Phytochemical, Antimalarial, and Acute Oral Toxicity Properties of Selected Crude Extracts of Prabchompoothaweep Remedy in Plasmodium berghei-Infected Mice
Abstract
1. Introduction
2. Materials and Methods
2.1. Plant Collection
2.2. Preparation of Plant Extracts
2.3. Phytochemical Screening
2.4. Liquid Chromatography-Quadrupole Time-of-Flight Mass Spectrometry (LC-QTOF MS) Analysis
2.5. Animals and Rodent Parasites
2.6. Animal Grouping and Dosing
2.7. Four-Day Suppressive Test (Peter’s Test)
2.8. Pack Cell Volume (PCV)
2.9. Acute Toxicity Measurement
2.10. Biochemical Analysis
2.11. Histopathological Examination
2.12. Statistical Analysis
3. Results
3.1. Percentage Yield and Phytochemical Screening of Ethanolic Crude Extracts
3.2. LC-QTOF-MS Analysis
3.3. Four-Day Suppressive Test
3.4. PCV
3.5. Acute Oral Toxicity Test
3.5.1. Physical Activity and Behavior, Food and Water Uptake, and Body Weight
3.5.2. Biochemical Assessment of Liver and Kidney Functions
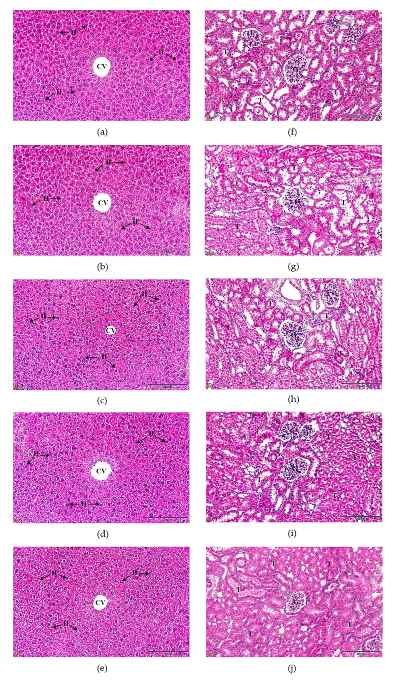
3.5.3. Histological Examination of Liver and Kidney Tissues
4. Discussion
5. Conclusions
Author Contributions
Funding
Institutional Review Board Statement
Informed Consent Statement
Data Availability Statement
Acknowledgments
Conflicts of Interest
References
- Moxon, C.A.; Gibbins, M.P.; McGuinness, D.; Milner, D.A.; Marti, M. New Insights into Malaria Pathogenesis. Annu. Rev. Pathol. 2020, 15, 315–343. [Google Scholar] [CrossRef] [PubMed]
- World Health Organization. World Malaria Report. 2021. Available online: https://www.who.int/teams/global-malaria-programme/reports/world-malaria-report-2021 (accessed on 20 May 2022).
- World Health Organization. Artemisinin Resistance and Artemisinin-Based Combination Therapy Efficacy: Status Report. 2018. Available online: https://apps.who.int/iris/handle/10665/274362 (accessed on 20 May 2022).
- Ashley, E.A.; Dhorda, M.; Fairhurst, R.M.; Amaratunga, C.; Lim, P.; Suon, S.; Sreng, S.; Anderson, J.M.; Mao, S.; Sam, B.; et al. Spread of artemisinin resistance in Plasmodium falciparum malaria. N. Engl. J. Med. 2014, 371, 411–423. [Google Scholar] [CrossRef] [PubMed]
- Nsanzabana, C. Resistance to Artemisinin Combination Therapies (ACTs): Do Not Forget the Partner Drug! Trop. Med. Infect. Dis. 2019, 4, 26. [Google Scholar] [CrossRef] [PubMed]
- Fairhurst, R.M.; Dondorp, A.M. Artemisinin-resistant Plasmodium falciparum malaria. Microbiol. Spectr. 2016, 4, 409–429. [Google Scholar] [CrossRef]
- World Health Oragnization. World Malaria Report. 2019. Available online: https://www.who.int/publications/i/item/9789241565721 (accessed on 20 May 2022).
- Haidara, M.; Haddad, M.; Denou, A.; Marti, G.; Bourgeade-Delmas, S.; Sanogo, R.; Bourdy, G.; Aubouy, A. In vivo validation of anti-malarial activity of crude extracts of Terminalia macroptera, a Malian medicinal plant. Malar. J. 2018, 17, 68. [Google Scholar] [CrossRef]
- Mojab, F. Antimalarial natural products: A review. Avicenna J. Phytomed. 2012, 2, 52–62. [Google Scholar]
- Alehegn, A.A.; Yesuf, J.S.; Birru, E.M. Antimalarial activity of crude extract and solvent fractions of the leaves of Bersama abyssinica fresen. (Melianthaceae) against Plasmodium berghei infection in Swiss albino mice. Evid.-Based Complement. Altern. Med. 2020, 2020, 9467359. [Google Scholar] [CrossRef]
- Leangpanich, S.; Itharat, A.; Chanvimalueng, W.; Mukkasombat, N. A preliminary study on efficacy of Prapchompoothaweep remedy for treatment of allergic rhinitis patients and their quality of life after the treatment. TMJ 2019, 19, 537–546. [Google Scholar]
- Jai-aue, A.; Makchuchit, S.; Juckmeta, T.; Itharat, A. Anti-allergic, anti-inflammatory and antioxidant activities of the different extracts of Thai traditional remedy called prabchompoothaweep for allergic rhinitis treatment. J. Med. Assoc. Thail. 2014, 97, 140–1488. [Google Scholar]
- Ha, M.T.; Vu, N.K.; Tran, T.H.; Kim, J.A.; Woo, M.H.; Min, B.S. Phytochemical and pharmacological properties of Myristica fragrans Houtt.: An updated review. Arch. Pharm. Res. 2020, 43, 1067–1092. [Google Scholar] [CrossRef]
- Arumugam, G.; Purushotham, B.; Swamy, M.K. Myristica fragrans Houtt.: Botanical, pharmacological, and toxicological aspects. In Natural Bio-Active Compounds; Springer: New York, NY, USA, 2019; pp. 81–106. [Google Scholar]
- Latha, P.; Sindhu, P.; Suja, S.; Geetha, B.; Pushpangadan, P.; Rajasekharan, S. Pharmacology and chemistry of Myristica fragrans Houtt.—A review. JOSAC 2005, 14, 94–101. [Google Scholar]
- Zhang, W.-J.; Zhao, Z.-Y.; Chang, L.-K.; Cao, Y.; Wang, S.; Kang, C.-Z.; Wang, H.-Y.; Zhou, L.; Huang, L.-Q.; Guo, L.-P. Atractylodis Rhizoma: A review of its traditional uses, phytochemistry, pharmacology, toxicology and quality control. J. Ethnopharmacol. 2021, 266, 113415. [Google Scholar] [CrossRef]
- Koonrungsesomboon, N.; Na-Bangchang, K.; Karbwang, J. Therapeutic potential and pharmacological activities of Atractylodes lancea (Thunb.) DC. Asian Pac. J. Trop. Med. 2014, 7, 421–428. [Google Scholar] [CrossRef]
- Na-Bangchang, K.; Kulma, I.; Plengsuriyakarn, T.; Tharavanij, T.; Kotawng, K.; Chemung, A.; Muhamad, N.; Karbwang, J. Phase I clinical trial to evaluate the safety and pharmacokinetics of capsule formulation of the standardized extract of Atractylodes lancea. J. Tradit. Complement. Med. 2021, 11, 343–355. [Google Scholar] [CrossRef]
- Malar, C.G.R.; Chellaram, C. Phytochemical Screening, Quantification of Total Phenols, Total Flavonoids and Antimicrobial Activity of Stem Extracts of Salacia Oblonga. Indian J. Sci. Technol. 2018, 11, 1–8. [Google Scholar] [CrossRef]
- Shad, A.A.; Ahmad, S.; Ullah, R.; AbdEl-Salam, N.M.; Fouad, H.; Rehman, N.U.; Hussain, H.; Saeed, W. Phytochemical and biological activities of four wild medicinal plants. Sci. World J. 2014, 2014, 857363. [Google Scholar] [CrossRef]
- Shaikh, J.R.; Patil, M. Qualitative tests for preliminary phytochemical screening: An overview. Int. J. Chem. Stud. 2020, 8, 603–608. [Google Scholar] [CrossRef]
- Peters, W.; Portus, J.; Robinson, B. The chemotherapy of rodent malaria, XXII: The value of drug-resistant strains of P. berghei in screening for blood schizontocidal activity. Ann. Trop. Med. Parasitol. 1975, 69, 155–171. [Google Scholar] [CrossRef]
- Organisation for Economic Co-operation and Development (OECD). Test No. 425: Acute Oral Toxicity: Up-and-Down Procedure; OECD Publishing: Paris, France, 2008. [Google Scholar]
- Phuwajaroanpong, A.; Chaniad, P.; Horata, N.; Muangchanburee, S.; Kaewdana, K.; Punsawad, C. In vitro and in vivo antimalarial activities and toxicological assessment of Pogostemon cablin (Blanco) Benth. J. Evid.-Based Integr. Med. 2020, 25, 2515690X20978387. [Google Scholar] [CrossRef]
- Viriyavejakul, P.; Khachonsaksumet, V.; Punsawad, C. Liver changes in severe Plasmodium falciparum malaria: Histopathology, apoptosis and nuclear factor kappa B expression. Malar. J. 2014, 13, 106. [Google Scholar] [CrossRef]
- Wichapoon, B.; Punsawad, C.; Viriyavejakul, P. Expression of cleaved caspase-3 in renal tubular cells in Plasmodium falciparum malaria patients. Nephrology 2017, 22, 79–84. [Google Scholar] [CrossRef] [PubMed]
- World Health Organization. WHO Traditional Medicine Strategy: 2014–2023. 2013. Available online: https://www.who.int/publications/i/item/9789241506096 (accessed on 3 June 2022).
- Kaharudin, F.A.; Zohdi, R.M.; Mukhtar, S.M.; Sidek, H.M.; Bihud, N.V.; Rasol, N.E.; Ahmad, F.B.; Ismail, N.H. In vitro antiplasmodial and cytotoxicity activities of crude extracts and major compounds from Goniothalamus lanceolatus. J. Ethnopharmacol. 2020, 254, 112657. [Google Scholar] [CrossRef] [PubMed]
- Koch, A.; Tamez, P.; Pezzuto, J.; Soejarto, D. Evaluation of plants used for antimalarial treatment by the Maasai of Kenya. J. Ethnopharmacol. 2005, 101, 95–99. [Google Scholar] [CrossRef] [PubMed]
- Haddadi, M.; Mousavi, M.J.; Mohseni, S.; Mardani, G. In vitro ADME Screening Instead of in vivo Studies in Preclinical Safety. Biomed. J. Sci. Tech. Res. 2020, 24, 18371–18376. [Google Scholar] [CrossRef]
- Fidock, D.A.; Rosenthal, P.J.; Croft, S.L.; Brun, R.; Nwaka, S. Antimalarial drug discovery: Efficacy models for compound screening. Nat. Rev. Drug Discov. 2004, 3, 509–520. [Google Scholar] [CrossRef]
- Mekonnen, L.B. In vivo antimalarial activity of the crude root and fruit extracts of Croton macrostachyus (Euphorbiaceae) against Plasmodium berghei in mice. J. Tradit. Complement. Med. 2015, 5, 168–173. [Google Scholar] [CrossRef]
- Farrington, L.; Vance, H.; Rek, J.; Prahl, M.; Jagannathan, P.; Katureebe, A.; Arinaitwe, E.; Kamya, M.R.; Dorsey, G.; Feeney, M.E. Both inflammatory and regulatory cytokine responses to malaria are blunted with increasing age in highly exposed children. Malar. J. 2017, 16, 499. [Google Scholar] [CrossRef]
- Afolayan, F.I.D.; Adegbolagun, O.; Mwikwabe, N.N.; Orwa, J.; Anumudu, C. Cytokine modulation during malaria infections by some medicinal plants. Sci. Afr. 2020, 8, e00428. [Google Scholar] [CrossRef]
- Kulma, I.; Panrit, L.; Plengsuriyakarn, T.; Chaijaroenkul, W.; Warathumpitak, S.; Na-Bangchang, K. A randomized placebo-controlled phase I clinical trial to evaluate the immunomodulatory activities of Atractylodes lancea (Thunb) DC. in healthy Thai subjects. BMC Complement. Med. Ther. 2021, 21, 61. [Google Scholar] [CrossRef]
- Ungogo, M.A.; Ebiloma, G.U.; Ichoron, N.; Igoli, J.O.; de Koning, H.P.; Balogun, E.O. A review of the antimalarial, antitrypanosomal, and antileishmanial activities of natural compounds Isolated from nigerian flora. Front. Chem. 2020, 8, 617448. [Google Scholar] [CrossRef]
- Rasoanaivo, P.; Wright, C.W.; Willcox, M.L.; Gilbert, B. Whole plant extracts versus single compounds for the treatment of malaria: Synergy and positive interactions. Malar. J. 2011, 10, S4. [Google Scholar] [CrossRef]
- Mazid, M.; Khan, T.; Mohammad, F. Role of secondary metabolites in defense mechanisms of plants. Biol. Med. 2011, 3, 232–249. [Google Scholar]
- Batista, R.; De Jesus Silva, A., Jr.; De Oliveira, A.B. Plant-derived antimalarial agents: New leads and efficient phytomedicines. Part II. Non-alkaloidal natural products. Molecules 2009, 14, 3037–3072. [Google Scholar] [CrossRef]
- Saxena, M.; Saxena, J.; Nema, R.; Singh, D.; Gupta, A. Phytochemistry of medicinal plants. J. Pharmacogn. Phytochem. 2013, 1, 168–182. [Google Scholar]
- Soares, J.B.R.C.; Menezes, D.; Vannier-Santos, M.A.; Ferreira-Pereira, A.; Almeida, G.T.; Venancio, T.M.; Verjovski-Almeida, S.; Zishiri, V.K.; Kuter, D.; Hunter, R.; et al. Interference with hemozoin formation represents an important mechanism of schistosomicidal action of antimalarial quinoline methanols. PLoS Negl. Trop. Dis. 2009, 3, e477. [Google Scholar] [CrossRef]
- Masihi, K.N. Fighting infection using immunomodulatory agents. Expert Opin. Biol. Ther. 2001, 1, 641–653. [Google Scholar] [CrossRef]
- Lin, Y.; Shi, R.; Wang, X.; Shen, H.-M. Luteolin, a flavonoid with potential for cancer prevention and therapy. Curr. Cancer Drug Targets 2008, 8, 634–646. [Google Scholar] [CrossRef]
- Arya, S.S.; Rookes, J.E.; Cahill, D.M.; Lenka, S.K. Vanillin: A review on the therapeutic prospects of a popular flavouring molecule. Adv. Trad. Med. 2021, 21, 1–17. [Google Scholar] [CrossRef]
- Tai, A.; Sawano, T.; Yazama, F.; Ito, H. Evaluation of antioxidant activity of vanillin by using multiple antioxidant assays. Biochim. Biophys. Acta Gen. Subj. 2011, 1810, 170–177. [Google Scholar] [CrossRef]
- Calderón-Montaño, J.M.; Burgos-Morón, E.; Pérez-Guerrero, C.; López-Lázaro, M. A review on the dietary flavonoid kaempferol. Mini-Rev. Med. Chem. 2011, 11, 298–344. [Google Scholar] [CrossRef]
- Aijaz, M.; Keserwani, N.; Yusuf, M.; Ansari, N.H.; Ushal, R.; Kalia, P. Chemical, biological, and pharmacological prospects of caffeic acid. Biointerface Res. Appl. Chem. 2022, 13, 324. [Google Scholar] [CrossRef]
- Chaniad, P.; Phuwajaroanpong, A.; Plirat, W.; Techarang, T.; Chukaew, A.; Punsawad, C. In vivo assessment of the antimalarial activity and acute oral toxicity of an ethanolic seed extract of Spondias pinnata (Lf) Kurz. BMC Complement. Med. Ther. 2022, 22, 72. [Google Scholar] [CrossRef] [PubMed]
- Verotta, L.; Dell’Agli, M.; Giolito, A.; Guerrini, M.; Cabalion, P.; Bosisio, E. In vitro antiplasmodial activity of extracts of Tristaniopsis species and identification of the active constituents: Ellagic acid and 3, 4, 5-trimethoxyphenyl-(6′-O-galloyl)-O-β-D-glucopyranoside. J. Nat. Prod. 2001, 64, 603–607. [Google Scholar] [CrossRef] [PubMed]
- Banzouzi, J.-T.; Prado-Gotor, R.; Menan, H.; Valentin, A.; Roumestan, C.; Mallie, M.; Pelissier, Y.; Blache, Y. In vitro antiplasmodial activity of extracts of Alchornea cordifolia and identification of an active constituent: Ellagic acid. J. Ethnopharmacol. 2002, 81, 399–401. [Google Scholar] [CrossRef] [PubMed]
- Soh, P.N.; Witkowski, B.; Olagnier, D.; Nicolau, M.-L.; Garcia-Alvarez, M.-C.; Berry, A.; Benoit-Vical, F. In vitro and in vivo properties of ellagic acid in malaria treatment. Antimicrob. Agents Chemother. 2009, 53, 1100–1106. [Google Scholar] [CrossRef]
- Abiodun, O.O.; Rodríguez-Nogales, A.; Algieri, F.; Gomez-Caravaca, A.M.; Segura-Carretero, A.; Utrilla, M.P.; Rodriguez-Cabezas, M.E.; Galvez, J. Antiinflammatory and immunomodulatory activity of an ethanolic extract from the stem bark of Terminalia catappa L. (Combretaceae): In vitro and in vivo evidences. J. Ethnopharmacol. 2016, 192, 309–319. [Google Scholar] [CrossRef]
- Kırmızıbekmez, H.; Çalıs, I.; Perozzo, R.; Brun, R.; Dönmez, A.A.; Linden, A.; Rüedi, P.; Tasdemir, D. Inhibiting activities of the secondary metabolites of Phlomis brunneogaleata against parasitic protozoa and plasmodial enoyl-ACP reductase, a crucial enzyme in fatty acid biosynthesis. Planta Med. 2004, 70, 711–717. [Google Scholar] [CrossRef]
- Okokon, J.; Ita, B.; Udokpoh, A. The in-vivo antimalarial activities of Uvaria chamae and Hippocratea africana. Ann. Trop. Med. Parasitol. 2006, 100, 585–590. [Google Scholar] [CrossRef]
- Nicholas, S. Antioxidants and Reactive Oxygen Species in Plants; Wiley Online Library: Hoboken, NJ, USA, 2008. [Google Scholar]
- Wannang, N.N.; Jimam, N.S.; Omale, S.; Dapar, M.L.; Gyang, S.S.; Aguiyi, J.C. Effects of Cucumis metuliferus (Cucurbitaceae) fruits on enzymes and haematological parameters in albino rats. Afr. J. Biotechnol. 2007, 6, 2515–2518. [Google Scholar] [CrossRef][Green Version]
- Saba, A.B.; Oridupa, O.A.; Ofuegbe, S.O. Evaluation of haematological and serum electrolyte changes in Wistar rats administered with ethanolic extract of whole fruit of Lagenaria breviflora Robert. J. Med. Plants Res. 2009, 3, 758–762. [Google Scholar]
- Misganaw, D.; Engidawork, E.; Nedi, T. Evaluation of the anti-malarial activity of crude extract and solvent fractions of the leaves of Olea europaea (Oleaceae) in mice. BMC Complement. Altern. Med. 2019, 19, 171. [Google Scholar] [CrossRef]
- Kaur, K.; Jain, M.; Kaur, T.; Jain, R. Antimalarials from nature. Bioorg. Med. Chem. 2009, 17, 3229–3256. [Google Scholar] [CrossRef]
- Greve, B.; Kremsner, P.; Lell, B.; Luckner, D.; Schmid, D. Malarial anaemia in African children associated with high oxygen-radical production. Lancet 2000, 355, 40–41. [Google Scholar] [CrossRef]
- Anaduaka, E.G.; Okagu, I.U.; Uchendu, N.O.; Ezeanyika, L.U.S.; Nwanguma, B.C. Hepato-renal toxicity of Myristica fragrans Houtt. (Myristicaceae) seed extracts in rats. J. King Saud Univ. Sci. 2022, 34, 101694. [Google Scholar] [CrossRef]
- Osagie-Eweka, S.E.; Orhue, N.E.J.; Omogbai, E.K.I.; Amaechina, F.C. Oral acute and sub-chronic toxicity assessment of aqueous leaf extract of Simarouba glauca DC (Paradise tree). Toxicol. Rep. 2021, 8, 239–247. [Google Scholar] [CrossRef]
- Anosike, C.A.; Ugwu, U.B.; Nwakanma, O. Effect of ethanol extract of Pyrenacantha staudtii leaves on carbontetrachloride induced hepatotoxicity in rats. Biokemistri 2008, 20, 17–22. [Google Scholar] [CrossRef]
- Nigatu, T.A.; Afework, M.; Urga, K.; Ergete, W.; Makonnen, E. Toxicological in vestigation of acute and chronic treatment with Gnidia stenophylla Gilg root extract on some blood parameters and histopathology of spleen, liver and kidney in mice. BMC Res. Notes 2017, 10, 625. [Google Scholar] [CrossRef]
- Reddy, M.K.; Gupta, S.K.; Jacob, M.R.; Khan, S.I.; Ferreira, D. Antioxidant, antimalarial and antimicrobial activities of tannin-rich fractions, ellagitannins and phenolic acids from Punica granatum L. Planta Med. 2007, 53, 461–467. [Google Scholar] [CrossRef]




| Phytochemical Constituents | M. fragrans | A. lancea | Prabchompoothaweep Remedy |
|---|---|---|---|
| Flavonoid | + | - | - |
| Terpenoids | + | + | + |
| Alkaloids | + | + | + |
| Tannins | - | - | + |
| Anthraquinones | - | - | - |
| Cardiac glycosides | - | - | - |
| Saponins | - | - | - |
| Coumarins | + | - | + |
| No. | M/Z | RT (min) | Compounds | Molecular Formula | Molecular Weight |
|---|---|---|---|---|---|
| 1 | 133.014 | 2.087 | Malic acid | C4H6O5 | 134.021 |
| 2 | 149.009 | 1.886 | Tartaric acid | C4H6O6 | 150.016 |
| 3 | 285.040 | 27.493 | Luteolin | C15H10O6 | 286.047 |
| 4 | 357.134 | 27.969 | (7′x,8′x)-4,7′-Epoxy-3,8′-bilign-7-ene-3,5′-dimethoxy-4′,9,9′-triol | C20H22O6 | 358.141 |
| 5 | 201.149 | 31.852 | 3-Hydroxynonyl acetate | C11H22O3 | 202.156 |
| 6 | 265.056 | 2.1360 | Monoglyceride citrate | C9H14O9 | 266.063 |
| 7 | 373.165 | 38.781 | Sonchifolin | C21H26O6 | 374.172 |
| 8 | 345.134 | 31.690 | Gibberellin A92 | C19H22O6 | 346.141 |
| 9 | 161.045 | 4.429 | 3-Hydroxy-3-methyl-glutaric acid | C6H10O5 | 162.052 |
| 10 | 179.071 | 15.867 | Propyl 2-furanacrylate | C10H12O3 | 180.078 |
| 11 | 207.066 | 18.673 | Sinapyl aldehyde | C11H12O4 | 208.073 |
| 12 | 219.050 | 5.294 | 1-Hydroxypentane-1,2,5-tricarboxylate | C8H12O7 | 220.058 |
| 13 | 329.103 | 35.937 | Isoamericanol A | C18H18O6 | 330.110 |
| 14 | 299.092 | 33.581 | 2,4-Dihydroxy-6,4′-dimethoxychalcone | C17H16O5 | 300.099 |
| 15 | 167.034 | 9.353 | Dihydroxyphenylacetic acid | C8H8O4 | 168.042 |
| 16 | 183.102 | 34.258 | Ascariadole epoxide | C10H16O3 | 184.109 |
| 17 | 375.144 | 31.978 | alpha-Peroxyachifolide | C20H24O7 | 376.152 |
| 18 | 191.019 | 2.124 | Citric acid | C6H8O7 | 192.026 |
| 19 | 287.055 | 21.191 | 3′,4′,5,7-Tetrahydroxyisoflavanone | C15H12O6 | 288.063 |
| 20 | 149.060 | 26.290 | 2-(2-Furanyl)-3-methyl-2-butenal | C9H10O2 | 150.067 |
| 21 | 329.139 | 36.576 | Tetrahydrosappanone A trimethyl ether | C19H22O5 | 330.146 |
| 22 | 371.186 | 34.358 | Tanabalin | C22H28O5 | 372.193 |
| 23 | 315.123 | 39.745 | 5′-Hydroxy-3′,4′,7-trimethoxyflavan | C18H20O5 | 316.130 |
| 24 | 265.144 | 38.918 | Isoleptospermone | C15H22O4 | 266.151 |
| 25 | 237.113 | 20.077 | Benzyl b-L-arabinopyranoside | C13H18O4 | 238.120 |
| 26 | 301.035 | 27.794 | Hieracin | C15H10O7 | 302.042 |
| 27 | 285.040 | 32.491 | Kaempferol | C15H10O6 | 286.047 |
| 28 | 389.160 | 39.444 | Rosmic acid | C21H26O7 | 390.167 |
| 29 | 271.060 | 29.798 | Methylnorlichexanthone | C15H12O5 | 272.068 |
| 30 | 267.071 | 1.936 | 2(α-D-Mannosyl)-D-glycerate | C9H16O9 | 268.078 |
| 31 | 177.040 | 3.139 | L-Sorbosone | C6H10O6 | 178.047 |
| 32 | 303.050 | 16.481 | (±)-Taxifolin | C15H12O7 | 304.058 |
| 33 | 177.019 | 9.265 | Esculetin | C9H6O4 | 178.026 |
| 34 | 359.149 | 35.899 | 6′-O-Formylmarmin | C20H24O6 | 360.156 |
| 35 | 387.144 | 31.364 | Edulisin III | C21H24O7 | 388.151 |
| 36 | 331.118 | 23.709 | 5′,8-Dihydroxy-3′,4′,7-trimethoxyflavan | C18H20O6 | 332.125 |
| 37 | 359.076 | 34.408 | Jaceidin | C18H16O8 | 360.083 |
| 38 | 271.060 | 31.401 | (±)-Naringenin | C15H12O5 | 272.067 |
| 39 | 201.112 | 6.847 | 2,6-Dimethyl-1,8-octanedioic acid | C10H18O4 | 202.120 |
| 40 | 329.232 | 33.243 | 9S,10S,11R-trihydroxy-12Z-octadecenoic acid | C18H34O5 | 330.240 |
| 41 | 311.128 | 39.657 | Gancaonin V | C19H20O4 | 312.135 |
| 42 | 117.018 | 2.688 | Succinic acid | C4H6O4 | 118.026 |
| 43 | 163.039 | 16.068 | m-Coumaric acid | C9H8O3 | 164.047 |
| 44 | 197.045 | 9.904 | 2-Hydroxy-3,4-dimethoxybenzoic acid | C9H10O5 | 198.052 |
| 45 | 133.050 | 2.713 | 2,3-Dihydroxy-2-methylbutanoic acid | C5H10O4 | 134.057 |
| 46 | 281.138 | 10.129 | Bisbynin | C15H22O5 | 282.146 |
| 47 | 221.081 | 13.762 | 2,3-Dihydro-3-hydroxy-6-methoxy-2,2-dimethyl-4H-1-benzopyran-4-one | C12H14O4 | 222.088 |
| 48 | 239.070 | 37.691 | 2,4-Dihydroxychalcone | C15H12O3 | 240.078 |
| 49 | 317.066 | 21.617 | Dihydroisorhamnetin | C16H14O7 | 318.073 |
| 50 | 443.191 | 5.794 | Cynaroside A | C21H32O10 | 444.198 |
| 51 | 371.134 | 20.577 | Citrusin E | C17H24O9 | 372.141 |
| 52 | 447.092 | 18.473 | Kaempferol-7-O-glucoside | C21H20O11 | 448.099 |
| 53 | 205.086 | 32.679 | 2,3-Dihydro-6-methoxy-2,2-dimethyl-4H-1-benzopyran-4-one | C12H14O3 | 206.094 |
| 54 | 343.154 | 31.101 | Safficinolide | C20H24O5 | 344.161 |
| 55 | 353.102 | 32.303 | 1-(3,4-Dihydroxyphenyl)-7-(4-hydroxy-3-methoxyphenyl)-1,6-heptadiene-3,5-dione | C20H18O6 | 354.109 |
| 56 | 313.107 | 33.706 | 7-Hydroxyenterolactone | C18H18O5 | 314.114 |
| 57 | 445.170 | 11.357 | Crosatoside B | C20H30O11 | 446.177 |
| 58 | 331.115 | 24.787 | Mytilin A | C13H20N2O8 | 332.122 |
| 59 | 263.128 | 24.737 | (+)-Abscisic acid | C15H20O4 | 264.135 |
| 60 | 426.227 | 35.285 | Dihydroxyacidissiminol | C25H33NO5 | 427.234 |
| 61 | 343.118 | 22.682 | Diosbulbin B | C19H20O6 | 344.125 |
| 62 | 187.096 | 19.475 | Methyl N-(a-methylbutyryl) glycine | C9H16O4 | 188.104 |
| No. | M/Z | RT (min) | Compounds | Molecular Formula | Molecular Weight |
|---|---|---|---|---|---|
| 1 | 191.056 | 1.970 | Quinic acid | C7H12O6 | 192.063 |
| 2 | 179.035 | 9.637 | Caffeic acid | C9H8O4 | 180.042 |
| 3 | 177.019 | 9.274 | Esculetin | C9H6O4 | 178.026 |
| 4 | 243.062 | 1.995 | Pseudouridine | C9H12N2O6 | 244.069 |
| 5 | 191.034 | 14.798 | Scopoletin | C10H8O4 | 192.042 |
| 6 | 209.118 | 33.628 | 3-Ethenyl-2,5-dimethyl-4-oxohex-5-en-2-yl acetate | C12H18O3 | 210.125 |
| 7 | 161.024 | 14.673 | 3-Hydroxycoumarin | C9H6O3 | 162.031 |
| 8 | 353.087 | 7.419 | Chlorogenic acid | C16H18O9 | 354.094 |
| 9 | 281.139 | 32.475 | Bisbynin | C15H22O5 | 282.146 |
| 10 | 207.029 | 11.341 | Fraxetin | C10H8O5 | 208.036 |
| 11 | 207.066 | 28.153 | 5-(3′,5′-Dihydroxyphenyl)-gamma-valerolactone | C11H12O4 | 208.073 |
| 12 | 265.144 | 33.653 | Isoleptospermone | C15H22O4 | 266.151 |
| 13 | 193.050 | 15.124 | Scytalone | C10H10O4 | 194.057 |
| 14 | 311.128 | 28.454 | Gancaonin V | C19H20O4 | 312.135 |
| 15 | 153.019 | 8.372 | Gentisic acid | C7H6O4 | 154.026 |
| 16 | 147.029 | 2.721 | D-threo-3-methylmalate | C5H8O5 | 148.036 |
| 17 | 341.108 | 1.907 | Sucrose | C12H22O11 | 342.115 |
| 18 | 353.087 | 8.008 | 5Z-Caffeoylquinic acid | C16H18O9 | 354.094 |
| 19 | 341.087 | 7.156 | Glucocaffeic acid | C15H18O9 | 342.094 |
| 20 | 447.092 | 12.368 | 1,2,6,8-Tetrahydroxy-3-methylanthraquinone 2-O-b-D-glucoside | C21H20O11 | 448.100 |
| 21 | 427.196 | 16.703 | Taraxacolide 1-O-b-D-glucopyranoside | C21H32O9 | 428.204 |
| 22 | 225.112 | 25.472 | 3,7-Dimethyl-2E,6E-decadien-1,10-dioic acid | C12H18O4 | 226.120 |
| 23 | 221.045 | 15.487 | Isofraxidin | C11H10O5 | 222.052 |
| 24 | 128.035 | 2.208 | Pyroglutamic acid | C5H7NO3 | 129.042 |
| 25 | 381.175 | 10.163 | 1,2,10-Trihydroxydihydro-trans-linalyl oxide 7-O-beta-D-glucopyranoside | C16H30O10 | 382.183 |
| 26 | 337.092 | 10.338 | Hydrojuglone glucoside | C16H18O8 | 338.099 |
| 27 | 441.175 | 15.600 | Lusitanicoside | C21H30O10 | 442.183 |
| 28 | 485.199 | 14.673 | Glucosylgalactosyl hydroxylysine | C18H34N2O13 | 486.207 |
| 29 | 401.144 | 8.847 | Benzyl O-(arabinofuranosyl-(1->6)-glucoside) | C18H26O10 | 402.151 |
| 30 | 385.164 | 26.675 | Gingerenone B | C22H26O6 | 386.172 |
| 31 | 335.076 | 13.169 | 4-O-Caffeoylshikimic acid | C16H16O8 | 336.083 |
| 32 | 305.138 | 32.788 | Achillicin | C17H22O5 | 306.146 |
| 33 | 425.144 | 16.414 | 6-(2-Carboxyethyl)-7-hydroxy-2,2-dimethyl-4-chromanone glucoside | C20H26O10 | 426.151 |
| 34 | 353.144 | 26.675 | Isopropyl apiosylglucoside | C14H26O10 | 354.151 |
| 35 | 503.175 | 13.169 | (S)-Multifidol 2-(apiosyl-(1->6)-glucoside) | C22H32O13 | 504.183 |
| 36 | 329.232 | 33.164 | 9S,10S,11R-trihydroxy-12Z-octadecenoic acid | C18H34O5 | 330.239 |
| 37 | 461.238 | 13.270 | xi-Linalool 3-(rhamnosyl-(1->6)-glucoside) | C22H38O10 | 462.245 |
| 38 | 511.238 | 10.789 | 3-O-(beta-D-glucopyranosyl-(1->6)-beta-D-glucopyranosyl) ethyl 3-hydroxyoctanoate | C22H40O13 | 512.245 |
| 39 | 393.133 | 39.996 | Rotenone | C23H22O6 | 394.141 |
| 40 | 447.092 | 15.976 | Kaempferol-7-O-glucoside | C21H20O11 | 448.099 |
| 41 | 461.165 | 9.837 | Verbasoside | C20H30O12 | 462.172 |
| 42 | 479.248 | 10.263 | 3-O-(alpha-L-rhamnopyranosyl-(1-2)-alpha-L-rhamnopyranosyl)-3-hydroxydecanoic acid | C22H40O11 | 480.255 |
| 43 | 529.264 | 18.356 | Cinncassiol D2 glucoside | C26H42O11 | 530.271 |
| 44 | 515.118 | 20.235 | 3″,4″-Diacetylafzelin | C25H24O12 | 516.125 |
| 45 | 128.035 | 2.496 | (r)-(+)-2-Pyrrolidone-5-carboxylic acid | C5H7NO3 | 129.042 |
| 46 | 441.212 | 16.828 | CAY10509 | C23H35FO5S | 442.219 |
| 47 | 299.141 | 32.688 | Bifenazate | C17H20N2O3 | 300.148 |
| No. | M/Z | RT (min) | Compounds | Molecular Formula | Molecular Weight |
|---|---|---|---|---|---|
| 1 | 173.045 | 1.988 | Shikimic acid | C7H10O5 | 174.052 |
| 2 | 197.045 | 9.842 | 2-Hydroxy-3,4-dimethoxybenzoic acid | C9H10O5 | 198.052 |
| 3 | 169.014 | 3.816 | Gallic acid | C7H6O5 | 170.021 |
| 4 | 177.019 | 9.216 | Esculetin | C9H6O4 | 178.026 |
| 5 | 137.024 | 7.725 | 3,4-Dihydroxybenzaldehyde | C7H6O3 | 138.031 |
| 6 | 169.014 | 6.497 | 2,4,6-Trihydroxybenzoic acid | C7H6O5 | 170.021 |
| 7 | 243.051 | 3.491 | 1-O-Galloylglycerol | C10H12O7 | 244.058 |
| 8 | 166.050 | 7.976 | 2-Amino-3-methoxy-benzoic acid | C8H9NO3 | 167.058 |
| 9 | 447.129 | 24.625 | Piperenol C | C22H24O10 | 448.136 |
| 10 | 153.019 | 5.320 | 3,4-Dihydroxybenzoic acid | C7H6O4 | 154.026 |
| 11 | 211.061 | 19.401 | Eudesmic acid | C10H12O5 | 212.068 |
| 12 | 187.097 | 19.489 | Methyl N-(a-methylbutyryl) glycine | C9H16O4 | 188.104 |
| 13 | 197.045 | 13.212 | 3,4-O-Dimethylgallic acid | C9H10O5 | 198.052 |
| 14 | 313.056 | 3.290 | Salicyl phenolic glucuronide | C13H14O9 | 314.063 |
| 15 | 161.081 | 7.249 | Potassium 2-(1’-ethoxy) ethoxypropanoate | C7H14O4 | 162.089 |
| 16 | 179.035 | 9.629 | Caffeic acid | C9H8O4 | 180.042 |
| 17 | 151.040 | 9.078 | 4-Acetoxyphenol | C8H8O3 | 152.047 |
| 18 | 290.088 | 2.012 | Sarmentosin epoxide | C11H17NO8 | 291.095 |
| 19 | 191.034 | 22.608 | 5,7-Dihydroxy-4-methylcoumarin | C10H8O4 | 192.042 |
| 20 | 353.087 | 7.713 | 5Z-Caffeoylquinic acid | C16H18O9 | 354.094 |
| 21 | 237.113 | 20.065 | Benzyl b-L-arabinopyranoside | C13H18O4 | 238.120 |
| 22 | 222.040 | 14.340 | (R)-2,3-Dihydro-3,5-dihydroxy-2-oxo-3-indoleacetic acid | C10H9NO5 | 223.047 |
| 23 | 218.103 | 3.516 | Pantothenic acid | C9H17NO5 | 219.110 |
| 24 | 195.102 | 16.169 | Isobutyl 2-furanpropionate | C11H16O3 | 196.109 |
| 25 | 421.186 | 32.869 | Picrasin F | C22H30O8 | 422.193 |
| 26 | 355.030 | 2.137 | (+)-Chebulic acid | C14H12O11 | 356.037 |
| 27 | 153.019 | 8.352 | Gentisic acid | C7H6O4 | 154.026 |
| 28 | 325.056 | 3.992 | Fertaric acid | C14H14O9 | 326.063 |
| 29 | 243.123 | 23.360 | Polyethylene, oxidized | C12H20O5 | 244.130 |
| 30 | 233.045 | 6.735 | 7-Hydroxy-2-methyl-4-oxo-4H-1-benzopyran-5-acetic acid | C12H10O5 | 234.052 |
| 31 | 299.055 | 32.242 | Diosmetin | C16H12O6 | 300.063 |
| 32 | 310.140 | 11.734 | Leonurine | C14H21N3O5 | 311.147 |
| 33 | 300.998 | 15.430 | Ellagic acid | C14H6O8 | 302.005 |
| 34 | 328.118 | 20.604 | N-trans-Feruloyloctopamine | C18H19NO5 | 329.125 |
| 35 | 225.112 | 11.947 | 3,7-Dimethyl-2E,6E-decadien-1,10-dioic acid | C12H18O4 | 226.120 |
| 36 | 163.039 | 13.538 | m-Coumaric acid | C9H8O3 | 164.047 |
| 37 | 321.024 | 7.900 | Digallate | C14H10O9 | 322.032 |
| 38 | 359.149 | 34.898 | 6′-O-Formylmarmin | C20H24O6 | 360.156 |
| 39 | 651.083 | 9.316 | Amlaic acid | C27H24O19 | 652.090 |
| 40 | 285.040 | 32.518 | Kaempferol | C15H10O6 | 286.047 |
| 41 | 463.087 | 15.881 | Quercetin 3-galactoside | C21H20O12 | 464.094 |
| 42 | 347.076 | 7.024 | alpha-(1,2-Dihydroxyethyl)-1,2,3,4-tetrahydro-7-hydroxy-9-methoxy-3,4-dioxocyclopenta(c) benzopyran-6-acetaldehyde | C17H16O8 | 348.083 |
| 43 | 431.170 | 33.708 | Melledonal A | C23H28O8 | 432.177 |
| 44 | 261.040 | 17.396 | 2-Acetyl-5,8-dihydroxy-3-methoxy-1,4-naphthoquinone | C13H10O6 | 262.047 |
| 45 | 315.050 | 33.082 | 1,3,5,8-Tetrahydroxy-6-methoxy-2-methylanthraquinone | C16H12O7 | 316.057 |
| 46 | 326.087 | 7.449 | Blepharin | C14H17NO8 | 327.094 |
| 47 | 461.108 | 25.966 | Rhamnetin 3-rhamnoside | C22H22O11 | 462.115 |
| 48 | 161.060 | 18.223 | Allyl benzoate | C10H10O2 | 162.067 |
| 49 | 128.035 | 2.426 | Pyroglutamic acid | C5H7NO3 | 129.042 |
| 50 | 271.060 | 31.302 | (±)-Naringenin | C15H12O5 | 272.067 |
| 51 | 264.066 | 34.710 | Piperolactam A | C16H11NO3 | 265.073 |
| 52 | 272.129 | 29.724 | (2E)-Piperamide-C5:1 | C16H19NO3 | 273.136 |
| 53 | 191.055 | 1.887 | Quinic acid | C7H12O6 | 192.063 |
| 54 | 134.024 | 10.356 | 2-Benzoxazolol | C7H5NO2 | 135.032 |
| 55 | 361.165 | 22.821 | Gibberellin A98 | C20H26O6 | 362.172 |
| 56 | 201.112 | 26.041 | 2,6-Dimethyl-1,8-octanedioic acid | C10H18O4 | 202.120 |
| 57 | 476.040 | 13.688 | Isoterchebin | C41H30O27 | 954.096 |
| 58 | 312.123 | 24.863 | Pterostilbene glycinate | C18H19NO4 | 313.131 |
| 59 | 285.040 | 27.444 | Luteolin | C15H10O6 | 286.047 |
| 60 | 635.088 | 11.308 | 3-O-Galloylhamamelitannin | C27H24O18 | 636.095 |
| 61 | 351.053 | 26.191 | 4′-O-Methyl-(-)-epicatechin-7-O-sulfate | C16H16O7S | 352.061 |
| 62 | 269.045 | 31.453 | Apigenin | C15H10O5 | 270.052 |
| 63 | 343.045 | 36.564 | Aflatoxin GM1 | C17H12O8 | 344.052 |
| 64 | 307.081 | 18.474 | 4R,5R,6S-Trihydroxy-2-hydroxymethyl-2-cyclohexen-1-one 6-(2-hydroxy-6-methylbenzoate) | C15H16O7 | 308.089 |
| 65 | 447.092 | 18.487 | Kaempferol-7-O-glucoside | C21H20O11 | 448.099 |
| 66 | 461.072 | 19.726 | 3-Methylellagic acid 8-rhamnoside | C21H18O12 | 462.079 |
| 67 | 201.018 | 26.341 | 6-Hydroxyangelicin | C11H6O4 | 202.026 |
| 68 | 623.197 | 15.943 | Isoacteoside | C29H36O15 | 624.204 |
| 69 | 211.060 | 5.119 | 3-Hydroxy-4-methoxyphenyllactic acid | C10H12O5 | 212.067 |
| 70 | 301.034 | 27.820 | Hieracin | C15H10O7 | 302.042 |
| 71 | 477.139 | 24.462 | Eugenol O-[3,4,5-Trihydroxybenzoyl-(->6)-b-D-glucopyranoside] | C23H26O11 | 478.146 |
| 72 | 342.134 | 25.665 | N-trans-Feruloyl-4-O-methyldopamine | C19H21NO5 | 343.141 |
| 73 | 547.144 | 21.255 | Puerarin xyloside | C26H28O13 | 548.152 |
| 74 | 251.128 | 15.667 | QH (2) | C14H20O4 | 252.135 |
| 75 | 329.029 | 28.897 | 2,8-Di-O-methylellagic acid | C16H10O8 | 330.036 |
| 76 | 256.133 | 34.309 | Coumaperine | C16H19NO2 | 257.140 |
| 77 | 491.118 | 28.772 | 3′,7-Dimethoxy-4′,5,8-trihydroxyflavone 8-glucoside | C23H24O12 | 492.125 |
| 78 | 281.138 | 10.080 | Bisbynin | C15H22O5 | 282.146 |
| 79 | 403.175 | 32.255 | Myristicanol B | C22H28O7 | 404.183 |
| 80 | 403.123 | 5.921 | Oleoside 11-methyl ester | C17H24O11 | 404.131 |
| 81 | 465.102 | 17.998 | (-)-Epicatechin 7-O-glucuronide | C21H22O12 | 466.110 |
| 82 | 379.175 | 20.403 | 6b-Angeloyl-3b,8b,9b-trihydroxy-7(11)-eremophilen-12,8-olide | C20H28O7 | 380.182 |
| 83 | 593.150 | 17.221 | Saponarin | C27H30O15 | 594.157 |
| 84 | 379.012 | 28.672 | Tectorigenin 7-sulfate | C16H12O9S | 380.019 |
| 85 | 241.071 | 6.046 | Elenaic acid | C11H14O6 | 242.078 |
| 86 | 955.104 | 16.570 | Chebulinic acid | C41H32O27 | 956.111 |
| 87 | 477.102 | 19.000 | Myricetin 3,4′-dimethyl ether 3′-xyloside | C22H22O12 | 478.110 |
| 88 | 497.223 | 19.614 | 2-O-(beta-D-galactopyranosyl-(1->6)-beta-D-galactopyranosyl) 2S-hydroxynonanoic acid | C21H38O13 | 498.230 |
| 89 | 593.129 | 27.795 | 6″-O-p-Coumaroyltrifolin | C30H26O13 | 594.136 |
| 90 | 515.118 | 20.177 | 3″,4″-Diacetylafzelin | C25H24O12 | 516.125 |
| 91 | 161.045 | 4.443 | 3-Hydroxy-3-methyl-glutaric acid | C6H10O5 | 162.052 |
| 92 | 447.092 | 12.385 | 1,2,6,8-Tetrahydroxy-3-methylanthraquinone 2-O-b-D-glucoside | C21H20O11 | 448.099 |
| 93 | 387.107 | 16.945 | 7-Hydroxy-3′,4′,5,6,8-pentamethoxyflavone | C20H20O8 | 388.115 |
| 94 | 769.254 | 18.349 | Leonoside A | C35H46O19 | 770.261 |
| 95 | 637.176 | 13.876 | Quercetin 3,3′-dimethyl ether 7-rutinoside | C29H34O16 | 638.183 |
| 96 | 431.097 | 19.150 | Apigenin 7-O-glucoside | C21H20O10 | 432.104 |
| 97 | 581.222 | 12.498 | (+)-Lyoniresinol 9-glucoside | C28H38O13 | 582.230 |
| 98 | 461.238 | 13.976 | xi-Linalool 3-(rhamnosyl-(1->6)-glucoside) | C22H38O10 | 462.245 |
| 99 | 695.399 | 31.177 | Glucosyl passiflorate | C37H60O12 | 696.407 |
| 100 | 461.165 | 4.543 | Verbasoside | C20H30O12 | 462.172 |
| 101 | 755.238 | 15.292 | Hesperetin 7-(2,6-dirhamnosylglucoside) | C34H44O19 | 756.246 |
| 102 | 435.128 | 19.075 | Phenethyl 6-galloylglucoside | C21H24O10 | 436.135 |
| 103 | 429.152 | 23.685 | 2,3-dinor Fluprostenol | C21H25F3O6 | 430.159 |
| 104 | 651.228 | 24.262 | (-)-Matairesinol 4′-(apiosyl-(1->2)-glucoside) | C31H40O15 | 652.235 |
| 105 | 153.055 | 4.944 | 2-Furanylmethyl propanoate | C8H10O3 | 154.062 |
| 106 | 665.207 | 23.460 | Tetramethylquercetin 3-rutinoside | C31H38O16 | 666.214 |
| 107 | 637.212 | 19.376 | 4′-Hydroxy-5,7,2′-trimethoxyflavanone 4′-rhamnosyl-(1->6)-glucoside | C30H38O15 | 638.219 |
| 108 | 582.259 | 30.238 | N1, N5, N10-Tricoumaroyl spermidine | C34H37N3O6 | 583.266 |
| 109 | 433.149 | 20.854 | Vestitone 7-glucoside | C22H26O9 | 434.156 |
| 110 | 453.248 | 33.457 | Rhodojaponin IV | C24H38O8 | 454.255 |
| 111 | 137.024 | 8.088 | m-Salicylic acid | C7H6O3 | 138.031 |
| 112 | 477.066 | 10.080 | Quercetin 3′-O-glucuronide | C21H18O13 | 478.073 |
| 113 | 787.098 | 14.741 | 1,2’,3,5-Tetra-O-galloylhamamelofuranose | C34H28O22 | 788.105 |
| 114 | 577.154 | 17.647 | Scutellarein 7,4′-dirhamnoside | C27H30O14 | 578.162 |
| 115 | 939.108 | 17.171 | 1,2,3,4,6-Pentakis-O-galloyl-beta-D-glucose | C41H32O26 | 940.115 |
| 116 | 331.081 | 16.795 | 2′,3,5-Trihydroxy-5′,7-dimethoxyflavanone | C17H16O7 | 332.088 |
| 117 | 347.037 | 3.941 | 2-(α-D-Mannosyl)-3-phosphoglycerate | C9H17O12P | 348.045 |
| 118 | 315.159 | 34.910 | Isopulegone caffeate | C19H24O4 | 316.166 |
| Group | Dose (mg/kg) | % Parasitemia | % Suppression |
|---|---|---|---|
| 7% Tween 80 | - | 40.45 ± 2.15 b,c,d,e,f,g,h,i,j,k,l | - |
| Artesunate | 6 | 2.18 ± 0.50 a,d,e,f,g,h,i,j,k,l | 95.32 ± 0.57 d,e,f,g,h,i,j,k,l |
| Chloroquine | 25 | 0.27 ± 0.15 a,d,e,f,g,h,i,j,k,l | 99.34 ± 0.37 d,e,f,g,h,i,j,k,l |
| M. fragrans | 200 | 24.94 ± 2.50 a,b,c,h,l | 38.32 ± 6.18 b,c,h,i,k,l |
| 400 | 22.36 ± 1.26 a,b,c,h,l | 44.17 ± 3.12 b,c,h,l | |
| 600 | 21.48 ± 0.73 a,b,c,h,l | 46.86 ± 1.80 b,c,h,l | |
| A. lancea | 200 | 21.53 ± 2.47 a,b,c,h,l | 46.75 ± 6.11 b,c,h,j,k,l |
| 400 | 16.13 ± 0.41 a,b,c,d,e,f,g,i,j,k | 60.09 ± 1.03 b,c,d,e,f,g,i,j,k | |
| 600 | 20.91 ± 1.15 a,b,c,h,l | 48.29 ± 2.86 b,c,d,h,l | |
| Prabchompoothaweep remedy | 200 | 24.60 ± 1.03 a,b,c,h,l | 39.18 ± 2.56 b,c,h,l |
| 400 | 20.88 ± 3.08 a,b,c,h,l | 48.35 ± 7.62 b,c,d,h,l | |
| 600 | 16.13 ± 0.58 a,b,c,d,e,f,g,i,j,k | 60.11 ± 1.44 b,c,d,e,f,g,i,j,k |
| Group | Dose (mg/kg) | Day 0 | Day 4 | % Change |
|---|---|---|---|---|
| 7% Tween 80 | - | 49.60 ± 1.01 | 45.00 ± 1.89 | −10.35 ± 3.67% b,c |
| Artesunate | 6 | 52.20 ± 1.32 | 54.80 ± 1.16 | 4.74 ± 1.43% a,d,e,f,g,h,i,j,k,l |
| Chloroquine | 25 | 51.80 ± 0.43 | 53.40 ± 1.47 | 2.87 ± 2.36% a,d,j |
| M. fragrans | 200 | 54.00 ± 0.89 | 49.80 ± 2.03 | −8.58 ± 3.89% b,c |
| 400 | 51.20 ± 1.16 | 48.40 ± 0.80 | −5.78 ± 1.52% b | |
| 600 | 51.00 ± 1.09 | 48.80 ± 1.93 | −4.64 ± 4.05% b | |
| A. lancea | 200 | 52.00 ± 2.73 | 49.40 ± 2.17 | −5.58 ± 8.67% b |
| 400 | 52.40 ± 1.01 | 50.00 ± 1.67 | −4.86 ± 2.15% b | |
| 600 | 51.20 ± 1.16 | 48.80 ± 1.46 | −5.01 ± 3.73% b | |
| Prabchompoothaweep remedy | 200 | 52.60 ± 1.35 | 48.20 ± 2.13 | −9.25 ± 3.46% b,c |
| 400 | 51.80 ± 1.83 | 49.40 ± 1.35 | −4.87 ± 3.02% b | |
| 600 | 50.80 ± 2.63 | 48.60 ± 1.62 | −4.47 ± 2.65% b |
| Food Consumption (g) | Week 1 | Week 2 |
| Normal mice | 25.0 ± 3.5 | 21.6 ± 2.7 |
| 7% Tween 80 | 22.1 ± 1.7 | 20.8 ± 2.5 |
| M. fragrans 2000 mg/kg | 20.8 ± 2.0 | 20.7 ± 0.8 |
| A. lancea 2000 mg/kg | 22.8 ± 2.5 | 22.4 ± 2.3 |
| Prabchompoothaweep remedy 2000 mg/kg | 23.6 ± 3.9 | 22.0 ± 1.9 |
| Water Consumption (mL) | Week 1 | Week 2 |
| Normal mice | 122.2 ± 4.7 | 125.8 ± 7.9 |
| 7% Tween 80 | 122.4 ± 8.3 | 126.7 ± 8.3 |
| M. fragrans 2000 mg/kg | 122.4 ± 3.5 | 127.7 ± 3.5 |
| A. lancea 2000 mg/kg | 126.0 ± 4.8 | 130.4 ± 5.0 |
| Prabchompoothaweep remedy 2000 mg/kg | 125.0 ± 2.6 | 130.5 ± 4.8 |
| Group | Mean Body Weight | ||
|---|---|---|---|
| Day 0 | Day 14 | % Change | |
| Normal mice | 33.4 ± 1.5 | 39.2 ± 2.2 | 14.6 ± 1.7% |
| 7% Tween 80 | 32.5 ± 1.4 | 36.5 ± 1.5 | 11.1 ± 1.3% |
| M. fragrans 2000 mg/kg | 32.8 ± 1.2 | 38.0 ± 2.4 | 13.4 ± 3.3% |
| A. lancea 2000 mg/kg | 33.0 ± 1.6 | 38.0 ± 2.7 | 13.0 ± 2.6% |
| Prabchompoothaweep remedy 2000 mg/kg | 32.1 ± 1.1 | 36.8 ± 1.4 | 12.6 ± 1.5% |
| Parameters | Normal Mice | 7% Tween 80 | M. fragrans | A. lancea | Prabchompoothaweep Remedy |
|---|---|---|---|---|---|
| Liver Function Test | |||||
| AST (U/L) | 83.80 ± 7.13 | 83.00 ± 9.18 | 87.75 ± 12.57 | 94.60 ± 8.77 | 92.00 ± 5.17 |
| ALT (U/L) | 36.80 ± 8.08 | 38.80 ± 3.70 | 31.75 ± 6.96 | 34.60 ± 5.57 | 34.60 ± 7.05 |
| ALP (U/L) | 92.10 ± 11.35 | 91.04 ± 7.86 | 90.50 ± 8.96 | 88.40 ± 7.03 | 89.20 ± 12.79 |
| Kidney Function Test | |||||
| BUN (mg/dL) | 26.42 ± 3.86 | 31.04 ± 3.96 | 25.45 ± 2.30 | 25.56 ± 3.89 | 25.26 ± 2.12 |
| Creatinine (mg/dL) | 0.66 ± 0.04 | 0.69 ± 0.07 | 0.66 ± 0.03 | 0.65 ± 0.04 | 0.61 ± 0.06 |
Publisher’s Note: MDPI stays neutral with regard to jurisdictional claims in published maps and institutional affiliations. |
© 2022 by the authors. Licensee MDPI, Basel, Switzerland. This article is an open access article distributed under the terms and conditions of the Creative Commons Attribution (CC BY) license (https://creativecommons.org/licenses/by/4.0/).
Share and Cite
Plirat, W.; Chaniad, P.; Phuwajaroanpong, A.; Septama, A.W.; Punsawad, C. Phytochemical, Antimalarial, and Acute Oral Toxicity Properties of Selected Crude Extracts of Prabchompoothaweep Remedy in Plasmodium berghei-Infected Mice. Trop. Med. Infect. Dis. 2022, 7, 395. https://doi.org/10.3390/tropicalmed7120395
Plirat W, Chaniad P, Phuwajaroanpong A, Septama AW, Punsawad C. Phytochemical, Antimalarial, and Acute Oral Toxicity Properties of Selected Crude Extracts of Prabchompoothaweep Remedy in Plasmodium berghei-Infected Mice. Tropical Medicine and Infectious Disease. 2022; 7(12):395. https://doi.org/10.3390/tropicalmed7120395
Chicago/Turabian StylePlirat, Walaiporn, Prapaporn Chaniad, Arisara Phuwajaroanpong, Abdi Wira Septama, and Chuchard Punsawad. 2022. "Phytochemical, Antimalarial, and Acute Oral Toxicity Properties of Selected Crude Extracts of Prabchompoothaweep Remedy in Plasmodium berghei-Infected Mice" Tropical Medicine and Infectious Disease 7, no. 12: 395. https://doi.org/10.3390/tropicalmed7120395
APA StylePlirat, W., Chaniad, P., Phuwajaroanpong, A., Septama, A. W., & Punsawad, C. (2022). Phytochemical, Antimalarial, and Acute Oral Toxicity Properties of Selected Crude Extracts of Prabchompoothaweep Remedy in Plasmodium berghei-Infected Mice. Tropical Medicine and Infectious Disease, 7(12), 395. https://doi.org/10.3390/tropicalmed7120395

