Effects of Dietary Tannic Acid on Growth, Digestion, Immunity and Resistance to Ammonia Stress, and Intestinal Microbial Community in Pacific White Shrimp (Litopenaeus vannamei)
Abstract
1. Introduction
2. Materials and Methods
2.1. Diet Preparation
2.2. Shrimp, Culture Conditions and Feeding Trial
2.3. Ammonia Stress Experiment
2.4. Growth Performance Analysis
- WGR = [(Final body weight − Initial body weight)/ (Initial body weight)] × 100.
- SR (%) = (Shrimp number final/Shrimp number initial) × 100.
- FCR = Feed consumed (dried)/WG.
- WGR = weight gain rate, SR = survival rate, and FCR = feed conversion ratio.
2.5. Histological Analysis
2.6. Biochemical Analysis
2.7. Gene Expression Analysis
2.8. Intestinal Microbiota Analysis
2.9. Statistical Analysis
3. Results
3.1. Growth Performance and Survival of the Shrimp
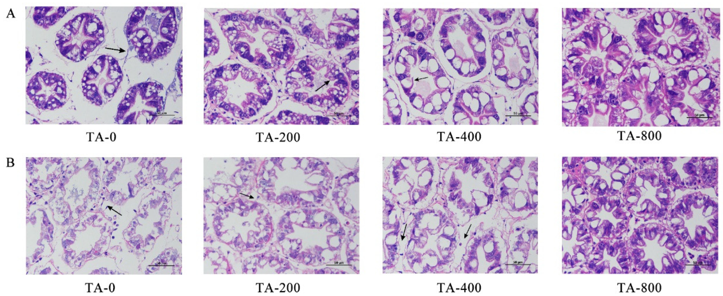
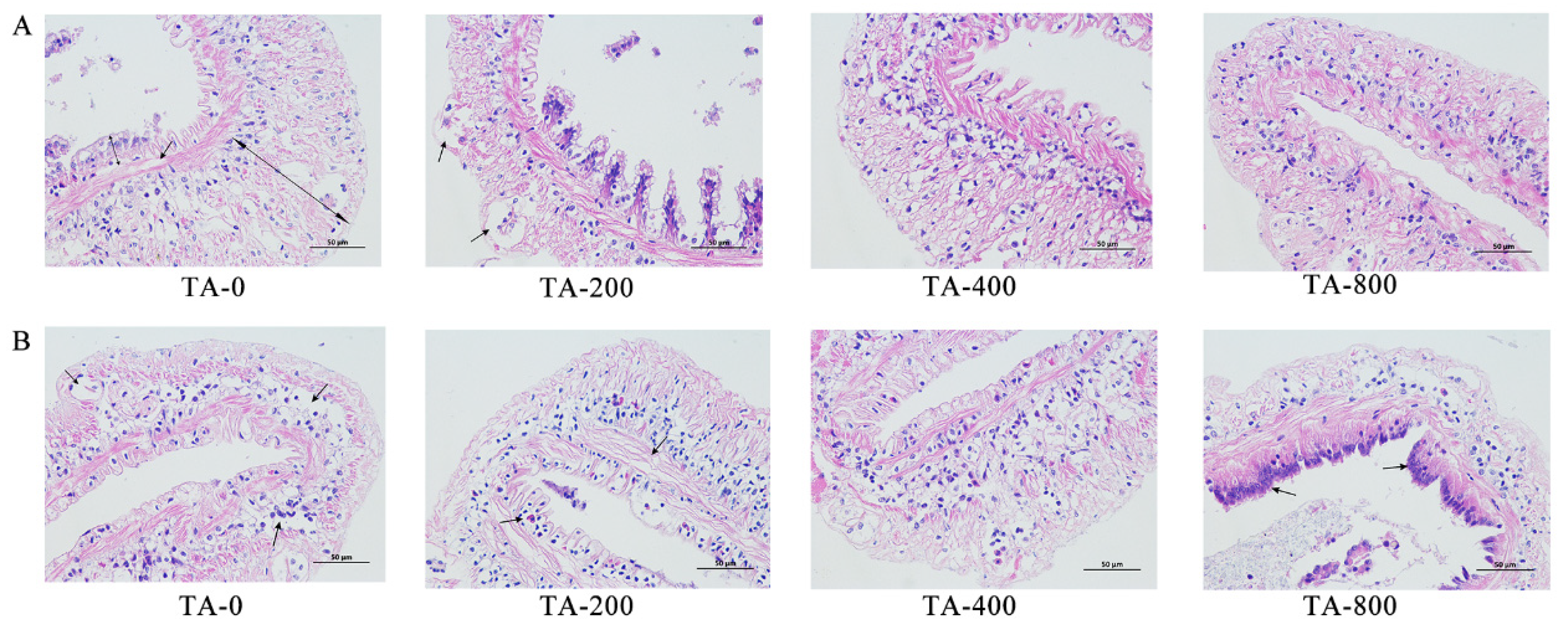
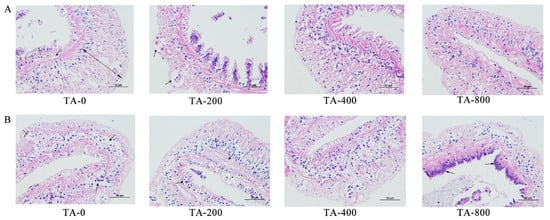
3.2. Histological Structure of the Hepatopancreas and Intestines
3.3. Intestinal Digestive Enzyme Activity
3.4. Hepatopancreas Immune Enzyme Activity
3.5. Hepatopancreas Immune Gene Expression Levels
3.6. Intestinal Microbial Richness and Diversity
3.7. Intestinal Bacterial Composition
3.8. Differential Analysis of Intestinal Bacterial Community
3.9. Network and Functional Analyses of Intestinal Bacterial Community
4. Discussion
4.1. Effects of Dietary TA on the Growth Performance and Histological Structure of the Shrimp
4.2. Effects of Dietary TA on the Digestive Enzyme Activity of the Shrimp
4.3. Effects of Dietary TA on the Immune Enzyme Activity and Gene Expression of the Shrimp
4.4. Effects of Dietary TA on the Intestinal Microbiota of the Shrimp
5. Conclusions
Supplementary Materials
Author Contributions
Funding
Institutional Review Board Statement
Data Availability Statement
Conflicts of Interest
References
- FAO. The State of World Fisheries and Aquaculture 2022: Towards Blue Transformation; United Nations: New York, NY, USA, 2022. [Google Scholar]
- Van, T.P.T.H.; Rhodes, M.A.; Zhou, Y.; Davis, D.A. Feed management for Pacific white shrimp Litopenaeus vannamei under semi-intensive conditions in tanks and ponds. Aquac. Res. 2017, 48, 5346–5355. [Google Scholar] [CrossRef]
- Bergqvist, J.; Gunnarsson, S. Finfish Aquaculture: Animal Welfare, the Environment, and Ethical Implications. 2011, 26, 75–99. J. Agric. Environ. Ethics 2011, 26, 75–99. [Google Scholar] [CrossRef]
- Liu, C.H.; Chen, J.C. Effect of ammonia on the immune response of white shrimp Litopenaeus vannamei and its susceptibility to Vibrio alginolyticus. Fish Shellfish Immunol. 2004, 16, 321–334. [Google Scholar] [CrossRef]
- Yang, S.D.; Liou, C.H.; Liu, F.G. Effects of dietary protein level on growth performance, carcass composition and ammonia excretion in juvenile silver perch (Bidyanus bidyanus). Aquaculture 2002, 213, 363–372. [Google Scholar] [CrossRef]
- Zhang, M.; Wang, S.; Sun, Z.; Jiang, H.; Qian, Y.; Wang, R.; Li, M. The effects of acute and chronic ammonia exposure on growth, survival, and free amino acid abundance in juvenile Japanese sea perch Lateolabrax japonicus. Aquaculture 2022, 560, 738512. [Google Scholar] [CrossRef]
- Haslam, E. Plant Polyphenols—Vegetable Tannins Revisited. In Chemistry and Pharmacology of Natural Products; Philipson, J.D., Ayres, D.C., Baxter, H., Eds.; Cambridge University Press: Cambridge, UK, 1988; pp. 167–195. [Google Scholar]
- Labieniec, M.; Gabryelak, T.; Falcioni, G. Antioxidant and pro-oxidant effects of tannins in digestive cells of the freshwater mussel Unio tumidus. Mutat. Res. Toxicol. Environ. Mutagen. 2003, 539, 19–28. [Google Scholar] [CrossRef]
- Lu, R.H.; Qin, C.B.; Yang, F.; Zhang, W.Y.; Zhang, Y.R.; Yang, G.K.; Yang, L.P.; Meng, X.L.; Yan, X.; Nie, G.X. Grape seed proanthocyanidin extract ameliorates hepatic lipid accumulation and inflammation in grass carp (Ctenopharyngodon idella). Fish Physiol. Biochem. 2020, 46, 1665–1677. [Google Scholar] [CrossRef]
- Peng, K.; Zhao, H.; Wang, G.; Chen, B.; Mo, W.; Huang, Y. Effect of condensed tannins on growth performance, intestinal immune capacity and bacterial microbiomes of Lateolabrax japonicus. Aquac. Res. 2021, 52, 5321–5331. [Google Scholar] [CrossRef]
- Felipe, S.A.; Maria, R.B.D.C. Body lipid deposition in Nile tilapia fed on rations containing tannin. Pesqui. Agropecu. Bras. 2007, 42, 50–56. [Google Scholar]
- Yao, J.; Chen, P.; Ringø, E.; Zhang, G.; Huang, Z.; Hua, X. Effect of diet supplemented with rapeseed meal or hydrolysable tannins on the growth, nutrition, and intestinal microbiota in grass carp (Ctenopharyngodon idellus). Front. Nutr. 2019, 6, 154. [Google Scholar] [CrossRef]
- Orso, G.; Solovyev, M.; Facchiano, S.; Tyrikova, E.; Sateriale, D.; Kashinskaya, E.; Pagliarulo, C.; Hoseinifar, H.; Simonov, E.; Varricchio, E.; et al. Chestnut Shell Tannins: Effects on Intestinal Inflammation and Dysbiosis in Zebrafish. Animals 2021, 11, 1538. [Google Scholar] [CrossRef] [PubMed]
- Zhu, X.F.; Guo, H.; Li, G.L.; Zhu, C.H. Effects of dietary hydrolyzable tannins on growth performance, antioxidant capacity, intestinal microflora and resistance against Vibrio parahaemolyticus of juvenile Pacific white shrimp, Litopenaeus vannamei (Boone, 1931). Aquac. Rep. 2021, 19, 100604. [Google Scholar] [CrossRef]
- Starčević, K.; Krstulović, L.; Brozić, D.; Maurić, M.; Stojević, Z.; Mikulec, Z.; Bajić, M.; Mašek, T. Production performance, meat composition and oxidative susceptibility in broiler chicken fed with different phenolic compounds. J. Sci. Food Agric. 2014, 95, 1172–1178. [Google Scholar] [CrossRef] [PubMed]
- Biagia, G.; Cipollini, I.; Paulicks, B.R.; Roth, F.X. Effect of tannins on growth performance and intestinal ecosystem in weaned Piglets. Arch. Anim. Nutr. 2010, 64, 121–135. [Google Scholar] [CrossRef] [PubMed]
- Vancamelbeke, M.; Vermeire, S. The intestinal barrier: A fundamental role in health and disease. Expert Rev. Gastroenterol. Hepatol. 2017, 11, 821–834. [Google Scholar] [CrossRef]
- Farré, R.; Fiorani, M.; Rahiman, S.A.; Matteoli, G. Intestinal Permeability, Inflammation and the Role of Nutrients. Nutrients 2020, 12, 1185. [Google Scholar] [CrossRef]
- Tap, J.; Furet, J.; Bensaada, M.; Philippe, C.; Roth, H.; Rabot, S.; Lakhdari, O.; Lombard, V.; Henrissat, B.; Corthier, G.; et al. Gut microbiota richness promotes its stability upon increased dietary fibre intake in healthy adults. Environ. Microbiol. 2015, 17, 4954–4964. [Google Scholar] [CrossRef]
- Bates, J.M.; Mittge, E.; Kuhlman, J.; Baden, K.N.; Cheesman, S.E.; Guillemin, K. Distinct signals from the microbiota promote different aspects of zebrafish gut differentiation. Dev. Biol. 2006, 297, 374–386. [Google Scholar] [CrossRef]
- Gu, X.; Hao, Y.; Wang, X. Overexpression of heat shock protein 70 and its relationship to intestine under acute heat stress in broilers: 2. Intestinal oxidative stress. Poult. Sci. 2012, 91, 790–799. [Google Scholar] [CrossRef]
- Santos, R.R.; Awati, A.; Roubos-van den Hil, P.J.; Tersteeg-Zijderveld, M.H.G.; Koolmees, P.A.; Fink-Gremmels, J. Quantitative histo-morphometric analysis of heat-stress-related damage in the small intestines of broiler chickens. Avian Pathol. 2015, 44, 19–22. [Google Scholar] [CrossRef]
- Barreau, F.; Hugot, J. Intestinal barrier dysfunction triggered by invasive bacteria. Curr. Opin. Microbiol. 2014, 17, 91–98. [Google Scholar] [CrossRef] [PubMed]
- Chelakkot, C.; Ghim, J.; Ryu, S.H. Mechanisms regulating intestinal barrier integrity and its pathological implications. Exp. Mol. Med. 2018, 50, e450. [Google Scholar] [CrossRef] [PubMed]
- Quinteiro-Filho, W.M.; Gomes, A.V.S.; Pinheiro, M.L.; Ribeiro, A.; Ferraz-De-Paula, V.; Astolfi-Ferreira, C.S.; Ferreira, A.J.P.; Palermo-Neto, J. Heat stress impairs performance and induces intestinal inflammation in broiler chickens infected with Salmonella Enteritidis. Avian Pathol. 2012, 41, 421–427. [Google Scholar] [CrossRef]
- Burkholder, K.M.; Thompson, K.L.; Einstein, M.E.; Applegate, T.J.; Patterson, J.A. Influence of Stressors on Normal Intestinal Microbiota, Intestinal Morphology, and Susceptibility to Salmonella enteritidis Colonization in Broilers. Poult. Sci. 2008, 87, 1734–1741. [Google Scholar] [CrossRef]
- Quinteiro-Filho, W.M.; Ribeiro, A.; Ferraz-De-Paula, V.; Pinheiro, M.L.; Sakai, M.; Sá, L.R.M.; Ferreira, A.J.P.; Palermo-Neto, J. Heat stress impairs performance parameters, induces intestinal injury, and decreases macrophage activity in broiler chickens. Poult. Sci. 2010, 89, 1905–1914. [Google Scholar] [CrossRef] [PubMed]
- Amoroso, C.; Perillo, F.; Strati, F.; Fantini, M.; Caprioli, F.; Facciotti, F. The Role of Gut Microbiota Biomodulators on Mucosal Immunity and Intestinal Inflammation. Cells 2020, 9, 1234. [Google Scholar] [CrossRef]
- Wang, M.; Huang, H.; Hu, Y.; Huang, J.; Yang, H.; Wang, L.; Chen, S.; Chen, C.; He, S. Effects of dietary microencapsulated tannic acid supplementation on the growth performance, intestinal morphology, and intestinal microbiota in weaning piglets. J. Anim. Sci. 2020, 98, skaa112. [Google Scholar] [CrossRef]
- Lin, Y.C.; Chen, J.C. Acute toxicity of ammonia on Litopenaeus vannamei Boone juveniles at different salinity levels. J. Exp. Mar. Biol. Ecol. 2001, 259, 109–119. [Google Scholar] [CrossRef]
- Bullerwell, C.N.; Collins, S.A.; Lall, S.P.; Anderson, D.M. Growth performance, proximate and histological analysis of rainbow trout fed diets containing Camelina sativa seeds, meal (high-oil and solvent-extracted) and oil. Aquaculture 2016, 452, 342–350. [Google Scholar] [CrossRef]
- Edgar, R.C. UPARSE: Highly accurate OTU sequences from microbial amplicon reads. Nat. Methods 2013, 10, 996–998. [Google Scholar] [CrossRef]
- Edgar, R.C.; Haas, B.J.; Clemente, J.C.; Quince, C.; Knight, R. UCHIME improves sensitivity and speed of chimera detection. Bioinformatics 2011. [CrossRef] [PubMed]
- Schloss, P.D.; Westcott, S.L. Assessing and Improving Methods Used in Operational Taxonomic Unit-Based Approaches for 16S rRNA Gene Sequence Analysis. Appl. Environ. Microbiol. 2011, 77, 3219–3226. [Google Scholar] [CrossRef]
- Segata, N.; Abubucker, S.; Goll, J.; Schubert, A.M.; Izard, J.; Cantarel, B.L.; Rodriguez-Mueller, B.; Waldron, L.; Zucker, J.; Thiagarajan, M.; et al. Microbial community function and biomarker discovery in the human microbiome. Genome Biol. 2011, 12, P47. [Google Scholar] [CrossRef]
- Huang, Z.; Zeng, S.; Xiong, J.; Hou, D.; Zhou, R.; Xing, C.; Wei, D.; Deng, X.; Yu, L.; Wang, H.; et al. Microecological Koch’s postulates reveal that intestinal microbiota dysbiosis contributes to shrimp white feces syndrome. Microbiome 2020, 8, 32. [Google Scholar] [CrossRef] [PubMed]
- Ghosh, K.; Ray, A.K.; Ringø, E. Applications of plant ingredients for tropical and subtropical freshwater finfish: Possibilities and challenges. Rev. Aquac. 2018, 11, 793–815. [Google Scholar] [CrossRef]
- Abdel-Tawwab, M.; Adeshina, I.; Jenyo-Oni, A.; Ajani, E.K.; Emikpe, B.O. Growth, physiological, antioxidants, and immune response of African catfish, Clarias gariepinus (B.), to dietary clove basil, Ocimum gratissimum, leaf extract and its susceptibility to Listeria monocytogenes infection. Fish Shellfish Immunol. 2018, 78, 346–354. [Google Scholar] [CrossRef] [PubMed]
- Adeshina, I.; Jenyo-Oni, A.; Emikpe, B.O.; Ajani, E.K.; Abdel-Tawwab, M. Stimulatory effect of dietary clove, Eugenia caryophyllata, bud extract on growth performance, nutrient utilization, antioxidant capacity, and tolerance of African catfish, Clarias gariepinus (B.), to Aeromonas hydrophila infection. J. World Aquac. Soc. 2018, 50, 390–405. [Google Scholar] [CrossRef]
- Buyukcapar, H.M.; Atalay, A.I.; Kamalak, A. Growth performance of Nile tilapia (Oreochromis niloticus) fed with diets containing different levels of hydrolysable and condensed tannin. J. Agric. Sci. Technol. 2011, 6, 1045–1051. [Google Scholar] [CrossRef]
- Zhu, X.F.; Huang, Y.; Huang, J.H.; Li, G.L.; Zhu, C.H. Effects of hydrolyzed tannins on growth performance, antioxidant capacity, intestinal tissue structure and flora diversity of pearl gentian grouper. J. Anim. Nutr. 2021, 2, 1020–1035. [Google Scholar] [CrossRef]
- Chen, B.; Qiu, J.Q.; Wang, Y.X.; Huang, W.; Zhao, H.X.; Zhu, X.F.; Peng, K. Condensed tannins increased intestinal permeability of Chinese seabass (Lateolabrax maculatus) based on microbiome-metabolomics analysis. Aquaculture 2022, 560, 738615. [Google Scholar] [CrossRef]
- Pourmozaffar, S.; Hajimoradloo, A.; Paknejad, H.; Rameshi, H. Effect of dietary supplementation with apple cider vinegar and propionic acid on hemolymph chemistry, intestinal microbiota and histological structure of hepatopancreas in white shrimp, Litopenaeus vannamei. Fish Shellfish Immunol. 2018, 86, 900–905. [Google Scholar] [CrossRef] [PubMed]
- Johnston, D.; Calvert, K.; Crear, B.; Carter, C. Dietary carbohydrate/lipid ratios and nutritional condition in juvenile southern rock lobster, Jasus edwardsii. Aquaculture 2003, 220, 667–682. [Google Scholar] [CrossRef]
- Romano, N.; Koh, C.B.; Ng, W.K. Dietary microencapsulated organic acids blend enhances growth, phosphorus utilization, immune response, hepatopancreatic integrity and resistance against Vibrio harveyi in white shrimp, Litopenaeus vannamei. Aquaculture 2015, 435, 228–236. [Google Scholar] [CrossRef]
- Griffiths, D.W.; Moseley, G. The effect of diets containing field beans of high or low polyphenolic content on the activity of digestive enzymes in the intestines of rats. J. Sci. Food Agric. 2010, 3, 255–259. [Google Scholar] [CrossRef] [PubMed]
- da Costa, G.; Lamy, E.; e Silva, F.C.; Andersen, J.; Baptista, E.S.; Coelho, A.V. Salivary Amylase Induction by Tannin-Enriched Diets as a Possible Countermeasure Against Tannins. J. Chem. Ecol. 2008, 34, 376–387. [Google Scholar] [CrossRef]
- Liu, H.W. Study on antioxidant activity of chestnut tannins and its effect on growth performance of rabbits. Beijing Chin. Acad. Agric. Sci. 2010, 2010, 18–26. [Google Scholar]
- Chung, K.T.; Wei, C.I.; Johnson, M.G. Are tannins a double-edged sword in biology and health? Trends Food Sci. Technol. 1998, 9, 168–175. [Google Scholar] [CrossRef]
- Nyman, M.E.; Björck, I.M. In Vivo Effects of Phytic Acid and Polyphenols on the Bioavailability of Polysaccharides and Other Nutrients. J. Food Sci. 1989, 54, 1332–1335. [Google Scholar] [CrossRef]
- Wang, Z.; Yin, L.; Liu, L.; Lan, X.; He, J.; Wan, F.; Shen, W.; Tang, S.; Tan, Z.; Yang, Y. Tannic acid reduced apparent protein digestibility and induced oxidative stress and inflammatory response without altering growth performance and ruminal microbiota diversity of Xiangdong black goats. Front. Vet. Sci. 2022, 9, 1004841. [Google Scholar] [CrossRef]
- Noorolahi, Z.; Sahari, M.A.; Barzegar, M.; Gavlighi, H.A. Tannin fraction of pistachio green hull extract with pancreatic lipase inhibitory and antioxidant activity. J. Food Biochem. 2020, 44, e13208. [Google Scholar] [CrossRef]
- Min, B.H.; Ravikumar, Y.; Lee, D.H.; Choi, K.S.; Kim, B.M.; Rhee, J.S. Agedependent antioxidant responses to the bioconcentration of microcystin-LR in the mysid crustacean, Neomysis awatschensis. Environ. Pollut. 2018, 232, 284–292. [Google Scholar] [CrossRef] [PubMed]
- Hoseinifar, S.H.; Yousefi, S.; Capillo, G.; Paknejad, H.; Khalili, M.; Tabarraei, A.; Van Doan, H.; Spanò, N.; Faggio, C. Mucosal immune parameters, immune and antioxidant defence related genes expression and growth performance of zebrafish (Danio rerio) fed on Gracilaria gracilis powder. Fish Shellfish Immunol. 2018, 83, 232–237. [Google Scholar] [CrossRef] [PubMed]
- Parisi, F.; Mancini, S.; Mazzei, M.; Forzan, M.; Turchi, B.; Perrucci, S.; Poli, A.; Paci, G. Effect of Dietary Supplementation of a Mix of Chestnut and Quebracho Tannins on Intestinal Morphology, Bacterial Load, Eimeria spp. oocyst Excretion and Immune Response after Vaccination in Rabbits. Am. J. Anim. Vet. Sci. 2018, 13, 94–103. [Google Scholar] [CrossRef]
- Orzuna-Orzuna, J.F.; Dorantes-Iturbide, G.; Lara-Bueno, A.; Mendoza-Martínez, G.D.; Miranda-Romero, L.A.; Lee-Rangel, H.A. Growth Performance, Meat Quality and Antioxidant Status of Sheep Supplemented with Tannins: A Meta-Analysis. Animals 2021, 11, 3184. [Google Scholar] [CrossRef]
- Peng, K.; Lv, X.; Zhao, H.; Chen, B.; Chen, X.; Huang, W. Antioxidant and intestinal recovery function of condensed tannins in Lateolabrax maculatus responded to in vivo and in vitro oxidative stress. Aquaculture 2021, 547, 737399. [Google Scholar] [CrossRef]
- Khojasteh, A.; Mirjalili, M.H.; Alcalde, M.A.; Cusido, R.M.; Eibl, R.; Palazon, J. Powerful Plant Antioxidants: A New Biosustainable Approach to the Production of Rosmarinic Acid. Antioxidants 2020, 9, 1273. [Google Scholar] [CrossRef] [PubMed]
- Yao, C.-L.; Ji, P.-F.; Wang, Z.Y.; Li, F.H.; Xiang, J.-H. Molecular cloning and expression of NOS in shrimp, Litopenaeus vannamei. Fish Shellfish Immunol. 2010, 28, 453–460. [Google Scholar] [CrossRef] [PubMed]
- Saurabh, S.; Sahoo, P.K. Lysozyme: An important defence molecule of fish innate immune system. Aquac. Res. 2008, 39, 223–239. [Google Scholar] [CrossRef]
- Duan, Y.; Wang, Y.; Liu, Q.; Zhang, J.; Xiong, D. Changes in the intestine barrier function of Litopenaeus vannamei in response to pH stress. Fish Shellfish Immunol. 2019, 88, 142–149. [Google Scholar] [CrossRef]
- Sutthangkul, J.; Amparyup, P.; Eum, J.-H.; Strand, M.R.; Tassanakajon, A. Anti-melanization mechanism of the white spot syndrome viral protein, WSSV453, via interaction with shrimp proPO-activating enzyme, PmproPPAE2. J. Gen. Virol. 2017, 98, 769–778. [Google Scholar] [CrossRef]
- Peng, K.; Wang, G.; Zhao, H.; Wang, Y.; Mo, W.; Wu, H.; Huang, Y. Effect of high level of carbohydrate and supplementation of condensed tannins on growth performance, serum metabolites, antioxidant and immune response, and hepatic glycometabolism gene expression of Lateolabrax japonicus. Aquac. Rep. 2020, 18, 100515. [Google Scholar] [CrossRef]
- Klase, G.; Lee, S.; Liang, S.; Lee, J. The microbiome and antibiotic resistance in integrated fishfarm water: Implications of environmental public health. Sci. Total Environ. 2019, 649, 1491–1501. [Google Scholar] [CrossRef] [PubMed]
- Xiong, J.; Zhu, J.; Dai, W.; Dong, C.; Qiu, Q.; Li, C. Integrating gut microbiota immaturity and disease-discriminatory taxa to diagnose the initiation and severity of shrimp disease. Environ. Microbiol. 2017, 19, 1490–1501. [Google Scholar] [CrossRef] [PubMed]
- Fan, L.; Wang, Z.; Chen, M.; Qu, Y.; Li, J.; Zhou, A.; Xie, S.; Zeng, F.; Zou, J. Microbiota comparison of Pacific white shrimp intestine and sediment at freshwater and marine cultured environment. Sci. Total Environ. 2018, 657, 1194–1204. [Google Scholar] [CrossRef] [PubMed]
- Shin, N.R.; Whon, T.W.; Bae, J.W. Proteobacteria: Microbial signature of dysbiosis in gut microbiota. Trends Biotechnol. 2015, 33, 496–503. [Google Scholar] [CrossRef] [PubMed]
- van Kessel, M.A.; Harhangi, H.R.; van de Pas-Schoonen, K.; van de Vossenberg, J.; Flik, G.; Jetten, M.S.; Klaren, P.H.; Camp, H.J.O.D. Biodiversity of N-cycle bacteria in nitrogen removing moving bed biofilters for freshwater recirculating aquaculture systems. Aquaculture 2010, 306, 177–184. [Google Scholar] [CrossRef]
- Shi, X.; Ng, K.K.; Li, X.R.; Ng, H.Y. Investigation of Intertidal Wetland Sediment as a Novel Inoculation Source for Anaerobic Saline Wastewater Treatment. Environ. Sci. Technol. 2015, 49, 6231–6239. [Google Scholar] [CrossRef]
- Kou, L.; Huang, T.; Zhang, H.; Wen, G.; Li, N.; Wang, C.; Lu, L. Mix-cultured aerobic denitrifying bacterial communities reduce nitrate: Novel insights in micro-polluted water treatment at lower temperature. Sci. Total Environ. 2021, 796, 148910. [Google Scholar] [CrossRef]
- Klindworth, A.; Michael, R.; Tim, R.H.; Frank, O.G. Permanent draft genome of Rhodopirellula rubra SWK7. Mar. Genom. 2014, 13, 11–12. [Google Scholar] [CrossRef]
- Duan, Y.; Xiong, D.; Wang, Y.; Dong, H.; Huang, J.; Zhang, J. Effects of Microcystis aeruginosa and microcystin-LR on intestinal histology, immune response, and microbial community in Litopenaeus vannamei. Environ. Pollut. 2020, 265, 114774. [Google Scholar] [CrossRef]
- Qiao, F.; Liu, Y.; Sun, Y.; Wang, X.; Chen, K.; Li, T.; Li, E.; Zhang, M. Influence of different dietary carbohydrate sources on the growth and intestinal microbiota of Litopenaeus vannamei at low salinity. Aquac. Nutr. 2016, 23, 444–452. [Google Scholar] [CrossRef]
- Zhang, M.; Sun, Y.; Chen, K.; Yu, N.; Zhou, Z.; Chen, L.; Du, Z.; Li, E. Characterization of the intestinal microbiota in Pacific white shrimp, Litopenaeus vannamei, fed diets with different lipid sources. Aquaculture 2014, 434, 449–455. [Google Scholar] [CrossRef]
- Wang, J.; Huang, Y.; Xu, K.; Zhang, X.; Sun, H.; Fan, L.; Yan, M. White spot syndrome virus (WSSV) infection impacts intestinal microbiota composition and function in Litopenaeus vannamei. Fish Shellfish Immunol. 2018, 84, 130–137. [Google Scholar] [CrossRef]
- Cottrell, M.T.; Kirchman, D.L. Natural Assemblages of Marine Proteobacteria and Members of the Cytophaga-Flavobacter Cluster Consuming Low- and High-Molecular-Weight Dissolved Organic Matter. Appl. Environ. Microbiol. 2000, 66, 1692–1697. [Google Scholar] [CrossRef] [PubMed]
- Scalbert, A. Antimicrobial properties of tannins. Phytochemistry 1991, 30, 3875–3883. [Google Scholar] [CrossRef]
- Parshukov, A.N.; Fokina, N.N.; Sukhovskaya, I.V.; Kantserova, N.P.; Lysenko, L.A. Infection and antibiotic treatment have prolonged effect on gut microbiota, muscle and hepatic fatty acids in rainbow trout (Oncorhynchus mykiss). J. Appl. Microbiol. 2022, 133, 1709–1724. [Google Scholar] [CrossRef]
- Aguilar-Rendón, K.G.; Soto-Rodriguez, S.A.; Gomez-Gil, B.; Lozano-Olvera, R.; Yáñez-Rivera, B. Water microbiome dynamics of Pacific white shrimp Penaeus vannamei infected with Vibrio parahaemolyticus strains responsible for acute hepatopancreatic necrosis disease. Aquaculture 2022, 551, 737871. [Google Scholar] [CrossRef]
- Kumar, M.; Mishra, A.; Singh, S.S.; Srivastava, S.; Thakur, I.S. Expression and characterization of novel laccase gene from Pandoraea sp. ISTKB and its application. Int. J. Biol. Macromol. 2018, 115, 308–316. [Google Scholar] [CrossRef]
- Zhao, T.T.; Hu, Q.M.; Zhang, L.J.; Quan, X.J. A strain of Vibrio Fibribacteria isolated from mineralized waste. J. Chongqing Univ. Technol. 2011, 6, 1–5. [Google Scholar]










| Ingredient (g/100 g) | TA-0 | TA-200 | TA-400 | TA-800 |
|---|---|---|---|---|
| Ingredients | ||||
| Fish Meal | 23 | 23 | 23 | 23 |
| Solvent Extracted Soybean Meal | 30 | 30 | 30 | 30 |
| Whole Wheat | 10 | 10 | 10 | 10 |
| Corn Gluten (60% protein) | 20.2 | 20.2 | 20.2 | 20.2 |
| Dicalcium phosphate | 5 | 5 | 5 | 5 |
| Fish Oil | 3.3 | 3.3 | 3.3 | 3.3 |
| Bentonite | 7.5 | 7.5 | 7.5 | 7.5 |
| Lecithin | 0.1 | 0.1 | 0.1 | 0.1 |
| Vitamin Premix | 0.1 | 0.1 | 0.1 | 0.1 |
| Mineral Premix | 0.1 | 0.1 | 0.1 | 0.1 |
| Stable C | 0.1 | 0.1 | 0.1 | 0.1 |
| Lysine hydrochloride | 0.6 | 0.6 | 0.6 | 0.6 |
| Copper Sulfate | 0.1 | 0.1 | 0.1 | 0.1 |
| Total | 100 | 100 | 100 | 100 |
| Tannins acid | 0 | 20 | 40 | 80 |
| Proximate Composition | ||||
| Crude Protein | 40 | 40 | 40 | 40 |
| Crude Fiber | 5 | 5 | 5 | 5 |
| Ash | 16 | 16 | 16 | 16 |
| Crude Lipid | 6 | 6 | 6 | 6 |
| Total Phosphate | 1.3 | 1.3 | 1.3 | 1.3 |
| Lysine | 1.8 | 1.8 | 1.8 | 1.8 |
| Index | TA-0 | TA-200 | TA-400 | TA-800 |
|---|---|---|---|---|
| IW (g) | 0.30 ± 0.03 a | 0.30 ± 0.03 a | 0.30 ± 0.03 a | 0.30 ± 0.03 a |
| FW (g) | 4.47 ± 0.76 ab | 4.68 ± 0.98 ab | 5.16 ± 0.92 a | 5.07 ± 1.16 a |
| WGR (%) | 14.32 ± 1.83 b | 14.60 ± 1.56 b | 16.11 ± 1.36 a | 15.75 ± 2.20 ab |
| FCR | 1.09 ± 0.02 a | 0.98 ± 0.02 b | 0.80 ± 0.01 c | 0.78 ± 0.01 c |
| Index | TA-0 | TA-200 | TA-400 | TA-800 |
|---|---|---|---|---|
| Reads | ||||
| Mean sequences | 63,881 | 65,123 | 58,035 | 61,998 |
| OTUS | 745 ± 18 a | 635 ± 12 b | 668 ± 18 b | 768 ± 38 a |
| Community diversity | ||||
| Simpson index | 0.06 ± 0.005 a | 0.05 ± 0.007 ab | 0.03 ± 0.006 b | 0.06 ± 0.023 a |
| Shannon index | 3.47 ± 0.36 b | 3.48 ± 0.38 b | 4.12 ± 0.16 a | 4.24 ± 0.32 a |
| Community richness | ||||
| Chao1 | 712.67 ± 24.01 b | 714.00 ± 17.35 b | 748.33 ± 58.15 ab | 816.00 ± 24.25 a |
Publisher’s Note: MDPI stays neutral with regard to jurisdictional claims in published maps and institutional affiliations. |
© 2022 by the authors. Licensee MDPI, Basel, Switzerland. This article is an open access article distributed under the terms and conditions of the Creative Commons Attribution (CC BY) license (https://creativecommons.org/licenses/by/4.0/).
Share and Cite
Gong, H.; Qin, Z.; Chen, Z.; Li, J.; Chang, Z.; Li, J.; Chen, P. Effects of Dietary Tannic Acid on Growth, Digestion, Immunity and Resistance to Ammonia Stress, and Intestinal Microbial Community in Pacific White Shrimp (Litopenaeus vannamei). Fishes 2022, 7, 327. https://doi.org/10.3390/fishes7060327
Gong H, Qin Z, Chen Z, Li J, Chang Z, Li J, Chen P. Effects of Dietary Tannic Acid on Growth, Digestion, Immunity and Resistance to Ammonia Stress, and Intestinal Microbial Community in Pacific White Shrimp (Litopenaeus vannamei). Fishes. 2022; 7(6):327. https://doi.org/10.3390/fishes7060327
Chicago/Turabian StyleGong, Han, Zhen Qin, Zhao Chen, Jitao Li, Zhiqiang Chang, Jian Li, and Ping Chen. 2022. "Effects of Dietary Tannic Acid on Growth, Digestion, Immunity and Resistance to Ammonia Stress, and Intestinal Microbial Community in Pacific White Shrimp (Litopenaeus vannamei)" Fishes 7, no. 6: 327. https://doi.org/10.3390/fishes7060327
APA StyleGong, H., Qin, Z., Chen, Z., Li, J., Chang, Z., Li, J., & Chen, P. (2022). Effects of Dietary Tannic Acid on Growth, Digestion, Immunity and Resistance to Ammonia Stress, and Intestinal Microbial Community in Pacific White Shrimp (Litopenaeus vannamei). Fishes, 7(6), 327. https://doi.org/10.3390/fishes7060327

