The Longitudinal Assessment of Vascular Parameters of the Retina and Their Correlations with Systemic Characteristics in Type 2 Diabetes—A Pilot Study
Abstract
1. Introduction
2. Materials and Methods
2.1. Study Population
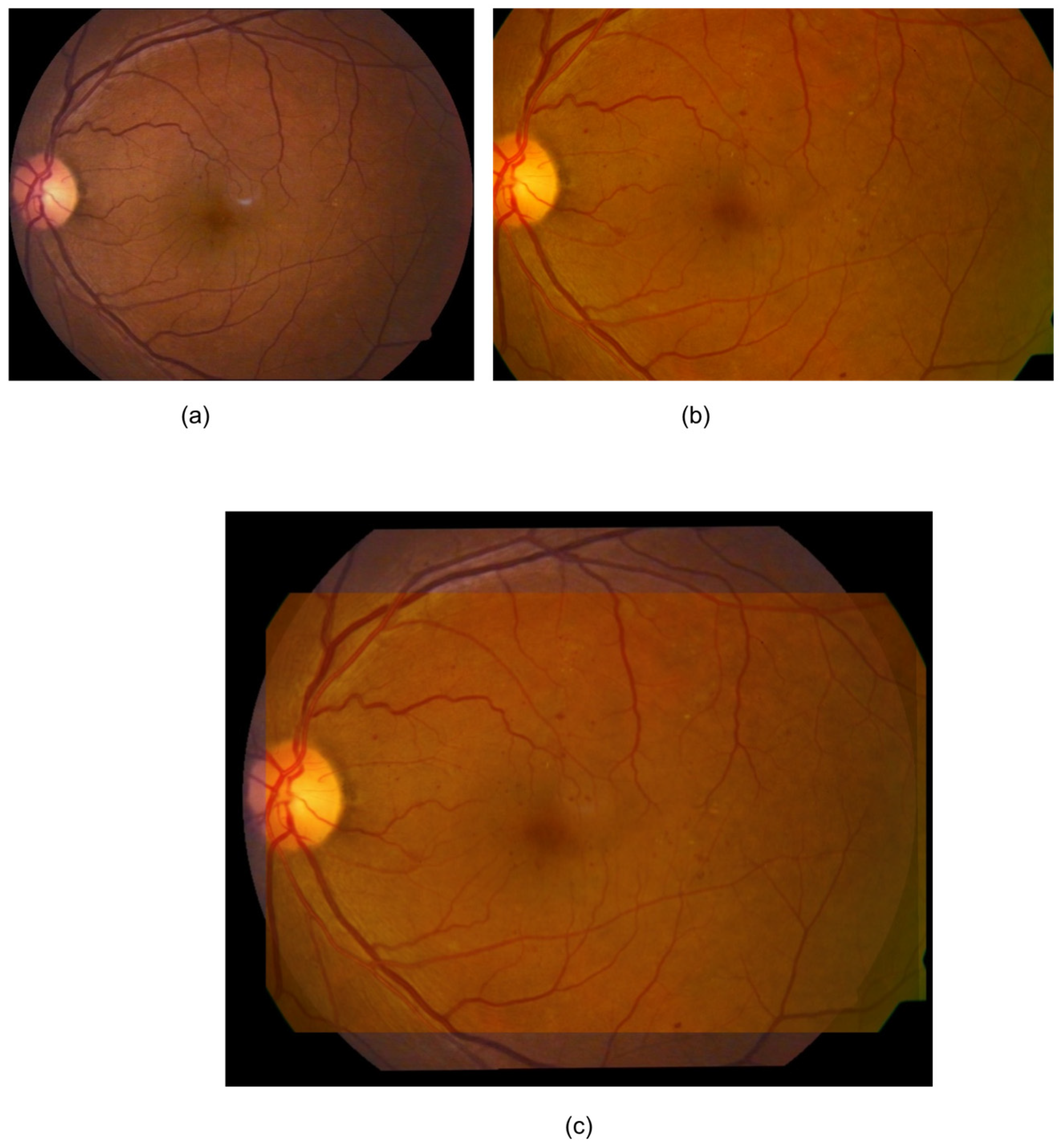
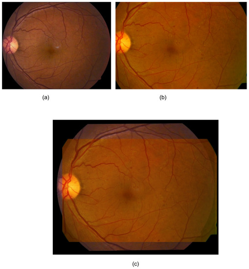
2.2. Photographic Methods and Retinopathy Grading
- No diabetic retinopathy—No abnormality
- Mild Non-Proliferative diabetic retinopathy (Mild NPDR)—Only microaneurysm
- Moderate Non-Proliferative diabetic retinopathy (Moderate NPDR)—More than mild, but less than severe
- Severe Non-Proliferative diabetic retinopathy (Severe NPDR)—Any of the following: 20 or more intraretinal haemorrhages in 4 quadrants, venous beading in >2 quadrants or intraretinal neovascularization in 1 quadrant
- Proliferative diabetic retinopathy (PDR)—One or more of the following: neovascularization or preretinal or vitreous haemorrhage
2.3. Statistical Analysis
3. Results
3.1. Width Parameters
3.2. Fractal Dimension
3.3. Lacunarity
3.4. Central Reflex
3.5. Branch Parameters
4. Discussion
5. Conclusions
Author Contributions
Funding
Institutional Review Board Statement
Informed Consent Statement
Data Availability Statement
Conflicts of Interest
References
- Wang, W.; Lo, A.C.Y. Diabetic Retinopathy: Pathophysiology and Treatments. Int. J. Mol. Sci. 2018, 19, 1816. [Google Scholar] [CrossRef] [PubMed]
- Raman, R.; Rani, P.K.; Rachepalle, S.R.; Gnanamoorthy, P.; Uthra, S.; Kumaramanickavel, G.; Sharma, T. Prevalence of Diabetic Retinopathy in India: Sankara Nethralaya Diabetic Retinopathy Epidemiology and Molecular Genetics Study Report 2. Ophthalmology 2009, 116, 311–318. [Google Scholar] [CrossRef] [PubMed]
- Nentwich, M.M. Diabetic retinopathy-ocular complications of diabetes mellitus. World J. Diabetes 2015, 6, 489–499. [Google Scholar] [CrossRef]
- Nguyen, T.T.; Wong, T.Y. Retinal vascular changes and diabetic retinopathy. Curr. Diabetes Rep. 2009, 9, 277–283. [Google Scholar] [CrossRef] [PubMed]
- Cheung, C.; Ikram, M.K.; Klein, R.; Wong, T.Y. The clinical implications of recent studies on the structure and function of the retinal microvasculature in diabetes. Diabetologia 2015, 58, 871–885. [Google Scholar] [CrossRef]
- Klein, R.; Klein, B.E.K.; Moss, S.E.; Wong, T.Y.; Hubbard, L.; Cruickshanks, K.J.; Palta, M. The relation of retinal vessel caliber to the incidence and progression of diabetic retinopathy: Xix: The wisconsin epidemiologic study of diabetic retinopathy. Arch. Ophthalmol. 2004, 122, 76–83. [Google Scholar] [CrossRef] [PubMed]
- Lim, L.S.; Chee, M.L.; Cheung, C.; Wong, T.Y. Retinal Vessel Geometry and the Incidence and Progression of Diabetic Retinopathy. Investig. Opthalmol. Vis. Sci. 2017, 58, BIO200–BIO205. [Google Scholar] [CrossRef] [PubMed]
- Kifley, A.; Wang, J.J.; Cugati, S.; Wong, T.Y.; Mitchell, P. Retinal Vascular Caliber, Diabetes, and Retinopathy. Am. J. Ophthalmol. 2007, 143, 1024–1026. [Google Scholar] [CrossRef]
- Ikram, M.K.; Cheung, C.Y.; Lorenzi, M.; Klein, R.; Jones, T.L.; Wong, T.Y. Retinal vascular caliber as a biomarker for diabetes microvascular complications. Diabetes Care 2003, 36, 750–759. [Google Scholar] [CrossRef] [PubMed]
- Chapman, N.; Dell’Omo, G.; Sartini, M.; Witt, N.; Hughes, A.; Thom, S.; Pedrinelli, R. Peripheral vascular disease is associated with abnormal arteriolar diameter relationships at bifurcations in the human retina. Clin. Sci. 2002, 103, 111–116. [Google Scholar] [CrossRef]
- Trinh, M.; Kalloniatis, M.; Nivison-Smith, L. Vascular Changes in Intermediate Age-Related Macular Degeneration Quantified Using Optical Coherence Tomography Angiography. Transl. Vis. Sci. Technol. 2019, 8, 20. [Google Scholar] [CrossRef]
- Yu, S.; Mehdizadeh, M.; Xiao, D.; Frost, S.; Kanagasingam, Y. Fully Automated Identification of Retinal Artery and Vein Graph Structure using a Novel Tree Growing Method. Investig. Ophthalmol. Vis. Sci. 2018, 59, 1693. [Google Scholar]
- Rim, T.H.; Teo, A.W.J.; Yang, H.H.S.; Cheung, C.Y.; Wong, T.Y. Retinal Vascular Signs and Cerebrovascular Diseases. J. Neuro-Ophthalmol. 2020, 40, 44–59. [Google Scholar] [CrossRef]
- Cheung, C.Y.-L.; Ong, S.; Ikram, M.K.; Ong, Y.T.; Chen, C.P.; Venketasubramanian, N.; Wong, T.Y. Retinal Vascular Fractal Dimension Is Associated with Cognitive Dysfunction. J. Stroke Cerebrovasc. Dis. 2014, 23, 43. [Google Scholar] [CrossRef]
- Liew, G.; Benitez-Aguirre, P.; Craig, M.E.; Jenkins, A.; Hodgson, L.A.B.; Kifley, A.; Mitchell, P.; Wong, T.Y.; Donaghue, K. Progressive Retinal Vasodilation in Patients with Type 1 Diabetes: A Longitudinal Study of Retinal Vascular Geometry. Investig. Opthalmol. Vis. Sci. 2017, 58, 2503–2509. [Google Scholar] [CrossRef]
- Cheung, C.Y.-L.; Lamoureux, E.; Ikram, M.K.; Sasongko, M.B.; Ding, J.; Zheng, Y.; Mitchell, P.; Wang, J.J.; Wong, T.Y. Retinal Vascular Geometry in Asian Persons with Diabetes and Retinopathy. J. Diabetes Sci. Technol. 2012, 6, 595–605. [Google Scholar] [CrossRef]
- Kunicki, A.C.B.; Oliveira, A.; Mendonça, M.; Barbosa, C.; Nogueira, R. Can the fractal dimension be applied for the early diagnosis of non-proliferative diabetic retinopathy? Braz. J. Med Biol. Res. 2009, 42, 930–934. [Google Scholar] [CrossRef][Green Version]
- Agarwal, S.; Raman, R.; Paul, P.G.; Rani, P.K.; Uthra, S.; Gayathree, R.; McCarty, C.; Kumaramanickavel, G.; Sharma, T. Sankara Nethralaya—Diabetic Retinopathy Epidemiology and Molecular Genetic Study (SN—DREAMS 1): Study Design and Research Methodology. Ophthalmic Epidemiol. 2005, 12, 143–153. [Google Scholar] [CrossRef]
- Raman, R.; Ganesan, S.; Pal, S.S.; Gella, L.; Kulothungan, V.; Sharma, T. Incidence and Progression of Diabetic Retinopathy in Urban India: Sankara Nethralaya-Diabetic Retinopathy Epidemiology and Molecular Genetics Study (SN-DREAMS II), Report 1. Ophthalmic Epidemiol. 2017, 24, 294–302. [Google Scholar] [CrossRef]
- Raman, R.; Ganesan, S.; Pal, S.S.; Kulothungan, V.; Sharma, T. Prevalence and risk factors for diabetic retinopathy in rural India. Sankara Nethralaya Diabetic Retinopathy Epidemiology and Molecular Genetic Study III (SN-DREAMS III), report no 2. BMJ Open Diabetes Res. Care 2014, 2, e000005. [Google Scholar] [CrossRef]
- Klein, R.; Klein, B.E.; Magli, Y.L.; Brothers, R.J.; Meuer, S.M.; Moss, S.E.; Davis, M.D. An Alternative Method of Grading Diabetic Retinopathy. Ophthalmology 1986, 93, 1183–1187. [Google Scholar] [CrossRef]
- Saha, S.K.; Xiao, D.; Bhuiyan, A.; Wong, T.Y.; Kanagasingam, Y. Color fundus image registration techniques and applications for automated analysis of diabetic retinopathy progression: A review. Biomed. Signal Process. Control 2019, 47, 288–302. [Google Scholar] [CrossRef]
- Saha, S.K.; Xiao, D.; Frost, S.; Kanagasingam, Y. A Two-Step Approach for Longitudinal Registration of Retinal Images. J. Med. Syst. 2016, 40, 277. [Google Scholar] [CrossRef]
- Yu, S.; Mehdizadeh, M.; Frost, S.; Xiao, D.; Kanagasingam, Y. Graph Theory Based Intelligent Retinal Vessel Analysis. Investig. Ophthalmol. Vis. Sci. 2017, 58, 656. [Google Scholar]
- Liew, G.; Sharrett, A.R.; Wang, J.J.; Klein, R. Relative importance of systemic determinants of retinal arteriolar and venular caliber: The atherosclerosis risk in communities study. Arch. Ophthalmol. 2008, 126, 1404–1410. [Google Scholar] [CrossRef]
- Klein, R.; Myers, C.E.; Lee, K.E.; Gangnon, R.; Klein, B.E.K. Changes in Retinal Vessel Diameter and Incidence and Progression of Diabetic Retinopathy. Arch. Ophthalmol. 2012, 130, 749–755. [Google Scholar] [CrossRef]
- Wasan, B.; Cerutti, A.; Ford, S.; Marsh, R. Vascular network changes in the retina with age and hypertension. J. Hypertens. 1995, 13, 1724–1728. [Google Scholar] [CrossRef]
- Crosby-Nwaobi, R.; Heng, L.Z.; Sivaprasad, S. Retinal Vascular Calibre, Geometry and Progression of Diabetic Retinopathy in Type 2 Diabetes Mellitus. Ophthalmologica 2012, 228, 84–92. [Google Scholar] [CrossRef]
- Sasongko, M.B.; Wang, J.J.; Donaghue, K.C.; Cheung, N.; Benitez-Aguirre, P.; Jenkins, A.; Hsu, W.; Lee, M.-L.; Wong, T.Y. Alterations in Retinal Microvascular Geometry in Young Type 1 Diabetes. Diabetes Care 2010, 33, 1331–1336. [Google Scholar] [CrossRef]
- Zamir, M.; Medeiros, J.A.; Cunningham, T.K. Arterial bifurcations in the human retina. J. Gen. Physiol. 1979, 74, 537–548. [Google Scholar] [CrossRef]
- Murray, C.D. The physiological principle of minimum work: I. The vascular system and the cost of blood volume. Proc. Natl. Acad. Sci. USA 1926, 12, 207. [Google Scholar] [CrossRef]
- Djonov, V.; Baum, O.; Burri, P.H. Vascular remodeling by intussusceptive angiogenesis. Cell Tissue Res. 2003, 314, 107–117. [Google Scholar] [CrossRef]
- Griffith, T.M.; Edwards, D.; Davies, R.L.; Harrison, T.J.; Evans, K.T. EDRF coordinates the behaviour of vascular resistance vessels. Nature 1987, 329, 442–445. [Google Scholar] [CrossRef]
- Chapman, N.; Haimes, G.; Stanton, A.V.; Thom, S.A.; Hughes, A. Acute effects of oxygen and carbon dioxide on retinal vascular network geometry in hypertensive and normotensive subjects. Clin. Sci. 2000, 99, 483–488. [Google Scholar] [CrossRef]
- Brinchmann-Hansen, O.; Myhre, K.; Dahl-Jørgensen, K.; Hanssen, K.F.; Sandvik, L. The central light reflex of retinal arteries and veins in insulin-dependent diabetic subjects. Acta Ophthalmol. 1987, 65, 474–480. [Google Scholar] [CrossRef]
- Plotnick, R.E.; Gardner, R.H.; Hargrove, W.W.; Prestegaard, K.; Perlmutter, M. Lacunarity analysis: A general technique for the analysis of spatial patterns. Phys. Rev. E 1996, 53, 5461. [Google Scholar] [CrossRef]
- Ewaliszewski, P. The Quantitative Criteria Based on the Fractal Dimensions, Entropy, and Lacunarity for the Spatial Distribution of Cancer Cell Nuclei Enable Identification of Low or High Aggressive Prostate Carcinomas. Front. Physiol. 2016, 7, 34. [Google Scholar] [CrossRef]
- Gould, D.; Vadakkan, T.J.; Poché, R.A.; Dickinson, M.E. Multifractal and Lacunarity Analysis of Microvascular Morphology and Remodeling. Microcirculation 2016, 18, 136–151. [Google Scholar] [CrossRef]
- Popovic, N.; Radunovic, M.; Badnjar, J.; Popovic, T. Fractal dimension and lacunarity analysis of retinal microvascular morphology in hypertension and diabetes. Microvasc. Res. 2018, 118, 36–43. [Google Scholar] [CrossRef]
- Leontidis, G.; Al-Diri, B.; Wigdahl, J.; Hunter, A. Evaluation of geometric features as biomarkers of diabetic retinopathy for characterizing the retinal vascular changes during the progression of diabetes. In Proceedings of the 2015 37th Annual International Conference of the IEEE Engineering in Medicine and Biology Society (EMBC), Milano, Italy, 25 August 2015; pp. 5255–5259. [Google Scholar] [CrossRef]
- Ţălu, S. Multifractal Geometry in Analysis and Processing of Digital Retinal Photographs for Early Diagnosis of Human Diabetic Macular Edema. Curr. Eye Res. 2013, 38, 781–792. [Google Scholar] [CrossRef]
- Cheung, C.Y.; Thomas, G.N.; Tay, W.; Ikram, M.K.; Hsu, W.; Lee, M.L.; Lau, Q.P.; Wong, T.Y. Retinal Vascular Fractal Dimension and Its Relationship with Cardiovascular and Ocular Risk Factors. Am. J. Ophthalmol. 2012, 154, 663–674. [Google Scholar] [CrossRef]
- Lim, S.W.; Cheung, N.; Wang, J.J.; Donaghue, K.C.; Liew, G.; Islam, F.A.; Jenkins, A.J.; Wong, T.Y. Retinal vascular fractal dimension and risk of early diabetic retinopathy: A prospective study of children and adolescents with type 1 diabetes. Diabetes Care 2009, 32, 2081–2083. [Google Scholar] [CrossRef]
- Zhu, P.; Huang, F.; Lin, F.; Li, Q.; Yuan, Y.; Gao, Z.; Chen, F. The Relationship of Retinal Vessel Diameters and Fractal Dimensions with Blood Pressure and Cardiovascular Risk Factors. PLoS ONE 2014, 9, e106551. [Google Scholar] [CrossRef]
- Aguirre, I.R.-M.; Rodríguez-Fernández, P.; González-Santos, J.; Aguirre-Juaristi, N.; Alonso-Santander, N.; Mielgo-Ayuso, J.; González-Bernal, J.J. Exploring the Quality of Life Related to Health and Vision in a Group of Patients with Diabetic Retinopathy. Healthcare 2022, 10, 142. [Google Scholar] [CrossRef]



| Vessel Thickness Parameters | Description |
|---|---|
| equiAVRB | Vessel width ratio for zone B |
| equiWidth3BA | Width ratio of artery for zone B |
| equiWidth3BV | Width ratio of vein for zone B |
| equiAVRB2 | Width ratio for zone B (computed using a different algorithmic approach than ‘equiAVRB’) |
| equiWidth3BA2 | Width ratio of artery for zone B (computed using a different algorithmic approach than ‘equiWidth3BA’) |
| equiWidth3BV2 | Width ratio of vein for zone B (computed using a different algorithmic approach than ‘equiWidth3BV’) |
| equiAVRC | Width ratio for zone C |
| equiWidth3CA | Width ratio of artery for zone C |
| equiWidth3CV | Width ratio of vein for zone C |
| equiAVRC2 | Width ratio for zone C (computed using a different algorithmic approach than ‘equiAVRC’) |
| equiWidth3CA2 | Width ratio of artery for zone C (computed using a different algorithmic approach than ‘equiAVRC’) |
| equiWidth3CV2 | Width ratio of vein for zone C (computed using a different algorithmic approach than ‘equiWidth3CV’) |
| equiAVRD | Width ratio for zone D |
| equiWidth3DA | Width ratio of artery for zone D |
| equiWidth3DV | Width ratio of vein for zone D |
| equiAVRD2 | Width ratio for zone D (computed using a different algorithmic approach than ‘equiAVRD’) |
| equiWidth3DA2 | Width ratio of artery for zone D (computed using a different algorithmic approach than ‘equiWidth3DA’) |
| equiWidth3DV2 | Width ratio of vein for zone D (computed using a different algorithmic approach than ‘equiWidth3DV’) |
| SimTort | Simple tortuosity for all vessels in zones B and C |
| CurvTort | Curvature tortuosity for all vessels in zones B and C |
| ThickTort | Thick tortuosity for all vessels in zones B and C |
| SimTortA | Simple tortuosity for artery in zones B and C |
| CurvTortA | Curvature tortuosity for artery in zones B and C |
| ThickTortA | Thick tortuosity for artery in zones B and C |
| SimTortV | Simple tortuosity for vein in zones B and C |
| CurvTortV | Curvature tortuosity for vein in zones B and C |
| ThickTortV | Thick tortuosity for vein in zones B and C |
| Basic Characteristics | Base Line | Follow-Up | p Value |
|---|---|---|---|
| Age in years (Mean ± SD) | 49.73 ± 4.76 | 53.73 ± 4.76 | 0.010 |
| Gender | |||
| Male, N (%) | 9 (60) | 9 (60) | - |
| Female, N (%) | 6 (40) | 6 (40) | |
| BCVA (Log MAR), (Mean ± SD) | 0.04 ± 0.21 | 0·04 ± 0.21 | - |
| Cataract | |||
| Present, N (%) | 0 (0) | 1 (6.66) | 0.235 |
| Absent, N (%) | 15 (100) | 14 (93.33) | |
| BMI (kg/m2), (Mean ± SD) | 27.37 ± 5.59 | 26.52 ± 5.29 | 0.616 |
| FBS (mg/dL), (Mean ± SD) | 140.07 ± 43.54 | 161.87 ± 57.33 | 0.173 |
| HbA1c (%), (Mean ± SD) | 6.96 ± 0.98 | 7.58 ± 0.99 | 0.052 |
| Systolic Blood Pressure (mmHg), (Mean ± SD) | 135.73 ± 14.20 | 126.00 ± 17.65 | 0.056 |
| Diastolic Blood Pressure (mmHg), (Mean ± SD) | 88.00 ± 12.65 | 77.33 ± 9.61 | 0.004 |
| Serum Triglycerides (mg/dL), (Mean ± SD) | 120.13 ± 33.96 | 134.67 ± 43.88 | 0.237 |
| HDL (mg/dL), (Mean ± SD) | 34.00 ± 5.33 | 32.67 ± 8.40 | 0.544 |
| LDL (mg/dL), (Mean ± SD) | 122.71 ± 25.60 | 122.07 ± 27.95 | 0.939 |
| Serum total Cholesterol (mg/dL), (Mean ± SD) | 180.73 ± 27.30 | 193.80 ± 31.30 | 0.157 |
| Nephropathy | |||
| Present, N (%) | 2 (13.33) | 4 (26.66) | 0.286 |
| Absent, N (%) | 13 (86.66) | 11(73.33) | |
| Neuropathy | |||
| Present, N (%) | 0(0) | 4(26·66) | 0.012 |
| Absent, N (%) | 15(100) | 11(73.33) | |
| Smoking Status | |||
| Yes (%) | 1 (6.66) | 1 (6.66) | - |
| No (%) | 14 (93.33) | 14 (93.33) | |
| Alcohol Status | |||
| Yes (%) | 1 (6.66) | 1 (6.66) | - |
| No (%) | 14 (93.33) | 14 (93.33) |
| Parameters | Base Line | Follow-Up | p | |
|---|---|---|---|---|
| (Mean ± SD) | (Mean ± SD) | |||
| Disc Radius | 78.00 ± 8.42 | 77.87 ± 7.96 | 0.884 | |
| Disc Centre_row | 305.86 ± 50.47 | 305.00 ± 49.46 | 0.421 | |
| Disc Centre_col | 500.93 ± 430.76 | 500.20 ± 430.64 | 0.587 | |
| Fovea Centre_row | 365.20 ± 61.55 | 367.07 ± 55.29 | 0.707 | |
| Fovea Centre_col | 466.27 ± 73.84 | 481.47 ± 62.15 | 0.309 | |
| Disc Zone C_IOU | 0.46 ± 0.03 | 0.46 ± 0.03 | 0.982 | |
| MCZone3_IOU | 0.81 ± 0.12 | 0.82 ± 0.05 | 0.699 | |
| Equi AVR_C | 0.85 ± 0.17 | 0.92 ± 0.21 | 0.05 | |
| equiWidth_3C_V | 146.81 ± 31.32 | 140.52 ± 25.65 | 0.037 | |
| equiAVR_C2 | 0.84 ± 0.16 | 0.92 ± 0.22 | 0.054 | |
| equiWidth_3C_V2 | 148.61 ± 32.48 | 142.04 ± 26.69 | 0.030 | |
| equiWidth_3D_V | 130.24 ± 31.74 | 117.63 ± 29.70 | 0.000 | |
| equiWidth_3D_V2 | 130.46 ± 31.94 | 118.16 ± 30.25 | 0.000 | |
| Width Gradient_Inf_A | 0.001 ± 0.01 | 0.003 ± 0.01 | 0.057 | |
| Width Gradient_A | 0.001 ± 0.01 | 0.005 ± 0.004 | 0.046 | |
| Fractal Dimension | Fractal Dim | 1.25 ± 0.07 | 1.28 ± 0.07 | 0.002 |
| Fractal Dim_V | 1.09 ± 0.10 | 1.12 ± 0.11 | 0.014 | |
| Curv Tort_A | 0.0003 ± 0.0001 | 0.0002 ± 0.0001 | 0.032 | |
| Thick Tort_V | 4.69 ± 17.24 | 0.01 ± 0.04 | 0.31 | |
| Lacunarity | Lac | 0.52 ± 0.14 | 0.51 ± 0.13 | 0.003 |
| Lac_ A | 0.61 ± 0.22 | 0.60 ± 0.25 | 0.028 | |
| Lac_ V | 0.58 ± 0.24 | 0.58 ± 0.15 | 0.015 | |
| Central Reflex | CR_Ratio_A1 | 0.36 ± 0.72 | 0.08 ± 0.57 | 0.033 |
| CR_InRatio_A1 | 0.08 ± 1.02 | 0.60 ± 0.83 | 0.014 | |
| CR_VesWidth_A1 | 46.05 ± 53.19 | 75.90 ± 43.71 | 0.052 | |
| CR_InRatio_A2 | 0.86 ± 0.55 | 0.19 ± 1.02 | 0.038 | |
| CR_VesWidth_A2 | 9.83 ± 29.14 | 27.64 ± 36.99 | 0.057 | |
| Branch Parameters | Num Br | 4.60 ± 1.96 | 5.47 ± 2.75 | 0.043 |
| Branch Coef_A | 1.41 ± 0.57 | 1.20 ± 0.53 | 0.035 | |
| JED_A | 0.31 ± 0.69 | 0.0005 ± 0.52 | 0.033 |
Publisher’s Note: MDPI stays neutral with regard to jurisdictional claims in published maps and institutional affiliations. |
© 2022 by the authors. Licensee MDPI, Basel, Switzerland. This article is an open access article distributed under the terms and conditions of the Creative Commons Attribution (CC BY) license (https://creativecommons.org/licenses/by/4.0/).
Share and Cite
Khan, R.; Saha, S.K.; Frost, S.; Kanagasingam, Y.; Raman, R. The Longitudinal Assessment of Vascular Parameters of the Retina and Their Correlations with Systemic Characteristics in Type 2 Diabetes—A Pilot Study. Vision 2022, 6, 45. https://doi.org/10.3390/vision6030045
Khan R, Saha SK, Frost S, Kanagasingam Y, Raman R. The Longitudinal Assessment of Vascular Parameters of the Retina and Their Correlations with Systemic Characteristics in Type 2 Diabetes—A Pilot Study. Vision. 2022; 6(3):45. https://doi.org/10.3390/vision6030045
Chicago/Turabian StyleKhan, Rehana, Sajib K Saha, Shaun Frost, Yogesan Kanagasingam, and Rajiv Raman. 2022. "The Longitudinal Assessment of Vascular Parameters of the Retina and Their Correlations with Systemic Characteristics in Type 2 Diabetes—A Pilot Study" Vision 6, no. 3: 45. https://doi.org/10.3390/vision6030045
APA StyleKhan, R., Saha, S. K., Frost, S., Kanagasingam, Y., & Raman, R. (2022). The Longitudinal Assessment of Vascular Parameters of the Retina and Their Correlations with Systemic Characteristics in Type 2 Diabetes—A Pilot Study. Vision, 6(3), 45. https://doi.org/10.3390/vision6030045

