Previous Article in Journal
Towards Responsible Artificial Intelligence Adoption: Emerging and Existing Ethical Issues in Africa
 
 
Font Type:
Arial Georgia Verdana
Font Size:
Aa Aa Aa
Line Spacing:
Column Width:
Background:
Article

Optimization of Extraction Buffer Composition and Incubation Time for DNA Isolation from Vitis spp. Using a Matrix Experimental Design

by
Anastasiya I. Bilyk
1,
Ayrat R. Gafurov
1,
Andrey I. Sidyakin
1,
Alexey N. Gusev
1 and
Wolfgang Linert
2,*
1
Plant Micropropagation Laboratory, Fruit Crops Breeding and Seed Center, V.I. Vernadsky Crimean Federal University, 295007 Simferopol, Russia
2
Institute of Applied Physics, Vienna University of Technology, Wiedner Hauptstraße 8-10, 1040 Vienna, Austria
*
Author to whom correspondence should be addressed.
Submission received: 11 December 2025 / Revised: 18 February 2026 / Accepted: 27 February 2026 / Published: 5 March 2026
(This article belongs to the Section Biology Research and Life Sciences)

Abstract

Grapevine tissues (Vitis spp.) are rich in various phenolic compounds and polysaccharides, which complicates the isolation of dsDNA for molecular analysis. In this study, 25 different DNA extraction buffers were developed and tested using a six-factor matrix method with five levels of variation. An optimized buffer based on 100 mM Tris-HCl (pH 8.0) was developed, containing 1% (m/v) CTAB, 1% (m/v) PVP, 5% (v/v) β-mercaptoethanol, 30 mM Na2EDTA, 1.0 M NaCl, and 60 min of incubation. The protocol allowed us to obtain high-quality DNA (187–305 ng/µL, OD260/OD280 = 1.80–1.88) suitable for PCR from five grape varieties: ‘Chardonnay’, ‘Kober 5BB’, ‘Shine Muscat’, ‘Selection Oppenheim 4’, and ‘Fercal’, grown in vitro. This universal buffer improves the reproducibility of results in studies of genetic diversity, pathogen detection, and breeding.

1. Introduction

Species of the genus Vitis L. are among the leading fruit crops in the global agricultural sector, occupying a central position in the production of table and wine grapes [1]. In 2024, according to the International Organisation of Vine and Wine, the total vineyard area worldwide reached 7.1 million hectares [2]. Viticulture and winemaking constitute a significant share of the national economies of such countries as France, Italy, Spain, and China, providing employment for millions of workers and stimulating the development of related industries [3].
Despite their wide distribution and economic significance, genetic research on grapevines faces considerable challenges, primarily due to the chemical composition of leaf tissue. Grapevine leaves contain a significant amount of phenolic compounds such as gallic, ferulic, caffeic, chlorogenic, protocatechuic, and coumaric acids, catechin, quercetin, epicatechin, rutin, hesperidin, vanillin, kaempferol, luteolin, tannins, and various condensed forms of flavan-3-ols and flavan-3,4-diols, as well as high-molecular-weight polysaccharides. These components complicate the process of nucleic acid isolation from plant samples, leading to reduced yields of dsDNA and RNA, as well as contamination of the sample with non-target products.
Existing approaches for dsDNA isolation from plant material include modified CTAB-based protocols, commercial ready-to-use kits, and methods based on magnetic particle-assisted extraction [4]. Although the latter two methods are characterized by relative simplicity and high dsDNA yield, both isolation methods are more expensive compared to CTAB-based protocols [4]. Therefore, the optimal option for dsDNA isolation from plant material is the use of CTAB buffer as a basis for selecting the extraction conditions for dsDNA isolation from plant samples. Furthermore, from the analysis of the available literature, we found buffer systems and protocols developed exclusively for specific plant species, which—according to our preliminary studies—makes their use for DNA extraction from other plant tissues (in particular, grapevine) impossible. In most published works on optimization of biochemical or biotechnological protocols [5,6,7], the authors use either a completely unsystematic (empirical) approach [8], or approaches that address optimization of only one or several (no more than three) components of the system. Although this makes it possible to evaluate the influence of individual system components on the obtained result, it does not take into account internal (intercomponent) interactions of the optimized factors and their total, integrated influence on the studied process.
In the case of CTAB-method optimization by the method of full single-factor experiment, where five variation levels of concentration (i.e., degrees of variation) for six optimized system components are sequentially studied and evaluated separately, the researcher would need to analyze the results of nx = 65 = 7776 possible experiments—a process that is not only labor-intensive and costly but often unnecessary. This necessitates optimization not only of the dsDNA extraction protocols themselves but also of the study of interactions between system components as a whole, the assessment of their combined contribution to the studied process, the construction of clear mathematically justified models, and the revision of approaches to modeling and experimental optimization in general.
Thus, based on the above, the aim of the present study is to optimize the composition of the extraction buffer and incubation time for the isolation of double-stranded DNA (dsDNA) molecules from plant material of various representatives of the genus Vitis using a multifactor experimental design methodology developed by V.P. Malyshev [9].

2. Materials and Methods

2.1. Plant Material

Leaves of in vitro microclones of the rootstock grape cultivar ‘Kober 5BB’ (Vitis berlandieri P. × Vitis riparia M.) from the in vitro plant collection of the Plant Micropropagation Laboratory of the Fruit Crops Breeding and Seed Center, V. I. Vernadsky Crimean Federal University, were used as the model object for extraction buffer optimization experiments. Leaf blades (without petioles) measuring 1–2 cm2 were excised from in vitro-cultured microplants and cut into fragments not exceeding 0.25 cm2 using sterile instruments. The resulting tissue mass was thoroughly mixed to ensure representativeness, after which an average sample of 100 mg was taken for further manipulation and analysis.
Sampling for testing the optimized buffer followed the same procedure. Plant material for buffer validation consisted of leaves from five grape cultivars sourced from the same in vitro collection: ‘Chardonnay’ (Vitis vinifera L.), ‘Kober 5BB’ (Vitis berlandieri P. × Vitis riparia M.), ‘Shine Muscat’ (Vitis labruscana L. × Vitis vinifera L.), ‘Sélection Oppenheim 4’ (Vitis berlandieri P. × Vitis riparia M.), and ‘Fercal’ (‘Berlandieri Colombard 1B’ (Vitis berlandieri P. × Vitis vinifera L.) × ‘Richter 31’ (Vitis berlandieri P. × Vitis longii R.)).

2.2. Extraction Buffer Optimization

In this study, aimed at optimizing the composition of the extraction buffer, instead of empirical single-factor experiments, which substantially increase labor intensity and largely converge single-factor and empirical optimization approaches in achieving the intended objective (development of the extraction buffer), a six-factor, five-level matrix method developed by V.P. Malyshev [9] was used. A key advantage of this method is the ability to assess the contribution of each optimized factor against the background of all the others, guided by point plots.
As optimization factors for the composition of the extraction buffer for DNA isolation from grapevine plant material of the specified cultivars, the following variables were selected: the concentration of cetyltrimethylammonium bromide (CTAB; Helicon, Moscow, Russia), polyvinylpyrrolidone grade K-30 with a molecular weight of 40 kDa (PVP; Nekrasov polymer, Nekrasovsky, Russia), β-mercaptoethanol (BME; Thermo Scientific, Waltham, MA, USA), disodium salt of ethylenediaminetetraacetic acid (Na2EDTA; Reakhim, Moscow, Russia), sodium chloride (NaCl; Vekton, St. Petersburg, Russia), as well as the incubation time of the tissue homogenate with the buffer. The matrix of factor variation levels, compiled according to the methodology [9], is presented in Table 1.
Based on the matrix, 25 variants of the extraction buffer and homogenate incubation time in these buffers were compiled in accordance with Malyshev’s methodology. The selected extraction conditions are presented in Table 2. All tested buffer mixtures were prepared using an aqueous 100 mM tris(hydroxymethyl)aminomethane hydrochloride solution (Tris-HCl; BioFroxx, Einfraht, Germany) at pH 8.0. PVP and BME were added to the extraction buffer solution immediately before tissue homogenization.
To identify the optimal values (reagent concentrations and incubation time) for each factor in the extraction buffer optimization, a data subset was taken from the array of experimental results on DNA preparation concentration and purity for the different buffer mixture variants (Table 2), following the methodology [9], and the degree of influence of the factors (y1, y2 … y6) was determined as a function of their variation levels (x1–x5). The plots were constructed based on averaged point samples showing the dependence of the mean DNA concentration (C(dsDNA)) and purity (OD260/OD280) values on the factor variation levels, as described in [9].
After performing a series of experiments using the adapted method of V.P. Malyshev, the selection of the optimal variation level for all six factors determining the composition of the extraction buffer and the incubation time was carried out with consideration of the fundamental biochemical processes occurring during extraction, as well as the physicochemical properties of the reagents used and their effects on DNA during the extraction process.

2.3. DNA Extraction Protocol

Total DNA extraction from ‘Kober 5BB’ (V. berlandieri × V. riparia) and test cultivars (‘Chardonnay’, ‘Shine Muscat’, ‘Selection Oppenheim 4’, ‘Fercal’) followed a standard CTAB protocol with experimental buffers (Table 2): (1) homogenization and lysis of 100 mg tissue; (2) chloroform:isoamyl alcohol extraction; (3) selective DNA precipitation with 5 M NaCl and ethanol; (4) ethanol washing; (5) drying (Figure 1) [10].
Homogenization of fresh (non-lyophilized) leaf material was performed using a MagNA Lyser homogenizer (Roche, Basel, Switzerland) with MagNA Lyser Green Beads (Roche, Basel, Switzerland) of 0.5–1.0 mm diameter.

2.4. DNA Quantification and Quality Assessment

In the nucleic acid preparations, the quantitative assessment of double-stranded DNA (dsDNA) concentration was performed using a two-channel fluorometer Flu-100 (Allsheng, Shanghai, China) with the Equalbit dsDNA HS Assay Kit (Vazyme, Nanjing, China). The purity of the isolated DNA (OD260/OD280) was evaluated spectrophotometrically on a Nano-500 device (Allsheng, Shanghai, China) by determining the absorbance ratio at 260 and 280 nm.
The qualitative characteristics of the isolated nucleic acids in the obtained preparations, as well as of the PCR amplification products described in Section 3.5 (presence/absence of co-extracted RNA molecules; integrity of genomic DNA, including the presence or absence of low-molecular-weight fractions and smear formation), were assessed visually after horizontal electrophoresis of the nucleic acid samples in a 1% agarose gel prepared with agarose of class I (Helicon, Moscow, Russia) and 1×Tris-borate running buffer (Evrogen, Moscow, Russia). Ethidium bromide (Helicon, Russia) was used as the intercalating agent during electrophoresis and was added at a ratio of 4 µL per 100 mL of agarose, in accordance with the manufacturer’s recommendations.
Prior to loading, nucleic acid samples were mixed with 4×Gel Loading Dye, Blue (Evrogen, Moscow, Russia) at a ratio of 1:3. Separation of nucleic acids was carried out at a constant voltage (6 V/cm between electrodes) in a XinDNA Multipurpose Horizontal Electrophoresis Cell (Clinx Science Instruments, Shanghai, China). Visualization of electrophoretically separated nucleic acids was performed using a Serva BlueCube 300 gel documentation system (Serva, Heidelberg, Germany).

2.5. PCR Amplification

PCR was conducted in a Tianlong PCR Thermal Cycler (Xi’an, China) in 25 µL reactions containing: 2.5 µL 10× PCR buffer, 0.5 µL dNTP mix (10 mM each), 0.5 µL HS Taq DNA polymerase (all Evrogen, Moscow, Russia), 1 µL each primer (10 pmol/µL), and 1 µL template DNA (normalized to 50 ng/µL). Primers targeted the 18S rRNA gene, forward 5′-CGCATCATTCAAATTTCTGC-3′, reverse 5′-TTCAGCCTTGCGACCATACT-3′, yielding an 844 bp product [11].
Thermal cycling: 95 °C/2 min; 35 cycles of 95 °C/30 s, 55 °C/1 min, 72 °C/1 min. Product sizes were determined using ImageLab software version 6.0.1 build 34 (Bio-Rad, Hercules, CA, USA).

2.6. Statistical Analysis

The sampling of a data subset was carried out according to the matrix optimization method of V.P. Malyshev [9]; from the data obtained as a result of the study involving 25 protocol variants, a selection of point values for each factor was performed following the V.P. Malyshev methodology. To determine the optimal values of each optimized factor and to simultaneously assess their interaction within the complex system of the protocol optimization according to the method of V.P. Malyshev, graphs were constructed to represent the dependence of dsDNA concentration and OD260/OD280 ratios on the variation levels of the studied components. For graph construction, from the 25 experimental protocol variants, a selection of data points—essentially the averaged experimental function values, i.e., the influence of each factor (y1—CTAB concentration, y2—PVP concentration, y3—BME concentration, y4—Na2EDTA, y5—NaCl, y6—time) on the studied parameter (dsDNA concentration or its purity index)—was made as derivatives of their variation levels (concentrations or time, x1–x6 in the protocol). Based on the selected data points of the dependencies “y” on “x,” graphs were plotted using the built-in software of Microsoft Office Excel and GraphPad Prism 10.4.0, reflecting the relationship between the studied parameters (dsDNA concentration or its purity index OD260/280) and the variation of the components in the optimized protocol.
Approximation of point graphs into linear plots was performed by empirical fitting and linearization within the same software (Microsoft Office Excel, GraphPad Prism 10.4.0), by selecting such a graph type that would not contradict the biological meaning of the studied dependence and process; the number of points above and below the approximation curve had to be approximately equal; as the “x” value increased, the points should, if possible, alternate above and below the curve; if possible, the sum of vertical deviations from the fitted curve for the points above it should approximately equal the sum of deviations for the points below it.
The measure used to evaluate the individual contribution of each of the studied parameters to the processes of obtaining concentrated or purified dsDNA preparations in this case was the coefficient of determination (R2) of the linear approximation graph for the data sample, which—after constructing the approximation graphs and regression equations—was automatically calculated using the built-in software tools (Microsoft Office Excel, GraphPad Prism 10.4.0) without any additional external programs. This approach significantly simplifies analytical work when assessing the contribution of each optimized parameter to the studied optimization processes.
The following indicators were used as statistical characteristics in the Section 3 (1):
t = R√3/(1 − R2) ≥ 3.1825
where R2 is the coefficient of determination, and t is the calculated value of Student’s t-test, which is compared with its tabulated value at a given number of degrees of freedom (df = 3) and a significance level of α = 0.05; when t ≥ 3.1825, the parameter is considered significant for the optimization.

3. Results and Discussion

All 25 buffer variants combined with specified incubation times yielded DNA preparations with varying concentrations (C(dsDNA)) and purity levels (OD260/OD280), ranging from 3.96 to 680.33 ng/µL and 1.44 to 1.91, respectively (Table 2).
Averaged C(dsDNA) and purity values by factor levels are presented in Table 3 and Table 4. These data formed the basis for point plots showing dependencies of DNA concentration and purity on factor variation levels.

3.1. Effect of CTAB Concentration

In the present study, investigating the effects on DNA extraction from leaves of the V. berlandieri × V. riparia ‘Kober 5BB’ hybrid revealed that varying CTAB concentrations resulted in dsDNA yields ranging from 116.94 to 245.74 ng/µL, with this factor showing high statistical significance for obtaining pure DNA preparations. The maximum mean DNA yield (245.74 ng/µL) was achieved at 4% (m/v) CTAB (R2 = 0.7824, t = 7.04), indicating a substantial influence of this buffer component on DNA concentration in the extract.
These results align with the literature data, where 2–4% (m/v) CTAB concentrations enhanced DNA yields from grapevine and other polyphenol-rich plant tissues, as demonstrated in optimization protocols for Vitis spp., although such approaches were often empirical and overlooked factor interactions [4].
Analysis of DNA purity ratios (OD260/OD280 from 1.72 to 1.80; Figure 2) in relation to CTAB concentration also revealed high statistical significance (R2 = 0.9752, t = 5.17), approximated by a linear-inverse curve. This can be attributed to the unstable solubility of cetyltrimethylammonium bromide and attainment of the critical micelle concentration in the buffer, leading to reduced purity at CTAB concentrations > 2% (m/v) and potential unsuitability of samples for downstream molecular genetic analyses (PCR, sequencing).
Similar effects have been reported in recent studies on DNA extraction from plant matrices, where excess CTAB (>2% (m/v) caused contamination and OD260/OD280 values below 1.8, rendering DNA unsuitable for molecular genetic methods, as demonstrated for Lippia alba and other species.
In conclusion, 1% (m/v) CTAB is required to obtain high-quality DNA from V. berlandieri × V. riparia material, which aligns with the literature data emphasizing the role of this cationic detergent in disrupting plant cell walls and separating nucleic acids, as well as with empirical protocol optimization data where low concentrations (0.5–1.5% (m/v)) facilitate balanced DNA yields and purity, albeit without accounting for systematic component interactions [12].

3.2. Effect of PVP Concentration

The maximum average DNA yield (232.02 ng/µL) was achieved at 4% PVP in the extraction buffer (Figure 3). Here, C(dsDNA) ranged from 96.00 to 232.02 ng/µL depending on PVP concentration, showing statistical significance (R2 = 0.9974, t = 665.31, df = 3, α = 0.05). To mitigate the adverse effects of phenolic compounds and polysaccharides present in leaf tissues of all Vitis species during DNA extraction, polyvinylpyrrolidone (PVP) with a molecular weight of 40 kDa was employed [13]. Our approach to optimizing PVP concentration surpasses typical empirical methods described in the literature by accounting for its integral impact on key extraction parameters. We demonstrated that dsDNA concentrations varied from 96.00 to 232.02 ng/µL depending on PVP concentration, with pure dsDNA yield showing strong statistical dependence (R2 = 0.9974, t = 665.31) on PVP presence in the buffer. The maximum mean DNA yield (232.02 ng/µL) was observed at 4% (m/v) PVP in the extraction buffer (Figure 3).
These results are consistent with the literature reports, where 2–4% (m/v) PVP enhanced DNA yields from polyphenol-rich plant tissues (e.g., wheat, maize, and tomato leaves) by adsorbing phenols and preventing their oxidation [14].
PVP content also significantly influenced DNA purity (R2 = 0.7164, t = 5.17); however, increasing from 2% to 4% (m/v), especially in interaction with other optimized system factors, deteriorated the OD260/OD280 ratio. Although maximum dsDNA yield was observed at 4% (m/v) PVP, the purity of such preparations was 1.68, indicating protein contamination and rendering them unsuitable for molecular genetic analyses. Similar effects of excess PVP (>2–3% (m/v)) have been described in protocols for diverse plant tissues, where it binds not only phenols but also DNA, reducing purity below 1.8 and necessitating additional purification steps [15].
Thus, our study demonstrates that 1% (m/v) PVP is optimal, providing DNA preparations meeting molecular genetic research standards in both concentration (187.94 ng/µL) and purity (OD260/OD280 = 1.80).

3.3. Effect of BME Concentration

β-Mercaptoethanol (BME), included in buffer mixtures, serves multiple purposes: inhibiting oxidation and polymerization of intracellular phenols, as well as disrupting cell wall and cytoplasmic proteins by cleaving disulfide bonds [16,17,18]. In our experiments, BME presence significantly influenced both extracted DNA concentration (R2 = 0.7666, t = 6.50) and purity of the resulting DNA preparation (R2 = 0.7758, t = 6.80; Figure 4), consistent with findings from other researchers. These effects align with the literature on DNA extraction from polyphenol-rich plant tissues (e.g., Vitis spp. and cereals), where BME was used at 1–5% (v/v) concentrations [19].
The dsDNA concentration dependence on BME ranged from 45.16 to 261.58 ng/µL, with the maximum mean yield (261.58 ng/µL) achieved at 2.5% (v/v) BME and OD260/OD280 = 1.73. Further increasing BME to 20% (v/v) sharply reduced dsDNA yield (to 45.16 ng/µL), likely due to altered physicochemical properties of proteins and/or formation of their insoluble complexes with DNA, as described in protocols for complex plant matrices where excess BME (>10% (v/v)) provoked DNA degradation or contamination, necessitating balanced concentrations [20].
Based on the identified patterns and statistical parameters, 5% (v/v) BME is recommended for obtaining pure DNA preparations from V. berlandieri × V. riparia material, optimally balancing high DNA yield and purity (OD260/OD280 > 1.8). This approach surpasses typical empirical literature methods by accounting for BME’s integral impact on key extraction parameters.

3.4. Effect of Na2EDTA Concentration

Inclusion of Na2EDTA in the extraction buffer is justified by its chelating properties: the compound binds divalent cations Ca2+ and Mg2+—cofactors of DNases and RNases—thereby inhibiting nucleic acid degradation by cellular endonucleases [21,22]. This component is essential for maintaining DNA preparation integrity, as confirmed by standard CTAB protocols for polyphenol-rich plant tissues (Vitis spp.), where EDTA (10–50 mM) prevents nuclease activity during lysis [23].
Na2EDTA significantly influenced primarily the concentration of extracted DNA (R2 = 0.9766, t = 73.15, df = 3, α = 0.05; Figure 5), where dsDNA concentration varied from 96.94 to 189.03 ng/µL, peaking at 20 mM (189.03 ng/µL, OD260/OD280 = 1.73). Near-maximum yield (185.48 ng/µL) was obtained at 30 mM with purity of 1.79, close to the recommended 1.80–2.00 range. DNA purity dependence on Na2EDTA lacked statistical significance (R2 = 0.4556, t = 2.15, df = 3, α = 0.05), consistent with empirical literature optimizations where 20–30 mM EDTA enhanced DNA yields from cereal and grapevine leaves through stabilization, albeit without systematic factor interaction analysis [23].
Based on dsDNA concentration and OD260/OD280 dependencies, 30 mM Na2EDTA is recommended for obtaining pure DNA preparations from V. berlandieri × V. riparia material. This concentration optimally balances yield and quality.

3.5. Effect of NaCl Concentration

Sodium chloride in the extraction buffer provides the necessary ionic strength for efficient DNA extraction. In our study, NaCl significantly affected DNA concentration (R2 = 0.9706, t = 58.04, df = 3, α = 0.05) but not OD260/OD280 purity (R2 = 0.22, t = 1.04, df = 3, α = 0.05; Figure 6), consistent with the CTAB protocol literature for polyphenol-rich tissues (Vitis spp.), where 0.5–1.5 M NaCl enhanced DNA yield through negative charge shielding, although optimizations were empirical without factor interaction analysis [24].
The maximum mean DNA yield (228.07 ng/µL at OD260/OD280 = 1.78) was observed at 1.0 M NaCl. Increasing to 1.4 M sharply reduced dsDNA concentration to 63.50 ng/µL, as high Na+ concentrations neutralize negative charges of the DNA sugar-phosphate backbone, decreasing its water solubility and increasing chloroform partitioning [25,26]. Similar effects have been described in protocols where NaCl >1.2 M promoted DNA precipitation and salt contamination, reducing PCR suitability [27].
Electropherograms revealed co-extraction of DNA and RNA in buffers 3, 5, 6, 9, 12, and 13 (Figure 7), where NaCl exceeded 1.0 M, explaining the co-precipitation of nucleic acids due to reduced hydrophilicity [28]. Thus, 1.0 M NaCl is recommended for achieving high DNA concentrations with acceptable purity from grapevine preparations.

3.6. Effect of Incubation Time

Incubation time of samples in the extraction buffer is critical for nucleic acid isolation, particularly when using aggressive detergents like CTAB. Longer incubation enhances lysis efficiency but increases accumulation of DNA degradation products under the action of salts, detergents, and heat [29,30,31].
In this study, maximum dsDNA concentration of 305.28 ng/µL at standard purity (OD260/OD280 = 1.83) was achieved after 60 min incubation (Figure 8). Incubation time showed no statistically significant effect on either yield (R2 = 0.1156, t = 0.67, df = 3, α = 0.05) or purity (R2 = 0.5112, t = 2.02, df = 3, α = 0.05), consistent with the CTAB protocol optimization literature for plant tissues where shorter incubations (≤60 min) at 65 °C provide comparable DNA yields with reduced fragmentation and contamination compared to prolonged (1–24 h) exposures [32].
Our results (60 min—peak yield without statistical dependence) confirm this optimum.

3.7. Optimized Buffer Performance

Based on the experiments and analysis of dsDNA concentration and purity dependencies on buffer composition, component quantities, incubation time, and statistical significance, the optimized extraction buffer for total DNA from grapevine material with satisfactory purity and concentration is 100 mM Tris-HCl (pH 8.0), 30.0 mM Na2EDTA, 1.0 M NaCl, 1.0% (m/v) CTAB, 1.0% (m/v) PVP, 5.0% (v/v) β-mercaptoethanol, with 60 min incubation.
To validate the buffer’s suitability for other grapevine cultivars, additional extractions were performed on leaves of ‘Fercal’, ‘Kober 5BB’, ‘Chardonnay’, ‘Shine Muscat’, and ‘Selection Oppenheim 4’. Yields ranged from 229.40 ± 117.79 ng/µL (‘Fercal’) to 502.60 ± 158.50 ng/µL (‘Selection Oppenheim 4’) dsDNA (Table 5, Figure 9).
No significant differences in total DNA yield among cultivars were observed, confirming protocol universality (Table 5, Figure 9). OD260/OD280 values also showed no significant differences. Maximum purity was for ‘Kober 5BB’ and ‘Chardonnay’ at 2.04 ± 0.03 and 2.04 ± 0.04, respectively, slightly above the standard. Minimum was for ‘Fercal’ at 1.88 ± 0.25.
Electrophoresis and analysis of extracted dsDNA from five cultivars confirmed buffer suitability for all studied genotypes (Figure 9). However, RNA co-extraction was observed in four cultivars (‘Kober 5BB’, ‘Chardonnay’, ‘Shine Muscat’, ‘Selection Oppenheim 4’), potentially due to hybrid complexity, which may hinder DNA-specific molecular diagnostics—recommending RNase treatment if needed. This co-extraction offers flexibility for selecting nucleic acid types (e.g., RNA for RT-PCR, DNA for PCR).
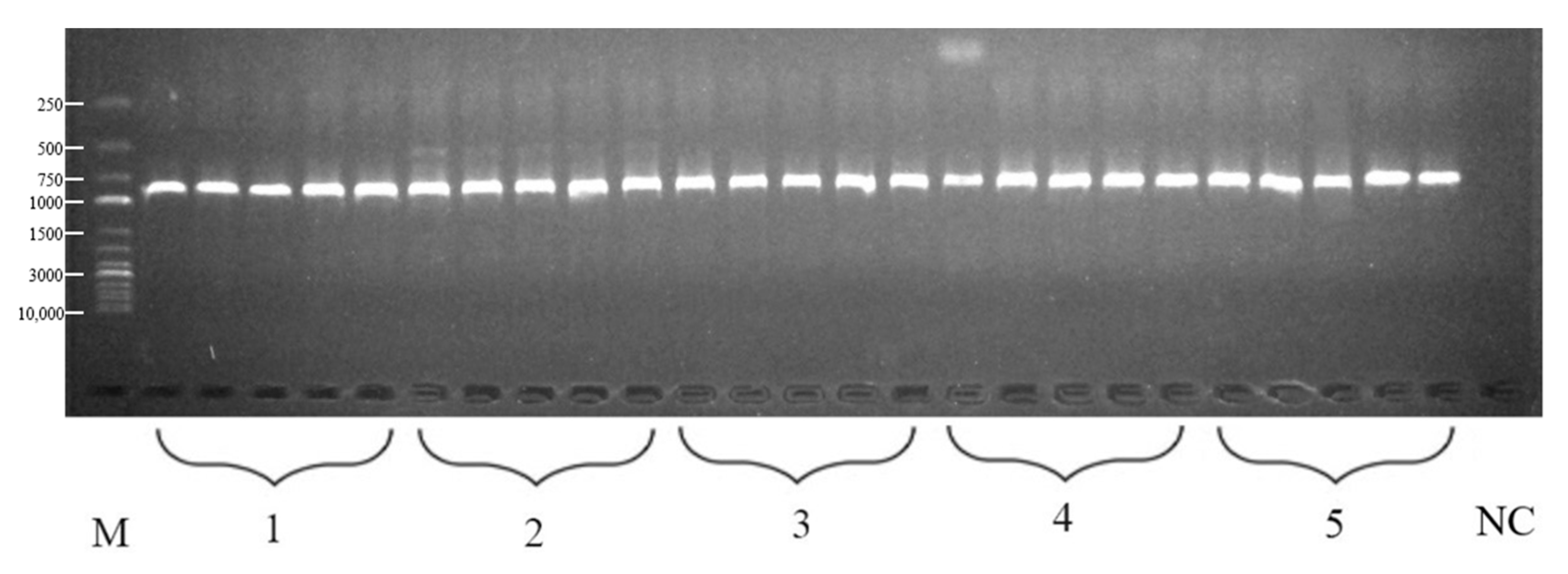
To assess dsDNA suitability for downstream molecular genetic studies, PCR was performed on DNA from ‘Fercal’, ‘Kober 5BB’, ‘Chardonnay’, ‘Shine Muscat’, and ‘Selection Oppenheim 4’ using primers for the 18S rRNA small subunit gene. All cultivars amplified a single 844 bp product in five replicates, matching reference 18S rRNA gene sizes, with no PCR inhibition by RNA impurities (Figure 10).

4. Conclusions

Our studies enabled optimization of the extraction buffer composition and dsDNA extraction time, and development of a new protocol for dsDNA isolation from grapevine plant material that has not been previously described in the literature.
Using the developed dsDNA extraction protocol from grapevine plant material as an example, we have demonstrated that to reduce the number of experiments, identify mathematically justified dependencies, and select optimal concentrations of individual factors in multifactor experiments—instead of the empirical approach, which does not guarantee identification of optimal values, or the full single-factor experiment requiring lengthy and expensive studies—the matrix experimental design method proposed by V.P Malyshev can be successfully applied. This method is based on solving Protodyakonov’s equation, in which the effect of each optimized factor is analyzed taking into account the interactions of all optimized factors of the studied process. Application of the matrix method not only allows selection of optimal concentrations of the optimized factors but also enables quantitative assessment of factor effects within the system using two simple mathematical indicators as measures of importance/criticality: the coefficient of determination of the linear graph approximation to the obtained point samples (R2), and the t-Student’s criterion coefficient calculated based on R2. At a given number of degrees of freedom (df = 3) and significance level α = 0.05, an R2 value below 0.5841 indicates that this factor can be used at the minimum of the studied concentrations or completely excluded from the optimized protocol if its exclusion does not negatively affect the optimized process.
Thus, we propose a new, previously unpublished in the scientific literature, protocol for dsDNA extraction from grapevine plant material (leaves) using a modified CTAB buffer, with full mathematical justification. Based on the mathematical processing of the obtained results, taking into account the approximation reliability values (which must be not less than 0.5841), we propose a new, mathematically matrix-optimized protocol for dsDNA extraction from grapevine plant material. A total of 100 mg of fresh (non-lyophilized) leaves were homogenized in a MagNA Lyser instrument (Roche, Switzerland) using MagNA Lyser Green Beads (Roche, Switzerland) of 0.5–1.0 mm diameter with 1000 µL of dsDNA extraction buffer (buffer composition: 100 mM Tris-HCl (pH 8.0), 30 mM Na2EDTA, 1 M NaCl, 1% (m/v) CTAB, 1% (m/v) PVP, 5% (v/v) BME) for 30 s at 5000 rpm three times. The resulting mixture was incubated at 65 °C for 60 min, after which the lysate was transferred to a new 2 mL tube, and 1000 µL of chloroform:isoamyl alcohol solution (24:1) was added. The mixture was incubated at room temperature for 3 min with constant manual shaking, then centrifuged for 10 min at 13,400× g. A total of 700 µL of the aqueous phase was taken, 700 µL of chloroform:isoamyl alcohol mixture (24:1) was added again, and manual shaking was performed for 3 min, followed by a second centrifugation of the sample for 3 min. To the selected aqueous phase, 0.5 V of 5 M NaCl and 2 V of 95% C2H5OH were added, and the mixture was incubated at +4 °C for 20 min, then centrifuged for 20 min at 13,400× g with subsequent supernatant removal. To the obtained dsDNA pellet, 1000 µL of chilled 70% C2H5OH was added, after which the sample was centrifuged at 13,400× g for 10 min with subsequent supernatant removal and re-precipitation with 95% C2H5OH. After alcohol removal, the sample was dried for 5–7 min at 65 °C and dissolved in 100 µL of Milli-Q water. For obtaining purer preparations containing only DNA, in case RNA-free reactions are required, the preparation is treated with RNases. The developed dsDNA isolation protocol was validated on leaf samples of five grape varieties (‘Fercal’, ‘Kober 5BB’, ‘Chardonnay’, ‘Shine Muscat’, and ‘Selection Oppenheim 4’). It enables obtaining at least 229 ng/µL of dsDNA suitable for further molecular genetic studies, which was also confirmed in the present study.

Author Contributions

Conceptualization, A.I.S., A.I.B. and A.R.G.; methodology, A.I.S., A.I.B. and A.R.G.; software, A.I.S., A.I.B. and A.R.G.; validation, A.I.S., A.I.B. and A.R.G.; formal analysis, A.I.S., A.I.B. and A.R.G.; investigation, A.I.S., A.I.B. and A.R.G.; resources, A.N.G. and A.I.S.; data curation, A.I.S., A.I.B. and A.R.G.; writing—original draft preparation, A.I.S., A.I.B. and A.R.G.; writing—review and editing, A.I.S., A.N.G. and W.L.; visualization, A.I.B. and A.R.G.; supervision, A.I.S. and W.L.; project administration, A.I.S. and W.L.; funding acquisition, A.I.S. All authors have read and agreed to the published version of the manuscript.

Funding

The research was carried out within the framework of the state assignment FZEG-2023-0007 ‘Development of a biotechnology for elite grape (Vitis vinifera L.) plants with the establishment of virus-free status for large-scale propagation’ as part of the state science assignment for 2023–2025.

Data Availability Statement

The original contributions presented in this study are included in the article. Further inquiries can be directed to the corresponding authors.

Acknowledgments

The authors extend their sincere gratitude to all colleagues who contributed to the discussion of the results and provided assistance in the performance of this work. This research was carried out at the Plant Micropropagation Laboratory of the Selection and Seed Production Center for Fruit Crops at the V.I. Vernadsky Crimean Federal University. The work was supported by the state assignment (project no. FZEG-2023-0007) ‘Development of a biotechnology for obtaining reference grape plants (Vitis vinifera L.) with a virus-free status for mass propagation’ for the years 2023–2025.

Conflicts of Interest

The authors declare no conflicts of interest.

Abbreviations

BMEβ-mercaptoethanol
PVPPolyvinylpyrrolidone
CTABCetyltrimethylammonium bromide

References

  1. Alston, J.M.; Sambucci, O. Grapes in the world economy. In The Grape Genome; Springer International Publishing: Cham, Switzerland, 2019; pp. 1–24. [Google Scholar]
  2. OIV. OIV Statistical Brief: Wine, Table Grapes & Dried Grapes in 2024; International Organisation of Vine and Wine: Dijon, France, 2025. [Google Scholar]
  3. Veisi, H.; Ghazvini, M.; Khoshbakht, K.; Shahmohammadi, A. Sustainable energy management: Energy flow and economic analysis of grape production. Sustainability 2025, 17, 2372. [Google Scholar] [CrossRef]
  4. Buljević, N.; Preiner, D.; Šikuten, I.; Tomaz, I. Comparison of Different DNA Isolation Methods from Grapevine (Vitis vinifera) Leaves. Separations 2025, 12, 316. [Google Scholar] [CrossRef]
  5. Yang, C.Y.; Scholefield, D.; Ashling, S.; Grewal, S.; King, I.P.; King, J. A simplified low-cost and reliable plant genomic DNA extraction method for PCR-based genotyping and screening. Plant Methods 2025, 22, 2. [Google Scholar] [CrossRef]
  6. Santos, M.E.A.H.P.; Rodrigues, M.S.; Siqueira, W.J.; Marques, M.O.M.; Mondego, J.M.C. Comparative analysis indicates a simple protocol for DNA extraction of the aromatic plant Lippia alba. Anal. Biochem. 2023, 675, 115225. [Google Scholar] [CrossRef] [PubMed]
  7. De Silva, S.; Cagliero, C.; Gostel, M.R.; Johnson, G.; Anderson, J.L. Versatile DNA extraction from diverse plant taxa using ionic liquids and magnetic ionic liquids: A methodological breakthrough for enhanced sample utility. Plant Methods 2024, 20, 91. [Google Scholar] [CrossRef] [PubMed]
  8. Liu, B.; Wu, H.; Cao, Y.; Ma, G.; Zheng, X.; Zhu, H.; Song, X.; Sui, S. Reducing costs and shortening the cetyltrimethylammonium bromide (CTAB) method to improve DNA extraction efficiency from wintersweet and some other plants. Sci. Rep. 2025, 15, 13441. [Google Scholar] [CrossRef]
  9. Malyshev, V.P. Matematicheskoe Planirovanie Metallurgicheskogo i Khimicheskogo Eksperimenta; Nauka: Alma-Ata, Kazakhstan, 1977; Volume 1, pp. 1–25. [Google Scholar]
  10. Karakousis, A. A high-throughput Plant DNA extraction method for marker analysis. Plant Mol. Biol. Report. 2003, 21, 95. [Google Scholar] [CrossRef]
  11. Gambino, G. Multiplex RT-PCR method for the simultaneous detection of nine grapevine viruses. Methods Mol. Biol. 2015, 1236, 39–47. [Google Scholar] [PubMed]
  12. Wang, L.; Stegemann, J.P. Extraction of high quality RNA from polysaccharide matrices using cetyltrimethylammonium bromide. Biomaterials 2010, 31, 1612–1618. [Google Scholar] [CrossRef]
  13. Lee, B.J.; Kim, S.; Lee, J.W.; Lee, H.M.; Eo, S.H. Polyvinylpyrrolidone (PVP) and proteinase-K improve the efficiency of DNA extraction from Japanese larch wood and PCR success rate. Forensic Sci. Int. 2021, 328, 111005. [Google Scholar] [CrossRef]
  14. Hall, M.E.; Cadle-Davidson, L.; Fang, Z.; Wilcox, W.F. A new method for extracting DNA from the grape berry surface, beginning in the vineyard. Heliyon 2019, 5, e02597. [Google Scholar] [CrossRef]
  15. Wanere, S.S.; Phad, A.P.; Jagtap, R.K.; Rawal, S.K.; Pyati, P.S.; Lomate, P.R. Cost-effective and reliable genomic DNA extraction from plant seedlings for high-throughput genotyping in seed industries. Anal. Biochem. 2023, 676, 115245. [Google Scholar] [CrossRef] [PubMed]
  16. Varma, A.; Padh, H.; Shrivastava, N. Plant genomic DNA isolation: An art or a science. Biotechnol. J. 2007, 2, 386–392. [Google Scholar] [CrossRef]
  17. Wang, T.; Zhang, N.; Du, L. Isolation of RNA of high quality and yield from Ginkgo biloba leaves. Biotechnol. Lett. 2005, 27, 629–633. [Google Scholar] [CrossRef] [PubMed]
  18. Jadhav, K.P.; Ranjani, R.V.; Senthil, N. Chemistry of plant genomic DNA extraction protocol. BIOINFOLET—Q. J. Life Sci. 2015, 12, 543–548. [Google Scholar]
  19. Işçi, B.; Kalkan Yildirim, H.; Altindisli, A. Evaluation of methods for DNA extraction from must and wine. J. Inst. Brew. 2014, 120, 238–243. [Google Scholar] [CrossRef]
  20. Yee, W.; Kumar, J.N.; Muthusamy, P.D. Inclusion of 2-Mercaptoethanol in Lysis Buffer Could Interfere with Isolation of High Molecular Weight DNA from Freshwater Microalgae. Indian J. Microbiol. 2018, 58, 109–113. [Google Scholar] [CrossRef]
  21. Heikrujam, J.; Kishor, R.; Mazumder, P.B. The chemistry behind plant DNA isolation protocols. In Biochemical Analysis Tools—Methods for Bio-Molecules Studies; IntechOpen: London, UK, 2020. [Google Scholar]
  22. Messner, E.; Becker, L.; DeSanctis, M.L.; Soranno, E.A.; Pianka, R.; Pierce, C.; Johnson, M.; Poulin, R.F.; Ap-piah-Madson, H.J.; Distel, D.L. Perish the thawed? EDTA reduces DNA degradation during extraction from frozen tissue. PLoS ONE 2025, 20, e0321872. [Google Scholar] [CrossRef]
  23. Nkuna, R.; Ijoma, G.N.; Matambo, T.S. Applying EDTA in Chelating Excess Metal Ions to Improve Downstream DNA Recovery from Mine Tailings for Long-Read Amplicon Sequencing of Acidophilic Fungi Communities. J. Fungi 2022, 8, 419. [Google Scholar] [CrossRef]
  24. Emaus, M.N.; Cagliero, C.; Gostel, M.R.; Johnson, G.; Anderson, J.L. Simple and efficient isolation of plant genomic DNA using magnetic ionic liquids. Plant Methods 2022, 18, 37. [Google Scholar] [CrossRef]
  25. Arshad, M. DNA Extraction Protocol (1). 2018. Available online: https://www.researchgate.net/publication/323878803_DNA_Extraction_Protocol_1?channel=doi&linkId=5ab0feb70f7e9b4897c29f2e&showFulltext=true (accessed on 10 December 2025). [CrossRef]
  26. Kjellstrand, P.T.T. The effect of sodium chloride on the extraction of DNA fragments during Feulgen acid hydrolysis. Histochem. J. 1977, 9, 357–367. [Google Scholar] [CrossRef] [PubMed]
  27. Khan, I.; Kaushik, G.; Verma, C.; Vashishtha, R.; Kumar, V. Optimization of Binding Buffer Composition (Polyethylene Glycol, Sodium Chloride and pH) for Extraction of DNA from Biological Fluids Using Polyethyleneimine Functionalized Iron Oxide Nanoparticle-Based Method. Nanotechnol. Sci. Appl. 2024, 17, 247–258. [Google Scholar] [CrossRef]
  28. Lutz, Í.; Miranda, J.; Santana, P.; Martins, T.; Ferreira, C.; Sampaio, I.; Vallinoto, M.; Gomes, G.E. Quality analysis of genomic DNA and authentication of fisheries products based on distinct methods of DNA extraction. PLoS ONE 2023, 18, e0282369. [Google Scholar] [CrossRef] [PubMed]
  29. Huang, M.C.; Ye, H.; Kuan, Y.K.; Li, M.H.; Ying, J.Y. Integrated two-step gene synthesis in a microfluidic device. Lab Chip 2009, 9, 276–285. [Google Scholar] [CrossRef]
  30. Stojanović, I.; Stefanović, A.; Ilić, G. DNA degradation of bloodstains on cotton fabric caused by different washing procedures. Forensic Sci. Med. Pathol. 2024, 20, 1303–1309. [Google Scholar] [CrossRef]
  31. Alketbi, S.K.; Goodwin, W. The effect of time and environmental conditions on Touch DNA. Forensic Sci. Int. Genet. Suppl. Ser. 2019, 7, 701–703. [Google Scholar] [CrossRef]
  32. Schenk, J.J.; Becklund, L.E.; Carey, S.J.; Fabre, P.P. What is the “modified” CTAB protocol? Characterizing modifications to the CTAB DNA extraction protocol. Appl. Plant Sci. 2023, 11, e11517. [Google Scholar] [CrossRef] [PubMed]
Figure 1. Schematic diagram of the DNA extraction protocol from grape leaves.
Figure 1. Schematic diagram of the DNA extraction protocol from grape leaves.
Sci 08 00061 g001
Figure 2. Dependence of dsDNA concentration and its purity on CTAB content in the extraction buffer.
Figure 2. Dependence of dsDNA concentration and its purity on CTAB content in the extraction buffer.
Sci 08 00061 g002
Figure 3. Dependence of dsDNA concentration and its purity on PVP content in the extraction buffer.
Figure 3. Dependence of dsDNA concentration and its purity on PVP content in the extraction buffer.
Sci 08 00061 g003
Figure 4. Dependence of dsDNA concentration and its purity on BME content in the extraction buffer.
Figure 4. Dependence of dsDNA concentration and its purity on BME content in the extraction buffer.
Sci 08 00061 g004
Figure 5. Dependence of dsDNA concentration and its purity on Na2EDTA content in the extraction buffer.
Figure 5. Dependence of dsDNA concentration and its purity on Na2EDTA content in the extraction buffer.
Sci 08 00061 g005
Figure 6. Dependence of dsDNA concentration and its purity on NaCl content in the extraction buffer.
Figure 6. Dependence of dsDNA concentration and its purity on NaCl content in the extraction buffer.
Sci 08 00061 g006
Figure 7. Agarose gel electrophoresis of nucleic acid preparations obtained using experimental extraction buffers per the experimental design (Table 2). M—1 kb molecular weight marker (Evrogen, Moscow, Russia); lane numbers correspond to Table 2 buffers; white rectangle indicates co-extracted RNA.
Figure 7. Agarose gel electrophoresis of nucleic acid preparations obtained using experimental extraction buffers per the experimental design (Table 2). M—1 kb molecular weight marker (Evrogen, Moscow, Russia); lane numbers correspond to Table 2 buffers; white rectangle indicates co-extracted RNA.
Sci 08 00061 g007
Figure 8. Dependence of dsDNA concentration and its purity on incubation time of homogenized plant sample with extraction buffer.
Figure 8. Dependence of dsDNA concentration and its purity on incubation time of homogenized plant sample with extraction buffer.
Sci 08 00061 g008
Figure 9. Agarose gel electrophoresis of nucleic acid preparations obtained using the developed extraction buffer from leaves of five grapevine cultivars. M—1 kb molecular weight marker (Eurogen, Russia); 1—‘Fercal’; 2—‘Kober 5BB’; 3—‘Chardonnay’; 4—‘Shine Muscat’; 5—‘Selection Oppenheim 4’.
Figure 9. Agarose gel electrophoresis of nucleic acid preparations obtained using the developed extraction buffer from leaves of five grapevine cultivars. M—1 kb molecular weight marker (Eurogen, Russia); 1—‘Fercal’; 2—‘Kober 5BB’; 3—‘Chardonnay’; 4—‘Shine Muscat’; 5—‘Selection Oppenheim 4’.
Sci 08 00061 g009
Figure 10. Agarose gel electrophoresis of 18S rRNA gene amplification products from various grapevine cultivars. M—1 kb molecular weight marker (Eurogen, Russia); 1—‘Fercal’; 2—‘Kober 5BB’; 3—‘Chardonnay’; 4—‘Shine Muscat’; 5—‘Selection Oppenheim 4’; NC—negative control.
Figure 10. Agarose gel electrophoresis of 18S rRNA gene amplification products from various grapevine cultivars. M—1 kb molecular weight marker (Eurogen, Russia); 1—‘Fercal’; 2—‘Kober 5BB’; 3—‘Chardonnay’; 4—‘Shine Muscat’; 5—‘Selection Oppenheim 4’; NC—negative control.
Sci 08 00061 g010
Table 1. Levels of variation for factors in the extraction buffer optimization matrix for DNA isolation from ‘Kober 5BB’ (Vitis berlandieri × Vitis riparia) leaves.
Table 1. Levels of variation for factors in the extraction buffer optimization matrix for DNA isolation from ‘Kober 5BB’ (Vitis berlandieri × Vitis riparia) leaves.
Factors (y1–y6)Level 1Level 2Level 3Level 4Level 5
CTAB, % m/v1.02.03.04.05.0
PVP, % m/v0.01.02.03.04.0
BME, % v/v0.252.55.010.020.0
Na2EDTA, mM5.010.020.030.040.0
NaCl, M1.01.41.82.22.6
Time, min15.030.045.060.075.0
Table 2. Experimental buffer compositions and DNA extraction results from ‘Kober 5BB’ grape leaves.
Table 2. Experimental buffer compositions and DNA extraction results from ‘Kober 5BB’ grape leaves.
Buffer
Variant
CTAB,
% m/v
PVP,
% m/v
BME,
% v/v
Na2EDTA,
mM
NaCl,
M
Time,
min
C(dsDNA),
ng/µL
OD260/OD280
11.000.000.255.001.001581.901.91
21.002.005.0020.001.804564.571.91
31.001.002.5010.001.4030276.001.90
41.004.0020.0040.002.607569.261.45
51.003.0010.0030.002.2060128.101.84
63.000.005.0010.002.6060254.331.90
73.002.002.5040.002.2015106.871.82
83.001.0020.0030.001.00453.961.70
93.004.0010.005.001.8030160.131.90
103.003.000.2520.001.407574.721.44
112.000.002.5030.001.8075235.671.77
122.002.0020.005.001.406048.631.85
132.001.0010.0020.002.601559.731.88
142.004.000.2510.002.204510.691.59
152.003.005.0040.001.0030230.001.81
165.000.0020.0020.002.203065.811.73
175.002.0010.0010.001.0075144.171.78
185.001.000.2540.001.8060415.001.86
195.004.005.0030.001.4015239.671.76
205.003.002.505.002.60459.031.50
214.000.0010.0040.001.40455.241.55
224.002.000.2530.002.6030320.001.88
234.001.005.005.002.2075185.001.67
244.004.002.5020.001.0060680.331.69
254.003.0020.0010.001.801538.131.88
Table 3. Averaged DNA concentrations (C(dsDNA), ng/µL) by optimization factor levels.
Table 3. Averaged DNA concentrations (C(dsDNA), ng/µL) by optimization factor levels.
Optimization Factors
(y1–y6)
DNA Concentration (C(dsDNA), ng/µL)
Levels of Variation of Factors (x1–x5)
12345
CTAB123.97116.94120.00245.74174.74
PVP128.59187.94136.8596.00232.02
BME180.46261.58194.7199.4745.16
Na2EDTA96.94144.66189.03185.48165.27
NaCl228.07128.85182.7099.29142.47
Time105.26210.3918.70305.28141.76
Table 4. Averaged DNA purity (OD260/OD280) by optimization factor levels.
Table 4. Averaged DNA purity (OD260/OD280) by optimization factor levels.
Optimization Factors
(y1–y6)
DNA Purity (OD260/OD280)
Levels of Variation of Factors (x1–x5)
12345
CTAB1.801.781.751.731.72
PVP1.771.801.851.691.68
BME1.741.731.811.791.72
Na2EDTA1.761.811.731.791.70
NaCl1.781.701.861.731.72
Time1.851.841.651.831.62
Table 5. Average dsDNA concentrations using the recommended buffer for DNA extraction from leaves of five grapevine cultivars.
Table 5. Average dsDNA concentrations using the recommended buffer for DNA extraction from leaves of five grapevine cultivars.
CultivarC(dsDNA), ng/µLOD260/OD280
‘Fercal’229.40 ± 117.791.88 ± 0.25
‘Kober 5BB’229.48 ± 130.762.04 ± 0.03
‘Chardonnay’441.00 ± 180.382.04 ± 0.04
‘Shine muscat’370.00 ± 205.922.00 ± 0.03
‘Selection Oppenheim 4’502.60 ± 158.502.02 ± 0.02
Disclaimer/Publisher’s Note: The statements, opinions and data contained in all publications are solely those of the individual author(s) and contributor(s) and not of MDPI and/or the editor(s). MDPI and/or the editor(s) disclaim responsibility for any injury to people or property resulting from any ideas, methods, instructions or products referred to in the content.

Share and Cite

MDPI and ACS Style

Bilyk, A.I.; Gafurov, A.R.; Sidyakin, A.I.; Gusev, A.N.; Linert, W. Optimization of Extraction Buffer Composition and Incubation Time for DNA Isolation from Vitis spp. Using a Matrix Experimental Design. Sci 2026, 8, 61. https://doi.org/10.3390/sci8030061

AMA Style

Bilyk AI, Gafurov AR, Sidyakin AI, Gusev AN, Linert W. Optimization of Extraction Buffer Composition and Incubation Time for DNA Isolation from Vitis spp. Using a Matrix Experimental Design. Sci. 2026; 8(3):61. https://doi.org/10.3390/sci8030061

Chicago/Turabian Style

Bilyk, Anastasiya I., Ayrat R. Gafurov, Andrey I. Sidyakin, Alexey N. Gusev, and Wolfgang Linert. 2026. "Optimization of Extraction Buffer Composition and Incubation Time for DNA Isolation from Vitis spp. Using a Matrix Experimental Design" Sci 8, no. 3: 61. https://doi.org/10.3390/sci8030061

APA Style

Bilyk, A. I., Gafurov, A. R., Sidyakin, A. I., Gusev, A. N., & Linert, W. (2026). Optimization of Extraction Buffer Composition and Incubation Time for DNA Isolation from Vitis spp. Using a Matrix Experimental Design. Sci, 8(3), 61. https://doi.org/10.3390/sci8030061

Article Metrics

Back to TopTop