://doi.org/10.3390/arm90040041
APA StylePerincek, G., Önal, C., & Omar, T. (2022). Prognostic Value of Chest-Computed Tomography in Patients with COVID-19. Advances in Respiratory Medicine, 90(4), 312-322. https://doi.org/10.3390/arm90040041

