Lactococcus garvieae as a Novel Pathogen in Cultured Pufferfish (Takifugu obscurus) in China
Abstract
1. Introduction
2. Materials and Methods
2.1. Isolating Bacterium from Diseased T. obscurus
2.2. Histopathology Analysis
2.3. Morphology and Hemolytic Activity
2.4. Biochemical Characterizations
2.5. Molecular Identification
2.6. Molecular Serotype
2.7. Antibiotic Susceptibility Test
2.8. PCR Detection of Virulence Factors of Tol-1 Strain
2.9. Fish Challenge
3. Results
3.1. Clinical Symptoms in Naturally Infected T. obscurus
3.2. Histopathological Changes in Naturally Infected T. obscurus
3.3. Morphological and Hemolysis Activity of Tol-1 Isolate
3.4. Biochemical Characterization
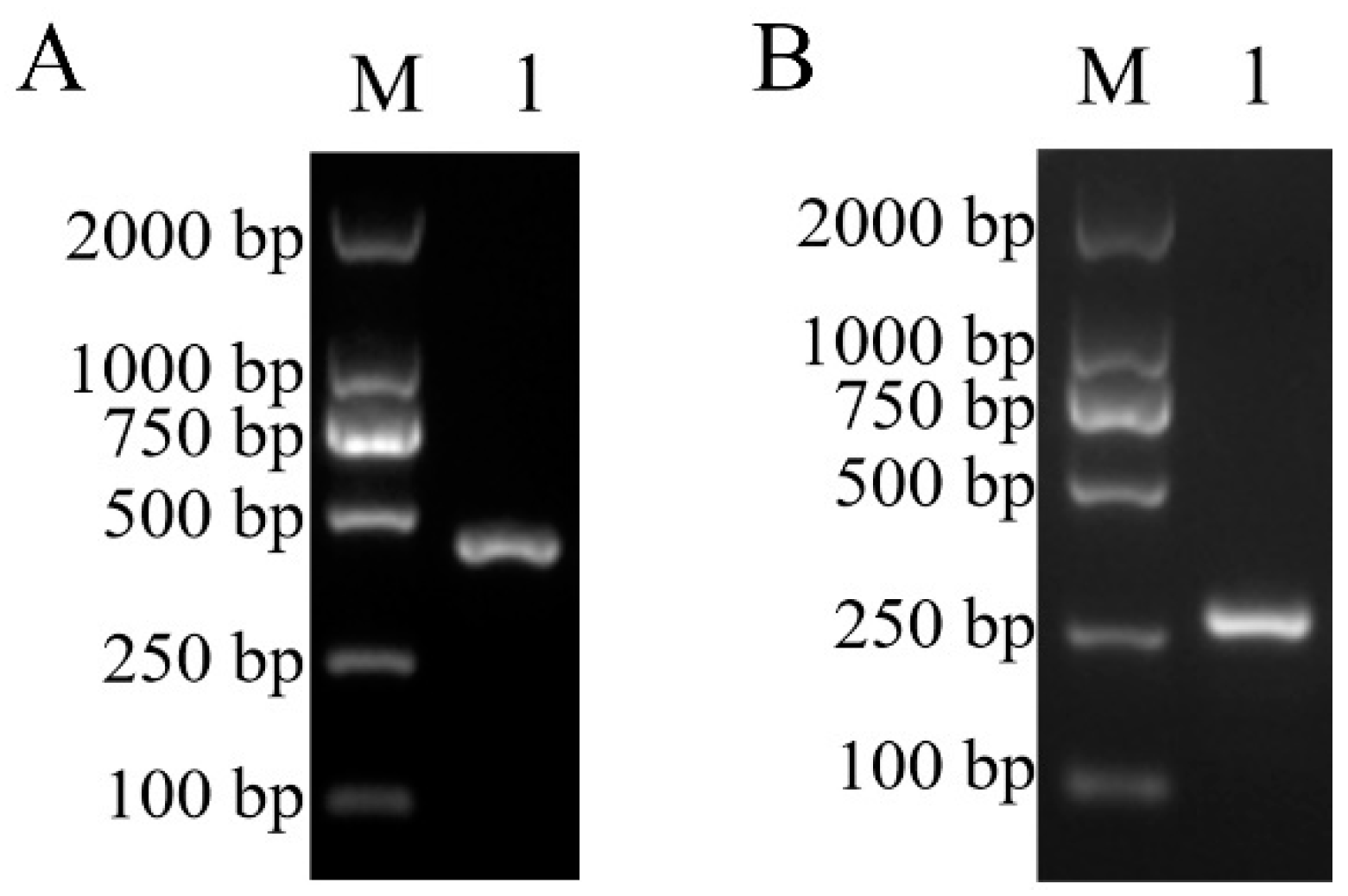
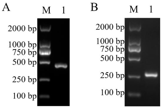
3.5. Molecular Identification
3.6. Molecular Serotype
3.7. Antimicrobial Sensitivity Test
3.8. PCR Detection of Virulence Factors of Tol-1 Strain
3.9. Clinical Signs of In Vivo Infection T. obscurus
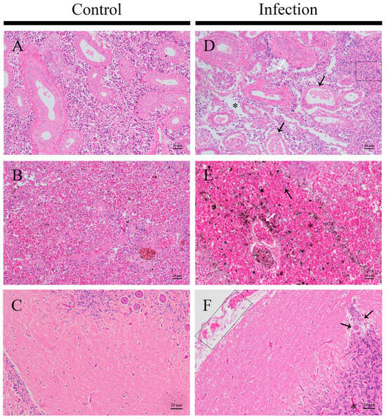
3.10. Histopathological Changes in of In Vivo Infection T. obscurus
3.11. Pathogenicity of L. garvieae to T. obscurus
4. Discussion
5. Conclusions
Author Contributions
Funding
Institutional Review Board Statement
Data Availability Statement
Acknowledgments
Conflicts of Interest
References
- Chen, K. The scientific names of Takifugu and Takifugu obscurus. J. Zool. 2005, 5, 124–126. [Google Scholar] [CrossRef]
- Yang, Z.; Chen, Y.F. Differences in reproductive strategies between obscure puffer Takifugu obscurus and ocellated puffer Takifugu ocellatus during their spawning migration. J. Appl. Ichthyol. 2008, 24, 569–573. [Google Scholar] [CrossRef]
- Zhike, D.; Qingli, G.; Jianzhou, C. Industry situation and development strategy of Pufferfish in China. Sci. Fish Farming 2006, 3, 3–4. [Google Scholar]
- Yang, Z.; Chen, W.F. Effect of temperature on incubation period and hatching success of obscure puffer Takifugu obscurus (Abe) eggs. Aquaculture 2005, 246, 173–179. [Google Scholar] [CrossRef]
- Yang, Z.; Chen, Y.F. Induced ovulation in obscure puffer Takifugu obscurus by injections of LHRH-a. Aquac. Int. 2004, 12, 215–223. [Google Scholar] [CrossRef]
- Sundberg, L.-R.; Ketola, T.; Laanto, E.; Kinnula, H.; Bamford, J.K.; Penttinen, R.; Mappes, J. Intensive aquaculture selects for increased virulence and interference competition in bacteria. Proc. R. Soc. B Biol. Sci. 2016, 283, 20153069. [Google Scholar] [CrossRef] [PubMed]
- Kennedy, D.A.; Kurath, G.; Brito, I.L.; Purcell, M.K.; Read, A.F.; Winton, J.R.; Wargo, A.R. Potential drivers of virulence evolution in aquaculture. Evol. Appl. 2016, 9, 344–354. [Google Scholar] [CrossRef]
- Byeong-Seong, L.I.M.; Dae-Hyun, K.I.M.; Woo, P.S. Vibrio harveyi Infection in River Puffer (Takifugu obscurus) Broodstock Cultured in Sea Water. J. Fish. Mar. Sci. Educ. 2021, 33, 643–654. [Google Scholar] [CrossRef]
- Woo, P.S. Cryptocaryon irritans infection in River puffer (Takifugu obscurus) cultured in sea water. J. Fish Pathol. 2004, 17, 99–103. [Google Scholar]
- Peng, K.; She, R.; Qi, K.; Zhu, G.; Bao, C. Adiposis Hepatica Complicating Nocardiosis in Obscure Puffer Fugu obscurus (Abe). Aquat. Sci. 2008, 27, 629–632. [Google Scholar] [CrossRef]
- Fang, P.; Cheng, H.; Huang, C. Sensitivity Tests of Pathogenic Bacteria Found in Obscure puffer Fugu obscurus to Several Drugs. Aquat. Sci. 2005, 24, 3. [Google Scholar] [CrossRef]
- Huang, Y.; Li, Y.F.; Wang, R.X.; Xie, M.F.; Shi, Y.; Zhao, Z. Calreticulin functions in antimicrobial immunity of obscure puffer Takifugu obscurus. Mol. Immunol. 2021, 140, 77–86. [Google Scholar] [CrossRef]
- Huang, Y.; Wang, R.X.; Jiang, F.H.; Xu, X.T.; Shi, Y.; Zhao, Z. A new calnexin modulates antibacterial immune response in obscure puffer Takifugu obscurus. Dev. Comp. Immunol. 2022, 127, 104288. [Google Scholar] [CrossRef]
- Jiang, F.H.; Huang, Y.; Yu, X.Y.; Cui, L.F.; Shi, Y.; Song, X.R.; Zhao, Z. length Identification and characterization of an L-type lectin from obscure puffer Takifugu obscurus in response to bacterial infection. Fish Shellfish Immunol. 2024, 144, 109283. [Google Scholar] [CrossRef] [PubMed]
- Kusuda, R.; Kawai, K.; Salati, F.; Banner, C.; Fryer, J. Enterococcus seriolicida sp. nov., a fish pathogen. Int. J. Syst. Evol. Microbiol. 1991, 41, 406–409. [Google Scholar] [CrossRef] [PubMed]
- Domenech, A.; Prieta, J.; Fernandez-Garayzabal, J.; Collins, M.D.; Jones, D.; Dominguez, L. Phenotypic and phylogenetic evidence for a close relationship between Lactococcus garviae and Enterococcus seriolicida. Microbiologia 1993, 9, 63. Available online: https://pubmed.ncbi.nlm.nih.gov/8397967/ (accessed on 12 January 2024).
- Cabrales, H.J.; García-Posada, M.J.; Porto-Valiente, J.M.; Espinosa, A.; Narváez, Y. Bacteriemia por Lactococcus garvieae: Primer caso en Colombia. Infectio 2020, 24, 193–195. [Google Scholar] [CrossRef]
- Hirakawa, T.F.; da Costa, F.A.A.; Vilela, M.C.; Rigon, M.; Abensur, H.; de Araújo, M.R.E. Lactococcus garvieae Endocarditis: First Case Report in Latin America. Arq. Bras. Cardiol. 2011, 97, E108–E110. [Google Scholar] [CrossRef] [PubMed][Green Version]
- Xie, X.M.; Pan, Z.H.; Yu, Y.; Yu, L.R.; Wu, F.; Dong, J.; Wang, T.C.; Li, L. Prevalence, Virulence, and Antibiotics Gene Profiles in Lactococcus garvieae Isolated from Cows with Clinical Mastitis in China. Microorganisms 2023, 11, 379. [Google Scholar] [CrossRef]
- Hoshino, T.; Sano, T.; Morimoto, Y. A Streptococcus pathogenic to fish. J. Tokyo Univ. Fish. 1958, 44, 57–68. [Google Scholar]
- Ture, M.; Altinok, I. Detection of putative virulence genes of Lactococcus garvieae. Dis. Aquat. Org. 2016, 119, 59–66. [Google Scholar] [CrossRef]
- Salogni, C.; Bertasio, C.; Accini, A.; Gibelli, L.R.; Pigoli, C.; Susini, F.; Podavini, E.; Scali, F.; Varisco, G.; Alborali, G.L. The Characterisation of Lactococcus garvieae Isolated in an Outbreak of Septicaemic Disease in Farmed Sea Bass (Dicentrarchus labrax, Linnaues 1758) in Italy. Pathogens 2024, 13, 49. [Google Scholar] [CrossRef] [PubMed]
- Evans, J.; Klesius, P.; Shoemaker, C. First isolation and characterization of Lactococcus garvieae from Brazilian Nile tilapia, Oreochromis niloticus (L.), and pintado, Pseudoplathystoma corruscans (Spix & Agassiz). J. Fish Dis. 2009, 32, 943–951. [Google Scholar] [CrossRef] [PubMed]
- Evans, J.J.; Pasnik, D.J.; Klesius, P.H.; Al-Ablani, S. First report of Streptococcus agalactiae and Lactococcus garvieae from a wild bottlenose dolphin (Tursiops truncatus). J. Wildl. Dis. 2006, 42, 561–569. [Google Scholar] [CrossRef] [PubMed]
- Chen, S.-C.; Lin, Y.-D.; Liaw, L.-L.; Wang, P.-C. Lactococcus garvieae infection in the giant freshwater prawn Macrobranchium rosenbergii confirmed by polymerase chain reaction and 16S rDNA sequencing. Dis. Aquat. Org. 2001, 45, 45–52. [Google Scholar] [CrossRef] [PubMed]
- Meyburgh, C.; Bragg, R.; Boucher, C. Lactococcus garvieae: An emerging bacterial pathogen of fish. Dis. Aquat. Org. 2017, 123, 67–79. [Google Scholar] [CrossRef]
- Yu, J.; Zhou, X.-F.; Yang, S.-J.; Liu, W.-H.; Hu, X.-F. Design and application of specific 16S rDNA-targeted primers for assessing endophytic diversity in Dendrobium officinale using nested PCR-DGGE. Appl. Microbiol. Biotechnol. 2013, 97, 9825–9836. [Google Scholar] [CrossRef]
- Rao, S.; Pham, T.H.; Poudyal, S.; Cheng, L.W.; Nazareth, S.C.; Wang, P.C.; Chen, S.C. First report on genetic characterization, cell-surface properties and pathogenicity of Lactococcus garvieae, emerging pathogen isolated from cage-cultured cobia (Rachycentron canadum). Transbound. Emerg. Dis. 2021, 69, 1197–1211. [Google Scholar] [CrossRef] [PubMed]
- Ohbayashi, K.; Oinaka, D.; Hoai, T.D.; Yoshida, T.; Nishiki, I. PCR-mediated Identification of the Newly Emerging Pathogen Lactococcus garvieae Serotype II from Seriola quinqueradiata and S. dumerili. Fish Pathol. 2017, 52, 46–49. [Google Scholar] [CrossRef][Green Version]
- Hirono, I. Identification of genes in a KG- phenotype of Lactococcus garvieae, a fish pathogenic bacterium, whose proteins react with anti KG- rabbit serum. Microb Pathog 1999, 27, 407–417. [Google Scholar] [CrossRef]
- Barnes, A.C.; Ellis, A.E. Role of capsule in serotypic differences and complement fixation by Lactococcus garvieae. Fish Shellfish Immunol. 2004, 16, 207–214. [Google Scholar] [CrossRef] [PubMed]
- Meyburgh, C.M.; Bragg, R.R.; Boucher, C.E. Detection of virulence factors of South African Lactococcus garvieae isolated from rainbow trout Oncorhynchus mykiss (Walbaum). Onderstepoort J. Vet. Res. 2018, 85, a1568. [Google Scholar] [CrossRef]
- Shahi, N.; Mallik, S.K.; Sahoo, M.; Chandra, S.; Singh, A.K. First report on characterization and pathogenicity study of emerging Lactococcus garvieae infection in farmed rainbow trout, Oncorhynchus mykiss (Walbaum), from India. Transbound. Emerg. Dis. 2018, 65, 1039–1048. [Google Scholar] [CrossRef]
- Neupane, S.; Rao, S.; Yan, W.X.; Wang, P.C.; Chen, S.C. First identification, molecular characterization, and pathogenicity assessment of Lactococcus garvieae isolated from cultured pompano in Taiwan. J. Fish Dis. 2023, 46, 1295–1309. [Google Scholar] [CrossRef]
- Egger, R.C.; Rosa, J.C.C.; Resende, L.F.L.; de Pádua, S.B.; de Oliveira Barbosa, F.; Zerbini, M.T.; Tavares, G.C.; Figueiredo, H.C.P. Emerging fish pathogens Lactococcus petauri and L. garvieae in Nile tilapia (Oreochromis niloticus) farmed in Brazil. Aquaculture 2023, 565, 739093. [Google Scholar] [CrossRef]
- Vendrell, D.; Balcázar, J.L.; Ruiz-Zarzuela, I.; De Blas, I.; Gironés, O.; Múzquiz, J.L. Lactococcus garvieae in fish: A review. Comp. Immunol. Microbiol. Infect. Dis. 2006, 29, 177–198. [Google Scholar] [CrossRef] [PubMed]
- Eldar, A.a.; Ghittino, C. Lactococcus garvieae and Streptococcus iniae infections in rainbow trout Oncorhynchus mykiss: Similar, but different diseases. Dis. Aquat. Org. 1999, 36, 227–231. [Google Scholar] [CrossRef]
- Le, T.H.; Truong, T.; Tran, L.T.; Nguyen, D.H.; Pham, T.P.T.; Ng, C. Antibiotic resistance in the aquatic environments: The need for an interdisciplinary approach. Int. J. Environ. Sci. Technol. 2023, 20, 3395–3408. [Google Scholar] [CrossRef]
- Shao, S.; Hu, Y.; Cheng, J.; Chen, Y. Research progress on distribution, migration, transformation of antibiotics and antibiotic resistance genes (ARGs) in aquatic environment. Crit. Rev. Biotechnol. 2018, 38, 1195–1208. [Google Scholar] [CrossRef]
- Fortina, M.; Ricci, G.; Foschino, R.; Picozzi, C.; Dolci, P.; Zeppa, G.; Cocolin, L.; Manachini, P. Phenotypic typing, technological properties and safety aspects of Lactococcus garvieae strains from dairy environments. J. Appl. Microbiol. 2007, 103, 445–453. [Google Scholar] [CrossRef]
- Gilmore, M.S.; Ferretti, J.J. Microbiology. The thin line between gut commensal and pathogen. Science 2003, 299, 1999–2002. [Google Scholar] [CrossRef] [PubMed]
- Miyauchi, E.; Toh, H.; Nakano, A.; Tanabe, S.; Morita, H. Comparative genomic analysis of Lactococcus garvieae strains isolated from different sources reveals candidate virulence genes. Int. J. Microbiol. 2012, 2012, 728276. [Google Scholar] [CrossRef] [PubMed]
- Coutte, L.; Alonso, S.; Reveneau, N.; Willery, E.; Quatannens, B.; Locht, C.; Jacob-Dubuisson, F. Role of adhesin release for mucosal colonization by a bacterial pathogen. J. Exp. Med. 2003, 197, 735–742. [Google Scholar] [CrossRef] [PubMed]
- Klemm, P.; Schembri, M.A. Bacterial adhesins: Function and structure. Int. J. Med. Microbiol. 2000, 290, 27–35. [Google Scholar] [CrossRef] [PubMed]
- Mariscotti, J.F.; Quereda, J.J.; Pucciarelli, M.G. Contribution of sortase A to the regulation of Listeria monocytogenes LPXTG surface proteins. Int. Microbiol 2012, 15, 43–51. [Google Scholar] [CrossRef]
- Seguí, J.; Gironella, M.; Sans, M.; Granell, S.; Gil, F.; Gimeno, M.; Coronel, P.; Pique, J.M.; Panes, J. Superoxide dismutase ameliorates TNBS-induced colitis by reducing oxidative stress, adhesion molecule expression, and leukocyte recruitment into the inflamed intestine. J. Leukoc. Biol. 2004, 76, 537–544. [Google Scholar] [CrossRef]
- Soltani, M.; Baldisserotto, B.; Shekarabi, S.H.; Shafiei, S.; Bashiri, M. Lactococcosis a Re-Emerging Disease in Aquaculture: Disease Significant and Phytotherapy. Vet. Sci. 2021, 8, 181. [Google Scholar] [CrossRef]
- Austin, B.; Austin, D.A. Characteristics of the diseases. In Bacterial Fish Pathogens; Springer: Berlin/Heidelberg, Germany, 2007; pp. 15–46. [Google Scholar] [CrossRef]
- Khalil, S.M.I.; Saccà, E.; Galeotti, M.; Sciuto, S.; Stoppani, N.; Acutis, P.L.; Öztnrk, R.C.; Bitchava, K.; Blanco, M.D.; Fariano, L.; et al. In field study on immune-genes expression during a lactococcosis outbreak in rainbow trout (Oncorhynchus mykiss). Aquaculture 2023, 574, 731–741. [Google Scholar] [CrossRef]
- Ballantyne, R.; Lee, J.W.; Liu, C.H. First identification and histopathological analysis of Lactococcus garvieae infection in whiteleg shrimp, Penaeus vannamei cultured in low salinity water. J. Fish Dis. 2023, 46, 929–942. [Google Scholar] [CrossRef]
- Lv, J.; Yang, L.D.; Li, Y.P.; Yang, S.P.; Cai, S.H.; Jian, J.C.; Huang, Y.C. Efficacy of a formalin-inactivated vaccine against Lactococcus garvieae infection in golden pompano Trachinotus ovatus. Isr. J. Aquac.-Bamidgeh 2023, 75, 2. [Google Scholar] [CrossRef]
- Khalil, S.M.I.; Bulfon, C.; Galeotti, M.; Acutis, P.L.; Altinok, I.; Kotzamanidis, C.; Vela, A.I.; Fariano, L.; Prearo, M.; Colussi, S.; et al. Immune profiling of rainbow trout (Oncorhynchus mykiss) exposed to Lactococcus garvieae: Evidence in asymptomatic versus symptomatic or vaccinated fish. J. Fish Dis. 2023, 46, 731–741. [Google Scholar] [CrossRef] [PubMed]
- Sciuto, S.; Volpatti, D.; Esposito, G.; Pastorino, P.; Khalil, S.M.I.; Stoppani, N.; Esposito, G.; Prearo, M.; Gabetti, A.; Maganza, A.; et al. Near infrared spectroscopy as a novel non-invasive tool for the detection of lactococcosis in rainbow trout. Aquac. Rep. 2023, 33, 101862. [Google Scholar] [CrossRef]
- Shahin, K.; Mukkatira, K.; Yazdi, Z.; Richey, C.; Kwak, K.; Heckman, T.; Mohammed, H.H.; Ortega, C.; Avendaño-Herrera, R.; Keleher, B.; et al. Development of a quantitative polymerase chain reaction assay for detection of the aetiological agents of piscine lactococcosis. J. Fish Dis. 2022, 45, 847–859. [Google Scholar] [CrossRef] [PubMed]
- Köse, O.; Karabulut, H.A.; Er, A. Dandelion root extract in trout feed and its effects on the physiological performance of Oncorhynchus mykiss and resistance to Lactococcus garvieae infection. Ann. Anim. Sci. 2024, 24, 161–177. [Google Scholar] [CrossRef]
- Kabakci, D.; Ürkü, Ç.; Önalan, S. Determination of the antibacterial effect of bee venom against rainbow trout pathogens and antibiotic resistance gene expression. Acta Vet.-Beogr. 2023, 73, 374–388. [Google Scholar] [CrossRef]
- Kuo, H.W.; Li, C.Y.; Chieng, Z.X.; Cheng, W.T. Dietary administration of mangosteen, Garcinia mangostana, peel extract enhances the growth, and physiological and immunoendocrinological regulation of prawn, Macrobrachium rosenbergii. Fish Shellfish Immunol. 2023, 140, 108982. [Google Scholar] [CrossRef]
- Tekebayeva, Z.; Zakarya, K.; Abzhalelov, A.B.; Beisenova, R.R.; Tazitdinova, R.M. Efficiency of a probiotic in carp lactococcosis in an in vitro experiment. Microb. Pathog. 2021, 161, 105289. [Google Scholar] [CrossRef]









| Target Gene | Primer Name | Sequences (5′ to 3′) | Product Size (bp) | PCR Condition | Reference |
|---|---|---|---|---|---|
| 16S rDNA | 27F | AGAGTTTGATCCTGGCTCAG | 1500 | (i) 95 °C 3 min; (ii) 95 °C 30 s, 56 °C 30 s, 72 °C 1 min, 35 cycles (iii) 72 °C 5 min | [27] |
| 1492R | TACGGCTACCTTGTTACGACTT | ||||
| 16S-23S rRNA | G1 | GAAGTCGTAACAAGG | 430 (L. garvieae) 380 (L. lactis) | (i) 95 °C 5 min; (ii) 95 °C 1 min, 55 °C 1 min, 72 °C 1 min, 35 cycles (iii) 72 °C 5 min | [28] |
| L1 | CAAGGCATCCACCGT |
| Category | Target Gene | Primer Name | Sequence (5′ to 3′) | Product Size (bp) | Annealing Temp (°C) | Reference |
|---|---|---|---|---|---|---|
| Virulence factor | Hemolysin 1 | H1-F | CCTCCTCCGACTAGGAACCA | 521 | 54 | [21] |
| H1-R | GAAAAGCCAGCTTCTCGTGC | |||||
| Hemolysin 2 | H2-F | TCTCGTGCACACCGATGAAA | 492 | 53 | ||
| H2-R | TGAACTTCGGCTTCTGCGAT | |||||
| Hemolysin 3 | H3-F | AACGCGAGAACAGGCAAAAC | 291 | 56 | ||
| H3-R | CCCACGTCGAGAGCATAGAC | |||||
| NADH oxidase | NADHO-F | TGCGATGGGTTCAAGACCAA | 331 | 53 | ||
| NADHO-R | GCCTTTAAAAGCCTCGGCAG | |||||
| Superoxide dismutase | SOD-F | GCAGCGATTGAAAAACACCCA | 80 | 54 | ||
| SOD-R | TCTTCTGGCAAACGGTCCAA | |||||
| Phosphog- lucomutase | PG-F | AAGTTTACGGCGAAGACGGT | 997 | 53 | ||
| PG-R | TTTTCTGGTGCATTGGCACG | |||||
| Adhesin Pav | AP-F | CCTGTCGGGCGCTTTTATTG | 232 | 56 | ||
| AP-R | TCCCGGAAGAAGAGTACGGT | |||||
| Adhesin PsaA | APSA-F | GTTGCAACAGCTGGACACAG | 180 | 54 | ||
| APSA-R | ATACGGTTGAGTTGGGCTGG | |||||
| Enolase | E-F | CAAGAGCGATCATTGCACGG | 201 | 54 | ||
| E-R | CATTCGGACGCGGTATGGTA | |||||
| LPxTG-1 | LP1-F | GTGAACGTGGAGCTTCCAGA | 878 | 54 | ||
| LP1-R | CCACTCACATGGGGGAGTTC | |||||
| LPxTG-2 | LP2-F | GCCAGTGAGAGAACCGTTGA | 767 | 54 | ||
| LP2-R | CAGGTTCAAGTGCAACTGCC | |||||
| LPxTG-3 | LP3-F | TTAAGCACAACGGCAACAGC | 231 | 54 | ||
| LP3-R | CACGCGAAATGATGGTGCAT | |||||
| LPxTG-4 | LP4-F | GGGAGCACCGGATTCACTTT | 928 | 52 | ||
| LP4-R | ACAAAGCCGCAGACCTTACA | |||||
| Adhesin cluster 1 | AC1-F | TTGGGCACATCAGACTGGAC | 264 | 54 | ||
| AC1-R | AGCATCATCAGCTGCCAAGT | |||||
| Adhesin cluster 2 | AC2-F | CTGCGAGTGGCATCTCCATT | 160 | 52 | ||
| AC2-R | TCAACACTGCGACCTTCTGT | |||||
| Adhesin | AF-F | CAGCCAGCACCAGGTTATGA | 358 | 54 | ||
| AF-R | CTCCTGCGTTGACATGGACT | |||||
| Serotype | glxR-argS | LGD-F | GGATTGAACTTCCTGCCACA | 285 (Serotype-I) | 55 | [29] |
| LGD-R | ATCCTTGAGGACAACGAAGG | 1285 (Serotype –II) |
| Reagent | Determine |
|---|---|
| PYP | + |
| V-P | + |
| Arginine | + |
| DPP | − |
| PMG | − |
| Esculin | + |
| MAG | − |
| TMZ | + |
| Sucrose | + |
| Sorbitol | + |
| Hemolysis | + |
| Antibiotics | Content (μg/Tablet) | Diameters (mm) | Sensitivity |
|---|---|---|---|
| Erythromycin | 15 | 20 | I |
| Chloramphenicol | 30 | 24 | S |
| Kanamycin | 30 | 10 | R |
| Vancomycin | 30 | 16 | I |
| Ampicillin | 10 | 26 | S |
| Gentamicin | 120 | 10 | R |
| Florfenicol | 30 | 20 | I |
| Cephalexin | 30 | 18 | S |
| Doxycycline | 30 | 22 | S |
| Ciprofloxacin | 5 | 12 | R |
Disclaimer/Publisher’s Note: The statements, opinions and data contained in all publications are solely those of the individual author(s) and contributor(s) and not of MDPI and/or the editor(s). MDPI and/or the editor(s) disclaim responsibility for any injury to people or property resulting from any ideas, methods, instructions or products referred to in the content. |
© 2024 by the authors. Licensee MDPI, Basel, Switzerland. This article is an open access article distributed under the terms and conditions of the Creative Commons Attribution (CC BY) license (https://creativecommons.org/licenses/by/4.0/).
Share and Cite
Xu, R.; He, Z.; Deng, Y.; Cen, Y.; Mo, Z.; Dan, X.; Li, Y. Lactococcus garvieae as a Novel Pathogen in Cultured Pufferfish (Takifugu obscurus) in China. Fishes 2024, 9, 406. https://doi.org/10.3390/fishes9100406
Xu R, He Z, Deng Y, Cen Y, Mo Z, Dan X, Li Y. Lactococcus garvieae as a Novel Pathogen in Cultured Pufferfish (Takifugu obscurus) in China. Fishes. 2024; 9(10):406. https://doi.org/10.3390/fishes9100406
Chicago/Turabian StyleXu, Ruilong, Zhongning He, Yiyang Deng, Yihao Cen, Zequan Mo, Xueming Dan, and Yanwei Li. 2024. "Lactococcus garvieae as a Novel Pathogen in Cultured Pufferfish (Takifugu obscurus) in China" Fishes 9, no. 10: 406. https://doi.org/10.3390/fishes9100406
APA StyleXu, R., He, Z., Deng, Y., Cen, Y., Mo, Z., Dan, X., & Li, Y. (2024). Lactococcus garvieae as a Novel Pathogen in Cultured Pufferfish (Takifugu obscurus) in China. Fishes, 9(10), 406. https://doi.org/10.3390/fishes9100406
