Effects of Different Application Strategies of Copper-Loaded Montmorillonite on Growth, Intestinal Histology, and Rearing-Water Quality in Penaeus monodon
Abstract
1. Introduction
2. Methods and Materials
2.1. Experimental Animals and Materials
2.2. Husbandry and Experimental Design
2.3. Growth Performance
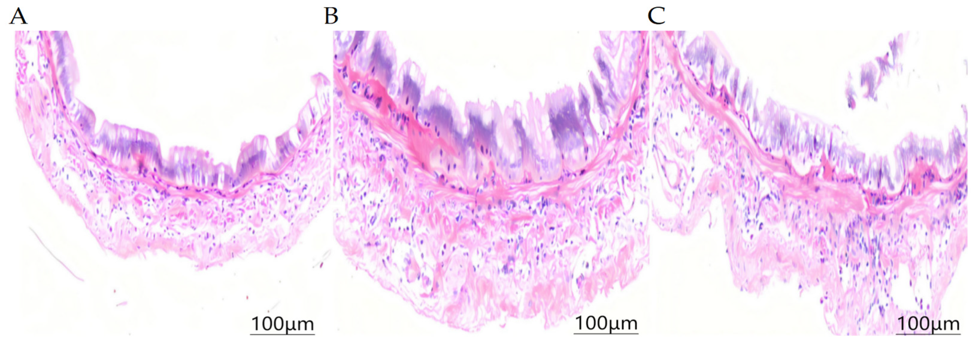
2.4. Intestinal Histology
2.5. Water-Quality Analyses
2.6. Statistical Analysis
3. Results
3.1. Effects of Different Application Methods on Growth Performance of P. monodon
3.2. Effects of Different Application Methods on Intestinal Histomorphology of P. monodon
3.3. Effects of Different Application Methods on Rearing-Water Quality
3.3.1. Dissolved Oxygen (DO)
3.3.2. Total Ammonia Nitrogen (TAN)
3.3.3. Sulfide
3.3.4. Heavy Metals
4. Discussion
5. Conclusions
Author Contributions
Funding
Institutional Review Board Statement
Data Availability Statement
Conflicts of Interest
References
- Liu, M.; Zhang, H.T.; Sun, G.W.; Wang, Z.D.; Jiang, W.L. Research Progress on Nutritional Requirements and Functional Feed Additives of Black Tiger Shrimp (Penaeus monodon). Curr. Fish. 2021, 46, 74–81. [Google Scholar]
- Tsutsui, I.; Aue-Umneoy, D.; Pinphoo, P.; Thuamsuwan, W.; Janeauksorn, K.; Meethong, G.; Keattanaworada, P.; Songphatkaew, J.; Ganmanee, M.; Abe, O.; et al. Use of a Filamentous Green Alga (Chaetomorpha sp.) and Microsnail (Stenothyra sp.) as Feed at an Early Stage of Intensive Aquaculture Promotes Growth Performance, Artificial Feed Efficiency, and Profitability of Giant Tiger Prawn (Penaeus monodon). PLoS ONE 2020, 15, e0244607. [Google Scholar] [CrossRef]
- N’Souvi, K.; Sun, C.; Che, B.; Vodounon, A. Shrimp Industry in China: Overview of Trends in Production, Imports and Exports over the Last Two Decades, Challenges, and Outlook. Front. Sustain. Food Syst. 2024, 8, 1287034. [Google Scholar] [CrossRef]
- Brigatti, M.F.; Galán, E.; Theng, B.K.G. Structure and Mineralogy of Clay Minerals. In Developments in Clay Science; Handbook of Clay Science; Elsevier: Amsterdam, The Netherlands, 2013; pp. 21–81. [Google Scholar] [CrossRef]
- Alinezhad, S.; Faridi, M.; Falahatkar, B.; Nabizadeh, R.; Davoodi, D. Effects of Nanostructured Zeolite and Aflatoxin B1 on Growth Performance, Immune Parameters and Pathological Conditions of Rainbow Trout (Oncorhynchus mykiss). Fish Shellfish. Immunol. 2017, 70, 648–655. [Google Scholar] [CrossRef]
- Arabmofrad, S.; Lazzara, G.; Miller, R.; Jafari, S.M. Surface Modification of Bentonite and Montmorillonite as Novel Nano-Adsorbents for the Removal of Phenols, Heavy Metals and Drug Residues. Adv. Colloid Interface Sci. 2024, 334, 103334. [Google Scholar] [CrossRef]
- Zhang, X.; Li, M.; Tao, X.; Yang, Y.; Sun, P.; Jin, M.; Zhou, Q.; Jiao, L. Effects of Dietary Montmorillonite Supplementation on Growth Performance, Antioxidant Capacity, Intestinal Barrier and Microbiota Composition in Marsupenaeus japonicus. Aquaculture 2022, 557, 738330. [Google Scholar] [CrossRef]
- Varadwaj, G.; Parida, K.; Nyamori, V.O. Transforming Inorganic Layered Montmorillonite into Inorganic–Organic Hybrid Materials for Various Applications: A Brief Overview. Inorg. Chem. Front. 2016, 3, 1100–1111. [Google Scholar] [CrossRef]
- Bagchi, B.; Kar, S.; Dey, S.; Bhandary, S.; Roy, D.; Mukhopadhyay, T.; Das, S.; Nandy, P. In Situ Synthesis and Antibacterial Activity of Copper Nanoparticle–Loaded Natural Montmorillonite Clay Based on Contact Inhibition and Ion Release. Colloids Surf. B Biointerfaces 2013, 108, 358–365. [Google Scholar] [CrossRef] [PubMed]
- Xia, F.; Xu, P.; Zhang, B.; Zhang, Y.; Liu, X.; Zhang, Y.; Wang, Q.; Shao, S. Identification of a Novel Transcriptional Regulator, CorR, for Copper Stress Response in Edwardsiella piscicida. Appl. Environ. Microbiol. 2023, 89, e00899-23. [Google Scholar] [CrossRef]
- Nor, S.; Ibrahim, D.; Kassim, M.; Daud, S.; Salikin, N.; Rashid, S. Antimicrobial Activity of Mangrove Bark Tannins and Copper Ions on Marine Bacteria. Asia Pac. J. Mol. Biol. Biotechnol. 2024, 32, 28–38. [Google Scholar] [CrossRef]
- Jiao, L.; Lin, F.; Cao, S.; Wang, C.; Wu, H.; Shu, M.; Hu, C. Preparation, Characterization, Antimicrobial and Cytotoxicity Studies of Copper/Zinc-Loaded Montmorillonite. J. Anim. Sci. Biotechnol. 2017, 8, 33. [Google Scholar] [CrossRef]
- Daković, A.; Matijašević, S.; Rottinghaus, G.; Ledoux, D.; Butkeraitis, P.; Sekulić, Ž. Aflatoxin B1 Adsorption by Natural and Copper-Modified Montmorillonite. Colloids Surf. B Biointerfaces 2008, 66, 20–25. [Google Scholar] [CrossRef]
- Shan, X.; Li, K.; Stadler, P.; Borbor, M.; Reyes, G.; Solórzano, R.; Chamorro, E.; Bayot, B.; Cordero, O.X. Microbiome Determinants of Productivity in Aquaculture of Whiteleg Shrimp. Appl. Environ. Microbiol. 2025, 91, e02420-24. [Google Scholar] [CrossRef]
- Zhang, Q.; Zhang, Y.; Liu, S.; Wu, Y.; Zhou, Q.; Zhang, Y.; Zheng, X.; Han, Y.; Xie, C.; Liu, N. Adsorption of Deoxynivalenol by Pillared Montmorillonite. Food Chem. 2020, 343, 128391. [Google Scholar] [CrossRef]
- Ghosh, T.; Srivastava, S.; Gaurav, A.; Kumar, A.; Kumar, P.; Yadav, A.; Pathania, R.; Navani, N.K. A Combination of Linalool, Vitamin C, and Copper Synergistically Triggers Reactive Oxygen Species and DNA Damage and Inhibits Salmonella Typhi and Vibrio fluvialis. Appl. Environ. Microbiol. 2018, 85, e02487-18. [Google Scholar] [CrossRef]
- Farré, R.; Fiorani, M.; Rahiman, S.; Matteoli, G. Intestinal Permeability, Inflammation and the Role of Nutrients. Nutrients 2020, 12, 1185. [Google Scholar] [CrossRef] [PubMed]
- Thanomchaisanit, P.; Koiwai, K.; Osawa, Y.; Kuwahara, D.; Nohara, S.; Kondo, H.; Hirono, I. Astaxanthin Supplementation Enhances Low-Temperature Stress Tolerance, Immune-Related Genes, and Resistance to Vibrio parahaemolyticus in Whiteleg Shrimp (Penaeus vannamei). Fish. Sci. 2024, 90, 821–833. [Google Scholar] [CrossRef]
- Zhou, N.; Wang, Z.; Yang, L.; Zhou, W.; Qin, Z.; Zhang, H. Size-Dependent Toxicological Effects of Polystyrene Microplastics in Litopenaeus vannamei Using a Histomorphology, Microbiome, and Metabolic Approach. Environ. Pollut. 2022, 316, 120635. [Google Scholar] [CrossRef] [PubMed]
- Thorne, C.A.; Chen, I.; Sanman, L.E.; Cobb, M.H.; Wu, L.F.; Altschuler, S.J. Enteroid Monolayers Reveal an Autonomous WNT and BMP Circuit Controlling Intestinal Epithelial Growth and Organization. Dev. Cell 2018, 44, 624–633.e4. [Google Scholar] [CrossRef] [PubMed]
- Jiao, L.; Zhang, Q.; Wu, H.; Wang, C.; Cao, S.; Feng, J.; Hu, C. Influences of Copper/Zinc-Loaded Montmorillonite on Growth Performance, Mineral Retention, Intestinal Morphology, Mucosa Antioxidant Capacity, and Cytokine Contents in Weaned Piglets. Biol. Trace Elem. Res. 2018, 185, 356–363. [Google Scholar] [CrossRef]
- Bobba-Alves, N.; Juster, R.P.; Picard, M. The Energetic Cost of Allostasis and Allostatic Load. Psychoneuroendocrinology 2022, 146, 105951. [Google Scholar] [CrossRef]
- Li, X.; Wen, J.; Jiao, L.; Wang, C.; Hong, Q.; Feng, J.; Hu, C. Dietary Copper/Zinc-Loaded Montmorillonite Improved Growth Performance, Intestinal Barrier and Gut Microbiota in Weaned Piglets. J. Anim. Physiol. Anim. Nutr. 2021, 105, 1005–1014. [Google Scholar] [CrossRef]
- Beman, J.M.; Vargas, S.; Wilson, J.M.; Perez-Coronel, E.; Karolewski, J.S.; Vazquez, S.; Yu, A.; Cairo, A.; White, M.; Koester, I.; et al. Substantial Oxygen Consumption by Aerobic Nitrite Oxidation in Oceanic Oxygen Minimum Zones. Nat. Commun. 2021, 12, 4930. [Google Scholar] [CrossRef] [PubMed]
- Ye, F.; Jia, G.; Wei, G.; Guo, W. A Multi-Stable Isotopic Constraint on Water Column Oxygen Sinks in the Pearl River Estuary, South China. Mar. Environ. Res. 2022, 178, 105643. [Google Scholar] [CrossRef]
- Lu, J.; Zhang, Y.; Wu, J.; Wang, J. Nitrogen Removal in Recirculating Aquaculture Water with High Dissolved Oxygen Using the SPN-Anammox-Denitrification System. Bioresour. Technol. 2020, 305, 123037. [Google Scholar] [CrossRef] [PubMed]
- Wu, L.; Ren, L.; Li, J.; Li, X.; Yang, S.; Song, Y.; Li, X. Maricultural-Solid-Waste–Derived Biochar Removes Eutrophic Nutrients and Enrofloxacin: Property, Mechanism, and Application. J. Hazard. Mater. 2021, 427, 128147. [Google Scholar] [CrossRef] [PubMed]
- Zango, Z.; Garba, A.; Garba, Z.; Zango, M.; Usman, F.; Lim, J. Montmorillonite for Adsorption and Catalytic Elimination of Pollutants from Wastewater: A State-of-the-Art Review. Sustainability 2022, 14, 16441. [Google Scholar] [CrossRef]
- Wu, G.; Lei, Y.; Wang, Y.; Yuan, X.; Tang, Y.; Chen, W.; Zeng, L. Quaternary Ammonium Salt–Based Cross-Linked Micelle with Copper Nanoparticles for Treatment of Sulfate-Reducing Bacteria Biofilm. React. Funct. Polym. 2022, 176, 105405. [Google Scholar] [CrossRef]
- Chen, J.; Lin, C.-Y. Toxicity of Copper Sulfate for Survival, Growth, Molting and Feeding of Juvenile Tiger Shrimp (Penaeus monodon). Aquaculture 2001, 192, 55–65. [Google Scholar] [CrossRef]
- Xian, J.-A.; Wang, A.-L.; Ye, C.-X.; Chen, X.; Wang, W.-N. Phagocytic Activity, Respiratory Burst, Cytoplasmic Free Ca2+ and Apoptosis of Haemocytes from Penaeus monodon under Acute Copper Stress. Comp. Biochem. Physiol. C Toxicol. Pharmacol. 2010, 152, 182–188. [Google Scholar] [CrossRef]
- Xing, Y.; Zhu, X.; Huang, J.; Nan, Y.; Duan, Y.; Zhang, J. Toxic Effects of Microplastics and Nitrite on Intestinal Histology, Digestion, Immunity, and Microbial Community of Shrimp (Litopenaeus vannamei). Mar. Pollut. Bull. 2024, 200, 116077. [Google Scholar] [CrossRef]
- Butt, U.R.; Lin, N.; Akhter, N.; Siddiqui, T.; Li, S.; Wu, B. Latest Developments in the Role of Probiotics, Prebiotics and Synbiotics in Shrimp Aquaculture. Fish Shellfish. Immunol. 2021, 114, 263–281. [Google Scholar] [CrossRef] [PubMed]
- Wang, L.; Wang, H.; Gao, C.; Wang, C.; Yan, Y.; Zhou, F. Dietary copper for fish: Homeostasis, nutritional functions, toxicity, and affecting factors. Aquaculture 2024, 740, 742089. [Google Scholar] [CrossRef]
- Wang, X.; Sun, H.; Zheng, Y.; Shao, X.; Ye, J. Effects of Dietary Copper Supplementation on Fish Growth: A Meta-Analysis. Biol. Trace Elem. Res. 2025, 203, 5827–5837. [Google Scholar] [CrossRef] [PubMed]
- Abdel-Latif, H.M.R.; Dawood, M.A.O.; Alagawany, M.; Faggio, C.; Nowosad, J.; Kucharczyk, D. Health Benefits and Potential Applications of Fucoidan from Brown Seaweeds in Aquaculture: An Updated Review. Fish Shellfish. Immunol. 2022, 120, 442–465. [Google Scholar] [CrossRef]
- Xia, M.S.; Hu, C.H.; Xu, Z.R. Effects of Copper-Bearing Montmorillonite on Growth Performance, Digestive Enzyme Activities, and Intestinal Microflora and Morphology of Male Broilers. Poult. Sci. 2004, 83, 1868–1875. [Google Scholar] [CrossRef]
- Singh, M.; Barman, A.S.; Devi, A.; Devi, A.; Pandey, P.K. Iron-Mediated Hematological, Oxidative and Histological Alterations in Freshwater Fish Labeo rohita. Ecotoxicol. Environ. Saf. 2019, 170, 87–97. [Google Scholar] [CrossRef]
- Robinson, T.; Latta, D.E.; Leddy, J.; Scherer, M.M. Redox Potentials of Magnetite Suspensions under Reducing Conditions. Environ. Sci. Technol. 2022, 56, 17454–17461. [Google Scholar] [CrossRef]







Disclaimer/Publisher’s Note: The statements, opinions and data contained in all publications are solely those of the individual author(s) and contributor(s) and not of MDPI and/or the editor(s). MDPI and/or the editor(s) disclaim responsibility for any injury to people or property resulting from any ideas, methods, instructions or products referred to in the content. |
© 2026 by the authors. Licensee MDPI, Basel, Switzerland. This article is an open access article distributed under the terms and conditions of the Creative Commons Attribution (CC BY) license.
Share and Cite
Wang, J.; Ding, Y.; Zhou, F.; Shi, J.; Yang, Q.; Li, Y.; Huang, J.; Yang, L.; Sun, X.; Jiang, S. Effects of Different Application Strategies of Copper-Loaded Montmorillonite on Growth, Intestinal Histology, and Rearing-Water Quality in Penaeus monodon. Fishes 2026, 11, 63. https://doi.org/10.3390/fishes11010063
Wang J, Ding Y, Zhou F, Shi J, Yang Q, Li Y, Huang J, Yang L, Sun X, Jiang S. Effects of Different Application Strategies of Copper-Loaded Montmorillonite on Growth, Intestinal Histology, and Rearing-Water Quality in Penaeus monodon. Fishes. 2026; 11(1):63. https://doi.org/10.3390/fishes11010063
Chicago/Turabian StyleWang, Jieyi, Yangyang Ding, Falin Zhou, Jianzhi Shi, Qibin Yang, Yundong Li, Jianhua Huang, Lishi Yang, Xueliang Sun, and Song Jiang. 2026. "Effects of Different Application Strategies of Copper-Loaded Montmorillonite on Growth, Intestinal Histology, and Rearing-Water Quality in Penaeus monodon" Fishes 11, no. 1: 63. https://doi.org/10.3390/fishes11010063
APA StyleWang, J., Ding, Y., Zhou, F., Shi, J., Yang, Q., Li, Y., Huang, J., Yang, L., Sun, X., & Jiang, S. (2026). Effects of Different Application Strategies of Copper-Loaded Montmorillonite on Growth, Intestinal Histology, and Rearing-Water Quality in Penaeus monodon. Fishes, 11(1), 63. https://doi.org/10.3390/fishes11010063

