First Detection of Acinetobacter baumannii in Pediculus humanus capitis from Latin America
Abstract
1. Introduction
2. Materials and Methods
2.1. Insect Specimens
2.2. Identification, Separation, and Dissection of Lice Specimens
2.3. Detection of Acinetobacter baumannii DNA in Head Lice
2.4. DNA Extraction
2.5. Polymerase Chain Reaction
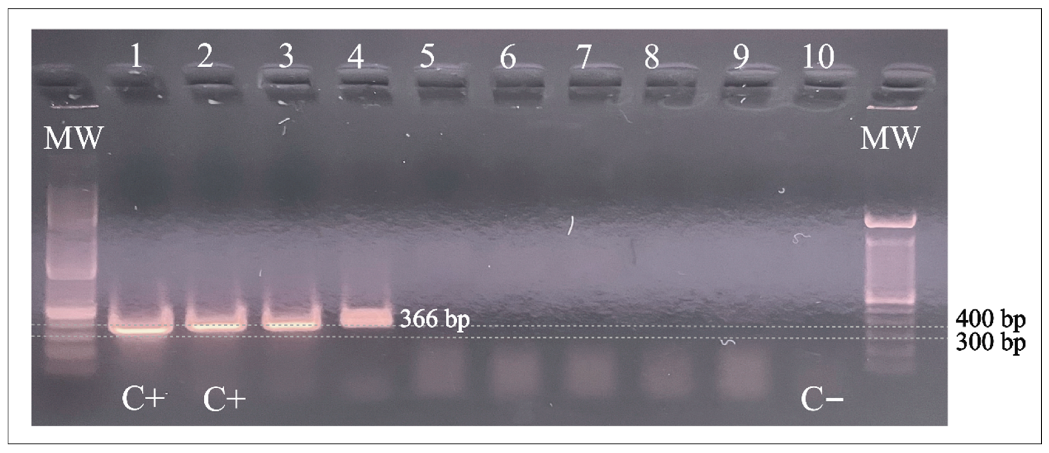
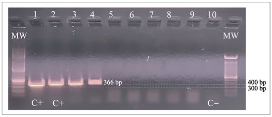
3. Results
4. Discussion
Author Contributions
Funding
Institutional Review Board Statement
Informed Consent Statement
Data Availability Statement
Acknowledgments
Conflicts of Interest
References
- Koch, T.; Brown, M.; Selim, P.; Isam, C. Towards the eradication of head lice: Literature review and research agenda. J. Clin. Nurs. 2001, 10, 364–371. [Google Scholar] [CrossRef] [PubMed]
- Mumcuoglu, K.Y.; Pollack, R.J.; Reed, D.L.; Barker, S.C.; Gordon, S.; Toloza, A.C.; Picollo, M.I.; Taylan-Ozkan, A.; Chosidow, O.; Habedank, B.; et al. International recommendations for an effective control of head louse infestations. Int. J. Dermatol. 2020, 60, 272–280. [Google Scholar] [CrossRef] [PubMed]
- Heukelbach, J. Management and Control of Head Lice Infestations; UNIMED Science Verlag AG: Bremen, Germany, 2010. [Google Scholar]
- Marinho, M.M.; Milan, B.A.; Borges-Moroni, R.; Mendes, J.; Moroni, F.T. Epidemiological aspects of head lice in children attended to at a public hospital in Uberlandia, Minas Gerais state, Brazil. Rev. Patol. Trop./J. Trop. Pathol. 2018, 47, 235–245. [Google Scholar]
- Cadima Silva, L.R.; Borges-Moroni, R.; Mendes, J.; Moroni, F.T. Occurrence of head lice in children and adolescents seen at a hospital in Uberlândia, central Brazil. Rev. Patol. Trop./J. Trop. Pathol. 2021, 50, 61–72. [Google Scholar] [CrossRef]
- Durmuş, S.Y.; Tanır, G.; Öz, F.N.; Kaman, A.; Teke, T.A. A rare cause of healthcare-associated infection in a pediatric infectious diseases unit. Türkiye Parazitolojii Derg. 2020, 44, 122. [Google Scholar] [CrossRef] [PubMed]
- Furnkranz, U.; Walochnik, J. Nosocomial infections: Do not forget the parasites! Pathogens 2021, 10, 238. [Google Scholar] [CrossRef]
- Reddy Challa, V.S.; Mahalingam, S.; Bhat, K. A case report of neonatal pediculosis: A simple challenge, yet complex. Iran. J. Neonatol. 2020, 11, 123–125. [Google Scholar] [CrossRef]
- Mokhtar, A.S.; Ling Lau, Y.; Wilson, J.J.; Abdul-Aziz, N.M. Genetic diversity of Pediculus humanus capitis (Phthiraptera: Pediculidae) in Peninsular Malaysia and molecular detection of its potential associated pathogens. J. Med. Entomol. 2020, 57, 915–926. [Google Scholar] [CrossRef]
- Eremeeva, M.E.; Capps, D.; Winful, E.B.; Warang, S.S.; Braswell, S.E.; Tokarevich, N.K.; Bonilla, D.L.; Durden, L.A. Molecular markers of pesticide resistance and pathogens in human head lice (Phthiraptera: Pediculidae) from Rural Georgia, USA. J. Med. Entomol. 2017, 54, 1067–1072. [Google Scholar] [CrossRef] [PubMed]
- Raoult, D.; Roux, V. The body louse as a vector of reemerging human diseases. Clin. Infect. Dis. 1999, 29, 888–911. [Google Scholar] [CrossRef]
- Amanzougaghene, N.; Fenollar, F.; Raoult, D.; Mediannikov, O. Where are we with human lice? A review of the current state of knowledge. Front. Cell. Infect. Microbiol. 2020, 9, 474. [Google Scholar] [CrossRef] [PubMed]
- La Scola, B.; Raoult, D. Acinetobacter baumannii in human body louse. Emerg. Infect. Dis. 2004, 10, 1671–1673. [Google Scholar] [CrossRef] [PubMed]
- Houhamdi, L.; Raoult, D. Experimentally infected human body lice (Pediculus humanus humanus) as vectors of Rickettsia rickettsii and Rickettsia conorii in a rabbit model. Am. J. Trop. Med. Hyg. 2006, 74, 521–525. [Google Scholar] [CrossRef]
- Kim, J.H.; Previte, D.J.; Yoon, K.S.; Murenzi, E.; Koehler, J.E.; Pittendrigh, B.R.; Lee, S.H.; Clark, J.M. Comparison of the proliferation and excretion of Bartonella quintana between body and head lice following oral challenge. Insect Mol. Biol. 2017, 26, 266–276. [Google Scholar] [CrossRef]
- Bouvresse, S.; Socolovschi, C.; Berdjane, Z.; Durand, R.; Izri, A.; Raoult, D.; Chosidow, O.; Brouqui, P. No evidence of Bartonella quintana but detection of Acinetobacter baumannii in head lice from elementary schoolchildren in Paris. Comp. Immunol. Microbiol. Infect. Dis. 2011, 34, 475–477. [Google Scholar] [CrossRef]
- Kempf, M.; Abdissa, A.; Diatta, G.; Trape, J.F.; Angelakis, E.; Mediannikov, O.; La Scola, B.; Raoult, D. Detection of Acinetobacter baumannii in human head and body lice from Ethiopia and identification of new genotypes. Int. J. Infect. Dis. 2012, 16, e680–e683. [Google Scholar] [CrossRef] [PubMed]
- Koyo, C.S.B.; Amanzougaghene, N.; Davoust, B.; Tshilolo, L.; Lekana-Douki, J.B.; Raoult, D.; Mediannikov, O.; Fenollar, F. Genetic diversity of human head lice and molecular detection of associated bacterial pathogens in Democratic Republic of Congo. Parasit. Vectors 2019, 12, 290. [Google Scholar] [CrossRef]
- Mana, N.; Louni, M.; Parola, P.; Bitam, I. Human head lice and pubic lice reveal the presence of several Acinetobacter species in Algiers, Algeria. Comp. Immunol. Microbiol. Infect. Dis. 2017, 53, 33–39. [Google Scholar] [CrossRef]
- Robinson, D.; Leo, N.; Prociv, P.; Barker, S.C. Potential role of head lice, Pediculus humanus capitis, as vectors of Rickettsia prowazekii. Parasitol. Res. 2003, 90, 209–211. [Google Scholar] [CrossRef]
- Kurihara, M.N.L.; Sales, R.O.; Silva, K.E.D.; Maciel, W.G.; Simionatto, S. Multidrug-resistant Acinetobacter baumannii outbreaks: A global problem in healthcare settings. Rev. Soc. Bras. Med. Trop. 2020, 53, e20200248. [Google Scholar] [CrossRef]
- Perez, S.; Innes, G.K.; Walters, M.S.; Mehr, J.; Arias, J.; Greeley, R.; Chew, D. Increase in hospital-acquired Carbapenem-resistant Acinetobacter baumannii Infection and colonization in an acute care hospital during a surge in COVID-19 admissions—New Jersey, February–July 2020. MMWR Morb. Mortal. Wkly. Rep. 2020, 69, 1827–1831. [Google Scholar] [CrossRef]
- Jang, T.-N.; Lee, S.-H.; Huang, C.-H.; Lee, C.-L.; Chen, W.-Y. Risk factors and impact of nosocomial Acinetobacter baumannii bloodstream infections in the adult intensive care unit: A case–control study. J. Hosp. Infect. 2009, 73, 143–150. [Google Scholar] [CrossRef]
- Vijay, S.; Bansal, N.; Rao, B.K.; Veeraraghavan, B.; Rodrigues, C.; Wattal, C.; Goyal, J.P.; Tadepalli, K.; Mathur, P.; Venkateswaran, R.; et al. Secondary infections in hospitalized COVID-19 patients: Indian experience. Infect. Drug. Resist. 2021, 14, 1893–1903. [Google Scholar] [CrossRef]
- Gratz, N.G. Human Lice: Their Prevalence, Control and Resistance to Insecticides. A Review 1985–1997; World Health Organization: Geneva, Switzerland, 1997; p. 67. [Google Scholar]
- Jamani, S.; Rodriguez, C.; Rueda, M.M.; Matamoros, G.; Canales, M.; Bearman, G.; Stevens, M.; Sanchez, A. Head lice infestations in rural Honduras: The need for an integrated approach to control neglected tropical diseases. Int. J. Dermatol. 2019, 58, 548–556. [Google Scholar] [CrossRef]
- Hernández, K.C.; Enamorado, B.C.; Delgado, L.Q.; Martel, B.; Sierra, M.; Espinoza, I. Prevalencia de dermatosis en niños escolares en Honduras. Med. Cutánea Ibero-Lat.-Am. 2017, 44, 177–182. [Google Scholar]
- Toloza, A.C.; Laguna, M.F.; Ortega-Insaurralde, I.; Vassena, C.; Risau-Gusman, S. Insights about head lice transmission from field data and mathematical modeling. J. Med. Entomol. 2018, 55, 929–937. [Google Scholar] [CrossRef]
- Medina-Ortega, Á.P.; Monje, S.L.M.; Valencia, D.L.; Arteaga, L.R.V.; Salguero, C. Prevalence, incidence, clinical manifestations and factors associated with pediculosis capitis in nursery school children of a low-income area from Colombia. Arch. Med. 2020, 20, 40–52. [Google Scholar] [CrossRef]
- Ríos, S.M.; Fernández, J.A.; Rivas, F.; Sáenz, M.L.; Moncada, L.I. Prevalencia y factores asociados a la pediculosis niños de un jardín infantil de Bogotá. Biomédica 2008, 28, 245–251. [Google Scholar]
- Larkin, K.; Rodriguez, C.A.; Jamani, S.; Fronza, G.; Roca-Acevedo, G.; Sanchez, A.; Toloza, A.C. First evidence of the mutations associated with pyrethroid resistance in head lice (Phthiraptera: Pediculidae) from Honduras. Parasit. Vectors 2020, 13, 32. [Google Scholar] [CrossRef]
- Al-Marjan, K.; Koyee, Q.; Abdullah, S. In vitro study on the morphological development of eggs (nits) and other stages of head lice Pediculus humanus capitis De Geer, 1767. J. Pure Appl. Sci. 2015, 27, 35–40. [Google Scholar]
- Raoult, D.; Dutour, O.; Houhamdi, L.; Jankauskas, R.; Fournier, P.E.; Ardagna, Y.; Drancourt, M.; Signoli, M.; La, V.D.; Macia, Y.; et al. Evidence for louse-transmitted diseases in soldiers of Napoleon’s Grand Army in Vilnius. J. Infect. Dis. 2006, 193, 112–120. [Google Scholar] [CrossRef]
- Azad, A.F.; Webb, L.; Carl, M.; Dasch, G.A. Detection of rickettsiae in arthropod vectors by DNA amplification using the polymerase chain reaction. Ann. N. Y. Acad. Sci. 1990, 590, 557–563. [Google Scholar] [CrossRef]
- Fournier, P.E.; Ndihokubwayo, J.B.; Guidran, J.; Kelly, P.J.; Raoult, D. Human pathogens in body and head lice. Emerg. Infect. Dis. 2002, 8, 1515–1518. [Google Scholar] [CrossRef]
- Zuniga-Moya, J.C.; Caballero, C.A.; Loucel-Linares, M.; Benitez, M.J.; Zambrano-Garcia, E.; Fajardo, L.V.; Paz, J.S.; Bejarano, S.A.; Saavedra, E.B.; Romero, L.E. Antimicrobial profile of Acinetobacter baumannii at a tertiary hospital in Honduras: A cross-sectional analysis. Rev. Panam. Salud Pública 2020, 44, e46. [Google Scholar] [CrossRef]
- Rodríguez, C.H.; Nastro, M.; Famiglietti, A. Carbapenemases in Acinetobacter baumannii. Review of their dissemination in Latin America. Rev. Argent. Microbiol. 2018, 50, 327–333. [Google Scholar] [CrossRef]
- Saavedra, J.C.; Fonseca, D.; Abrahamyan, A.; Thekkur, P.; Timire, C.; Reyes, J.; Zachariah, R.; Agudelo, L.G. Bloodstream infections and antibiotic resistance at a regional hospital, Colombia, 2019–2021. Rev. Panam. Salud Pública 2023, 47, e18. [Google Scholar] [CrossRef]
- Yu, H.; Ezpeleta-Lobato, G.; Han, X.; Carmona-Cartaya, Y.; Quiñones-Pérez, D. Carbapenamase-producing Acinetobacter baumannii in China, Latin America and the Caribbean: A systematic review and meta-analysis. MEDICC Rev. 2022, 24, 59–69. [Google Scholar] [CrossRef]
- Amanzougaghene, N.; Mediannikov, O.; Ly, T.D.A.; Gautret, P.; Davoust, B.; Fenollar, F.; Izri, A. Molecular investigation and genetic diversity of Pediculus and Pthirus lice in France. Parasit. Vectors 2020, 13, 177. [Google Scholar] [CrossRef]
- Sunantaraporn, S.; Sanprasert, V.; Pengsakul, T.; Phumee, A.; Boonserm, R.; Tawatsin, A.; Thavara, U.; Siriyasatien, P. Molecular survey of the head louse Pediculus humanus capitis in Thailand and its potential role for transmitting Acinetobacter spp. Parasit. Vectors 2015, 8, 127. [Google Scholar] [CrossRef]
- Candy, K.; Amanzougaghene, N.; Izri, A.; Brun, S.; Durand, R.; Louni, M.; Raoult, D.; Fenollar, F.; Mediannikov, O. Molecular survey of head and body lice, Pediculus humanus, in France. Vector-Borne Zoonotic Dis. 2018, 18, 243–251. [Google Scholar] [CrossRef]
- Drali, R.; Boutellis, A.; Raoult, D.; Rolain, J.M.; Brouqui, P. Distinguishing body lice from head lice by multiplex real-time PCR analysis of the Phum_PHUM540560 gene. PLoS ONE 2013, 8, e58088. [Google Scholar] [CrossRef]
- Eveillard, M.; Kempf, M.; Belmonte, O.; Pailhories, H.; Joly-Guillou, M.L. Reservoirs of Acinetobacter baumannii outside the hospital and potential involvement in emerging human community-acquired infections. Int. J. Infect. Dis. 2013, 17, e802–e805. [Google Scholar] [CrossRef]
- Picollo, M.; Vassena, C.; Casadio, A.; Massimo, J.; Zerba, E. Laboratory studies of susceptibility and resistance to insecticides in Pediculus capitis (Anoplura; Pediculidae). J. Med. Entomol. 1998, 35, 814–817. [Google Scholar] [CrossRef]
- Canadian Council on Animal Care (CCAC). CCAC Animal Data Report 2019; Canadian Council on Animal Care (CCAC): Ottawa, ON, Canada, 2020; p. 12. [Google Scholar]

Disclaimer/Publisher’s Note: The statements, opinions and data contained in all publications are solely those of the individual author(s) and contributor(s) and not of MDPI and/or the editor(s). MDPI and/or the editor(s) disclaim responsibility for any injury to people or property resulting from any ideas, methods, instructions or products referred to in the content. |
© 2023 by the authors. Licensee MDPI, Basel, Switzerland. This article is an open access article distributed under the terms and conditions of the Creative Commons Attribution (CC BY) license (https://creativecommons.org/licenses/by/4.0/).
Share and Cite
Larkin, K.; Toloza, A.C.; Gabrie, J.A.; Rodríguez, C.A.; Rueda, M.M.; Matamoros, G.; Palacio, O.; Jamani, S.; Fontecha, G.; Sanchez, A.L. First Detection of Acinetobacter baumannii in Pediculus humanus capitis from Latin America. Trop. Med. Infect. Dis. 2023, 8, 345. https://doi.org/10.3390/tropicalmed8070345
Larkin K, Toloza AC, Gabrie JA, Rodríguez CA, Rueda MM, Matamoros G, Palacio O, Jamani S, Fontecha G, Sanchez AL. First Detection of Acinetobacter baumannii in Pediculus humanus capitis from Latin America. Tropical Medicine and Infectious Disease. 2023; 8(7):345. https://doi.org/10.3390/tropicalmed8070345
Chicago/Turabian StyleLarkin, Kelsey, Ariel Ceferino Toloza, Jose Antonio Gabrie, Carol A. Rodríguez, Maria Mercedes Rueda, Gabriela Matamoros, Oscar Palacio, Shabana Jamani, Gustavo Fontecha, and Ana L. Sanchez. 2023. "First Detection of Acinetobacter baumannii in Pediculus humanus capitis from Latin America" Tropical Medicine and Infectious Disease 8, no. 7: 345. https://doi.org/10.3390/tropicalmed8070345
APA StyleLarkin, K., Toloza, A. C., Gabrie, J. A., Rodríguez, C. A., Rueda, M. M., Matamoros, G., Palacio, O., Jamani, S., Fontecha, G., & Sanchez, A. L. (2023). First Detection of Acinetobacter baumannii in Pediculus humanus capitis from Latin America. Tropical Medicine and Infectious Disease, 8(7), 345. https://doi.org/10.3390/tropicalmed8070345

