Constant High Temperature Promotes Early Changes in Testis Development Associated with Sexual Maturation in Male Atlantic Salmon (Salmo salar L.) Post-Smolts
Abstract
1. Introduction
2. Materials and Methods
2.1. Experimental Setup
2.2. Samplings
2.3. Lab Analyses
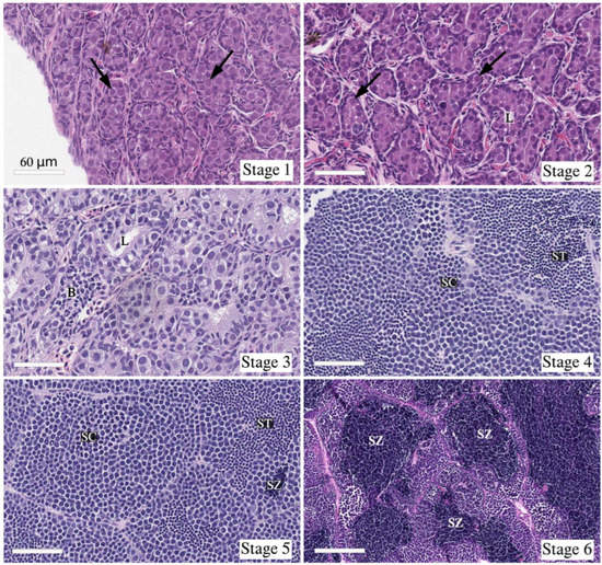
2.3.1. Testis Histology
2.3.2. Gene Transcription Analyses in Testis
2.4. Statistical Analyses
3. Results
3.1. Testis Histology and Developmental Stage
3.2. Gene Transcription of fshr and lhr
3.3. Gene Transcription of gdsf1 and gsdf2
3.4. Gene Transcription of amh and igf3
4. Discussion
4.1. High Temperature Stimulated the Early Presence of Type B Spermatogonia
4.2. Temperature-Dependent Regulation of Testis Development before and during Maturation
4.3. Possible Roles of gsdf1 and gsdf2
4.4. Feed Ration Had a Minor Effect on the Regulation of Spermatogenesis
5. Conclusions
Author Contributions
Funding
Institutional Review Board Statement
Informed Consent Statement
Data Availability Statement
Acknowledgments
Conflicts of Interest
References
- Fraser, T.W.; Fjelldal, P.G.; Schulz, R.W.; Norberg, B.; Hansen, T.J. Termination of puberty in out-of-season male Atlantic salmon smolts. Comp. Biochem. Physiol. Part A Mol. Integr. Physiol. 2019, 232, 60–66. [Google Scholar] [CrossRef] [PubMed]
- Fjelldal, P.G.; Hansen, T.J.; Wargelius, A.; Ayllon, F.; Glover, K.A.; Schulz, R.W.; Fraser, T.W.K. Development of supermale and all-male Atlantic salmon to research the vgll3 allele—Puberty link. BMC Genet. 2020, 21, 1–13. [Google Scholar] [CrossRef] [PubMed]
- Good, C.; Davidson, J. A Review of Factors Influencing Maturation of Atlantic Salmon, Salmo salar, with Focus on Water Recirculation Aquaculture System Environments. J. World Aquac. Soc. 2016, 47, 605–632. [Google Scholar] [CrossRef]
- Berrill, I.; Porter, M.; Smart, A.; Mitchell, D.; Bromage, N. Photoperiodic effects on precocious maturation, growth and smoltification in Atlantic salmon, Salmo salar. Aquaculture 2003, 222, 239–252. [Google Scholar] [CrossRef]
- Skilbrei, O.T.; Heino, M. Reduced daylength stimulates size-dependent precocious maturity in 0+ male Atlantic salmon parr. Aquaculture 2011, 311, 168–174. [Google Scholar] [CrossRef]
- Rowe, D.K.; Thorpe, J.E.; Shanks, A.M. Role of Fat Stores in the Maturation of Male Atlantic Salmon (Salmo salar) Parr. Can. J. Fish. Aquat. Sci. 1991, 48, 405–413. [Google Scholar] [CrossRef]
- McClure, C.A.; Hammell, K.L.; Moore, M.; Dohoo, I.R.; Burnley, H. Risk factors for early sexual maturation in Atlantic salmon in seawater farms in New Brunswick and Nova Scotia, Canada. Aquaculture 2007, 272, 370–379. [Google Scholar] [CrossRef]
- Fjelldal, P.G.; Schulz, R.; Nilsen, T.O.; Andersson, E.; Norberg, B.; Hansen, T.J. Sexual maturation and smoltification in domesticated Atlantic salmon (Salmo salar L.)—Is there a developmental conflict? Physiol. Rep. 2018, 6, 1–18. [Google Scholar] [CrossRef]
- Fjelldal, P.G.; Hansen, T.; Huang, T.-S. Continuous light and elevated temperature can trigger maturation both during and immediately after smoltification in male Atlantic salmon (Salmo salar). Aquaculture 2011, 321, 93–100. [Google Scholar] [CrossRef]
- Imsland, A.K.; Handeland, S.O.; Stefansson, S.O. Photoperiod and temperature effects on growth and maturation of pre- and post-smolt Atlantic salmon. Aquac. Int. 2014, 22, 1331–1345. [Google Scholar] [CrossRef]
- Pino Martinez, E.; Balseiro, P.; Stefansson, S.O.; Kaneko, N.; Norberg, B.; Fleming, M.S.; Imsland, A.K.; Handeland, S.O. Interaction of temperature and feed ration on male postsmolt maturation of Atlantic salmon (Salmo salar L.). Aquaculture 2023, 562, 738877. [Google Scholar] [CrossRef]
- Thorpe, J. Maturation responses of salmonids to changing developmental opportunities. Mar. Ecol. Prog. Ser. 2007, 335, 285–288. [Google Scholar] [CrossRef]
- Taranger, G.L.; Carrillo, M.; Schulz, R.W.; Fontaine, P.; Zanuy, S.; Felip, A.; Weltzien, F.-A.; Dufour, S.; Karlsen, Ø.; Norberg, B.; et al. Control of puberty in farmed fish. Gen. Comp. Endocrinol. 2010, 165, 483–515. [Google Scholar] [CrossRef]
- Hou, Y.; Suzuki, Y.; Aida, K. Changes in Immunoglobulin Producing Cells in Response to Gonadal Maturation in Rainbow Trout. Fish. Sci. 1999, 65, 844–849. [Google Scholar] [CrossRef]
- Harris, J.; Bird, D.J. Modulation of the fish immune system by hormones. Veter Immunol. Immunopathol. 2000, 77, 163–176. [Google Scholar] [CrossRef]
- Lundqvist, H.; Borg, B.; Berglund, I. Androgens impair seawater adaptability in smolting Baltic salmon (Salmo salar). Can. J. Zool. 1989, 67, 1733–1736. [Google Scholar] [CrossRef]
- McCormick, S.D.; O’Dea, M.F.; Moeckel, A.M.; Lerner, D.T.; Björnsson, B.T. Endocrine disruption of parr-smolt transformation and seawater tolerance of Atlantic salmon by 4-nonylphenol and 17β-estradiol. Gen. Comp. Endocrinol. 2005, 142, 280–288. [Google Scholar] [CrossRef]
- Schulz, R.W.; Andersson, E.; Taranger, G.L. Photoperiod manipulation can stimulate or inhibit pubertal testis maturation in Atlantic salmon (Salmo salar). Anim. Reprod. 2006, 31, 121–126. [Google Scholar]
- Shrimpton, J.M. Seawater to Freshwater Transitions in Diadromous Fishes. In Fish Physiology; Elsevier: Amsterdam, The Netherlands, 2013; pp. 327–393. [Google Scholar] [CrossRef]
- Good, C. The Impact of Water Exchange Rate and Treatment Processes on Water-Borne Hormones in Recirculation Aquaculture Systems Containing Sexually Maturing Atlantic Salmon Salmo salar. J. Aquac. Res. Dev. 2014, 05, 260. [Google Scholar] [CrossRef]
- Bromage, N.; Porter, M.; Randall, C. The environmental regulation of maturation in farmed finfish with special reference to the role of photoperiod and melatonin. Aquaculture 2001, 197, 63–98. [Google Scholar] [CrossRef]
- Pankhurst, N.W.; King, H.R. Temperature and salmonid reproduction: Implications for aquaculture. J. Fish Biol. 2010, 76, 69–85. [Google Scholar] [CrossRef] [PubMed]
- Handeland, S.O.; Imsland, A.K.; Stefansson, S.O. The effect of temperature and fish size on growth, feed intake, food conversion efficiency and stomach evacuation rate of Atlantic salmon post-smolts. Aquaculture 2008, 283, 36–42. [Google Scholar] [CrossRef]
- Jonsson, B.; Jonsson, N.; Finstad, A.G. Effects of temperature and food quality on age and size at maturity in ectotherms: An experimental test with Atlantic salmon. J. Anim. Ecol. 2012, 82, 201–210. [Google Scholar] [CrossRef]
- Adams, C.E.; Thorpe, J.E. Photoperiod and temperature effects on early development and reproductive investment in Atlantic salmon (Salmo salar L.). Aquaculture 1989, 79, 403–409. [Google Scholar] [CrossRef]
- Melo, M.C.; Andersson, E.; Fjelldal, P.G.; Bogerd, J.; França, L.R.; Taranger, G.L.; Schulz, R. Salinity and photoperiod modulate pubertal development in Atlantic salmon (Salmo salar). J. Endocrinol. 2013, 220, 319–332. [Google Scholar] [CrossRef]
- Fraser, T.W.; Hansen, T.J.; Norberg, B.; Nilsen, T.O.; Schulz, R.W.; Fjelldal, P.G. Atlantic salmon male post-smolt maturation can be reduced by using a 3-hour scotophase to induce smoltification. Aquaculture 2022, 562, 738772. [Google Scholar] [CrossRef]
- Thorpe, J.E. Reproductive strategies in Atlantic salmon, Salmo salar L. Aquac. Res. 1994, 25, 77–87. [Google Scholar] [CrossRef]
- McCormick, S.D. Smolt Physiology and Endocrinology, Fish Physiology; Elsevier: Amsterdam, The Netherlands, 2012; pp. 199–251. [Google Scholar] [CrossRef]
- McCormick, S.D.; Sheridan, M.; Eilerlson, C.; Carey, J.B.; O’Dea, M. Increased daylength stimulates plasma growth hormone and gill Na+, K+-ATPase in Atlantic salmon (Salmo salar). J. Comp. Physiol. B 1995, 165, 245–254. [Google Scholar] [CrossRef]
- Stefansson, S.O.; Björnsson, B.T.; Ebbesson, L.O.; McCormick, S.D. Smoltification. In Fish Larval Physiology; Finn, R.N., Kapoor, B.G., Eds.; Science Publishers: Enfield, NH, USA, 2008; pp. 639–681. [Google Scholar] [CrossRef]
- Zydlewski, J.; Wilkie, M.P. Freshwater to Seawater Transitions in Migratory Fishes, Fish Physiology; Elsevier: Amsterdam, The Netherlands, 2013. [Google Scholar] [CrossRef]
- Yaron, Z.; Levavi-Sivan, B.; Yaron, Z.; Levavi-Sivan, B. Hormonal control of reproduction and growth | Endocrine Regulation of Fish Reproduction, Encyclopedia of Fish Physiology; Elsevier: Amsterdam, The Netherlands, 2011. [Google Scholar] [CrossRef]
- Zohar, Y.; Muñoz-Cueto, J.A.; Elizur, A.; Kah, O. Neuroendocrinology of reproduction in teleost fish. Gen. Comp. Endocrinol. 2010, 165, 438–455. [Google Scholar] [CrossRef]
- Maugars, G.; Schmitz, M. Expression of gonadotropin and gonadotropin receptor genes during early sexual maturation in male Atlantic salmon parr. Mol. Reprod. Dev. 2008, 75, 403–413. [Google Scholar] [CrossRef]
- Schulz, R.W.; Taranger, G.L.; Bogerd, J.; Nijenhuis, W.; Norberg, B.; Male, R.; Andersson, E. Entry into puberty is reflected in changes in hormone production but not in testicular receptor expression in Atlantic salmon (Salmo salar). Reprod. Biol. Endocrinol. 2019, 17, 1–16. [Google Scholar] [CrossRef]
- Schulz, R.W.; de França, L.R.; Lareyre, J.J.; LeGac, F.; Chiarini-Garcia, H.; Nobrega, R.H.; Miura, T. Spermatogenesis in fish. Gen. Comp. Endocrinol. 2010, 165, 390–411. [Google Scholar] [CrossRef] [PubMed]
- Schulz, R.W.; Menting, S.; Bogerd, J.; França, L.R.; Vilela, D.A.; Godinho, H.P.; Schulz, R. Sertoli Cell Proliferation in the Adult Testis—Evidence from Two Fish Species Belonging to Different Orders1. Biol. Reprod. 2005, 73, 891–898. [Google Scholar] [CrossRef] [PubMed]
- Crespo, D.; Bogerd, J.; Sambroni, E.; LeGac, F.; Andersson, E.; Edvardsen, R.B.; Bergman, E.J.; Björnsson, B.T.; Taranger, G.L.; Schulz, R.W. The initiation of puberty in Atlantic salmon brings about large changes in testicular gene expression that are modulated by the energy status. BMC Genom. 2019, 20, 475. [Google Scholar] [CrossRef]
- Nóbrega, R.H.; Morais, R.D.V.D.S.; Crespo, D.; de Waal, P.P.; de França, L.R.; Schulz, R.W.; Bogerd, J. Fsh Stimulates Spermatogonial Proliferation and Differentiation in Zebrafish via Igf3. Endocrinology 2015, 156, 3804–3817. [Google Scholar] [CrossRef]
- Schulz, R.W.; Nobrega, R.H. Anatomy and Histology of Fish Testis. In Encyclopedia of Fish Physiology: From Genome to Environment; Elsevier: Amsterdam, The Netherlands, 2011. [Google Scholar] [CrossRef]
- Sambroni, E.; Rolland, A.D.; Lareyre, J.-J.; Le Gac, F. Fsh and Lh have common and distinct effects on gene expression in rainbow trout testis. J. Mol. Endocrinol. 2013, 50, 1–18. [Google Scholar] [CrossRef]
- Zheng, S.; Long, J.; Liu, Z.; Tao, W.; Wang, D. Identification and Evolution of TGF-β Signaling Pathway Members in Twenty-Four Animal Species and Expression in Tilapia. Int. J. Mol. Sci. 2018, 19, 1154. [Google Scholar] [CrossRef]
- Miura, T.; Miura, C.; Konda, Y.; Yamauchi, K. Spermatogenesis-preventing substance in Japanese eel. Development 2002, 129, 2689–2697. [Google Scholar] [CrossRef]
- Crespo, D.; Assis, L.H.; Furmanek, T.; Bogerd, J.; Schulz, R.W. Expression profiling identifies Sertoli and Leydig cell genes as Fsh targets in adult zebrafish testis. Mol. Cell. Endocrinol. 2016, 437, 237–251. [Google Scholar] [CrossRef]
- Pfennig, F.; Standke, A.; Gutzeit, H.O. The role of Amh signaling in teleost fish—Multiple functions not restricted to the gonads. Gen. Comp. Endocrinol. 2015, 223, 87–107. [Google Scholar] [CrossRef]
- Skaar, K.S.; Nóbrega, R.H.; Magaraki, A.; Olsen, L.C.; Schulz, R.W.; Male, R. Proteolytically Activated, Recombinant Anti-Müllerian Hormone Inhibits Androgen Secretion, Proliferation, and Differentiation of Spermatogonia in Adult Zebrafish Testis Organ Cultures. Endocrinology 2011, 152, 3527–3540. [Google Scholar] [CrossRef] [PubMed]
- Crespo, B.; Gómez, A.; Mazón, M.J.; Carrillo, M.; Zanuy, S. Isolation and characterization of Ff1 and Gsdf family genes in European sea bass and identification of early gonadal markers of precocious puberty in males. Gen. Comp. Endocrinol. 2013, 191, 155–167. [Google Scholar] [CrossRef]
- Kleppe, L.; Edvardsen, R.B.; Furmanek, T.; Andersson, E.; Skaftnesmo, K.O.; Segafredo, F.T.; Wargelius, A. Transcriptomic analysis of dead end knockout testis reveals germ cell and gonadal somatic factors in Atlantic salmon. BMC Genom. 2020, 21, 99. [Google Scholar] [CrossRef] [PubMed]
- Sawatari, E.; Shikina, S.; Takeuchi, T.; Yoshizaki, G. A novel transforming growth factor-β superfamily member expressed in gonadal somatic cells enhances primordial germ cell and spermatogonial proliferation in rainbow trout (Oncorhynchus mykiss). Dev. Biol. 2007, 301, 266–275. [Google Scholar] [CrossRef] [PubMed]
- Sambroni, E.; Lareyre, J.-J.; Le Gac, F. Fsh Controls Gene Expression in Fish both Independently of and through Steroid Mediation. PLoS ONE 2013, 8, e76684. [Google Scholar] [CrossRef]
- Wang, D.-S.; Jiao, B.; Hu, C.; Huang, X.; Liu, Z.; Cheng, C.H. Discovery of a gonad-specific IGF subtype in teleost. Biochem. Biophys. Res. Commun. 2008, 367, 336–341. [Google Scholar] [CrossRef]
- Nóbrega, R.H.; Batlouni, S.R.; França, L.R. An overview of functional and stereological evaluation of spermatogenesis and germ cell transplantation in fish. Fish Physiol. Biochem. 2009, 35, 197–206. [Google Scholar] [CrossRef]
- Vilela, D.A.R.; Silva, S.G.B.; Peixoto, M.T.D.; Godinho, H.P.; França, L.R. Spermatogenesis in teleost: Insights from the Nile tilapia (Oreochromis niloticus) model. Fish Physiol. Biochem. 2003, 28, 187–190. [Google Scholar] [CrossRef]
- Postingel Quirino, P.; Rodrigues, M.D.S.; Cabral, E.M.D.S.; de Siqueira-Silva, D.H.; Mori, R.H.; Butzge, A.J.; Nóbrega, R.H.; Ninhaus-Silveira, A.; Veríssimo-Silveira, R. The influence of increased water temperature on the duration of spermatogenesis in a neotropical fish, Astyanax altiparanae (Characiformes, Characidae). Fish Physiol. Biochem. 2020, 47, 747–755. [Google Scholar] [CrossRef]
- Trombley, S.; Mustafa, A.; Schmitz, M. Regulation of the seasonal leptin and leptin receptor expression profile during early sexual maturation and feed restriction in male Atlantic salmon, Salmo salar L., parr. Gen. Comp. Endocrinol. 2014, 204, 60–70. [Google Scholar] [CrossRef]
- Chomczynski, P. A reagent for the single-step simultaneous isolation of RNA, DNA and proteins from cell and tissue samples. Biotechniques 1993, 15, 532–534, 536–537. [Google Scholar]
- Pfaffl, M. Development and Validation of an Externally Standardised Quantitative Insulin-like Growth Factor-1 RT-PCR Using LightCycler SYBR Green I Technology. In Rapid Cycle Real-Time PCR; Springer: Berlin/Heidelberg, Germany, 2001; pp. 281–291. [Google Scholar] [CrossRef]
- Middleton, M.A.; Larsen, D.A.; Dickey, J.T.; Swanson, P. Evaluation of endocrine and transcriptomic markers of male maturation in winter-run steelhead trout (Oncorhynchus mykiss). Gen. Comp. Endocrinol. 2019, 281, 30–40. [Google Scholar] [CrossRef] [PubMed]
- Olsvik, P.A.; Lie, K.K.; Jordal, A.E.O.; Nilsen, T.O.; Hordvik, I. Evaluation of potential reference genes in real-time RT-PCR studies of Atlantic salmon. BMC Mol. Biol. 2005, 6, 1–9. [Google Scholar] [CrossRef]
- Tamura, K.; Peterson, D.; Peterson, N.; Stecher, G.; Nei, M.; Kumar, S. MEGA5: Molecular Evolutionary Genetics Analysis Using Maximum Likelihood, Evolutionary Distance, and Maximum Parsimony Methods. Mol. Biol. Evol. 2011, 28, 2731–2739. [Google Scholar] [CrossRef] [PubMed]
- Fox, J.; Weisberg, S. An R Companion to Applied Regression, 3rd ed.; Sage Publications: Thousand Oaks, CA, USA, 2019. [Google Scholar]
- Wickham, H. ggplot2: Elegant Graphics for Data Analysis; Springer: Berlin/Heidelberg, Germany, 2016. [Google Scholar]
- Kassambara, A. ggpubr: “ggplot2” based publication ready plots. In R Package Version 0.2; CRAN, 2017. [Google Scholar]
- Hope, R.M. Rmisc: Ryan miscellaneous. In R Package version 1.5; CRAN, 2013. [Google Scholar]
- Lenth, R.; Singmann, H.; Love, J. Emmeans: Estimated marginal means, aka least-squares means. R Packag. Version 2018, 1, 3. [Google Scholar]
- Pinheiro, J.; Bates, D.; DebRoy, S.; Sarkar, D.; Heisterkamp, S.; Van Willigen, B.; Maintainer, R. Package ‘nlme.’ Linear nonlinear Mix. Eff. Model, Version 3. 2017.
- Christensen, R.H.B. “ordinal”—Regression Models for Ordinal Data. R Package Version. Comput. Softw. 2019, 10–12. [Google Scholar]
- Ciani, E.; von Krogh, K.; Nourizadeh-Lillabadi, R.; Mayer, I.; Fontaine, R.; Weltzien, F.-A. Sexual maturation in Atlantic salmon male parr may be triggered both in late summer and early spring under standard farming conditions. Aquaculture 2021, 544, 737086. [Google Scholar] [CrossRef]
- Gautier, A.; Le Gac, F.; Lareyre, J.-J. The gsdf gene locus harbors evolutionary conserved and clustered genes preferentially expressed in fish previtellogenic oocytes. Gene 2011, 472, 7–17. [Google Scholar] [CrossRef]
- Hsu, C.-W.; Chung, B.-C. Evolution, Expression, and Function of Gonadal Somatic Cell-Derived Factor. Front. Cell Dev. Biol. 2021, 9, 1–10. [Google Scholar] [CrossRef]
- Lareyre, J.J.; Ricordel, M.J.; Mahé, S.; Goupil, A.S.; Vizziano, D.; Bobe, J.; Guiguen, Y.; Le Gac, F. Two new TGF beta members are restricted to the gonad and differentially expressed during sex differentiation and gametogenesis in trout. Cybium 2008, 32, 202. [Google Scholar]
- Graziano, M.; Benito, R.; Planas, J.V.; Palstra, A.P. Swimming exercise to control precocious maturation in male seabass (Dicentrarchus labrax). BMC Dev. Biol. 2018, 18, 10. [Google Scholar] [CrossRef] [PubMed]
- Li, M.; Wu, F.; Gu, Y.; Wang, T.; Wang, H.; Yang, S.; Sun, Y.; Zhou, L.; Huang, X.; Jiao, B.; et al. Insulin-Like Growth Factor 3 Regulates Expression of Genes Encoding Steroidogenic Enzymes and Key Transcription Factors in the Nile Tilapia Gonad1. Biol. Reprod. 2012, 86, 163. [Google Scholar] [CrossRef] [PubMed]
- Li, M.; Liu, X.; Dai, S.; Xiao, H.; Qi, S.; Li, Y.; Zheng, Q.; Jie, M.; Cheng, C.H.K.; Wang, D. Regulation of spermatogenesis and reproductive capacity by Igf3 in tilapia. Cell. Mol. Life Sci. 2020, 77, 4921–4938. [Google Scholar] [CrossRef] [PubMed]






| Gene | Primer Sequence (5′→3′) | Gene Accession Number | |
|---|---|---|---|
| fshr | F | CACTGCCATTGTGCTAAC | NM 001123610.1 |
| R | AGCCTGATGATGGATGAC | ||
| lhr | F | CCTGAGAAGAGTCCAGCATATAGA | [35] |
| R | GAAGATTTCATTGAGGTCGAGAAG | ||
| gsdf1 | F | GCGACTGACAGACTTACTTC | XM_014138924.1 |
| R | TACAGCCACTGCTTTGTC | ||
| gsdf2 | F | TGATGGTTGTGCTCTCTAG | XM_014172058.1 |
| R | CTTGGCAACTGTTCAGAGTG | ||
| amh | F | CAAAAACACCAGAGACAGGACAA | AY722411.1 |
| R | TATCCGTTGAGAAAAGCACCA | ||
| igf3 | F | ACTGCGCAAAGCCAAAGC | [59] |
| R | GAAATTGCTCCTCCATAACTTGCT | ||
| ef1a | F | CCCCTCCAGGACGTTTACAAA | [60] |
| R | CACACGGCCCACAGGTACA | ||
| Response | Mixed Model | Random Variance of Tanks (%) | Transformation |
|---|---|---|---|
| fshr relative transcription | LME | <1 | - |
| lhr relative transcription | LME | <1 | Square root |
| gsdf1 relative transcription | LME | <1 | - |
| gsdf2 relative transcription | LME | <1 | - |
| amh relative transcription | LME | <1 | - |
| igf3 relative transcription | LME | <1 | Log |
| Formula: Developmental_Stage ~ Temperature × Feed Regime + Time | ||||||
|---|---|---|---|---|---|---|
| link | logLik | AIC | ||||
| logit | −111.31 | 256.61 | ||||
| Coefficients: | ||||||
| Estimate | Std. Error | Z value | Pr(>|z|) | Odd ratios | ||
| temperature 12.5 °C | 3.944 | 1.257 | 3.138 | 0.0017 | 51.65 | ** |
| temperature 18 °C | 7.773 | 1.359 | 5.720 | 0.0000 | 2375.81 | *** |
| feed_reg 100% | 0.015 | 1.556 | 0.009 | 0.9925 | 1.01 | |
| samplingMidDec | 2.920 | 1.296 | 2.253 | 0.0243 | 18.54 | * |
| samplingEarlyFeb | 3.709 | 1.273 | 2.913 | 0.0036 | 40.80 | ** |
| samplingMidMarch | 5.045 | 1.297 | 3.890 | 0.0001 | 155.30 | *** |
| samplingLateMarch | 4.296 | 1.277 | 3.364 | 0.0008 | 73.37 | *** |
| samplingEarlyApril | 5.415 | 1.283 | 4.220 | 0.0000 | 224.71 | *** |
| samplingLateApril | 6.170 | 1.310 | 4.711 | 0.0000 | 478.34 | *** |
| samplingMidMay | 7.977 | 1.404 | 5.680 | 0.0000 | 2913.72 | *** |
| temperature 12.5 °C × feed_reg 100% | 0.578 | 1.681 | 0.344 | 0.7310 | 1.78 | |
| temperature 18 °C × feed_reg 100% | −0.617 | 1.648 | −0.374 | 0.7081 | 0.54 | |
| Type I analysis of deviance table with Wald Chi-square tests | ||||||
| Model term | Df | Chisq | Pr(>Chisq) | |||
| temperature | 2 | 58.1381 | 0.0000 | *** | ||
| feed regime | 1 | 0.0000 | 0.9976 | |||
| time | 7 | 43.8225 | 0.0000 | *** | ||
| temperature × feed regime | 2 | 2.0343 | 0.3616 | |||
Publisher’s Note: MDPI stays neutral with regard to jurisdictional claims in published maps and institutional affiliations. |
© 2022 by the authors. Licensee MDPI, Basel, Switzerland. This article is an open access article distributed under the terms and conditions of the Creative Commons Attribution (CC BY) license (https://creativecommons.org/licenses/by/4.0/).
Share and Cite
Pino Martinez, E.; Braanaas, M.F.; Balseiro, P.; Kraugerud, M.; Pedrosa, C.; Imsland, A.K.D.; Handeland, S.O. Constant High Temperature Promotes Early Changes in Testis Development Associated with Sexual Maturation in Male Atlantic Salmon (Salmo salar L.) Post-Smolts. Fishes 2022, 7, 341. https://doi.org/10.3390/fishes7060341
Pino Martinez E, Braanaas MF, Balseiro P, Kraugerud M, Pedrosa C, Imsland AKD, Handeland SO. Constant High Temperature Promotes Early Changes in Testis Development Associated with Sexual Maturation in Male Atlantic Salmon (Salmo salar L.) Post-Smolts. Fishes. 2022; 7(6):341. https://doi.org/10.3390/fishes7060341
Chicago/Turabian StylePino Martinez, Enrique, Markus Førde Braanaas, Pablo Balseiro, Marianne Kraugerud, Cindy Pedrosa, Albert Kjartan Dagbjartarson Imsland, and Sigurd O. Handeland. 2022. "Constant High Temperature Promotes Early Changes in Testis Development Associated with Sexual Maturation in Male Atlantic Salmon (Salmo salar L.) Post-Smolts" Fishes 7, no. 6: 341. https://doi.org/10.3390/fishes7060341
APA StylePino Martinez, E., Braanaas, M. F., Balseiro, P., Kraugerud, M., Pedrosa, C., Imsland, A. K. D., & Handeland, S. O. (2022). Constant High Temperature Promotes Early Changes in Testis Development Associated with Sexual Maturation in Male Atlantic Salmon (Salmo salar L.) Post-Smolts. Fishes, 7(6), 341. https://doi.org/10.3390/fishes7060341

