Strongyloides spp. and Cytomegalovirus Co-Infection in Patient Affected by Non-Hodgkin Lymphoma
Abstract
1. Introduction
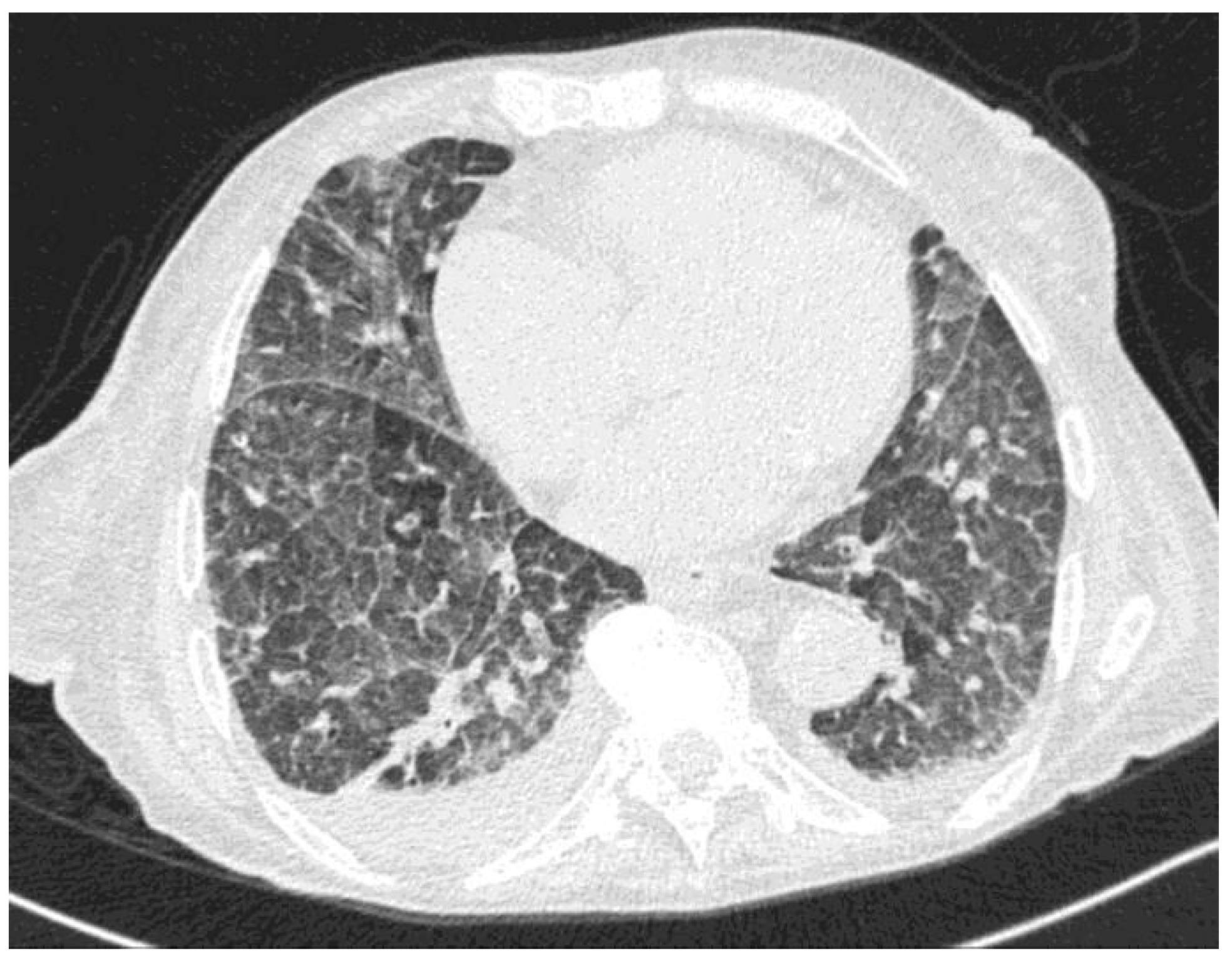
2. Case Description
3. Discussion
4. Conclusions
Author Contributions
Funding
Institutional Review Board Statement
Informed Consent Statement
Data Availability Statement
Conflicts of Interest
References
- Schär, F.; Trostdorf, U.; Giardina, F.; Khieu, V.; Muth, S.; Marti, H.; Vounatsou, P.; Odermatt, P. Strongyloides stercoralis: Global Distribution and Risk Factors. PLoS Negl. Trop. Dis. 2013, 7, e2288. [Google Scholar] [CrossRef]
- Buonfrate, D.; Bisanzio, D.; Giorli, G.; Odermatt, P.; Fürst, T.; Greenaway, C.; French, M.; Reithinger, R.; Gobbi, F.; Montresor, A.; et al. The Global Prevalence of Strongyloides stercoralis Infection. Pathogens 2020, 9, 468. [Google Scholar] [CrossRef]
- Control of Neglected Tropical Diseases. Available online: https://www.who.int/teams/control-of-neglected-tropical-diseases/soil-transmitted-helminthiases/strongyloidiasis (accessed on 25 February 2023).
- Marty, F.M. Strongyloides hyperinfection syndrome and transplantation: A preventable, frequently fatal infection. Transpl. Infect. Dis. Off. J. Transplant. Soc. 2009, 11, 97–99. [Google Scholar] [CrossRef]
- Bisoffi, Z.; Buonfrate, D.; Montresor, A.; Requena-Méndez, A.; Muñoz, J.; Krolewiecki, A.J.; Gotuzzo, E.; Mena, M.A.; Chiodini, P.L.; Anselmi, M.; et al. Strongyloides stercoralis: A Plea for Action. PLoS Negl. Trop. Dis. 2013, 7, e2214. [Google Scholar] [CrossRef]
- Kotton, C.N.; Kumar, D.; Caliendo, A.M.; Huprikar, S.; Chou, S.; Danziger-Isakov, L.; Humar, A.; The Transplantation Society International CMV Consensus Group. The Third International Consensus Guidelines on the Management of Cytomegalovirus in Solid-organ Transplantation. Transplantation 2018, 102, 900–931. [Google Scholar] [CrossRef]
- Alonso-Álvarez, S.; Colado, E.; Moro-García, M.A.; Alonso-Arias, R. Cytomegalovirus in Haematological Tumours. Front. Immunol. 2021, 12, 703256. [Google Scholar] [CrossRef] [PubMed]
- García-Bustos, V.; Salavert, M.; Blanes, R.; Cabañero, D.; Blanes, M. Current management of CMV infection in cancer patients (solid tumors). Epidemiol. Ther. Strategies. Rev. Esp. De. Quimioter. Publ. Of. Soc. Esp. Quimioter. 2022, 35 (Suppl. S3), 74–79. [Google Scholar] [CrossRef]
- Arakaki, T.; Iwanaga, M.; Asato, R.; Ikeshiro, T. Age-related prevalence of Strongyloides stercoralis infection in Okinawa, Japan. Trop. Geogr. Med. 1992, 44, 299–303. [Google Scholar] [PubMed]
- Pirisi, M.; Salvador, E.; Bisoffi, Z.; Gobbo, M.; Smirne, C.; Gigli, C.; Minisini, R.; Fortina, G.; Bellomo, G.; Bartoli, E. Unsuspected strongyloidiasis in hospitalised elderly patients with and without eosinophilia. Clin. Microbiol. Infect. Off. Publ. Eur. Soc. Clin. Microbiol. Infect. Dis. 2006, 12, 787–792. [Google Scholar] [CrossRef]
- Rehman, J.U.; Rao, T.V.; AlKindi, S.; Dennison, D.; Pathare, A.V. Disseminated strongyloidiasis and cytomegalovirus infection in a patient with anaplastic large cell lymphoma. Ann. Hematol. 2007, 86, 925–926. [Google Scholar] [CrossRef]
- Brügemann, J.; Kampinga, G.A.; Riezebos-Brilman, A.; Stek, C.J.; Edel, J.P.; van der Bij, W.; Sprenger, H.G.; Zijlstra, F. Two donorrelated infections in a heart transplant recipient: One common, the other a tropical surprise. J. Heart Lung Transplant. Off. Publ. Int. Soc. Heart Transplant. 2010, 29, 1433–1437. [Google Scholar] [CrossRef]
- Roseman, D.A.; Kabbani, D.; Kwah, J.; Bird, D.; Ingalls, R.; Gautam, A.; Nuhn, M.; Francis, J.M. Strongyloides stercoralis transmission by kidney transplantation in two recipients from a common donor. Am. J. Transplant. 2013, 13, 2483–2486. [Google Scholar] [CrossRef]
- Vilela, E.G.; Clemente, W.T.; Mira, R.R.; Torres, H.O.; Veloso, L.F.; Fonseca, L.P.; De Carvalho e Fonseca, L.R.; Franca, M.; Lima, A.S. Strongyloides stercoralis hyperinfection syndrome after liver transplantation: Case report and literature review. Transpl. Infect Dis. 2009, 11, 132–136. [Google Scholar] [CrossRef]
- Venizelos, P.C.; Lopata, M.; Bardawil, W.A.; Sharp, J.T. Respiratory failure due to Strongyloides stercoralis in a patient with a renal transplant. Chest 1980, 78, 104–106. [Google Scholar] [CrossRef]
- Hoy, W.E.; Roberts, N.J.; Bryson, M.F.; Bowles, C.; Lee, J.C.; Rivero, A.J.; Ritterson, A.L. Transmission of strongyloidiasis by kidney transplant? Disseminated strongyloidiasis in both recipients of kidney allografts from a single cadaver donor. JAMA 1981, 246, 1937–1939. [Google Scholar] [CrossRef]
- Wang, B.Y.; Krishnan, S.; Isenberg, H.D. Mortality associated with concurrent strongyloidosis and cytomegalovirus infection in a patient on steroid therapy. Mt. Sinai J. Med. 1999, 66, 128–132. [Google Scholar] [PubMed]
- Rahman, F.; Mishkin, A.; Jacobs, S.E.; Caplivski, D.; Ward, S.; Taimur, S. Strongyloides stercoralis, Human T-cell Lymphotropic Virus Type-1 and Cytomegalovirus Coinfection in an Allogeneic Hematopoietic Stem-Cell Transplant Recipient. Transplant. Direct 2020, 6, e573. [Google Scholar] [CrossRef] [PubMed]
- Al-Shyoukh, A.; Younis, M.; Warsame, M.; Gohar, A. A Rare Case of Multipathogenic Pneumonia in a Patient with Human Immunodeficiency Virus. Cureus 2020, 12, e9307. [Google Scholar] [CrossRef] [PubMed]
- Miglioli-Galvão, L.; Pestana, J.O.M.; Santoro-Lopes, G.; Torres Gonçalves, R.; Requião Moura, L.R.; Pacheco Silva, Á.; Camera Pierrotti, L.; David Neto, E.; Santana Girão, E.; Costa de Oliveira, C.M.; et al. Severe Strongyloides stercoralis infection in kidney transplant recipients: A multicenter case-control study. PLoS Negl. Trop. Dis. 2020, 14, e0007998. [Google Scholar] [CrossRef] [PubMed]
- Genta, R.M.; Miles, P.; Fields, K. Opportunistic Strongyloides stercoralis infection in lymphoma patients. Rep. A Case Rev. Lit. Cancer 1989, 63, 1407–1411. [Google Scholar] [CrossRef]
- Aydin, H.; Doppl, W.; Battmann, A.; Bohle, R.M.; Klör, H.U. Opportunistic Strongyloides stercoralis hyperinfection in lymphoma patients undergoing chemotherapy and/or radiotherapy—Report of a case and review of the literature. Acta Oncol. 1994, 33, 78–80. [Google Scholar] [CrossRef] [PubMed]
- Geri, G.; Rabbat, A.; Mayaux, J.; Zafrani, L.; Chalumeau-Lemoine, L.; Guidet, B.; Azoulay, E.; Pène, F. Strongyloides stercoralis hyperinfection syndrome: A case series and a review of the literature. Infection 2015, 43, 691–698. [Google Scholar] [CrossRef]
- Ye, L.; Taylor, G.P.; Rosadas, C. Human T-Cell Lymphotropic Virus Type 1 and Strongyloides stercoralis Co-infection: A Systematic Review and Meta-Analysis. Front. Med. 2022, 9, 832430. [Google Scholar] [CrossRef] [PubMed]
- Keiser, P.B.; Nutman, T.B. Strongyloides stercoralis in the Immunocompromised Population. Clin. Microbiol. Rev. 2004, 17, 208–217. [Google Scholar] [CrossRef] [PubMed]
- Adam, M.; Morgan, O.; Persaud, C.; Gibbs, W.N. Hyperinfection syndrome with Strongyloides stercoralis in malignant lymphoma. Br. Med. J. 1973, 1, 264. [Google Scholar] [CrossRef]
- Abad, C.L.R.; Bhaimia, E.; Schuetz, A.N.; Razonable, R.R. A comprehensive review of Strongyloides stercoralis infection after solid or- gan and hematopoietic stem cell transplantation. Clin. Transplant. 2022, 36, e14795. [Google Scholar] [CrossRef]
- Fardet, L.; Généreau, T.; Cabane, J.; Kettaneh, A. Severe strongyloidiasis in corticosteroid-treated patients. Clin. Microbiol. Infect. Off. Publ. Eur. Soc. Clin. Microbiol. Infect. Dis. 2006, 12, 945–947. [Google Scholar] [CrossRef]
- Davidson, R.A.; Fletcher, R.H.; Chapman, L.E. Risk factors for strongyloidiasis. A case-control study. Arch. Intern. Med. 1984, 144, 321–324. [Google Scholar] [CrossRef]
- L’huillier, A.G.; Kumar, D.; Bahinskaya, I.; Ferreira, V.H.; Humar, A. 1532. Increased Risk of Bacterial, Fungal and Other Viral Infections During CMV Infection: Decreased Cytokine Production in Response to Toll-Like Receptor Ligands. Open. Forum Infect. Dis. 2018, 5, S475–S476. [Google Scholar] [CrossRef]
- Sia, I.G.; Patel, R. New strategies for prevention and therapy of cytomegalovirus infection and disease in solid-organ transplant recipients. Clin. Microbiol. Rev. 2000, 13, 83–121. [Google Scholar] [CrossRef]
- Manuel, O.; Avery, R.K. Update on cytomegalovirus in transplant recipients: New agents, prophylaxis, and cell-mediated immunity. Curr. Opin. Infect. Dis. 2021, 34, 307–313. [Google Scholar] [CrossRef]
- Jongwutiwes, U.; Waywa, D.; Silpasakorn, S.; Wanachiwanawin, D.; Suputtamongkol, Y. Prevalence and risk factors of acquiring Strongyloides stercoralis infection among patients attending a tertiary hospital in Thailand. Pathog. Glob. Health 2014, 108, 137–140. [Google Scholar] [CrossRef]
- DeVault, G.A., Jr.; King, J.W.; Rohr, M.S.; Landrenean, M.D.; Brown, S.T., III; McDonald, J.C. Opportunistic infections with Strongyloides stercoralis in renal transplantation. Rev. Infect. Dis. 1990, 12, 653–671. [Google Scholar] [CrossRef] [PubMed]
- Fischer, S.A.; Avery, R.K. Screening of donor and recipient prior to solid organ transplantation. Am. J. Transplant. 2009, 9 (Suppl. S4), S7–S18. [Google Scholar] [CrossRef] [PubMed]
- Schwartz, B.S.; Mawhorter, S.D. Parasitic infections in solid organ transplantation. Am. J. Transplant. 2013, 13 (Suppl. S4), 280–303. [Google Scholar] [CrossRef]
- Rosen, A.; Ison, M.G. Screening of living organ donors for endemic infections: Understanding the challenges and benefits of enhanced screening. Transpl. Infect. Dis. 2016, 19, e12633. [Google Scholar] [CrossRef] [PubMed]
- Yongbantom, A.; Sribenjalux, W.; Manomaiwong, N.; Meesing, A. Efficacy of Oral Ivermectin as Empirical Prophylaxis for Strongyloidiasis in Patients Treated with High-Dose Corticosteroids: A Retrospective Cohort Study. Am. J. Trop. Med. Hyg. 2023, 108, 1183–1187. [Google Scholar] [CrossRef]
- Ottino, L.; Buonfrate, D.; Paradies, P.; Bisoffi, Z.; Antonelli, A.; Rossolini, G.M.; Gabrielli, S.; Bartoloni, A.; Zammarchi, L. Autochthonous Human and Canine Strongyloides stercoralis Infection in Europe: Report of a Human Case in An Italian Teen and Systematic Review of the Literature. Pathogens 2020, 9, 439. [Google Scholar] [CrossRef]
- Buonfrate, D.; Requena-Mendez, A.; Angheben, A.; Muñoz, J.; Gobbi, F.; Van Den Ende, J.; Bisoffi, Z. Severe strongyloidiasis: A systematic review of case reports. BMC Infect. Dis. 2013, 8, 13–78. [Google Scholar] [CrossRef]
- De la Cruz Mayhua, J.C.; Rizvi, B. Strongyloides Hyperinfection Causing Gastrointestinal Bleeding and Bacteremia in an Immunocompromised Patient. Cureus 2021, 13, e15902. [Google Scholar] [CrossRef]


Disclaimer/Publisher’s Note: The statements, opinions and data contained in all publications are solely those of the individual author(s) and contributor(s) and not of MDPI and/or the editor(s). MDPI and/or the editor(s) disclaim responsibility for any injury to people or property resulting from any ideas, methods, instructions or products referred to in the content. |
© 2023 by the authors. Licensee MDPI, Basel, Switzerland. This article is an open access article distributed under the terms and conditions of the Creative Commons Attribution (CC BY) license (https://creativecommons.org/licenses/by/4.0/).
Share and Cite
Lupia, T.; Crisà, E.; Gaviraghi, A.; Rizzello, B.; Di Vincenzo, A.; Carnevale-Schianca, F.; Caravelli, D.; Fizzotti, M.; Tolomeo, F.; Vitolo, U.; et al. Strongyloides spp. and Cytomegalovirus Co-Infection in Patient Affected by Non-Hodgkin Lymphoma. Trop. Med. Infect. Dis. 2023, 8, 331. https://doi.org/10.3390/tropicalmed8060331
Lupia T, Crisà E, Gaviraghi A, Rizzello B, Di Vincenzo A, Carnevale-Schianca F, Caravelli D, Fizzotti M, Tolomeo F, Vitolo U, et al. Strongyloides spp. and Cytomegalovirus Co-Infection in Patient Affected by Non-Hodgkin Lymphoma. Tropical Medicine and Infectious Disease. 2023; 8(6):331. https://doi.org/10.3390/tropicalmed8060331
Chicago/Turabian StyleLupia, Tommaso, Elena Crisà, Alberto Gaviraghi, Barbara Rizzello, Alessia Di Vincenzo, Fabrizio Carnevale-Schianca, Daniela Caravelli, Marco Fizzotti, Francesco Tolomeo, Umberto Vitolo, and et al. 2023. "Strongyloides spp. and Cytomegalovirus Co-Infection in Patient Affected by Non-Hodgkin Lymphoma" Tropical Medicine and Infectious Disease 8, no. 6: 331. https://doi.org/10.3390/tropicalmed8060331
APA StyleLupia, T., Crisà, E., Gaviraghi, A., Rizzello, B., Di Vincenzo, A., Carnevale-Schianca, F., Caravelli, D., Fizzotti, M., Tolomeo, F., Vitolo, U., De Benedetto, I., Shbaklo, N., Cerutti, A., Fenu, P., Gregorc, V., Corcione, S., Ghisetti, V., & De Rosa, F. G. (2023). Strongyloides spp. and Cytomegalovirus Co-Infection in Patient Affected by Non-Hodgkin Lymphoma. Tropical Medicine and Infectious Disease, 8(6), 331. https://doi.org/10.3390/tropicalmed8060331

