Abstract
The aim of this study was to investigate the effects of kinesio taping (KT) in combination with moderate adapted exercise on the functional outcome of patients with knee osteoarthritis. We included 66 patients who presented pain and functional impairment with osteoarthritis. At the end of the treatment, only 57 patients remained because nine patients were excluded. Patients were randomly allocated to three treatment groups: (1) exercise group; (2) exercise KT with tension application (stabilizing effect) group; (3) exercise KT without tension application (draining effect) group. We used different methods of investigation: the Western Ontario and McMaster Universities Arthritis Index, the Visual Analogue Scaling Score for Pain, the Timed Up and Go test and analgesic consumption. Our results showed a reduction in knee pain, improvement in knee function and also less need for medication in patients with knee osteoarthritis treated with kinesio taping in combination with exercise for, at least, a period of three months. In conclusion, we can assert that therapeutic knee kinesio taping in association with a moderate adapted training is an effective method for the management of pain and disability limitations in patients with knee osteoarthritis.
1. Introduction
Kinesio tape is an elastic therapeutic tape that finds its application as an adjunct to professional activities in healthcare, rehabilitation, prevention and sports [1]. In circulatory pathologies, kinesio tape has the function to promote the drainage of excess fluid, activating a lymphatic drainage response [2]. Kinesio tape application promotes better blood circulation and lymph flow in the treated area, and this principle can be used to drain the swelling in trauma and bruises to speed up the process of the redistribution of the hematoma [3]. Kinesio tape application decreases the surplus heat via friction reduction resulting in the lifting of the skin. It also has a good stabilizing effect [3]. Kinesio tape was also used for treating sports and orthopedic injuries, and a variety of musculoskeletal disorders, like osteoarthritis (OA) [4,5]. OA is a form of progressive arthritis caused by inflammation and degradation of cartilage in the joints. OA is associated with an extremely high economic burden (about 82.4 billion dollars per annum), which is largely attributable to the effects of disability, co-morbid disease and the expense of treatment [6,7]. Since current treatments for OA give only few benefits, novel ways to treat this disease are urgently needed. Knee OA is a disease with a high incidence and prevalence, with the number of affected individuals expected to increase, particularly due to the aging of the population, but also due to the increasing prevalence of obesity and a sedentary lifestyle [8,9]. OA involves the whole joint and other articular tissues, such as cartilage, but in contrast to systemic inflammatory rheumatic diseases, the therapeutic options in OA are still limited [10]. The key intervention in the management of knee OA is exercise therapy [11], which affects the articular cartilage metabolism and modifies the cartilaginous structure by a mechanotransduction response [12,13,14]. Kinesio taping (KT) is a technique that is now increasingly considered for the management of knee OA [4,15,16,17]. Kinesio tape is an elastic adhesive material that has a high stretching capacity to ensure the free mobility of the applied area [18]. Although there is still limited data on the application of kinesio tape in the management of OA, it has been shown that KT of the knee can reduce knee pain by improving patellofemoral alignment and lowering mechanical stress on soft tissues [19,20]. The effects of KT on isokinetic quadriceps torque in knee OA were investigated, and the authors concluded that therapeutic KT was effective in improving isokinetic quadriceps torque and reducing pain [21]. The authors recently demonstrated that KT might be a suitable intervention to reduce pain, improve the active range of motion and improve proprioception in patients with OA [5]. KT can also enhance muscle performance and activity [22]. This method is very safe with few side effects, and it is relatively inexpensive compared with other therapeutic methods. Therefore, for the first time, this study was able to aim to investigate the effects of the three month-long treatment of KT in combination with a moderate adapted training/exercise program or “tailor-made” program on the functional outcome of patients with knee OA (patellofemoral (PF) and tibiofemoral (TF) knee compartments) through different methods of investigation. The methods of investigation included the Western Ontario and McMaster Universities Arthritis Index Score (WOMAC), the pain severity score with the Visual Analogue Scaling Score Pain (VAS pain score), the Timed Up and Go Test (TUG test) and analgesic consumption.
2. Materials and Methods
2.1. Patients
This study was performed in the “Polyclinic G.B. Morgagni” Mediterranean Foundation, Orthopedics Traumatology and Rehabilitation Unit in association with Physiocare—Center of Physical Medicine and Rehabilitation and our Biomechanics Research Laboratory. We included 66 patients, 35 males and 31 females, presenting pain and functional impairment with knee OA (PF and TF knee compartments), without concomitant chronic conditions. Patients were of a similar height and weight, had a median age of 63 (54–72 years) and a duration of disease of 5.5 (±4.32) years. The pre-treatment examinations included a complete medical history, physical examination with particular attention to the vital symptom of OA represented by the pain threshold and X-ray and magnetic resonance imaging (MRI) (Figure 1). According to the Kellgren and Lawrence grading scale [23], patients had Grade II or Grade III OA of the knee. We excluded those with allergic reaction to tape or any skin problem, the presence of any inflammatory arthritis, history of any injection at the knee, surgical intervention in this part within the last six months, suspicion regarding other pathologies in the knee, severe obesity, OA Grade IV, the full instability of the knee joint, trauma to the knee during the study or when patients failed to follow the treatment instructions. The most common symptoms presented at the initial phase of the OA disease and before the treatment were: pain, stiffness, swelling and cracking.
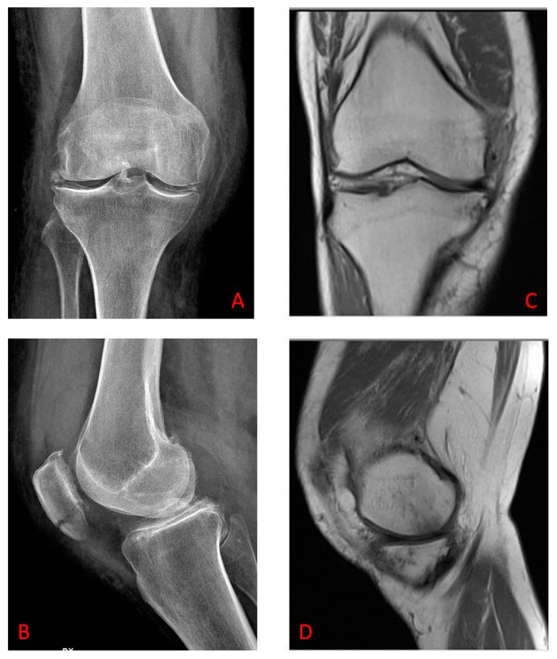
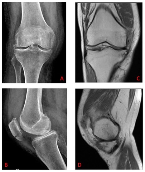
Figure 1.
(A,B) In the X-ray, there are radiographically-visible changes, such as narrowed joint space and thickening of the articular cartilage, Kellgren and Lawrence grade II/III. (A) X-ray anteroposterior projection in osteoarthritic knee from osteoarthritis (OA) patient; (B) X-ray lateral projection in osteoarthritic knee from OA patient. (C,D) In the MRI (magnetic resonance imaging), the signal intensity of the menisci is altered; the articular cartilage and the subchondral bone are also altered with increased bone density, KL Grade II/III. (C) MRI coronal view in osteoarthritic knee from OA patient; (D) MRI lateral view in osteoarthritic knee from OA patient.
Pain: The main symptom presented in our OA patients was joint pain that was worse with activity (severity of pain in motion) and was relieved by rest. In severe cases, the pain was also present at rest or at night.
Stiffness: Morning stiffness was very common in our patients. This stiffness usually was resolved within 30 min of rising, but it was present throughout the day during periods of inactivity. Some patients noted a change in symptoms related to the weather.
Swelling: Some patients presented joint swelling, resulting from the accumulation of excess fluid in the joint.
Cracking: Almost all patients presented a cracking during the movement of a joint affected by OA causing a sensation called crepitus. This sensation occurs due to the roughening of the normally smooth surfaces inside the joint because of reduced lubrication.
Informed consent was obtained from each patient. The research was approved by the Local Medical Ethical Committee (University Hospital of Catania, Catania, Italy) without an assigned number and conformed to the ethical guidelines of the Declaration of Helsinki.
2.2. Sample Size Calculations
In order to maximize the information obtained from the minimum resource and to generate statistically robust data, the power analysis sample size was performed using the G*Power3.1 calculator software (Düsseldorf University, Düsseldorf, Germany). Sample size was calculated on the basis of the mean (±SD) on the daily amount of analgesic consumption over the previous 24 h reported by patients during the study. An assumption was made that the study should detect a 10% change at a significance level of p < 0.05 and 90% power. These criteria led to an estimated minimum sample size of 10 in each group.
2.3. Study Protocol
The study was performed for 3 months. The management of the patients was multidisciplinary and involved orthopedics, rheumatologists, radiologists, physiatrists, kinesiologists, physical therapists, sports instructors and research assistants. After explaining the objectives and procedures of the study, the 66 patients were randomly allocated to three treatment groups, 22 patients for each group: (1) exercise group; (2) exercise and KT with tension application (stabilizing effect) group; (3) exercise and KT without tension application (draining effect) group. Patients did not know to which group they were allocated (blinded). As a baseline, patients received a necessary daily drug therapy with similar doses of diclofenac, a non-steroidal anti-inflammatory drug (NSAID). Afterwards, in relation to the reduced pain severity due to the protocol study, doses of NSAIDs may have been reduced. Patients were prohibited from taking other analgesics during the treatment schedule. The females did not undertake estrogen replacement therapy, as it may have influenced the physiological homeostasis of the joint. After 3 months of treatment, 57 patients remained, and 9 were excluded from the study: 3 patients from Group 1 (two withdrew to seek treatment, and the other withdrew due to scheduled physiotherapy treatment during the period); 3 patients from Group 2 (two due to an allergic reaction to the tape and the other due to trauma to the knee); 3 patients from Group 3 (two due to allergic reaction to tape and the other withdrew to seek treatment). Eventually, 19 patients remained in each group.
2.4. Kinesio Tape Application
In this study, we used 3 kinesio tape strips (Taping Elastico®, ATS—Advanced Training System, Roma, Italy; Available online: http://www.tapingelastico.com/corsi-di-formazione-tapingelastico/) for the entire period of the treatment.
Kinesio tape application with tension (stabilizing effect, Group 2): 2 ‘Y-strips’ with a length of approximately 20 cm, an anchor of 2 cm and a single longitudinal section continuing from one end for a specified distance along the center of the tape; 1 ‘I-strip’ that has no cut down the middle of the tape. We applied kinesio tape with tension application and neutral skin tissue because of its stabilizing effect. After shaving the treated area of interest, for the application of the first strip, the patients were lying in the supine position with knee in maximal flexion. The first strip was a Y-strip representative of the quadriceps. Tails of the quadriceps strip were applied to the patella, wrapping the patella medially and laterally with 25% tension. The base of the strip was applied with paper-off tension towards the anterior superior iliac spine. For the second strip, a Y-strip was applied with the knee flexed 90° between tibial tuberosity and inferior pole of the patella. The tails of the second strip were applied wrapping patella medially and laterally with 25% tension. The tails were directed towards vastus medialis and vastus lateralis. For the third strip, an I-strip was applied with the knee flexed 30°. The strip was applied to patella mediolaterally with 75% tension in the middle and paper-off tension at the ends [19] (Figure 2A).
Figure 2.
Kinesio tape application. (A) With tension (stabilizing effect): 2 ‘Y-strips’ and 1 ‘I-strip’ applied in the anterior region of the knee; (B–D) Without tension (draining effect): 2 ‘fan-shaped strips’ applied in the anterior region of the knee; 1 ‘fan-shaped strip’ applied in the posterior region of the knee.
Kinesio tape application without tension (draining effect, Group 3): 2 ‘fan-shaped strips’ with a length of approximately 30 cm, an anchor of 2 cm and with four longitudinal sections continuing from one end to obtain 5 tails, applied in the anterior region of the knee; 1 ‘fan-shaped strip’ with a length of approximately 20 cm, an anchor of 2 cm and with four longitudinal sections continuing from one end to obtain 5 tails, applied in the posterior region of the knee. We applied kinesio tape without tension application and skin tissue in lengthening because of its lymph draining effect. After shaving the treated area of interest, during the front application, the patients were sitting with the knee flexed to 110°. The base or anchor of the first tape was applied 1 cm laterally to the center line of the quadriceps muscle, so that the center of the tape corresponds to the patella. Instead, the base or anchor of the second tape was placed 1 cm medially to the center line of the quadriceps muscle, so that the center of the tape corresponds to the patella. During the rear application, patients were standing with knee extended. The base or anchor of the third tape was applied to the rear face of the thigh so that half of the tape length corresponds to the rear region of the knee (popliteal fossa) [3] (Figure 2B–D).
Tapes were replaced at each session (two per week) and were retained during the week. In cases of separation of the tape (which is very rare occurrence), the patient was referred to renew it.
2.5. Exercise Protocol
All patients during the three months of the KT treatment received a moderate adapted or “tailor-made” training program for knee OA. They received 3 training sessions per week (1 h each, supervised by physiatrists, kinesiologists and physical therapists), which were carried out in order to reduce the pressure on the affected knee, to refrain from kneeling, as well as training in special exercises, such as stretching the hamstring and calf muscles and strengthening quadriceps muscles to improve the functional performance (knee flexion and extension). Training was moderately adapted or “tailor-made” since the level of exercises was dependent on the tolerability of the patients, as recommended by the American College of Rheumatology, the European League Against Rheumatism (EULAR) and the Osteoarthritis Research Society International (OARSI) guidelines [24,25]. The program included a 10-min warm-up (biking exercise), 20-min mild leg exercise training (leg press, leg curl, leg extension, hip abduction, calf raises, squats and stepping exercises), 15-min cool-down (walking exercise with treadmill) and 15-min flexibility training. Each leg was exercised separately to prevent an unequal distribution of load between the least affected and most affected sides. To guarantee safety, the training loads were progressively increased, and the tolerability was assessed at every training session. There were significant reductions in submaximal heart rate (15 b·min−1) and systolic blood pressure (15 mmHg) after training. It would appear that the reduction in aerobic exercise of patients with OA is secondary to their reduced muscle function. By improving muscle function, increases in exercise capacity and aerobic fitness occurred. Patients were prohibited from performing other physiotherapy or home-based training programs during the treatment schedule.
2.6. Functional Test
For all participants, pain, stiffness and functional limitations were assessed using The Western Ontario and McMaster Universities Arthritis Index (WOMAC) that measures five items for pain (score range 0–20), two for stiffness (score range 0–8) and 17 for functional limitation (score range 0–68). All WOMAC scores were transformed into a scale ranging from 0 (“no symptoms/no limitation”) to 100 (“maximal symptoms/maximal limitation”) to facilitate comparison of the descriptive data [26]. Physical functioning questions covered everyday activities, such as stair use, standing up from a sitting or lying position, standing, bending, walking, getting in and out of a car, shopping, putting on or taking off socks, lying in bed, getting in or out of a bath, sitting and heavy and light household duties [27]. Level of pain was also assessed through the Visual Analogue Scale for Pain (VAS pain; 0–100 mm), designed to assess the perceived discomfort (0: no discomfort, 100: maximum discomfort) [28,29]. Furthermore, to measure kinesio taping and exercise effect on disability, the TUG test [30] was scheduled, due to its validation and reliability in knee OA [31]. In the TUG test, time (seconds) was measured while the following basic functional mobility tasks were performed in the following sequence: getting up from a chair (seat height 46 cm) with arm rest, walking 3 m, turning around, walking back and sitting down again [32]. All scores were assessed blindly by one physiatrist, one kinesiologist and one physical therapist, before the beginning of treatment, at 15 days from the beginning of treatment and at three months after the initial assessment. The tests were repeated in triplicate.
2.7. Statistical Analysis
Statistical analysis was performed using the software GraphPad Prism 6.01 (©2015 GraphPad Software, Inc., La Jolla, CA, USA). Data were analyzed by three blinded investigators. Data were tested for normality with the Kolmogorov–Smirnov test. All variables were normally distributed. Statistical significance relating all tests performed and analgesic consumption, within and between groups, was assessed using the two-way ANOVA with Tukey’s multiple comparisons test. p-Values of less than 0.05 were considered statistically significant. Results were presented as the mean ± standard deviation (SD).
3. Results
3.1. Baseline Characteristics
In total, 57 patients divided into three groups (19 patients for each group) underwent knee KT in combination with exercise and medical therapy. The study groups were comparable in terms of baseline characteristics, such as gender, age, height and weight (Table 1). Furthermore, Grade II and Grade III of OA disease were found in nine and 10 patients in the first group, respectively; eight and 11 patients in the second group, respectively; and nine and 10 patients in the third group, respectively (Table 1). Each group had an equal split of patients in terms of which side the OA was present: right-sided OA was found in six patients in the first group, seven patients in the second group and six patients in the third group; left-sided OA was found in seven patients in the first group, six patients in the second group and six patients in the third group; and bilateral OA was found in six patients in the first group, six patients in the second group and seven patients in the third group (Table 1).
Table 1.
Baseline characteristics of 57 patients, divided into three groups (19 per group), with knee osteoarthritis undergoing knee kinesio taping, exercise and medical therapy.
3.2. WOMAC Score
At the baseline, all groups had a similar WOMAC (Figure 3). After 15 days, there was a difference between both Group 1 vs. Group 2 and Group 1 vs. Group 3 (p < 0.05); instead, when Group 2 was compared to Group 3, the difference was not important (Figure 3). After three months, we found a difference between both Group 1 vs. Group 2 and Group 2 vs. Group 3 (p < 0.05), but the WOMAC score was not statistically different between Group 1 and Group 3 (Figure 3). Analyzing the results of the WOMAC score within every group, both after 15 days and after three months, patients of all groups showed a lower WOMAC score (p < 0.05), even if in Groups 2 and 3, all parameters of the WOMAC score remained similar between 15 days and three months (p = not statistically significant (n.s.)) (Table 2).
Figure 3.
Graphic representing the comparison of the WOMAC score between groups at baseline, 15 days and three months. Data are presented as the mean ± SD; * p < 0.05.
Table 2.
WOMAC score, VAS pain score (mm), TUG test (seconds) and daily analgesic consumption (mg/week) in 57 patients, divided into three groups (19 per group), with knee OA undergoing knee kinesio taping, exercise and medical therapy. All scores were assessed blindly, before the beginning of treatment, at 15 days from the beginning of the treatment and at three months after the initial assessment. Assessments were repeated in triplicate.
3.3. VAS Pain Score
At the baseline, all groups had a similar VAS pain score (p > 0.05) (Figure 4A). After 15 days, there was a difference between both Group 1 vs. Group 2 and Group 1 vs. Group 3 (p < 0.05); instead, when Group 2 was compared to Group 3, the difference was not substantial (Figure 4A). After three months, there was a difference between both Group 1 vs. Group 2 and Group 2 vs. Group 3 (p < 0.05), but the VAS pain score was similar between Group 1 and Group 3 (Figure 4A). Analyzing the results of the VAS pain score within every group, both after 15 days and after three months, patients of all groups showed lower values (p < 0.05), even if in Group 3, it did not change between 15 days and three months (p = n.s.) (Table 2).
Figure 4.
Graphics representing the comparison between groups at baseline, after 15 days and after three months. (A) VAS pain score; (B) TUG test; (C) daily analgesic consumption. Data are presented as the mean ± SD; * p < 0.05.
3.4. TUG Test
Analyzing the results of the TUG test for each group, both after 15 days and after three months, patients of all groups showed a better performance of the TUG test (p < 0.05), even if in Group 3, it remained similar between 15 days and three months (p = n.s.) (Table 2). At the baseline, all groups had a similar TUG test score (p > 0.05) (Figure 4B). After 15 days, there was a difference between both Group 1 vs. Group 2 (p < 0.05) and Group 1 vs. Group 3 (p < 0.05); instead, when Group 2 was compared to Group 3, the difference was not noteworthy (Figure 4B). After three months, there was a difference between both Group 1 vs. Group 2 (p < 0.05) and Group 2 vs. Group 3 (p < 0.05), but the TUG test score was similar between Group 1 and Group 3 (Figure 4B).
3.5. Daily Amount of Analgesic Consumption
After 15 days and after three months of treatment, the amount of daily analgesic consumption was lower within every group (p < 0.05), even if in Group 3, the difference between 15 days and three months of treatment was not statistically significant (p = n.s.) (Table 2). There was no important difference between the groups at baseline (p > 0.05) (Figure 4C). After 15 days, there was a difference between both Group 1 vs. Group 2 and Group 1 vs. Group 3 (p < 0.05); instead, when Group 2 was compared to Group 3, the difference was not important (Figure 4C). After three months, there was a difference between both Group 1 vs. Group 2 (p < 0.05) and Group 2 vs. Group 3 (p < 0.05), but daily analgesic consumption was similar between Group 1 and Group 3 (Figure 4C).
4. Discussion
Regular exercise has a great importance in maintaining good health. The benefits of regular and moderate exercise include reduced risks for some musculoskeletal disorders, such as OA [33,34,35]. Physical exercise can play a crucial role in the treatment of OA in optimizing both physical and mental health, enhancing energy, decreasing fatigue and improving sleep [36,37]. Biomechanical stimulus generated by dynamic compression during moderate exercise can reduce the synthesis of proteolytic enzymes, regulating the metabolic balance and preventing the progression of the disease [38].
Recently, the authors [11,13,39] have shown that physical activity is effective in reducing pain and movement limitations in knee diseases, such as OA and in knee stability [40]. Today, physical activity is considered as a complementary and optional treatment. It is up to health professionals to encourage the use of physical activity as a primary treatment, especially in patients with mild OA that are likely to be more motivated because they are not yet afflicted with the most severe OA symptoms characterized by a higher degree of pain and disability. Moreover, the non-pharmacological intervention is recommended in national and international guidelines, including EULAR and OARSI [24,25].
The modalities of exercise recommended for the management of knee OA were aerobic, aquatic, and/or resistance exercises associated with weight loss for overweight patients [41]. Other non-pharmacologic therapies conditionally recommended for knee OA include knee kinesio taping, medial wedge insoles for valgus knee OA, subtalar strapped lateral insoles for varus knee OA, manual therapy, hydrokinesis therapies, tai chi, walking aids, thermal agents and psychosocial interventions [42,43]. Treatment of OA is based on a combination of treatment protocols, including physical therapy, medical therapy, exercise-based therapy and even psychological counselling [44,45].
Although the position of all pointed treatment in improvement of knee function and pain relief has been clearly identified, the role of kinesio taping in relieving disease symptoms remains uncertain. A systematic review claimed that there is no strong evidence for the effectiveness of kinesio taping in knee OA [46], but other studies emphasize that knee kinesio taping effectively relieves knee pain and improves active range of motion (AROM) [4,15,16,17,18,19].
In this study, we included 66 patients who presented pain and functional impairment with knee OA. These patients were randomly allocated to three treatment groups: (1) exercise group; (2) exercise KT with tension application (stabilizing effect) group; (3) exercise KT without tension application (draining effect) group. After three months of the treatment, there remained 57 patients, because nine patients were excluded from the study as reported in our Materials and Methods section. The results demonstrated that after 15 days and after three months, the use of kinesio taping concurrently with exercise protocols (adapted physical activity) not only relieved knee pain, but also extremely improved knee function.
One advantage of our study was that we concurrently measured amounts of analgesic consumption to be sure that changes in WOMAC, VAS pain and TUG test scores were not caused by the analgesic consumption. In fact, in our results, the amount of daily analgesic consumption decreased within every group from the beginning of the treatment to the end of it, even if it is interesting to observe that in Group 3, in which the kinesio tape was applied without tension (draining effect), the difference between 15 days and three months was not statistically significant and could indicate that this kind of application is more efficacious over the short term (15 days). Furthermore, after 15 days, even if there was a difference between both Group 1 (exercise) vs. Group 2 (exercise and KT with tension) and Group 1 vs. Group 3 (exercise and KT without tension), when Group 2 was compared to Group 3, the difference was not noteworthy. Although the results between Groups 2 and 3 were not considerably different, in Group 3, the analgesic consumption is slightly lower, meaning that in a very short time, kinesio tape application without tension has a slightly better effect with respect to the application with tension in reducing pain and increasing joint functionality. After three months, the difference was statistically significant between Group 1 vs. Group 2 and Group 2 vs. Group 3, but daily analgesic consumption was similar between Group 1 and Group 3, meaning that the kinesio tape application without tension has no effect over the longer term (three months), and it does not assist exercise therapy.
The conclusions above are also confirmed by the results of all other tests measuring pain and functionality. From our results, in a longer time of treatment (three months), the best performance of kinesio tape application is with tension thanks to its stabilizing effect. Instead, in a shorter time (15 days), a better condition is reached through the kinesio tape application without tension thanks to its lymph draining effect. However, when the problem of edema is resolved, this kind of application does not differ from treatment with exercise alone.
All of the treatments used to manage OA are problematic, but solutions to these problems are on the horizon. For this reason, we decided to produce this study, because until today, there has been very little information regarding the combination of physical treatment and the use of KT in management of this prevalent disease. The study should help medical doctors and patients choose the optimal solution to manage pain and disability limitations of OA. It is worth noting that the research was somewhat limited by not having completed a “Functional Index Questionnaire” to strengthen the conclusions.
5. Conclusions
Our aim was to find some answers to the management of OA through KT and physical therapy treatment. Our results are in line with other studies in this field [4,16,19]. We have shown a reduction in knee pain, improvement in knee function and also less need for medication following the use of KT in combination with exercise in patients with knee OA. In conclusion, we can assert that therapeutic knee KT in association with a moderate adapted training program is an effective method for the management of pain and disability limitations in patients with knee OA.
The clinical relevance of our study is that the KT application with a regular adapted physical activity can be a valuable aid in the therapy treatment of knee OA. Thanks to our results, we can present a hypothesis that kinesio tape application in association with a moderate adapted training/exercise program or “tailor-made” within the guidelines of non-pharmacologic treatment can be effective in the management of knee OA (PF and TF compartments) in line with EULAR and OARSI guidelines. Knee OA is associated with considerable pain and disability, and these interventions have been shown to alleviate symptoms and/or reduce stress in patients with the condition. Other studies are needed to continue to improve knowledge and allow new findings in this field of research to help better understand this new therapeutic approach.
Acknowledgments
The authors thank Joss Blamire for making corrections to the paper. This study was supported by a grant-in-aid from “Finanziamento della Ricerca d'Ateneo” (FIR) 2016 (code 4E8207), University of Catania, Catania, Italy. The funder had no role in the design of the study, collection and analysis of the data, decision to publish nor the preparation of the manuscript.
Author Contributions
All authors have made substantial intellectual contributions to the conception and design of the study, data acquisition, analysis and interpretation. Giuseppe Musumeci conceived of the study design, manuscript writing and planning, discussion of the results and supervised. Paola Castrogiovanni and Sergio Castorina carried out the manuscript discussion and proofreading. Angelo Di Giunta, Claudia Guglielmino, Carla Loreto and Rosa Imbesi contributed to data collection, technical assistance, interpretation and analysis. Domenico Romeo, Federico Roggio, Claudia Guglielmino and Federica Fidone carried out the experimental work and study execution. All authors contributed to data interpretation and manuscript preparation. All authors have approved the final submitted version.
Conflicts of Interest
The authors declare no conflict of interest.
Abbreviations
The following abbreviations are used in this manuscript:
| KT | kinesio taping |
| OA | osteoarthritis |
| WOMAC | Western Ontario and McMaster Universities Arthritis Index |
| VAS | Visual Analogue Scaling |
| TUG | Timed Up and Go |
References
- Huang, C.Y.; Hsieh, T.H.; Lu, S.C.; Su, F.C. Effect of the Kinesio tape to muscle activity and vertical jump performance in healthy inactive people. Biomed. Eng. Online 2011, 10, 70. [Google Scholar] [CrossRef] [PubMed]
- Aguilar-Ferrándiz, M.E.; Castro-Sánchez, A.M.; Matarán-Peñarrocha, G.A.; García-Muro, F.; Serge, T.; Moreno-Lorenzo, C. Effects of kinesio taping on venous symptoms, bioelectrical activity of the gastrocnemius muscle, range of ankle motion, and quality of life in postmenopausal women with chronic venous insufficiency: A randomized controlled trial. Arch. Phys. Med. Rehabil. 2013, 94, 2315–2328. [Google Scholar] [CrossRef] [PubMed]
- Williams, S.; Whatman, C.; Hume, P.A.; Sheerin, K. Kinesio taping in treatment and prevention of sports injuries: A meta-analysis of the evidence for its effectiveness. Sports Med. 2012, 42, 153–164. [Google Scholar] [CrossRef] [PubMed]
- Cho, H.Y.; Kim, E.H.; Kim, J.; Yoon, Y.W. Kinesio taping improves pain, range of motion, and proprioception in older patients with knee osteoarthritis: A randomized controlled trial. Am. J. Phys. Med. Rehabil. 2015, 94, 192–200. [Google Scholar] [CrossRef] [PubMed]
- Crossley, K.M.; Vicenzino, B.; Lentzos, J.; Schache, A.G.; Pandy, M.G.; Ozturk, H.; Hinman, R.S. Exercise, education, manual-therapy and taping compared to education for patellofemoral osteoarthritis: A blinded, randomised clinical trial. Osteoarthr. Cartil. 2015, 23, 1457–1464. [Google Scholar] [CrossRef] [PubMed]
- Mobasheri, A.; Kalamegam, G.; Musumeci, G.; Batt, M.E. Chondrocyte and mesenchymal stem cell-based therapies for cartilage repair in osteoarthritis and related orthopaedic conditions. Maturitas 2014, 78, 188–198. [Google Scholar] [CrossRef] [PubMed]
- Mobasheri, A.; Matta, C.; Zákány, R.; Musumeci, G. Chondrosenescence: Definition, hallmarks and potential role in the pathogenesis of osteoarthritis. Maturitas 2015, 80, 237–244. [Google Scholar] [CrossRef] [PubMed]
- Musumeci, G.; Aiello, F.C.; Szychlinska, M.A.; Di Rosa, M.; Castrogiovanni, P.; Mobasheri, A. Osteoarthritis in the XXIst century: Risk factors and behaviours that influence disease onset and progression. Int. J. Mol. Sci. 2015, 16, 6093–6112. [Google Scholar] [CrossRef] [PubMed]
- Musumeci, G.; Szychlinska, M.A.; Mobasheri, A. Age-related degeneration of articular cartilage in the pathogenesis of osteoarthritis: Molecular markers of senescent chondrocytes. Histol. Histopathol. 2015, 30, 1–12. [Google Scholar] [CrossRef] [PubMed]
- Giunta, S.; Castorina, A.; Marzagalli, R.; Szychlinska, M.A.; Pichler, K.; Mobasheri, A.; Musumeci, G. Ameliorative effects of PACAP against cartilage degeneration. Morphological, immunohistochemical and biochemical evidence from in vivo and in vitro models of rat osteoarthritis. Int. J. Mol. Sci. 2015, 16, 5922–5944. [Google Scholar] [CrossRef] [PubMed]
- Fransen, M.; McConnell, S.; Harmer, A.R.; van der Esch, M.; Simic, M.; Bennell, K.L. Exercise for osteoarthritis of the knee. Cochrane Database Syst. Rev. 2015, 1, CD004376. [Google Scholar] [PubMed]
- Knobloch, T.J.; Madhavan, S.; Nam, J.; Agarwal, S., Jr.; Agarwal, S. Regulation of chondrocytic gene expression by biomechanical signals. Crit. Rev. Eukaryot. Gene Expr. 2008, 18, 139–150. [Google Scholar] [CrossRef] [PubMed]
- Castrogiovanni, P.; Musumeci, G. Which is the best physical treatment for osteoarthritis? J. Funct. Morphol. Kinesiol. 2016, 1, 54–68. [Google Scholar] [CrossRef]
- Musumeci, G. The Effect of mechanical loading on articular cartilage. J. Funct. Morphol. Kinesiol. 2016, 1, 154–161. [Google Scholar] [CrossRef]
- Kalron, A.; Bar-Sela, S. A systematic review of the effectiveness of kinesio taping—Fact or fashion? Eur. J. Phys. Rehabil. Med. 2013, 49, 699–709. [Google Scholar] [PubMed]
- Anandkumar, S.; Sudarshan, S.; Nagpal, P. Efficacy of kinesio taping on isokinetic quadriceps torque in knee osteoarthritis: A double blinded randomized controlled study. Physiother. Theory Pract. 2014, 30, 375–383. [Google Scholar] [CrossRef] [PubMed]
- Halski, T.; Ptaszkowski, K.; Słupska, L.; Paprocka-Borowicz, M.; Dymarek, R.; Taradaj, J.; Bidzińska, G.; Marczyński, D.; Cynarska, A.; Rosińczuk, J. Short-term effects of kinesio taping and cross taping application in the treatment of latent upper trapezius trigger points: A prospective, single-blind, randomized, sham-controlled trial. Evid. Based Complement. Altern. Med. 2015, 2015, 191925. [Google Scholar] [CrossRef] [PubMed]
- Mutlu, E.K.; Mustafaoglu, R.; Birinci, T.; Razak Ozdincler, A. Does kinesio taping of the knee improve pain and functionality in patients with knee osteoarthritis? A randomized controlled clinical trial. Am. J. Phys. Med. Rehabil. 2016. [Google Scholar] [CrossRef]
- Kocyigit, F.; Turkmen, M.B.; Acar, M.; Guldane, N.; Kose, T.; Kuyucu, E.; Erdil, M. Kinesio taping or sham taping in knee osteoarthritis? A randomized, double-blind, sham-controlled trial. Complement. Ther. Clin. Pract. 2015, 21, 262–267. [Google Scholar] [CrossRef] [PubMed]
- Song, C.Y.; Huang, H.Y.; Chen, S.C.; Lin, J.J.; Chang, A.H. Effects of femoral rotational taping on pain, lower extremity kinematics, and muscle activation in female patients with patellofemoral pain. J. Sci. Med. Sport 2015, 18, 388–393. [Google Scholar] [CrossRef] [PubMed]
- Chang, W.D.; Chen, F.C.; Lee, C.L.; Lin, H.Y.; Lai, P.T. Effects of kinesio taping versus mcconnell taping for patellofemoral pain syndrome. A systematic review and meta-analysis. Evid. Based Complement. Altern. Med. 2015, 2015, 471208. [Google Scholar] [CrossRef] [PubMed]
- Bennell, K.L.; Hinman, R.S.; Metcalf, B.R.; Buchbinder, R.; McConnell, J.; McColl, G.; Green, S.; Crossley, K.M. Efficacy of physiotherapy management of knee joint osteoarthritis, a randomised, double blind, placebo controlled trial. Ann. Rheum. Dis. 2005, 64, 906–912. [Google Scholar] [CrossRef] [PubMed]
- Musumeci, G.; Trovato, F.M.; Loreto, C.; Leonardi, R.; Szychlinska, M.A.; Castorina, S.; Mobasheri, A. Lubricin expression in human osteoarthritic knee meniscus and synovial fluid, a morphological, immunohistochemical and biochemical study. Acta Histochem. 2014, 116, 965–972. [Google Scholar] [CrossRef] [PubMed]
- Zhang, W.; Nuki, G.; Moskowitz, R.W.; Abramson, S.; Altman, R.D.; Arden, N.K.; Bierma-Zeinstra, S.; Brandt, K.D.; Croft, P.; Doherty, M.; et al. OARSI recommendations for the management of hip and knee osteoarthritis, part III, Changes in evidence following systematic cumulative update of research published through January 2009. Osteoarthr. Cartil. 2010, 18, 476–499. [Google Scholar] [CrossRef] [PubMed]
- Fernandes, L.; Hagen, K.B.; Bijlsma, J.W.; Andreassen, O.; Christensen, P.; Conaghan, P.G.; Doherty, M.; Geenen, R.; Hammond, A.; Kjeken, I.; et al. European League Against Rheumatism (EULAR). EULAR recommendations for the non-pharmacological core management of hip and knee osteoarthritis. Ann. Rheum. Dis. 2013, 72, 1125–1135. [Google Scholar] [CrossRef] [PubMed]
- Angst, F.; Pap, G.; Mannion, A.F.; Herren, D.B.; Aeschlimann, A.; Schwyzer, H.K.; Simmen, B.R. Comprehensive assessment of clinical outcome and quality of life after total shoulder arthroplasty. Usefulness and validity of subjective outcome measurement. Arthritis Rheum. 2004, 51, 819–828. [Google Scholar] [CrossRef] [PubMed]
- Quintana, J.M.; Escobar, A.; Arostegui, I.; Bilbao, A.; Azkarate, J.; Goenaga, J.I.; Arenaza, J.C. Health-Related Quality of Life and Appropriateness of Knee or Hip Joint Replacement. Arch. Intern. Med. 2006, 166, 220–226. [Google Scholar] [CrossRef] [PubMed]
- Hawker, G.A.; Mian, S.; Kendzerska, T.; French, M. Measures of adult pain, Visual Analog Scale for Pain (VAS Pain), Numeric Rating Scale for Pain (NRS Pain), McGill Pain Questionnaire (MPQ), Short-Form McGill Pain Questionnaire (SF-MPQ), Chronic Pain Grade Scale (CPGS), Short Form-36 Bodily Pain Scale (SF-36 BPS), and Measure of Intermittent and Constant Osteoarthritis Pain (ICOAP). Arthritis Care Res. 2011, 63, S240–S252. [Google Scholar]
- Erel, S.; Şimşek, İ.E.; Özkan, H. Analysis of the reliability and validity of the Turkish version of the intermittent and constant osteoarthritis pain questionnaire. Acta Orthop. Traumatol. Turc. 2015, 49, 508–512. [Google Scholar] [PubMed]
- Bohannon, R.W. Reference values for the timed up and go test, a descriptive meta-analysis. J. Geriatr. Phys. Ther. 2006, 29, 64–68. [Google Scholar] [CrossRef] [PubMed]
- Bennell, K.L.; Hinman, R.S.; Crossley, K.M.; Metcalf, B.R.; Buchbinder, R.; Green, S.; McColl, G. Is the Human Activity Profile a useful measure in people with knee osteoarthritis? J. Rehabil. Res. Dev. 2004, 41, 621–630. [Google Scholar] [CrossRef] [PubMed]
- Podsiadlo, D.; Richardson, S. The timed “Up & Go”, a test of basic functional mobility for frail elderly persons. J. Am. Geriatr. Soc. 1991, 39, 142–148. [Google Scholar] [PubMed]
- Pichler, K.; Loreto, C.; Leonardi, R.; Reuber, T.; Weinberg, A.M.; Musumeci, G. In rat with glucocorticoid-induced osteoporosis, RANKL is downregulated in bone cells by physical activity (treadmill and vibration stimulation training). Histol. Histopathol. 2013, 28, 1185–1196. [Google Scholar] [PubMed]
- Musumeci, G.; Loreto, C.; Leonardi, R.; Castorina, S.; Giunta, S.; Carnazza, M.L.; Trovato, F.M.; Pichler, K.; Weinberg, A.M. The effects of physical activity on apoptosis and lubricin expression in articular cartilage in rats with glucocorticoid-induced osteoporosis. J. Bone Miner. Metab. 2013, 31, 274–284. [Google Scholar] [CrossRef] [PubMed]
- Musumeci, G.; Trovato, F.M.; Imbesi, R.; Castrogiovanni, P. Effects of dietary extra-virgin olive oil on oxidative stress resulting from exhaustive exercise in rat skeletal muscle: A morphological study. Acta. Histochem. 2014, 116, 61–69. [Google Scholar] [CrossRef] [PubMed]
- Musumeci, G.; Trovato, F.M.; Pichler, K.; Weinberg, A.M.; Loreto, C.; Castrogiovanni, P. Extra-virgin olive oil diet and mild physical activity prevent cartilage degeneration in an osteoarthritis model. An “in vivo” and “in vitro” study on lubricin expression. J. Nutr. Biochem. 2013, 24, 2064–2075. [Google Scholar] [CrossRef] [PubMed]
- Musumeci, G. The effects of exercise on physical limitations and fatigue in rheumatic diseases. World J. Orthop. 2015, 6, 762–769. [Google Scholar] [CrossRef] [PubMed]
- Leeuwenburgh, C.; Heinecke, J.W. Oxidative stress and antioxidants in exercise. Curr. Med. Chem. 2001, 8, 829–838. [Google Scholar] [CrossRef] [PubMed]
- Page, C.J.; Hinman, R.S.; Bennell, K.L. Physiotherapy management of knee osteoarthritis. Int. J. Rheum. Dis. 2011, 14, 145–151. [Google Scholar] [CrossRef] [PubMed]
- Abulhasan, J.F.; Snow, M.D.; Anley, C.M.; Bakhsh, M.; Grey, M.J. An extensive evaluation of different knee stability assessment measures, a systematic review. J. Funct. Morphol. Kinesiol. 2016, 1, 209–229. [Google Scholar] [CrossRef]
- Yusuf, E.; Kortekaas, M.C.; Watt, I.; Huizinga, T.W.; Kloppenburg, M. Do knee abnormalities visualised on MRI explain knee pain in knee osteoarthritis? A systematic review. Ann. Rheum. Dis. 2011, 70, 60–67. [Google Scholar] [CrossRef] [PubMed]
- Hochberg, M.C.; Altman, R.D.; April, K.T.; Benkhalti, M.; Guyatt, G.; McGowan, J.; Towheed, T.; Welch, V.; Wells, G.; Tugwell, P. American College of Rheumatology 2012 recommendations for the use of nonpharmacologic and pharmacologic therapies in osteoarthritis of the hand, hip, and knee. Arthritis Care Res. 2012, 64, 465–474. [Google Scholar] [CrossRef]
- Musumeci, G.; Loreto, C.; Imbesi, R.; Trovato, F.M.; di Giunta, A.; Lombardo, C.; Castorina, S.; Castrogiovanni, P. Advantages of exercise in rehabilitation, treatment and prevention of altered morphological features in knee osteoarthritis. A narrative review. Histol. Histopathol. 2014, 29, 707–719. [Google Scholar] [PubMed]
- Knoop, J.; Dekker, J.; van der Leeden, M.; van der Esch, M.; Thorstensson, C.A.; Gerritsen, M.; Voorneman, R.E.; Peter, W.F.; de Rooij, M.; Romviel, S.; et al. Knee joint stabilization therapy in patients with osteoarthritis of the knee, a randomized, controlled trial. Osteoarthr. Cartil. 2013, 21, 1025–1034. [Google Scholar] [CrossRef] [PubMed]
- Musumeci, G.; Castrogiovanni, P.; Trovato, F.M.; Imbesi, R.; Giunta, S.; Szychlinska, M.A.; Loreto, C.; Castorina, S.; Mobasheri, A. Moderate physical activity ameliorates cartilage degeneration in a rat model of aging, a study on lubricin expression. Scand. J. Med. Sci. Sports 2015, 25, e222–e230. [Google Scholar] [CrossRef] [PubMed]
- Richette, P.; Sautreuil, P.; Coudeyre, E.; Chevalier, X.; Revel, M.; Rannou, F. Usefulness of taping in lower limb osteoarthritis. French clinical practice guidelines. Jt. Bone Spine 2008, 75, 475–478. [Google Scholar] [CrossRef] [PubMed]
© 2016 by the authors; licensee MDPI, Basel, Switzerland. This article is an open access article distributed under the terms and conditions of the Creative Commons Attribution (CC-BY) license (http://creativecommons.org/licenses/by/4.0/).



