Next Article in Journal
Trawl Fishing Fleet Operations Used to Illustrate the Life Cycle of the Southern Brown Shrimp: Insights to Management and Sustainable Fisheries
Previous Article in Journal
Molecular Cloning of Heat Shock Protein 60 (SpHSP60) from Schizothorax prenanti and the Gene Expressions of Four SpHSPs during Lipopolysaccharide (LPS) Infection
 
 
Font Type:
Arial Georgia Verdana
Font Size:
Aa Aa Aa
Line Spacing:
Column Width:
Background:
Article

Conversion of Fishery Waste to Proteases by Streptomyces speibonae and Their Application in Antioxidant Preparation

1
Doctoral Program in Applied Sciences, Tamkang University, New Taipei City 25137, Taiwan
2
Faculty of Natural Sciences and Technology, Tay Nguyen University, Buon Ma Thuot City 630000, Vietnam
3
Institute of Biotechnology and Environment, Tay Nguyen University, Buon Ma Thuot City 630000, Vietnam
4
Department of Chemistry, Tamkang University, New Taipei City 25137, Taiwan
5
Life Science Development Center, Tamkang University, New Taipei City 25137, Taiwan
*
Author to whom correspondence should be addressed.
Fishes 2022, 7(3), 140; https://doi.org/10.3390/fishes7030140
Submission received: 9 May 2022 / Revised: 11 June 2022 / Accepted: 11 June 2022 / Published: 14 June 2022

Abstract

Proteinaceous wastes from the fishery process are an abundant renewable resource for the recovery of a variety of high-value products. This work attempted to utilize several proteinaceous wastes to produce proteases using the Streptomyces speibonae TKU048 strain. Among different possible carbon and nitrogen sources, the protease productive activity of S. speibonae TKU048 was optimal on 1% tuna head powder. Further, the casein/gelatin/tuna head powder zymography of the crude enzyme revealed the presence of three/nine/six proteases, respectively. The crude-enzyme cocktail of S. speibonae TKU048 exhibited the best proteolytic activity at 70 °C and pH = 5.8. Sodium dodecyl sulfate strongly enhanced the proteolytic activity of the cocktail, whereas FeCl3, CuSO4, and ethylenediaminetetraacetic acid could completely inhibit the enzyme activity. Additionally, the crude-enzyme cocktail of S. speibonae TKU048 could efficiently enhance the 2,2-diphenyl-1-picrylhydrazyl and 2,2′-azino-bis(3-ethylbenzothiazoline-6-sulfonic acid) radical scavenging activities of all tested proteinaceous materials including the head, viscera, and meat of tuna fish; the head, viscera, and meat of tilapia fish; the head, meat, and shell of shrimp; squid pen; crab shell; and soybean. Taken together, S. speibonae TKU048 revealed potential in the reclamation of proteinaceous wastes for protease production and antioxidant preparation.

Graphical Abstract

1. Introduction

Annually, fishery processes discard over 20 million tonnes of waste. Typically, these kinds of discards are landfilled, burned, dumped, or abandoned, resulting in a variety of environment, biodiversity, and detrimental health issues [1,2]. Many kinds of fishery wastes, such as fish head, viscera, and skin; squid pen; shrimp head and shell; and crab shell, are largely composed of protein, which could be reutilized for a wide array of purposes [1,3,4]. Of them, proteinaceous wastes from the fishery processes have been gaining great interest in recent years from numerous researchers, concerning the conversion of these materials to high-value products via microbes. In view of this, they can serve as the organic source for the growth and biosynthetic activity of microbes. Accordingly, a great number of bioproducts have been produced from the microbial conversion of proteinaceous wastes from the fishery processes, such as enzymes [3,5], anti-diabetes agents [6], tyrosinase inhibitors [7], prodigiosin [8], chitin [9], and exopolysaccharides [10].
Proteases are an essential enzyme group present in most living organisms [11]. Their catalytic function is expressed through their ability to hydrolyze the peptide bonds in the protein molecules. Industrially, proteases have long been used in pharmaceutical, feed, leather, detergent, and food industries [12]. Industrial proteases could be produced by a wide spectrum of living organisms, including animals (i.e., rennin from the calf), plants (i.e., papain from papaya and bromelain from bromelin), and microbes (i.e., subtilisin A from Bacillus licheniformis, pronase E from Streptomyces sp. and protease from Aspergillus oryzae). Among these, proteases from the microbial source are of high interest; as a result, the production of proteases using microbes is being constantly exploited [13]. Despite the high demand for enzymes, their price of production and use is still relatively high, which consequently limits their application. By using proteinaceous wastes, especially fishery wastes, as nutrient supplements for fermentation processes, the production cost of enzymes may be reduced to some extent, simultaneously resolving the bioremediation aspect [14,15].
Streptomyces is a genus of soil actinomycetes that is a worthy source of various bioactive compounds [16]. As enzyme sources, many Streptomyces strains have been discovered to produce various extracellular enzymes such as chitinase, xylanase, lipase, cellulase, pectinase, amylase, and protease [17,18,19,20,21,22]. Streptomyces enzymes are well known for their outstanding catalytic properties, such as thermostability and broad pH range, making them suitable for use in different industrial sections [17]. On the other hand, despite the ability of Streptomyces to valorize biowastes to produce enzymes, only a few studies on the protease production via this genus attempt to use proteinaceous wastes as the unique C/N sources [23]. In a previous study, S. speibonae was used to utilize wastes for the production of chitinase [19]. However, to the best of our knowledge, there is no report of producing protease using this strain. Therefore, this study attempted to produce proteases using proteinaceous wastes from the fishery process via S. speibonae TKU048. This study also provided some basic information on the protease expression of S. speibonae TKU048 on the mediums containing different carbon/nitrogen (C/N) sources. The influence of pH, temperature, and chemicals on protease activity was examined to determine the biochemical properties of the crude-enzyme cocktail of S. speibonae TKU048. Proteases are well-known effective and eco-friendly tools to extract antioxidant peptides from fishery wastes. Therefore, the potential use of the proteases from S. speibonae TKU048 in antioxidant preparation was also explored herein. Accordingly, the crude-enzyme cocktail of S. speibonae TKU048 was used to hydrolyze some proteinaceous materials, and the obtained hydrolysates were evaluated for their antioxidant activity using 2,2-diphenyl-1-picrylhydrazyl and 2,2′-azino-bis(3-ethylbenzothiazoline-6-sulfonic acid) radicals scavenging assays.

2. Materials and Methods

2.1. Materials

Tuna fish and tilapia fish were purchased from Carrefour (Danshui, New Taipei, Taiwan). Tiger shrimps, white shrimps, soybean, and salted chicken eggs were purchased from PX Mart (Danshui, New Taipei, Taiwan). Squid pens and crab shells were obtained from Shin-Ma Frozen Food Co. (I-Lan, Taiwan). Commercial shrimp heads were obtained from Fwu-Sow Industry (Taichung, Taiwan). Bacillus licheniformis TKU004, Paenibacillus macerans TKU029, Paenibacillus mucilaginosus TKU032, Paenibacillus sp. TKU042, Streptomyces thermocarboxydus TKU045, and S. speibonae TKU048 were provided by the laboratory of Microbiology and Biochemistry, Chemistry Department, Tamkang University (New Taipei, Taiwan). Azocasein, 2,2-diphenyl-1-picryl-hydrazyl-hydrate (DPPH), Folin–Ciocalteu’s phenol reagent, 2,2’-azino-bis(3-ethylbenzothiazoline-6-sulfonic acid) (ABTS), trichloroacetic acid (TCA), fibrinogen (fraction I, type I-S: from bovine plasma), albumin from human serum (HSA), albumin from bovine serum (BSA), hemoglobulin from bovine blood, elastin from bovine neck ligament, gelatin from bovine skin (type B), myoglobin from equine heart, collagen from bovine Achilles tendon were purchased from Sigma-Aldrich Corp. (St. Louis, MO, USA). Keratin (partially sulfonated, 5% in water) and casein from milk were purchased from Tokyo Chemical Industry Co., Ltd. (Toshima, Kita-ku, Tokyo, Japan) and Katayama Chemical Co., Ltd. All other reagents used were of the highest grade available.

2.2. Protease Production

The medium used for protease production contained 1% of proteinaceous material, 0.1% K2HPO4, and 0.05% MgSO4. The proteinaceous materials included nutrient broth (NB), ISP-2, salted chicken egg white (SEW1), dialyzed salted chicken egg white (SEW2), tiger shrimp head powder (SHP1), white shrimp head powder (SHP2), commercial shrimp head powder (SHP3), tuna viscera powder (TVP), and tuna head powder (THP). Fifty milliliters of medium was prepared in a 250 mL flask and incubated at a temperature of 37 °C and shaking speed of 150 rpm.

2.3. Protease Activity

Protease activity was assayed using azocasein as the substrate by the following method. Briefly, the culture supernatant (50 μL) was added to 100 μL of azocasein (1% in 100 mM Tris-HCl buffer, pH = 7) and the mixture was incubated at 37 °C for 1 h. Then, the reaction was stopped by adding 300 μL of TCA (5%). The absorbance of the final solution was measured at 415 nm. One unit of enzyme activity was defined as the amount of enzyme that caused a change of 0.01 in the absorbance at 415 nm in 60 min at 37 °C.

2.4. Zymogram

The culture supernatants were analyzed by using 10% SDS-PAGE containing 0.05% of a substrate of protease (casein, gelatin, and THP). The sample was prepared by mixing 5 µL of culture supernatant with 2 µL of loading buffer (consisting of 2% SDS, 0.1% bromophenol blue, and 10% glycerol). The electrophoresis was carried out under the following conditions: 114 V and 4 °C. When NB, ISP-2, casein, SEW1, SEW2, SHP1, SHP2, SHP3, THP, and TVP were used as C/N sources, the amount of total protein of the culture supernatants was 2.68 ± 0.06; 8.14 ± 0.31; 3.29 ± 0.07; 2.74 ± 0.03; 4.66 ± 0.12; 0.72 ± 0.06; 0.84 ± 0.05; 0.54 ± 0.03; 0.62 ± 0.07; and 3.58 ± 0.26 mg/mL, respectively. The TKU048 crude-enzyme cocktails also were analyzed using the same assay mentioned above. The amount of total protein of S. speibonae TKU048 crude enzyme when using THP as a C/N source was 1.97 ± 0.06 mg/mL. After electrophoresis, the gel was thoroughly washed with 2% Triton X-100, followed by washing with 50 mM Tris-HCl buffer (pH = 7), then by incubation at 37 °C for 1 day. Finally, the gel was stained with Coomassie Brilliant Blue dye for 4 h and destained with distilled water.

2.5. Effects of Temperature and pH

The optimal temperature of S. speibonae TKU048′s crude-enzyme cocktail was investigated by incubating the mixtures of enzyme (50 μL, the amount of total protein of TKU048 crude enzyme was 1.97 ± 0.06 mg/mL) and azocasein (100 μL, 1% (w/v) in 100 mM Tris-HCl buffer, pH = 7) at different temperature points (from 30 to 100 °C) for 30 min. The residual activity of the enzyme solutions was used to assess the thermal stability of S. speibonae TKU048′s crude-enzyme cocktail. The optimal pH required for relative protease activities was determined by carrying out an enzyme assay at the optimal temperature with a wide range of pH values (pH = 3.6–10.6) using 100 mM buffers. The buffer systems used were acetate buffer (pH = 3.6–5.6), phosphate buffer (pH = 5.8–7.4), Tris-HCl buffer (pH = 7.2–9.0), and bicarbonate buffer (pH = 9.2–10.6). The pH stability of TKU048 protease was examined by measuring the residual enzymatic activity after incubating the enzyme samples with buffers (100 mM) and with varying pH at 37 °C for 30 min. Residual activities were then measured under standard assay conditions. S. speibonae TKU048′s crude-enzyme cocktail was diluted 5-fold in the same buffer before it was studied.

2.6. Effects of Chemicals

A similar amount of TKU048 protease solutions was incubated with each of different ion metals (BaCl2, CaCl2, FeCl3, FeCl2, FeSO4, CaSO4, CuSO4, MgSO4, MnSO4, and ZnSO4), surfactants (Tween 20, Tween 40, Triton X-100, SDS), ethylenediaminetetraacetic acid (EDTA), phenylmethylsulfonyl fluoride (PMSF), and 2-ME at 4 °C for 30 min. The chemicals and surfactants were investigated at the final concentration of the solution (10 mM and 1%, respectively). S. speibonae TKU048′s crude-enzyme cocktail was diluted 5-fold in the same buffer before it was studied. The residual activity of TKU048 protease was then measured according to the protease activity assay, as described above.

2.7. Substrate Specificity

Different kinds of substrate were used to study the substrate specificity of S. speibonae TKU048 protease, including keratin, HSA, fibrinogen, BSA, myoglobulin, elastin, gelatin, collagen, hemoglobulin, casein. To determine substrate specificity, this study followed the techniques from the previous report [12], with some modifications. Pre-incubation was started by mixing 50 µL of the S. speibonae TKU048′s crude-enzyme cocktail and 100 µL of each proteinaceous material (1% (w/v) in 100 mM of NPB, pH 5.8). The mixture was then kept at 60 °C for 1 h. After that, 600 µL of TCA (20%) was added to stop the reaction. The supernatants obtained by centrifugation at 14,000× g in 10 min were then used in protease testing. Eighty microliters of the supernatants was mixed with 150 µL of NaOH (0.5 M), and 20 µL Folin–Ciocalteu’s phenol reagent. The mixture was kept in the dark for 20 min. The final mixture solution was measured at 655 nm. Protease’s activity is determined in terms of Units, which is the amount in micromoles of tyrosine equivalents released from casein per minute.

2.8. Proteinaceous Material Hydrolysis

A reaction solution consisting of 1% (w/v) of each proteinaceous material, 103 ± 7.79 U/mL proteolytic activity of each enzyme (bromelain, papain, and crude-enzyme cocktails from B. licheniformis TKU004, P. macerans TKU029, P. mucilaginosus TKU032, Paenibacillus sp. TKU042, S. thermocarboxydus TKU045, and S. speibonae TKU048), and 100 mM of phosphate buffer (pH = 5.8) was incubated at 60 °C for 15 h. After incubation time, the reaction was terminated by heating at 100 °C for 10 min, and the soluble material was used for further experiments. The proteinaceous materials included THP, TVP, cTHP, cTVP, TiHP, TiVP, cTiHP, cTiVP, SHP, SSP, CSP, SPP, SBP, TMP, cTMP, TiMP, and cTiMP.

2.9. DPPH Radical Scavenging Activity

The DPPH radical scavenging activity assay was performed according to a previous study [24]. In short, a sample volume of 50 µL was added into a microfuge tube containing 250 µL DPPH solution (1 mM in ethanol), and the mixture was immediately kept in the dark for 2 h. To prepare the control, a 50 µL sample was replaced by 50 µL distilled water. The blank was only ethanol. Then, the developed violet color of the mixture was measured at 515 nm using an ELISA plate reader. The DPPH radical scavenging activity of the sample was determined using the following formula:
DPPH radical scavenging activity = 100 × (Acontrol − Asample)/(Acontrol − Ablank) (%), where Acontrol corresponds to the absorbance at 515 nm of the control; Asample corresponds to the absorbance at 515 nm of the sample; and Ablank corresponds to the absorbance at 515 nm of the blank.

2.10. ABTS Radical Scavenging Activity

The ABTS radical scavenging activity assay was carried out following a previous study [25]. The ABTS radical cation was created by incubating 7 mM ABTS solution with 2.45 mM potassium persulfate solution in a ratio of 1:1 (v/v) in phosphate-buffered saline (PBS) in the dark for 12–16 h at 20 °C. Then, the ABTS solution was diluted with PBS (1×, pH 7.4) with an absorbance of 0.70 (±0.02) at 750 nm. Briefly, a sample volume of 10 µL was added into a microfuge tube containing 490 µL ABTS solution, and the mixture was immediately kept in the dark for 30 min. To prepare the control, a 10 µL sample was replaced by 10 µL PBS. The blank was only PBS. Then, the fluorescent blue color of the mixture was measured at 750 nm using an ELISA plate reader. The ABTS radical scavenging activity of the sample was determined by the following formula:
ABTS radical scavenging activity = 100 × (Acontrol − Asample)/(Acontrol − Ablank) (%), where Acontrol corresponds to the absorbance at 750 nm of the control; Asample corresponds to the absorbance at 750 nm of the sample; and Ablank corresponds to the absorbance at 750 nm of the blank.

3. Results and Discussion

3.1. Protease Production of S. speibonae TKU048 on Different C/N Sources

To identify the preferred C and N nutrients for protease production, S. speibonae TKU048 was cultured in the medium containing 1% (w/v) of each proteinaceous waste as the unique C/N source. Except for the ISP-2 medium, S. speibonae TKU048 could grow well on all agar mediums containing NA (nutrient agar), casein, SEW1, SEW2, SHP1, SHP2, SHP3, THP, and TVP (Figure S1). In liquid mediums, the number of mycelial pellets on SHP1, SHP2, SHP3, THP, and TVP was relatively higher than that on NB, ISP-2, casein, SEW1, and SEW2, indicating that all fishery wastes aided in the growth of TKU048 (Figure S2). As shown in Figure 1a, the protease productivity of S. speibonae TKU048 was stimulated in media containing shrimp head powder (SHP1 (4.95 ± 0.21 U/mL), SHP2 (6.85 ± 1.13 U/mL), and SHP3 (24.95 ± 1.48 U/mL)), TVP (3.10 ± 0.21 U/mL), and THP (38.36 ± 0.28 U/mL). On the contrary, compared to the protease productivity in the casein-containing medium (3.30 ± 0.21 U/mL), it was negatively affected in media containing salted chicken egg white (SEW1 and SEW2). Therefore, S. speibonae TKU048 exhibited the highest protease productivity in the THP-containing medium (Figure 1b). Among the different concentrations of THP used, the highest production was observed in the 1–1.5% interval and after three to four days of incubation. These results suggest that the effective medium for protease production by S. speibonae TKU048 should comprise 1% THP as the sole C/N nutrient and adopt three days of growth. Most of the studies about the protease production by the genus Streptomyces focused on a combination of the extracts (yeast extract, malt extract, peptone, or tryptone) and sugar as the C/N nutrients (Table 1). Only a few reports are currently available on the use of proteinaceous wastes as the sole C/N source, such as poultry wastes [23]. Although fishery by-products have been reported as excellent nutrient sources for microbial growth, enzyme production by the genus Streptomyces using these proteinaceous wastes has not been fully exploited. Therefore, by using only THP as the C/N nutrient for the production of protease, S. speibonae TKU048 may be a potential candidate for the utilization of this kind of fishery wastes and protease production.

3.2. Zymogram of the Enzymes Produced

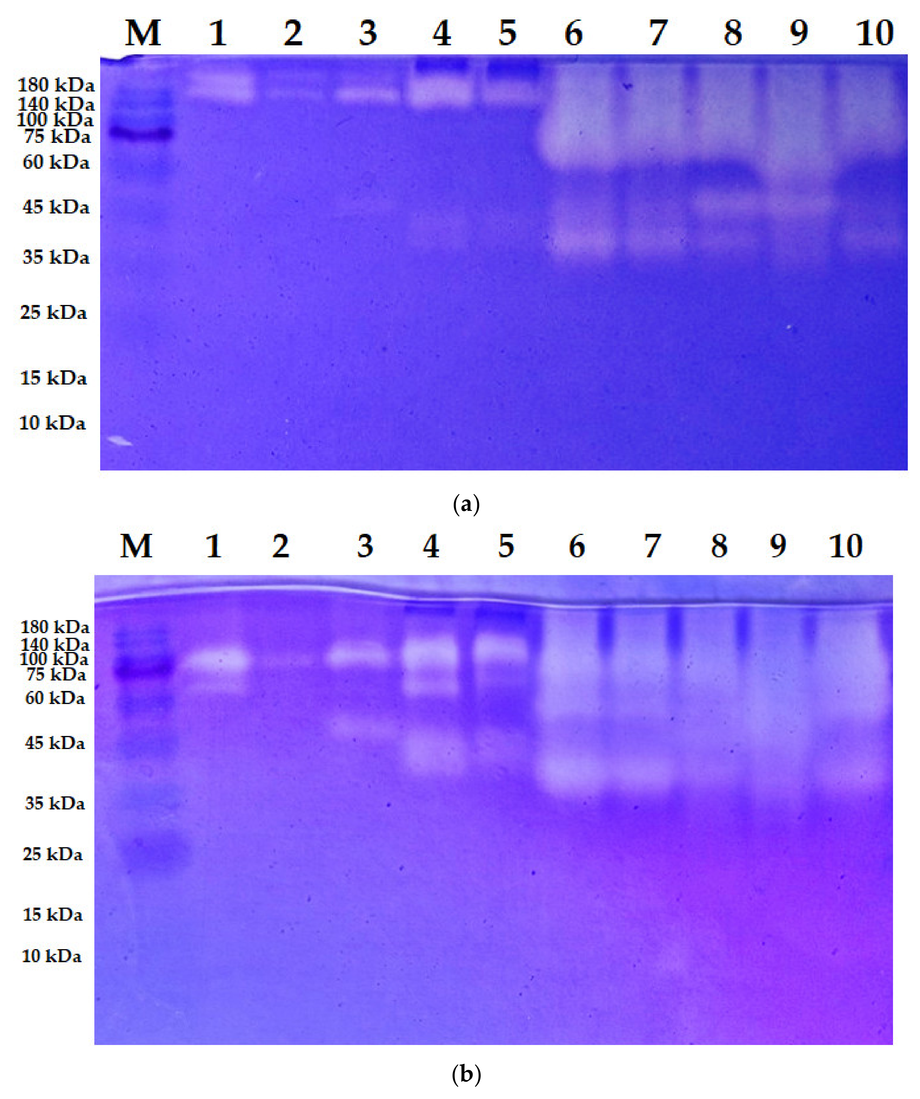
The secretome of S. speibonae TKU048 over different C/N nutrient sources was resolved using SDS-PAGE containing 0.05% of a substrate of protease (gelatin, casein, and THP) to examine the protease expression. As shown in Figure 2, caseinolytic, gelatinolytic, and THP hydrolytic activities were detected in all culture supernatants to a different extent. Overall, the mediums of S. speibonae TKU048 produced a diversity of proteolytic bands with molecular weights (MWs) of >35 kDa. Interestingly, the intensity of the activity bands of casein-, SEW1-, and SEW2-containing mediums, NB and ISP-2 medium was relatively low in comparison to those from SHP1-, SHP2-, SHP3-, THP-, and TVP-containing mediums in all kinds of polyacrylamide gels (casein-, gelatin- and THP-containing gels), confirming the potential of the use of those fishery wastes to produce protease.
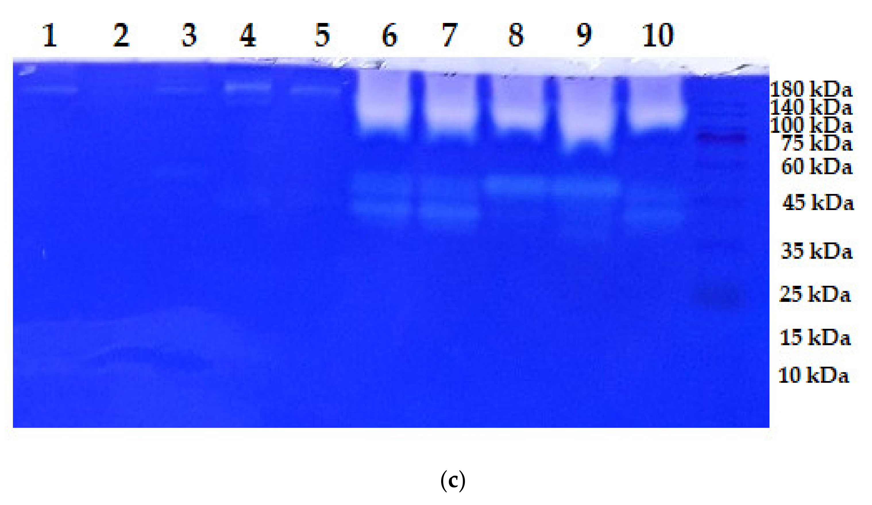
To further explore the protease expression of S. speibonae TKU048 over THP-containing medium, the liquid supernatant was concentrated by (NH4)2SO4, desalted by a dialyzer membrane (6000–8000 Da), dried by the lyophilization method, diluted by the twofold serial dilution method, and then analyzed by sodium dodecyl sulfate–polyacrylamide gel electrophoresis (SDS-PAGE) containing 0.05% of a substrate of protease (casein, gelatin, and THP). In the case of casein-containing gel, the crude enzyme showed three caseinolytic bands at MWs of >140 kDa (2 bands) and 45 kDa (Figure 3a). In the case of gelatin-containing gel, the crude enzyme showed nine gelatinolytic activity bands at MWs of >140, 138, 73, 47, 45, 38, 25, 23, and <10 kDa (Figure 3b). Among them, the intensity of the >140, 138, 73, 47, 45, and 38 kDa bands was relatively higher than that of the 25, 23, and <10 kDa bands, confirming the major contribution to the protein degradation of the proteases corresponding to those bands. To determine the proteases that significantly contribute to the hydrolysis of THP, the crude enzyme was analyzed using THP-containing polyacrylamide gel. The result showed that the crude enzyme produced at least six activity bands at MWs of 138, 88, 47, 38, 25, and <10 kDa (Figure 3c). Among them, the major contributors to the THP hydrolytic activity were 138, 88, and 47 kDa proteases. The MW of proteases from Streptomyces strains is presented in Table 1.

3.3. The Characterization of Crude-Enzyme Cocktail

Among the several temperatures screened (30–100 °C), the crude-enzyme cocktail of S. speibonae TKU048 was found to be optimally active at 70 °C. The activity slightly decreased to 88.69% ± 2.71% at 80 °C and 70.94% ± 2.52% at 90 °C (Figure 4a). The thermal stability of the crude-enzyme cocktail was relatively high since it could retain up to 86.59% ± 8.51% of its original activity after 1 h of pre-incubation at 70 °C. Additionally, the enzyme cocktail could retain over 50% of activity up to 90 °C, and a dramatic decrease in thermal stability was observed at 100 °C (almost lost the activity). These results confirm that the crude-enzyme cocktail of S. speibonae TKU048 contains thermophilic protease(s). Likewise, several previous studies confirmed the presence of thermophilic proteases of Streptomyces [31,38,40]. Among the different pHs screened, the crude-enzyme cocktail of S. speibonae TKU048 was found to be optimally active at pH = 5.8 (using phosphate buffer) and pH = 9 (using Tris-HCl buffer) (Figure 4b). Different optimum pH peaks may be due to the different proteases present in the cocktail. The crude-enzyme cocktail of S. speibonae TKU048 can retain most of the original activity (>70%) after 1 h of pre-incubation at pH = 5.6 using acetate buffer and pH = 5.8–7 using phosphate buffer. Particularly, most proteases from the Streptomyces genus generally act in alkaline conditions [40]. The pH optimum and pH stability results of S. speibonae TKU048′s crude-enzyme cocktail suggest that the cocktail might work efficiently at slightly acidic pH.
The influence of chemicals on the activity of S. speibonae TKU048′s crude-enzyme cocktail was investigated by incorporating them into the cocktail solution. Among the metal salts, the addition of FeCl3 and CuSO4 led to complete inhibition of the activity of the cocktail. The inhibitory effect could also be observed in the presence of BaCl2, FeCl2, MnSO4, and ZnSO4, and the retained activities were 86.60% ± 8.78%, 71.50% ± 5.54%, 54.80% ± 6.47%, and 18.60% ± 9.91%, respectively (Figure 5). On the contrary, some metal salts such as FeSO4, CaSO4, and MgSO4 could slightly enhance the activity of the crude-enzyme cocktail at 117.40% ± 6.63%, 111.60% ± 7.27%, and 113.40% ± 10.61%, respectively. Likewise, the activity of several proteases from the Streptomyces genus was enhanced by Mg2+ and Ca2+ [11,31]. Except for Triton X-100, other surfactants such as Tween 20, Tween 40, and SDS could enhance the activity of the crude-enzyme cocktail to some extent. Interestingly, the addition of SDS could greatly enhance the activity of the cocktail (738.80% ± 57.61%). Its enhancement ability may be related to its effect on substrate solubilization. EDTA, a metalloprotease inhibitor, could completely inhibit the activity of S. speibonae TKU048′s crude-enzyme cocktail, whereas PMSF, a serine protease inhibitor, did not show any inhibitory effect, suggesting that the proteases in the cocktail belong to the metalloprotease group or metal-dependent protease group. Indeed, the addition of EDTA could inhibit all proteolytic bands of the crude-enzyme cocktail (Figure S3). Notably, most proteases from the Streptomyces genus generally belong to the serine protease group [11,31,33,38], and only a few enzymes are metalloproteases [38]. Finally, the addition of 2-ME (2-mercaptoethanol), a reducing agent, only caused partial inhibition of the activity of S. speibonae TKU048′s crude-enzyme cocktail (63.60% ± 3.60%).

3.4. Substrate Specificity of Protease

The S. speibonae TKU048′s crude-enzyme cocktail had the capability to effectively hydrolyze various types of proteins, including casein, albumin (BSA and HSA), hemoglobulin, fibrinogen, and myoglobulin (Table 2). Among them, the best substrate for the enzyme cocktail was casein (100% ± 3.32%), then followed by BSA (62.29% ± 2.81%), hemoglobulin (54.14% ± 4.00%), HSA (48.20% ± 4.92%), fibrinogen (46.6% ± 3.98%), and myoglobulin (41.37% ± 1.72%). In contrast, gelatin, keratin, elastin, and collagen were not efficient substrates for S. speibonae TKU048′s crude-enzyme cocktail when less than 10% relative activity (compared with the activity on casein) was observed on these kinds of proteins. On these substrates, the protease activity of S. speibonae TKU048′s crude-enzyme cocktail was less than 16%. These results suggest that in S. speibonae TKU048′s crude-enzyme cocktail, caseinolytic activity predominates over other proteolytic activities. According to Figure 3a, the major proteases that contributed to the caseinolytic activity of the enzyme cocktail were the >140 kDa protease and the 138 kDa protease. However, Figure 3b,c also show that these enzymes were not the major contributors to gelatinolytic and THP lytic activities.

3.5. Antioxidant from the Hydrolysis of Fish Materials

Protein hydrolysates are abundant sources of antioxidants, and as a result, the bioconversion of proteinaceous wastes from the fishery process to antioxidants has been gaining attention over the past years. To date, the antioxidant extraction process from proteinaceous wastes has been efficiently performed using the enzymatic method. Since this green technique is highly dependent on the properties of the hydrolytic enzymes and the source materials, the search for efficient processes to hydrolyze proteinaceous wastes to generate antioxidants is ongoing. In this study, the hydrolysates of various proteinaceous wastes catalyzed by S. speibonae TKU048′s crude-enzyme cocktail, papain, and bromelain were explored for their antioxidant activity. The proteinaceous wastes included THP, TVP, cTHP, cTVP, TiHP, TiVP, cTiHP, cTiVP, SHP, SSP, CSP, and SPP. Furthermore, other proteinaceous materials were also investigated for the production of antioxidants, such as SBP, TMP, cTMP, TiMP, and cTiMP. The 2,2-diphenyl-1-picrylhydrazyl (DPPH) radical scavenging activity of the hydrolysates is shown in Figure 6a. The hydrolysates of SBP, THP, TiHP, TiMP, SHP, SMP, SSP, CSP, SPP, cTHP, cTMP, cTVP, cTiHP, cTiMP, and cTiVP produced by S. speibonae TKU048′s crude-enzyme cocktail exhibited higher DPPH radical scavenging activity than those produced by papain and bromelain, ranging from 38.14% to 70.73% (Table S1). On the contrary, the hydrolysates of TMP, TVP, and TiVP produced by S. speibonae TKU048′s crude-enzyme cocktail and papain were not significantly different. Moreover, all the hydrolysates produced by S. speibonae TKU048′s crude-enzyme cocktail showed higher DPPH radical scavenging activity than the respective original materials, indicating the effectiveness of the cocktail in antioxidant production. Among other enzymes, compared to the control groups, papain could increase the DPPH radical scavenging activity of THP, TMP, TiHP, SSP, CSP, cTMP, cTVP, and cTiMP, whereas bromelain could only increase the activity of SHP. Importantly, the original materials also exhibited DPPH radical scavenging activity to some extent. Figure 6b shows the analyses of the ABTS radical scavenging activity of the hydrolysates produced by S. speibonae TKU048′s crude-enzyme cocktail, papain, and bromelain. S. speibonae TKU048′s crude-enzyme could increase the ABTS radical scavenging activity of all proteinaceous materials, ranging from 12.31% to 74.26% (Table S1), whereas papain increased the activity of SBP, TMP, TVP, TiHP, TiMP, TiVP, SMP, SSP, CSP, SPP, cTMP, cTiHP, and cTiMP, and bromelain increased the activity of SBP, TMP, TVP, TiHP, TiMP, SMP, SSP, CSP, cTHP, cTMP, cTVP, cTiHP, and cTiMP. When comparing the effectiveness of the enzymes, except for the hydrolysates of cTiMP, all the hydrolysates produced by S. speibonae TKU048′s crude enzyme exhibited higher ABTS radical scavenging activity than those produced by other proteases. Considering the use of proteinaceous wastes in the antioxidant production, S. speibonae TKU048′s crude-enzyme cocktail could efficiently enhance the DPPH and ABTS radical scavenging activity of tuna head, tuna viscera, tilapia head, tilapia viscera, shrimp head, shrimp shell, crab shell, and squid pen. Thus, S. speibonae TKU048′s crude-enzyme cocktail could be used as a “green” and effective tool to obtain antioxidants from fishery process wastes.

3.6. Comparison of the Antioxidant Activity of Proteinaceous Wastes Hydrolysates Catalyzed by Different Crude-Enzyme Cocktails

For a more exhaustive comparison of the antioxidant activity of the hydrolysates of proteinaceous wastes from the fishery process produced by different microbial proteases, the crude-enzyme cocktails of six proteolytic bacterial strains including B. licheniformis TKU004, P. macerans TKU029, P. mucilaginosus TKU032, Paenibacillus sp. TKU042, S. thermocarboxydus TKU045, and S. speibonae TKU048 were used to hydrolyze THP, TVP, TiHP, TiVP, SHP, SSP, CSP, and SPP. In the DPPH radical scavenging test, all hydrolysates produced by the crude-enzyme cocktail of S. speibonae TKU048 introduced a higher activity than the hydrolysates produced by other crude-enzyme cocktails, ranging from 60.01% to 78.21% (Figure 7, Table S2). B. licheniformis TKU004′s crude-enzyme cocktail could significantly enhance the antioxidant activity of THP (53.88% ± 2.28%), TiVP (52.35% ± 5.34%), and CSP (31.08% ± 0.71%). The activity of THP using P. macerans TKU029′s crude-enzyme cocktail was 47.68% ± 0.46%; the activity of THP using P. mucilaginosus TKU032′s crude-enzyme cocktail was 51.10% ± 3.97%, and that of TiVP was 57.70% ± 3.47%. Further, the activity of THP using Paenibacillus sp. TKU042′s crude-enzyme cocktail was 51.73% ± 0.84%, that of TVP was 56.27% ± 0.85%, and TiVP was 52.02% ± 3.86%. The activity of TiHP using S. thermocarboxydus TKU045′s crude-enzyme cocktail was 37.08% ± 5.39% and those of CSP and SPP were 41.54% ± 3.28% and 38.73% ± 4.71%, respectively. In the ABTS radical scavenging test, the crude-enzyme cocktails from B. licheniformis TKU004, P. macerans TKU029, P. mucilaginosus TKU032, Paenibacillus sp. TKU042, S. thermocarboxydus TKU045, and S. speibonae TKU048 could enhance the antioxidant activity of proteinaceous wastes with the antioxidant activity in ranges of 12.56–77.59%, 6.41–77.67%, 12.01–73.70%, 9.06–68.95%, 21.05–72.30%, and 17.93–84.76%, respectively. Among the fishery wastes, crude-enzyme cocktails of B. licheniformis TKU004 and S. thermocarboxydus TKU045 exhibited the highest enhancing effect on TVP (ABTS radical scavenging activity of 77.59% ± 3.85%) and SHP (ABTS radical scavenging activity of 73.23% ± 5.17%). TVP was also the most preferred substrate for producing antioxidants by using P. macerans TKU029, P. mucilaginosus TKU032, and Paenibacillus sp. TKU042′s crude-enzyme cocktails as the catalysts (with ABTS radical scavenging activity of 77.67% ± 2.86%, 73.70% ± 2.75%, and 68.95% ± 3.96%, respectively), whereas SPP was the most suitable substrate when using the crude-enzyme cocktail of S. speibonae TKU048 (ABTS radical scavenging activity of 84.76% ± 1.65%) (Table S3).

4. Conclusions

Proteinaceous wastes from the fishery process are available in large quantities and the cost is low. Therefore, many studies have attempted to utilize proteinaceous wastes for the production of bioactive compounds. In this study, the protease production of S. speibonae TKU048 using tuna head powder as the sole carbon and nitrogen source resulted in the highest value compared to other proteinaceous wastes. The zymography results indicate that S. speibonae TKU048 strain secretes various proteases onto the tuna-head-containing medium to degrade protein. The crude-enzyme cocktail collected by growing S. speibonae TKU048 on a tuna-head-containing medium was highly active and stable at elevated temperatures. The proteases in the cocktail may belong to the metalloprotease group or metal-dependent protease group. Finally, S. speibonae TKU048′s crude-enzyme cocktail could efficiently enhance the antioxidant of all tested proteinaceous materials. To conclude, the findings of this study are consistent with the trend of green technologies and contribute to effectively utilizing the fishery wastes for producing high-value products.

Supplementary Materials

The following supporting information can be downloaded at https://www.mdpi.com/article/10.3390/fishes7030140/s1: Figure S1: The growth of S. speibonae TKU048 cells on an agar plate containing 1% of different C/N sources ((a) NB, (b) ISP-2, (c) casein, (d) SEW1, (e) SEW2, (f) SHP1, (g) SHP2, (h) SHP3, (i) THP, and (j) TVP), 0.05% MgSO4, 1% K2HPO4, and 2% agar at 37 °C for 3 days. Figure S2: Growth of the strain S. speibonae TKU048 in 50 mL of liquid medium in an Erlenmeyer flask (250 mL) contained 1% of different C/N sources ((a) NB, (b) ISP-2, (c) casein, (d) SEW1, (e) SEW2, (f) SHP1, (g) SHP2, (h) SHP3, (i) THP, and (j) TVP), 0.05% MgSO4, and 1% K2HPO4, in a shaking incubator at 150 rpm for 3 days at 37 °C. S: with S. speibonae TKU048; C: without S. speibonae TKU048. Figure S3: In-gel detection of the inhibitory effect of EDTA. M, protein markers; 1, without EDTA; 2, with EDTA. Table S1: DPPH and ABTS radical scavenging activity of the hydrolysates produced by papain, bromelain, and S. speibonae TKU048′s crude-enzyme cocktail. All data points are means ± S.D. of three different replicates. Table S2: DPPH radical scavenging activity of the hydrolysates produced by crude-enzyme cocktails from different proteolytic bacterial strains. All data points are means ± S.D. of three different replicates. Table S3: ABTS radical scavenging activity of the hydrolysates produced by crude-enzyme cocktails from different proteolytic bacterial strains. All data points are means ± S.D. of three different replicates.

Author Contributions

Conceptualization, T.N.T., C.T.D. and S.-L.W.; methodology T.N.T., C.T.D. and S.-L.W.; software and validation, T.N.T. and S.-L.W.; formal analysis, T.N.T., C.T.D., V.B.N., A.D.N. and S.-L.W.; investigation, T.N.T., C.T.D. and S.-L.W.; resources, S.-L.W. data curation, T.N.T.; writing—original draft preparation, T.N.T.; writing—review and editing, T.N.T. and S.-L.W.; supervision, S.-L.W.; visualization and project administration, S.-L.W. All authors have read and agreed to the published version of the manuscript.

Funding

This research was funded by a grant from the Ministry of Science and Technology, Taiwan (MOST 110-2320-B-032-001; MOST-110-2923-B-032-001).

Data Availability Statement

The data presented in this study are available on request from the corresponding author.

Conflicts of Interest

The authors declare no conflict of interest.

References

  1. Racioppo, A.; Speranza, B.; Campaniello, D.; Sinigaglia, M.; Corbo, M.R.; Bevilacqua, A. Fish loss/waste and low-value fish challenges: State of art, advances, and perspectives. Foods 2021, 10, 2725. [Google Scholar] [CrossRef] [PubMed]
  2. Caruso, G. Fishery wastes and by-products: A resource to be valorised. J. Fish. Sci. 2015, 9, 80–83. [Google Scholar]
  3. Wang, C.H.; Doan, C.T.; Nguyen, V.B.; Nguyen, A.D.; Wang, S.L. Reclamation of fishery processing waste: A mini-review. Molecules 2019, 24, 2234. [Google Scholar] [CrossRef] [PubMed]
  4. De la Fuente, B.; Pallarés, N.; Berrada, H.; Barba, F.J. Salmon (Salmo salar) Side streams as a bioresource to obtain potential antioxidant peptides after applying pressurized liquid extraction (PLE). Mar. Drugs 2021, 19, 323. [Google Scholar] [CrossRef]
  5. Das, S.; Roy, D.; Sen, R. Utilization of chitinaceous wastes for the production of chitinase. Adv. Food Nutr. Res. 2016, 78, 27–46. [Google Scholar]
  6. Nguyen, V.B.; Wang, S.L. Production of potent antidiabetic compounds from shrimp head powder via Paenibacillus conversion. Process Biochem. 2019, 76, 18–24. [Google Scholar] [CrossRef]
  7. Hsu, C.H.; Nguyen, A.D.; Chen, Y.W.; Wang, S.L. Tyrosinase inhibitors and insecticidal materials produced by Burkholderia cepacia using squid pen as the sole carbon and nitrogen source. Res. Chem. Intermed. 2014, 40, 2249–2258. [Google Scholar] [CrossRef]
  8. Nguyen, T.H.; Wang, S.L.; Nguyen, D.N.; Nguyen, A.D.; Nguyen, T.H.; Doan, M.D.; Ngo, V.A.; Doan, C.T.; Kuo, Y.H.; Nguyen, V.B. Bioprocessing of Marine Chitinous Wastes for the Production of Bioactive Prodigiosin. Molecules 2021, 26, 3138. [Google Scholar] [CrossRef]
  9. Doan, C.T.; Tran, T.N.; Nguyen, V.B.; Vo, T.P.K.; Nguyen, A.D.; Wang, S.L. Chitin extraction from shrimp waste by liquid fermentation using an alkaline protease-producing strain, Brevibacillus parabrevis. Int. J. Biol. Macromol. 2019, 131, 706–715. [Google Scholar] [CrossRef]
  10. Liang, T.W.; Tseng, S.C.; Wang, S.L. Production and characterization of antioxidant properties of exopolysaccharides from Paenibacillus mucilaginosus TKU032. Mar. Drugs 2016, 14, 40. [Google Scholar] [CrossRef]
  11. Ben Elhoul, M.; Jaouadi, N.Z.; Rekik, H.; Bejar, W.; Touioui, S.B.; Hmidi, M.; Badis, A.; Bejar, S.; Jaouadi, B. A novel detergent-stable solvent-tolerant serine thiol alkaline protease from Streptomyces koyangensis TN650. Int. J. Biol. Macromol. 2015, 79, 871–882. [Google Scholar] [CrossRef]
  12. Lee, D.-H.; Doan, C.T.; Tran, T.N.; Nguyen, V.B.; Nguyen, A.D.; Wang, C.-L.; Wang, S.-L. Proteases production and chitin preparation from the liquid fermentation of chitinous fishery by-products by Paenibacillus elgii. Mar. Drugs 2021, 19, 477. [Google Scholar] [CrossRef]
  13. Doan, C.T.; Tran, T.N.; Wen, I.-H.; Nguyen, V.B.; Nguyen, A.D.; Wang, S.-L. Conversion of shrimp head waste for production of a thermotolerant, detergent-stable, alkaline protease by Paenibacillus sp. Catalysts 2019, 9, 798. [Google Scholar] [CrossRef]
  14. Doan, C.T.; Tran, T.N.; Wang, S.L. Production of thermophilic chitinase by Paenibacillus sp. TKU052 by bioprocessing of chitinous fishery wastes and its application in N-acetyl-D-glucosamine production. Polymers 2021, 13, 3048. [Google Scholar] [CrossRef]
  15. Shereena, E.K.; Nisha, M.K.; Gaayathiri Devi, E. Chitinase production by Aspergillus terreus from marine wastes and its efficacy in antifungal activity. Int. J. Adv. Res. 2020, 8, 1399–1404. [Google Scholar]
  16. Sánchez-Suárez, J.; Coy-Barrera, E.; Villamil, L.; Díaz, L. Streptomyces-derived metabolites with potential photoprotective properties—A systematic literature review and meta-analysis on the reported chemodiversity. Molecules 2020, 25, 3221. [Google Scholar] [CrossRef]
  17. Kumar, M.; Kumar, P.; Das, P.; Solanki, R.; Kapur, M.K. Potential applications of extracellular enzymes from Streptomyces spp. in various industries. Arch. Microbiol. 2020, 202, 1597–1615. [Google Scholar] [CrossRef]
  18. Tran, T.N.; Doan, C.T.; Wang, S.-L. Conversion of wheat bran to xylanases and dye adsorbent by Streptomyces thermocarboxydus. Polymers 2021, 13, 287. [Google Scholar] [CrossRef]
  19. Tran, T.N.; Doan, C.T.; Nguyen, M.T.; Nguyen, V.B.; Vo, T.P.K.; Nguyen, A.D.; Wang, S.L. An exochitinase with N-acetyl-β-glucosaminidase-like activity from shrimp head conversion by Streptomyces speibonae and its application in hydrolyzing β-chitin powder to produce N-acetyl-d-glucosamine. Polymers 2019, 11, 1600. [Google Scholar] [CrossRef]
  20. Xia, W.; Hu, M.; Pan, Y.; Wu, D.; Wu, J. Improved production of Streptomyces sp. FA1 xylanase in a dual-plasmid Pichia pastoris System. Curr. Issues Mol. Biol. 2021, 43, 2289–2304. [Google Scholar] [CrossRef]
  21. Tran, T.N.; Doan, C.T.; Nguyen, V.B.; Nguyen, A.D.; Wang, S.L. The isolation of chitinase from Streptomyces thermocarboxydus and its application in the preparation of chitin oligomers. Res. Chem. Intermed. 2019, 45, 727–742. [Google Scholar] [CrossRef]
  22. Nguyen, T.N.T.; Chataway, T.; Araujo, R.; Puri, M.; Franco, C.M.M. Purification and characterization of a novel alginate lyase from a marine Streptomyces species isolated from seaweed. Mar. Drugs 2021, 19, 590. [Google Scholar] [CrossRef] [PubMed]
  23. Manivasagan, P.; Venkatesan, J.; Sivakumar, K.; Kim, S.K. Production, characterization and antioxidant potential of protease from Streptomyces sp. MAB18 using poultry wastes. BioMed. Res. Int. 2013, 2013, 496586. [Google Scholar] [CrossRef] [PubMed]
  24. Doan, C.T.; Tran, T.N.; Nguyen, V.B.; Nguyen, A.D.; Wang, S.L. Production of a thermostable chitosanase from shrimp heads via Paenibacillus mucilaginosus TKU032 conversion and its application in the preparation of bioactive chitosan oligosaccharides. Mar. Drugs 2019, 17, 217. [Google Scholar] [CrossRef]
  25. Re, R.; Pellegrini, N.; Proteggente, A.; Pannala, A.; Yang, M.; Rice-Evans, C. Antioxidant activity applying an improved ABTS radical cation decolorization assay. Free Radic. Biol. Med. 1999, 26, 1231–1237. [Google Scholar] [CrossRef]
  26. Dhamodharan, D.; Jemimah Naine, S.; Merlyn Keziah, S.; Subathra Devi, C. Novel fibrinolytic protease producing Streptomyces radiopugnans VITSD8 from marine sponges. Mar. Drugs 2019, 17, 164. [Google Scholar]
  27. Verma, P.; Chatterjee, S.; Merlyn Keziah, S.; Devi, S.C. Fibrinolytic protease from marine Streptomyces rubiginosus VITPSS1. Cardiovasc. Hematol. Agents Med. Chem. 2018, 16, 44–45. [Google Scholar] [CrossRef]
  28. Al-Dhabi, N.A.; Esmail, G.A.; Ghilan, A.M.; Arasu, M.V. Isolation and screening of Streptomyces sp. Al-Dhabi-49 from the environment of Saudi Arabia with concomitant production of lipase and protease in submerged fermentation. Saudi J. Biol. Sci. 2020, 27, 474–479. [Google Scholar] [CrossRef]
  29. Kammoun, M.; Soltana, H.; Nasri, M.; Hmidet, N. Streptomyces flavogriseus HS1: Isolation and characterization of extracellular proteases and their compatibility with laundry detergents. BioMed. Res. Int. 2014, 2014, 345980. [Google Scholar]
  30. Touioui, S.B.; Jaouadi, N.Z.; Boudjella, H.; Ferradji, F.Z.; Belhoul, M.; Rekik, H.; Badis, A.; Bejar, S.; Jaouadi, B. Purification and biochemical characterization of two detergent-stable serine alkaline proteases from Streptomyces sp. strain AH4. World J. Microbiol. Biotechnol. 2015, 31, 1079–1092. [Google Scholar] [CrossRef]
  31. Jaouadi, B.; Abdelmalek, B.; Fodil, D.; Ferradji, F.Z.; Rekik, H.; Zaraî, N.; Bejar, S. Purification and characterization of a thermostable keratinolytic serine alkaline proteinase from Streptomyces sp. strain AB1 with high stability in organic solvents. Bioresour. Technol. 2010, 101, 8361–8369. [Google Scholar] [CrossRef]
  32. Moormann, M.; Schlochtermeier, A.; Schrempf, H. Biochemical characterization of a protease involved in the processing of a Streptomyces reticuli cellulase (avicelase). Appl. Environ. Microbiol. 1993, 59, 1573–1578. [Google Scholar] [CrossRef]
  33. Sarkar, G.; Suthindhiran, K. Extraction and characterization of alkaline protease from Streptomyces sp. GS-1 and its ap-plication as dehairing agent. Biocatal. Agric. Biotechnol. 2020, 25, 101590. [Google Scholar] [CrossRef]
  34. Al-Dhabi, N.A.; Esmail, G.A.; Ghilan, A.M.; Arasu, M.V.; Duraipandiyan, V.; Ponmurugan, K. Characterization and fermentation optimization of novel thermo stable alkaline protease from Streptomyces sp. Al-Dhabi-82 from the Saudi Arabian environment for eco-friendly and industrial applications. J. King Saud Univ.-Sci. 2020, 32, 1258–1264. [Google Scholar] [CrossRef]
  35. Bajaj, B.K.; Sharma, P. An alkali-thermotolerant extracellular protease from a newly isolated Streptomyces sp. DP2. New Biotechnol. 2011, 28, 725–732. [Google Scholar] [CrossRef]
  36. Sun, Z.; Liu, P.; Cheng, G.; Zhang, B.; Dong, W.; Su, X.; Huang, Y.; Cui, Z.; Kong, Y. A fibrinolytic protease AfeE from Streptomyces sp. CC5, with potent thrombolytic activity in a mouse model. Int. J. Biol. Macromol. 2016, 85, 346–354. [Google Scholar] [CrossRef]
  37. Simkhada, J.R.; Mander, P.; Cho, S.S.; Yoo, J.C. A novel fibrinolytic protease from Streptomyces sp. CS684. Process. Biochem. 2010, 45, 88–93. [Google Scholar] [CrossRef]
  38. De Azevedo, L.A.I.; Freire, D.M.G.; Soares, R.M.A.; Leite, S.G.F.; Coelho, R.R.R. Production and partial characterization of thermophilic proteases from Streptomyces sp. isolated from Brazilian cerrado soil. Enzym. Microb. Technol. 2004, 34, 354–358. [Google Scholar] [CrossRef]
  39. Çorbacı, C.; Özcan, K. Streptomyces sp. K47 alkaline proteases: Partial purification and analysis by zymography. Acta Sci. Technol. 2021, 43, e51486. [Google Scholar] [CrossRef]
  40. Nagpure, A.; Choudhary, B.; Gupta, R.K. Mycolytic enzymes produced by Streptomyces violaceusniger and their role in antagonism towards wood-rotting fungi. J. Basic Microbiol. 2014, 54, 397–407. [Google Scholar] [CrossRef]
  41. Chi, W.J.; Kim, Y.H.; Kim, J.H.; Kang, D.K.; Kang, S.S.; Suh, J.W.; Hong, S.K. Streptomyces griseus trypsin has gelatinase activity and its proteolytic activity is enhanced manganese. J. Microbiol. 2003, 41, 289–294. [Google Scholar]
  42. Al-Askar, A.A.; Rashad, Y.M.; Hafez, E.E.; Abdulkhair, W.M.; Baka, Z.A.; Ghoneem, K.M. Characterization of alkaline protease produced by Streptomyces griseorubens E44G and its possibility for controlling Rhizoctonia root rot disease of corn. Biotechnol. Equip. 2015, 29, 457–462. [Google Scholar] [CrossRef]
  43. Xin, Y.; Sun, Z.; Chen, Q.; Wang, J.; Wang, Y.; Luogong, L.; Li, S.; Dong, W.; Cui, Z.; Huang, Y. Purification and characterization of a novel extracellular thermostable slkaline protease from Streptomyces sp. M30. J. Microbiol. Biotechnol. 2015, 25, 1944–1953. [Google Scholar] [CrossRef]
  44. Kim, I.S.; Lee, K.J. Trypsin-like protease of Streptomyces exfoliatus SMF13, a potential agent in mycelial differentiation. Microbiology 1996, 142, 1797–1806. [Google Scholar] [CrossRef][Green Version]
Figure 1. Effect of the C/N nutrient (a) and tuna head powder (THP) amount (b) on the protease productivity of Streptomyces speibonae TKU048. All data points are means ± S.D. (standard deviation) of three different experiments (each experiment was conducted in triplicate).
Figure 1. Effect of the C/N nutrient (a) and tuna head powder (THP) amount (b) on the protease productivity of Streptomyces speibonae TKU048. All data points are means ± S.D. (standard deviation) of three different experiments (each experiment was conducted in triplicate).
Fishes 07 00140 g001
Figure 2. Detection of proteases using sodium dodecyl sulfate–polyacrylamide gel electrophoresis containing casein (a), gelatin (b), and THP (c). Streptomyces speibonae TKU048 was grown in the medium containing different C/N sources for 3 days to collect the culture supernatants. The C/N sources included NB (lane 1), ISP-2 (lane 2), casein (lane 3), SEW1 (lane 4), SEW2 (lane 5), SHP1 (lane 6), SHP2 (lane 7), SHP3 (lane 8), THP (lane 9), and TVP (lane 10). M, protein markers.
Figure 2. Detection of proteases using sodium dodecyl sulfate–polyacrylamide gel electrophoresis containing casein (a), gelatin (b), and THP (c). Streptomyces speibonae TKU048 was grown in the medium containing different C/N sources for 3 days to collect the culture supernatants. The C/N sources included NB (lane 1), ISP-2 (lane 2), casein (lane 3), SEW1 (lane 4), SEW2 (lane 5), SHP1 (lane 6), SHP2 (lane 7), SHP3 (lane 8), THP (lane 9), and TVP (lane 10). M, protein markers.
Fishes 07 00140 g002aFishes 07 00140 g002b
Figure 3. Detection of proteases in tuna head powder (THP) medium using casein (a), gelatin (b), and THP (c). 1–13, twofold serial dilution of the TKU048 crude enzyme. M, protein markers; *, activity band.
Figure 3. Detection of proteases in tuna head powder (THP) medium using casein (a), gelatin (b), and THP (c). 1–13, twofold serial dilution of the TKU048 crude enzyme. M, protein markers; *, activity band.
Fishes 07 00140 g003
Figure 4. Effect of temperature (a) and pH (b) on the activity (dash line) and stability (solid line) of Streptomyces speibonae TKU048′s crude-enzyme cocktail. (★), optimal temperature; (✰), thermal stability; (◯), acetate buffer (pH = 3.6–5.6); (▲), phosphate buffer (5.8–7.4); (☐), Tris-HCl buffer (pH = 7.2–9.0); (◆), bicarbonate buffer (pH = 9.2–10.6). All data points are means ± S.D. of three different experiments (each experiment was conducted in triplicate). Maximal protease activity was set as 100% relative activity.
Figure 4. Effect of temperature (a) and pH (b) on the activity (dash line) and stability (solid line) of Streptomyces speibonae TKU048′s crude-enzyme cocktail. (★), optimal temperature; (✰), thermal stability; (◯), acetate buffer (pH = 3.6–5.6); (▲), phosphate buffer (5.8–7.4); (☐), Tris-HCl buffer (pH = 7.2–9.0); (◆), bicarbonate buffer (pH = 9.2–10.6). All data points are means ± S.D. of three different experiments (each experiment was conducted in triplicate). Maximal protease activity was set as 100% relative activity.
Fishes 07 00140 g004
Figure 5. Effect of chemicals on the proteolytic activity of Streptomyces speibonae TKU048′s crude-enzyme cocktail. The relative activity of the protease was 100% = 83.33 ± 3.17 U/mL. The protease activity without added chemicals (control) was defined as 100%. All data points are means ± S.D. of three different experiments (each experiment was conducted in triplicate).
Figure 5. Effect of chemicals on the proteolytic activity of Streptomyces speibonae TKU048′s crude-enzyme cocktail. The relative activity of the protease was 100% = 83.33 ± 3.17 U/mL. The protease activity without added chemicals (control) was defined as 100%. All data points are means ± S.D. of three different experiments (each experiment was conducted in triplicate).
Fishes 07 00140 g005
Figure 6. DPPH (a) and ABTS (b) radical scavenging activity of the hydrolysates produced by papain, bromelain, and S. speibonae TKU048′s crude-enzyme cocktail. All data points are means ± S.D. of three different experiments (each experiment was conducted in triplicate).
Figure 6. DPPH (a) and ABTS (b) radical scavenging activity of the hydrolysates produced by papain, bromelain, and S. speibonae TKU048′s crude-enzyme cocktail. All data points are means ± S.D. of three different experiments (each experiment was conducted in triplicate).
Fishes 07 00140 g006
Figure 7. DPPH (a) and ABTS (b) radical scavenging activity of the hydrolysates produced by crude-enzyme cocktails from different proteolytic bacterial strains. All data points are means ± S.D. of three different experiments (each experiment was conducted in triplicate).
Figure 7. DPPH (a) and ABTS (b) radical scavenging activity of the hydrolysates produced by crude-enzyme cocktails from different proteolytic bacterial strains. All data points are means ± S.D. of three different experiments (each experiment was conducted in triplicate).
Fishes 07 00140 g007aFishes 07 00140 g007b
Table 1. A summary of the C/N sources for protease production via Streptomyces strains and molecular weights (MWs) of enzymes produced.
Table 1. A summary of the C/N sources for protease production via Streptomyces strains and molecular weights (MWs) of enzymes produced.
StrainsMW (kDa)C/N SourceRef.
S. speibonae TKU048Three * (>140; >140; and 45)
Nine ** (138; 110; 73; 47; 45; 38; 25; 23; and <10)Tuna head powderThis study
Six *** (138; 88; 47; 38; 25; and <10)
S. radiopugnans VITSD838Maltose and peptone[26]
S. rubiginosus VITPSS145Soybean meal[27]
Streptomyces sp. Al-Dhabi-49 Peptone[28]
S. flavogriseus HS1 **** Dextrin and tryptone[29]
S. koyangensis TN65045Casein, malt extract, and yeast extract[11]
Streptomyces sp. AH436 and 21Casein, malt extract, and yeast extract[30]
Streptomyces sp. AB130Chicken feather[31]
Streptomyces sp. MAB1843Chicken feather and peptone[23]
Streptomyces reticuli36 [32]
Streptomyces sp. GS-130Wheat bran[33]
Streptomyces sp. Al-Dhabi-8237Maltose and
yeast extract
[34]
Streptomyces sp. DP2 Fructose and mustard cake[35]
Streptomyces sp. CC530Tryptone and yeast extract[36]
Streptomyces sp. CS68435Glucose and oatmeal[37]
Streptomyces sp. 594113.7; 63.8; and 49.5Casitone and molasses[38]
Streptomyces sp. K47 Glucose and yeast extract[39]
S. violaceusniger MTCC395922.8; 62.5; 74.6; and 120.5Yeast extract and colloidal chitin[40]
S. griseus IFO1335028 and 30 [41]
S. griseorubens E44G35Glucose, peptone, yeast extract, beef extract, and wheat bran[42]
Streptomyces sp. M3037.1Soluble starch and KNO3[43]
S. exfoliatus SMF1331.8Glucose and sodium caseinate[44]
* On casein-containing polyacrylamide gel; ** on gelatin-containing polyacrylamide gel; *** on THP-containing polyacrylamide gel; **** at least five proteases.
Table 2. The activity of S. speibonae TKU048 protease on different substrates. The protease activity toward casein was set as 100% relative activity. All data points are means ± S.D. of three different experiments (each experiment was conducted in triplicate).
Table 2. The activity of S. speibonae TKU048 protease on different substrates. The protease activity toward casein was set as 100% relative activity. All data points are means ± S.D. of three different experiments (each experiment was conducted in triplicate).
SubstratesRelative Activity (%)
Keratin9.95 ± 0.73
HSA48.20 ± 4.92
BSA62.29 ± 2.81
Fibrinogen46.6 ± 3.98
Myoglobulin41.37 ± 1.72
Elastin4.87 ± 0.33
Gelatin9.62 ± 1.15
Collagen2.11 ± 0.33
Hemoglobulin54.14 ± 4.00
Casein100 ± 3.32
Publisher’s Note: MDPI stays neutral with regard to jurisdictional claims in published maps and institutional affiliations.

Share and Cite

MDPI and ACS Style

Tran, T.N.; Doan, C.T.; Nguyen, V.B.; Nguyen, A.D.; Wang, S.-L. Conversion of Fishery Waste to Proteases by Streptomyces speibonae and Their Application in Antioxidant Preparation. Fishes 2022, 7, 140. https://doi.org/10.3390/fishes7030140

AMA Style

Tran TN, Doan CT, Nguyen VB, Nguyen AD, Wang S-L. Conversion of Fishery Waste to Proteases by Streptomyces speibonae and Their Application in Antioxidant Preparation. Fishes. 2022; 7(3):140. https://doi.org/10.3390/fishes7030140

Chicago/Turabian Style

Tran, Thi Ngoc, Chien Thang Doan, Van Bon Nguyen, Anh Dzung Nguyen, and San-Lang Wang. 2022. "Conversion of Fishery Waste to Proteases by Streptomyces speibonae and Their Application in Antioxidant Preparation" Fishes 7, no. 3: 140. https://doi.org/10.3390/fishes7030140

APA Style

Tran, T. N., Doan, C. T., Nguyen, V. B., Nguyen, A. D., & Wang, S.-L. (2022). Conversion of Fishery Waste to Proteases by Streptomyces speibonae and Their Application in Antioxidant Preparation. Fishes, 7(3), 140. https://doi.org/10.3390/fishes7030140

Article Metrics

Back to TopTop