The Impact of Geographical Variation in Plasmodium knowlesi Apical Membrane Protein 1 (PkAMA-1) on Invasion Dynamics of P. knowlesi
Abstract
1. Introduction
2. Materials and Methods
2.1. Materials Used
2.2. Sample Selection
2.3. Construction of Recombinant Plasmids
2.4. Expression of Recombinant Proteins
2.5. Recombinant Protein Purification
2.6. Protein Exposure to Animals
2.7. Affinity Purification of Antibody from Rabbit Serum
2.8. Merozoite Invasion Inhibition Assay
2.9. Statistical Analysis
3. Results
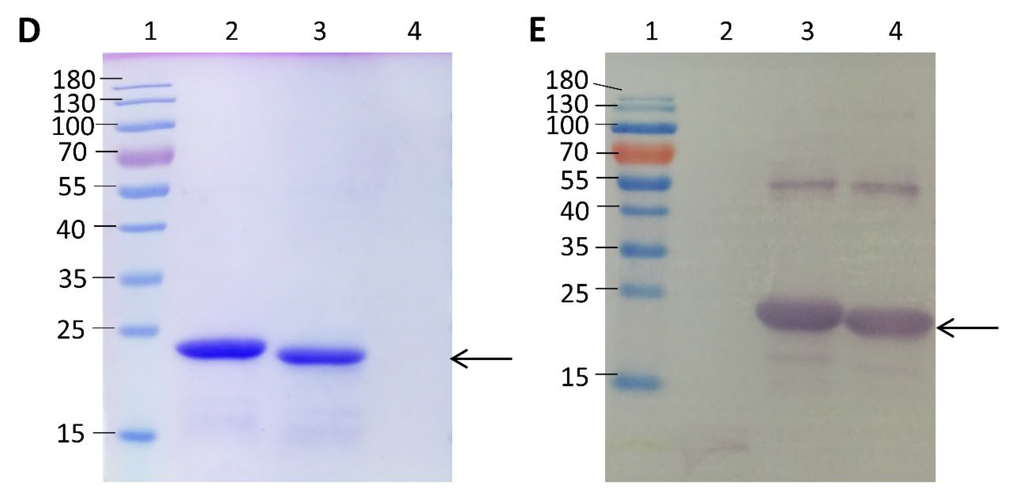
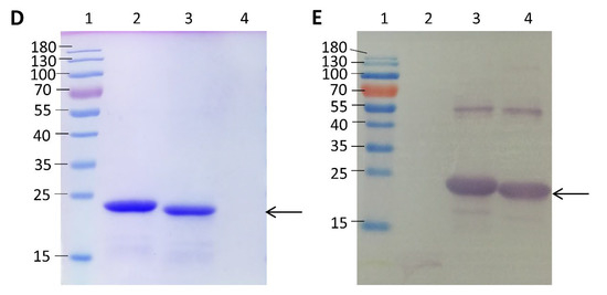
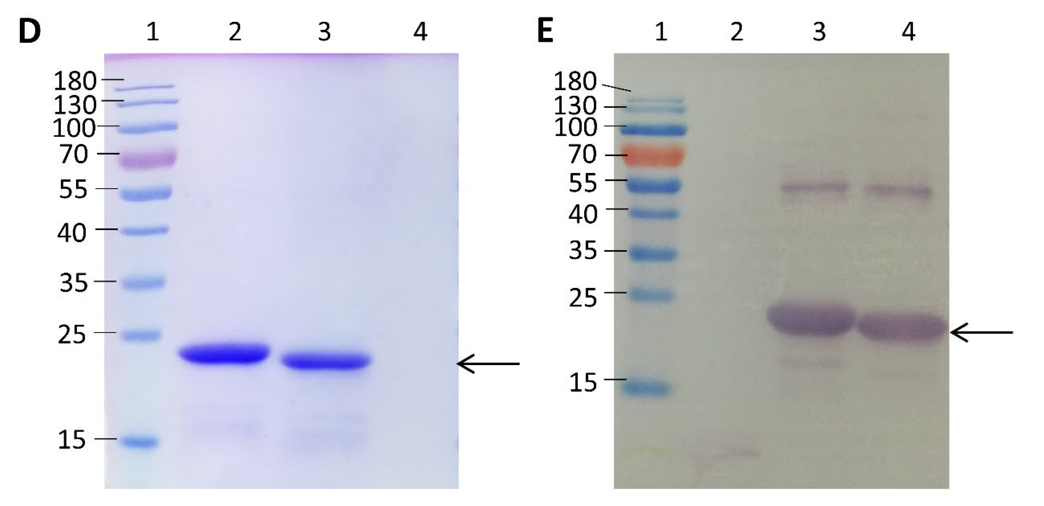
3.1. Recombinant Proteins Expression of PkAMA-1-DII-P and PkAMA-1-DII-B
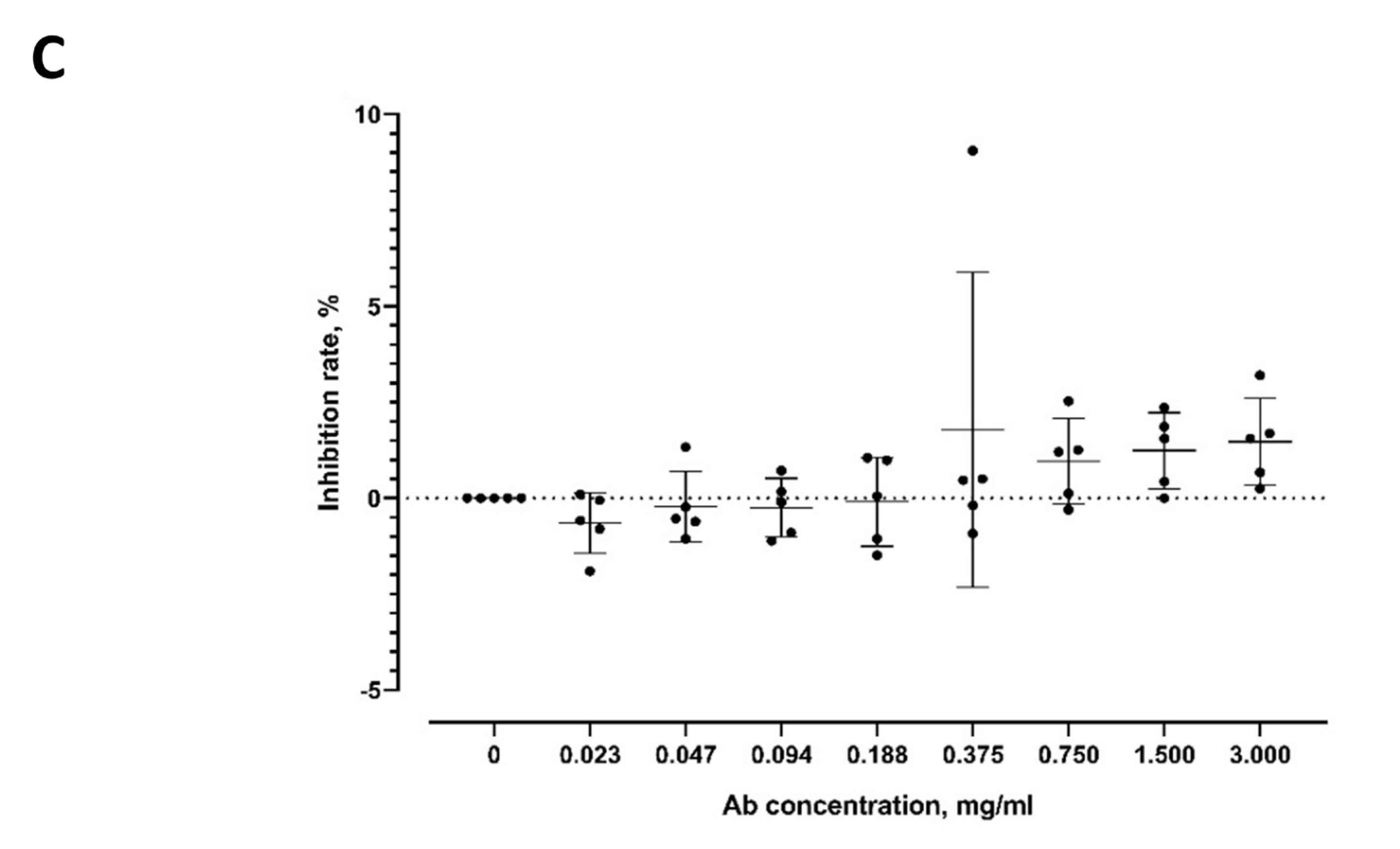
3.2. Merozoite Invasion Inhibition Assay
4. Discussion
Supplementary Materials
Author Contributions
Funding
Institutional Review Board Statement
Informed Consent Statement
Data Availability Statement
Acknowledgments
Conflicts of Interest
References
- Lau, Y.L.; Lee, W.C.; Chen, J.; Zhong, Z.; Jian, J.; Amir, A.; Cheong, F.W.; Sum, J.S.; Fong, M.Y. Draft genomes of Anopheles cracens and Anopheles maculatus: Comparison of simian malaria and human malaria vectors in Peninsular Malaysia. PLoS ONE 2016, 11, e0157893. [Google Scholar] [CrossRef] [PubMed]
- Lee, W.C.; Cheong, F.W.; Amir, A.; Lai, M.Y.; Tan, J.H.; Phang, W.K.; Shahari, S.; Lau, Y.L. Plasmodium knowlesi: The game changer for malaria eradication. Malar. J. 2022, 21, 140. [Google Scholar] [CrossRef] [PubMed]
- Hussin, N.; Lim, Y.A.; Goh, P.P.; William, T.; Jelip, J.; Mudin, R.N. Updates on malaria incidence and profile in Malaysia from 2013 to 2017. Malar. J. 2020, 19, 55. [Google Scholar] [CrossRef] [PubMed]
- Lee, K.S.; Cox-Singh, J.; Singh, B. Morphological features and differential counts of Plasmodium knowlesi parasites in naturally acquired human infections. Malar. J. 2009, 8, 73. [Google Scholar] [CrossRef] [PubMed]
- Lee, W.C.; Chin, P.W.; Lau, Y.L.; Chin, L.C.; Fong, M.Y.; Yap, C.J.; Supramaniam, R.R.; Mahmud, R. Hyperparasitaemic human Plasmodium knowlesi infection with atypical morphology in Peninsular Malaysia. Malar. J. 2013, 12, 88. [Google Scholar] [CrossRef]
- Singh, B.; Daneshvar, C. Human infections and detection of Plasmodium knowlesi. Clin. Microbiol. Rev. 2013, 26, 165–184. [Google Scholar] [CrossRef]
- Cox-Singh, J.; Hiu, J.; Lucas, S.B.; Divis, P.C.; Zulkarnaen, M.; Chandran, P.; Wong, K.T.; Adem, P.; Zaki, S.R.; Singh, B.; et al. Severe malaria—A case of fatal Plasmodium knowlesi infection with post-mortem findings: A case report. Malar. J. 2010, 9, 10. [Google Scholar] [CrossRef]
- Daneshvar, C.; Davis, T.M.; Cox-Singh, J.; Rafa’ee, M.Z.; Zakaria, S.K.; Divis, P.C.; Singh, B. Clinical and laboratory features of human Plasmodium knowlesi infection. Clin. Infect. Dis. 2009, 49, 852–860. [Google Scholar] [CrossRef]
- Seilmaier, M.; Hartmann, W.; Beissner, M.; Fenzl, T.; Haller, C.; Guggemos, W.; Hesse, J.; Harle, A.; Bretzel, G.; Sack, S.; et al. Severe Plasmodium knowlesi infection with multi-organ failure imported to Germany from Thailand/Myanmar. Malar. J. 2014, 13, 422. [Google Scholar] [CrossRef]
- Hu, T.H.; Rosli, N.; Mohamad, D.S.A.; Kadir, K.A.; Ching, Z.H.; Chai, Y.H.; Ideris, N.N.; Ting, L.S.C.; Dihom, A.A.; Kong, S.L.; et al. A comparison of the clinical, laboratory and epidemiological features of two divergent subpopulations of Plasmodium knowlesi. Sci. Rep. 2021, 11, 20117. [Google Scholar] [CrossRef]
- Kaur, C.; Pramanik, A.; Kumari, K.; Mandage, R.; Dinda, A.K.; Sankar, J.; Bagga, A.; Agarwal, S.K.; Sinha, A.; Singh, G.; et al. Renal detection of Plasmodium falciparum, Plasmodium vivax and Plasmodium knowlesi in malaria associated acute kidney injury: A retrospective case-control study. BMC Res. Notes 2020, 13, 37. [Google Scholar] [CrossRef]
- Moon, R.W.; Hall, J.; Rangkuti, F.; Ho, Y.S.; Almond, N.; Mitchell, G.H.; Pain, A.; Holder, A.A.; Blackman, M.J. Adaptation of the genetically tractable malaria pathogen Plasmodium knowlesi to continuous culture in human erythrocytes. Proc. Natl. Acad. Sci. USA 2013, 110, 531–536. [Google Scholar] [CrossRef]
- White, N.J. Plasmodium knowlesi: The fifth human malaria parasite. Clin. Infect. Dis. 2008, 46, 172–173. [Google Scholar] [CrossRef]
- Knowles, R.; Gupta, B.M.D. A study of monkey-malaria, and its experimental transmission to man. Ind. Med. Gaz. 1932, 67, 301–320. [Google Scholar]
- Chin, W.; Contacos, P.G.; Coatney, G.R.; Kimball, H.R. A naturally acquited quotidian-type malaria in man transferable to monkeys. Science 1965, 149, 865. [Google Scholar] [CrossRef]
- Fong, Y.L.; Cadigan, F.C.; Coatney, G.R. A presumptive case of naturally occurring Plasmodium knowlesi malaria in man in Malaysia. Trans. R. Soc. Trop. Med. Hyg. 1971, 65, 839–840. [Google Scholar] [CrossRef]
- Kantele, A.; Jokiranta, T.S. Review of cases with the emerging fifth human malaria parasite, Plasmodium knowlesi. Clin. Infect. Dis. 2011, 52, 1356–1362. [Google Scholar] [CrossRef]
- Deans, J.A.; Alderson, T.; Thomas, A.W.; Mitchell, G.H.; Lennox, E.S.; Cohen, S. Rat monoclonal antibodies which inhibit the in vitro multiplication of Plasmodium knowlesi. Clin. Exp. Immunol. 1982, 49, 297–309. [Google Scholar]
- Narum, D.L.; Thomas, A.W. Differential localization of full-length and processed forms of PF83/AMA-1 an apical membrane antigen of Plasmodium falciparum merozoites. Mol. Biochem. Parasitol. 1994, 67, 59–68. [Google Scholar] [CrossRef]
- Srinivasan, P.; Beatty, W.L.; Diouf, A.; Herrera, R.; Ambroggio, X.; Moch, J.K.; Tyler, J.S.; Narum, D.L.; Pierce, S.K.; Boothroyd, J.C.; et al. Binding of Plasmodium merozoite proteins RON2 and AMA1 triggers commitment to invasion. Proc. Natl. Acad. Sci. USA 2011, 108, 13275–13280. [Google Scholar] [CrossRef]
- Yap, A.; Azevedo, M.F.; Gilson, P.R.; Weiss, G.E.; O’Neill, M.T.; Wilson, D.W.; Crabb, B.S.; Cowman, A.F. Conditional expression of apical membrane antigen 1 in Plasmodium falciparum shows it is required for erythrocyte invasion by merozoites. Cell. Microbiol. 2014, 16, 642–656. [Google Scholar] [CrossRef] [PubMed]
- Drew, D.R.; Sanders, P.R.; Weiss, G.; Gilson, P.R.; Crabb, B.S.; Beeson, J.G. Functional conservation of the AMA1 host-cell invasion ligand between P. falciparum and P. vivax: A novel platform to accelerate vaccine and drug development. J. Infect. Dis. 2018, 217, 498–507. [Google Scholar] [CrossRef] [PubMed]
- Cowman, A.F.; Tonkin, C.J.; Tham, W.H.; Duraisingh, M.T. The molecular basis of erythrocyte invasion by malaria parasites. Cell Host Microbe 2017, 22, 232–245. [Google Scholar] [CrossRef] [PubMed]
- Muh, F.; Lee, S.K.; Hoque, M.R.; Han, J.H.; Park, J.H.; Firdaus, E.R.; Moon, R.W.; Lau, Y.L.; Han, E.T. In vitro invasion inhibition assay using antibodies against Plasmodium knowlesi Duffy binding protein alpha and apical membrane antigen protein 1 in human erythrocyte-adapted P. knowlesi A1-H.1 strain. Malar. J. 2018, 17, 272. [Google Scholar] [CrossRef]
- Vulliez-Le Normand, B.; Faber, B.W.; Saul, F.A.; van der Eijk, M.; Thomas, A.W.; Singh, B.; Kocken, C.H.; Bentley, G.A. Crystal structure of Plasmodium knowlesi apical membrane antigen 1 and its complex with an invasion-inhibitory monoclonal antibody. PLoS ONE 2015, 10, e0123567. [Google Scholar] [CrossRef]
- Chua, C.Y.; Lee, P.C.; Lau, T.Y. Analysis of polymorphisms and selective pressures on ama1 gene in Plasmodium knowlesi isolates from Sabah, Malaysia. J. Genet. 2017, 96, 653–663. [Google Scholar] [CrossRef]
- Mitchell, G.H.; Thomas, A.W.; Margos, G.; Dluzewski, A.R.; Bannister, L.H. Apical membrane antigen 1, a major malaria vaccine candidate, mediates the close attachment of invasive merozoites to host red blood cells. Infect. Immun. 2004, 72, 154–158. [Google Scholar] [CrossRef]
- Ng, Y.L.; Fong, M.Y.; Lau, Y.L. Genetic diversity of the full length apical membrane antigen-1 of Plasmodium knowlesi clinical isolates from Peninsular Malaysia. Trop. Biomed. 2021, 38, 159–164. [Google Scholar] [CrossRef]
- Desai, S.; Dworecki, B.R. Coated microwell plate-based affinity purification of antigens. Anal. Biochem. 2004, 328, 162–165. [Google Scholar] [CrossRef]
- Lim, S.S.; Yang, W.; Krishnarjuna, B.; Kannan Sivaraman, K.; Chandrashekaran, I.R.; Kass, I.; MacRaild, C.A.; Devine, S.M.; Debono, C.O.; Anders, R.F.; et al. Structure and dynamics of apical membrane antigen 1 from Plasmodium falciparum FVO. Biochemistry 2014, 53, 7310–7320. [Google Scholar] [CrossRef]
- Pizarro, J.C.; Vulliez-Le Normand, B.; Chesne-Seck, M.L.; Collins, C.R.; Withers-Martinez, C.; Hackett, F.; Blackman, M.J.; Faber, B.W.; Remarque, E.J.; Kocken, C.H.; et al. Crystal structure of the malaria vaccine candidate apical membrane antigen 1. Science 2005, 308, 408–411. [Google Scholar] [CrossRef]
- Ord, R.L.; Rodriguez, M.; Yamasaki, T.; Takeo, S.; Tsuboi, T.; Lobo, C.A. Targeting sialic acid dependent and independent pathways of invasion in Plasmodium falciparum. PLoS ONE 2012, 7, e30251. [Google Scholar] [CrossRef]
- Popovici, J.; Roesch, C.; Rougeron, V. The enigmatic mechanisms by which Plasmodium vivax infects Duffy-negative individuals. PLoS Pathog. 2020, 16, e1008258. [Google Scholar] [CrossRef]
- Siddiqui, F.A.; Dhawan, S.; Singh, S.; Singh, B.; Gupta, P.; Pandey, A.; Mohmmed, A.; Gaur, D.; Chitnis, C.E. A thrombospondin structural repeat containing rhoptry protein from Plasmodium falciparum mediates erythrocyte invasion. Cell. Microbiol. 2013, 15, 1341–1356. [Google Scholar] [CrossRef]
- Howard, R.F.; Jacobson, K.C.; Rickel, E.; Thurman, J. Analysis of inhibitory epitopes in the Plasmodium falciparum rhoptry protein RAP-1 including identification of a second inhibitory epitope. Infect. Immun. 1998, 66, 380–386. [Google Scholar] [CrossRef]
- Curtidor, H.; García, J.; Vanegas, M.; Puentes, F.; Forero, M.; Patarroyo, M.E. Identification of peptides with high red blood cell and hepatocyte binding activity in the Plasmodium falciparum multi-stage invasion proteins: PfSPATR and MCP-1. Biochimie 2008, 90, 1750–1759. [Google Scholar] [CrossRef]
- Doolan, D.L.; Dobaño, C.; Baird, J.K. Acquired immunity to malaria. Clin. Microbiol. Rev. 2009, 22, 13–36. [Google Scholar] [CrossRef]
- Hocking, S.E.; Divis, P.C.S.; Kadir, K.A.; Singh, B.; Conway, D.J. Population genomic structure and recent evolution of Plasmodium knowlesi, Peninsular Malaysia. Emerg. Infect. Dis. 2020, 26, 1749–1758. [Google Scholar] [CrossRef]






Disclaimer/Publisher’s Note: The statements, opinions and data contained in all publications are solely those of the individual author(s) and contributor(s) and not of MDPI and/or the editor(s). MDPI and/or the editor(s) disclaim responsibility for any injury to people or property resulting from any ideas, methods, instructions or products referred to in the content. |
© 2023 by the authors. Licensee MDPI, Basel, Switzerland. This article is an open access article distributed under the terms and conditions of the Creative Commons Attribution (CC BY) license (https://creativecommons.org/licenses/by/4.0/).
Share and Cite
Ng, Y.L.; Lee, W.-C.; Lau, Y.-L.; Fong, M.Y. The Impact of Geographical Variation in Plasmodium knowlesi Apical Membrane Protein 1 (PkAMA-1) on Invasion Dynamics of P. knowlesi. Trop. Med. Infect. Dis. 2023, 8, 56. https://doi.org/10.3390/tropicalmed8010056
Ng YL, Lee W-C, Lau Y-L, Fong MY. The Impact of Geographical Variation in Plasmodium knowlesi Apical Membrane Protein 1 (PkAMA-1) on Invasion Dynamics of P. knowlesi. Tropical Medicine and Infectious Disease. 2023; 8(1):56. https://doi.org/10.3390/tropicalmed8010056
Chicago/Turabian StyleNg, Yee Ling, Wenn-Chyau Lee, Yee-Ling Lau, and Mun Yik Fong. 2023. "The Impact of Geographical Variation in Plasmodium knowlesi Apical Membrane Protein 1 (PkAMA-1) on Invasion Dynamics of P. knowlesi" Tropical Medicine and Infectious Disease 8, no. 1: 56. https://doi.org/10.3390/tropicalmed8010056
APA StyleNg, Y. L., Lee, W.-C., Lau, Y.-L., & Fong, M. Y. (2023). The Impact of Geographical Variation in Plasmodium knowlesi Apical Membrane Protein 1 (PkAMA-1) on Invasion Dynamics of P. knowlesi. Tropical Medicine and Infectious Disease, 8(1), 56. https://doi.org/10.3390/tropicalmed8010056

