Integrating Fractional-Order Hopfield Neural Network with Differentiated Encryption: Achieving High-Performance Privacy Protection for Medical Images
Abstract
1. Introduction
- By leveraging a novel 4D fractional-order HNN with remarkable chaotic performance, we propose a high-performance medical IE scheme named MIES-FHNN-DE. The proposed MIES-FHNN-DE approach addresses the shortcomings of existing schemes, offering enhanced privacy protection for medical images.
- MIES-FHNN-DE creatively combines a 4D fractional-order HNN with a 2D discrete hyperchaotic map to collaboratively generate chaotic sequences. While exploiting the 4D fractional-order HNN’s superior chaotic performance, this design effectively overcomes the efficiency issues that undermine existing schemes.
- MIES-FHNN-DE employs the secret key to generate chaotic sequences and only utilizes hash values to control keystream transformation. Most existing medical IE schemes directly use hash values for chaotic sequence generation, which leads to significant issues with key management and the reusability of sequences. Our design effectively addresses these issues.
- MIES-FHNN-DE presents a novel plaintext-dependent dynamic partitioning mechanism and applies efficient vector-level operations in the diffusion, scrambling, and substitution steps of the encryption process. This innovative design not only introduces plaintext-related dynamics but also achieves outstanding encryption efficiency that far surpasses existing schemes.
- Our in-depth evaluation and comparative study demonstrate that MIES-FHNN-DE offers a formidable combination of outstanding security and efficiency. Its ultra-high encryption rate far exceeds the latest IE schemes, making it a superior choice for diverse emerging medical applications.
2. Fractional-Order Calculus and 4D Fractional-Order HNN
2.1. Fractional-Order Calculus
- : The Caputo fractional derivative operator. The subscript a is the lower limit of integration, the superscript C denotes “Caputo”, and is the non-integer order of the derivative.
- : The function for which the fractional derivative is being calculated, with t as the independent variable.
- : A normalization constant. is the Euler gamma function, and n is an integer such that .
- : The definite integral with respect to from a to t, used to combine the contributions of the function and its derivatives over the interval.
- : The kernel of the integral, a power function of with exponent , determining the weighting of the contributions.
- : The n-th derivative of with respect to , where n is related to the order of the fractional derivative.
- : The differential of the integration variable .
2.2. Hopfield Neural Networks
2.3. The 4D Fractional-Order HNN
3. Proposed MIES-FHNN-DE
3.1. Fusion of Chaotic Sequences
- Step 1: Input the first five components of K into the 4D fractional-order HNN to generate a chaotic sequence of length . Note that represents the size of the medical images to be encrypted, and denotes the number of these images (or image channels).
- Step 2: Initialize a sequence of length where all elements are zero, and let .
- Step 3: Create a 2D matrix by executing matrix multiplication on the remaining elements of . Specifically, .
- Step 4: Reshape into a 1D vector and let .
- Step 5: Input the last four components () of K into 2D-ELMM to obtain a chaotic sequence of length .
- Step 6: Perform vector addition on and to finalize the fusion of the chaotic sequences produced by the 4D fractional-order HNN and 2D-ELMM: .
3.2. Creation of Two Pixel Bit Matrices
- Step 1: Reshape into a 4D pixel matrix of size . Note that , , represents the size of the medical images, and denotes the number of these images (or image channels). Let extract the H3B part of each pixel in .
- Step 2: Initialize a 3D pixel matrix of size with all elements set to zero. This matrix will be used to store the weighted accumulation results of the pixel H3B parts.
- Step 3: Conduct weighted accumulation over the fourth dimension of , indexed by i (), and let .
- Step 4: Let , and then reshape into the 2D H3B pixel matrix of size .
- Step 5: Reshape into a 4D pixel matrix of size , and let to extract the L5B part of each pixel in .
- Step 6: Initialize a 3D pixel matrix of size with all elements set to zero. This matrix will be used to store the weighted accumulation results of the pixel L5B parts.
- Step 7: Conduct weighted accumulation over the 4th dimension of , indexed by j (), and let .
- Step 8: Let , and then reshape into the 2D L5B pixel matrix of size .
3.3. Determination of Control Parameters
- Step 1: Perform a modular addition operation in vector form to integrate the hash value of and the hash value of into a hash value byte vector of length 32: .
- Step 2: Initialize a zero-valued variable , which will be employed to accumulate the results of subsequent operations.
- Step 3: Employ as the index to perform four rounds of successive multiplication and accumulation operations on the 32 byte elements of :
- Step 4: Perform modular addition operations on to produce three dynamic control parameters , , and that will be used in the subsequent encryption procedures. Specifically, , , and .
3.4. Generation of Keystreams
- Step 1: Perform a truncation operation on by redefining it as , thereby discarding the first elements.
- Step 2: Set . Here, , and the keystream will be used in the first round of vector-level scrambling operations for the H3B pixel matrix .
- Step 3: Set . The keystream will be used in the second round of vector-level scrambling operations for .
- Step 4: Set . The keystream will be used in the vector-level scrambling operations for the L5B pixel matrix .
- Step 5: Set and then reshape into a 2D form of size . Here, means rounding the operand down, and the keystream will be used in the diffusion and substitution operations for .
- Step 6: Set and then reshape into a 2D form of size . The keystream will be used in the diffusion and substitution operations for .
3.5. Dynamic Partitioned Alternating Diffusion
- Step 1: Initialize two zero-valued intermediate ciphertext matrices, and , of identical size to , and then determine the first two partitioning indices:
- Step 2: Perform an XOR-based diffusion operation on the first row of . Specifically, .
- Step 3: For each integer , perform a modular addition diffusion operation on the i-th row of . Specifically, .
- Step 4: For each integer , perform an XOR-based diffusion operation on the j-th row of . Specifically, .
- Step 5: For each integer , perform a modular addition diffusion operation on the k-th row of . Specifically, .
- Step 6: Determine the last two partitioning indices:
- Step 7: Perform an XOR-based diffusion operation on the first column of . Specifically, .
- Step 8: For each integer , perform a modular addition diffusion operation on the i-th column of . Specifically, .
- Step 9: For each integer , perform an XOR-based diffusion operation on the j-th column of . Specifically, .
- Step 10: For each integer , perform a modular addition diffusion on the k-th row of . Specifically, .
3.6. Dynamic Partitioned Vector-Level Scrambling
- Step 1: Initialize two zero-valued intermediate ciphertext matrices, and , of identical size to , and then determine the first two partitioning indices:
- Step 2: Sort the first elements of the keystream to obtain the scrambling index vector . Then, perform quick row scrambling on the first columns of with :
- Step 3: Sort the next elements of to obtain the scrambling index vector . Then, perform quick row scrambling on the columns to of with :
- Step 4: Sort the next elements of to obtain the scrambling index vector . Then, perform quick row scrambling on the columns to of with :
- Step 5: Determine the last two partitioning indices:
- Step 6: Sort the next elements of to obtain the scrambling index vector . Then, perform quick column scrambling on the first rows of with :
- Step 7: Sort the next elements of to obtain the scrambling index vector . Then, perform quick column scrambling on the rows to of with :
- Step 8: Sort the last elements of to obtain the scrambling index vector . Then, perform quick column scrambling on the rows to of with :
3.7. Dynamic Partitioned Dual-Operation Substitution
- Step 1: Initialize one zero-valued intermediate ciphertext matrix of identical size to , and then determine the two partitioning indices:
- Step 2: Apply modular addition substitution to the first columns of using the keystream . Namely, .
- Step 3: Perform XOR substitution on the columns to of with . Specifically, .
- Step 4: Apply modular addition substitution on the columns to of using . Namely, .
3.8. Complete Process of MIES-FHNN-DE
- Step 1: Input the nine components of the secret key K into the 4D fractional-order HNN and 2D-ELMM based on the size and quantity of the medical images requiring encryption. Generate the chaotic sequences and . Transform into and fuse it with to obtain the fused chaotic sequence . For more details, see Section 3.1.
- Step 2: Perform splitting and weighted accumulation operations on the 3D pixel matrix composed of the input images to obtain the 2D pixel matrices and . Here, corresponds to the H3B parts of all pixels, while corresponds to the L5B parts. For more details, see Section 3.2.
- Step 3: Generate three dynamic control parameters , , and using the hash values and of and . For more details, see Section 3.3.
- Step 4: Generate the keystreams , , , , and from for encrypting and by applying . For more details, see Section 3.4.
- Step 5: Perform the “Dynamic Partitioned Alternating Diffusion” on the H3B pixel matrix with and , resulting in the intermediate ciphertext matrix . For more details, see Section 3.5.
- Step 6: Apply the “Dynamic Partitioned Vector-level Scrambling” on using and to obtain the intermediate ciphertext matrix . For more details, see Section 3.6.
- Step 7: Execute the “Dynamic Partitioned Dual-operation Substitution” on with and to obtain the intermediate ciphertext matrix . For more details, see Section 3.7.
- Step 8: Perform the second round of alternating diffusion on with and to obtain the intermediate ciphertext matrix .
- Step 9: Apply the second round of vector-level scrambling on using and to obtain the intermediate ciphertext matrix .
- Step 10: Perform one round of alternating diffusion on the L5B pixel matrix with and to obtain the intermediate ciphertext matrix .
- Step 11: Apply one round of vector-level scrambling on using and to obtain the intermediate ciphertext matrix .
- Step 12: Execute one round of dual-operation substitution on with and to obtain the intermediate ciphertext matrix .
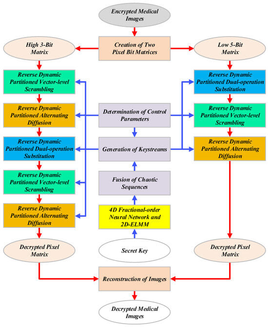
- Step 13: Transform and into the final encrypted medical images via “Reconstruction of Images” (the mirror inverse step of “Creation of Two Pixel Bit Matrices”).
4. Security and Efficiency Evaluations
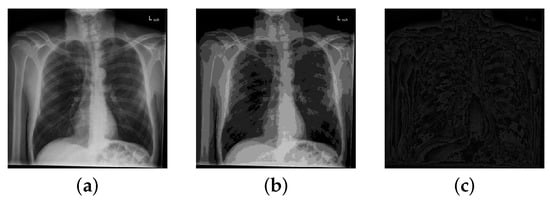
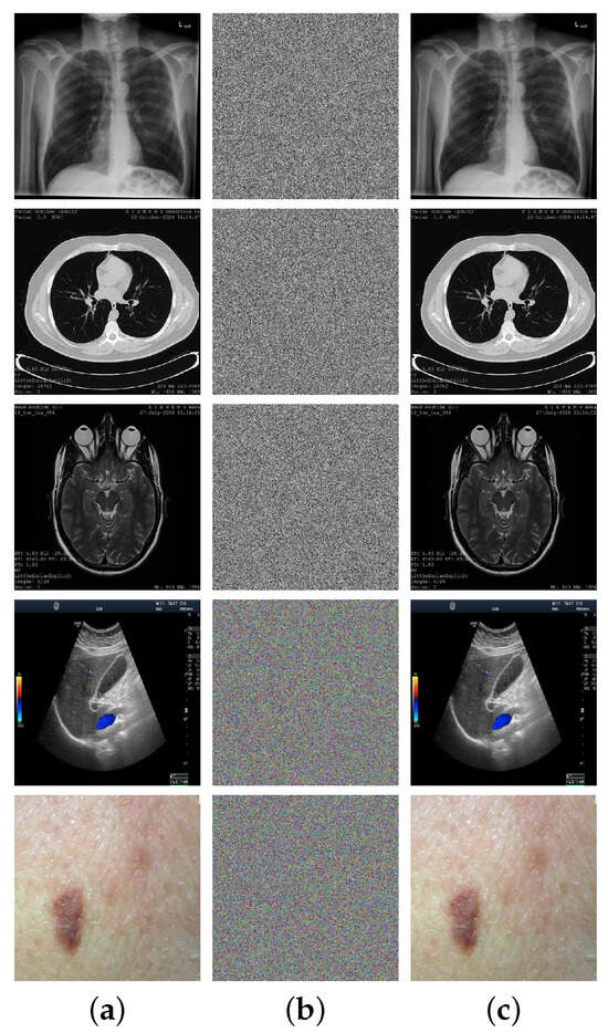
4.1. Visual Evaluation
4.2. Key Space
4.3. Key Sensitivity
4.4. Pixel Correlation
4.5. Entropy Analysis
4.6. Pixel Distribution
4.7. Differential Attacks
4.8. Robustness Evaluation
4.9. Efficiency Evaluation
4.10. Overall Comparison with Eight Latest Schemes
5. Conclusions
Author Contributions
Funding
Data Availability Statement
Conflicts of Interest
Abbreviations
| IE | Image encryption |
| HNN | Hopfield neural network |
| MIES-FHNN-DE | Medical IE scheme based on 4D fractional-order HNN and differentiated encryption |
| NPCR | Number of pixels change rate |
| UACI | Unified average changing intensity |
| ANN | Artificial neural networks |
| AI | Artificial intelligence |
| 2D-ELMM | Two-dimensional enhanced logistic modular map |
| H3B | High 3-bit |
| L5B | Low 5-bit |
| SAC | Strict avalanche criterion |
| CC | Correlation coefficient |
References
- Waseem; Ullah, A.; Awwad, F.A.; Ismail, E.A.A. Analysis of the corneal geometry of the human eye with an artificial neural network. Fractal Fract. 2023, 7, 764. [Google Scholar] [CrossRef]
- Wang, C.; Luo, D.; Deng, Q.; Yang, G. Dynamics analysis and FPGA implementation of discrete memristive cellular neural network with heterogeneous activation functions. Chaos Solitons Fractals 2024, 187, 115471. [Google Scholar] [CrossRef]
- Hu, Z.; Guo, Z.; Wang, G.; Wang, L.; Zhao, X.; Zhang, Y. The multiple frequency conversion sinusoidal chaotic neural network and its application. Fractal Fract. 2023, 7, 697. [Google Scholar] [CrossRef]
- Yu, F.; Su, D.; He, S.; Wu, Y.; Zhang, S.; Yin, H. Resonant tunneling diode cellular neural network with memristor coupling and its application in police forensic digital image protection. Chin. Phys. B 2025, 34, 050502. [Google Scholar] [CrossRef]
- Lin, H.; Wang, C.; Yu, F.; Sun, J.; Du, S.; Deng, Z.; Deng, Q. A review of chaotic systems based on memristive Hopfield neural networks. Mathematics 2023, 11, 1369. [Google Scholar] [CrossRef]
- Cao, B.; Nie, X.; Zheng, W.X.; Cao, J. Multistability of state-dependent switched fractional-order Hopfield neural networks with mexican-hat activation function and its application in associative memories. IEEE Trans. Neural Netw. Learn. Syst. 2025, 36, 1213–1227. [Google Scholar] [CrossRef] [PubMed]
- Ji, Y.; Wang, L.; Xie, D. Balance optimization method of energy shipping based on Hopfield neural network. Alex. Eng. J. 2023, 67, 171–181. [Google Scholar] [CrossRef]
- Wang, C.; Tang, D.; Lin, H.; Yu, F.; Sun, Y. High-dimensional memristive neural network and its application in commercial data encryption communication. Expert Syst. Appl. 2024, 242, 122513. [Google Scholar] [CrossRef]
- Lai, Q.; Chen, Y. Design and encryption application of multi-scroll chain-loop memristive neural networks with initial-boosting coexisting attractors. Chaos Solitons Fractals 2024, 187, 115473. [Google Scholar] [CrossRef]
- Yu, F.; He, S.; Yao, W.; Cai, S.; Xu, Q. Bursting firings in memristive Hopfield neural network with image encryption and hardware implementation. IEEE Trans. Comput.-Aided Des. Integr. Circuits Syst. 2025, 1. [Google Scholar] [CrossRef]
- Hong, Q.; Fu, H.; Liu, Y.; Zhang, J. In-Memory Computing Circuit Implementation of Complex-Valued Hopfield Neural Network for Efficient Portrait Restoration. IEEE Trans. Comput.-Aided Des. Integr. Circuits Syst. 2023, 42, 3338–3351. [Google Scholar] [CrossRef]
- Yu, F.; Kong, X.; Yao, W.; Zhang, J.; Cai, S.; Lin, H.; Jin, J. Dynamics analysis, synchronization and FPGA implementation of multiscroll Hopfield neural networks with non-polynomial memristor. Chaos Solitons Fractals 2024, 179, 114440. [Google Scholar] [CrossRef]
- Li, J.; Wang, C.; Deng, Q. Symmetric multi-double-scroll attractors in Hopfield neural network under pulse controlled memristor. Nonlinear Dyn. 2024, 112, 14463–14477. [Google Scholar] [CrossRef]
- Leng, X.; Wang, X.; Zeng, Z. Memristive Hopfield neural network with multiple controllable nonlinear offset behaviors and its medical encryption application. Chaos Solitons Fractals 2024, 183, 114944. [Google Scholar] [CrossRef]
- Ding, D.; Jin, F.; Zhang, H.; Yang, Z.; Chen, S.; Zhu, H.; Xu, X.; Liu, X. Fractional-order heterogeneous neuron network based on coupled locally-active memristors and its application in image encryption and hiding. Chaos Solitons Fractals 2024, 187, 115397. [Google Scholar] [CrossRef]
- Yu, F.; Zhang, S.; Su, D.; Wu, Y.; Gracia, Y.M.; Yin, H. Dynamic analysis and implementation of FPGA for a new 4D fractional-order memristive Hopfield neural network. Fractal Fract. 2025, 9, 115. [Google Scholar] [CrossRef]
- Zhang, Z.; Tang, J.; Zhang, F.; Huang, T.; Lu, M. Medical image encryption based on Josephus scrambling and dynamic cross-diffusion for patient privacy security. IEEE Trans. Circuits Syst. Video Technol. 2024, 34, 9250–9263. [Google Scholar] [CrossRef]
- Lai, Q.; Hu, G.; Erkan, U.; Toktas, A. High-efficiency medical image encryption method based on 2D Logistic-Gaussian hyperchaotic map. Appl. Math. Comput. 2023, 442, 127738. [Google Scholar] [CrossRef]
- Sun, J.; Li, C.; Wang, Z.; Wang, Y. A memristive fully connect neural network and application of medical image encryption based on central diffusion algorithm. IEEE Trans. Ind. Inform. 2024, 20, 3778–3788. [Google Scholar] [CrossRef]
- Singh, K.N.; Singh, O.P.; Singh, A.K.; Agrawal, A.K. EiMOL: A secure medical image encryption algorithm based on optimization and the Lorenz system. ACM Trans. Multimed. Comput. Commun. Appl. 2023, 19, 1–19. [Google Scholar] [CrossRef]
- Man, Z.; Gao, C.; Dai, Y.; Meng, X. Dynamic rotation medical image encryption scheme based on improved Lorenz chaos. Nonlinear Dyn. 2024, 112, 13571–13597. [Google Scholar] [CrossRef]
- Lai, Q.; Ji, L. A bidirectional cross-scrambling medical image encryption scheme incorporates compressed sensing and its application in IoMT. IEEE Trans. Circuits Syst. Video Technol. 2025, 1. [Google Scholar] [CrossRef]
- Mansouri, A.; Sun, P.; Lv, C.; Zhu, Y.; Zhao, X.; Ge, H.; Sun, C. A secure medical image encryption algorithm for IoMT using a Quadratic-Sine chaotic map and pseudo-parallel confusion-diffusion mechanism. Expert Syst. Appl. 2025, 270, 126521. [Google Scholar] [CrossRef]
- Lai, Q.; Hua, H. Secure medical image encryption scheme for Healthcare IoT using novel hyperchaotic map and DNA cubes. Expert Syst. Appl. 2025, 264, 125854. [Google Scholar] [CrossRef]
- Jiang, D.; Tsafack, N.; Boulila, W.; Ahmad, J.; Barba-Franco, J. ASB-CS: Adaptive sparse basis compressive sensing model and its application to medical image encryption. Expert Syst. Appl. 2024, 236, 121378. [Google Scholar] [CrossRef]
- Chen, Y.; Tang, C.; Ye, R. Cryptanalysis and improvement of medical image encryption using high-speed scrambling and pixel adaptive diffusion. Signal Process. 2020, 167, 107286. [Google Scholar] [CrossRef]
- Feng, W.; He, Y.; Li, H.; Li, C. Cryptanalysis and improvement of the image encryption scheme based on 2D logistic-adjusted-sine map. IEEE Access 2019, 7, 12584–12597. [Google Scholar] [CrossRef]
- Feng, W.; Qin, Z.; Zhang, J.; Ahmad, M. Cryptanalysis and improvement of the image encryption scheme based on Feistel network and dynamic DNA encoding. IEEE Access 2021, 9, 145459–145470. [Google Scholar] [CrossRef]
- Li, C.; Shen, X.; Liu, S. Cryptanalyzing an image encryption algorithm underpinned by 2-D Lag-complex Logistic map. IEEE Multimed. 2024, 31, 99–109. [Google Scholar] [CrossRef]
- He, S.; Yang, H.; Li, C.; Shen, X. Cryptanalyzing an image encryption scheme using synchronization of memristor chaotic systems. Int. J. Bifurc. Chaos 2024, 34, 2450138. [Google Scholar] [CrossRef]
- You, K.; Chen, P.; Li, C. Cryptanalyzing an image encryption algorithm underpinned by a 3-D boolean convolution neural network. IEEE MultiMedia 2024, 31, 17–24. [Google Scholar] [CrossRef]
- Ma, T.; Mou, J.; Li, B.; Banerjee, S.; Yan, H. Study on the Complex Dynamical Behavior of the Fractional-Order Hopfield Neural Network System and Its Implementation. Fractal Fract. 2022, 6, 637. [Google Scholar] [CrossRef]
- Zhang, S.; Li, Y.; Lu, D.; Li, C. A novel memristive synapse-coupled ring neural network with countless attractors and its application. Chaos Solitons Fractals 2024, 184, 115056. [Google Scholar] [CrossRef]
- Zhang, X.; Li, C.; Tang, Q.; Yi, C.; Yang, Y. Constructing memristive Hindmarsh-Rose neuron with countless coexisting firings. Int. J. Bifurc. Chaos 2024, 34, 2450113. [Google Scholar] [CrossRef]
- Li, H.; Yu, S.; Feng, W.; Chen, Y.; Zhang, J.; Qin, Z.; Zhu, Z.; Wozniak, M. Exploiting dynamic vector-level operations and a 2D-enhanced logistic modular map for efficient chaotic image encryption. Entropy 2023, 25, 1147. [Google Scholar] [CrossRef] [PubMed]
- Liu, L.; Wang, J. A cluster of 1D quadratic chaotic map and its applications in image encryption. Math. Comput. Simul. 2023, 204, 89–114. [Google Scholar] [CrossRef]
- Zhang, B.; Liu, L. Chaos-based image encryption: Review, application, and challenges. Mathematics 2023, 11, 2585. [Google Scholar] [CrossRef]
- Moya-Albor, E.; Romero-Arellano, A.; Brieva, J.; Gomez-Coronel, S.L. Color image encryption algorithm based on a chaotic model using the modular discrete derivative and Langton’s Ant. Mathematics 2023, 11, 2396. [Google Scholar] [CrossRef]
- Chen, Y.; Huang, H.; Tang, C.; Wei, W. A novel adaptive image privacy protection method based on Latin square. Nonlinear Dyn. 2024, 112, 10485–10508. [Google Scholar] [CrossRef]
- Li, Y.; Li, C.; Li, Y.; Moroz, I.; Yang, Y. A joint image encryption based on a memristive Rulkov neuron with controllable multistability and compressive sensing. Chaos Solitons Fractals 2024, 182, 114800. [Google Scholar] [CrossRef]
- Kocak, O.; Erkan, U.; Toktas, A.; Gao, S. PSO-based image encryption scheme using modular integrated logistic exponential map. Expert Syst. Appl. 2024, 237, 121452. [Google Scholar] [CrossRef]
- Toktas, F.; Erkan, U.; Yetgin, Z. Cross-channel color image encryption through 2D hyperchaotic hybrid map of optimization test functions. Expert Syst. Appl. 2024, 249, 123583. [Google Scholar] [CrossRef]
- Erkan, U.; Toktas, A.; Memiş, S.; Lai, Q.; Hu, G. An image encryption method based on multi-space confusion using hyperchaotic 2D Vincent map derived from optimization benchmark function. Nonlinear Dyn. 2023, 111, 20377–20405. [Google Scholar] [CrossRef]
- Feng, W.; Wang, Q.; Liu, H.; Ren, Y.; Zhang, J.; Zhang, S.; Qian, K.; Wen, H. Exploiting Newly Designed Fractional-Order 3D Lorenz Chaotic System and 2D Discrete Polynomial Hyper-Chaotic Map for High-Performance Multi-Image Encryption. Fractal Fract. 2023, 7, 887. [Google Scholar] [CrossRef]
- Mahalingam, H.; Veeramalai, T.; Menon, A.R.; S., S.; Amirtharajan, R. Dual-domain image encryption in unsecure medium—A secure communication perspective. Mathematics 2023, 11, 457. [Google Scholar] [CrossRef]
- Zefreh, E.Z. An image encryption scheme based on a hybrid model of DNA computing, chaotic systems and hash functions. Multimed. Tools Appl. 2020, 79, 24993–25022. [Google Scholar] [CrossRef]
- Li, H.; Li, T.; Feng, W.; Zhang, J.; Zhang, J.; Gan, L.; Li, C. A novel image encryption scheme based on non-adjacent parallelable permutation and dynamic DNA-level two-way diffusion. J. Inf. Secur. Appl. 2021, 61, 102844. [Google Scholar] [CrossRef]
- Hua, Z.; Zhu, Z.; Yi, S.; Zhang, Z.; Huang, H. Cross-plane colour image encryption using a two-dimensional logistic tent modular map. Inf. Sci. 2021, 546, 1063–1083. [Google Scholar] [CrossRef]
- Feng, W.; Zhao, X.; Zhang, J.; Qin, Z.; Zhang, J.; He, Y. Image encryption algorithm based on plane-level image filtering and discrete logarithmic transform. Mathematics 2022, 10, 2751. [Google Scholar] [CrossRef]
- Yang, J.; Liu, X. Enhancing secure storage and sharing of multi-image in cloud environments using a novel chaotic map. Expert Syst. Appl. 2025, 264, 125897. [Google Scholar] [CrossRef]












| Medical Image | Plaintext (Horiz., Vert., Diag.) | Ciphertext (Horiz., Vert., Diag.) | ||||
|---|---|---|---|---|---|---|
| Xray hand | 0.9926 | 0.9936 | 0.9860 | 0.0015 | 0.0016 | 0.0011 |
| X-ray chest | 0.9891 | 0.9927 | 0.9833 | 0.0010 | 0.0006 | 0.0017 |
| CT chest | 0.9426 | 0.9643 | 0.9200 | 0.0001 | 0.0006 | 0.0006 |
| MRI head | 0.9303 | 0.9126 | 0.8656 | 0.0012 | 0.0015 | 0.0003 |
| US abdomen (R) | 0.9621 | 0.9310 | 0.9179 | 0.0014 | 0.0006 | 0.0015 |
| US abdomen (G) | 0.9587 | 0.9250 | 0.9235 | 0.0009 | 0.0013 | 0.0002 |
| US abdomen (B) | 0.9668 | 0.9439 | 0.9237 | 0.0010 | 0.0004 | 0.0002 |
| Skin scar (R) | 0.9842 | 0.9825 | 0.9682 | 0.0012 | 0.0010 | 0.0019 |
| Skin scar (G) | 0.9869 | 0.9853 | 0.9740 | 0.0020 | 0.0018 | 0.0008 |
| Skin scar (B) | 0.9867 | 0.9836 | 0.9694 | 0.0014 | 0.0006 | 0.0009 |
| Medical Image | Plaintext | Ciphertext |
|---|---|---|
| X-ray hand | 6.3627 | 7.9994 |
| X-ray chest | 7.4003 | 7.9993 |
| CT chest | 6.4875 | 7.9994 |
| MRI head | 5.0947 | 7.9993 |
| US abdomen (R) | 4.5534 | 7.9994 |
| US abdomen (G) | 4.5405 | 7.9993 |
| US abdomen (B) | 4.5860 | 7.9994 |
| Skin scar (R) | 6.4920 | 7.9993 |
| Skin scar (G) | 6.6131 | 7.9994 |
| Skin scar (B) | 6.7231 | 7.9994 |
| Medical Image | NPCR | UACI |
|---|---|---|
| X-ray hand | 99.6105% | 33.4366% |
| X-ray chest | 99.6052% | 33.4871% |
| CT chest | 99.6147% | 33.4329% |
| MRI head | 99.6118% | 33.4277% |
| US abdomen (R) | 99.6116% | 33.4594% |
| US abdomen (G) | 99.6096% | 33.5037% |
| US abdomen (B) | 99.6059% | 33.4819% |
| Skin scar (R) | 99.6091% | 33.4857% |
| Skin scar (G) | 99.6048% | 33.4591% |
| Skin scar (B) | 99.6127% | 33.4638% |
| Average | 99.6096% | 33.4638% |
| Optimal value | 99.6094% | 33.4635% |
| Scheme | Input Scale | ||||
|---|---|---|---|---|---|
| Ours | 0.0046 | 0.0144 | 0.0196 | 0.0591 | 0.0830 |
| [46] | 0.1524 | 0.4497 | 0.6313 | 1.8927 | 2.5712 |
| [47] | 0.0768 | 0.2197 | 0.3213 | 0.9417 | 1.3806 |
| [48] | 0.0407 | 0.1248 | 0.1893 | 0.5649 | 0.8892 |
| [49] | 0.0324 | 0.0975 | 0.1638 | 0.4987 | 0.9118 |
| [35] | 0.0203 | 0.0629 | 0.0878 | 0.2766 | 0.3755 |
| Scheme | Year | Protection Target | Key Space | NPCR/UACI (%) | Entropy (bits) | Throughput (Mbps) |
|---|---|---|---|---|---|---|
| [47] | 2021 | Ordinary Image | 99.6088/33.4564 | 7.9993 | 6.3457 | |
| [48] | 2021 | Ordinary Image | 99.6101/33.4668 | 7.9993 | 10.8975 | |
| [49] | 2022 | Ordinary Image | 99.6101/33.4992 | 7.9993 | 12.7664 | |
| [35] | 2023 | Ordinary Image | 99.6072/33.4572 | 7.9993 | 22.8508 | |
| [50] | 2024 | Ordinary Image | 99.6120/33.4880 | 7.9993 | 3.2664 | |
| [24] | 2024 | Medical Image | 99.6079/33.4534 | 7.9991 | 0.52323 | |
| [22] | 2025 | Medical Image | 99.6588/33.4882 | 7.9022 | 8.6038 | |
| [23] | 2025 | Medical Image | 99.6476/33.5953 | 7.9994 | 25.1848 | |
| Ours | 2025 | Medical Image | 99.6096/33.4638 | 7.9994 | 102.5623 |
Disclaimer/Publisher’s Note: The statements, opinions and data contained in all publications are solely those of the individual author(s) and contributor(s) and not of MDPI and/or the editor(s). MDPI and/or the editor(s) disclaim responsibility for any injury to people or property resulting from any ideas, methods, instructions or products referred to in the content. |
© 2025 by the authors. Licensee MDPI, Basel, Switzerland. This article is an open access article distributed under the terms and conditions of the Creative Commons Attribution (CC BY) license (https://creativecommons.org/licenses/by/4.0/).
Share and Cite
Feng, W.; Zhang, K.; Zhang, J.; Zhao, X.; Chen, Y.; Cai, B.; Zhu, Z.; Wen, H.; Ye, C. Integrating Fractional-Order Hopfield Neural Network with Differentiated Encryption: Achieving High-Performance Privacy Protection for Medical Images. Fractal Fract. 2025, 9, 426. https://doi.org/10.3390/fractalfract9070426
Feng W, Zhang K, Zhang J, Zhao X, Chen Y, Cai B, Zhu Z, Wen H, Ye C. Integrating Fractional-Order Hopfield Neural Network with Differentiated Encryption: Achieving High-Performance Privacy Protection for Medical Images. Fractal and Fractional. 2025; 9(7):426. https://doi.org/10.3390/fractalfract9070426
Chicago/Turabian StyleFeng, Wei, Keyuan Zhang, Jing Zhang, Xiangyu Zhao, Yao Chen, Bo Cai, Zhengguo Zhu, Heping Wen, and Conghuan Ye. 2025. "Integrating Fractional-Order Hopfield Neural Network with Differentiated Encryption: Achieving High-Performance Privacy Protection for Medical Images" Fractal and Fractional 9, no. 7: 426. https://doi.org/10.3390/fractalfract9070426
APA StyleFeng, W., Zhang, K., Zhang, J., Zhao, X., Chen, Y., Cai, B., Zhu, Z., Wen, H., & Ye, C. (2025). Integrating Fractional-Order Hopfield Neural Network with Differentiated Encryption: Achieving High-Performance Privacy Protection for Medical Images. Fractal and Fractional, 9(7), 426. https://doi.org/10.3390/fractalfract9070426

