Central Nervous System Infection by Free-Living Nematode Cephalobus cubaensis in a Human Host in Africa
Abstract
1. Introduction
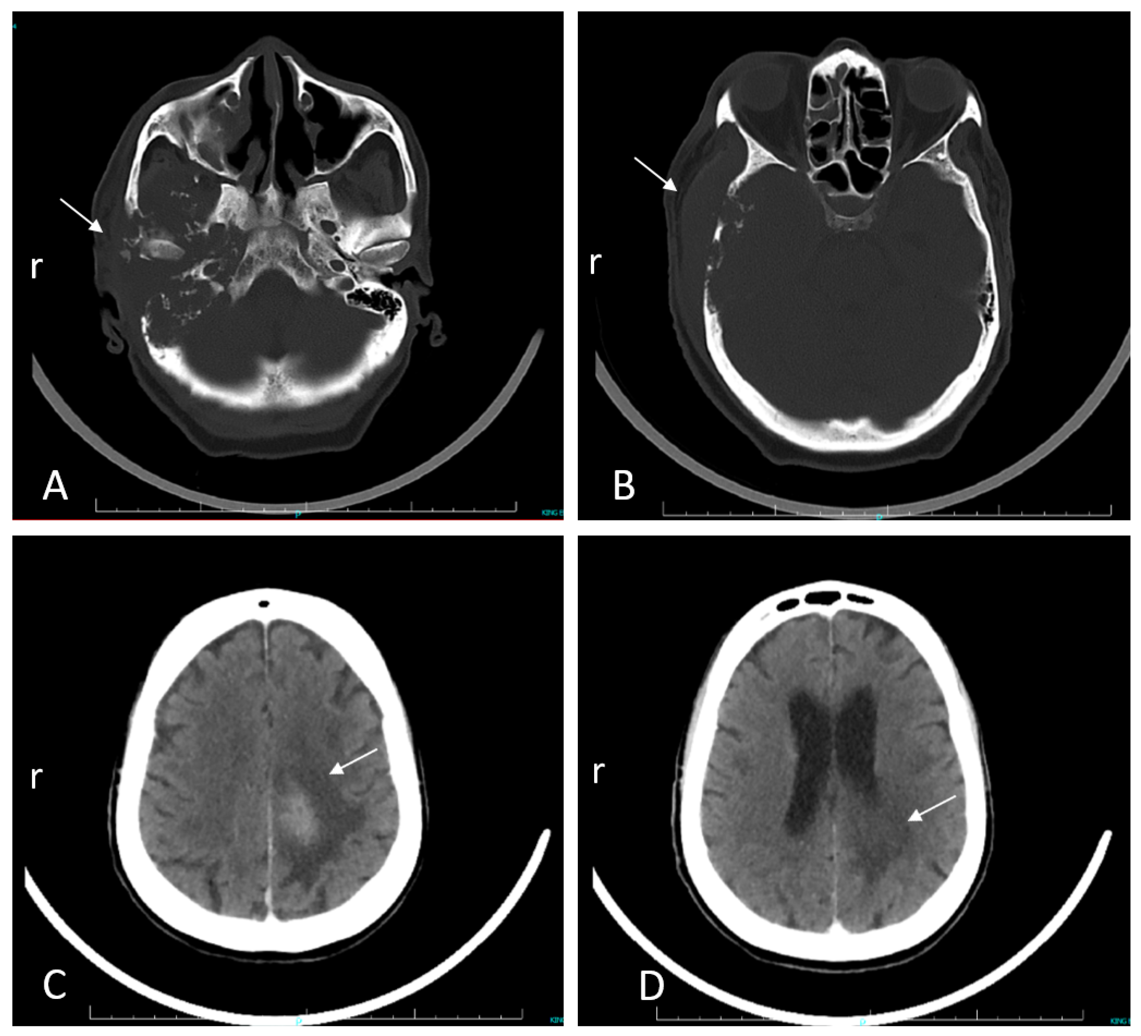
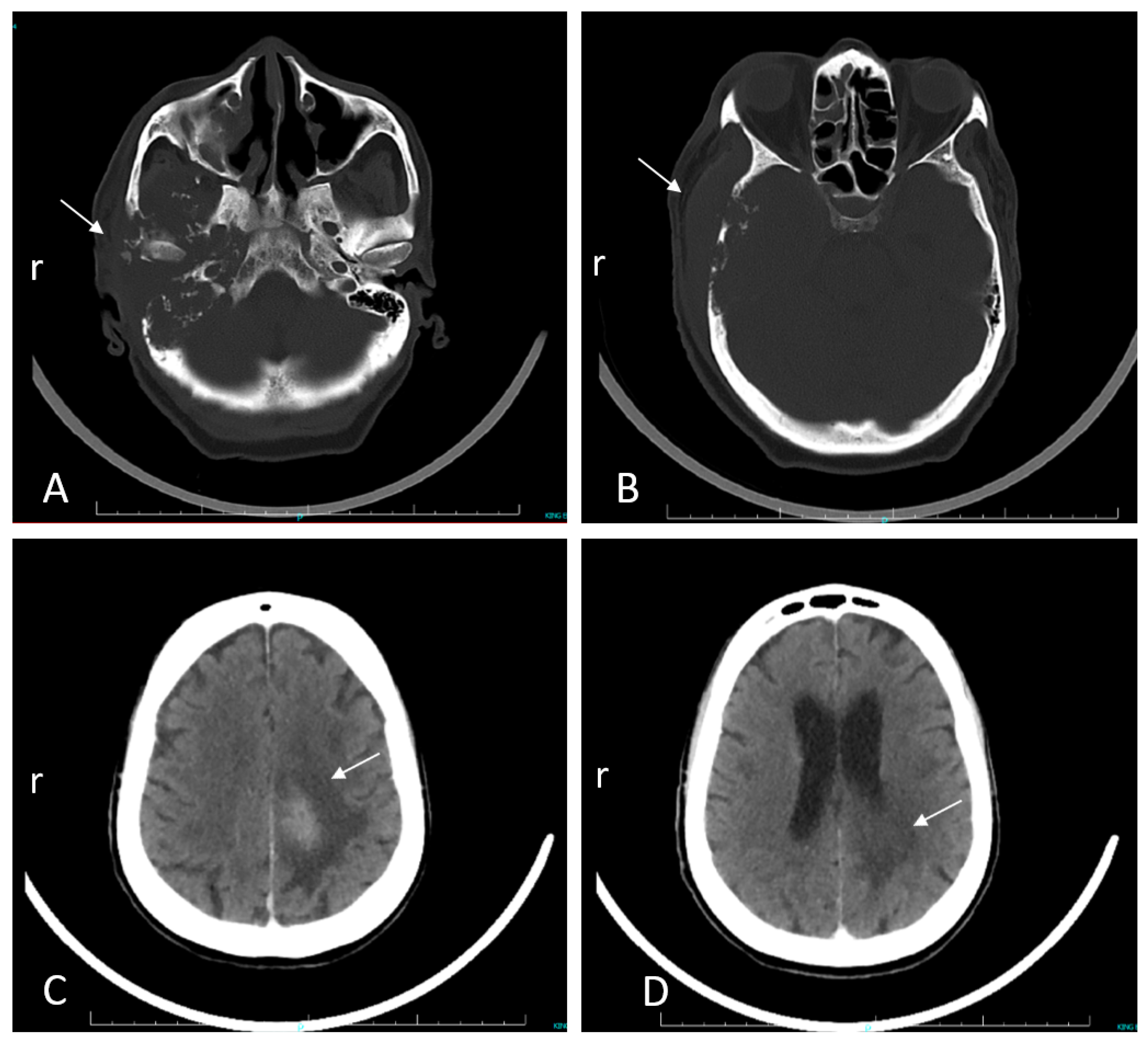
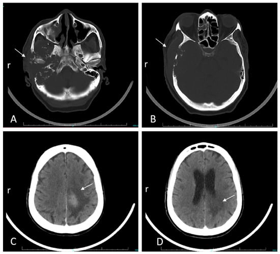
Case Report
2. Materials and Methods
2.1. Laboratory Methods
Samples
2.2. Microscopy
2.3. Nematode Culture
2.4. PCR Assays
2.5. Sanger Sequencing
2.6. Whole-Genome Sequencing
2.7. Phylogenetic Analysis
3. Results
3.1. Microscopy
3.2. Culture
3.3. Molecular Identification and Confirmation
3.3.1. PCR and Sanger Sequencing
3.3.2. Whole-Genome Sequencing
3.3.3. Phylogenetic Analysis
4. Discussion
Supplementary Materials
Author Contributions
Funding
Institutional Review Board Statement
Informed Consent Statement
Data Availability Statement
Conflicts of Interest
References
- Van Megen, H.; van den Elsen, S.; Holterman, M.; Karssen, G.; Mooyman, P.; Bongers, T.; Holovachov, O.; Bakker, J.; Helder, J. A phylogenetic tree of nematodes based on about 1200 full-length small subunit ribosomal DNA sequences. Nematology 2009, 11, 927–950. [Google Scholar] [CrossRef]
- Denver, D.R.; Clark, K.A.; Raboin, M.J. Reproductive mode evolution in nematodes: Insights from molecular phylogenies and recently discovered species. Mol. Phylogenet Evol. 2011, 61, 584–592. [Google Scholar] [CrossRef] [PubMed]
- Greiner, E.C.; Mays, M.B.; Smart, G.C.J.; Weisbrode, S.E. Verminous mastitis in a mare caused by a free-living nematode. J. Parasitol. 1991, 77, 320–322. [Google Scholar] [CrossRef] [PubMed]
- Gratwick, Z.; Frean, J.; du Plessis, D.; Hewetson, M.; Schwan, V. A case of verminous mastitis in a mare. Equine Vet. Educ. 2021, 33, e248–e252. [Google Scholar] [CrossRef]
- Pilotte, N.; Papaiakovou, M.; Grant, J.R.; Bierwert, L.A.; Liewellyn, S.; McCarthy, J.S.; Williams, S.A. Improved PCR-based detection of soil transmitted helminth infections using a next-generation sequencing approach to assay design. PLoS Negl. Trop. Dis. 2016, 10, e0004578. [Google Scholar] [CrossRef]
- Nadler, S.A.; Carreno, R.A.; Adams, B.J.; Kinde, H.; Baldwin, J.G.; Mundo-Ocampo, M. Molecular phylogenetics and diagnosis of soil and clinical isolates of Halicephalobus gingivalis (Nematoda: Cephalobina: Panagrolaimoidea), an opportunistic pathogen of horses. Int. J. Parasitol. 2003, 33, 1115–1125. [Google Scholar] [CrossRef]
- Langmead, B.; Salzberg, S.L. Fast gapped-read alignment with Bowtie 2. Nat. Methods 2012, 9, 357–359. [Google Scholar] [CrossRef]
- Bankevich, A.; Nurk, S.; Antipov, D.; Gurevich, A.A.; Dvorkin, M.; Kulikov, A.S.; Lesin, V.M.; Nikolenko, S.I.; Pham, S.; Prjibelski, A.D.; et al. SPAdes: A new genome assembly algorithm and its applications to single-cell sequencing. J. Comput. Biol. 2012, 19, 455–477. [Google Scholar] [CrossRef]
- Simão, F.A.; Waterhouse, R.M.; Ioannidis, P.; Kriventseva, E.V.; Evgeny, M.; Zdobnov, E.M. BUSCO: Assessing genome assembly and annotation completeness with single-copy orthologs. Bioinformatics 2015, 31, 3210–3212. [Google Scholar] [CrossRef] [PubMed]
- Stamatakis, A. RAxML version 8: A tool for phylogenetic analysis and post-analysis of large phylogenies. Bioinformatics 2014, 30, 1312–1313. [Google Scholar] [CrossRef] [PubMed]
- Nguyen, L.T.; Schmidt, H.A.; von Haeseler, A.; Minh, B.Q. IQ-TREE: A fast and effective stochastic algorithm for estimating maximum-likelihood phylogenies. Mol. Biol. Evol. 2015, 32, 268–274. [Google Scholar] [CrossRef] [PubMed]
- Lim, C.K.; Crawford, A.; Moore, C.V.; Gasser, R.B.; Nelson, R.; Koehler, A.V.; Bradbury, R.S.; Speare, R.; Dhatrak, D.; Weldhagen, G.F. First human case of fatal Halicephalobus gingivalis meningoencephalitis in Australia. J. Clin. Microbiol. 2015, 53, 1768–1774. [Google Scholar] [CrossRef]
- Monoranu, C.M.; Müllges, W.; Keppler, M.; Brehm, K.; Ondrejka, S.L.; Muntau, B.; Tannich, E.; Müller-Hermelink, H.K.; Tappe, D. Fatal human meningoencephalitis due to Halicephalobus nematodes, Germany. Open Forum Infect. Dis. 2015, 2, ofv061. [Google Scholar] [CrossRef] [PubMed]
- Onyiche, T.E.; Okute, T.O.; Oseni, O.S.; Okoro, D.O.; Biu, A.A.; Mbaya, A.W. Parasitic and zoonotic meningoencephalitis in humans and equids: Current knowledge and the role of Halicephalobus gingivalis. Parasite Epidemiol. Control 2017, 3, 36–42. [Google Scholar] [CrossRef] [PubMed]
- Teschner, M.; Würfel, W.; Sedlacek, L.; Suerbaum, S.; Tappe, D.; Hornef, M.W. Outer ear canal infection with Rhabditis sp. nematodes in a human. J. Clin. Microbiol. 2014, 52, 1793–1795. [Google Scholar] [CrossRef]




| Combined Data Analysis | |||
|---|---|---|---|
| Gene | Species | Identity | BLAST Query Coverage |
| 18S | Cephalobus cubaensis | 98.83% | 96% |
| 28S | Cephalobus cubaensis | 95.80% | 25% |
| Heterocephalobellus sp. | 93.72% | 47% | |
| Zeldia punctata | 92.09% | 85% | |
Disclaimer/Publisher’s Note: The statements, opinions and data contained in all publications are solely those of the individual author(s) and contributor(s) and not of MDPI and/or the editor(s). MDPI and/or the editor(s) disclaim responsibility for any injury to people or property resulting from any ideas, methods, instructions or products referred to in the content. |
© 2025 by the authors. Licensee MDPI, Basel, Switzerland. This article is an open access article distributed under the terms and conditions of the Creative Commons Attribution (CC BY) license (https://creativecommons.org/licenses/by/4.0/).
Share and Cite
Sriruttan-Nel, C.; Cairns, C.; Boughan, S.; Moodley, B.; Sun, L.M.; Chan, W.Y.; Ismail, A.; Mwazha, A.; Bennimahadeo, P.; Manickchund, N.; et al. Central Nervous System Infection by Free-Living Nematode Cephalobus cubaensis in a Human Host in Africa. Trop. Med. Infect. Dis. 2025, 10, 37. https://doi.org/10.3390/tropicalmed10020037
Sriruttan-Nel C, Cairns C, Boughan S, Moodley B, Sun LM, Chan WY, Ismail A, Mwazha A, Bennimahadeo P, Manickchund N, et al. Central Nervous System Infection by Free-Living Nematode Cephalobus cubaensis in a Human Host in Africa. Tropical Medicine and Infectious Disease. 2025; 10(2):37. https://doi.org/10.3390/tropicalmed10020037
Chicago/Turabian StyleSriruttan-Nel, Charlotte, Chelline Cairns, Shareen Boughan, Bhavani Moodley, Lisa Ming Sun, Wai Yin Chan, Arshad Ismail, Absalom Mwazha, Praniel Bennimahadeo, Nithendra Manickchund, and et al. 2025. "Central Nervous System Infection by Free-Living Nematode Cephalobus cubaensis in a Human Host in Africa" Tropical Medicine and Infectious Disease 10, no. 2: 37. https://doi.org/10.3390/tropicalmed10020037
APA StyleSriruttan-Nel, C., Cairns, C., Boughan, S., Moodley, B., Sun, L. M., Chan, W. Y., Ismail, A., Mwazha, A., Bennimahadeo, P., Manickchund, N., Moyo, M., Nkwanyana, T., Msimang, M. Z., Essa, A., Frean, J., & Moosa, M.-Y. (2025). Central Nervous System Infection by Free-Living Nematode Cephalobus cubaensis in a Human Host in Africa. Tropical Medicine and Infectious Disease, 10(2), 37. https://doi.org/10.3390/tropicalmed10020037

