Immunohistochemical Detection of Various Proteoglycans in the Extracellular Matrix of Zebra Mussels
Abstract
1. Introduction
2. Materials and Methods
3. Results
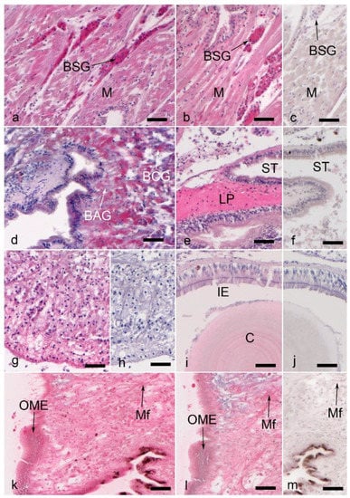
3.1. Collagen IV, Fibronectin, and Keratan Sulfate (MZ15)
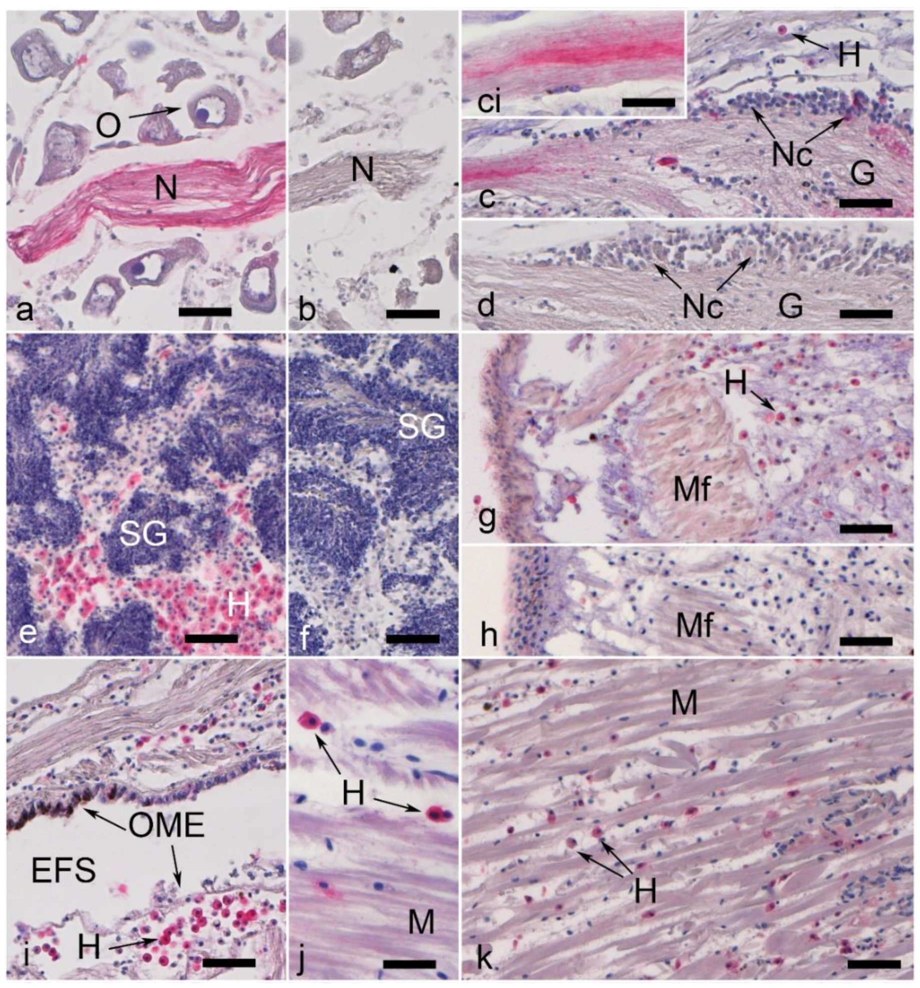
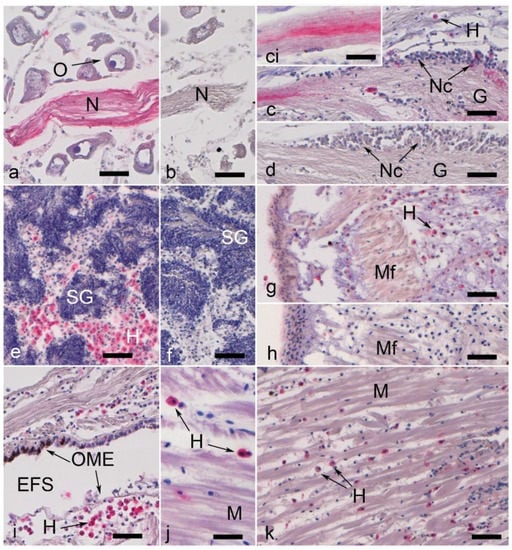
3.2. Aggrecan, Link Protein, Collagen XVIII, and Glycosaminoglycans
3.3. Laminin, Osteonectin, and Decorin
4. Discussion
5. Conclusions
Author Contributions
Funding
Institutional Review Board Statement
Data Availability Statement
Acknowledgments
Conflicts of Interest
References
- Rosenberg, G. A New Critical Estimate of Named Species-Level Diversity of the Recent Mollusca. Am. Malacol. Bull. 2014, 32, 308. [Google Scholar] [CrossRef]
- Lummer, E.-M.; Auerswald, K.; Geist, J. Fine sediment as environmental stressor affecting freshwater mussel behavior and ecosystem services. Sci. Total Environ. 2016, 571, 1340–1348. [Google Scholar] [CrossRef] [PubMed]
- Vaughn, C.C. Ecosystem services provided by freshwater mussels. Hydrobiologia 2018, 810, 15–27. [Google Scholar] [CrossRef]
- Hartmann, J.T.; Beggel, S.; Auerswald, K.; Stoeckle, B.C.; Geist, J. Establishing mussel behavior as a biomarker in ecotoxicology. Aquat. Toxicol. 2016, 170, 279–288. [Google Scholar] [CrossRef] [PubMed]
- Boeker, C.; Lueders, T.; Mueller, M.; Pander, J.; Geist, J. Alteration of physico-chemical and microbial properties in freshwater substrates by burrowing invertebrates. Limnologica 2016, 59, 131–139. [Google Scholar] [CrossRef]
- Zuykov, M.; Pelletier, E.; Harper, D.A.T. Bivalve mollusks in metal pollution studies: From bioaccumulation to biomonitoring. Chemosphere 2013, 93, 201–208. [Google Scholar] [CrossRef]
- Li, J.; Lusher, A.L.; Rotchell, J.M.; Deudero, S.; Turra, A.; Bråte, I.L.N.; Sun, C.; Shahadat Hossain, M.; Li, Q.; Kolandhasamy, P.; et al. Using mussel as a global bioindicator of coastal microplastic pollution. Environ. Pollut. 2019, 244, 522–533. [Google Scholar] [CrossRef]
- Dyachuk, V. Extracellular matrix components in bivalvia: Shell and ECM components in developmental and adult tissues. Fish Aquac. J. 2018, 9, 1000248. [Google Scholar] [CrossRef]
- Brown, N.H. Extracellular matrix in development: Insights from mechanisms conserved between invertebrates and vertebrates. Cold Spring Harb. Perspect. Biol. 2011, 3, a005082. [Google Scholar] [CrossRef]
- Theocharis, A.D.; Skandalis, S.S.; Gialeli, C.; Karamanos, N.K. Extracellular matrix structure. Adv. Drug Deliv. Rev. 2016, 97, 4–27. [Google Scholar] [CrossRef]
- Tanzer, M.L. Current concepts of extracellular matrix. J. Orthop. Sci. 2006, 11, 326–331. [Google Scholar] [CrossRef] [PubMed]
- Ozbek, S.; Balasubramanian, P.G.; Chiquet-Ehrismann, R.; Tucker, R.P.; Adams, J.C. The evolution of extracellular matrix. Mol. Biol. Cell 2010, 21, 4300–4305. [Google Scholar] [CrossRef] [PubMed]
- Matsushiro, A.; Miyashita, T. Evolution of hard-tissue mineralization: Comparison of the inner skeletal system and the outer shell system. J. Bone Miner. Metab. 2004, 22, 163–169. [Google Scholar] [CrossRef] [PubMed]
- Marzocchi, U.; Bonaglia, S.; Zaiko, A.; Quero, G.M.; Vybernaite-Lubiene, I.; Politi, T.; Samuiloviene, A.; Zilius, M.; Bartoli, M.; Cardini, U. Zebra Mussel Holobionts Fix and Recycle Nitrogen in Lagoon Sediments. Front. Microbiol. 2020, 11, 610269. [Google Scholar] [CrossRef] [PubMed]
- Prud’homme, S.M.; Hani, Y.M.I.; Cox, N.; Lippens, G.; Nuzillard, J.-M.; Geffard, A. The zebra mussel (Dreissena polymorpha) as a model organism for ecotoxicological studies: A prior 1H NMR Spectrum Interpretation of a Whole Body Extract for Metabolism Monitoring. Metabolites 2020, 10, 256. [Google Scholar] [CrossRef]
- Viarengo, A.; Canesi, L. Mussels as biological indicators of pollution. Aquaculture 1991, 94, 225–243. [Google Scholar] [CrossRef]
- Sternecker, K.; Geist, J.; Beggel, S.; Dietz-Laursonn, K.; de La Fuente, M.; Frank, H.-G.; Furia, J.P.; Milz, S.; Schmitz, C. Exposure of zebra mussels to extracorporeal shock waves demonstrates formation of new mineralized tissue inside and outside the focus zone. Biol. Open 2018, 7, bio033258. [Google Scholar] [CrossRef]
- Wu, W.; Maffulli, N.; Furia, J.P.; Meindlhumer, L.; Sternecker, K.; Milz, S.; Schmitz, C. Exposure of zebra mussels to radial extracorporeal shock waves: Implications for treatment of fracture nonunions. J. Orthop. Surg. Res. 2021, 16, 707. [Google Scholar] [CrossRef]
- Kertzman, P.; Császár, N.B.M.; Furia, J.P.; Schmitz, C. Radial extracorporeal shock wave therapy is efficient and safe in the treatment of fracture nonunions of superficial bones: A retrospective case series. J. Orthop. Surg. Res. 2017, 12, 164. [Google Scholar] [CrossRef]
- Liu, F.; Reichl, F.-X.; Milz, S.; Wölfle, U.C.; Kühnisch, J.; Schmitz, C.; Geist, J.; Hickel, R.; Högg, C.; Sternecker, K. Disrupted biomineralization in zebra mussels after exposure to bisphenol-A: Potential implications for molar-incisor hypomineralization. Dent. Mater. 2022. ahead of print. [Google Scholar] [CrossRef]
- Titorencu, I.; Pruna, V.; Jinga, V.V.; Simionescu, M. Osteoblast ontogeny and implications for bone pathology: An overview. Cell Tissue Res. 2014, 355, 23–33. [Google Scholar] [CrossRef] [PubMed]
- Kylmaoja, E.; Nakamura, M.; Tuukkanen, J. Osteoclasts and remodeling based bone formation. Curr. Stem Cell Res. Ther. 2016, 11, 626–633. [Google Scholar] [CrossRef] [PubMed]
- American Society of Testing and Materials (ASTM). Standard Guide for Conducting Laboratory Toxicity Tests with Freshwater Mussels. In Annual Book of ASTM Standards; ASTM International: West Conshohocken, PA, USA, 2013; p. 52. [Google Scholar]
- Sicuro, B. Freshwater bivalves rearing: A brief overview. Int. Aquat. Res. 2015, 7, 93–100. [Google Scholar] [CrossRef][Green Version]
- Bignell, J.P.; Stentiford, G.D.; Taylor, N.G.H.; Lyons, B.P. Histopathology of mussels (Mytilus sp.) from the Tamar estuary, UK. Mar. Environ. Res. 2011, 72, 25–32. [Google Scholar] [CrossRef] [PubMed]
- Morton, B. Chapter 12 The Anatomy of Dreissena polymorpha and the Evolution and Success of the Heteromyarian Form in the Dreissenoidea. In Zebra Mussels: Biology, Impacts, and Control, 1st ed.; Nalepa, T.F., Schloesser, D.W., Eds.; Lewis Publishers: Boca Raton, FL, USA, 1993; pp. 185–215. [Google Scholar]
- Milz, S.; Regner, F.; Putz, R.; Benjamin, M. Expression of a wide range of extracellular matrix molecules in the tendon and trochlea of the human superior oblique muscle. Investig. Ophthalmol. Vis. Sci. 2002, 43, 1330–1334. [Google Scholar]
- Carballal, M.J.; López, C.; Azevedo, C.; Villalba, A. Enzymes involved in defense functions of hemocytes of mussel Mytilus galloprovincialis. J. Invertebr. Pathol. 1997, 70, 96–105. [Google Scholar] [CrossRef]
- Evariste, L.; Auffret, M.; Audonnet, S.; Geffard, A.; David, E.; Brousseau, P.; Fournier, M.; Betoulle, S. Functional features of hemocyte subpopulations of the invasive mollusk species Dreissena polymorpha. Fish Shellfish Immunol. 2016, 56, 144–154. [Google Scholar] [CrossRef]
- Beggel, S.; Cerwenka, A.; Brandner, J.; Geist, J. Shell morphological versus genetic identification of quagga mussel (Dreissena bugensis) and zebra mussel (Dreissena polymorpha). Aquat. Invas. 2015, 10, 93–99. [Google Scholar] [CrossRef]
- Beggel, S.; Hinzmann, M.; Machado, J.; Geist, J. Combined impact of acute exposure to ammonia and temperature stress on the freshwater mussel Unio pictorum. Water 2017, 9, 455. [Google Scholar] [CrossRef]
- Panara, F.; Di Rosa, I.; Fagotti, A.; Simoncelli, F.; Mangiabene, C.; Pipe, R.K.; Pascolini, R. Characterization and immunocytochemical localization of actin and fibronectin in haemocytes of the mussel Mytilus galloprovincialis. Histochem. J. 1996, 28, 123–131. [Google Scholar] [CrossRef]
- Dyachuk, V.A.; Maiorova, M.A.; Odintsova, N.A. Identification of β integrin-like- and fibronectin-like proteins in the bivalve mollusk Mytilus trossulus. Dev. Growth Differ. 2015, 57, 515–528. [Google Scholar] [CrossRef] [PubMed]
- Leprêtre, M.; Almunia, C.; Armengaud, J.; Le Guernic, A.; Salvador, A.; Geffard, A.; Palos-Ladeiro, M. Identification of immune-related proteins of Dreissena polymorpha hemocytes and plasma involved in host-microbe interactions by differential proteomics. Sci. Rep. 2020, 10, 6226. [Google Scholar] [CrossRef] [PubMed]
- Patten, J.; Wang, K. Fibronectin in development and wound healing. Adv. Drug Deliv. Rev. 2021, 170, 353–368. [Google Scholar] [CrossRef] [PubMed]
- Song, X.; Liu, Z.; Wang, L.; Song, L. Recent advances of shell matrix proteins and cellular orchestration in marine molluscan shell biomineralization. Front. Mar. Sci. 2019, 6, 41. [Google Scholar] [CrossRef]
- Addadi, L.; Joester, D.; Nudelman, F.; Weiner, S. Mollusk shell formation: A source of new concepts for understanding biomineralization processes. Chemistry 2006, 12, 980–987. [Google Scholar] [CrossRef] [PubMed]
- Mount, A.S.; Wheeler, A.P.; Paradkar, R.P.; Snider, D. Hemocyte-mediated shell mineralization in the eastern oyster. Science 2004, 304, 297–300. [Google Scholar] [CrossRef] [PubMed]
- Huang, J.; Li, S.; Liu, Y.; Liu, C.; Xie, L.; Zhang, R. Hemocytes in the extrapallial space of Pinctada fucata are involved in immunity and biomineralization. Sci. Rep. 2018, 8, 4657. [Google Scholar] [CrossRef]
- Immel, F.; Broussard, C.; Catherinet, B.; Plasseraud, L.; Alcaraz, G.; Bundeleva, I.; Marin, F. The shell of the invasive bivalve species Dreissena polymorpha: Biochemical, elemental and textural investigations. PLoS ONE 2016, 11, e0154264. [Google Scholar] [CrossRef]
- Ha, Y.W.; Son, M.J.; Yun, K.S.; Kim, Y.S. Relationship between eggshell strength and keratan sulfate of eggshell membranes. Comp. Biochem. Physiol. A Mol. Integr. Physiol. 2007, 147, 1109–1115. [Google Scholar] [CrossRef]
- Caterson, B.; Melrose, J. Keratan sulfate, a complex glycosaminoglycan with unique functional capability. Glycobiology 2018, 28, 182–206. [Google Scholar] [CrossRef]
- Yurchenko, O.V.; Savelieva, A.V.; Kolotuchina, N.K.; Voronezhskaya, E.E.; Dyachuk, V.A. Peripheral sensory neurons govern development of the nervous system in bivalve larvae. Evodevo 2019, 10, 22. [Google Scholar] [CrossRef] [PubMed]
- Corbetta, S.; Bairati, A.; Vitellaro Zuccarello, L. Immunohistochemical study of subepidermal connective of molluscan integument. Eur. J. Histochem. 2002, 46, 259–272. [Google Scholar] [CrossRef] [PubMed]
- Boute, N.; Exposito, J.-Y.; Boury-Esnault, N.; Vacelet, J.; Noro, N.; Miyazaki, K.; Yoshizato, K.; Garrone, R. Type IV collagen in sponges, the missing link in basement membrane ubiquity. Biol. Cell 1996, 88, 37–44. [Google Scholar] [CrossRef]
- Halfter, W.; Oertle, P.; Monnier, C.A.; Camenzind, L.; Reyes-Lua, M.; Hu, H.; Candiello, J.; Labilloy, A.; Balasubramani, M.; Henrich, P.B.; et al. New concepts in basement membrane biology. FEBS J. 2015, 282, 4466–4479. [Google Scholar] [CrossRef] [PubMed]
- Chernousov, M.A.; Yu, W.-M.; Chen, Z.-L.; Carey, D.J.; Strickland, S. Regulation of Schwann cell function by the extracellular matrix. Glia 2008, 56, 1498–1507. [Google Scholar] [CrossRef]
- Chen, P.; Cescon, M.; Bonaldo, P. The Role of Collagens in Peripheral Nerve Myelination and Function. Mol. Neurobiol. 2015, 52, 216–225. [Google Scholar] [CrossRef]
- Kiani, C.; Chen, L.; Wu, Y.J.; Yee, A.J.; Yang, B.B. Structure and function of aggrecan. Cell Res. 2002, 12, 19–32. [Google Scholar] [CrossRef]
- Yoon, J.H.; Halper, J. Tendon proteoglycans: Biochemistry and function. J. Musculoskelet. Neuronal Interact. 2005, 5, 22–34. [Google Scholar]
- Coyne, K.J.; Qin, X.X.; Waite, J.H. Extensible collagen in mussel byssus: A natural block copolymer. Science 1997, 277, 1830–1832. [Google Scholar] [CrossRef]
- Tamarin, A. An ultrastructural study of byssus stem formation in Mytilus californianus. J. Morphol. 1975, 145, 151–177. [Google Scholar] [CrossRef]
- Zuccarello, L.V. The collagen gland of Mytilus galloprovincialis: An ultrastructural and cytochemical study on secretory granules. J. Ultrastruct. Res. 1980, 73, 135–147. [Google Scholar] [CrossRef]
- Golser, A.; Scheibel, T. Routes towards Novel Collagen-Like Biomaterials. Fibers 2018, 6, 21. [Google Scholar] [CrossRef]
- Chatuparisute, P.; Shinohara, Y.; Kirchhoff, C.; Fischer, F.; Milz, S. Immunohistochemical composition of the human lunotriquetral interosseous ligament. Appl. Immunohistochem. Mol. Morphol. 2012, 20, 318–324. [Google Scholar] [CrossRef] [PubMed]
- Seppinen, L.; Pihlajaniemi, T. The multiple functions of collagen XVIII in development and disease. Matrix Biol. 2011, 30, 83–92. [Google Scholar] [CrossRef]
- Barros, D.; Amaral, I.F.; Pêgo, A.P. Laminin-inspired cell-instructive microenvironments for neural stem cells. Biomacromolecules 2020, 21, 276–293. [Google Scholar] [CrossRef]
- Carrino, D.A.; Dennis, J.E.; Wu, T.M.; Arias, J.L.; Fernandez, M.S.; Rodriguez, J.P.; Fink, D.J.; Heuer, A.H.; Caplan, A.I. The avian eggshell extracellular matrix as a model for biomineralization. Connect. Tissue Res. 1996, 35, 325–329. [Google Scholar] [CrossRef]
- Lennon, D.P.; Carrino, D.A.; Baber, M.A.; Caplan, A.I. Generation of a monoclonal antibody against avian small dermatan sulfate proteoglycan: Immunolocalization and tissue distribution of PG-II (Decorin) in embryonic tissues. Matrix 1991, 11, 412–427. [Google Scholar] [CrossRef]
- Rosset, E.M.; Bradshaw, A.D. SPARC/osteonectin in mineralized tissue. Matrix Biol. 2016, 52–54, 78–87. [Google Scholar] [CrossRef]



| Step | Procdure | Time/Temperature |
|---|---|---|
| 1 | Removal of paraffin with Xylene | 3 × 5 min |
| 2 | Descending Alcohols | |
| 2a | 100% Ethanol | 2 × 5 min |
| 2b | 90% Ethanol | 1 × 5 min |
| 2c | 80% Ethanol | 1 × 5 min |
| 2d | 70% Ethanol | 1 × 5 min |
| 2e | Tap water | 1 × 5 min |
| 3 | Reduction and Alkylation protocol to be performed here, if necessary | |
| 3a | To prepare reduction buffer (250 mL), (i) dissolve 50 mM Tris (121,1 g/mol; 1.51 g) and 200 mM NaCl (58.4 g/mol; 2.92 g) in 200 mL distilled H2O; (ii) measure pH and bring to 7.35 pH with HCl; then (iii) add distilled H2O until 250 mL * | |
| 3b | Reduction working solution: DTT 10 mM (100 mL reduction buffer + 0.154 g DTT) | 2 h at 37 °C |
| 3c | Alkylating working solution: iodoacetamide 40 mM (0.74 g in 100 mL PBS) ** | 1 h at 37 °C |
| 4 | Washing with PBS + Tween | 1 × 5 min |
| 5 | 3% Hydrogen peroxide in methanol (10 mL 30% H2O2 + 90 mL 100% methanol) | 30 min |
| 6 | Washing with PBS + Tween | 3 × 5 min |
| 7 | Enzyme pre-treatment (primary antibody specific) | 30 min at 37 °C |
| 8 | Washing with PBS + Tween | 3 × 5 min |
| 9 | Blocking with 2.5% normal horse serum (vector RTU) (discard excess serum; do not wash) | 60 min |
| 10 | Primary antibody incubation in moist chamber (control with PBS) | Overnight at 4 °C |
| 11 | Washing with PBS + Tween | 3 × 5 min |
| 12 | DAKO EnVision System (K4001) for mouse primary antibodies (goat anti-mouse secondary antibody labelled with HRP-polymer) in moist chamber | 30 min |
| 13 | Washing with PBS + Tween | 3 × 5 min |
| 14 | Dako EnVision Flex magenta chromogen (GV925) | 5 min |
| 15 | Washing with tap water | 1 × 5 min |
| 16 | Counterstaining with Mayer’s hematoxylin | 20 s |
| 17 | De-staining with tap water | 15 min |
| 18 | Mounting and coverslipping with Kaiser’s Glycerol Gelatine |
| Antigen | Antibody | Dilution | Pretreatment | Source |
|---|---|---|---|---|
| Collagen IV | M3F7 | 1:5 | Hyal. (1.5 U mL−1) | DSHB |
| Collagen XVIII | 6C4 | 1:5 | PBS | DSHB |
| Chondroitin-4 sulfate | 2B6 | 1:150 | Ch. ACII (0.125 U mL−1) | B. Caterson |
| Dermatan and chondroitin-4 sulfate | 2B6 | 1:150 | Ch. ABC (0.25 U mL−1) | B. Caterson |
| Chondroitin-6 sulfate | 3B3 | 1:80 | Ch. ABC (0.25 U mL−1) | B. Caterson |
| Keratan sulfate | 1/20/5-D-4 | 1:150 | PBS | B. Caterson |
| Keratan sulfate | MZ15 | 1:5 | PBS | DSHB |
| Decorin/dermatan sulfate proteoglycan | DS1 | 1:5 | Ch. ACII (0.125 U mL−1) | DSHB |
| Decorin/dermatan sulfate proteoglycan | CB-1 | 1:5 | Ch. ACII (0.125 U mL−1) | DSHB |
| Fribronectin | HFN 7.1 | 1:5 | PBS | DSHB |
| Aggrecan | 12/21/1-C-6 | 1:5 | Reduction & Alkylation Ch. ACII (0.125 U mL−1) | DSHB |
| Link protein | 9/30/8-A-4 | 1:5 | Reduction & Alkylation Ch. ACII (0.125 U mL−1) | DSHB |
| Osteonectin | AON1 | 1:5 | PBS | DSHB |
| Laminin | 2E8 | 1:5 | PBS | DSHB |
| Hemocytes | Nervous System | Muscle | Foot | Digestive Organs | |||||||||
|---|---|---|---|---|---|---|---|---|---|---|---|---|---|
| Antigen | Go | G | M | IMS | PG/VG/CG | N | PAM/PBRM | BSG | BCG | BAG | SR | St/In | C |
| Collagen IV | 7 | 7 | 7 | 7 | 4 | 7 | 0 | 0 | 0 | 0 | 0 | 0 | 0 |
| Collagen XVIII | 0 | 0 | 0 | 0 | 0 | 0 | 7 | 0 | 0 | 0 | 5 | 0 | 0 |
| Fribronectin | 4 | 4 | 2 | 4 | 0 | 0 | 3 | 0 | 0 | 0 | 0 | 0 | 0 |
| Keratan sulfate (MZ15) | 7 | 7 | 6 | 7 | 0 | 0 | 0 | 0 | 0 | 0 | 0 | 0 | 0 |
| C4s (2B6 + Ch.ACII) | 0 | 0 | 0 | 0 | 0 | 0 | 0 | 0 | 0 | 0 | 0 | 7 | 4 |
| Dermatan and C4s (2B6 + Ch.ABC) | 0 | 0 | 0 | 0 | 0 | 0 | 0 | 0 | 0 | 0 | 0 | 7 | 4 |
| Aggrecan | 0 | 0 | 0 | 0 | 0 | 0 | 7 | 7 | 4 | 5 | 0 | 2 | 0 |
| Link protein | 0 | 0 | 0 | 0 | 0 | 0 | 7 | 7 | 0 | 0 | 0 | 5 | 0 |
| Osteonectin | 5 | 5 | 5 | 5 | 4 | 4 | 5 | 4 | 4 | 3 | 4 | 4 | 0 |
| Laminin | 6 | 6 | 6 | 6 | 4 | 5 | 7 | 7 | 4 | 3 | 4 | 5 | 0 |
| Decorin/DSP (DS1) | 7 | 7 | 7 | 7 | 4 | 7 | 7 | 7 | 3 | 3 | 5 | 5 | 0 |
| Decorin/DSP (CB-1) | 7 | 7 | 7 | 7 | 4 | 7 | 7 | 7 | 3 | 3 | 5 | 5 | 0 |
| C6s (3B3 + Ch.ABC) | 0 | 0 | 0 | 0 | 0 | 0 | 0 | 0 | 0 | 0 | 0 | 0 | 0 |
| Keratan sulfate (1/20/5-D-4) | 0 | 0 | 0 | 0 | 0 | 0 | 0 | 0 | 0 | 0 | 0 | 0 | 0 |
Publisher’s Note: MDPI stays neutral with regard to jurisdictional claims in published maps and institutional affiliations. |
© 2022 by the authors. Licensee MDPI, Basel, Switzerland. This article is an open access article distributed under the terms and conditions of the Creative Commons Attribution (CC BY) license (https://creativecommons.org/licenses/by/4.0/).
Share and Cite
Wu, W.; Geist, J.; Beggel, S.; Schmitz, C.; Milz, S.; Sternecker, K. Immunohistochemical Detection of Various Proteoglycans in the Extracellular Matrix of Zebra Mussels. Fishes 2022, 7, 74. https://doi.org/10.3390/fishes7020074
Wu W, Geist J, Beggel S, Schmitz C, Milz S, Sternecker K. Immunohistochemical Detection of Various Proteoglycans in the Extracellular Matrix of Zebra Mussels. Fishes. 2022; 7(2):74. https://doi.org/10.3390/fishes7020074
Chicago/Turabian StyleWu, Wenkai, Juergen Geist, Sebastian Beggel, Christoph Schmitz, Stefan Milz, and Katharina Sternecker. 2022. "Immunohistochemical Detection of Various Proteoglycans in the Extracellular Matrix of Zebra Mussels" Fishes 7, no. 2: 74. https://doi.org/10.3390/fishes7020074
APA StyleWu, W., Geist, J., Beggel, S., Schmitz, C., Milz, S., & Sternecker, K. (2022). Immunohistochemical Detection of Various Proteoglycans in the Extracellular Matrix of Zebra Mussels. Fishes, 7(2), 74. https://doi.org/10.3390/fishes7020074

