Colchicum pusillum Extract Induced Apoptosis in Colo-741 Metastatic Colon Cancer Cells via Extrinsic Pathway †
Abstract
:1. Introduction
2. Materials and Methods
2.1. Plant Material and Extraction
2.2. Cell Line and Cell Culture
2.3. Immunocytochemistry
2.4. Statistical Analysis
3. Results
3.1. Cell Morphology
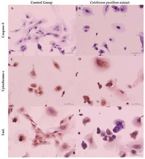
3.2. Immunocytochemical Evaluation
4. Discussion
References
- Viney, D.E. An Illustrated Flora of North Cyprus, Vol 1; Koeltz Scientific Books: Koenigstein, Germany, 1994; p. 697. [Google Scholar]
- Le, H.C. The pharmacology and therapeutic aspects of colchicine. Alkaloids 2000, 53, 288–352. [Google Scholar]
- Global Cancer Observatory (GCO). Cancer Today. 2018. Available online: https://gco.iarc.fr/today/online-analysis-multi-bars?mode=cancer&mode_population=continents&population=900&sex=0&cancer=29&type=0&statistic=0&prevalence=0&color_palette=default (accessed on 31 May 2018).
- National Cancer Institute (NIH). Colorectal Cancer—Health Professional Version. 2018. Available online: https://www.cancer.gov/types/colorectal/hp (accessed on 31 May 2018).
- Huerta, S.; Goulet, E.J.; Livingston, E.H. Colon cancer and apoptosis. Am. J. Surg. 2006, 191, 517–526. [Google Scholar] [CrossRef] [PubMed]
- Huang, Z.; Xu, Y.; Peng, W. Colchicine induces apoptosis in HT-29 human colon cancer cells via the AKT and c-Jun N-terminal kinase signaling pathways. Mol. Med. Rep. 2015, 12, 5939–5944. [Google Scholar] [CrossRef] [PubMed]
- Lin, Z.Y.; Wu, C.C.; Chuang, Y.H.; Chuang, W.L. Anti-cancer mechanisms of clinically acceptable colchicine concentrations on hepatocellular carcinoma. Life Sci. 2013, 93, 323–328. [Google Scholar] [CrossRef] [PubMed]
- Lin, Z.Y.; Kuo, C.H.; Wu, D.C.; Chuang, W.L. Anticancer effects of clinically acceptable colchicine concentrations on human gastric cancer cell lines. Kaohsiung J. Med. Sci. 2016, 32, 68–73. [Google Scholar] [CrossRef] [PubMed]

| Control Group | Colchicum pusillum Extract | |
|---|---|---|
| Caspase-3 | +/++ | ++/+++ |
| Cytochrome-c | +/++ | ++ |
| FasL | +/++ | ++/+++ |
| Caspase-3 | Cytochrome-c | FasL | |
|---|---|---|---|
| Control group | 236.37 ± 28.39 | 221 ± 6.42 | 217.6 ± 27.22 |
| Colchicum pusillumextract | 302.53 ± 37.37 a | 269.45 ± 49.22 | 288.56 ± 11.45 a |
Publisher’s Note: MDPI stays neutral with regard to jurisdictional claims in published maps and institutional affiliations. |
© 2018 by the authors. Licensee MDPI, Basel, Switzerland. This article is an open access article distributed under the terms and conditions of the Creative Commons Attribution (CC BY) license (https://creativecommons.org/licenses/by/4.0/).
Share and Cite
Becer, E.; Hanoğlu, D.Y.; Soykut, G.; Hanoğlu, A.; Vatansever, S.; Yavuz, D.Ö.; Meriçli, F.; Meriçli, A.H. Colchicum pusillum Extract Induced Apoptosis in Colo-741 Metastatic Colon Cancer Cells via Extrinsic Pathway. Proceedings 2018, 2, 1543. https://doi.org/10.3390/proceedings2251543
Becer E, Hanoğlu DY, Soykut G, Hanoğlu A, Vatansever S, Yavuz DÖ, Meriçli F, Meriçli AH. Colchicum pusillum Extract Induced Apoptosis in Colo-741 Metastatic Colon Cancer Cells via Extrinsic Pathway. Proceedings. 2018; 2(25):1543. https://doi.org/10.3390/proceedings2251543
Chicago/Turabian StyleBecer, Eda, Duygu Yiğit Hanoğlu, Günsu Soykut, Azmi Hanoğlu, Seda Vatansever, Dudu Özkum Yavuz, Filiz Meriçli, and Ali Hikmet Meriçli. 2018. "Colchicum pusillum Extract Induced Apoptosis in Colo-741 Metastatic Colon Cancer Cells via Extrinsic Pathway" Proceedings 2, no. 25: 1543. https://doi.org/10.3390/proceedings2251543
APA StyleBecer, E., Hanoğlu, D. Y., Soykut, G., Hanoğlu, A., Vatansever, S., Yavuz, D. Ö., Meriçli, F., & Meriçli, A. H. (2018). Colchicum pusillum Extract Induced Apoptosis in Colo-741 Metastatic Colon Cancer Cells via Extrinsic Pathway. Proceedings, 2(25), 1543. https://doi.org/10.3390/proceedings2251543

