Combined Epiretinal Proliferation and Internal Limiting Membrane Inverted Flap for the Treatment of Large Macular Holes
Abstract
1. Introduction
2. Materials and Methods
Surgical Technique
3. Results
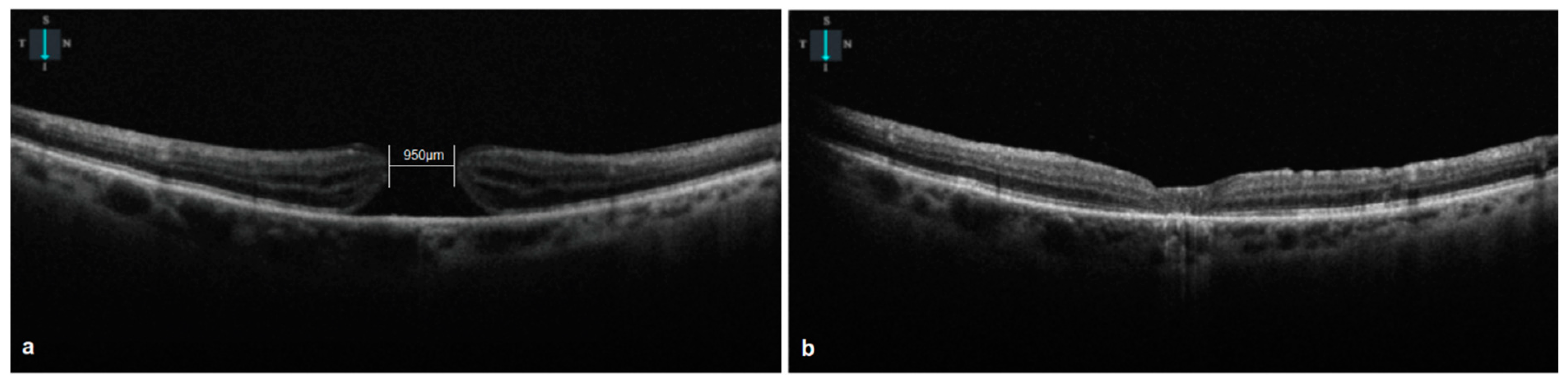
- A total of 16 eyes of 16 patients, 2 male and 14 female, were included in our study. A total of 14 eyes (87.5%) were phakic, whereas 2 (12.5%) were pseudophakic. The mean preoperative BCVA was 1.11 ± 0.52 logMAR, and the mean minimum linear diameter (MLD) of the macular holes included was 707.63 ± 164.02 μm (range 548–950 μm). The mean follow-up period was 6.75 ± 4.40 months. The duration of all MHs was longer than 9 months (accurate duration could not be determined for most patients due to the duration being too long). Table 1 summarizes the baseline patient characteristics.
- Combined phacoemulsification was performed in 12 eyes (75%), whereas 4 (25%) underwent standalone PPV and peel. Posterior vitreous detachment was present in half of the eyes (50%). In the rest of the patients, it was induced intraoperatively. A total of 10 eyes (62.5%) had C2F6 gas tamponade and 6 eyes (37.5%) had C3F8 (Table 2).
- All the macular holes closed postoperatively (Figure 1). Visual acuity improved to 0.51 ± 0.20 logMAR (p = 0.01 < 0.05) at 6 weeks and to 0.45 ± 0.25 (p = 0.008 < 0.05) at the final follow-up visit. The external limiting membrane (ELM) was continuous in six eyes (37.5%) at 6 weeks postoperatively. At the final follow-up visit, the ellipsoid zone was disrupted in all of the eyes. The closure pattern was 1A for 6 cases (Figure 2) and 1C for 10 cases (Figure 1) at the final follow-up [14]. Table 3 summarizes the surgical outcomes.
4. Discussion
5. Conclusions
Supplementary Materials
Author Contributions
Funding
Institutional Review Board Statement
Informed Consent Statement
Data Availability Statement
Conflicts of Interest
References
- Kelly, N.E.; Wendel, R.T. Vitreous surgery for idiopathic macular holes: Results of a pilot study. Arch. Ophthalmol. 1991, 109, 654–659. [Google Scholar] [CrossRef] [PubMed]
- Eckardt, C.; Eckardt, U.; Groos, S.; Luciano, L.; Reale, E. Entfernung der Membrana limitans interna bei Makulalöchern Klinische und morphologische Befunde* Klinische und morphologische Befunde. Der Ophthalmol. 1997, 94, 545–551. [Google Scholar]
- Steel, D.H.; Donachie, P.H.; Aylward, G.W.; Laidlaw, D.A.; Williamson, T.H.; Yorston, D. Factors affecting anatomical and visual outcome after macular hole surgery: Findings from a large prospective UK cohort. Eye 2021, 35, 316–325. [Google Scholar] [CrossRef] [PubMed]
- Michalewska, Z.; Michalewski, J.; Adelman, R.A.; Nawrocki, J. Inverted internal limiting membrane flap technique for large macular holes. Ophthalmology 2010, 117, 2018–2025. [Google Scholar] [CrossRef] [PubMed]
- Caporossi, T.; Tartaro, R.; Giansanti, F.; Rizzo, S. The amniotic membrane for retinal pathologies. Insights on the surgical techniques. Graefe’s Arch. Clin. Exp. Ophthalmol. 2020, 258, 1347–1349. [Google Scholar] [CrossRef] [PubMed]
- Marlow, E.D.; Bakhsh, S.R.; Reddy, D.N.; Farley, N.D.; Williams, G.A.; Mahmoud, T.H. Combined epiretinal and internal limiting membrane retracting door flaps for large macular holes associated with epiretinal membranes. Graefe’s Arch. Clin. Exp. Ophthalmol. 2022, 260, 2433–2436. [Google Scholar] [CrossRef] [PubMed]
- Singh, A.; Dogra, M.; Singh, S.R.; Moharana, B.; Tigari, B.; Singh, R. Microscope-Integrated optical coherence Tomography–Guided autologous full-thickness neurosensory retinal autograft for large macular Hole–Related total retinal detachment. Retina 2022, 42, 2419–2424. [Google Scholar] [CrossRef] [PubMed]
- Pang, C.E.; Spaide, R.F.; Freund, K.B. Epiretinal proliferation seen in association with lamellar macular holes: A distinct clinical entity. Retina 2014, 34, 1513–1523. [Google Scholar] [CrossRef] [PubMed]
- Qi, B.; Yu, Y.; Yang, X.; Zhang, K.; Wu, X.; Wang, X.; Liu, W. Clinical characteristics and surgical prognosis of idiopathic macular holes with epiretinal proliferation. Retina 2022, 10, 1097. [Google Scholar] [CrossRef] [PubMed]
- Bae, K.; Lee, S.M.; Kang, S.W.; Kim, E.S.; Yu, S.Y.; Kim, K.T. Atypical epiretinal tissue in full-thickness macular holes: Pathogenic and prognostic significance. Br. J. Ophthalmol. 2019, 103, 251–256. [Google Scholar] [CrossRef] [PubMed]
- Ubukata, Y.; Imai, H.; Otsuka, K.; Nishizaki, M.; Hara, R.; Uenishi, M.; Azumi, A.; Nakamura, M. The Comparison of the surgical outcome for the full-thickness macular hole with/without lamellar hole-associated epiretinal proliferation. J. Ophthalmol. 2017, 2017, 9640756. [Google Scholar] [CrossRef] [PubMed]
- Dervenis, N.; Dervenis, P. Letter to the editor relating to Graefe’s Arch Clin Exp Ophthalmol 2022 260: 2433–2436: “Combined epiretinal and internal limiting membrane retracting door flaps for large macular holes associated with epiretinal membranes”. Graefe’s Arch. Clin. Exp. Ophthalmol. 2023, 261, 589–591. [Google Scholar] [CrossRef] [PubMed]
- Duker, J.S.; Kaiser, P.K.; Binder, S.; de Smet, M.D.; Gaudric, A.; Reichel, E.; Sadda, S.R.; Sebag, J.; Spaide, R.F.; Stalmans, P. The International Vitreomacular Traction Study Group classification of vitreomacular adhesion, traction, and macular hole. Ophthalmology 2013, 120, 2611–2619. [Google Scholar] [CrossRef] [PubMed]
- Rossi, T.; Bacherini, D.; Caporossi, T.; Telani, S.; Iannetta, D.; Rizzo, S.; Moysidis, S.N.; Koulisis, N.; Mahmoud, T.H.; Ripandelli, G. Macular hole closure patterns: An updated classification. Graefe’s Arch. Clin. Exp. Ophthalmol. 2020, 258, 2629–2638. [Google Scholar] [CrossRef] [PubMed]
- Lai, T.-T.; Chen, S.-N.; Yang, C.-M. Epiretinal proliferation in lamellar macular holes and full-thickness macular holes: Clinical and surgical findings. Graefe’s Arch. Clin. Exp. Ophthalmol. 2016, 254, 629–638. [Google Scholar] [CrossRef] [PubMed]


| Characteristic | Summary Measure |
|---|---|
| Mean ± SD | |
| Age (years) | 70.37 ± 3.16 |
| VA (logMAR) | 1.11 ± 0.52 |
| Mean MLD (μm) | 707.63 ± 164.02 |
| Mean follow-up (months) | 6.75 ± 4.40 |
| Sex | n (%) |
| Male | 2 (12.5) |
| Female | 14 (87.5) |
| Study eye | n (%) |
| Right | 8 (50) |
| Left | 8 (50) |
| Lens status | n (%) |
| Phakic | 14 (87.5) |
| Pseudophakic | 2 (12.5) |
| Characteristic | Summary Measure |
|---|---|
| n (%) | |
| Combined phacoemulsification | |
| Yes | 12 (75) |
| No | 4 (25) |
| PVD | |
| Present | 8 (50) |
| Induced | 8 (50) |
| Tamponade used | |
| C2F6 | 10 (62.5) |
| C3F8 | 6 (37.5) |
| Characteristic | Summary Measure |
|---|---|
| Mean ± SD | |
| VA at 6 weeks (logMAR) | 0.51 ± 0.20 |
| Final VA (logMAR) | 0.45 ± 0.25 |
| Macular hole closed | n (%) |
| Yes | 16 (100) |
| No | 0 (0) |
| ELM at 6 weeks | n (%) |
| Continuous | 6 (37.5) |
| Disrupted | 10 (62.5) |
| EZ at final follow-up | n (%) |
| Continuous | 0 (0) |
| Disrupted | 16 (100) |
| Closure pattern at final follow-up | |
| 1A | 6 (37.5) |
| 1C | 10 (62.5) |
| ELM = external limiting membrane, EZ = ellipsoid zone, VA = visual acuity, SD = standard deviation | 16 (100) |
Disclaimer/Publisher’s Note: The statements, opinions and data contained in all publications are solely those of the individual author(s) and contributor(s) and not of MDPI and/or the editor(s). MDPI and/or the editor(s) disclaim responsibility for any injury to people or property resulting from any ideas, methods, instructions or products referred to in the content. |
© 2024 by the authors. Licensee MDPI, Basel, Switzerland. This article is an open access article distributed under the terms and conditions of the Creative Commons Attribution (CC BY) license (https://creativecommons.org/licenses/by/4.0/).
Share and Cite
Dervenis, N.; Vagiakis, I.; Papadopoulou, E.P.; Dervenis, P.; Sandinha, T. Combined Epiretinal Proliferation and Internal Limiting Membrane Inverted Flap for the Treatment of Large Macular Holes. Vision 2024, 8, 63. https://doi.org/10.3390/vision8040063
Dervenis N, Vagiakis I, Papadopoulou EP, Dervenis P, Sandinha T. Combined Epiretinal Proliferation and Internal Limiting Membrane Inverted Flap for the Treatment of Large Macular Holes. Vision. 2024; 8(4):63. https://doi.org/10.3390/vision8040063
Chicago/Turabian StyleDervenis, Nikolaos, Iordanis Vagiakis, Elena P. Papadopoulou, Panagiotis Dervenis, and Teresa Sandinha. 2024. "Combined Epiretinal Proliferation and Internal Limiting Membrane Inverted Flap for the Treatment of Large Macular Holes" Vision 8, no. 4: 63. https://doi.org/10.3390/vision8040063
APA StyleDervenis, N., Vagiakis, I., Papadopoulou, E. P., Dervenis, P., & Sandinha, T. (2024). Combined Epiretinal Proliferation and Internal Limiting Membrane Inverted Flap for the Treatment of Large Macular Holes. Vision, 8(4), 63. https://doi.org/10.3390/vision8040063

