Next Article in Journal
Environmental DNA Metabarcoding as a Tool for Fast Fish Assessment in Post-Cleanup Activities: Example from Two Urban Lakes in Zagreb, Croatia
Next Article in Special Issue
Detection of Photobacterium damselae Using Sandwich ELISA with Two Anti-Outer Membrane Protein Antibodies
Previous Article in Journal
The Economic Contributions of the Virginia Seafood Industry and the Effects of Virginia Seafood Products in Retail Stores and Restaurants in 2023
 
 
Font Type:
Arial Georgia Verdana
Font Size:
Aa Aa Aa
Line Spacing:
Column Width:
Background:
Case Report

The Power of Preventive Protection: Effects of Vaccination Strategies on Furunculosis Resistance in Large-Scale Aquaculture of Maraena Whitefish

by
Kerstin Böttcher
1,†,
Peter Luft
2,†,
Uwe Schönfeld
3,
Stephanie Speck
4,
Tim Gottschalk
5,* and
Alexander Rebl
6,*
1
Fish Health Service, Saxon Animal Diseases Fund, 02699 Königswartha, Germany
2
Ministry for Climate Protection, Agriculture, Rural Areas and the Environment Mecklenburg-Vorpommern, 19061 Schwerin, Germany
3
Veterinary Clinic Schönfeld, 01816 Berggießhübel, Germany
4
Saxon State Laboratory of Health and Veterinary Affairs, 01099 Dresden, Germany
5
KM Seafood GmbH, 02681 Schirgiswalde-Kirschau, Germany
6
Research Institute for Farm Animal Biology (FBN), 18196 Dummerstorf, Germany
*
Authors to whom correspondence should be addressed.
These authors contributed equally to this work.
Fishes 2025, 10(8), 374; https://doi.org/10.3390/fishes10080374
Submission received: 27 June 2025 / Revised: 10 July 2025 / Accepted: 23 July 2025 / Published: 4 August 2025
(This article belongs to the Special Issue Fish Pathogens and Vaccines in Aquaculture)

Abstract

Furunculosis caused by Aeromonas salmonicida poses a significant challenge to the sustainable production of maraena whitefish (Coregonus maraena). This case report outlines a multi-year disease management strategy at a European whitefish facility with two production departments, each specialising in different life-cycle stages. Recurrent outbreaks of A. salmonicida necessitated the development of effective vaccination protocols. Herd-specific immersion vaccines failed to confer protection, while injectable formulations with plant-based adjuvants caused severe adverse reactions and mortality rates exceeding 30%. In contrast, the bivalent vaccine Alpha Ject 3000, containing inactivated A. salmonicida and Vibrio anguillarum with a mineral oil adjuvant, yielded high tolerability and durable protection in over one million whitefish. Post-vaccination mortality remained low (3.3%), aligning with industry benchmarks, and furunculosis-related losses were fully prevented in both departments. Transcriptomic profiling of immune-relevant tissues revealed distinct gene expression signatures depending on vaccine type and time post-vaccination. Both the herd-specific vaccine and Alpha Ject 3000 induced the expression of immunoglobulin and inflammatory markers in the spleen, contrasted by reduced immunoglobulin transcript levels in the gills and head kidney together with the downregulated expression of B-cell markers. These results demonstrate that an optimised injectable vaccination strategy can significantly improve health outcomes and disease resilience in maraena whitefish aquaculture.
Key Contribution: The findings presented in this manuscript underscore the importance of both vaccine composition and administration strategy in achieving protective immunity in coregonid fish. In addition, we propose a panel of qPCR assays capable of distinguishing unvaccinated fish from immunised individuals.

Graphical Abstract

1. Introduction

The maraena whitefish (Coregonus maraena) is a salmonid fish from the subfamily Coregoninae, valued for its non-pigmented flesh with excellent flavour. The Food and Agriculture Organization of the United Nations lists the farming of European whitefish (comprising Coregonus maraena, Coregonus lavaretus and Coregonus macrophtalmus) in the Czech Republic and Finland but also in Latvia, Italy and Denmark between 1993 and 2022 [1]. In Poland, Germany and Switzerland, C. maraena is produced as high-quality fish for human consumption in recirculating aquaculture systems (RASs) [2], but also in traditional pond systems [3], lakes [4] and net cages in the Baltic sea [5]. Sweden has, similar to Finland [6] and other Nordic countries [7], a long tradition of farming and restocking coregonid species, including C. maraena. Estonia and Russia also engage in the cultivation and restocking of Coregonus populations in both natural lakes and controlled environments [8].
One of the significant health concerns in maraena whitefish aquaculture is furunculosis, caused by Aeromonas salmonicida ssp. salmonicida, an obligate pathogenic Gram-negative bacterium commonly associated with salmonid fish [9,10]. The disease spreads through direct transmission between conspecifics and through various vectors, including parasites, molluscs, other fish species, contaminated equipment and waterborne aerosols. The outbreak and severity of furunculosis are heavily influenced by stress and inadequate environmental conditions [11]. Infected fish that survive the disease can become carriers, further facilitating its spread. Symptoms include septicaemia, skin ulcers, reddening of the skin, exophthalmos and significant mortality rates [12]. In addition, adverse husbandry conditions may compromise the immune system of maraena whitefish and increase their susceptibility to various other opportunistic pathogens.
The present case study reports the diagnostic detection of A. salmonicida and subsequent targeted control measures in a European aquaculture facility for maraena whitefish. This originally consisted of production departments at two locations, each specialising in different stages of the fish’s life cycle. The production department at Location 1 manages the broodstock in climate-controlled rooms, enabling out-of-season egg production up to four times a year. It also houses the hatchery and nursery for larvae and fingerlings, supporting growth until the fish reach approximately 20–30 g. The department at Location 2 is responsible for the fattening system, where fish are reared to a market size of 300–400 g.
The first outbreak of furunculosis occurred at Location 1 in October 2019 and caused moderate-to-substantial losses over the following 26 months, primarily at Location 1 and, from December 2021, also at Location 2. The microbiological identification of Aeromonas spp., along with Lactococcus garvieae [13] and Vibrio (Listonella) anguillarum [14], prompted the oral application of the antibiotics sulfadimidine and chlorotetracycline hydrochloride. In addition, biosecurity measures, including egg disinfection and enhanced sanitation, were reinforced—particularly in the climate-controlled broodstock rooms—by introducing separate equipment and personnel and adjusting workflows to prevent infectious agents from reaching the broodstock. Despite these measures, A. salmonicida was again identified in three of the four broodstocks at Location 1 by May and June 2020, suggesting reccurent infection. Further pathogen spread was evident when losses of up to 50% occurred within a few days in two tanks at Location 2 in 2022. Since antibiotic treatments have proven insufficient as a long-term solution [15,16], alternative disease management strategies for whitefish farming urgently had to be established.
Vaccination is one of the most effective and responsible strategies for promoting the health of farmed fish [15,16,17]. Its success largely depends on the administration route—whether by injection, bath immersion or oral application—and the protection achieved varies accordingly [18]. Research on the vaccination of Coregonus species remains limited, although the rising interest in their aquaculture has likely led to a few studies on health management practices, including vaccination strategies [19,20], to support the sustainable growth of maraena whitefish aquaculture.
This report describes our efforts to identify the infectious agent in aquaculture of maraena whitefish and to establish an efficient vaccination approach achieving long-lasting immune protection in maraena whitefish. In addition, we present a panel of quantitative PCR (qPCR) assays that can discriminate between tissue samples from unvaccinated and vaccinated maraena whitefish individuals.

2. Materials and Methods

2.1. Maraena Whitefish

Initially, 2.5 tons of 280-g maraena whitefish (Coregonus maraena) were obtained from the State Research Institute for Agriculture and Fisheries of Mecklenburg–Western Pomerania, Institute of Fisheries (Born, Germany) in cooperation with Thomas Splett (Wesenberg, Germany) [21]. From this population, future broodstock were selected and reared in RASs at Location 1, with water temperatures ranging from 5.5 °C in winter to a maximum of 20 °C in summer, replicating natural daylight lengths. Two spawning cycles of 100 whitefish each were established at first and later expanded to four cycles. The stocking density of larvae and fingerlings at Location 1 ranged from 35 to 50 kg/m3, depending on the age of the individuals and operational requirements.
Maraena whitefish weighing up to 30 g were transported to Location 2, where they were reared in three recirculating aquaculture systems (RASs) until they reached market size (~300 g). Water parameters were regularly monitored and included concentrations of NH4+ (0.66 ± 0.008 mg/L), NO2 (0.30 ± 0.01 mg/L) and NO3 (50.59 ± 5.22 mg/L); temperature (19.41 ± 0.79 °C); pH (7.75 ± 0.26); oxidation–reduction potential (266.60 ± 3.24); and electrical conductivity (3.96 ± 0.45 mS/cm) (all values represent mean ± SEM). The stocking density of maraena whitefish increased during fattening at Location 2 from ~10 to 50 kg/m3.

2.2. Diagnostics

A veterinarian initially assumed the presence of A. salmonicida indirectly on the basis of the clinical signs, including reddening of the skin, ulcers and bleeding, mostly in the form of widespread muscle haemorrhages.

2.2.1. Detection and Identification of Relevant Pathogens

Carcasses and swab samples from diseased or deceased maraena whitefish were collected for diagnostic evaluation. Routine bacteriological analyses were performed on the heart, liver, spleen and kidney of carcasses; visibly altered skin areas were examined additionally. Samples were cultured on Columbia agar with 7% sheep blood (CBA) and Gassner medium (Oxoid/Thermo Fisher Scientific, Wesel, Germany), with incubation at 24 ± 2 °C for a minimum of 48 h. Suspect colonies were sub-cultured on CBA and identified using VITEK MS MALDI-TOF mass spectrometry (bioMérieux Deutschland GmbH, Nürtingen, Germany) following the manufacturer’s protocol. Isolates suspected to be A. salmonicida were further confirmed using the Mono-AS rapid agglutination test (Bionor Laboratories AS, Skien, Norway).
In a parallel approach, pathogens were also detected in water samples collected from the tanks of the maraena whitefish production units. For this purpose, water samples were taken from three tanks in each RAS at Location 1 and Location 2, transferred to 50 mL conical centrifuge tubes and sterilely filtered (0.22 µm). DNA was then extracted from the filter retentate using the DNeasy Blood & Tissue Kit (Qiagen, Hilden, Germany), and 1 µL of the extracted DNA was used as template for subsequent PCRs.
Oligonucleotide primers were derived using the Pyrosequencing Assay Design software v.1.0.6 (Biotage, Uppsala, Sweden) based on Aeromonas salmonicida-specific nucleotide sequence coding for recA, tsfm, csy, rrnS and gyrB. The specificity of the resulting primer pairs (Table 1) was evaluated using the Basic Local Alignment Search Tool (BLASTn suite) of NCBI with the “somewhat similar sequences” setting.
PCRs were carried out in a Biometra TAdvanced Thermal Cycler (Analytik Jena, Jena, Germany) to monitor the presence of Aeromonas bacteria in water samples collected at the production departments at Location 1 and 2. Each 25 µL reaction mixture contained 1 µL cDNA, 0.15 µL HotStarTaq Plus DNA polymerase (Qiagen, Hilden, Germany), 2 µM of each sense and antisense primer (Table 1), 1 mM deoxynucleoside triphosphates (dNTPs; Thermo Fisher Scientific, Dreieich, Germany), 2.5 µL 10× buffer (Qiagen) containing 15 mM MgCl2 and nuclease-free water (Qiagen). The PCR programme utilised comprised an initial denaturation step at 95 °C for 5 min, followed by 40 cycles of denaturation at 95 °C for 5 s, annealing at 65 °C for 15 s and elongation at 72 °C for 15 s. All PCRs were performed in duplicate by different technicians; negative controls were included to monitor for contamination. Amplicons between 144 and 220 bp were visualised on 2% agarose gels stained with ethidium bromide (Roth, Karlsruhe, Germany)

2.2.2. Antimicrobial Susceptibility Testing

The MICRONAUT VET System (standard plate MICRONAUT-S Kleintier, MERLIN Diagnostika, Bornheim-Hersel, Germany) was used to determine minimum inhibitory concentrations (MICs). The following antimicrobials and concentration ranges were tested: penicillin G 0.06–4 µg/mL, ampicillin 0.125–8 µg/mL, amoxicillin/clavulanic acid 0.06/0.03–16/8 µg/mL, oxacillin 0.06–2 µg/mL, cephalexin 0.5–16 µg/mL, cefovecin 0.25–4 µg/mL, clindamycin 0.03–2 µg/mL, chloramphenicol 1–16 µg/mL, florfenicol 1–8 µg/mL, enrofloxacin 0.015–2 µg/mL, erythromycin 0.12–4 µg/mL, gentamicin 0.06–4 µg/mL, sulfamethoxazole/trimethoprim 0.25/4.75–2/38 µg/mL and tetracycline 0.06–8 µg/mL. Results for amoxicillin, lincomycin and doxycycline were inferred from ampicillin, clindamycin and pradofloxacin, respectively. Results for marbofloxacin and difloxacin were inferred from enrofloxacin. Broth microdilution media and incubation parameters were selected according to the Clinical and Laboratory Standards Institute (CLSI) guideline VET03 [22]. After incubation, plates were read automatically using the Multiskan FC photometer (Thermo Fisher Scientific). MIC results were analysed and interpreted using the MCN 6.0 software (MERLIN Diagnostika GmbH, Bornheim-Hersel, Germany). It should be noted, however, that according to the CLSI guideline VET04 [23], official interpretive criteria for broth dilution testing of A. salmonicida are not available for most of the antimicrobials tested, with the exception of florfenicol, for which only an epidemiological cut-off value (ECOFF) exists. Because both the ECOFF and species-specific clinical breakpoints have not yet been established for coregonids, the antimicrobial resistance profiles of A. salmonicida have been regarded as indicative rather than definitive.

2.3. Vaccination of Maraena Whitefish

All vaccinations were conducted in collaboration with the responsible farm veterinarians and the vaccine manufacturers.

2.3.1. Immersion Vaccines

The first approach to vaccinating maraena whitefish in 2021 involved immersion vaccination using a herd-specific formulation (manufacturer not disclosed). This immersion vaccine contained 1.5 × 109 formaldehyde-inactivated A. salmonicida ssp. salmonicida cells per millilitre of vaccine solution. Fingerlings weighing over 2 g were immersed for 30 s to 180 s in a 1:10 dilution of the vaccine at water temperatures below 12 °C.
In a subsequent approach, we used a modified formulation with adjuvant for immersion vaccination from the same manufacturer. In addition, a hypertonic pre-treatment was applied to whitefish weighing 5 to 10 g to draw out body fluids osmotically and enhance antigen uptake during the subsequent 30 min vaccination bath in a 1:1000 dilution of the vaccine.

2.3.2. Injection Vaccines

The third vaccination strategy focused on the intraperitoneal injection of maraena whitefish, anesthetised with 100 mg/L MS-222 (tricaine methanesulfonate; Pharmaq AS/Zoetis, Overhalla, Norway). To minimise physiological stress during anaesthesia and vaccination, maraena whitefish (19–41 g) were fasted for two days prior to treatment. Additionally, an empty or minimally filled digestive tract helped reduce the risk of incorrect injection.
We tested two vaccine formulations: (i) a herd-specific vaccine (manufacturer information withheld), developed using 1 × 109 formalin-inactivated isolates of A. salmonicida ssp. salmonicida and L. garvieae, combined with 60 mg of plant-based adjuvant oil; and (ii) Alpha Ject 3000 (Pharmaq/Zoetis, Overhalla, Norway), a multivalent vaccine emulsion containing 4.2 × 108 formalin-inactivated A. salmonicida ssp. salmonicida (AL 2017, RPS1 > 70), V. anguillarum serotype O1 (AL 112, RPS2 > 75) and V. anguillarum serotype O2a (AL 104, RPS2 > 75), along with 46 mg of light liquid paraffin, polysorbate 80, sorbitan oleate and water. This oil emulsion vaccine was originally developed for injection of Atlantic salmon (Salmo salar) [24] and has also been approved for rainbow trout (Oncorhynchus mykiss) in several EU countries [25], but not in Germany. Its use in this trial was authorised under §11 (6) No. 2 of the German Animal Health Act by the Ministry for Social Affairs and Social Cohesion of Saxony, and it was imported from Madrid, Spain.
In an initial test phase in February 2022, 18,853 maraena whitefish received 0.1 mL of the herd-specific vaccine, while 31,600 fish received 0.1 mL of Alpha Ject 3000; this dosage per fish was recommended by the manufacturer [25]. Both vaccines were administered by the professional vaccination team from Aqualife Services (Scotland/U.K.; https://www.aqualifeservices.com, accessed on 5 March 2025) on customised vaccination tables. After vaccination, the maraena whitefish stocks were inspected by the responsible veterinarian, including a clinical examination for vaccination reactions, a review of the animal keeper’s records and an assessment of the vaccination success. In September 2022, the procedure was repeated with 12,400 (herd-specific vaccine) and 22,600 individuals (Alpha Ject 3000), respectively.
Vaccinations were conducted at water temperatures between 16–22 °C. Following injection, fish remained in tank facilities for 4–5 weeks at 16–22 °C to ensure proper immune response development, based on the manufacturer’s recommendation of 450 degree days.
In 2023, 742,242 maraena whitefish (weighing between 20 and 50 g) were vaccinated intraperitoneally with Alpha Ject 3000 using the semi-automated vaccine delivery system INOCA Salmo (Aqualife Services, Stirling, Scotland/UK). The system automatically grades fish by size. Originally optimised for salmon weighing between 30 and 200 g, this system has been adapted for maraena whitefish in the present study.

2.4. Carcass Evaluation and Sampling of Vaccinated Whitefish

Carcasses were evaluated using the Speilberg scale ranging from 0 (no lesions) to 6 (extensive lesions, adhesions and pronounced melanin deposition) [26].
The head kidney [10] and spleen [27] are the primary lymphoid organs in maraena whitefish, while the gills, as part of the mucosa-associated lymphoid tissue [28], are also considered immunocompetent. Given their immunological relevance, the head kidney, spleen and gills were collected from three unvaccinated maraena whitefish, as well as from three individuals each, one year post-vaccination with Alpha Ject 3000 and one year post-vaccination with the herd-specific vaccine. The skin is only indirectly involved in the development of an immunological response to vaccination and was therefore sampled as reference tissue. Additionally, head kidney samples were collected from three individuals each at two days and four weeks post-vaccination with Alpha Ject 3000. All samples were immediately snap-frozen in liquid nitrogen and stored at −80 °C until further processing.

2.5. Gene Expression Profiling of Maraena Whitefish Tissues

We designed a total of 16 oligonucleotide primer pairs (Table 2) for gene expression profiling in various tissue samples representative of six maraena whitefish groups. These maraena-whitefish-specific qPCR assays were designed as described in Section 2.2.1, ensuring that either the sense or the antisense primer spanned an exon–exon junction.
The reference genes eef1a1b and rpl9 were adapted from our previous analysis [29]. All primers were checked before qPCR measurements via standard PCR.
Total RNA was extracted using a combined protocol with TRIzol Reagent (Thermo Fisher Scientific) and the ISOLATE II RNA Mini Kit (BioCat, Heidelberg, Germany), followed by DNase treatment (Qiagen, Hilden, Germany). We assessed RNA concentration and purity using a NanoDrop Onec spectrophotometer (Thermo Fisher Scientific). For cDNA synthesis, 500 ng of total RNA per sample was reverse transcribed in a final reaction volume of 100 µL (resulting in a cDNA concentration of 1 ng/µL) using the SensiFAST cDNA Synthesis Kit (BioCat). qPCR was performed using 5 ng of cDNA (RNA equivalent) per reaction on a LightCycler 96 System (Roche, Basel, Switzerland) with the SensiFAST SYBR No-ROX Kit (Bioline, Luckenwalde, Germany). The qPCR protocol consisted of an initial denaturation step at 95 °C for 5 min, followed by 40 cycles of denaturation (95 °C, 5 s), annealing (60 °C, 15 s) and extension (72 °C, 15 s), with fluorescence acquisition at 72 °C for 10 s. Quality of the PCR products ranging from 96 to 185 bp was confirmed by gel electrophoresis and melting curve analysis.
The qPCR raw data were retrieved as Cq values using the LightCycler 96 analysis software v. 1.1.0.1320. Only Cq values < 35 were considered detectable. Target gene expression was calculated and normalised to a correction factor based on the reference genes according to ref. [29] using the formula 2−ΔΔCq [30]. Student’s t-test was used to assess differential gene expression, with statistical significance defined as p ≤ 0.05.
Heatmaps were generated from log2-transformed normalised expression values using the pheatmap package and principal component analysis (PCA) was performed on log10-transformed normalised expression values using the factoextra package in RStudio v2024.12.1 for Windows (https://www.r-project.org/, accessed on 22 May 2025).
The functional interaction of the protein-encoding genes selected for expression profiling was performed using STRING v12.0 [31].

3. Results

3.1. MALDI-TOF and PCR Enabled Reliable Detection of A. salmonicida in Whitefish Environments

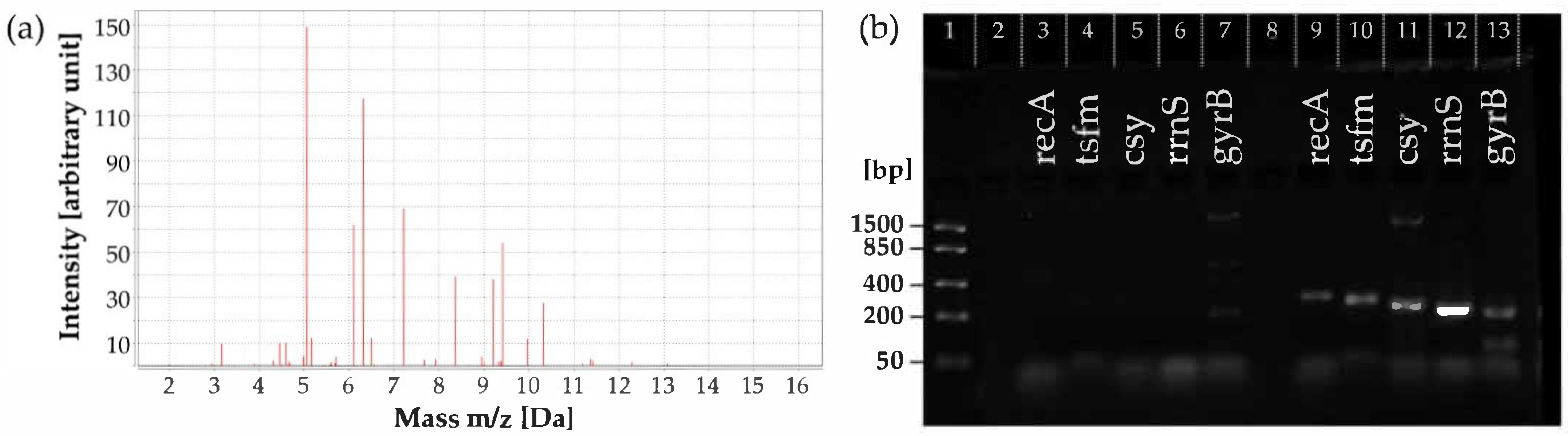
Based on a combination of veterinary examinations and bacteriological analyses, A. salmonicida was identified as the primary pathogen present at both locations of the aquaculture facility for maraena whitefish (Figure 1).
MALDI-TOF mass spectra of isolates from furunculosis-infected maraena whitefish (Figure 1a) were compared with those of an A. salmonicida control strain to confirm positive identification. In addition, PCR was performed on water samples from tanks containing uninfected and furunculosis-infected whitefish. Stronger qPCR signals in contaminated samples (Figure 1b) indicated a higher abundance of bacterial transcripts, particularly for rrnS and gyrB, consistent with bacterial contamination in whitefish.
Antimicrobial susceptibility testing of A. salmonicida isolates collected between 2019 and 2021 revealed challenges due to the lack of coregonid-specific clinical breakpoints. As a result, the classification of isolates as susceptible, intermediate or resistant was considered an indicative estimate of the antimicrobial resistance profiles of A. salmonicida. The results indicated that the isolates were generally resistant to macrolides (like erythromycin), lincosamides (like clindamycin and lincomycin) and β-lactams (like penicillin G). On the other hand, fluoroquinolones (e.g., enrofloxacin), tetracyclines and potentiated sulfonamides appeared to remain effective (Table 3).
Although tetracyclines were still effective in combating furunculosis, efforts were initiated to develop appropriate vaccination strategies for maraena whitefish directed against A. salmonicida. As there is still no approved commercial vaccine for maraena whitefish, the use of a herd-specific vaccine was indicated. Clear evidence of A. salmonicida was required for this purpose, as Section 11 (1) of the German Animal Health Act stipulates that herd-specific vaccines must be produced from a pathogen isolated from the specific animal population and may only be used within that same population.

3.2. Treatment with Immersion Vaccination Failed in Protecting Maraena Whitefish from Furunculosis

About 600,000 maraena whitefish were vaccinated via immersion with a herd-specific vaccine; nevertheless, losses of approximately 80% of the population occurred in the following weeks. Herd-specific immersion vaccinations against A. salmonicida ssp. salmonicida (with or without adjuvants) thus proved ineffective in maraena whitefish. Disease outbreaks caused by A. salmonicida occurred in the maraena whitefish production departments at Locations 1 and 2 shortly after the fish were transported between the two sites, more than four weeks after vaccination.

3.3. I.p. Vaccination with Herd-Specific Vaccine Induced High Mortalities

A herd-specific vaccine containing A. salmonicida ssp. salmonicida and L. garvieae, formulated with a plant-based adjuvant, was initially tested in two rounds on more than 31,000 maraena whitefish and ultimately on approximately 200,000 individuals via intraperitoneal injection. A similar pattern was evident throughout these vaccinated cohorts: mortality began at week 3 post-vaccination, reached about 17% at week 5 and continued to increase to 30% at week 4.
Adverse reactions included inflammation, swelling and abscess formation at the injection site, along with visceral adhesions, necrosis of abdominal connective tissue and internal haemorrhaging. Various bacteria, including L. garvieae, were isolated from affected whitefish, potentially contributing to the observed effects. In contrast, unvaccinated individuals were free of clinical symptoms. Consequently, the use of the herd-specific vaccine was discontinued.

3.4. I.p. Vaccination with Alpha Ject 3000 Provides Resistance to Aeromonas at Low Mortality

Between 2022 and 2024, an estimated total of 1.2 million maraena whitefish were vaccinated with the commercial Alpha Ject 3000 vaccine containing A. salmonicida ssp. salmonicida and V. anguillarum, formulated with a mineral adjuvant. Within 4–5 weeks post-vaccination, total losses reached only 3.3%, coinciding with the development of protective immunity in the maraena-whitefish production department at Location 1. The losses were attributed as follows: (i) ~1% to anaesthesia-related complications, (ii) ~1% to incorrect injection technique and (iii) ~1% to system-specific baseline mortality. While the two groups vaccinated with Alpha Ject 3000 had consistently low mortality rates throughout the observation period, the post-vaccination mortality rate was 5.1 times higher in the group treated with the herd-specific vaccine (Figure 2).
No adverse reactions to the vaccination were observed. Carcass evaluations, conducted using the Speilberg scale, revealed no or minimal tissue alterations (scores ≤ 1).
Notably, furunculosis-related losses, previously common, were entirely absent in the maraena whitefish production departments at both locations following the introduction of the Alpha Ject 3000 vaccine. While the cohorts vaccinated with Alpha Ject 3000 showed stable population numbers, unvaccinated groups remained highly susceptible to A. salmonicida, which continued to cause significant losses (Figure 3).
Since then, A. salmonicida has been detected only sporadically, with no associated clinical symptoms observed in maraena whitefish.

3.5. I.p. Vaccination Triggers Distinct Immune Gene Signature in Maraena Whitefish

To assess the impact of vaccination at the molecular level, tissue samples were collected from the cohort of unvaccinated maraena whitefish and from conspecifics at day two, four weeks and one year post-vaccination with Alpha Ject 3000, as well as one year after receiving a herd-specific vaccine. The sixteen genes used for expression profiling (Figure 4a) have been selected as inflammatory (il1b, interleukin-1 beta; tnf, tumour necrosis factor) or anti-inflammatory markers (tgfb, transforming growth factor beta) and characteristic markers of phagocytic leucocytes (mpo, myeloperoxidase; tlr5, tlr9 and tlr22; toll-like receptor 5, 9 and 22) and B and T cells (cd8a, cluster of differentiation 8a; top2a, dna topoisomerase II alpha; pax5, paired box 5; xbp1, X-box binding protein 1; cd83; cd79a; ighd, ighm and ight, heavy chains of the immunoglobulins delta, mu and tau).
qPCR analysis of the head kidney, spleen, gills and skin samples from three whitefish individuals per group revealed that three of the 16 selected genes, namely cd8b, tlr5 and tlr9, exhibited low transcript levels (≤200 copies/µg RNA), while the remaining 13 genes were expressed at higher levels, reaching up to 390.680 copies/µg RNA (for mpo in head kidney samples of whitefish 4 weeks post-vaccination with Alpha Ject 3000).
In line with their known functions, the selected genes displayed distinct expression profiles in maraena whitefish following vaccination (Figure 4b).One year after treatment with the herd-specific vaccine, transcript levels of ighd (15.2-fold; p = 0.01) and ighm (13.9-fold; p < 0.05) were strongly increased in the spleen of vaccinated maraena whitefish compared to unvaccinated controls, whereas ighd (18.7-fold; p = 0.002) and ighm (13.1-fold; p = 0.001) transcript levels in the gills, as well as ight levels in both the head kidney (7.9-fold; p = 0.01) and gills (14.4-fold; p = 0.02), were reduced. Concurrently, the spleens of vaccinated maraena whitefish showed a marked increase in pro-inflammatory il1b expression (14.0-fold; p = 0.01) and a decrease in anti-inflammatory tgfb transcripts (4.0-fold; p = 0.004) compared to unvaccinated controls. cd79a levels were significantly reduced in the head kidney (7.8-fold; p = 0.007) and gills (20.7-fold; p = 0.009), alongside reductions in tnf (9.0-fold; p = 0.02), xbp1 (4.1-fold; p = 0.02), top2a (3.2-fold; p = 0.001) and tgfb (1.6-fold; p = 0.03) in the gills.
The cohort having received the Alpha Ject 3000 vaccine displayed increased ighd and ighm transcript levels in the spleen (2.5- and 3.9-fold, respectively) but decreased levels of ight in the head kidney (2.8-fold; p = 0.02) and all three immunoglobulin-encoding transcripts in the gills (10.9- to 17.4-fold; p ≤ 0.02) one year post-vaccination. In parallel, xbp1 transcripts increased in the spleen and head kidney (≥2.3-fold; p ≤ 0.04), while cd83 (2.6-fold; p = 0.01) was upregulated in the head kidney and tgfb was markedly downregulated in the spleen (9.8-fold; p = 0.002) compared to unvaccinated controls. Similar to maraena whitefish vaccinated with the herd-specific vaccine, cd79a (21.1-fold; p = 0.02), xbp1 (5.4-fold; p = 0.01) and top2a (3.0-fold; p = 0.04) levels were reduced in the gills of Alpha Ject 3000-vaccinated maraena whitefish.
For both vaccines, pax5 transcript levels increased in the spleen (6.4- to 7.2-fold; p = 0.02 and 0.08) and decreased significantly in the head kidney and gills (7.8- to 24.5-fold; p ≤ 0.01). In contrast, the comparatively less immunocompetent skin exhibited minimal changes in the expression profiles of the selected gene set before and after vaccination (Figure 4b).
In summary, both the herd-specific vaccine and Alpha Ject 3000 elicited tissue-specific gene expression changes in maraena whitefish still detectable one year after vaccination. The expression of immunoglobulin (ighd, ighm, ight) and inflammatory markers (il1b) in the spleen is contrasted by reduced immunoglobulin transcript numbers in the gills and head kidney together with the downregulated expression of B-cell markers (cd79a, xbp1 or pax5).
Based on these qPCR data, a principal component analysis (PCA) was performed to explore patterns of gene expression across the treatment groups. In the head kidney, the first two principal components (PC1 and PC2) accounted for a combined 55% of the total variance (Figure 5a), separating the distinct and tightly grouped cluster of unvaccinated whitefish from the vaccinated individuals, which clustered according to vaccine type and time since vaccination (Figure 5b).
Notably, the 2-day post-vaccination group was positioned centrally, suggesting a transitional gene expression profile, while the 4-week group shifted further along PC1. Fish vaccinated with the herd-specific vaccine clustered separately from all other groups, primarily along PC2. Among the genes analysed in the head kidney, pax5 and ight contributed most strongly to separation along PC1, while xbp1 and cd83 were key contributors along PC2.
In the spleen and gills, PC1 alone accounted for more than 45% and 59% of the total variance (Figure 5c−f), respectively, and these numbers are roughly equivalent to the value of both PCs together in the head kidney (Figure 5a). Most genes profiled in the spleen have positive loadings along PC1, majorly top2a, tlr22, il1b and ighm/ight, while pax5, tlr22, ighm, ighd, cd79a and xbp1 have negative loadings along PC1 in the gills. Both in the spleen and gills, the group of unvaccinated individuals were clearly separated from whitefish vaccinated with the herd-specific vaccine or Alpha Ject 3000 (Figure 5d,f).
Altogether, these findings demonstrate that both the type of vaccine and the timing post-vaccination have a marked effect on gene expression profiles in distinct immune-relevant tissues of maraena whitefish. These results highlight that the set of genes employed here enables the qPCR-based discrimination between vaccinated and unvaccinated maraena whitefish in explicitly immunocompetent tissues.

4. Discussion

The control of A. salmonicida in intensive aquaculture is hampered by the routine exchange of fish between facilities. Despite enhanced biosecurity measures, recurrent furunculosis outbreaks in maraena whitefish prompted us to investigate alternative disease control strategies to reduce reliance on repeated antibiotic treatments. Two rounds of immersion vaccination using a herd-specific vaccine targeting A. salmonicida ssp. salmonicida, with or without adjuvants, proved ineffective in establishing long-term protection. This finding supports previous studies showing that immersion vaccination, while less stressful and easier to administer, fails to achieve lasting protection against certain pathogens [32], including Aeromonas spp. [33,34], without repeated booster administrations [35,36].
By contrast, injection, typically administered intraperitoneally or intramuscularly, ensures the precise delivery of distinct antigens and induces a more robust systemic immune response, providing more durable protection in farmed salmonids [32,37]. However, the efficacy of injectable vaccines depends on multiple factors [38], including the nature and quality of the antigens used. Two bivalent vaccines, a herd-specific formulation and the commercial Alpha Ject 3000 vaccine, were tested in this study. Each contained inactivated A. salmonicida ssp. salmonicida, with the herd-specific vaccine also including L. garvieae and the Alpha Ject 3000 containing V. anguillarum. Both formulations contained a diverse array of pathogen-associated molecular patterns, capable of eliciting adaptive immune responses, particularly the production of antibodies. To enhance immunogenicity, inactivated bacterial vaccines require suitable adjuvants [38]. While Alpha Ject 3000 is formulated with mineral oil-based adjuvants, the herd-specific vaccine used a plant-based adjuvant, which may have triggered adverse reactions and contributed to poor vaccine acceptance in maraena whitefish. Alternatively, the inclusion of L. garvieae as a second antigen (in contrast to V. anguillarum in the Alpha Ject 3000) could have played a role in these negative outcomes.
Overall, vaccination with the herd-specific formulation resulted in mortality rates affecting approximately one-third of the vaccinated cohort, rendering its continued use economically unviable. In stark contrast, the Alpha Ject 3000 vaccine has been well tolerated by C. maraena and mortality rates were similar to those observed for salmon vaccinated with Alpha Ject Micro 6 and Alpha ERM salar (3.9%) [39]. Maraena whitefish vaccinated with Alpha Ject 3000 were clinically healthy over the entire fattening period and displayed above-average fitness. A. salmonicida ssp. was only sporadically detected during continuous monitoring.
Although Atlantic salmon is the target species of the Alpha Ject 3000 emulsion [24], this vaccine has been evaluated in several other fish species, including rainbow trout (Oncorhynchus mykiss) [40,41], Arctic charr (Salvelinus alpinus) [42] and Atlantic cod (Gadus morhua) [43]. In maraena whitefish, similar injectable vaccine formulations, namely Apoject 1800 (Alpharma A/S, Bridgewater Township, NJ, USA) and Lipogen Duo (Aqua Health, Charlottetown, Canada), have been tested [19,20]. Both bivalent formulations contained formalin-inactivated cultures of A. salmonicida ssp. salmonicida in combination with V. anguillarum serotypes O1/O2 or just O1, respectively. These vaccines not only induced immunological responses, such as a significant increase in plasma lysozyme activity, but were also associated with a temporary reduction in feed intake during the first two weeks following administration [20]. Three weeks after vaccination, circulating antibody concentrations rose markedly but declined again within five weeks. By eight weeks post-vaccination, elevated counts of circulating lymphocytes and neutrophils were reported. Furthermore, treated maraena whitefish exhibited minimal skin pigmentation, and fewer than half of the group displayed weak-to-moderate adhesions [19], in line with observations in other species injected with Alpha Ject 3000 [43]. No vaccine-related mortalities were reported.
In addition to vaccine composition, the husbandry conditions under which a vaccination protocol is implemented play a critical role in shaping the resulting immunocompetence [44]. We acknowledge that environmental parameters in the RAS departments monitored, such as water temperature, stocking density and ammonium and nitrite levels, varied over time. Therefore, it must be conceded that the individual vaccination trials were conducted under non-identical conditions, limiting their direct comparability. Nevertheless, we conducted a parallel comparison of the herd-specific vaccine and the commercial Alpha Ject 3000 formulation and observed comparable results for each type of vaccination administered in both late winter and early autumn. This suggests that, despite environmental fluctuations, the overall vaccine efficacy trends remained consistent. In this context, it should be noted that RAS facilities allow for a greater degree of environmental control, making them more suitable for systematic evaluation of vaccination protocols compared to open aquaculture systems, where conditions are inherently more variable.
In connection with optimised vaccination protocols, another relevant aspect may be worth mentioning. Injection-based vaccination is labour-intensive, even with mechanical assistance. A semi-automated vaccination allowed for gentler handling of maraena whitefish, reducing stress and potential injuries. During this study, a semi-automated vaccine delivery system provided greater flexibility in use with farm personnel, eliminating the need for a professional vaccination team. Additionally, the system supported the adjustment of various parameters, including speed, retention time of the needle in the fish and the angle and depth of puncture, allowing for precise customisation. Nonetheless, this method required continuous monitoring to ensure its proper operation and effectiveness. It also comes with high purchase and maintenance costs, representing a significant investment for fish farms.
In addition to monitoring the compatibility and efficacy of vaccination strategies for coregonids, the present study focused on transcriptional changes and gene expression patterns across three immunocompetent tissues of maraena whitefish to investigate how vaccination shapes tissue-specific immune responses to pathogens that are presumably constantly present in the rearing environment at varying concentrations. The PCA identified eleven genes that differentiated unvaccinated whitefish from those sampled at 2 days, 4 weeks and 1 year post-vaccination with Alpha Ject 3000 and at 1 year after herd-specific vaccination. These genes included markers of leucocyte populations and various stages of B-cell activation. In detail, the lysosomal enzyme Mpo and the pattern-recognition receptor Tlr22 are characteristic immune factors associated with phagocytic leucocytes such as monocytes, macrophages or granulocytes that process vaccine antigens and trigger the release of inflammatory cytokines like Il1b. Antigen presentation subsequently activates B cells, as evidenced by altered expression of top2a, pax5, xbp1 and cd83. B-cell identity and immunoglobulin production were further confirmed by cd79a and the antibody-encoding transcripts ighd, ighm and ight. We note that the observed gene expression patterns one year post-vaccination are likely not attributable to the vaccination process itself but rather reflect the response of an immunised individual to presumed (latent) exposure to pathogens present in the rearing environment. In contrast, the time point “2 days post-vaccination” likely reflects the acute response to the immunising vaccination, while the time point “4 weeks post-vaccination” probably indicates the activation of adaptive immune processes.
The orientation of particular immune gene expression profiles varied markedly among the examined immunocompetent organs. The spleen is the primordial secondary lymphoid organ orchestrating adaptive immune responses [45]. It displayed increased expressions for a specific set of genes (pax5, xbp1, ighd and ighm), indicating that activated B cells proliferate and differentiate into antibody-secreting plasma cells. In contrast, the head kidney, a primary haematopoietic organ [46,47,48], exhibited downregulation of B-cell markers (pax5, cd79a and ight), suggesting the migration of activated B cells toward peripheral lymphoid tissues, including the spleen. This aligns with findings from previous studies in salmonids documenting reduced immunoglobulin transcript levels in the head kidney post-vaccination [39]. Although the gills are not directly targeted by i.p. vaccination, they are rich in lymphocytes [49] and showed reduced expression of immune genes post-vaccination. This may reflect lymphocyte migration to central immune organs or a localised suppression of immune responses to avoid excessive inflammation at this sensitive mucosal barrier, possibly as a trade-off for stronger systemic immunity.
Taken together, vaccination in maraena whitefish triggered tissue-specific transcriptional responses, with B-cell activation and immunoglobulin production evident in the spleen, reduced expression of immune markers in the head kidney suggesting lymphocyte migration and downregulation of immune genes in the gills possibly reflecting immune dampening at mucosal sites. Primarily, genes encoding immunoglobulins (ighd, ighm, ight), cytokines (il1b, tgfb, tnf) and B-cell markers (cd79a, top2a, xbp1, cd83, pax5) reflected the coordinated redistribution and activation of immune cells following intraperitoneal vaccination of maraena whitefish.

5. Conclusions

This study provides a framework for developing effective immunoprophylaxis protocols in emerging coldwater species. We found that C. maraena tolerated a commercial intraperitoneal vaccine against A. salmonicida ssp. salmonicida well, resulting in only sporadic detections of A. salmonicida and no major furunculosis outbreaks following immunisation. In sharp contrast, herd-specific dip vaccines against the same germ were ineffective in maraena whitefish. Gene expression profiles in the head kidney, spleen and gills reflected distinct immunological responses to vaccination with a commercial versus herd-specific vaccine and time since administration. A set of eleven immune-related genes proved effective at allowing the discrimination of vaccinated from unvaccinated maraena whitefish, even one year after the vaccination event. Admittedly, additional functional assays, such as quantification of antibody levels or lysozyme activity, as well as controlled laboratory challenge trials, were not conducted to confirm protective effects beyond field observations. Thus, our evidence for vaccination-induced resistance to Aeromonas remains indirect, inferred from the absence of Aeromonas-related infections in the field and the qPCR-based detection of modulated immune gene expression in maraena whitefish.
Nevertheless, we emphasise that even experimental, lab-based infections in vaccinated fish cannot fully replicate the conditions found in large-scale aquaculture facilities. In laboratory trials, environmental variables are tightly controlled (unlike the fluctuating conditions in commercial fish farms) and fish are exposed to a defined pathogen dose under optimal conditions for infection. This may not reflect the diverse ways pathogens are encountered in the field, including multiple co-infections, varying pathogen loads or chronic low-level exposure. In addition, transport between facilities, handling and other farm-specific stressors strongly affect disease susceptibility and immune status, but are difficult to replicate accurately under laboratory conditions.
The promising results achieved with Alpha Ject 3000 led us to hypothesise that injectable vaccines may protect valuable whitefish broodstock against harmful pathogens. Since the manufacturer does not explicitly recommend the use of Alpha Ject 3000 in spawning fish, its application in this context warrants further investigation in future studies.

Author Contributions

K.B.: methodology, resources, investigation, supervision; P.L.: methodology, investigation, formal analysis, data curation, visualisation, supervision; U.S. resources, methodology, supervision; S.S.: methodology, investigation; T.G.: conceptualisation, methodology, investigation, data curation, resources, supervision, project administration; A.R.: methodology, investigation, software, formal analysis, data curation, visualisation, writing. All authors have read and agreed to the published version of the manuscript.

Funding

The publication of this article was funded by the Open Access Fund of the FBN.

Institutional Review Board Statement

The vaccinations described in this case report were part of routine veterinary herd health management. According to German and EU legislation (Directive 2010/63/EU and the German Animal Welfare Act [Tierschutzgesetz, TierSchG]), such veterinary prophylactic measures do not constitute an animal experiment, as they are carried out for the direct benefit of animal health and welfare and do not involve procedures beyond standard veterinary practice. The fish farm (Locations 1 and 2) was regularly monitored; the support included extensive consultations, examinations and sampling as part of the early detection programme for fish and the voluntary monitoring programme for aquatic animal diseases of the Saxon State Ministry for Social Affairs and Social Cohesion and the Saxon Animal Disease Fund.

Informed Consent Statement

Not applicable.

Data Availability Statement

Data will be made available on request. Further inquiries can be directed to the corresponding authors.

Acknowledgments

Julian Krinitskij, Anne S. Theel and Franziska Witt (FBN) are greatly acknowledged for their excellent technical assistance.

Conflicts of Interest

The author Tim Gottschalk was employed by KM Seafood GmbH. The remaining authors declare that the research was conducted in the absence of any commercial or financial relationships that could be construed as a potential conflict of interest.

Abbreviations

Gene symbols along with full gene names are listed in Table 1 and Table 2. In addition, the following abbreviations are used in this manuscript:
BLASTBasic local alignment search tool
CBAColumbia blood agar
cdCluster of differentiation
CLSIClinical and laboratory standards institute
DimDimension
ECOFFEpidemiological cut-off value
dNTPDeoxynucleoside triphosphates
i.p.Intraperitoneal
MALDI-TOFMatrix-assisted laser desorption ionisation–time-of-flight mass spectrometry
MICMinimum inhibitory concentration
PCAPrincipal component analysis
qPCRQuantitative real-time PCR
RASRecirculating aquaculture system

References

  1. FAO. In Brief to The State of World Fisheries and Aquaculture 2022; FAO: Washington, DC, USA, 2022. [Google Scholar] [CrossRef]
  2. Bochert, R.; Horn, T.; Luft, P. Maraena whitefish (Coregonus maraena) larvae reveal enhanced growth during first feeding with live Artemia nauplii. Arch. Pol. Fish. 2017, 25, 3–10. [Google Scholar] [CrossRef][Green Version]
  3. Boiteanu, C.-N.; Manthey-Karl, M.; Savu, C. Sensory Attributes and Chemical Composition of Maraena Whitefish (Coregonus maraena) from German Aquaculture. 2016. Available online: https://rombio.unibuc.ro/wp-content/uploads/2022/05/21-6-13.pdf (accessed on 10 December 2018).
  4. Baer, J.; Deweber, J.T.; Rösch, R.; Brinker, A. Aquaculture of coregonid species-quo vadis? Ann. Zool. Fenn. 2021, 58, 307–318. Available online: http://www.fao.org/fishery/statistics/soft- (accessed on 29 March 2022). [CrossRef]
  5. Rebl, A.; Schmachtl, F.; Brunner, R.M.; Kühn, C.; Swirplies, F.; Goldammer, T. More than just a pinch of salt? The impact of increasing salinity on maraena whitefish in different husbandry systems. Aquac. Rep. 2025, 42, 102758. [Google Scholar] [CrossRef]
  6. Paisley, L.G.; Ariel, E.; Lyngstad, T.; Jónsson, G.; Vennerström, P.; Hellström, A.; Østergaard, P. An Overview of Aquaculture in the Nordic Countries. J. World Aquac. Soc. 2010, 41, 1–172. [Google Scholar] [CrossRef]
  7. Lindholm-Lehto, P.; Koskela, J.; Kaseva, J.; Vielma, J. Accumulation of Geosmin and 2-methylisoborneol in European Whitefish Coregonus Lavaretus and Rainbow Trout Oncorhynchus Mykiss in RAS. Fishes 2020, 5, 13. [Google Scholar] [CrossRef]
  8. Minchenok, E.E.; Semenikhina, M.E.; Zhuravleva, N.G.; Trotsenko, A.A.; Aleksandrova, E.Y. Breeding of whitefish Coregonus Lavaretus L. at the Knyazhegubsky fish hatchery. BIO Web Conf. 2024, 121, 01001. [Google Scholar] [CrossRef]
  9. Charette, S.J. Microbe profile: Aeromonas salmonicida: An opportunistic pathogen with multiple personalities. Microbiology 2021, 167, 001052. [Google Scholar] [CrossRef]
  10. Martorell Ribera, J.; Nipkow, M.; Viergutz, T.; Brunner, R.M.R.M.; Bochert, R.; Koll, R.; Goldammer, T.; Gimsa, U.; Rebl, A. Early response of salmonid head-kidney cells to stress hormones and toll-like receptor ligands. Fish Shellfish. Immunol. 2020, 98, 950–961. [Google Scholar] [CrossRef] [PubMed]
  11. Pereira, C.; Duarte, J.; Costa, P.; Braz, M.; Almeida, A. Bacteriophages in the Control of Aeromonas sp. in Aquaculture Systems: An Integrative View. Antibiotics 2022, 11, 163. [Google Scholar] [CrossRef] [PubMed]
  12. Dallaire-Dufresne, S.; Tanaka, K.H.; Trudel, M.V.; Lafaille, A.; Charette, S.J. Virulence, genomic features, and plasticity of Aeromonas salmonicida subsp. salmonicida, the causative agent of fish furunculosis. Vet. Microbiol. 2014, 169, 1–7. [Google Scholar] [CrossRef]
  13. Vendrell, D.; Balcázar, J.L.; Ruiz-Zarzuela, I.; de Blas, I.; Gironés, O.; Múzquiz, J.L. Lactococcus garvieae in fish: A review. Comp. Immunol. Microbiol. Infect. Dis. 2006, 29, 177–198. [Google Scholar] [CrossRef]
  14. Hickey, M.E.; Lee, J.L. A comprehensive review of Vibrio (Listonella) anguillarum: Ecology, pathology and prevention. Rev. Aquac. 2018, 10, 585–610. [Google Scholar] [CrossRef]
  15. Bondad-Reantaso, M.G.; MacKinnon, B.; Karunasagar, I.; Fridman, S.; Alday-Sanz, V.; Brun, E.; Le Groumellec, M.; Li, A.; Surachetpong, W.; Karunasagar, I.; et al. Review of alternatives to antibiotic use in aquaculture. Rev. Aquac. 2023, 15, 1421–1451. [Google Scholar] [CrossRef]
  16. Gebauer, T.; Gebauer, R.; Stejskal, V.; Verleih, M.; Folorunso, E.A.; Korytář, T.; Rebl, A. Current Status and Opportunities of Immunological Research on Percid Fishes. Rev. Fish. Sci. Aquac. 2025, 33, 286–318. [Google Scholar] [CrossRef]
  17. Adams, A. Progress, challenges and opportunities in fish vaccine development. Fish Shellfish Immunol. 2019, 90, 210–214. [Google Scholar] [CrossRef]
  18. Mondal, H.; Thomas, J. A review on the recent advances and application of vaccines against fish pathogens in aquaculture. Aquac. Int. 2022, 30, 1971–2000. [Google Scholar] [CrossRef] [PubMed]
  19. Lönnström, L.-G.; Rahkonen, R.; Lundén, T.; Pasternack, M.; Koskela, J.; Gröndahl, A. Protection, immune response and side-effects in European whitefish (Coregonus lavaretus L.) vaccinated against vibriosis and furunculosis. Aquaculture 2001, 200, 271–284. [Google Scholar] [CrossRef]
  20. Koskela, J.; Rahkonen, R.; Pasternack, M.; Knuutinen, H. Effect of immunization with two commercial vaccines on feed intake, growth, and lysozyme activity in European whitefish (Coregonus lavaretus L.). Aquaculture 2004, 234, 41–50. [Google Scholar] [CrossRef]
  21. Luft, P.; Horn, T.; Schumacher, C.; Bissa, K. Die Etablierung von Nutzfischmodellen am Standort Born zur Entwicklung Robuster Zuchtlinien für die Regionale Aquakultur am Beispiel des Schnäpels (Coregonus maraena (Bloch, 1779)) in Mecklenburg-Vorpommern in den Jahren 2013 bis 2015. Available online: https://www.aquakultur-mv.de/static/AQUA/Dokumente/Forschen/Abschlussbericht_Ostseeschn%C3%A4pel%20Born.pdf (accessed on 10 March 2025).
  22. CLSI. Methods for Broth Dilution Susceptibility Testing of Bacteria Isolated From Aquatic Animals, Approved Guideline VET04-A2; Clin. Lab. Stand. Inst.: Wayne, PA, USA, 2014; VET03, USA; Available online: https://clsi.org/shop/standards/vet04/ (accessed on 21 May 2025).
  23. CLSI. Performance Standards for Antimicrobial Susceptibility Testing of Bacteria Isolated From Aquatic Animals, 3rd ed.; CLSI supplement VET04; Clinical and Laboratory Standards Institute: Wayne, PA, USA, 2020. [Google Scholar]
  24. Bricknell, I.; King, J.A.; Bowden, T.J.; Ellis, A.E. Duration of protective antibodies, and the correlation with protection in Atlantic salmon (Salmo salar L.), following vaccination with an Aeromonas salmonicida vaccine containing iron-regulated outer membrane proteins and secretory polysaccharide. Fish Shellfish Immunol. 1999, 9, 139–151. [Google Scholar] [CrossRef]
  25. ALPHA JECT 3000 Emulsion for Injection for Atlantic Salmon. Available online: https://medicines.health.europa.eu/veterinary/en/600000080418 (accessed on 14 April 2025).
  26. Midtlyng, P.J.; Reitan, L.J.; Speilberg, L. Experimental studies on the efficacy and side-effects of intraperitoneal vaccination of Atlantic salmon (Salmo salar L.) against furunculosis. Fish Shellfish Immunol. 1996, 6, 335–350. [Google Scholar] [CrossRef]
  27. Altmann, S.; Korytář, T.; Kaczmarzyk, D.; Nipkow, M.; Kühn, C.; Goldammer, T.; Rebl, A. Toll-like receptors in maraena whitefish: Evolutionary relationship among salmonid fishes and patterns of response to Aeromonas salmonicida. Fish Shellfish Immunol. 2016, 54, 391–401. [Google Scholar] [CrossRef]
  28. Austbø, L.; Aas, I.B.; König, M.; Weli, S.C.; Syed, M.; Falk, K.; Koppang, E.O. Transcriptional response of immune genes in gills and the interbranchial lymphoid tissue of Atlantic salmon challenged with infectious salmon anaemia virus. Dev. Comp. Immunol. 2014, 45, 107–114. [Google Scholar] [CrossRef] [PubMed]
  29. Altmann, S.; Rebl, A.; Kühn, C.; Goldammer, T. Identification and de novo sequencing of housekeeping genes appropriate for gene expression analyses in farmed maraena whitefish (Coregonus maraena) during crowding stress. Fish Physiol. Biochem. 2015, 41, 397–412. [Google Scholar] [CrossRef]
  30. Livak, K.J.; Schmittgen, T.D. Analysis of relative gene expression data using real-time quantitative PCR and the 2(-Delta Delta C(T)) Method. Methods 2001, 25, 402–408. [Google Scholar] [CrossRef]
  31. Szklarczyk, D.; Gable, A.L.; Lyon, D.; Junge, A.; Wyder, S.; Huerta-Cepas, J.; Simonovic, M.; Doncheva, N.T.; Morris, J.H.; Bork, P.; et al. STRING v11: Protein–protein association networks with increased coverage, supporting functional discovery in genome-wide experimental datasets. Nucleic Acids Res. 2019, 47, D607–D613. [Google Scholar] [CrossRef]
  32. Du, Y.; Hu, X.; Miao, L.; Chen, J. Current status and development prospects of aquatic vaccines. Front. Immunol. 2022, 13, 1040336. [Google Scholar] [CrossRef] [PubMed]
  33. Papadopoulou, A.; Monaghan, S.J.; Bagwell, N.; Alves, M.T.; Verner-Jeffreys, D.; Wallis, T.; Davie, A.; Adams, A.; Migaud, H. Efficacy testing of an immersion vaccine against Aeromonas salmonicida and immunocompetence in ballan wrasse (Labrus bergylta, Ascanius). Fish Shellfish Immunol. 2022, 121, 505–515. [Google Scholar] [CrossRef] [PubMed]
  34. Vaz Farias, T.H.; Arijo, S.; Medina, A.; Pala, G.; da Rosa Prado, E.J.; Montassier, H.J.; Pilarski, F.; Antonio de Andrade Belo, M. Immune responses induced by inactivated vaccine against Aeromonas hydrophila in pacu, Piaractus mesopotamicus. Fish Shellfish Immunol. 2020, 101, 186–191. [Google Scholar] [CrossRef]
  35. Chettri, J.K.; Jaafar, R.M.; Skov, J.; Kania, P.W.; Dalsgaard, I.; Buchmann, K. Booster immersion vaccination using diluted Yersinia ruckeri bacterin confers protection against ERM in rainbow trout. Aquaculture 2015, 440, 1–5. [Google Scholar] [CrossRef]
  36. Bøgwald, J.; Dalmo, R.A. Review on Immersion Vaccines for Fish: An Update 2019. Microorganisms 2019, 7, 627. [Google Scholar] [CrossRef]
  37. Ma, J.; Bruce, T.J.; Jones, E.M.; Cain, K.D. A Review of Fish Vaccine Development Strategies: Conventional Methods and Modern Biotechnological Approaches. Microorganisms 2019, 7, 569. [Google Scholar] [CrossRef] [PubMed]
  38. Tafalla, C.; Bøgwald, J.; Dalmo, R.A. Adjuvants and immunostimulants in fish vaccines: Current knowledge and future perspectives. Fish Shellfish Immunol. 2013, 35, 1740–1750. [Google Scholar] [CrossRef] [PubMed]
  39. Mechlaoui, M.; Nordstrand, E.; Strandskog, G.; Jensen, I.; Seternes, T. Vaccinated Atlantic salmon (Salmo salar L.) maintain a specific antibody response throughout the seasonal fluctuations of a full commercial production cycle in sea: A case study. Aquaculture 2025, 595, 741536. [Google Scholar] [CrossRef]
  40. Rømer Villumsen, K.; Dalsgaard, I.; Holten-Andersen, L.; Raida, M.K. Potential Role of Specific Antibodies as Important Vaccine Induced Protective Mechanism against Aeromonas salmonicida in Rainbow Trout. PLoS ONE 2012, 7, e46733. [Google Scholar] [CrossRef]
  41. Chettri, J.K.; Skov, J.; Jaafar, R.M.; Krossøy, B.; Kania, P.W.; Dalsgaard, I.; Buchmann, K. Comparative evaluation of infection methods and environmental factors on challenge success: Aeromonas salmonicida infection in vaccinated rainbow trout. Fish Shellfish Immunol. 2015, 44, 485–495. [Google Scholar] [CrossRef]
  42. Kristjansdottir, S.B.; Smaradottir, H.; Bjornsdottir, R. Humoral antibody response in Arctic charr (Salvelinus alpinus) against Aeromonas salmonicida ssp. achromogenes following vaccination with a novel autogenous vaccine. Aquaculture 2022, 561, 738676. [Google Scholar] [CrossRef]
  43. Mutoloki, S.; Alexandersen, S.; Gravningen, K.; Evensen, Ø. Time-course study of injection site inflammatory reactions following intraperitoneal injection of Atlantic cod (Gadus morhua L.) with oil-adjuvanted vaccines. Fish Shellfish Immunol. 2008, 24, 386–393. [Google Scholar] [CrossRef]
  44. Miryala, K.R.; Swain, B. Advances and Challenges in Aeromonas hydrophila Vaccine Development: Immunological Insights and Future Perspectives. Vaccines 2025, 13, 202. [Google Scholar] [CrossRef]
  45. Bjørgen, H.; Koppang, E.O. Anatomy of teleost fish immune structures and organs. Immunogenetics 2021, 73, 53–63. [Google Scholar] [CrossRef]
  46. Geven, E.J.W.; Klaren, P.H.M. The teleost head kidney: Integrating thyroid and immune signalling. Dev. Comp. Immunol. 2017, 66, 73–83. [Google Scholar] [CrossRef]
  47. Hansen, J.D.; Zapata, A.G. Lymphocyte development in fish and amphibians. Immunol. Rev. 1998, 166, 199–220. Available online: http://www.ncbi.nlm.nih.gov/pubmed/9914914 (accessed on 27 November 2014). [CrossRef] [PubMed]
  48. Avagyan, S.; Zon, L.I. Fish to Learn: Insights into Blood Development and Blood Disorders from Zebrafish Hematopoiesis. Hum. Gene Ther. 2016, 27, 287–294. [Google Scholar] [CrossRef] [PubMed]
  49. Parra, D.; Reyes-Lopez, F.E.; Tort, L. Mucosal immunity and B cells in teleosts: Effect of vaccination and stress. Front. Immunol. 2015, 6, 354. [Google Scholar] [CrossRef] [PubMed]
Figure 1. (a) Exemplary MALDI-TOF mass spectrum of a bacterial isolate with characteristic mass-to-charge (m/z) peaks. The pattern of peaks displays a representative protein profile shared by Aeromonas salmonicida, A. bestiarum and A. eucrenophila. (b) Exemplary gene expression profiling of six A. salmonicida genes (recA, tsfm, cys, rrnS and gyrB) in water samples. Standard PCR was performed on DNA extracted from sterile (lanes 3−7) and contaminated (lanes 9−13) water samples to assess pathogen presence. A DNA-size marker is shown in lane 1; band sizes (in base pairs, bp) are indicated on the left.
Figure 1. (a) Exemplary MALDI-TOF mass spectrum of a bacterial isolate with characteristic mass-to-charge (m/z) peaks. The pattern of peaks displays a representative protein profile shared by Aeromonas salmonicida, A. bestiarum and A. eucrenophila. (b) Exemplary gene expression profiling of six A. salmonicida genes (recA, tsfm, cys, rrnS and gyrB) in water samples. Standard PCR was performed on DNA extracted from sterile (lanes 3−7) and contaminated (lanes 9−13) water samples to assess pathogen presence. A DNA-size marker is shown in lane 1; band sizes (in base pairs, bp) are indicated on the left.
Fishes 10 00374 g001
Figure 2. Relative tank-specific losses [%] following immunisation with different injection vaccines. The chart displays daily mortality data from tanks vaccinated with either the herd-specific vaccine (blue bars) or the Alpha Ject 3000 vaccine (dark and light red bars).
Figure 2. Relative tank-specific losses [%] following immunisation with different injection vaccines. The chart displays daily mortality data from tanks vaccinated with either the herd-specific vaccine (blue bars) or the Alpha Ject 3000 vaccine (dark and light red bars).
Fishes 10 00374 g002
Figure 3. Population dynamics of vaccinated versus unvaccinated maraena whitefish. The graph shows the number of surviving whitefish over time (in days post-stocking) across three cohorts: those vaccinated with Alpha Ject 3000 (red line) and two unvaccinated groups (grey lines) compared to the expected survival rate (orange line). Stocking was conducted 4 weeks post-vaccination.
Figure 3. Population dynamics of vaccinated versus unvaccinated maraena whitefish. The graph shows the number of surviving whitefish over time (in days post-stocking) across three cohorts: those vaccinated with Alpha Ject 3000 (red line) and two unvaccinated groups (grey lines) compared to the expected survival rate (orange line). Stocking was conducted 4 weeks post-vaccination.
Fishes 10 00374 g003
Figure 4. (a) Predicted protein–protein associations of expressed genes selected for present qPCR profiling. The STRING tool identified joint contributions to a shared function indicated by connecting lines (cf. legend on the right). Genes/proteins typically synthesised by phagocytes, T or B cells were framed. (b) Heatmap representation of log2-transformed transcript numbers quantified in four tissues (head kidney, spleen, gills and skin) of maraena whitefish under three different vaccination conditions: unvaccinated, one year post-vaccination with Alpha Ject 3000 or a herd-specific vaccine. Each row represents a different treatment group and each column represents a specific gene. Gene symbols, categorised according to their function shown in (a), are listed below the heatmaps. Colours indicate high (dark red) or low (dark blue) transcript numbers.
Figure 4. (a) Predicted protein–protein associations of expressed genes selected for present qPCR profiling. The STRING tool identified joint contributions to a shared function indicated by connecting lines (cf. legend on the right). Genes/proteins typically synthesised by phagocytes, T or B cells were framed. (b) Heatmap representation of log2-transformed transcript numbers quantified in four tissues (head kidney, spleen, gills and skin) of maraena whitefish under three different vaccination conditions: unvaccinated, one year post-vaccination with Alpha Ject 3000 or a herd-specific vaccine. Each row represents a different treatment group and each column represents a specific gene. Gene symbols, categorised according to their function shown in (a), are listed below the heatmaps. Colours indicate high (dark red) or low (dark blue) transcript numbers.
Fishes 10 00374 g004
Figure 5. Principal component analysis (PCA) of immune gene expression in selected tissues of maraena whitefish in response to vaccination. PCA biplots illustrate the contributions of immune-related genes to the principal components (PCs) for (a) the head kidney, (c) spleen and (e) gills. Arrows represent genes, with direction, length and colour (according to the scale on the right), indicating their influence on separating samples to groups shown in (b,d,f). Dim1 and Dim2 represent the principal components majorly contributing to the variation of the data. PCA score plots of individual samples from (b) the head kidney, (d) spleen and (f) gills are illustrated. Each point represents an individual sample coloured by treatment group: unvaccinated (grey), 2 days after vaccination (yellow, d2), 4 weeks after vaccination (orange, w4) and 1 year after vaccination with Alpha Ject 3000 (red, y1) as well as 1 year after vaccination with the herd-specific vaccine (turquoise, y1). Polygonal shaded regions (so-called ellipses) represent the 95% confidence intervals around each treatment group.
Figure 5. Principal component analysis (PCA) of immune gene expression in selected tissues of maraena whitefish in response to vaccination. PCA biplots illustrate the contributions of immune-related genes to the principal components (PCs) for (a) the head kidney, (c) spleen and (e) gills. Arrows represent genes, with direction, length and colour (according to the scale on the right), indicating their influence on separating samples to groups shown in (b,d,f). Dim1 and Dim2 represent the principal components majorly contributing to the variation of the data. PCA score plots of individual samples from (b) the head kidney, (d) spleen and (f) gills are illustrated. Each point represents an individual sample coloured by treatment group: unvaccinated (grey), 2 days after vaccination (yellow, d2), 4 weeks after vaccination (orange, w4) and 1 year after vaccination with Alpha Ject 3000 (red, y1) as well as 1 year after vaccination with the herd-specific vaccine (turquoise, y1). Polygonal shaded regions (so-called ellipses) represent the 95% confidence intervals around each treatment group.
Fishes 10 00374 g005
Table 1. Primers used for PCR-based diagnostics of water samples.
Table 1. Primers used for PCR-based diagnostics of water samples.
Gene SymbolGene NamePrimer Sequence 5′→3′
(Sense, Antisense)
Nucleotide NCBI Acc.#Specificity *
(Number of 100% Identical BLAST Hits)
Fragment Lenght [bp]
recARecombi-nase AAGAACGCCAACTGCCTCTGTAT,
CAAGGTTGCCCCTCCCTTCAA
JN660361Aeromonas sp. (117) including
A. salmonicida (93) and
A. bestiarum (11);
Escherichia coli (1)
220
tsfmElongation factor TsATATCGCTGCGACCCAGAAAATT,
GTTCCCGCATTGGTGTTATCAC
JN830095Aeromonas sp. (99) including
A. salmonicida (70),
A. veronii (20) and
A. allosaccharophila (3);
Tolumonas auensis (1);
E. coli (1);
Shewanella xiamenensis (1)
196
csyCitrate synthaseCCTGCATGCGGATCACGAGC,
AAGAGATCGGCTCGGTGGAAC
JN829318Aeromonas sp. (102) including
A. salmonicida (83);
Caldilineaceae sp. (1);
Parasalinivibrio latis (1);
Zobellella sp. (1);
Sphingorhabdus contaminans (1)
176
rrnS16S rRNAGCCACACTGGAACTGAGACAC,
GCGAGGAGGAAAGGTTGGCG
AB680308Bacteria (103) comprising
Pseudomanodota (51)
including Aeromonas sp. (1);
Bacillus sp. (6);
Staphylococcus haemolyticus (1)
152
gyrBDNA gyrase, subunit betaTTTCTGCTATGAGGGCGGTATC,
TGGAACGATGCCTATCAGGAAG
JN829513Aeromonas sp. (105) including
A. salmonicida (48),
A. hydrophila (33) and
A. bestiarum (9);
E. coli (1)
144
* Based on nucleotide BLAST analyses of the sense and antisense primer sequences conducted in July 2025.
Table 2. Coregonus-specific primer pairs used for qPCR analysis.
Table 2. Coregonus-specific primer pairs used for qPCR analysis.
Gene SymbolProtein NamePrimer Sequence 5′→3′
(Sense, Antisense)
Nucleotide NCBI Acc.#, ReferenceFragment Lenght [bp]
cd79aCd79a moleculeGCTTCTGGGCTGCAGGTGTC,
AGATCACCTGGGTCACCCGC
XM_041901733159
cd83Cd83 moleculeTGACAGGTTGCCTTGAGTCCAC,
GTTWTTGCAAAGGAGYAAGAAGTAT
XM_045219153,
XM_045208658,
XM_041881478,
XM_045219152,
XM_045208659
149
cd8bCd8 betaGCAACTAWSAAACCCCAAAAGGC,
TTGAKCTMCACACTGTACTACTT
XM_041889298,
XM_041893006
103
ighdImmunoglobulin delta, heavy chainTCCTGTGTTCACTGTGAAGAACT,
CTTGGATCCGACAACCTGCAG
XM_045221082170
ighmImmunoglobulin mu, heavy chainAGCTGGCTCAAAGGAAGTTATATT,
TTCTACCCCGACGAGCTGAGT
XM_045210996151
ightImmunoglobulin tau, heavy chainCAACACTGACTGGAACAACAAGGT,
TCCAAAACAGAACCACTGACG
XM_04521098897
il1bInterleukin-1-betaCGCCCGTCCCCATTGAGACT,
AAGTCCATCAGCCAGCAGAGC
XM_041901577,
LN624221
155
mpoEosinophil peroxidaseTCTGCAACAACCTGAAGTACCC,
GTAAGGGAGGTCTCTAACCGTA
XM_041851056,
XM_041846164 [10]
165
pax5Paired box 5ATTCGCTGGTGCCAGGTCGAG,
TACCTCCTCACTGACCGGCAT
XM_045215194109
tgfbTransforming growth factor betaGACTTCCGTAAGGACCTGGG,
ACACAGCTCGATGCTGAGTCT
XM_041855149,
XM_041847654
125
tlr5Toll-like receptor 5TGCTTCCTGGTGGACTTTCT,
CAGGAACTAAGGCTCTCGCT
LN610593 [27]185
tlr9Toll-like receptor 9CCGCTCCTGCCAGGAAATCTAT,
GACACAAGGGGTACACCCAGCT
LN610597 [27]159
tlr22Toll-like receptor 22 (isoform a)GCTGGTGAAGAGACGATCCT,
TGGAGGCTCTGTGATTGTGA
LN876658 [27]151
tnfTumour necrosis factorCTGCTCTTTGTGTGGGGTCAG,
CCATCCATTTAGAGGGTGAATAC
LT970869156
top2aDNA topoisomerase II alphaATCTTTGACGAGATCCTTGTGAAT,
CATTGACGCTGAGAACAACTCC
XM_04187821396
xbp1X-box binding protein 1AACTTCGCAGGAAACTCAAGAAC,
GAAAACGGGCTGTTACGGCAAA
XM_045225948147
Table 3. Antimicrobial resistance profiles of Aeromonas salmonicida ssp. salmonicida isolated from 2019 to 2021.
Table 3. Antimicrobial resistance profiles of Aeromonas salmonicida ssp. salmonicida isolated from 2019 to 2021.
Date of Isolation11 October 201911 October 201917 October 20194 November 20194 November 20194 November 201912 November 20196 December 20196 December 20196 December 20196 December 20196 December 201930 January 20206 May 202030 June 202030 June 202030 June 202030 June 202030 December 20202 March 202112 August 202112 August 202112 August 2021
Antimicrobial Substance
Penicillin GRRRRRRRRRRRRRRRRRRRRRRR
AmpicillinSSSSSSSSSSSSSSSSSSSSSSS
AmoxillinSSSSSSSSSSSSSSSSSSSSSSS
Amoxicillin/clavulanic acidSSSSSSSSSSSSSSSSSSSSSSS
OxacillinRRRRRRRRRRRRRRRRRRRRRRR
CephalexinSSSSSSRRRISRRSRRSRSSSIS
CefovecinSSSSSSSSSSSSSSSSSSSSSSS
ClindamycinRRRRRRRRRRRRRRRRRRRRRRR
LincomycinRRRRRRRRRRRRRRRRRRRRRRR
ChloramphenicolSSSSSSSSSSSSSSSSSSSSSSS
FlorfenicolSSSSSSSSSSSSSSSSSSSSSSS
EnrofloxacinSSSSSSSSSSSSSSSSSSSSSSS
MarbofloxacinSSSSSSSSSSSSSSSSSSSSSSS
PradofloxacinSSSSSSSSSSSSSSSSSSSSSSS
ErythromycinRRRRRRRRRRRRRRRRRRRRRRR
GentamicinSSSNSSSSSSSSSSSSSSSSSSS
Sulfamethoxazole/trimethoprimSSSSSSSNSSSSSSSSSSSSSSS
DoxycyclinSSSSSSSSSSSSSSSSSSSSSSS
TetracyclinSSSSSSSSSSSSSSSSSSSSSSS
Abbreviations: N, not evaluable; S, sensitive; R, resistant; I, intermediary.
Disclaimer/Publisher’s Note: The statements, opinions and data contained in all publications are solely those of the individual author(s) and contributor(s) and not of MDPI and/or the editor(s). MDPI and/or the editor(s) disclaim responsibility for any injury to people or property resulting from any ideas, methods, instructions or products referred to in the content.

Share and Cite

MDPI and ACS Style

Böttcher, K.; Luft, P.; Schönfeld, U.; Speck, S.; Gottschalk, T.; Rebl, A. The Power of Preventive Protection: Effects of Vaccination Strategies on Furunculosis Resistance in Large-Scale Aquaculture of Maraena Whitefish. Fishes 2025, 10, 374. https://doi.org/10.3390/fishes10080374

AMA Style

Böttcher K, Luft P, Schönfeld U, Speck S, Gottschalk T, Rebl A. The Power of Preventive Protection: Effects of Vaccination Strategies on Furunculosis Resistance in Large-Scale Aquaculture of Maraena Whitefish. Fishes. 2025; 10(8):374. https://doi.org/10.3390/fishes10080374

Chicago/Turabian Style

Böttcher, Kerstin, Peter Luft, Uwe Schönfeld, Stephanie Speck, Tim Gottschalk, and Alexander Rebl. 2025. "The Power of Preventive Protection: Effects of Vaccination Strategies on Furunculosis Resistance in Large-Scale Aquaculture of Maraena Whitefish" Fishes 10, no. 8: 374. https://doi.org/10.3390/fishes10080374

APA Style

Böttcher, K., Luft, P., Schönfeld, U., Speck, S., Gottschalk, T., & Rebl, A. (2025). The Power of Preventive Protection: Effects of Vaccination Strategies on Furunculosis Resistance in Large-Scale Aquaculture of Maraena Whitefish. Fishes, 10(8), 374. https://doi.org/10.3390/fishes10080374

Article Metrics

Back to TopTop