Tuberculous Meningitis in a Child: A Rare Presentation of Cytotoxic Lesion of the Corpus Callosum
Abstract
1. Introduction
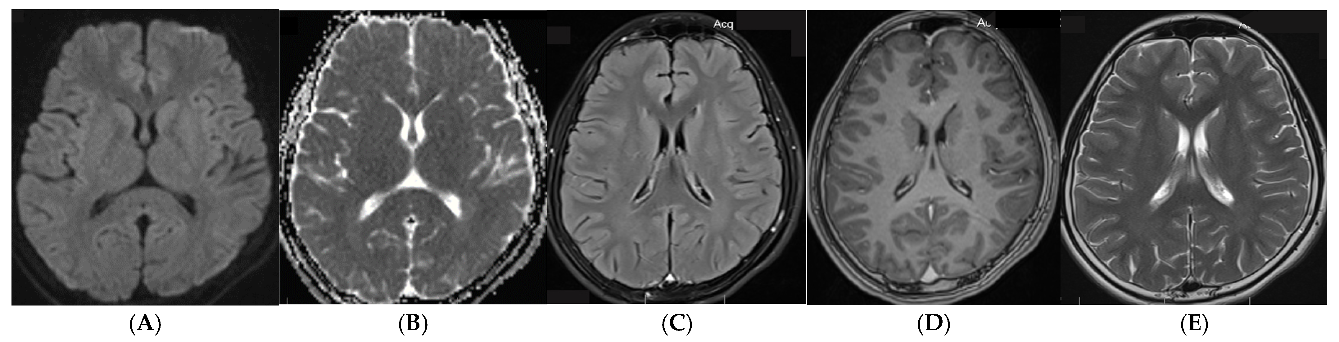
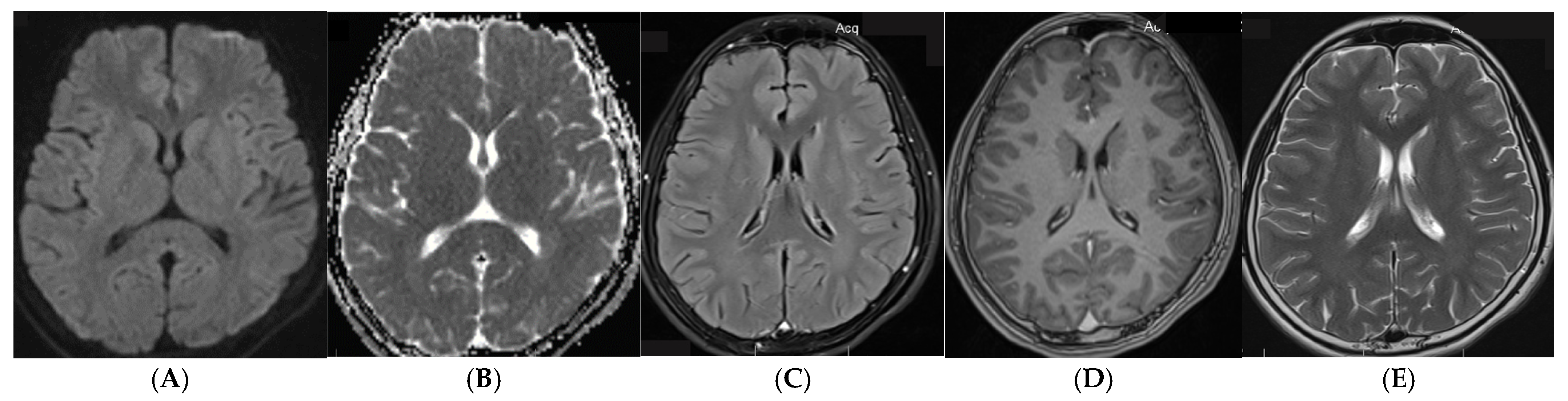
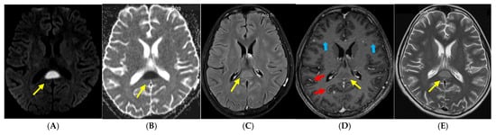
2. Case Report
3. Discussion
4. Conclusions
Author Contributions
Funding
Institutional Review Board Statement
Informed Consent Statement
Data Availability Statement
Acknowledgments
Conflicts of Interest
References
- World Health Organization. Global Tuberculosis Report 2024; World Health Organization: Geneva, Switzerland, 2024.
- World Health Organization. Roadmap Towards Ending TB in Children and Adolescents, 3rd ed.; World Health Organization: Geneva, Switzerland, 2023.
- du Preez, K.; Jenkins, H.E.; Martinez, L.; Chiang, S.S.; Dlamini, S.S.; Dolynska, M.; Aleksandrin, A.; Kobe, J.; Graham, S.M.; Hesseling, A.C.; et al. Global burden of tuberculous meningitis in children aged 0–14 years in 2019: A mathematical modelling study. Lancet Glob. Health 2025, 13, e59–e68. [Google Scholar] [PubMed]
- Donovan, J.; Cresswell, F.V.; Thuong, N.T.T.; Boulware, D.R.; Thwaites, G.E.; Bahr, N.C.; Tuberculous Meningitis International Research Consortium. Xpert MTB/RIF Ultra for the Diagnosis of Tuberculous Meningitis: A Small Step Forward. Clin. Infect. Dis. 2020, 71, 2002–2005. [Google Scholar] [PubMed]
- Donovan, J.; Walker, T.M. Diagnosing tuberculous meningitis: A testing process. Int. J. Tuberc. Lung Dis. 2021, 25, 605–606. [Google Scholar]
- Chiang, S.; Khan, F.; Milstein, M.; Tolman, A.; Benedetti, A.; Starke, J.; Becerra, M.C. Treatment outcomes of childhood tuberculous meningitis: A systematic review and meta-analysis. Lancet Infect. Dis. 2014, 14, 947–957. [Google Scholar]
- Wen, A.; Cao, W.F.; Liu, S.M.; Zhou, Y.L.; Xiang, Z.B.; Hu, F.; Wu, L.F.; Cai, W.; Leng, E.L. Incidence and Risk Factors of Cranial Nerve Palsy in Patients with Tuberculous Meningitis: A Retrospective Evaluation. Infect. Drug Resist. 2023, 16, 829–841. [Google Scholar] [CrossRef]
- van Well, G.T.; Paes, B.F.; Terwee, C.B.; Springer, P.; Roord, J.J.; Donald, P.R.; van Furth, A.M.; Schoeman, J.F. Twenty years of pediatric tuberculous meningitis: A retrospective cohort study in the western cape of South Africa. Pediatrics 2009, 123, e1–e8. [Google Scholar]
- van der Merwe, D.J.; Andronikou, S.; Van Toorn, R.; Pienaar, M. Brainstem ischemic lesions on MRI in children with tuberculous meningitis: With diffusion weighted confirmation. Childs Nerv. Syst. 2009, 25, 949–954. [Google Scholar]
- Thwaites, G.E.; van Toorn, R.; Schoeman, J. Tuberculous meningitis: More questions, still too few answers. Lancet Neurol. 2013, 12, 999–1010. [Google Scholar]
- Grobbelaar, M.; van Toorn, R.; Solomons, R. Lumbar Cerebrospinal Fluid Evolution in Childhood Tuberculous Meningitis. J. Child. Neurol. 2018, 33, 700–707. [Google Scholar] [PubMed]
- Huynh, J.; Abo, Y.N.; du Preez, K.; Solomons, R.; Dooley, K.E.; Seddon, J.A. Tuberculous Meningitis in Children: Reducing the Burden of Death and Disability. Pathogens 2021, 11, 38. [Google Scholar] [CrossRef]
- Patel, V.B.; Burger, I.; Connolly, C. Temporal evolution of cerebrospinal fluid following initiation of treatment for tuberculous meningitis. S. Afr. Med. J. 2008, 98, 610–613. [Google Scholar] [PubMed]
- Ssebambulidde, K.; Gakuru, J.; Ellis, J.; Cresswell, F.V.; Bahr, N.C. Improving Technology to Diagnose Tuberculous Meningitis: Are We There Yet? Front. Neurol. 2022, 13, 892224. [Google Scholar]
- World Health Organisation. WHO Consolidated Guidelines on Tuberculosis. Module 3: Diagnosis—Rapid Diagnostics for Tuberculosis Detection 2020. Available online: https://www.who.int/publications/i/item/who-consolidated-guidelines-on-tuberculosis-module-3-diagnosis---rapid-diagnostics-for-tuberculosis-detection (accessed on 10 December 2024).
- Davis, A.G.; Rohlwink, U.K.; Proust, A.; Figaji, A.A.; Wilkinson, R.J. The pathogenesis of tuberculous meningitis. J. Leukoc. Biol. 2019, 105, 267–280. [Google Scholar]
- Theron, S.; Andronikou, S.; Grobbelaar, M.; Steyn, F.; Mapukata, A.; du Plessis, J. Localized basal meningeal enhancement in tuberculous meningitis. Pediatr. Radiol. 2006, 36, 1182–1185. [Google Scholar] [CrossRef]
- Andronikou, S.; Wieselthaler, N. Modern imaging of tuberculosis in children: Thoracic, central nervous system and abdominal tuberculosis. Pediatr. Radiol. 2004, 34, 861–875. [Google Scholar]
- Tai, M.S.; Viswanathan, S.; Rahmat, K.; Nor, H.M.; Kadir, K.A.A.; Goh, K.J.; Ramli, N.; Abu Bakar, F.K.; Zain, N.R.M.; Yap, J.F.; et al. Cerebral infarction pattern in tuberculous meningitis. Sci. Rep. 2016, 6, 38802. [Google Scholar]
- Pienaar, M.; Andronikou, S.; van Toorn, R. MRI to demonstrate diagnostic features complications of TBM not seen with CT. Childs Nerv. Syst. 2009, 25, 941–947. [Google Scholar]
- Sanei Taheri, M.; Karimi, M.A.; Haghighatkhah, H.; Pourghorban, R.; Samadian, M.; Delavar Kasmaei, H. Central nervous system tuberculosis: An imaging-focused review of a reemerging disease. Radiol. Res. Pr. 2015, 2015, 202806. [Google Scholar]
- Desai, N.; Gable, B.; Ortman, M. Tuberculous brain abscess in an adolescent with complex congenital cyanotic heart disease. Heart 2013, 99, 1220–1221. [Google Scholar] [CrossRef]
- Kumar, R.; Pandey, C.K.; Bose, N.; Sahay, S. Tuberculous brain abscess: Clinical presentation, pathophysiology and treatment (in children). Childs Nerv. Syst. 2002, 18, 118–123. [Google Scholar] [CrossRef]
- Tada, H.; Takanashi, J.; Barkovich, A.J.; Oba, H.; Maeda, M.; Tsukahara, H.; Suzuki, M.; Yamamoto, T.; Shimono, T.; Ichiyama, T.; et al. Clinically mild encephalitis/encephalopathy with a reversible splenial lesion. Neurology 2004, 63, 1854–1858. [Google Scholar] [CrossRef]
- Garcia-Monco, J.C.; Cortina, I.E.; Ferreira, E.; Martínez, A.; Ruiz, L.; Cabrera, A.; Beldarrain, M.G. Reversible splenial lesion syndrome (RESLES): What’s in a name? J. Neuroimaging 2011, 21, e1–e14. [Google Scholar] [PubMed]
- Oztoprak, I.; Engin, A.; Gumus, C.; Egilmez, H.; Oztoprak, B. Transient splenial lesions of the corpus callosum in different stages of evolution. Clin. Radiol. 2007, 62, 907–913. [Google Scholar] [CrossRef]
- Starkey, J.; Kobayashi, N.; Numaguchi, Y.; Moritani, T. Cytotoxic Lesions of the Corpus Callosum That Show Restricted Diffusion: Mechanisms, Causes, and Manifestations. Radiographics 2017, 37, 562–576. [Google Scholar] [PubMed]
- Doherty, M.J.; Jayadev, S.; Watson, N.F.; Konchada, R.S.; Hallam, D.K. Clinical implications of splenium magnetic resonance imaging signal changes. Arch. Neurol. 2005, 62, 433–437. [Google Scholar] [PubMed]
- Rahevar, K.; Yuen, T.; Oh, K.H.; Kato, S.; Liu, Y.; Zhang, L.; Gao, J.; Li, L.; Zi, C.; Kim, C.T.; et al. Tuberculosis outbreaks in schools: Experiences from the Western Pacific Region. West. Pac. Surveill Response J. 2021, 12, 1–5. [Google Scholar]
- Yum, K.S.; Shin, D.I. Transient splenial lesions of the corpus callosum and infectious diseases. Acute Crit. Care 2022, 37, 269–275. [Google Scholar] [CrossRef]
- Hayashi, M.; Ueda, M.; Hayashi, K.; Kawahara, E.; Azuma, S.I.; Suzuki, A.; Nakaya, Y.; Asano, R.; Sato, M.; Miura, T.; et al. Case report: Clinically mild encephalitis/encephalopathy with a reversible splenial lesion: An autopsy case. Front. Neurol. 2023, 14, 1322302. [Google Scholar] [CrossRef]
- Moors, S.; Nakhostin, D.; Ilchenko, D.; Kulcsar, Z.; Starkey, J.; Winklhofer, S.; Ineichen, B.V. Cytotoxic lesions of the corpus callosum: A systematic review. Eur. Radiol. 2024, 34, 4628–4637. [Google Scholar]
- Hui, C.K. A case of corpus callosum lesion associated with disseminated Mycobacterium Tuberculosis infection. IIOAB J. 2013, 4, 28–31. [Google Scholar]
- Haouimi, A. Tuberculous Meningitis with Cytotoxic lesion of the Corpus Callosum (CLOCCs). 2020. Available online: https://radiopaedia.org/cases/tuberculous-meningitis-with-cytotoxic-lesion-of-the-corpus-callosum-cloccs (accessed on 13 March 2025).
- Colas, R.A.; Nhat, L.T.H.; Thuong, N.T.T.; Gómez, E.A.; Ly, L.; Thanh, H.H.; Mai, N.T.H.; Phu, N.H.; Thwaites, G.E.; Dalli, J. Proresolving mediator profiles in cerebrospinal fluid are linked with disease severity and outcome in adults with tuberculous meningitis. FASEB J. 2019, 33, 13028–13039. [Google Scholar] [PubMed]
- Thuong, N.T.T.; Heemskerk, D.; Tram, T.T.B.; Thao, L.T.P.; Ramakrishnan, L.; Ha, V.T.N.; Bang, N.D.; Chau, T.T.H.; Lan, N.H.; Caws, M.; et al. Leukotriene A4 Hydrolase Genotype and HIV Infection Influence Intracerebral Inflammation and Survival From Tuberculous Meningitis. J. Infect. Dis. 2017, 215, 1020–1028. [Google Scholar] [PubMed]
- Saghazadeh, A.; Rezaei, N. Central Inflammatory Cytokines in Tuberculous Meningitis: A Systematic Review and Meta-analysis. J. Interfer. Cytokine Res. 2022, 42, 95–107. [Google Scholar]
- Cresswell, F.V.; Davis, A.G.; Sharma, K.; Roy, R.B.; Ganiem, A.R.; Kagimu, E.; Solomons, R.; Wilkinson, R.J.; Bahr, N.C.; Thuong, N.T.T.; et al. Recent Developments in Tuberculous Meningitis Pathogenesis and Diagnostics. Wellcome Open Res. 2019, 4, 164. [Google Scholar]


Disclaimer/Publisher’s Note: The statements, opinions and data contained in all publications are solely those of the individual author(s) and contributor(s) and not of MDPI and/or the editor(s). MDPI and/or the editor(s) disclaim responsibility for any injury to people or property resulting from any ideas, methods, instructions or products referred to in the content. |
© 2025 by the authors. Licensee MDPI, Basel, Switzerland. This article is an open access article distributed under the terms and conditions of the Creative Commons Attribution (CC BY) license (https://creativecommons.org/licenses/by/4.0/).
Share and Cite
Tran, N.T.H.; Nguyen, N.T.H.; Vo, U.P.; Huynh, J. Tuberculous Meningitis in a Child: A Rare Presentation of Cytotoxic Lesion of the Corpus Callosum. Trop. Med. Infect. Dis. 2025, 10, 96. https://doi.org/10.3390/tropicalmed10040096
Tran NTH, Nguyen NTH, Vo UP, Huynh J. Tuberculous Meningitis in a Child: A Rare Presentation of Cytotoxic Lesion of the Corpus Callosum. Tropical Medicine and Infectious Disease. 2025; 10(4):96. https://doi.org/10.3390/tropicalmed10040096
Chicago/Turabian StyleTran, Ny Thi Hong, Nhung Thi Hong Nguyen, Uyen Phuong Vo, and Julie Huynh. 2025. "Tuberculous Meningitis in a Child: A Rare Presentation of Cytotoxic Lesion of the Corpus Callosum" Tropical Medicine and Infectious Disease 10, no. 4: 96. https://doi.org/10.3390/tropicalmed10040096
APA StyleTran, N. T. H., Nguyen, N. T. H., Vo, U. P., & Huynh, J. (2025). Tuberculous Meningitis in a Child: A Rare Presentation of Cytotoxic Lesion of the Corpus Callosum. Tropical Medicine and Infectious Disease, 10(4), 96. https://doi.org/10.3390/tropicalmed10040096

