Carps, Catla catla, Cirrhinus mrigala and Hypophthalmichthys molitrix Are Resistant to Experimental Infection with Tilapia Lake Virus (TiLV)
Abstract
1. Introduction
2. Materials and Methods
2.1. Fishes
2.2. Challenge Study and Sample Collection
2.3. Histopathology
2.4. Extraction of RNA and cDNA Synthesis
2.5. Reverse Transcription Quantitative PCR (RT-qPCR) Assay
2.6. Isolation of TiLV
3. Results and Discussion
3.1. Clinical Signs and Mortality Pattern in Experimentally Infected Fishes
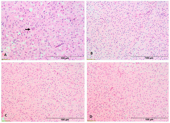
3.2. Histopathological Examination
3.3. Estimation of Viral Copy Number in Experimentally-Injected Fish
3.4. Re-Isolation of TiLV
4. Conclusions
Author Contributions
Funding
Institutional Review Board Statement
Acknowledgments
Conflicts of Interest
References
- Adams, M.J.; Lefkowitz, E.L.; King, A.M.Q.; Harrach, B.; Harrison, R.L.; Kropinski, N.J.; Krupovic, M.; Kuhn, J.H.; Mushegian, A.R.; Nibert, M.; et al. Changes to taxonomy and the international code of virus classification and nomenclature ratified by the international committee on taxonomy of viruses. Arch. Virol. 2017, 162, 2505–2538. [Google Scholar] [CrossRef] [PubMed]
- Eyngor, M.; Zamostiano, R.; Tsofack, J.E.K.; Berkowitz, A.; Bercovier, H.; Tinman, S.; Lev, M.; Hurvitz, A.; Galeotti, M.; Bacharach, E.; et al. Identification of a novel RNA virus lethal to tilapia. J. Clin. Microbiol. 2014, 52, 4137–4146. [Google Scholar] [CrossRef]
- Jansen, M.D.; Dong, H.T.; Mohan, C.V. Tilapia lake virus: A threat to the global tilapia industry? Rev. Aquac. 2019, 11, 725–739. [Google Scholar] [CrossRef]
- Surachetpong, W.; Roy, S.R.K.; Nicholson, P. Tilapia lake virus: The story so far. J. Fish Dis. 2020, 43, 1115–1132. [Google Scholar] [CrossRef]
- Jaemwimol, P.; Rawiwan, P.; Tattiyapong, P.; Saengnual, P.; Kamlangdee, A.; Surachetpong, W. Susceptibility of important warm water fish species to tilapia lake virus (TiLV) infection. Aquaculture 2018, 497, 462–468. [Google Scholar] [CrossRef]
- Abdullah, A.; Ramly, R.; Mohammad Ridzwan, M.S.; Sudirwan, F.; Abas, A.; Ahmad, K.; Murni, M.; Kua, B.C. First detection of tilapia lake virus (TiLV) in wild river carp (Barbonymus schwanenfeldii) at Timah Tasoh Lake, Malaysia. J. Fish Pathol. 2018, 41, 1459–1462. [Google Scholar] [CrossRef] [PubMed]
- Piamsomboon, P.; Wongtavatchai, J. Detection of Tilapia Lake Virus (TiLV) in healthy fish from the pre-existing disease environment using different RT-PCR methods. Turkish J. Fish. Aquat. Sci. 2021, 21, 205–209. [Google Scholar] [CrossRef]
- Pradhan, P.K.; Paria, A.; Yadav, M.K.; Verma, D.K.; Gupta, S.; Swaminathan, T.R.; Rathore, G.; Sood, N.; Lal, K.K. Susceptibility of Indian major carp Labeo rohita to tilapia lake virus. Aquaculture 2020, 515, 734567. [Google Scholar] [CrossRef]
- Thangaraj, R.S.; Nithianantham, S.R.; Narendrakumar, L.; Johny, T.K.; Sood, N.; Pradhan, P.K.; Lal, K.K. Cichlids endemic to India are not susceptible to tilapia lake virus infection. Aquaculture 2021, 548, 737589. [Google Scholar] [CrossRef]
- Fathi, M.; Dickson, C.; Dickson, M.; Leschen, W.; Baily, J.; Muir, F.; Ulrich, K.; Weidmann, M. Identification of Tilapia Lake Virus in Egypt in Nile tilapia affected by ‘summer mortality’ syndrome. Aquaculture 2017, 473, 430–432. [Google Scholar] [CrossRef]
- Behera, B.K.; Pradhan, P.K.; Swaminathan, T.R.; Sood, N.; Paria, P.; Das, A.; Verma, D.K.; Kumar, R.; Yadav, M.K.; Dev, A.K.; et al. Emergence of Tilapia lake virus associated with mortalities of framed Nile tilapia Oreochromis niloticus (Linneaus 1758) in India. Aquaculture 2018, 484, 168–174. [Google Scholar] [CrossRef]
- Menaga, M.; Fitzsimmons, K. Growth of the Tilapia industry in India. World Aquac. 2017, 48, 49–52. [Google Scholar]
- Chaput, D.L.; Bass, D.; Alam, M.M.; Al Hasan, N.; Stentiford, G.D.; Van Aerle, R.; Moore, K.; Bignell, J.P.; Haque, M.M.; Tyler, C.R. The segment matters: Probable reassortment of tilapia lake virus (TiLV) complicates phylogenetic analysis and inference of geographical origin of new isolate from Bangladesh. Viruses 2020, 12, 258. [Google Scholar] [CrossRef]
- Food and Agriculture Organization of the United Nations (FAO). Outbreaks of Tilapia Lake Virus (TiLV) Threaten the Livelihoods and Food Security of Millions of People Dependent on Tilapia Farming. In Global Information and Early Warning System (GIEWS) Special Alert No. 338; FAO: Rome, Italy, 2017; Available online: http://www.fao.org/documents/card/en/c/3ce1da5b-1529-4e7c-8b88-7adfef8d138c/ (accessed on 12 August 2021).
- Tattiyapong, P.; Sirikanchana, K.; Surachetpong, W. Development and validation of a reverse transcription quantitative polymerase chain reaction for tilapia lake virus detection in clinical samples and experimentally challenged fish. J. Fish Dis. 2018, 41, 255–261. [Google Scholar] [CrossRef]
- Swaminathan, T.R.; Basheer, V.S.; Gopalakrishnan, A.; Rathore, G.; Chaudhary, D.K.; Kumar, R.; Jena, J.K. Establishment of caudal fin cell lines from tropical ornamental fishes Puntius fasciatus and Pristolepis fasciata endemic to the Western Ghats of India. Acta Trop. 2013, 128, 536–541. [Google Scholar] [CrossRef]
- Dong, H.T.; Siriroob, S.; Meemetta, W.; Santimanawong, W.; Gangnonngiw, W.; Pirarat, N.; Khunrae, P.; Rattanarojpong, T.; Vanichviriyakit, R.; Senapin, S. Emergence of tilapia lake virus in Thailand and an alternative semi-nested RT PCR for detection. Aquaculture 2017, 476, 111–118. [Google Scholar] [CrossRef]
- Bandín, I.; Dopazo, C.P. Host range, host specificity and hypothesized host shift events among viruses of lower vertebrates. Vet. Res. 2011, 42, 67. [Google Scholar] [CrossRef]
- Pontejo, S.M.; Sánchez, C.; Martín, R.; Mulero, V.; Alcami, A.; Alejo, A. An orphan viral TNF receptor superfamily member identified in lymphocystis disease virus. Virol. J. 2013, 10, 188. [Google Scholar] [CrossRef] [PubMed]
- Reno, P.W. Infectious pancreatic necrosis and associated aquatic birnaviruses. In Fish Diseases and Disorders; Woo, P.T.K., Bruno, D.W., Eds.; CAB International Wallingford UK: New York, NY, USA, 1999; pp. 1–55. [Google Scholar]
- Bandín, I.; Souto, S. Betanodavirus and VER Disease: A 30-year Research Review. Pathogens 2020, 9, 106. [Google Scholar] [CrossRef]
- Chiamkunakorn, C.; Machimbirike, V.I.; Senapin, S.; Khunrae, P.; Dong, H.T.; Rattanarojpong, T. Blood and liver biopsy for the non-destructive screening of tilapia lake virus. J. Fish Dis. 2019, 42, 1629–1636. [Google Scholar] [CrossRef]
- Ferguson, H.; Kabuusu, R.; Beltran, S.; Reyes, E.; Lince, J.; Del Pozo, J. Syncytial hepatitis of farmed tilapia, Oreochromis niloticus (L.): A case report. J. Fish Dis. 2014, 37, 583–589. [Google Scholar] [CrossRef]
- Waiyamitra, P.; Piewbang, C.; Techangamsuwan, S.; Liew, W.C.; Surachetpong, W. Infection of Tilapia tilapinevirus in Mozambique Tilapia (Oreochromis mossambicus), a globally vulnerable fish species. Viruses 2021, 13, 1104. [Google Scholar] [CrossRef]
- Mugimba, K.K.; Tal, S.; Dubey, S.; Mutoloki, S.; Dishon, A.; Evensen, Ø.; Munang’andu, H.M. Gray (Oreochromis niloticus x O. aureus) and Red (Oreochromis spp.) Tilapia Show Equal Susceptibility and Proinflammatory Cytokine Responses to Experimental Tilapia Lake Virus Infection. Viruses 2019, 11, 893. [Google Scholar] [CrossRef]
- Robledo, D.; Taggart, J.B.; Ireland, J.H.; McAndrew, B.J.; Starkey, W.G.; Haley, C.S.; Hamilton, A.; Guy, D.R.; Mota-Velasco, J.C.; Gheyas, A.A.; et al. Gene expression comparison of resistant and susceptible Atlantic salmon fry challenged with Infectious pancreatic necrosis virus reveals a marked contrast in immune response. BMC Genom. 2016, 17, 279. [Google Scholar] [CrossRef]
- Tadmor-Levi, R.; David, L. Studying the genetics of resistance to CyHV-3 disease using introgression from feral to cultured common carp strains. Front. Genet. 2017, 8, 24. [Google Scholar] [CrossRef]
- Kim, H.J.; Kwon, S.R.; Olesen, N.J.; Yuasa, K. The susceptibility of silver crucian carp (Carassius auratus langsdorfii) to infection with koi herpesvirus (KHV). J. Fish Dis. 2019, 42, 1333–1340. [Google Scholar] [CrossRef] [PubMed]
- Snow, M.; Raynard, R.; Bruno, D.W.; van Nieuwstadt, A.P.; Olesen, N.J.; Løvold, T.; Wallace, C. Investigation into the susceptibility of saithe Pollachius virens to infectious salmon anaemia virus (ISAV) and their potential role as a vector for viral transmission. Dis. Aquat. Org. 2002, 50, 13–18. [Google Scholar] [CrossRef] [PubMed][Green Version]




Publisher’s Note: MDPI stays neutral with regard to jurisdictional claims in published maps and institutional affiliations. |
© 2021 by the authors. Licensee MDPI, Basel, Switzerland. This article is an open access article distributed under the terms and conditions of the Creative Commons Attribution (CC BY) license (https://creativecommons.org/licenses/by/4.0/).
Share and Cite
Pradhan, P.K.; Verma, D.K.; Yadav, S.C.; Dev, A.K.; Swaminathan, T.R.; Paria, A.; Valappil, R.K.; Sood, N. Carps, Catla catla, Cirrhinus mrigala and Hypophthalmichthys molitrix Are Resistant to Experimental Infection with Tilapia Lake Virus (TiLV). Fishes 2021, 6, 56. https://doi.org/10.3390/fishes6040056
Pradhan PK, Verma DK, Yadav SC, Dev AK, Swaminathan TR, Paria A, Valappil RK, Sood N. Carps, Catla catla, Cirrhinus mrigala and Hypophthalmichthys molitrix Are Resistant to Experimental Infection with Tilapia Lake Virus (TiLV). Fishes. 2021; 6(4):56. https://doi.org/10.3390/fishes6040056
Chicago/Turabian StylePradhan, Pravata Kumar, Dev Kumar Verma, Shrish Chandra Yadav, Atul Krishna Dev, Thangaraj Raja Swaminathan, Anutosh Paria, Rajendran Kooloth Valappil, and Neeraj Sood. 2021. "Carps, Catla catla, Cirrhinus mrigala and Hypophthalmichthys molitrix Are Resistant to Experimental Infection with Tilapia Lake Virus (TiLV)" Fishes 6, no. 4: 56. https://doi.org/10.3390/fishes6040056
APA StylePradhan, P. K., Verma, D. K., Yadav, S. C., Dev, A. K., Swaminathan, T. R., Paria, A., Valappil, R. K., & Sood, N. (2021). Carps, Catla catla, Cirrhinus mrigala and Hypophthalmichthys molitrix Are Resistant to Experimental Infection with Tilapia Lake Virus (TiLV). Fishes, 6(4), 56. https://doi.org/10.3390/fishes6040056

