Dynamic Perviousness of Thrombi in Acute Ischemic Stroke Predicts Clinical Outcome after Reperfusion Therapy
Abstract
1. Introduction
2. Methods
2.1. Patients
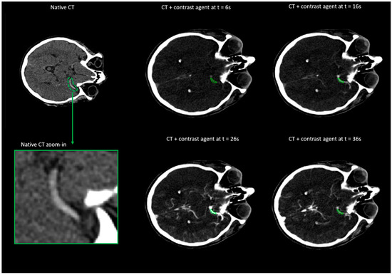
2.2. Imaging
2.3. Image Processing and Statistical Analysis
3. Results
4. Discussion
5. Conclusions
Author Contributions
Funding
Institutional Review Board Statement
Informed Consent Statement
Data Availability Statement
Acknowledgments
Conflicts of Interest
Abbreviations
References
- Feske, S.K. Ischemic Stroke. Am. J. Med. 2021, 134, 1457–1464. [Google Scholar] [CrossRef] [PubMed]
- Feigin, V.L.; Stark, B.A.; Johnson, C.O.; Roth, G.A.; Bisignano, C.; Abady, G.G.; Abbasifard, M.; Abbasi-Kangevari, M.; Abd-Allah, F.; Abedi, V.; et al. Global, regional, and national burden of stroke and its risk factors, 1990–2019: A systematic analysis for the Global Burden of Disease Study 2019. Lancet Neurol. 2021, 20, 795–820. [Google Scholar] [CrossRef] [PubMed]
- Bundesamt für Statistik, Switzerland, Hirnschlag, 2015–2019, Datentabelle. 2019. Available online: https://ind.obsan.admin.ch/indicator/obsan/hirnschlag (accessed on 1 August 2024).
- Palaniswami, M.; Yan, B. Mechanical Thrombectomy Is Now the Gold Standard for Acute Ischemic Stroke: Implications for Routine Clinical Practice. Interv. Neurol. 2015, 4, 18–29. [Google Scholar] [CrossRef] [PubMed]
- Bourcier, R.; Goyal, M.; Liebeskind, D.S.; Muir, K.W.; Desal, H.; Siddiqui, A.H.; Dippel, D.W.J.; Majoie, C.B.; van Zwam, W.H.; Jovin, T.G.; et al. Association of Time From Stroke Onset to Groin Puncture With Quality of Reperfusion After Mechanical Thrombectomy: A Meta-analysis of Individual Patient Data from 7 Randomized Clinical Trials. JAMA Neurol. 2019, 76, 405–411. [Google Scholar] [CrossRef]
- Tonetti, D.A.; Desai, S.M.; Casillo, S.; Stone, J.; Brown, M.; Jankowitz, B.; Jovin, T.G.; Gross, B.A.; Jadhav, A. Successful reperfusion, rather than number of passes, predicts clinical outcome after mechanical thrombectomy. J. Neurointerv. Surg. 2020, 12, 548–551. [Google Scholar] [CrossRef]
- Hashimoto, T.; Hayakawa, M.; Funatsu, N.; Yamagami, H.; Satow, T.; Takahashi, J.C.; Nagatsuka, K.; Ishibashi-Ueda, H.; Kira, J.I.; Toyoda, K. Histopathologic Analysis of Retrieved Thrombi Associated With Successful Reperfusion After Acute Stroke Thrombectomy. Stroke 2016, 47, 3035–3037. [Google Scholar] [CrossRef]
- Kaneko, N.; Ghovvati, M.; Komuro, Y.; Guo, L.; Khatibi, K.; Ponce Mejia, L.L.; Saber, H.; Annabi, N.; Tateshima, S. A new aspiration device equipped with a hydro-separator for acute ischemic stroke due to challenging soft and stiff clots. Interv. Neuroradiol. 2022, 28, 43–49. [Google Scholar] [CrossRef]
- Staessens, S.; De Meyer, S.F. Thrombus heterogeneity in ischemic stroke. Platelets 2021, 32, 331–339. [Google Scholar] [CrossRef]
- Boeckh-Behrens, T.; Schubert, M.; Forschler, A.; Prothmann, S.; Kreiser, K.; Zimmer, C.; Riegger, J.; Bauer, J.; Neff, F.; Kehl, V.; et al. The Impact of Histological Clot Composition in Embolic Stroke. Clin. Neuroradiol. 2016, 26, 189–197. [Google Scholar] [CrossRef]
- Douglas, A.; Fitzgerald, S.; Mereuta, O.M.; Rossi, R.; O’Leary, S.; Pandit, A.; McCarthy, R.; Gilvarry, M.; Holmegaard, L.; Abrahamsson, M.; et al. Platelet-rich emboli are associated with von Willebrand factor levels and have poorer revascularization outcomes. J. Neurointerv. Surg. 2020, 12, 557–562. [Google Scholar] [CrossRef]
- Ganeshan, R.; Nave, A.H.; Scheitz, J.F.; Schindlbeck, K.A.; Haeusler, K.G.; Nolte, C.H.; Villringer, K.; Fiebach, J.B. Assessment of thrombus length in acute ischemic stroke by post-contrast magnetic resonance angiography. J. Neurointerv. Surg. 2018, 10, 756–760. [Google Scholar] [CrossRef] [PubMed]
- Gunning, G.M.; McArdle, K.; Mirza, M.; Duffy, S.; Gilvarry, M.; Brouwer, P.A. Clot friction variation with fibrin content; implications for resistance to thrombectomy. J. Neurointerv. Surg. 2018, 10, 34–38. [Google Scholar] [CrossRef] [PubMed]
- Novotny, J.; Oberdieck, P.; Titova, A.; Pelisek, J.; Chandraratne, S.; Nicol, P.; Hapfelmeier, A.; Joner, M.; Maegdefessel, L.; Poppert, H.; et al. Thrombus NET content is associated with clinical outcome in stroke and myocardial infarction. Neurology 2020, 94, e2346–e2360. [Google Scholar] [CrossRef]
- Haggenmüller, B.; Kreiser, K.; Sollmann, N.; Huber, M.; Vogele, D.; Schmidt, S.A.; Beer, M.; Schmitz, B.; Ozpeynirci, Y.; Rosskopf, J.; et al. Pictorial Review on Imaging Findings in Cerebral CTP in Patients with Acute Stroke and Its Mimics: A Primer for General Radiologists. Diagnostics 2023, 13, 447. [Google Scholar] [CrossRef]
- Santos, E.M.; Marquering, H.A.; den Blanken, M.D.; Berkhemer, O.A.; Boers, A.M.; Yoo, A.J.; Beenen, L.F.; Treurniet, K.M.; Wismans, C.; van Noort, K.; et al. Thrombus Permeability Is Associated With Improved Functional Outcome and Recanalization in Patients With Ischemic Stroke. Stroke 2016, 47, 732–741. [Google Scholar] [CrossRef]
- Berndt, M.; Muck, F.; Maegerlein, C.; Wunderlich, S.; Zimmer, C.; Wirth, S.; Monch, S.; Kaesmacher, J.; Friedrich, B.; Boeckh-Behrens, T. Introduction of CTA-index as Simplified Measuring Method for Thrombus Perviousness. Clin. Neuroradiol. 2021, 31, 773–781. [Google Scholar] [CrossRef]
- Borggrefe, J.; Kottlors, J.; Mirza, M.; Neuhaus, V.F.; Abdullayev, N.; Maus, V.; Kabbasch, C.; Maintz, D.; Mpotsaris, A. Differentiation of Clot Composition Using Conventional and Dual-Energy Computed Tomography. Clin. Neuroradiol. 2018, 28, 515–522. [Google Scholar] [CrossRef]
- Dutra, B.G.; Tolhuisen, M.L.; Alves, H.; Treurniet, K.M.; Kappelhof, M.; Yoo, A.J.; Jansen, I.G.H.; Dippel, D.W.J.; van Zwam, W.H.; van Oostenbrugge, R.J.; et al. Thrombus Imaging Characteristics and Outcomes in Acute Ischemic Stroke Patients Undergoing Endovascular Treatment. Stroke 2019, 50, 2057–2064. [Google Scholar] [CrossRef] [PubMed]
- Santos, E.M.M.; Arrarte Terreros, N.; Kappelhof, M.; Borst, J.; Boers, A.M.M.; Lingsma, H.F.; Berkhemer, O.A.; Dippel, D.W.J.; Majoie, C.B.; Marquering, H.A.; et al. Associations of thrombus perviousness derived from entire thrombus segmentation with functional outcome in patients with acute ischemic stroke. J. Biomech. 2021, 128, 110700. [Google Scholar] [CrossRef]
- Santos, E.M.M.; Dankbaar, J.W.; Treurniet, K.M.; Horsch, A.D.; Roos, Y.B.; Kappelle, L.J.; Niessen, W.J.; Majoie, C.B.; Velthuis, B.; Marquering, H.A.; et al. Permeable Thrombi Are Associated With Higher Intravenous Recombinant Tissue-Type Plasminogen Activator Treatment Success in Patients With Acute Ischemic Stroke. Stroke 2016, 47, 2058–2065. [Google Scholar] [CrossRef]
- Borst, J.; Berkhemer, O.A.; Santos, E.M.M.; Yoo, A.J.; den Blanken, M.; Roos, Y.B.W.E.M.; van Bavel, E.; van Zwam, W.H.; van Oostenbrugge, R.J.; Lingsma, H.F.; et al. Value of Thrombus CT Characteristics in Patients with Acute Ischemic Stroke. Am. J. Neuroradiol. 2017, 38, 1758–1764. [Google Scholar] [CrossRef] [PubMed]
- Mokin, M.; Waqas, M.; Fifi, J.; De Leacy, R.; Fiorella, D.; Levy, E.I.; Snyder, K.; Hanel, R.; Woodward, K.; Chaudry, I.; et al. Clot perviousness is associated with first pass success of aspiration thrombectomy in the COMPASS trial. J. Neurointerv. Surg. 2021, 13, 509–514. [Google Scholar] [CrossRef]
- Ye, G.; Cao, R.; Lu, J.; Qi, P.; Hu, S.; Chen, K.; Tan, T.; Chen, J.; Wang, D. Histological composition behind CT-based thrombus density and perviousness in acute ischemic stroke. Clin. Neurol. Neurosurg. 2021, 207, 106804. [Google Scholar] [CrossRef]
- Waqas, M.; Li, W.Z.; Patel, T.R.; Chin, F.; Tutino, V.M.; Dossani, R.H.; Ren, Z.G.; Guerrero, W.R.; Borlongan, C.V.; Pressman, E.; et al. Clot imaging characteristics predict first pass effect of aspiration-first approach to thrombectomy. Interv. Neuroradiol. 2022, 28, 152–159. [Google Scholar] [CrossRef] [PubMed]
- Bilgic, A.B.; Gocmen, R.; Arsava, E.M.; Topcuoglu, M.A. The Effect of Clot Volume and Permeability on Response to Intravenous Tissue Plasminogen Activator in Acute Ischemic Stroke. J. Stroke Cerebrovasc. Dis. 2020, 29, 104541. [Google Scholar] [CrossRef] [PubMed]
- Byun, J.S.; Nicholson, P.; Hilditch, C.A.; Chun On Tsang, A.; Mendes Pereira, V.; Krings, T.; Fang, Y.; Brinjikji, W. Thrombus perviousness is not associated with first-pass revascularization using stent retrievers. Interv. Neuroradiol. 2019, 25, 285–290. [Google Scholar] [CrossRef]
- Bertalan, G.; Duparc, R.; Krepuska, M.; Toth, D.; Madjidyar, J.; Thurner, P.; Schubert, T.; Kulcsar, Z. Dynamic Perviousness Predicts Revascularization Success in Acute Ischemic Stroke. Diagnostics 2024, 14, 535. [Google Scholar] [CrossRef] [PubMed]
- Garyfallidis, E.; Brett, M.; Amirbekian, B.; Rokem, A.; van der Walt, S.; Descoteaux, M.; Nimmo-Smith, I.; Contributors, D. Dipy, a library for the analysis of diffusion MRI data. Front. Neuroinform. 2014, 8, 8. [Google Scholar] [CrossRef]
- Fedorov, A.; Beichel, R.; Kalpathy-Cramer, J.; Finet, J.; Fillion-Robin, J.C.; Pujol, S.; Bauer, C.; Jennings, D.; Fennessy, F.; Sonka, M.; et al. 3D Slicer as an image computing platform for the Quantitative Imaging Network. Magn. Reson. Imaging 2012, 30, 1323–1341. [Google Scholar] [CrossRef]
- Benson, J.C.; Fitzgerald, S.T.; Kadirvel, R.; Johnson, C.; Dai, D.Y.; Karen, D.; Kallmes, D.F.; Brinjikji, W. Clot permeability and histopathology: Is a clot’s perviousness on CT imaging correlated with its histologic composition? J. Neurointerv. Surg. 2020, 12, 38–42. [Google Scholar] [CrossRef]
- Benson, J.C.; Brinjikji, W.; Messina, S.A.; Lanzino, G.; Kallmes, D.F. Cervical internal carotid artery tortuosity: A morphologic analysis of patients with acute ischemic stroke. Interv. Neuroradiol. 2020, 26, 216–221. [Google Scholar] [CrossRef]
- Hund, H.; Boodt, N.; Arrarte Terreros, N.; Taha, A.; Marquering, H.A.; van Es, A.; Bokkers, R.P.H.; Lycklama, A.N.G.J.; Majoie, C.; Dippel, D.W.J.; et al. Quantitative thrombus characteristics on thin-slice computed tomography improve prediction of thrombus histopathology: Results of the MR CLEAN Registry. Eur. Radiol. 2022, 32, 7811–7823. [Google Scholar] [CrossRef] [PubMed]
- Berndt, M.; Friedrich, B.; Maegerlein, C.; Moench, S.; Hedderich, D.; Lehm, M.; Zimmer, C.; Straeter, A.; Poppert, H.; Wunderlich, S.; et al. Thrombus Permeability in Admission Computed Tomographic Imaging Indicates Stroke Pathogenesis Based on Thrombus Histology. Stroke 2018, 49, 2674–2682. [Google Scholar] [CrossRef]
- Patel, T.R.; Fricano, S.; Waqas, M.; Tso, M.; Dmytriw, A.A.; Mokin, M.; Kolega, J.; Tomaszewski, J.; Levy, E.I.; Davies, J.M.; et al. Increased Perviousness on CT for Acute Ischemic Stroke is Associated with Fibrin/Platelet-Rich Clots. Am. J. Neuroradiol. 2021, 42, 57–64. [Google Scholar] [CrossRef] [PubMed]
- Wei, L.M.; Zhu, Y.Q.; Deng, J.S.; Li, Y.H.; Li, M.H.; Lu, H.T.; Zhao, Y.W. Visualization of Thrombus Enhancement on Thin-Slab Maximum Intensity Projection of CT Angiography: An Imaging Sign for Predicting Stroke Source and Thrombus Compositions. Radiology 2021, 298, 374–381. [Google Scholar] [CrossRef] [PubMed]
- Santos, E.M.M.; d’Esterre, C.D.; Treurniet, K.M.; Niessen, W.J.; Najm, M.; Goyal, M.; Demchuk, A.M.; Majoie, C.B.; Menon, B.K.; Marquering, H.A.; et al. Added value of multiphase CTA imaging for thrombus perviousness assessment. Neuroradiology 2018, 60, 71–79. [Google Scholar] [CrossRef]
- Kappelhof, M.; Tolhuisen, M.L.; Treurniet, K.M.; Dutra, B.G.; Alves, H.; Zhang, G.; Brown, S.; Muir, K.W.; Davalos, A.; Roos, Y.; et al. Endovascular Treatment Effect Diminishes With Increasing Thrombus Perviousness: Pooled Data From 7 Trials on Acute Ischemic Stroke. Stroke 2021, 52, 3633–3641. [Google Scholar] [CrossRef]
- Chen, Z.; Shi, F.; Gong, X.; Zhang, R.; Zhong, W.; Zhang, R.; Zhou, Y.; Lou, M. Thrombus Permeability on Dynamic CTA Predicts Good Outcome after Reperfusion Therapy. AJNR Am. J. Neuroradiol. 2018, 39, 1854–1859. [Google Scholar] [CrossRef]
- Murphy, A.; Symons, S.P.; Hopyan, J.; Aviv, R.I. Factors Influencing Clinically Meaningful Recanalization after IV-rtPA in Acute Ischemic Stroke. Am. J. Neuroradiol. 2013, 34, 146–152. [Google Scholar] [CrossRef]
- Yuki, I.; Kan, I.; Vinters, H.V.; Kim, R.H.; Golshan, A.; Vinuela, F.A.; Sayre, J.W.; Murayanna, Y.; Vinuela, F. The Impact of Thromboemboli Histology on the Performance of a Mechanical Thrombectomy Device. Am. J. Neuroradiol. 2012, 33, 643–648. [Google Scholar] [CrossRef]
- Choi, M.H.; Park, G.H.; Lee, J.S.; Lee, S.E.; Lee, S.J.; Kim, J.H.; Hong, J.M. Erythrocyte Fraction Within Retrieved Thrombi Contributes to Thrombolytic Response in Acute Ischemic Stroke. Stroke 2018, 49, 652–659. [Google Scholar] [CrossRef] [PubMed]
- Moftakhar, P.; English, J.D.; Cooke, D.L.; Kim, W.T.; Stout, C.; Smith, W.S.; Dowd, C.F.; Higashida, R.T.; Halbach, V.V.; Hetts, S.W. Density of thrombus on admission CT predicts revascularization efficacy in large vessel occlusion acute ischemic stroke. Stroke 2013, 44, 243–245. [Google Scholar] [CrossRef] [PubMed]
- Vidmar, J.; Sersa, I.; Kralj, E.; Popovic, P. Unsuccessful percutaneous mechanical thrombectomy in fibrin-rich high-risk pulmonary thromboembolism. Thromb. J. 2015, 13, 30. [Google Scholar] [CrossRef] [PubMed]
- Boodt, N.; Snouckaert van Schauburg, P.R.W.; Hund, H.M.; Fereidoonnezhad, B.; McGarry, J.P.; Akyildiz, A.C.; van Es, A.; De Meyer, S.F.; Dippel, D.W.J.; Lingsma, H.F.; et al. Mechanical Characterization of Thrombi Retrieved With Endovascular Thrombectomy in Patients With Acute Ischemic Stroke. Stroke 2021, 52, 2510–2517. [Google Scholar] [CrossRef]
- Ciasca, G.; Papi, M.; Di Claudio, S.; Chiarpotto, M.; Palmieri, V.; Maulucci, G.; Nocca, G.; Rossi, C.; De Spirito, M. Mapping viscoelastic properties of healthy and pathological red blood cells at the nanoscale level. Nanoscale 2015, 7, 17030–17037. [Google Scholar] [CrossRef]
- Anagnostakou, V.; Toth, D.; Bertalan, G.; Müller, S.; Reimann, R.R.; Epshtein, M.; Madjidyar, J.; Thurner, P.; Schubert, T.; Wegener, S.; et al. Dynamic Perviousness Has Predictive Value for Clot Fibrin Content in Acute Ischemic Stroke. Diagnostics 2024, 14, 1387. [Google Scholar] [CrossRef]




Disclaimer/Publisher’s Note: The statements, opinions and data contained in all publications are solely those of the individual author(s) and contributor(s) and not of MDPI and/or the editor(s). MDPI and/or the editor(s) disclaim responsibility for any injury to people or property resulting from any ideas, methods, instructions or products referred to in the content. |
© 2024 by the authors. Licensee MDPI, Basel, Switzerland. This article is an open access article distributed under the terms and conditions of the Creative Commons Attribution (CC BY) license (https://creativecommons.org/licenses/by/4.0/).
Share and Cite
Bertalan, G.; Krepuska, M.; Toth, D.; Madjidyar, J.; Thurner, P.; Schubert, T.; Kulcsar, Z. Dynamic Perviousness of Thrombi in Acute Ischemic Stroke Predicts Clinical Outcome after Reperfusion Therapy. Sci 2024, 6, 64. https://doi.org/10.3390/sci6040064
Bertalan G, Krepuska M, Toth D, Madjidyar J, Thurner P, Schubert T, Kulcsar Z. Dynamic Perviousness of Thrombi in Acute Ischemic Stroke Predicts Clinical Outcome after Reperfusion Therapy. Sci. 2024; 6(4):64. https://doi.org/10.3390/sci6040064
Chicago/Turabian StyleBertalan, Gergely, Miklos Krepuska, Daniel Toth, Jawid Madjidyar, Patrick Thurner, Tilman Schubert, and Zsolt Kulcsar. 2024. "Dynamic Perviousness of Thrombi in Acute Ischemic Stroke Predicts Clinical Outcome after Reperfusion Therapy" Sci 6, no. 4: 64. https://doi.org/10.3390/sci6040064
APA StyleBertalan, G., Krepuska, M., Toth, D., Madjidyar, J., Thurner, P., Schubert, T., & Kulcsar, Z. (2024). Dynamic Perviousness of Thrombi in Acute Ischemic Stroke Predicts Clinical Outcome after Reperfusion Therapy. Sci, 6(4), 64. https://doi.org/10.3390/sci6040064

