In Vitro Drug Susceptibility of a Leishmania (Leishmania) infantum Isolate from a Visceral Leishmaniasis Pediatric Patient after Multiple Relapses
Abstract
1. Introduction
2. Materials and Methods
2.1. Patient Description and Ethics Statement
2.2. Isolation of the L. (L.) infantum ME Isolate, Parasite Cultivation and Animals
2.3. In Vitro Drug Susceptibility of Promastigotes and Intracellular Amastigotes
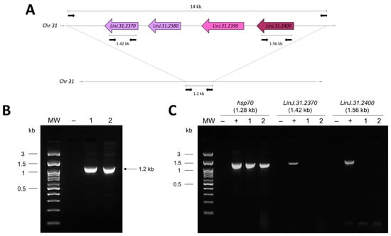
2.4. PCR for the Presence/Absence of Miltefosine Sensitive Locus (MSL)
3. Results and Discussion
Author Contributions
Funding
Institutional Review Board Statement
Informed Consent Statement
Data Availability Statement
Acknowledgments
Conflicts of Interest
Abbreviations
References
- Burza, S.; Croft, S.L.; Boelaert, M. Leishmaniasis. Lancet 2018, 392, 951–970. [Google Scholar] [CrossRef] [PubMed]
- Pan American Health Organization. Leishmaniasis: Epidemiological Report of the Americas [Internet]; PAHO: Washington, DC, USA, 2021; Available online: https://iris.paho.org/handle/10665.2/51742 (accessed on 27 May 2023).
- Alves, F.; Bilbe, G.; Blesson, S.; Goyal, V.; Monnerat, S.; Mowbray, C.; Muthoni Ouattara, G.; Pécoul, B.; Rijal, S.; Rode, J.; et al. Recent Development of Visceral Leishmaniasis Treatments: Successes, Pitfalls, and Perspectives. Clin. Microbiol. Rev. 2018, 31, e00048-18. [Google Scholar] [CrossRef] [PubMed]
- Saporito, L.; Giammanco, G.M.; De Grazia, S.; Colomba, C. Visceral leishmaniasis: Host-parasite interactions and clinical presentation in the immunocompetent and in the immunocompromised host. Int. J. Infect. Dis. 2013, 17, e572–e576. [Google Scholar] [CrossRef] [PubMed]
- Dos Santos Marques, L.H.; Da Rocha, I.C.M.; Reis, I.A.; Da Cunha, G.M.R.; Oliveira, E.; Pfeilsticker, T.R.; De Araújo, V.E.M.; Morais, M.H.; Rabello, A.; Carneiro, M. Leishmania infantum: Illness, transmission profile and risk factors for asymptomatic infection in an endemic metropolis in Brazil. Parasitology 2017, 144, 546–556. [Google Scholar] [CrossRef]
- Nascimento Mdo, D.; Souza, E.C.; da Silva, L.M.; Leal Pda, C.; Cantanhede Kde, L.; Bezerra, G.F.; Viana, G.M. Prevalence of infection by Leishmania chagasi using ELISA (rK39 and CRUDE) and the Montenegro skin test in an endemic leishmaniasis area of Maranhão, Brazil. Cadernos de Saude Publica 2005, 21, 1801–1807. [Google Scholar] [CrossRef]
- Chappuis, F.; Sundar, S.; Hailu, A.; Ghalib, H.; Rijal, S.; Peeling, R.W.; Alvar, J.; Boelaert, M. Visceral leishmaniasis: What are the needs for diagnosis, treatment and control? Nat. Rev. Microbiol. 2007, 5, 873–882. [Google Scholar] [CrossRef]
- Romero, G.A.S.; Costa, D.L.; Costa, C.H.N.; de Almeida, R.P.; de Melo, E.V.; de Carvalho, S.F.G.; Rabello, A.; de Carvalho, A.L.; Sousa, A.Q.; Leite, R.D.; et al. Efficacy and safety of available treatments for visceral leishmaniasis in Brazil: A multicenter, randomized, open label trial. PLoS Negl. Trop. Dis. 2017, 11, e0005706. [Google Scholar] [CrossRef]
- Sundar, S.; Jha, T.K.; Thakur, C.P.; Engel, J.; Sindermann, H.; Fischer, C.; Junge, K.; Bryceson, A.; Berman, J. Oral miltefosine for Indian visceral leishmaniasis. N. Engl. J. Med. 2002, 347, 1739–1746. [Google Scholar] [CrossRef]
- Sundar, S.; Singh, A.; Rai, M.; Prajapati, V.K.; Singh, A.K.; Ostyn, B.; Boelaert, M.; Dujardin, J.C.; Chakravarty, J. Efficacy of miltefosine in the treatment of visceral leishmaniasis in India after a decade of use. Clin. Infect. Dis. 2012, 55, 543–550. [Google Scholar] [CrossRef]
- Carnielli, J.B.T.; Crouch, K.; Forrester, S.; Silva, V.C.; Carvalho, S.F.G.; Damasceno, J.D.; Brown, E.; Dickens, N.J.; Costa, D.L.; Costa, C.H.N.; et al. A Leishmania infantum genetic marker associated with miltefosine treatment failure for visceral leishmaniasis. EBioMedicine 2018, 36, 83–91. [Google Scholar] [CrossRef]
- Carnielli, J.B.T.; Monti-Rocha, R.; Costa, D.L.; Molina Sesana, A.; Pansini, L.N.N.; Segatto, M.; Mottram, J.C.; Costa, C.H.N.; Carvalho, S.F.G.; Dietze, R. Natural Resistance of Leishmania infantum to Miltefosine Contributes to the Low Efficacy in the Treatment of Visceral Leishmaniasis in Brazil. Am. J. Trop. Med. Hyg. 2019, 101, 789–794. [Google Scholar] [CrossRef] [PubMed]
- Carnielli, J.B.T.; Dave, A.; Romano, A.; Forrester, S.; de Faria, P.R.; Monti-Rocha, R.; Costa, C.H.N.; Dietze, R.; Graham, I.A.; Mottram, J.C. 3’Nucleotidase/nuclease is required for Leishmania infantum clinical isolate susceptibility to miltefosine. EBioMedicine 2022, 86, 104378. [Google Scholar] [CrossRef] [PubMed]
- Ponte-Sucre, A.; Gamarro, F.; Dujardin, J.C.; Barrett, M.P.; Lopez-Velez, R.; Garcia-Hernandez, R.; Pountain, A.W.; Mwenechanya, R.; Papadopoulou, B. Drug resistance and treatment failure in leishmaniasis: A 21st century challenge. PLoS Negl. Trop. Dis. 2017, 11, e0006052. [Google Scholar] [CrossRef] [PubMed]
- van Griensven, J.; Carrillo, E.; López-Vélez, R.; Lynen, L.; Moreno, J. Leishmaniasis in immunosuppressed individuals. Clin. Microbiol. Infect. 2014, 20, 286–299. [Google Scholar] [CrossRef]
- Berg, M.; Mannaert, A.; Vanaerschot, M.; Van Der Auwera, G.; Dujardin, J.C. (Post-) Genomic approaches to tackle drug resistance in Leishmania. Parasitology 2013, 140, 1492–1505. [Google Scholar] [CrossRef]
- Campos, M.A.G.; Moraes Filho, A.S.; Rêgo, G.; Silva, R.O.L.; Sousa, R.A.B.; Tchuisseu, Y.P.; Silva, G.E.B.; Gama, M.E.A. Is splenectomy an option for multiple relapses in a child with visceral leishmaniasis? A case report. Rev. Da Soc. Bras. De Med. Trop. 2021, 54, e0748-2020. [Google Scholar] [CrossRef]
- Howard, M.K.; Pharoah, M.M.; Ashall, F.; Miles, M.A. Human urine stimulates growth of Leishmania in vitro. Trans. R. Soc. Trop. Med. Hyg. 1991, 85, 477–479. [Google Scholar] [CrossRef]
- Kapler, G.M.; Coburn, C.M.; Beverley, S.M. Stable transfection of the human parasite Leishmania major delineates a 30-kilobase region sufficient for extrachromosomal replication and expression. Mol. Cell. Biol. 1990, 10, 1084–1094. [Google Scholar]
- Espada, C.R.; Ferreira, B.A.; Ortiz, P.A.; Uliana, S.R.B.; Coelho, A.C. Full nucleotide sequencing of ribosomal DNA internal transcribed spacer of Leishmania species causing cutaneous leishmaniasis in Brazil and its potential for species typing. Acta Trop. 2021, 223, 106093. [Google Scholar] [CrossRef]
- Zamboni, D.S.; Rabinovitch, M. Nitric oxide partially controls Coxiella burnetii phase II infection in mouse primary macrophages. Infect. Immun. 2003, 71, 1225–1233. [Google Scholar] [CrossRef]
- Ferreira, B.A.; Martins, T.F.C.; Coser, E.M.; da L Oliveira, V.; Yamashiro-Kanashiro, E.H.; Rocha, M.C.; Pinto, M.M.; Cotrim, P.C.; Coelho, A.C. Isolation, typing, and drug susceptibility of Leishmania (Leishmania) infantum isolates from dogs of the municipality of Embu das Artes, an endemic region for canine leishmaniasis in Brazil. Parasitol. Res. 2022, 121, 2683–2695. [Google Scholar] [CrossRef] [PubMed]
- Montalvo, A.M.; Fraga, J.; Maes, I.; Dujardin, J.C.; Van der Auwera, G. Three new sensitive and specific heat-shock protein 70 PCRs for global Leishmania species identification. Eur. J. Clin. Microbiol. Infect. Dis. 2012, 31, 1453–1461. [Google Scholar] [CrossRef] [PubMed]
- Braga, R.R.; Lainson, R.; Shaw, J.J.; Ryan, L.; Silveira, F.T. Leishmaniasis in Brazil. XXII: Characterization of Leishmania from man, dogs and the sandfly Lutzomyia longipalpis (Lutz & Neiva, 1912) isolated during an outbreak of visceral leishmaniasis in Santarém, Pará State. Trans. R. Soc. Trop. Med. Hyg. 1986, 80, 143–145. [Google Scholar] [CrossRef]
- de Santana, F.R.; da Silva, D.A.M.; Katz, S.; Orikaza, C.M.; Oliveira, K.C.; Barbiéri, C.L. A new immunochemotherapy schedule for visceral leishmaniasis in a hamster model. Parasitol. Res. 2022, 121, 2849–2860. [Google Scholar] [CrossRef]
- Coser, E.M.; Ferreira, B.A.; Branco, N.; Yamashiro-Kanashiro, E.H.; Lindoso, J.A.L.; Coelho, A.C. Activity of paromomycin against Leishmania amazonensis: Direct correlation between susceptibility in vitro and the treatment outcome in vivo. Int. J. Parasitol. Drugs Drug Resist. 2020, 14, 91–98. [Google Scholar] [CrossRef]
- Zauli-Nascimento, R.C.; Miguel, D.C.; Yokoyama-Yasunaka, J.K.; Pereira, L.I.; Pelli de Oliveira, M.A.; Ribeiro-Dias, F.; Dorta, M.L.; Uliana, S.R. In vitro sensitivity of Leishmania (Viannia) braziliensis and Leishmania (Leishmania) amazonensis Brazilian isolates to meglumine antimoniate and amphotericin B. Trop. Med. Int. Health TM IH 2010, 15, 68–76. [Google Scholar] [CrossRef]
- El Fadili, K.; Messier, N.; Leprohon, P.; Roy, G.; Guimond, C.; Trudel, N.; Saravia, N.G.; Papadopoulou, B.; Legare, D.; Ouellette, M. Role of the ABC transporter MRPA (PGPA) in antimony resistance in Leishmania infantum axenic and intracellular amastigotes. Antimicrob. Agents Chemother. 2005, 49, 1988–1993. [Google Scholar] [CrossRef]
- Morelle, C.; Mukherjee, A.; Zhang, J.; Fani, F.; Khandelwal, A.; Gingras, H.; Trottier, J.; Barbier, O.; Leprohon, P.; Burke, M.D.; et al. Well-Tolerated Amphotericin B Derivatives That Effectively Treat Visceral Leishmaniasis. ACS Infect. Dis. 2021, 7, 2472–2482. [Google Scholar] [CrossRef]
- Mbongo, N.; Loiseau, P.M.; Billion, M.A.; Robert-Gero, M. Mechanism of amphotericin B resistance in Leishmania donovani promastigotes. Antimicrob. Agents Chemother. 1998, 42, 352–357. [Google Scholar] [CrossRef] [PubMed]
- Rastrojo, A.; Garcia-Hernandez, R.; Vargas, P.; Camacho, E.; Corvo, L.; Imamura, H.; Dujardin, J.C.; Castanys, S.; Aguado, B.; Gamarro, F.; et al. Genomic and transcriptomic alterations in Leishmania donovani lines experimentally resistant to antileishmanial drugs. Int. J. Parasitol. Drugs Drug Resist. 2018, 8, 246–264. [Google Scholar] [CrossRef] [PubMed]
- Garcia-Hernandez, R.; Manzano, J.I.; Castanys, S.; Gamarro, F. Leishmania donovani develops resistance to drug combinations. PLoS Negl. Trop. Dis. 2012, 6, e1974. [Google Scholar] [CrossRef] [PubMed]
- Schwabl, P.; Boité, M.C.; Bussotti, G.; Jacobs, A.; Andersson, B.; Moreira, O.; Freitas-Mesquita, A.L.; Meyer-Fernandes, J.R.; Telleria, E.L.; Traub-Csekö, Y.; et al. Colonization and genetic diversification processes of Leishmania infantum in the Americas. Commun. Biol. 2021, 4, 139. [Google Scholar] [CrossRef]
- Espada, C.R.; Levatti, E.V.C.; Boité, M.C.; Lamounier, D.; Alvar, J.; Cupolillo, E.; Costa, C.H.N.; Rode, J.; Uliana, S.R.B. In Vitro Susceptibility to Miltefosine of Leishmania infantum (syn. L. chagasi) Isolates from Different Geographical Areas in Brazil. Microorganisms 2021, 9, 1228. [Google Scholar] [CrossRef] [PubMed]
- Dutra, R.A.; Dutra, L.F.; Reis Mde, O.; Lambert, R.C. Splenectomy in a patient with treatment-resistant visceral leishmaniasis: A case report. Rev. Da Soc. Bras. De Med. Trop. 2012, 45, 130–131. [Google Scholar] [CrossRef] [PubMed]
- Reinaldo, L.G.C.; Araújo Júnior, R.J.C.; Diniz, T.M.; Moura, R.D.; Costa, D.L.; Eulálio, K.D.; Costa, C.H.N. Recurrent kala-azar: Report of two cured cases after total splenectomy. Rev. Do Inst. De Med. Trop. De Sao Paulo 2020, 62, e31. [Google Scholar] [CrossRef]
- Gomes, M.A.F.; Medeiros, L.L.C.; Lobo, F.P.D.; Wanderley, N.R.S.; Matos, A.P.R.; Jácome, T.D.N.; Monteiro, M.G.L.; Luz, K.G. Combination therapy with liposomal amphotericin b (ambisome), n-methylglucamine antimoniate (glucantime), and pentamidine isethionate in a refractory visceral leishmaniasis case. Rev. Da Soc. Bras. De Med. Trop. 2018, 51, 393–396. [Google Scholar] [CrossRef]


| Drugs | Promastigotes c | Intracellular Amastigotes c | CC50 d | ||
|---|---|---|---|---|---|
| LD | ME | LD | ME | ||
| AmB a | 19.83 ± 4.39 | 26.34 ± 3.87 | 5.17 ± 0.95 | 8.84 ± 2.32 | 127.36 ± 0.94 |
| SbV b | - | - | 269.40 ± 7.23 | 314.93 ± 5.84 | >2000 |
| SbIII b | 131.06 ± 2.60 | 163.10 ± 2.06 | - | - | - |
| MF b | 16.15 ± 1.36 | 13.28 ± 1.65 | 1.53 ± 0.45 | 1.46 ± 0.21 | 49.52 ± 2.93 |
| PEN b | 4.04 ± 1.12 | 2.47 ± 0.28 | 0.11 ± 0.01 | 0.10 ± 0.013 | 0.36 ± 0.02 |
| PM b | 78.71 ± 3.15 | 74.28 ± 4.45 | 1.71 ± 0.62 | 2.05 ± 0.60 | 536.60 ± 27.1 |
Disclaimer/Publisher’s Note: The statements, opinions and data contained in all publications are solely those of the individual author(s) and contributor(s) and not of MDPI and/or the editor(s). MDPI and/or the editor(s) disclaim responsibility for any injury to people or property resulting from any ideas, methods, instructions or products referred to in the content. |
© 2023 by the authors. Licensee MDPI, Basel, Switzerland. This article is an open access article distributed under the terms and conditions of the Creative Commons Attribution (CC BY) license (https://creativecommons.org/licenses/by/4.0/).
Share and Cite
Ferreira, B.A.; Santos, G.d.A.; Coser, E.M.; Sousa, J.M.; Gama, M.E.A.; Júnior, L.L.B.; Pessoa, F.S.; Lima, M.I.S.; Uliana, S.R.B.; Coelho, A.C. In Vitro Drug Susceptibility of a Leishmania (Leishmania) infantum Isolate from a Visceral Leishmaniasis Pediatric Patient after Multiple Relapses. Trop. Med. Infect. Dis. 2023, 8, 354. https://doi.org/10.3390/tropicalmed8070354
Ferreira BA, Santos GdA, Coser EM, Sousa JM, Gama MEA, Júnior LLB, Pessoa FS, Lima MIS, Uliana SRB, Coelho AC. In Vitro Drug Susceptibility of a Leishmania (Leishmania) infantum Isolate from a Visceral Leishmaniasis Pediatric Patient after Multiple Relapses. Tropical Medicine and Infectious Disease. 2023; 8(7):354. https://doi.org/10.3390/tropicalmed8070354
Chicago/Turabian StyleFerreira, Bianca A., Gustavo de A. Santos, Elizabeth M. Coser, Juliana M. Sousa, Mônica E. A. Gama, Leônidas L. B. Júnior, Fabrício S. Pessoa, Mayara I. S. Lima, Silvia R. B. Uliana, and Adriano C. Coelho. 2023. "In Vitro Drug Susceptibility of a Leishmania (Leishmania) infantum Isolate from a Visceral Leishmaniasis Pediatric Patient after Multiple Relapses" Tropical Medicine and Infectious Disease 8, no. 7: 354. https://doi.org/10.3390/tropicalmed8070354
APA StyleFerreira, B. A., Santos, G. d. A., Coser, E. M., Sousa, J. M., Gama, M. E. A., Júnior, L. L. B., Pessoa, F. S., Lima, M. I. S., Uliana, S. R. B., & Coelho, A. C. (2023). In Vitro Drug Susceptibility of a Leishmania (Leishmania) infantum Isolate from a Visceral Leishmaniasis Pediatric Patient after Multiple Relapses. Tropical Medicine and Infectious Disease, 8(7), 354. https://doi.org/10.3390/tropicalmed8070354

