Photoelectrocatalytic Coupling of Chlorine Radicals Enhances Sulfonamide Antibiotic Degradation in Saline-Alkaline Waters in Cold-Water Fish Aquaculture
Abstract
1. Introduction
2. Materials and Methods
2.1. Experimental Materials
2.2. Preparation of TiO2 Nanotubes
2.3. Methods
2.3.1. LC-MS-Based Method for the Detection of Sulfonamide Antibiotics
2.3.2. Techniques for Characterizing TiO2 Nanotube Materials
2.3.3. Experimental Procedure for the Photocatalytic Degradation of Sulfonamide Antibiotics
2.3.4. Stability Experiment of Titanium Dioxide Nanotubes
2.3.5. Investigation of Degradation Byproducts and Mechanisms of Sulfonamide Antibiotics
2.3.6. Ecotoxicology Experiments
2.3.7. Data Analysis
3. Results and Analysis
3.1. Material Characterization
3.2. Effects of Environmental Parameters
3.2.1. Effect of Different Degradation Systems on SA Degradation
3.2.2. Effect of Initial Antibiotic Concentration on SA Degradation
3.2.3. Effect of Initial pH of the Solution
3.2.4. Effect of Chloride Ions (Cl−) and Sodium Nitrate
3.2.5. Effects of Humic Acid and Sodium Acetate
3.2.6. Effect of Actual Water Bodies
3.3. Cycling Stability Test of TiO2 Nanotubes
3.4. Degradation Mechanisms and Pathways
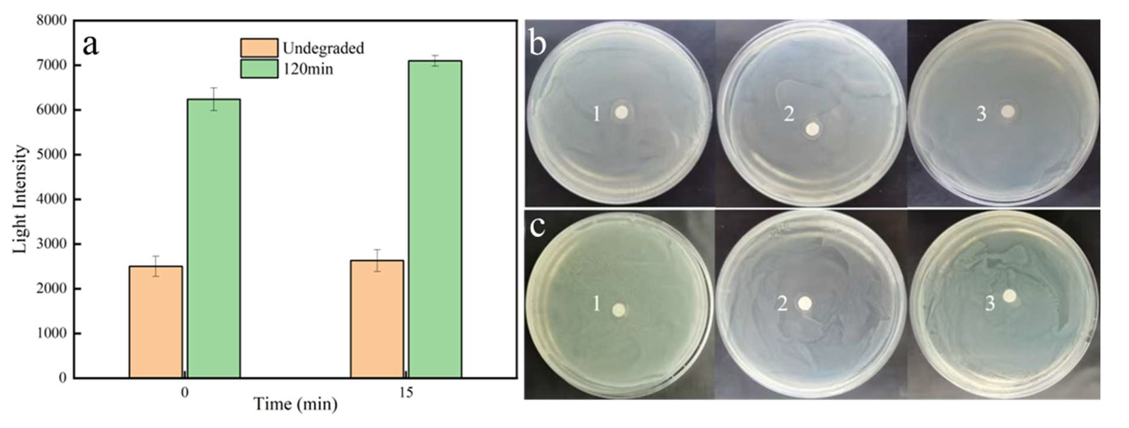
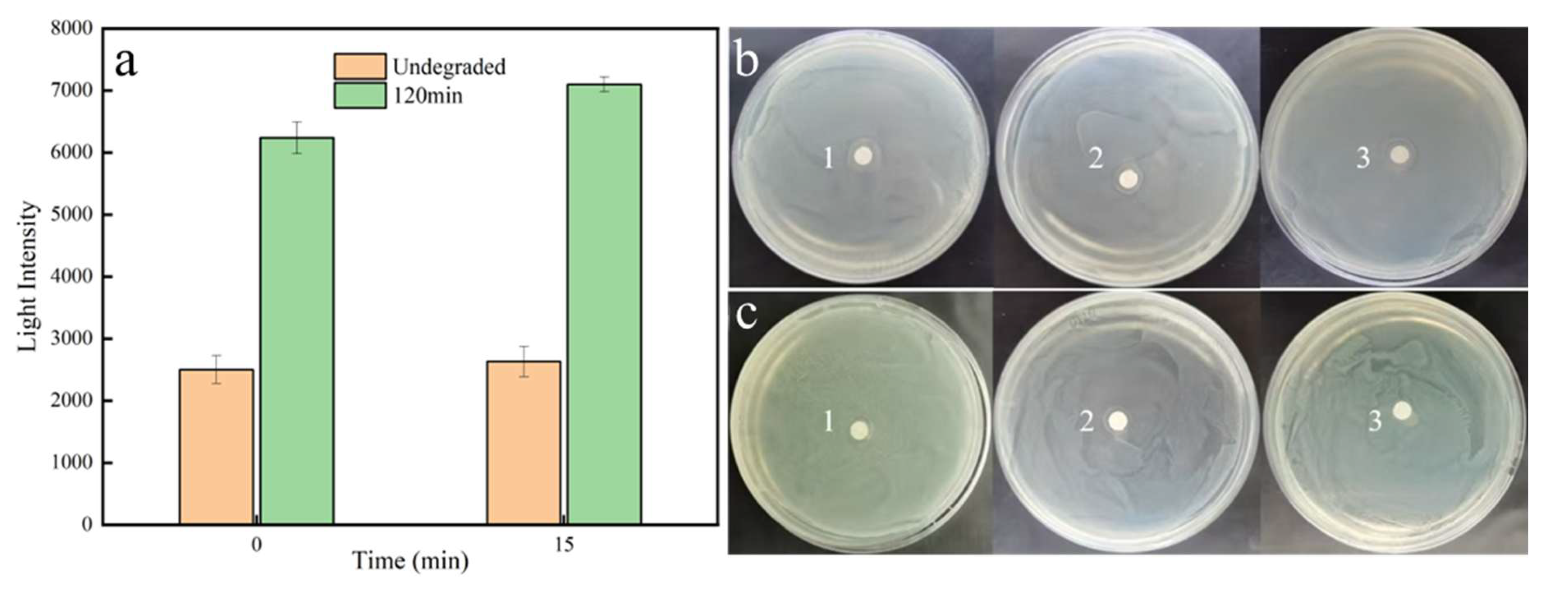
3.5. Ecotoxicological Analysis
4. Discussion
4.1. Key Factors Affecting Sulfonamide Antibiotic (SA) Degradation and the Influence of Chlorinated Byproducts
4.2. Degradation Performance Enhancement and Catalyst Improvement
4.3. Practical Implications
5. Conclusions
- System Performance Optimization: The photoelectrocatalytic system coupled with chlorine radicals demonstrated superior degradation efficiency compared to conventional photocatalysis and photoelectrocatalysis. The optimal degradation of SAs was achieved at sodium chloride and sodium nitrate concentrations of 5 mM and 15 mM, respectively.
- Degradation Mechanisms and Pathways: Radical trapping experiments confirmed that oxygen radicals dominated the degradation process (contribution order: oxygen radicals > •OH > •O2− > h+). Analysis of SA degradation byproducts revealed hydrolysis and nitration as the primary degradation pathways.
- Environmental Safety Assessment: The acute toxicity of the degradation products to Vibrio fischeri was significantly reduced compared to the parent compounds, while the ecotoxicity toward Escherichia coli and Chlorella was also markedly diminished. Tests conducted in real water bodies demonstrated the system’s robust anti-interference capability, confirming its potential for practical engineering applications.
Supplementary Materials
Author Contributions
Funding
Institutional Review Board Statement
Informed Consent Statement
Data Availability Statement
Conflicts of Interest
Abbreviations
| SA | sulfonamide antibiotics |
| HPLC | high-performance liquid chromatography |
| MS | mass spectrometry |
| SMX | sulfamethoxazole |
| TNTs | titanium dioxide nanotubes |
References
- Coates, A.R.M.; Hu, Y. Novel approaches to developing new antibiotics for bacterial infections. Br. J. Pharmacol. 2007, 152, 1147–1154. [Google Scholar] [CrossRef]
- Adenaya, A.; Berger, M.; Brinkhoff, T.; Ribas-Ribas, M.; Wurl, O. Usage of antibiotics in aquaculture and the impact on coastal waters. Mar. Pollut. Bull. 2023, 188, 114645. [Google Scholar] [CrossRef] [PubMed]
- Xin, H.; Chen, X.; Ye, Y.; Liao, Y.; Luo, H.; Tang, C.; Liu, G. Enhanced metronidazole removal in seawater using a single-chamber bioelectrochemical system. Water Res. 2024, 252, 121212. [Google Scholar] [CrossRef] [PubMed]
- Wang, J.; Ye, K.X.; Tian, Y.; Liu, Y.; Liang, L.; Li, Q.; Huang, N.; Wang, X. Simultaneous determination of 22 antibiotics in environmental water samples by solid phase extraction-high performance liquid chromatography-tandem mass spectrometry. Se Pu Chin. J. Chromatogr. 2023, 41, 241–249. [Google Scholar] [CrossRef]
- Glinka, M.; Wojnowski, W.; Wasik, A. Determination of aminoglycoside antibiotics: Current status and future trends. TrAC Trends Anal. Chem. 2020, 131, 116034. [Google Scholar] [CrossRef]
- Jian, Z.; Zeng, L.; Xu, T.; Sun, S.; Yan, S.; Yang, L.; Huang, Y.; Jia, J.; Dou, T. Antibiotic resistance genes in bacteria: Occurrence, spread, and control. J. Basic Microbiol. 2021, 61, 1049–1070. [Google Scholar] [CrossRef] [PubMed]
- Wang, X.; Ryu, D.; Houtkooper, R.H.; Auwerx, J. Antibiotic use and abuse: A threat to mitochondria and chloroplasts with impact on research, health, and environment. Bioessays 2015, 37, 1045–1053. [Google Scholar] [CrossRef]
- EFSA Panel on Biological Hazards (BIOHAZ); Koutsoumanis, K.; Allende, A.; Álvarez-Ordóñez, A.; Bolton, D.; Bover-Cid, S.; Chemaly, M.; Davies, R.; Cesare, A.; Herman, L.; et al.; et al. Role played by the environment in the emergence and spread of antimicrobial resistance (AMR) through the food chain. EFSA J. 2021, 19, e06651. [Google Scholar]
- Collignon, P.J.; McEwen, S.A. One health—Its importance in helping to better control antimicrobial resistance. Trop. Med. Infect. Dis. 2019, 4, 22. [Google Scholar] [CrossRef]
- Huang, X.; Yang, D.; Song, L.; Jiang, Y. Degradation of Antibiotics in Aquaculture Seawater: A Treatment Based on Ozone Assisted with Hydrodynamic Cavitation. Water 2025, 17, 566. [Google Scholar] [CrossRef]
- Zhou, Q.; Xing, A.; Zhao, D.; Zhao, K. Tetrabromobisphenol A photoelectrocatalytic degradation using reduced graphene oxide and cerium dioxide comodified TiO2 nanotube arrays as electrode under visible light. Chemosphere 2016, 165, 268–276. [Google Scholar] [CrossRef]
- Bayan, E.M.; Pustovaya, L.E.; Volkova, M.G. Recent advances in TiO2-based materials for photocatalytic degradation of antibiotics in aqueous systems. Environ. Technol. Innov. 2021, 24, 101822. [Google Scholar] [CrossRef]
- Chen, Y.; Yang, J.; Zeng, L.; Zhu, M. Recent progress on the removal of antibiotic pollutants using photocatalytic oxidation process. Crit. Rev. Environ. Sci. Technol. 2022, 52, 1401–1448. [Google Scholar] [CrossRef]
- Sobczak-Kupiec, A.; Drabczyk, A.; Florkiewicz, W.; Glab, M.; Kudlacik-Kramarczyk, S.; Slota, D.; Tomala, A.; Tyliszczak, B. Review of the applications of biomedical compositions containing hydroxyapatite and collagen modified by bioactive components. Materials 2021, 14, 2096. [Google Scholar] [CrossRef] [PubMed]
- Lee, K.; Mazare, A.; Schmuki, P. One-dimensional titanium dioxide nanomaterials: Nanotubes. Chem. Rev. 2014, 114, 9385–9454. [Google Scholar] [CrossRef]
- Kubiak, A.; Stachowiak, M.; Cegłowski, M. Unveiling the Latest Developments in Molecularly Imprinted Photocatalysts: A State-of-the-Art Review. Polymers 2023, 15, 4152. [Google Scholar] [CrossRef]
- Mohamed, A.E.R.; Barghi, S.; Rohani, S. N-and C-modified TiO2 nanotube arrays: Enhanced photoelectrochemical properties and effect of nanotubes length on photoconversion efficiency. Nanomaterials 2018, 8, 198. [Google Scholar] [CrossRef]
- He, H.; Zhao, T.; Ma, Q.; Yang, X.; Yue, Q.; Huang, B.; Pan, X. Photoelectrocatalytic coupling system synergistically removal of antibiotics and antibiotic resistant bacteria from aquatic environment. J. Hazard. Mater. 2022, 424, 127553. [Google Scholar] [CrossRef]
- Wang, L.; Guan, J.; Han, H.; Yao, M.; Kang, J.; Peng, M.; Wang, D.; Xu, J.; Hao, J. Enhanced photocatalytic removal of ozone by a new chlorine-radical-mediated strategy. Appl. Catal. B Environ. 2022, 306, 121130. [Google Scholar] [CrossRef]
- Cheng, Z.; Ling, L.; Shang, C. Near-ultraviolet light-driven photocatalytic chlorine activation process with novel chlorine activation mechanisms. ACS EST Water 2021, 1, 2067–2075. [Google Scholar] [CrossRef]
- Zhang, H.C.; Liu, Y.L.; Wang, L.; Li, Z.Y.; Lu, X.H.; Yang, T.; Ma, J. Enhanced radical generation in an ultraviolet/chlorine system through the addition of TiO2. Environ. Sci. Technol. 2021, 55, 11612–11623. [Google Scholar] [CrossRef] [PubMed]
- Huang, X.; Zhang, Y.; Bai, J.; Li, J.; Li, L.; Zhou, T.; Chen, S.; Wang, J.; Rahim, M.; Guan, X.; et al. Efficient degradation of N-containing organic wastewater via chlorine oxide radical generated by a photoelectrochemical system. Chem. Eng. J. 2020, 392, 123695. [Google Scholar] [CrossRef]
- GB 5749-2022; Standard for Drinking Water Quality. Ministry of Health of the People’s Republic of China: Beijing, China, 2022.
- Menz, J.; Schneider, M.; Kümmerer, K. Toxicity testing with luminescent bacteria–characterization of an automated method for the combined assessment of acute and chronic effects. Chemosphere 2013, 93, 990–996. [Google Scholar] [CrossRef]
- Pivato, A.; Gaspari, L. Acute toxicity test of leachates from traditional and sustainable landfills using luminescent bacteria. Waste Manag. 2006, 26, 1148–1155. [Google Scholar] [CrossRef] [PubMed]
- Silva, F.; Lourenço, O.; Queiroz, J.A.; Domingues, F.C. Bacteriostatic versus bactericidal activity of ciprofloxacin in Escherichia coli assessed by flow cytometry using a novel far-red dye. J. Antibiot. 2011, 64, 321–325. [Google Scholar] [CrossRef]
- Chen, J.Q.; Guo, R.X. Access the toxic effect of the antibiotic cefradine and its UV light degradation products on two freshwater algae. J. Hazard. Mater. 2012, 209, 520–523. [Google Scholar] [CrossRef]
- Fu, L.; Huang, T.; Wang, S.; Wang, X.; Su, L.; Li, C.; Zhao, Y. Toxicity of 13 different antibiotics towards freshwater green algae Pseudokirchneriella subcapitata and their modes of action. Chemosphere 2017, 168, 217–222. [Google Scholar] [CrossRef]
- Assadi, A.A.; Karoui, S.; Trabelsi, K.; Hajjaji, A.; Wlfalleh, W.; Ghorbal, A.; Maghzaoui, M.; Assadi, A.A. Synthesis and characterization of TiO2 nanotubes (TiO2-NTs) with Ag silver nanoparticles (Ag-NPs): Photocatalytic performance for wastewater treatment under visible light. Materials 2022, 15, 1463. [Google Scholar] [CrossRef]
- Yang, Q.; Wang, Y.H.; Qiao, Y.; Gau, M.; Carroll, P.; Walsh, P.; Schelter, E. Photocatalytic C–H activation and the subtle role of chlorine radical complexation in reactivity. Science 2021, 372, 847–852. [Google Scholar] [CrossRef] [PubMed]
- Su, R.; Huang, L.; Li, N.; Jin, B.; Zhou, W.; Gao, B.; Yue, Q.; Li, Q. Chlorine dioxide radicals triggered by chlorite under visible-light irradiation for enhanced degradation and detoxification of norfloxacin antibiotic: Radical mechanism and toxicity evaluation. Chem. Eng. J. 2021, 414, 128768. [Google Scholar] [CrossRef]
- Zhang, F.; Li, M.; Li, W.; Feng, C.; Jin, Y.; Guo, X.; Cui, J. Degradation of phenol by a combined independent photocatalytic and electrochemical process. Chem. Eng. J. 2011, 175, 349–355. [Google Scholar] [CrossRef]
- Alfred, M.O.; Omorogie, M.O.; Bodede, O.; Moodley, R.; Ogunlaja, A.; Adeyemi, O.G.; Günter, C.; Taubert, A.; Iermak, I.; Eckert, H.; et al. Solar-active clay-TiO2 nanocomposites prepared via biomass assisted synthesis: Efficient removal of ampicillin, sulfamethoxazole and artemether from water. Chem. Eng. J. 2020, 398, 125544. [Google Scholar] [CrossRef]
- Ioannidou, E.; Frontistis, Z.; Antonopoulou, M.; Venieri, D.; Konstantinou, I.; Kondarides, D.I.; Mantzavinos, D. Solar photocatalytic degradation of sulfamethoxazole over tungsten—Modified TiO2. Chem. Eng. J. 2017, 318, 143–152. [Google Scholar]
- Sarafraz, M.; Sadeghi, M.; Yazdanbakhsh, A.; Amini, M.M.; Sadani, M.; Eslami, A. Enhanced photocatalytic degradation of ciprofloxacin by black Ti3+/N-TiO2 under visible LED light irradiation: Kinetic, energy consumption, degradation pathway, and toxicity assessment. Process Saf. Environ. Prot. 2020, 137, 261–272. [Google Scholar] [CrossRef]
- Cai, Q.; Hu, J. Decomposition of sulfamethoxazole and trimethoprim by continuous UVA/LED/TiO2 photocatalysis: Decomposition pathways, residual antibacterial activity and toxicity. J. Hazard. Mater. 2017, 323, 527–536. [Google Scholar] [CrossRef] [PubMed]
- Tang, H.; Zhang, W.; Meng, Y.; Xie, B.; Ni, Z.; Xia, S. Investigation onto the performance and mechanism of visible light photodegradation of methyl orange catalyzed by M/CeO2 (M = Pt, Ag, Au). Mater. Res. Bull. 2021, 144, 111497. [Google Scholar] [CrossRef]
- Zhang, L.; Wei, H.; Wang, C.; Cheng, Y.; Li, Y.; Wang, Z. Distribution and ecological risk assessment of antibiotics in different freshwater aquaculture ponds in a typical agricultural plain, China. Chemosphere 2024, 361, 142498. [Google Scholar] [CrossRef]
- Shi, B.; Cheng, X.; Chen, H.; Xie, J.; Zhou, Z.; Jiang, S.; Peng, X.; Zhu, D.; Lu, Z. Occurrence, source tracking and removal of antibiotics in recirculating aquaculture systems (RAS) in southern China. J. Environ. Manag. 2022, 324, 116311. [Google Scholar] [CrossRef]
- Porcar-Santos, O.; Cruz-Alcalde, A.; López-Vinent, N.; Zanganas, D.; Sans, C. Photocatalytic degradation of sulfamethoxazole using TiO2 in simulated seawater: Evidence for direct formation of reactive halogen species and halogenated by-products. Sci. Total Environ. 2020, 736, 139605. [Google Scholar] [CrossRef]
- Zhang, H.; Wang, Z.; Li, R.; Guo, J.; Li, Y.; Zhu, J.; Xie, X. TiO2 supported on reed straw biochar as an adsorptive and photocatalytic composite for the efficient degradation of sulfamethoxazole in aqueous matrices. Chemosphere 2017, 185, 351–360. [Google Scholar] [CrossRef] [PubMed]
- Xie, X.; Li, S.; Zhang, H.; Wang, Z.; Huang, H. Promoting charge separation of biochar-based Zn-TiO2/pBC in the presence of ZnO for efficient sulfamethoxazole photodegradation under visible light irradiation. Sci. Total Environ. 2019, 659, 529–539. [Google Scholar] [CrossRef] [PubMed]
- Li, S.; Zhang, G.; Meng, D.; Yang, F. Photoelectrocatalytic activation of sulfate for sulfamethoxazole degradation and simultaneous H2 production by bifunctional N, P co-doped black-blue TiO2 nanotube array electrode. Chem. Eng. J. 2024, 485, 149828. [Google Scholar] [CrossRef]
- Almomani, F.; Bhosale, R.; Kumar, A.; Khraiseh, M. Potential use of solar photocatalytic oxidation in removing emerging pharmaceuticals from wastewater: A pilot plant study. Sol. Energy 2018, 172, 128–140. [Google Scholar] [CrossRef]
- Bu, J.; Deng, Z.; Liu, H.; Li, T.; Yang, Y.; Zhong, S. Bimetallic modified halloysite particle electrode enhanced electrocatalytic oxidation for the degradation of sulfanilamide. J. Environ. Manag. 2022, 312, 114975. [Google Scholar] [CrossRef] [PubMed]
- Zafar, Z.; Fatima, R.; Kim, J.O. Experimental studies on water matrix and influence of textile effluents on photocatalytic degradation of organic wastewater using Fe–TiO2 nanotubes: Towards commercial application. Environ. Res. 2021, 197, 111120. [Google Scholar] [CrossRef] [PubMed]
- Yu, N.; Lu, X.; Song, F.; Yao, Y.; Han, E. Electrocatalytic degradation of sulfamethazine on IrO2-RuO2 composite electrodes: Influencing factors, kinetics and modeling. J. Environ. Chem. Eng. 2021, 9, 105301. [Google Scholar] [CrossRef]
- Wu, F.; Yao, C.; Xie, Y.B. Electrolyte-Dependent Capacitance of Titanium Dioxide Nanotube Array Electrode Substrate. J. Nano Res. 2022, 75, 71–80. [Google Scholar] [CrossRef]
- Bavykin, D.V.; Friedrich, J.M.; Walsh, F.C. Protonated titanates and TiO2 nanostructured materials: Synthesis, properties, and applications. Adv. Mater. 2006, 18, 2807–2824. [Google Scholar] [CrossRef]
- Yang, X.; Sun, J.; Fu, W.; Shang, J.; Li, Y.; Chen, Y.; Gan, W.; Fang, J. PPCP degradation by UV/chlorine treatment and its impact on DBP formation potential in real waters. Water Res. 2016, 98, 309–318. [Google Scholar] [CrossRef]
- Ben, W.; Sun, P.; Huang, C.-H. Effects of combined UV and chlorine treatment on chloroform formation from triclosan. Chemosphere 2016, 150, 715–722. [Google Scholar] [CrossRef]
- Hua, Z.; Li, J.; Zhou, Z.; Zheng, S.; Zhang, Y.; Fang, J. Exploring pathways and mechanisms for dichloroacetonitrile formation from typical amino compounds during UV/chlorine treatment. Environ. Sci. Technol. 2022, 56, 9712–9721. [Google Scholar] [CrossRef]
- Zhang, H.; Li, Z.; Zhou, X.; Lu, X.; Gu, H.; Ma, J. Insight into the performance of UV/chlorine/TiO2 on carbamazepine degradation: The crucial role of chlorine oxide radical (ClO•). Sci. Total Environ. 2022, 853, 158345. [Google Scholar] [CrossRef] [PubMed]
- Brillas, E.; Garcia-Segura, S. Recent progress of applied TiO2 photoelectrocatalysis for the degradation of organic pollutants in wastewaters. J. Environ. Chem. Eng. 2023, 11, 109635. [Google Scholar] [CrossRef]
- Xia, T.; Yan, N.; Li, S.; Su, T. Adsorption of tylosin and sulfamethazine by carbon nanotubes and titanium dioxide nanoparticles: pH-dependent mechanisms. Colloids Surf. A Physicochem. Eng. Asp. 2019, 581, 123851. [Google Scholar] [CrossRef]
- Lei, Y.; Lei, X.; Westerhoff, P.; Zhang, X.; Yang, X. Reactivity of chlorine radicals (Cl• and Cl2•−) with dissolved organic matter and the formation of chlorinated byproducts. Environ. Sci. Technol. 2020, 55, 689–699. [Google Scholar] [CrossRef] [PubMed]
- Zhang, W.; Huang, R.; Zhang, T.; Wang, B.; Li, N.; Sun, Y.; Ma, H.; Zhang, Q.; Zhang, J.; Liu, Y. Study on the inactivation and reactivation mechanism of pathogenic bacteria in aquaculture by UVC-LED. Front. Mar. Sci. 2023, 10, 1139713. [Google Scholar] [CrossRef]







Disclaimer/Publisher’s Note: The statements, opinions and data contained in all publications are solely those of the individual author(s) and contributor(s) and not of MDPI and/or the editor(s). MDPI and/or the editor(s) disclaim responsibility for any injury to people or property resulting from any ideas, methods, instructions or products referred to in the content. |
© 2025 by the authors. Licensee MDPI, Basel, Switzerland. This article is an open access article distributed under the terms and conditions of the Creative Commons Attribution (CC BY) license (https://creativecommons.org/licenses/by/4.0/).
Share and Cite
Liu, Q.; Liu, Y.; Mao, Y.; Li, R.; Jiao, Y.; Lei, J.; Zhang, F. Photoelectrocatalytic Coupling of Chlorine Radicals Enhances Sulfonamide Antibiotic Degradation in Saline-Alkaline Waters in Cold-Water Fish Aquaculture. Fishes 2025, 10, 116. https://doi.org/10.3390/fishes10030116
Liu Q, Liu Y, Mao Y, Li R, Jiao Y, Lei J, Zhang F. Photoelectrocatalytic Coupling of Chlorine Radicals Enhances Sulfonamide Antibiotic Degradation in Saline-Alkaline Waters in Cold-Water Fish Aquaculture. Fishes. 2025; 10(3):116. https://doi.org/10.3390/fishes10030116
Chicago/Turabian StyleLiu, Qikai, Yang Liu, Yaqi Mao, Ru Li, Yujie Jiao, Jiali Lei, and Fenzhen Zhang. 2025. "Photoelectrocatalytic Coupling of Chlorine Radicals Enhances Sulfonamide Antibiotic Degradation in Saline-Alkaline Waters in Cold-Water Fish Aquaculture" Fishes 10, no. 3: 116. https://doi.org/10.3390/fishes10030116
APA StyleLiu, Q., Liu, Y., Mao, Y., Li, R., Jiao, Y., Lei, J., & Zhang, F. (2025). Photoelectrocatalytic Coupling of Chlorine Radicals Enhances Sulfonamide Antibiotic Degradation in Saline-Alkaline Waters in Cold-Water Fish Aquaculture. Fishes, 10(3), 116. https://doi.org/10.3390/fishes10030116
