Investigating the Diagnostic and Therapeutic Potential of a T Cell Receptor (TCR)-like single Domain Antibody (sDAb)-Human IgG1 Antibody against Heat Shock Protein (HSP) 16KDa/HLA-A2 for Latent Tuberculosis
Abstract
1. Introduction
2. Materials and Methods
2.1. Cell Lines
2.2. HSP 16-kDa Peptide and Photolabile Peptide
2.3. Plasmid Construction and Antibody Production
2.4. SDS-PAGE and Western blot Analysis of Generated Antibody
2.5. Generation of HSP 16 kDa Peptide–MHC Complex via Ultraviolet (UV)-Induced Peptide Exchange
2.6. ELISA Analysis of 16-kDa Antigen Target Peptide–MHC Complexes
2.7. ELISA Analysis of TCR-like Antibody (A2-IgG1) Binding to 16-kDa Antigen Target Peptide–MHC Complexes
2.8. Human Peripheral Blood Mononuclear Cells (PBMCs) Isolation and Handling
2.9. Peptide Pulsing of MCF-7 Cells with 16-kDa HSP Peptides
2.10. Cell-Based ELISA
2.11. ADCC Assay
2.12. Statistical Analyses
3. Results
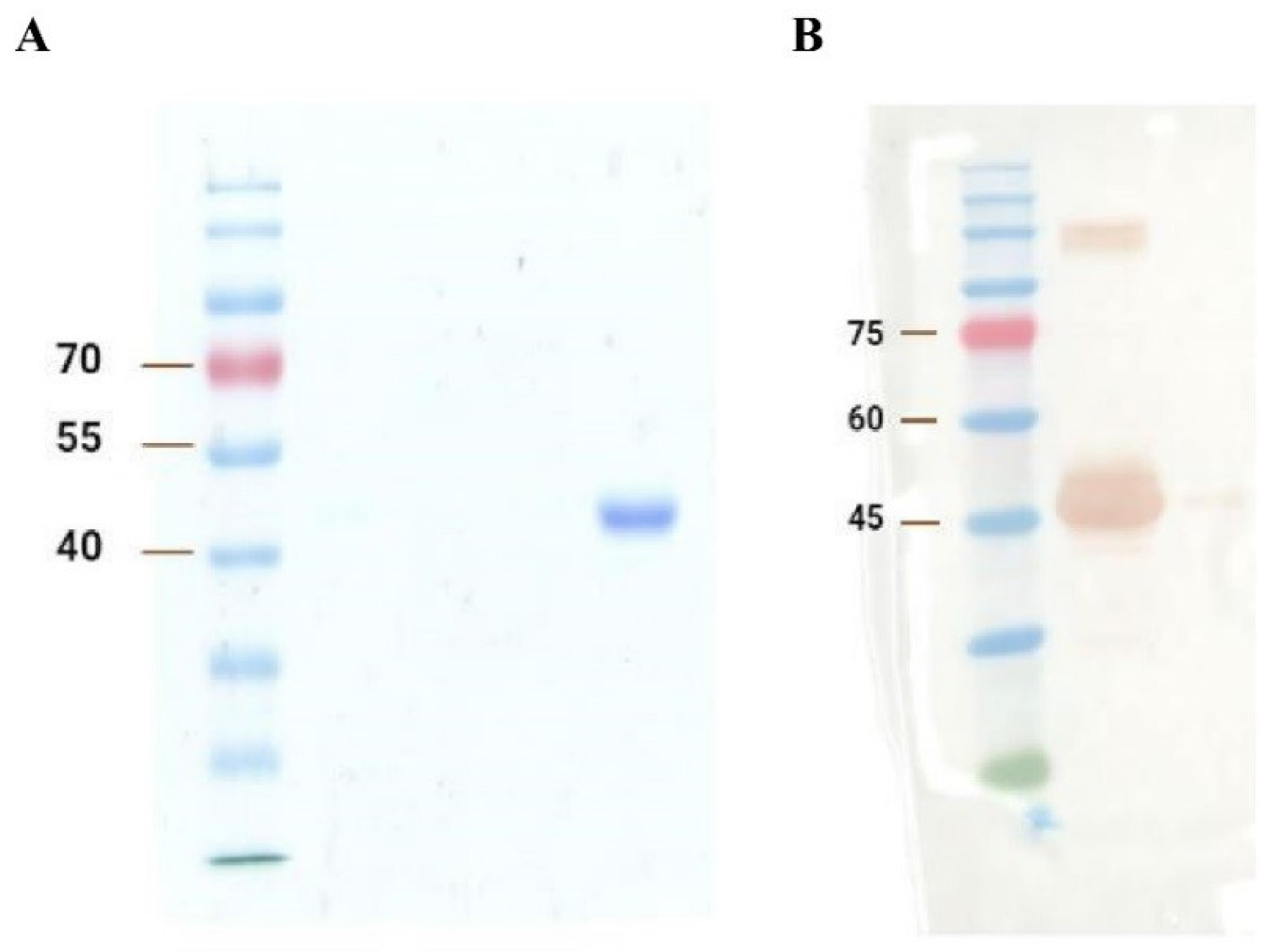
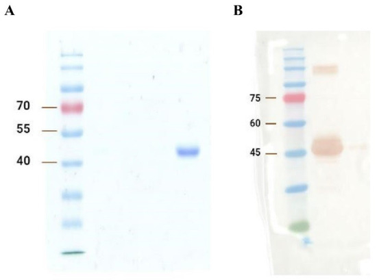
3.1. Expression and Purification of TCR-like Single-Domain Antibodies
3.2. Detection of 16-kDa Antigen Target Peptide–MHC Complexes Formation using ELISA
3.3. TCR-like sDAb (A2-IgG1) Binding to 16-kDa Antigen Target Peptide–MHC Complexes
3.4. Detection of HSP 16-kDa Peptide Presentation in Cell Lines
3.5. Antibody-Dependent Cellular Cytotoxicity(ADCC) of MCF-7 Cells Expressing the HLA-A2 Gene Mediated by a TCR-like sDAb (A2-IgG1)
4. Discussion
5. Conclusions
Author Contributions
Funding
Institutional Review Board Statement
Informed Consent Statement
Data Availability Statement
Conflicts of Interest
References
- Zhang, Y.; Li, S.; Liu, Q.; Long, R.; Luo, J. Mycobacterium tuberculosis Heat-Shock Protein 16.3 Induces Macrophage M2 Polarization Through CCRL2/CX3CR1. Inflammation 2020, 43, 487–506. [Google Scholar] [CrossRef] [PubMed]
- Bagcchi, S. WHO’s Global Tuberculosis Report 2022. Lancet Microbe 2023, 4, e20. [Google Scholar] [CrossRef]
- Cardona, P.J. Pathogenesis of tuberculosis and other mycobacteriosis. Enferm. Infecc. Microbiol. Clin. Engl. Ed. 2018, 36, 38–46. [Google Scholar] [CrossRef]
- Getahun, H.; Matteelli, A.; Chaisson, R.E.; Raviglione, M. Latent Mycobacterium tuberculosis infection. N. Engl. J. Med. 2015, 372, 2127–2135. [Google Scholar] [CrossRef] [PubMed]
- Ying, C.; He, C.; Xu, K.; Li, Y.; Zhang, Y.; Wu, W. Progress on diagnosis and treatment of latent tuberculosis infection. J. Zhejiang Univ. Med. Sci. 2023, 51, 691–696. [Google Scholar] [CrossRef]
- Pahal, P.; Sharma, S. PPD skin test. In StatPearls; StatPearls Publishing: Treasure Island, FL, USA, 2022. [Google Scholar]
- Charifa, A.; Mangat, R.; Oakley, A. Cutaneous tuberculosis. In StatPearls; StatPearls Publishing: Treasure Island, FL, USA, 2023. [Google Scholar]
- Tebruegge, M.; Dutta, B.; Donath, S.; Ritz, N.; Forbes, B.; Camacho-Badilla, K.; Clifford, V.; Zufferey, C.; Robins-Browne, R.; Hanekom, W. Mycobacteria-specific cytokine responses detect tuberculosis infection and distinguish latent from active tuberculosis. Am. J. Respir. Crit. Care Med. 2015, 192, 485–499. [Google Scholar] [CrossRef] [PubMed]
- Jereb, J.A.; Goldberg, S.V.; Powell, K.; Villarino, M.E.; Lobue, P. Recommendations for use of an isoniazid-rifapentine regimen with direct observation to treat latent Mycobacterium tuberculosis infection. Morb. Mortal. Wkly. Rep. 2011, 60, 1650–1653. [Google Scholar]
- Jinbo, J.; Lustik, M.; West, G.F.; Kloetzel, M. Use of Rifapentine and Isoniazid directly observed therapy for the treatment of latent tuberculosis infection in a military clinic. Mil. Med. 2017, 182, e2024–e2029. [Google Scholar] [CrossRef][Green Version]
- Singh, M.K.; Shin, Y.; Ju, S.; Han, S.; Choe, W.; Yoon, K.-S.; Kim, S.S.; Kang, I. Heat shock response and heat shock proteins: Current understanding and future opportunities in human diseases. Int. J. Mol. Sci. 2024, 25, 4209. [Google Scholar] [CrossRef]
- Dutta, N.K.; Karakousis, P.C. Latent tuberculosis infection: Myths, models, and molecular mechanisms. Microbiol. Mol. Biol. Rev. MMBR 2014, 78, 343–371. [Google Scholar] [CrossRef]
- Dass, S.A.; Norazmi, M.N.; Dominguez, A.A.; San Miguel, M.E.S.G.; Tye, G.J. Generation of a T cell receptor (TCR)-like single domain antibody (sDAb) against a Mycobacterium Tuberculosis (Mtb) heat shock protein (HSP) 16 kDa antigen presented by Human Leukocyte Antigen (HLA)-A* 02. Mol. Immunol. 2018, 101, 189–196. [Google Scholar] [CrossRef] [PubMed]
- Deng, R.; Li, J.; Boswell, C.A.; Joshi, A.; Li, C. Monoclonal Antibodies: From Structure to Therapeutic Application. In Pharmaceutical Biotechnology: Fundamentals and Applications; Springer: Cham, Switzerland, 2024; pp. 165–207. [Google Scholar]
- Liu, R.; Oldham, R.J.; Teal, E.; Beers, S.A.; Cragg, M.S. Fc-engineering for modulated effector functions—Improving antibodies for cancer treatment. Antibodies 2020, 9, 64. [Google Scholar] [CrossRef] [PubMed]
- Vidarsson, G.; Dekkers, G.; Rispens, T. IgG subclasses and allotypes: From structure to effector functions. Front. Immunol. 2014, 5, 520. [Google Scholar] [CrossRef] [PubMed]
- Rodenko, B.; Toebes, M.; Hadrup, S.R.; van Esch, W.J.; Molenaar, A.M.; Schumacher, T.N.; Ovaa, H. Generation of peptide-MHC class I complexes through UV-mediated ligand exchange. Nat. Protoc. 2006, 1, 1120–1132. [Google Scholar] [CrossRef] [PubMed]
- Asensio, L.; González, I.; García, T.; Martín, R. Determination of food authenticity by enzyme-linked immunosorbent assay (ELISA). Food Control 2008, 19, 1–8. [Google Scholar] [CrossRef]
- Lapp, T.; Reinhold, D.; Böhringer, D.; Reinhard, T. Human leukocyte antigen (HLA) system in ophthalmology. Der Ophthalmol. Z. Der Dtsch. Ophthalmol. Ges. 2013, 110, 849–861. [Google Scholar] [CrossRef]
- Lichtor, T.; Glick, R.P.; O-Sullivan, I.; Cohen, E.P. Antigenic Differences Between Normal and Malignant Cells as a Basis for Treatment of Intracerebral Neoplasms Using a DNA-Based Vaccine. Curr. Genom. 2006, 7, 253–261. [Google Scholar] [CrossRef][Green Version]
- Muhammed, Y. The best IgG subclass for the development of therapeutic monoclonal antibody drugs and their commercial production: A review. Immunome Res. 2020, 16, 1–12. [Google Scholar]
- Yoshihara, N. ELISA for diagnosis of infections by viruses. Nihon Rinsho Jpn. J. Clin. Med. 1995, 53, 2277–2282. [Google Scholar]
- Seventer, J.M.V.; Hochberg, N.S. Principles of Infectious Diseases: Transmission, Diagnosis, Prevention, and Control. In International Encyclopedia of Public Health, 2nd ed.; Academic Press: Cambridge, MA, USA, 2017; pp. 22–39. [Google Scholar]
- Woolley, C.F.; Hayes, M.A.; Mahanti, P.; Douglass Gilman, S.; Taylor, T. Theoretical limitations of quantification for noncompetitive sandwich immunoassays. Anal. Bioanal. Chem. 2015, 407, 8605–8615. [Google Scholar] [CrossRef]
- Narvekar, A.; Pardeshi, A.; Jain, R.; Dandekar, P. ADCC enhancement: A conundrum or a boon to mAb therapy? Biologicals 2022, 79, 10–18. [Google Scholar] [CrossRef] [PubMed]
- Verhoeckx, K.; Cotter, P.; Lopez-Exposito, I.; Lea, T.; Wichers, H.J. The Impact of Food Bioactives on Health: In Vitro and Ex Vivo Models; Springer International Publishing: Berlin/Heidelberg, Germany, 2015. [Google Scholar]
- Davies, M.L.; Dambaeva, S.V.; Katukurundage, D.; Repak, M.; Gilman-Sachs, A.; Kwak-Kim, J.; Beaman, K.D. Predicting NK cell subsets using gene expression levels in peripheral blood and endometrial biopsy specimens. Am. J. Reprod. Immunol. 2017, 78, e12730. [Google Scholar] [CrossRef] [PubMed]
- Sitali, M.C.; Schmidt, V.; Mwenda, R.; Sikasunge, C.S.; Mwape, K.E.; Simuunza, M.C.; da Costa, C.P.; Winkler, A.S.; Phiri, I.K. Experimental animal models and their use in understanding cysticercosis: A systematic review. PLoS ONE 2022, 17, e0271232. [Google Scholar] [CrossRef] [PubMed]
- Saha, A.; Chatterjee, S.K.; Foon, K.A.; Celis, E.; Bhattacharya-Chatterjee, M. Therapy of established tumors in a novel murine model transgenic for human carcinoembryonic antigen and HLA-A2 with a combination of anti-idiotype vaccine and CTL peptides of carcinoembryonic antigen. Cancer Res. 2007, 67, 2881–2892. [Google Scholar] [CrossRef]
- Litjens, C.H.C.; Aarnoutse, R.E.; Te Brake, L.H.M. Preclinical models to optimize treatment of tuberculous meningitis—A systematic review. Tuberculosis 2020, 122, 101924. [Google Scholar] [CrossRef]




Disclaimer/Publisher’s Note: The statements, opinions and data contained in all publications are solely those of the individual author(s) and contributor(s) and not of MDPI and/or the editor(s). MDPI and/or the editor(s) disclaim responsibility for any injury to people or property resulting from any ideas, methods, instructions or products referred to in the content. |
© 2024 by the authors. Licensee MDPI, Basel, Switzerland. This article is an open access article distributed under the terms and conditions of the Creative Commons Attribution (CC BY) license (https://creativecommons.org/licenses/by/4.0/).
Share and Cite
Liu, H.; Dass, S.A.; Wong, M.T.J.; Balakrishnan, V.; Nordin, F.; Tye, G.J. Investigating the Diagnostic and Therapeutic Potential of a T Cell Receptor (TCR)-like single Domain Antibody (sDAb)-Human IgG1 Antibody against Heat Shock Protein (HSP) 16KDa/HLA-A2 for Latent Tuberculosis. Trop. Med. Infect. Dis. 2024, 9, 139. https://doi.org/10.3390/tropicalmed9070139
Liu H, Dass SA, Wong MTJ, Balakrishnan V, Nordin F, Tye GJ. Investigating the Diagnostic and Therapeutic Potential of a T Cell Receptor (TCR)-like single Domain Antibody (sDAb)-Human IgG1 Antibody against Heat Shock Protein (HSP) 16KDa/HLA-A2 for Latent Tuberculosis. Tropical Medicine and Infectious Disease. 2024; 9(7):139. https://doi.org/10.3390/tropicalmed9070139
Chicago/Turabian StyleLiu, Huaqiang, Sylvia Annabel Dass, Matthew Tze Jian Wong, Venugopal Balakrishnan, Fazlina Nordin, and Gee Jun Tye. 2024. "Investigating the Diagnostic and Therapeutic Potential of a T Cell Receptor (TCR)-like single Domain Antibody (sDAb)-Human IgG1 Antibody against Heat Shock Protein (HSP) 16KDa/HLA-A2 for Latent Tuberculosis" Tropical Medicine and Infectious Disease 9, no. 7: 139. https://doi.org/10.3390/tropicalmed9070139
APA StyleLiu, H., Dass, S. A., Wong, M. T. J., Balakrishnan, V., Nordin, F., & Tye, G. J. (2024). Investigating the Diagnostic and Therapeutic Potential of a T Cell Receptor (TCR)-like single Domain Antibody (sDAb)-Human IgG1 Antibody against Heat Shock Protein (HSP) 16KDa/HLA-A2 for Latent Tuberculosis. Tropical Medicine and Infectious Disease, 9(7), 139. https://doi.org/10.3390/tropicalmed9070139

