A Reproducible Protocol for the Isolation of Malaria-Derived Extracellular Vesicles by Differential Centrifugation
Abstract
1. Introduction
2. Experimental Design
2.1. Materials
- AlbuMAXTM I Lipid-rich BSA (Thermo Fisher Scientific, Saint-Laurent, QC, Canada; Cat. no.: 11020-039)
- Anti-band 3 (Sigma Life Science, Darmstadt, Germany; Cat. no.: B9277)
- Anti-PfEBA-175 (BEI Resources, Manassas, VA, USA; Cat. no.: MRA-711A)
- Anti-PfGRP78 (BEI Resources, Manassas, VA, USA; Cat. no.: MRA-1246)
- Anti-flotillin 2 (Abcam, Toronto, ON, Canada; Cat. no.: ab181988)
- Anti-glycophorin A (Abcam, Toronto, ON, Canada; Cat. no.: ab129024)
- Anti-PfHAP (BEI Resources, Manassas, VA, USA; Cat. no.: MRA-811A)
- Anti-hemoglobin (Thermo Fisher Scientific, Rockford, IL, USA; Cat. no.: PA5-97488)
- Anti-mouse secondary antibody (Abcam, Toronto, ON, Canada; Cat. no.: ab6789)
- Anti-rabbit secondary antibody (Abcam, Toronto, ON, Canada; Cat. no.: ab97080)
- Bottle-top filter, 0.1 µm (VWR, Radnor, PA, USA; Cat. no.: 89220-696)
- Bottle-top filter, 0.45 µm (Fisherbrand, Pittsburgh, PA, USA; Cat. no.: FB12566511)
- Bromophenol blue (Bioshop, Burlington, ON, Canada; Cat. no.: BR0222.10)
- Chemiluminiscent substrate, Supersignal West Pico PLUS (Thermo Fisher Scientific, Waltham, MA, USA; Cat. no.: A43840)
- D-Glucose (Bioshop, Burlington, ON, Canada; Cat. no.: GLU501.500)
- DPBS 1× (Life Technologies Limited, Paisley, UK; Cat. no.: 14190-144)
- D-Sorbitol (Fisher Chemical, Fair Lawn, NJ, USA; Cat. no.: S459-500)
- DTT (Bioshop, Burlington, ON, Canada; Cat. no.: DTT001.5)
- Falcon centrifuge tubes, 15 mL (Corning Science, Reynosa, Tamaulipas, Mexico; Cat. no.: 352099)
- Falcon centrifuge tubes, 50 mL (Corning Science, Reynosa, Tamaulipas, Mexico; Cat. no.: 352070)
- Filter paper (Bio Basic, Markham, ON, Canada; Cat. no.: PP3324)
- Filtered pipette tips, 200 µL (VWR, Radnor, PA, USA; Cat. no.: 76322-150)
- Filtered pipette tips, 1250 µL (VWR, Radnor, PA, USA; Cat. no.: 76322-156)
- Gentamicin Reagent Solution 50 mg/mL (Thermo Fisher Scientific, Grand Island, NY, USA; Cat. no.: 15750-060)
- Giemsa Stain, Modified solution (Sigma-Aldrich, St. Louis, MO, USA; Cat. no.: 48900-1L-F)
- Glass Pasteur pipettes (Fisher Scientific, Waltham, MA, USA; Cat. no.: 13-678-20C)
- Glass slides (Azer Scientific, Morgantown, PA, USA; Cat. no.: EMS200W)
- GlycerolyteTM 57 Solution (Fenwal, Inc., Lake Zurich, IL, USA: Cat no.: 4A7831).
- Glycine (Bioshop, Burlington, ON, Canada; Cat. no.: GLN001.1)
- Hypoxanthine (Sigma-Aldrich, St. Louis, MO, USA; Cat. no.: H9377)
- Immersion oil, type B (Cargille Laboratories, Cedar Grove, NJ, USA; Cat. no.: 16484)
- KCl (Bioshop, Burlington, ON, Canada; Cat. no.: POC888.1)
- KH2PO4 (Bioshop, Burlington, ON, Canada; Cat. no.: PPM302.500)
- Methanol (Fisher Chemical, Fair Lawn, NJ, USA; Cat. no.: A412)
- Microcentrifuge tubes, 0.6 mL (Fisher Scientific, Waltham, MA, USA; Cat. no.: 05-407-16)
- Microcentrifuge tubes, 1.5 mL (Fisher Scientific, Waltham, MA, USA; Cat. no.: 05-408-129)
- Microfuge tubes, 1.5 mL, polypropylene (Beckman Coulter, Brea, CA, USA; Cat. no.: 357448)
- Microplate, flat-bottom, 96-well (Fisher Scientific, Waltham, MA, USA; Cat. no.: 12565501)
- NaCl (Bioshop, Burlington, ON, Canada; Cat. no.: SOD004.5)
- NalgeneTM Oak-Ridge high-speed polycarbonate centrifuge tubes, 50 mL (Thermo Scientific, Waltham, MA, USA; Cat. no.: 3118-0050PK)
- NaOH (Fisher Chemical, Fair Lawn, NJ, USA; Cat. no.: S318-500)
- Na2HPO4 (Bioshop, Burlington, ON, Canada; Cat. no.: SPD579.1)
- NaH2PO4 (Bioshop, Burlington, ON, Canada; Cat. no.: SPM400.1)
- Needles, 16-gauge (Sigma-Aldrich, St. Louis, MO, USA; Cat. no.: Z118036-100EA)
- No-stain protein labelling reagent (Thermo Fisher Scientific, Carlsbad, CA, USA; Cat. no.: A44449)
- Open-top thickwall polypropylene tubes, 32 mL (Beckman Coulter Life Sciences, Indianapolis, IN, USA; Cat. no.: 355642)
- PercollTM PLUS (Cytiva Sweden AB, Uppsala, Sweden; Cat. no.: 17544501)
- PierceTM BCA protein assay kit (Thermo Fisher Scientific, Rockford, IL, USA, Cat. no.: 23227)
- PierceTM Silver stain kit (Thermo Fisher Scientific, Rockford, IL, USA, Cat. no.: 24612)
- Plasmodium falciparum 3D7 strain (BEI Resources, Manassas, VA, USA; Cat. no.: MRA-102)
- Pre-cast gels, tris-glycine, 10–20%, (Thermo Fisher Scientific, Carlsbad, CA, USA; Cat. no.: XP10205BOX)
- Pre-cast gels, tris-glycine, 4–12%, (Thermo Fisher Scientific, Carlsbad, CA, USA; Cat. no.: XP04120BOX)
- Protease inhibitor (Thermo Fisher Scientific, Rockford, IL, USA, Cat. no.: 78430)
- Protein ladder, PagerulerTM Plus (Thermo Fisher Scientific, Saint-Laurent, QC, Canada; Cat. no.: 26619)
- PVDF membrane (Millipore, Tullagreen, Carrigtwohill, Co., Cork, Ireland; Cat. no.: IPVH00010)
- RIPA lysis buffer (Thermo Fisher Scientific, Saint-Laurent, QC, Canada; Cat. no.: 89900)
- RPMI 1640, 1× (Wisent Inc., Saint-Jean-Baptiste, QC, Canada; Cat. no.: 350-005-CL)
- Saponin (Sigma-Aldrich, St. Louis, MO, USA; Cat. no.: S4521-10G)
- SDS (Bioshop, Burlington, ON, Canada; Cat. no.: SDS001.1)
- Serological pipettes, 1 mL (Thermo Scientific, Saint-Laurent, QC, Canada; Cat. no.: 170353N)
- Serological pipettes, 5 mL (Fisherbrand, Pittsburgh, PA, USA; Cat. no.: 13-678-11D)
- Serological pipettes, 10 mL (Fisherbrand, Pittsburgh, PA, USA; Cat. no.: 13-678-11E)
- Serological pipettes, 25 mL (Fisherbrand, Pittsburgh, PA, USA; Cat. no.: 13-676-10K)
- Skim milk powder (Bioshop, Burlington, ON, Canada; Cat. no.: SKI400.1)
- SuperSignalTM West Pico PLUS chemiluminiscent substrate (Life Technologies, Carlsbad, CA, USA; Cat no.: 34580)
- Syringes, 1 mL (BD, Franklin Lakes, NJ, USA, Cat. no.: 309628)
- Tissue culture flasks; 250 mL, sterile, non-treated with vent cap (VWR, Radnor, PA, USA; Cat. no.: 10861-576)
- Tris (Bioshop, Burlington, ON, Canada; Cat. no.: TRS001.5)
- TX-400 rotor adapters (Thermo Fisher Scientific, Waltham, MA, USA; Cat. no.: 75003788).
- Tween 20 (ACP Chemicals, Saint-Leonard, QC, Canada; Cat. no.: T-9783)
2.2. Equipment
- Biological safety cabinet, 1300 Series Class II (Thermo Fisher Scientific, Marietta, OH, USA; Cat. no.: 1385)
- Centrifuge rotor, JA-25.50 fixed angle rotor, 8 × 50 mL, 25,000 rpm (Beckman Coulter Life Sciences, Indianapolis, IN, USA; Cat. no.: 363055)
- Centrifuge rotor, SW-28 Swinging bucket rotor, 6 × 32 mL, 28,000 rpm (Beckman Coulter Life Sciences, Indianapolis, IN, USA; Cat. no.: 342207)
- Centrifuge rotor, TLA-100.3 fixed angle rotor, 6 × 4 mL, 100,000 rpm (Beckman Coulter Life Sciences, Indianapolis, IN, USA; Cat. no.: 349490)
- Centrifuge, Avanti J-E (Beckman Coulter, Palo Alto, CA, USA; Cat. no.: 369001)
- Centrifuge, Optima Ultracentrifuge L-100 XP (Beckman Coulter, Palo Alto, CA, USA; Cat. no.: 392052)
- Centrifuge, Optima Ultracentrifuge MAX-130K (Beckman Coulter, Palo Alto, CA, USA; Cat. no.: 364301)
- Centrifuge, Sorvall with TX400 rotor (Thermo Scientific Waltham, MA, USA; Cat. no.: 75004381)
- Electronic pipette filler (Corning Science, Glendale, AZ, USA; Cat. no.: 4099)
- Heat block (Eppendorf, Hamburg, Germany; FisherSci Cat. no.: 05-400-205)
- Imaging system, Chemidoc MP (Bio-Rad, Saint-Laurent, QC, Canada; Cat. no.: 12003154)
- Incubator, Heracell 240i (Thermo Scientific, Waltham, MA, USA; Cat. no.: 51032875)
- Light microscope, Axio Scope.A1 (Carl Zeiss, Gottingen, Germany; Cat. no.: 430035-9040-000)
- Manual differential counter (Fisherbrand, Saint-Laurent, Quebec, Canada; Cat. no.: 13-684-141)
- Micropipette, 20–200 µL (Gilson, Middleton, WI, USA; Cat. no.: FA10005M)
- Micropipette, 100–1000 µL (Gilson, Middleton, WI, USA; Cat. no.: FA10006M)
- Milli-Q® IQ 7000 ultrapure water system (Sigma-Aldrich, St. Louis, MO, USA; Cat. no.: ZIQ7000T0C)
- Mini blot module (Thermo Fisher Scientific, Saint-Laurent, QC, Canada; Cat. no.: B1000)
- Mini centrifuge (Fisher Scientific, Waltham, MA, USA; Cat. no.: 05-090-100)
- Mini gel tank (Thermo Fisher Scientific, Saint-Laurent, QC, Canada; Cat. no.: A25977)
- Multichannel micropipette (Sartorius, Gottingen, Germany; Fisher Scientific Cat. no.: 720240)
- Power supply (Bio-Rad, Saint-Laurent, QC, Canada; Cat. no.: 1645052)
- Plater reader (BioTek Instruments, Winooski, VT, USA; Product ID: Synergy H4)
- Rocker (Boekel Scientific, Feasterville-Trevose, PA, USA; Cat. no.: 260350)
- Vacuum pump (Welch, Monroe, LA, USA, Cat. no.: 2534B-01)
- Vivacell® 100, 100,000 MWCO PES (Sartorius, Stonehouse, UK; Cat. no.: VC1042)
- Vortex mixer (Fisher Scientific, Waltham, MA, USA; Cat. no.: 02215365)
3. Procedure
3.1. Preparing and Maintaining P. falciparum Cell Culture for EV Isolation (Figure 3, Top)
CRITICAL STEP. Conduct all steps with asceptic techniques, performed under a class 2 biological safety cabinet. Wear personal protective equipment at all times.3.1.1. Preparation of Fresh RBCs: Time to Complete: ~1 h
- Aliquot ~30 mL of fresh leukoreduced RBCs into sterile 50 mL tubes.
- Using any suitable tabletop centrifuge, spin at 2000 rpm for 10 min at 4 °C. Discard supernatant.
CRITICAL STEP. Completely remove the top ~1 mL layer of RBCs. This is extremely important if using non-leukoreduced RBCs. For optimal P. falciparum cultures intended for EV isolation from CCM, leukoreduced blood is preferred. If leukoreduced blood is not available, carefully wash RBCs to minimize buffy coat remnants, which contain white blood cells and platelets after centrifugation. For downstream experiments on isolated EVs, evaluate the presence of non-RBC-derived EV markers, such as CD63 and CD9, using Western blot analysis or flow cytometry. Interpret all findings carefully, considering the potential for contamination.- 3.
- Resuspend RBCs in an equal volume of incomplete medium and centrifuge at 2000 rpm for 10 min at 4 °C. Discard supernatant.
- 4.
- Repeat wash step 3.
- 5.
- Dilute the washed RBCs to 50% hematocrit by resuspending in an equal volume of incomplete medium.
- 6.
- Store the washed RBCs at 4 °C for a maximum of 14 days from the time of collection from donor.
3.1.2. Thawing Parasites Previously Frozen in Glycerol: Time to Complete: ~1 h
CRITICAL STEP. For high-parasitemia cultures to be obtained within a few days of thawing parasites, freeze young synchronous ring cultures at ≥10% parasitemia. Typically, store 500 µL of packed parasite-infected RBCs in 500 µL glycerol freezing solution (see Section 2.1, Materials).- Remove a cryovial of malaria parasites from liquid nitrogen and thaw for 1–2 min at room temperature.
- Using a 1 mL pipette, transfer the contents of the cryovial to a 15 mL tube.
- For every 1 mL of thawed parasites (i.e., 500 µL of packed parasite-infected RBCs + 500 µL glycerol freezing solution), slowly add 100 µL of solution I (see Section 5, Reagent Setup) dropwise, shaking gently at intervals to mix the suspension.
- Incubate the suspension at room temperature for 5 min.
- For every 1 mL of thawed parasites, slowly add 10 mL of solution II (see Section 5, Reagent Setup) dropwise, shaking gently at intervals to mix the suspension.
- Centrifuge at 2000 rpm for 5 min at room temperature. Discard the supernatant.
- OPTIONAL STEP. For every 1 mL of thawed parasites, slowly add 10 mL of solution III dropwise, shaking gently at intervals to mix the suspension. Incubate at room temperature for 5 min. Centrifuge at 2000 rpm for 5 min at room temperature. Discard the supernatant.
- Resuspend the pelleted cells in 10 mL of incomplete medium.
- Centrifuge at 2000 rpm for 5 min at room temperature. Discard the supernatant.
- Using a 5 mL pipette, estimate the volume of the pelleted cells by resuspending the pellet in exactly 5 mL of complete medium and determining the extra volume in the pipette.
- Transfer the cells to a culture flask.
- Add an equal amount of fresh RBCs as the estimated malaria parasite pellet.
CRITICAL STEP. Add double the volume of required fresh RBCs from the stored 50% hematorit RBCs. For example, 300 µL of packed RBCs are contained in 600 µL of 50% hematorit fresh RBCs.- 13.
- Add the remaining volume of complete medium to obtain a hematocrit of 1%. For example, if 300 µL of iRBC pellet was recovered after thawing, the final composition of the culture with 1% hematocrit will be
- 14.
- Incubate the culture flask in 5% CO2, 3% O2, and 95% N2 at 37 °C for 48 h.
3.1.3. Culture Check and Culture Medium Changes: Time to Complete: ~30 min
CRITICAL STEP. Always examine cultures by a thin Giemsa-stained smear to determine the parasite’s life stage, viability, and parasitemia prior to processing and changing the growth medium.- After 48 h incubation, use a 1 mL pipette to transfer 100 µL of the culture into a 0.6 mL microcentrifuge tube.
- Centrifuge for 5–10 s in a mini centrifuge.
- On a clean glass slide, make a thin smear using 2 µL of the pelleted cells. Allow to air-dry completely.
- Fix the smear by dipping in methanol for 3–5 s. Allow to air-dry completely.
- Prepare a 10% Giemsa solution with distilled water in a slide staining jar.
- Completely immerse the smear in the 10% Giemsa solution and leave to stain for 8–10 min.
- Rinse the slide thoroughly with water. Allow to air-dry completely.
- Examine under the light microscope using the 100× immersion oil objective lens. Parasites should be at the ring stage.
- Properly resuspend cells in the flask and transfer culture to a 50 mL tube.
- Centrifuge at 2000 rpm for 5 min at room temperature. Discard the supernatant.
- Resuspend cells in the appropriate volume of fresh culture medium to maintain a 1% hematocrit and return to the flask. Since the culture is expected to contain ring stages, do not add RBCs.
- Reincubate the flask for 24 h in 5% CO2, 3% O2, and 95% N2 at 37 °C.
- After 24 h, prepare, stain, and examine a smear of the culture as described in steps 1–8 above. Parasites should be late trophozoites or early schizonts.
- Determine the percentage parasitemia and estimate the time of invasion. Note: This will vary slightly depending on the parasite strain used.
- Estimate the volume of pelleted cells as described in Section 3.1.2, step 10.
- Return cells to the flask. If the parasitemia is <10%, proceed to step 17. If the parasitemia is ≥10%, proceed to step 18.
- If the parasitemia is <10%, resuspend the pelleted cells in at least 100 times its volume of fresh culture medium. For example, a 600 µL cell pellet will be resuspended in 60 mL of fresh culture medium. Do not add RBCs. Proceed to step 19.
CRITICAL STEP. Earlier protocols for high-parasitemia cultures of P. falciparum have established that 2.5 mL of a culture medium is required to support the growth of ring stages in a 50 µL packed cell culture at 10% parasitemia [66]. By doubling this volume when parasites are at the mature stages, as well as not adding RBCs, the parasitemia will be significantly increased at the next invasion with enough culture medium available to sustain the parasitemia.- 18.
- If the parasitemia is ≥10%, add 1 volume of packed fresh RBCs to 3 volumes of pelleted cell culture and resuspend the cells in sufficient fresh culture medium to restore the 1% hematocrit. For example, add 200 µL of packed fresh RBCs to 600 µL of pelleted iRBC culture in 80 mL of fresh culture medium.
- 19.
- Reincubate the flask in 5% CO2, 3% O2, and 95% N2 at 37 °C until sorbitol synchronization.
3.1.4. Sorbitol Synchronization: Time to Complete: ~40 min
- After 12–16 h of incubation, or ~6 h after the time of invasion estimated in Section 3.1.3, step 14, examine a stained smear of the culture as described in steps 1–8 of Section 3.1.3. If young rings are observed, proceed with sorbitol synchronization; otherwise, recheck cultures after 2–3 h.
CRITICAL STEP. Perform sorbitol synchronization on cultures of young rings at 6–10 h post-invasion with a parasitemia of ≥10%.- 2.
- Properly resuspend cells in the flask and transfer culture to a 50 mL tube.
- 3.
- Centrifuge at 2000 rpm for 5 min at room temperature. Discard the supernatant.
- 4.
- Resuspend 1 volume of the pelleted cells in 10 volumes of 5% sorbitol.
- 5.
- Vigorously vortex the suspension for 30 s to lyse the mature-stage iRBCs.
- 6.
- Incubate for 10 min at room temperature, mixing the suspension by inverting the tube at intervals.
- 7.
- Vortex the suspension again for 10 s.
- 8.
- Centrifuge at 2000 rpm for 5 min at room temperature. Discard the supernatant.
- 9.
- Resuspend the pellet in 10 mL of incomplete medium and centrifuge at 2000 rpm for 5 min at room temperature. Discard the supernatant.
- 10.
- Repeat wash step 9.
- 11.
- Resuspend the pelleted cells in the appropriate volume of fresh culture medium.
CRITICAL STEP. Determine the volume of fresh culture medium required to sustain a high-parasitemia culture of ring-iRBCs for at least 24 h using the following formula [58]:- 12.
- Transfer the culture to a new culture flask.
CRITICAL STEP. Do not return the culture to the old flask, as the presence of residual mature-stage parasites will disrupt the synchronization window.- 13.
- Reincubate the flask in 5% CO2, 3% O2, and 95% N2 at 37 °C until the next media change.
- 14.
- Over the next 48 h of incubation, check the culture and perform media changes as described in Section 3.1.3. Add fresh RBCs when parasites are at mature stages. Estimate the time of invasion to determine when the parasites will be ready for Percoll synchronization.
3.1.5. Percoll Synchronization—Adapted from [67]: Time to Complete: ~1 h 30 min
- After ~40 h post invasion (as determined by the time of invasion estimated in the previous step), examine a stained smear of the culture. If schizonts are mainly observed, proceed with Percoll synchronization.
CRITICAL STEP. Perform Percoll synchronization on cultures of mature schizonts at ≥40 h post-invasion with a parasitemia of ≥10%.- 2.
- In a 15 mL tube, add 3 mL 65% Percoll solution using a 5 mL pipette.
- 3.
- Layer 3 mL of 35% Percoll solution on top of the 65% Percoll solution using a 16-gauge needle and 1 mL syringe.
CRITICAL STEP. Layer the gradient very carefully to form a clear interphase between both Percoll concentrations. Lean the needle against the wall of the tube with the bore visible just above the 65% Percoll layer. Release the 35% Percoll solution dropwise while slowly rotating the tube to allow for even distribution. Using a needle to layer the gradient offers more control over using a pipette due to the smaller bore size.- 4.
- Properly resuspend cells in the flask and transfer the culture to a 50 mL tube.
- 5.
- Centrifuge at 2000 rpm for 5 min at room temperature. Discard the supernatant.
- 6.
- Layer the cells on top of the Percoll gradient using a 16-gauge needle and 1 mL syringe.
CRITICAL STEP. Layer the cells quickly but carefully so as not to disturb the interface between the cells and 35% Percoll solution. Use the same technique described above. If this cannot be achieved, see Appendix B.- 7.
- Immediately centrifuge at 2500 rpm for 15 min at room temperature with medium acceleration and no brake to preserve the gradient.
- 8.
- Carefully remove the top layer, first interface (culture medium, dead cells, and debris), and 35% Percoll layer with a 5 mL pipette (Figure 4B).
- 9.
- Carefully transfer the interface that contains the mature-stage iRBCs to a 15 mL tube using a glass Pasteur pipette and pipette bulb. Discard the 65% Percoll layer and pellet of RBCs and early-stage iRBCs.
- 10.
- Add 10 mL of incomplete medium to the recovered mature-stage iRBCs by slowly releasing it down the wall of the tube. Mix by gentle inversion.
- 11.
- Centrifuge at 2000 rpm for 5 min at room temperature. Discard the supernatant.
- 12.
- Repeat wash steps 10 and 11.
- 13.
- Resuspend the pellet of mature-stage iRBCs in 10 mL of fresh complete culture medium and transfer to a new flask.
CRITICAL STEP. Do not return the culture to the old flask as the presence of residual younger-stage parasites will disrupt the synchronization window.- 14.
- Add 500 µL of packed fresh RBCs and 40 mL of fresh culture medium to give a final hematocrit of 1%.
CRITICAL STEP. Estimate the pellet volume of mature-stage iRBCs, as adding too much fresh RBCs will greatly reduce the parasitemia at the next invasion. The volumes suggested here are based on ~100 µL that can be recovered from 1 mL of iRBCs with a schizont parasitemia of ≥10%. When maintaining long-term continuous cultures, Percoll synchronization should be timed to transfer parasites from ≤14-day-old RBCs to fresh RBCs.- 15.
- Incubate the flask in 5% CO2, 3% O2, and 95% N2 at 37 °C.
- 16.
- Check after ~10 h for young ring-iRBCs and change the culture medium as described in Section 3.1.3. Calculate the parasitemia and use the formula described in Section 3.1.4, step 11, to determine the volume of fresh culture medium required to sustain the parasites until the next culture check and CCM harvesting.
- 17.
- Estimate the time of invasion so that the growth cycle can be followed accurately, and CCM harvesting timed accordingly.
3.2. Harvesting EV-Containing CCM from P. falciparum Cultures: Time to Complete: ~2 h (Figure 3, Bottom)
CRITICAL STEP. High parasitemia cultures require extra attention to ensure that cells remain viable, healthy, and free of contamination. Harvest CCM only from cultures that fulfill all these criteria. After 7–8 days of thawing frozen rings (≥10% parasitemia) and performing sorbitol and Percoll synchronization, high-parasitemia, large-volume cultures are ready for harvesting the CCM from the parasite’s life stage of interest for EV studies. Perform culture checks and medium changes, as described in Section 3.1.3. The appropriate volume of culture medium should be determined using the formula in Section 3.1.4, step 11.- Examine the culture at 20–22 h post invasion to verify that the parasites are at the late ring stage.
- Properly resuspend cells in the flask and transfer culture to a 50 mL tube.
- Centrifuge at 2000 rpm for 5 min at room temperature. Transfer the supernatant to new 50 mL tubes and store at 4 °C for ~30 min, while the cells are prepared for reincubation. The CCM contains EVs from ring-iRBCs.
- Resuspend the cells in the appropriate volume of culture medium and reincubate the flask in 5% CO2, 3% O2, and 95% N2 at 37 °C until the next culture change or harvesting of trophozoite-iRBCs CCM (steps 5 and 6). Proceed to step 12.
- Examine the culture at 36–38 h post invasion to verify that the parasites are at the late trophozoite stage.
- Repeat steps 2 and 3. The CCM contains EVs from trophozoite-iRBCs.
- Resuspend the cells in the appropriate volume of culture medium and reincubate the flask in 5% CO2, 3% O2, and 95% N2 at 37 °C until the next culture change or harvesting of schizont-iRBCs CCM (steps 8 and 9). Proceed to step 12.
- Examine the culture at 44–46 h post invasion to verify that the parasites are at the mature schizont stage.
- Repeat steps 2 and 3. The CCM contains EVs from schizont-iRBCs.
- Subculture the schizont-iRBCs by dividing the cell pellet evenly into 2 new flasks. Add fresh RBCs and the appropriate volume of complete culture medium to obtain a 1% hematocrit.
- Reincubate the flasks in 5% CO2, 3% O2, and 95% N2 at 37 °C until the next culture change or harvesting of ring iRBCs CCM. Proceed to step 12.
CRITICAL STEP. From this point, CCM is harvested from 2 flasks, each with synchronous, high-parasitemia cultures. Cultures will remain highly synchronized for at least 2 growth cycles, after which sorbitol and Percoll synchronization should be repeated. To continue harvesting CCM, repeat steps 1–11. Although it is possible to subculture the parasites into 4 flasks at step 10 to harvest more CCM, this is a cumbersome task. We do not recommend working with more than 2 culture flasks (each with a maximum of 120 mL of culture) at a time. Excess parasites can be reincubated until the ring stage and then frozen.- 12.
- Retrieve the CCM from the 4 °C storage and centrifuge at 400 g and 4 °C for 15 min in a Sorvall ST 16R centrifuge with a TX 400 rotor. Acceleration 9, deceleration 7. This step clears the CCM of dead cells.
- 13.
- Carefully transfer the supernatant to a new 50 mL tube(s) using a 25 mL pipette.
CRITICAL STEP. Leave ~0.5 mL of supernatant over the pellet to ensure that the pellet is not collected. Do not contaminate the supernatant with the pellet.- 14.
- Centrifuge the supernatant at 2000× g and 4 °C for 20 min in a Sorvall ST 16R centrifuge with a TX 400 rotor. Acceleration 9, deceleration 7. This step clears the CCM of debris and large EVs.
- 15.
- Carefully transfer the supernatant (CCM) to a new 50 mL tube(s) using a 25 mL pipette.
CRITICAL STEP. Leave ~0.5 mL of supernatant over the pellet to ensure that the pellet is not collected. Do not contaminate the supernatant with the pellet.
PAUSE STEP. The supernatant from the 2000× g spin can be stored at 4 °C for up to 3 days or at −80 °C for 2 months until needed for EV isolation. We do not recommend storing CCM for longer periods of time under either of these conditions, as EVs may degenerate during storage. EVs should be isolated from CCM as soon as possible.3.3. Isolation of Malaria-Derived EVs by Differential Centrifugation (Figure 5)
3.3.1. Isolation of EV Pellet 1 (P1): Time to Complete: 5–6 h
- If CCM from Section 3.2, step 15, was frozen, thaw it in a refrigerator at 4 °C over 24–48 h.
- 2.
- Pass the CCM through a 0.45 µm PES membrane bottle-top filter to remove any remaining debris.
- 3.
- Collect the supernatant and transfer it into 50 mL polycarbonate centrifuge tubes.
- 4.
- Mark a dot on one side of each centrifuge tube, close to the bottom, and position the tubes in a JA-25.50 fixed-angle rotor such that the dots are facing up.
CRITICAL STEP. Fixed-angle rotors cause pellets to sediment on the side of the tube that is furthest away from the rotor’s center of rotation. Marking the bottom side of the tubes makes it easier to locate the near “invisible” EV pellet. Reuse tubes to centrifuge CCM from the same sample (no more than once, to avoid loss of EV integrity) to increase the pellet size and improve visibility.- 5.
- Centrifuge at 10,000× g (9000 rpm) and 4 °C for 1 h with maximum acceleration and slow deceleration. Note: The Avanti-J.E centrifuge used here in this protocol has only two options for acceleration and deceleration. These are maximum or slow.
- 6.
- Using a 25 mL pipette, carefully collect the supernatant into a sterile glass bottle. Do not disturb the pellet.
CRITICAL STEP. To remove the supernatant, tilt the tube backward and position the end of the pipette at the opposite side of the pellet. Leave ~0.5 mL of supernatant above the pellet.- 7.
- Store the supernatant at 4 °C until needed for isolation of pellet 2.
CRITICAL STEP. Do not store the supernatant for more than 24 h.- 8.
- Pool the pellets and remaining supernatant from step 6 into a single 50 mL polycarbonate centrifuge tube.
- 9.
- Using 5 mL pipettes, wash all tubes 2–3 times with PBS by carefully flooding the location of the pellet, and pool the PBS washes into the collection tube with the original pellet. Fill the collection tube with PBS.
CRITICAL STEP. If pellets will be analyzed by NTA or flow cytometry, pass the PBS through a 0.2 µm filter (preferably 0.1 µm) before using it in any steps of EV isolation. This is necessary to remove any particles present in the PBS that may affect NTA or flow cytometry readings.- 10.
- Centrifuge in a JA-25.50 fixed-angle rotor at 10,000× g (9000 rpm) and 4 °C for 1 h with maximum acceleration and slow deceleration to wash the pellet.
- 11.
- Remove the supernatant using the same technique described in step 6.
- 12.
- Gently tilt the tube towards the opposite side of the pellet and pour off the remaining supernatant. When visible, the pellet appears cloudy-white.
- 13.
- Leave the tube upside-down over a Kimwipe for 30 s to 1 min.
- 14.
- OPTIONAL STEP. Carefully wipe dry the mouth and the top half of the insides of the tube with Kimwipes. Do not touch the pellet.
- 15.
- Resuspend the pellet in 1.2 mL PBS and transfer to a 1.5 mL microfuge tube. This step should be carried out by performing 3 washes of the tube, each with 400 µL of PBS, and pooling the pellet + PBS washes in the 1.5 mL microfuge tube.
PAUSE STEP. The pellet suspension in microfuge tubes can be stored at 4 °C overnight.- 16.
- Concentrate the EV pellet by centrifuging in a TLA100.3 rotor at 14,000 rpm (10,000 g) and 4 °C for 1 h. Acceleration 9, deceleration 7.
CRITICAL STEP. Position the tube in the rotor with its lid hinge facing up to mark the location of the pellet. Like the JA-25.50 rotor, the TL100.3 is a fixed-angle rotor that causes pellets to sediment on the side of the tube that is furthest away from the rotor’s center of rotation.- 17.
- Remove the supernatant completely using a 1 mL filtered pipette tip. Do not touch the pellet.
CRITICAL STEP. First remove half of the supernatant and any residual supernatant around the tube cap and mouth. Then, position the pipette tip at the opposite side of the pellet and remove the remaining supernatant. Hold the tube up and wait a few seconds to allow any remnant supernatant to slide down the tube so this can also be removed.- 18.
- Resuspend the pellet in 50–100 µL of PBS and aliquot as necessary to avoid freeze–thaw cycles.
- 19.
- Analyze P1 EVs immediately or store at −80 °C for up to 2 months.
3.3.2. Isolation of EV Pellet 2 (P2): Time to Complete: 7–9 h
- Retrieve the supernatant from Section 3.3.1, step 7, from 4 °C storage.
- Using a 25 mL pipette, transfer the supernatant to Vivacell 100 units.
CRITICAL STEP. Vivacell units do not come sterile. Clean Vivacells before and after use according to the manufacturer’s directions.- 3.
- Concentrate the supernatant by centrifuging the Vivacells in a Sorvall ST 16R centrifuge with a TX 400 rotor at 2000× g and 4 °C for 30–40 min.
CRITICAL STEP. Use the appropriate TX 400 rotor adapter to accommodate Vivacells (see Section 2.1, Materials).- 4.
- Discard the flow-through.
- 5.
- Using a combination of 1 mL and 200 µL filtered pipette tips, carefully transfer the concentrates from the Vivacells to a 15 or 50 mL tube.
CRITICAL STEP. Tilt the vivacells, allowing the concentrate to flow away from the surface of the membrane. Minimize touching the membrane with the pipette tips to avoid damaging it. We do not recommend using glass Pasteur pipettes to collect the concentrate as this increases the chances of piercing the Vivacell membrane.- 6.
- Repeat step 3 until all of the supernatant has been concentrated. The same Vivacell(s) should be used to process the same sample. Pool concentrates from the same sample into the same collection tube and store at 4 °C until the concentration step is complete.
- 7.
- Transfer 5–10 mL of the concentrate to an ultracentrifuge tube. For optimal EV recovery, we do not recommend centrifugation of more than 10 mL of concentrated supernatant per ultracentrifuge tube.
- 8.
- Dilute the concentrated CCM in ultracentrifuge tubes appropriately. For example, a concentrate of 5 mL in a 32 mL polypropylene tube should be diluted in 27 mL of PBS.
CRITICAL STEP. If pellets will be analyzed by NTA or flow cytometry, pass the PBS through a 0.2 µm filter (preferably 0.1 µm) before using it in any steps of EV isolation. This is necessary to remove any particles present in the PBS that may affect NTA or flow cytometry readings.- 9.
- Centrifuge in an SW-28 swinging bucket rotor at 100,000× g (24,000 rpm) and 4 °C for 2 h. Acceleration 3, deceleration 6.
- 10.
- Using a 25 mL pipette, carefully remove the supernatant, leaving ~1 mL above the pellet. Fill the tube with PBS. The pellet sediments at the bottom of the tube for swinging bucket rotors.
- 11.
- OPTIONAL STEP. If more than 1 tube was used for a sample, pool the pellets and remaining supernatant into a single ultracentrifuge tube. Using 5 mL pipettes, wash all tubes 2–3 times with PBS by carefully flooding the bottom of the tube. Pool the washes into the collection tube with the original pellet. Fill the collection tube with PBS.
- 12.
- Centrifuge in an SW-28 swinging bucket rotor at 100,000× g (24,000 rpm) and 4 °C for 1.5 h to wash the EV pellet. Acceleration 3, deceleration 6.
- 13.
- Using a 25 mL pipette, carefully remove the supernatant, leaving ~1 mL above the pellet.
- 14.
- Gently tilt the tube and pour off the remaining supernatant. When visible, the pellet appears cloudy-white with a red tint.
- 15.
- Leave the tube upside-down over a Kimwipe for 30 s to 1 min.
- 16.
- OPTIONAL STEP. Carefully wipe dry the mouth and the top half of the sides of the tube with Kimwipes. Do not touch the pellet.
- 17.
- Resuspend the pellet in 1.2 mL of PBS and transfer to a 1.5 mL microfuge tube. See Section 3.3.1, step 15, for instructions.
- 18.
- Concentrate the EV pellet by centrifuging in a TLA100.3 rotor at 45,000 rpm (100,000× g) and 4 °C for 1 h. Acceleration 9, deceleration 7.
CRITICAL STEP. See Section 3.3.1, step 16, for instructions.- 19.
- Remove the supernatant completely using a 1 mL filtered pipette tip. Do not touch the pellet.
CRITICAL STEP. See Section 3.3.1, step 17, for instructions.- 20.
- Resuspend the pellet in 50–100 µL PBS and aliquot as necessary to avoid freeze–thaw cycles.
- 21.
- Analyze P2 EVs immediately or store at −80 °C for up to 2 months.
3.4. Analysis of Malaria-Derived EVs by Western Blotting
3.4.1. Preparation of Parasites (WBA Controls) from iRBCs by Saponin Lysis. Adapted from [68]: Time to Complete: ~1 h
- OPTIONAL STEP. Add 5 mM of protease inhibitor to PBS.
- Add 20 mL PBS to a 50 mL tube.
- Transfer 50–100 µL of packed cell pellets (1–2 × 108 cells) of ring-, trophozoite-, or schizont-iRBCs (from steps 4, 7, and 10, respectively, of Section 3.2.) to the 50 mL tube. Mix gently.
- Centrifuge at 800× g and 4 °C for 3 min.
- Remove the supernatant, resuspend the cell pellet in 20 mL of PBS, and centrifuge at 800× g and 4 °C for 3 min.
- Resuspend the washed cell pellet in 50 mL of PBS.
- Lyse the RBCs to release intact parasites by adding 50 µL of 10% saponin solution.
- Incubate the tube on ice for 3–5 min, inverting the tube intermittently. During this time, the suspension gradually changes from turbid red to clear red.
- Centrifuge at 1800× g and 4 °C for 3 min.
- Remove the supernatant that contains the RBC cytosol and parasitophorous vacuolar membranes of the parasites.
- Resuspend the pellet of intact parasites in 20 mL PBS.
- Centrifuge at 1800× g and 4 °C for 3 min. Remove the supernatant.
- Resuspend the parasite pellet in 20–50 µL PBS.
- Aliquot the parasite suspension into microcentrifuge tubes
- Store at −80 °C until needed.
3.4.2. Preparation of RBC Ghost Membranes and Cytosol (WBA Controls)—Adapted from [69]: Time to Complete: ~2 h
- Transfer 2 mL of 50% Hematocrit RBCs to a 50 mL tube.
CRITICAL STEP. If a culture of uninfected RBCs has been set up as a control, collect RBCs from this culture to prepare ghost membranes and cytosol.- 2.
- Resuspend the RBCs in 20 mL PBS.
- 3.
- Centrifuge at 2000× g and 4 °C for 10 min.
- 4.
- Remove the supernatant and repeat steps 2 and 3.
- 5.
- Add 40 mL of 5 mM sodium phosphate buffer to the washed RBC pellet (now 1 mL).
- 6.
- Vortex thoroughly for 30 s to lyse RBCs.
- 7.
- Transfer the suspension to a high-speed polycarbonate centrifuge tube.
- 8.
- Centrifuge at 20,000× g and 4 °C for 15 min with slow deceleration.
- 9.
- Carefully collect 100 µL of the supernatant (contains the RBC cytosol) into an Eppendorf tube. Set aside for storage at −80 °C.
- 10.
- Carefully remove the remaining supernatant using a 25 mL pipette, leaving ~2 mL over the RBC ghost membranes.
CRITICAL STEP. The RBC ghost membrane pellet is not tightly packed. Care must be taken to not collect it with the supernatant.- 11.
- Slide the loose pellet of RBC ghosts from where it has sedimented by gently tilting and rotating the tube. This gives access to a smaller red pellet of proteases. Note: When lysed RBCs are centrifuged, two pellets are obtained—a larger, loose, and cloudy pellet of RBC ghost membranes, over a smaller, hard, red pellet of proteases.
- 12.
- Aspirate the pellet of proteases.
- 13.
- Resuspend the RBC ghost membranes in 30 mL of 5 mM sodium phosphate buffer.
- 14.
- Centrifuge at 20,000× g and 4 °C for 15 min with slow deceleration.
- 15.
- Repeat steps 13 and 14.
- 16.
- OPTIONAL STEP. Add 5 mM of protease inhibitor to the final wash.
- 17.
- Aliquot the RBC ghost membranes into Eppendorf tubes.
- 18.
- Store at −80 °C until needed.
3.4.3. Preparation of EV and Cell Lysates: Time to Complete: ~1 h
- Add protease inhibitor to RIPA lysis buffer immediately before use at a concentration of 10 µL/mL.
- Add 100 µL of the RIPA lysis buffer/protease inhibitor mix to each EV pellet.
- Add 100 µL of the RIPA lysis buffer/protease inhibitor mix to aliquots of the controls (parasite cell lysates, RBC ghost membrane lysate, and cytosol—see Section 3.4.1 and Section 3.4.2).
- Vortex the mixture briefly.
- Incubate on ice for 15–20 min.
- Vortex the mixture again.
- Centrifuge the mixture at 14,000× g and 4 °C for 15 min to pellet the debris.
- Transfer the supernatant to new tubes.
- Store at −20 °C until needed or quantify proteins in the lysates immediately using the microplate procedure of the PierceTM BCA protein assay, according to the manufacturer’s instructions (see Section 2.1, Materials).
3.4.4. SDS–Polyacrylamide Gel Electrophoresis: Time to Complete: 1.5–2.5 h
CRITICAL STEP. Set up the electrophoresis system and gels according to the manufacturer’s instructions. This protocol describes the set up for the mini gel tank and pre-cast gels from Thermo Fisher Scientific (see Section 2.1, Materials).- Fill the chamber of an electrophoresis gel tank with 1× SDS running buffer.
- Prepare a pre-cast tris-glycine gel and clamp it in place in the electrophoresis tank.
CRITICAL STEP. When using pre-cast gels, choose the right gel format for the experiment, with careful consideration of the gel type, polyacrylamide percentage, molecular weight separation range, and well format.- 3.
- In microcentrifuge tubes, add 6× Laemmli’s buffer to lysates of each isolated EV sample and controls (from Section 3.4.3.) to a final concentration of 1×.
- 4.
- Vortex samples and spin down briefly in a mini centrifuge.
- 5.
- Incubate the samples in a heat block at 95 °C for 5 min.
- 6.
- Vortex samples and spin down briefly in a mini centrifuge.
- 7.
- Load 3–5 µL of ladder into the first well.
- 8.
- Load 1 µg of protein for each sample and control into remaining wells.
- 9.
- Run the gel at 225 V for 20–40 min or until the ladder or dye (from Laemmli’s buffer) almost reaches the foot of the gel.
- 10.
- OPTIONAL STEP. Perform SDS-PAGE on a separate gel to visualize proteins on the gel by a suitable staining technique, such as silver staining.
3.4.5. Western Blot Analysis (WBA): Time to Complete: 2 Days
CRITICAL STEP. Set up the protein transfer system and perform all steps of the protein transfer according to the manufacturer’s instructions. This protocol describes the set up for the mini blot module (semi-wet transfer) from Thermo Fisher Scientific (see Section 2.1, Materials).- In a membrane tray, activate a PVDF transfer membrane in methanol for 30 s.
CRITICAL STEP. Only handle the membrane with clean, plastic tweezers to avoid contamination and blotching.- 2.
- Rinse the membrane briefly in deionized water.
- 3.
- Equilibrate the PVDF membrane in 1× transfer buffer for at least 5 min.
- 4.
- Soak 2 sponge pads thoroughly in transfer buffer.
- 5.
- When electrophoresis is complete (Section 3.4.4.), remove the gel cassette from the tank and rinse with deionized water.
- 6.
- Using a gel knife, carefully open the gel cassette and trim off the gel wells. The gel remains attached to the long plate of the gel cassette.
- 7.
- Wet a filter paper in 1× transfer buffer and apply it to the gel, positioning it above the gel foot.
- 8.
- Roll out air bubbles.
- 9.
- Carefully detach the gel and filter paper from the cassette plate onto a hard flat-surface, filter paper first.
- 10.
- Wet the cathode core with 5–10 mL of 1× transfer buffer.
- 11.
- Proceed with assembling the transfer sandwich from bottom to top as follows: cathode core–sponge pad–filter paper–gel–PVDF membrane–filter paper–sponge pad–anode core.
CRITICAL STEP. Use a blotting roller to carefully roll out bubbles at each layer. Air bubbles in the sandwich will impede transfer of the sample proteins to the membrane, resulting in blank patches. Before applying filter paper to the sandwich, soak each piece briefly in 1× transfer buffer.- 12.
- Place the assembled blot sandwich in the electrophoresis tank, ensuring that all inner components are submerged in 1× transfer buffer.
- 13.
- Run the transfer at 20 V for 60 min.
- 14.
- While the transfer is running, prepare the blocking buffer, incubation buffer, and wash buffer (see Section 5, Reagent setup).
- 15.
- When the transfer run is complete, carefully unpack the sandwich and transfer the blotted membrane to a membrane tray with enough deionized water (~20 mL) to completely cover the membrane.
- 16.
- OPTIONAL STEP. Use the No-StainTM Protein Labelling Reagent (see Section 2.1, Materials) or any other suitable membrane stain to visualize proteins (and perform normalization for quantitative WBA) on the membrane according to the manufacturer’s instructions.
- 17.
- On a shaker, wash the membrane in the deionized water for 5 min. Repeat wash.
- 18.
- Block the membrane in 5% TBSM-T blocking buffer on a shaker for 1 h.
- 19.
- Completely pour off the blocking buffer and add a primary antibody appropriately diluted in 10 mL of 0.5% TBSM-T incubation buffer.
- 20.
- Incubate overnight on a shaker in a cold room at 4 °C.
- 21.
- Pour off the primary antibody and rinse the membrane briefly with 0.1% TBS-T.
- 22.
- Wash the membrane with 0.1% TBS-T for 10 min on a shaker.
- 23.
- Repeat wash step 22 two more times.
- 24.
- Add a secondary antibody appropriately diluted in 10 mL of 0.5% TBSM-T incubation buffer. This protocol uses a dilution of 1 in 5000.
- 25.
- Incubate for 1 h on a shaker at room temperature.
- 26.
- Pour off the secondary antibody and rinse the membrane briefly with 0.1% TBS-T.
- 27.
- Wash the membrane with 0.1% TBS-T for 10 min on a shaker.
- 28.
- Repeat wash step 27 two more times. Leave the membrane in the last wash solution.
- 29.
- Prepare 10 mL of enhanced chemiluminescent (ECL) substrate working solution from an ECL Kit (5 mL of solution A and 5 mL of solution B; see Section 2.1, Materials).
- 30.
- Pour off the last wash solution from step 28 and cover the membrane with the ECL substrate working solution.
- 31.
- Incubate for 5 min.
- 32.
- Transfer the membrane between 2 acetate sheets. Blot any excess ECL solution and remove air bubbles in the membrane–acetate sheet sandwich.
CRITICAL STEP. Place the blotted membrane between acetate sheets to prevent it from drying out during imaging.- 33.
- Image the membrane in a suitable imaging system (see Section 2.2, Equipment).
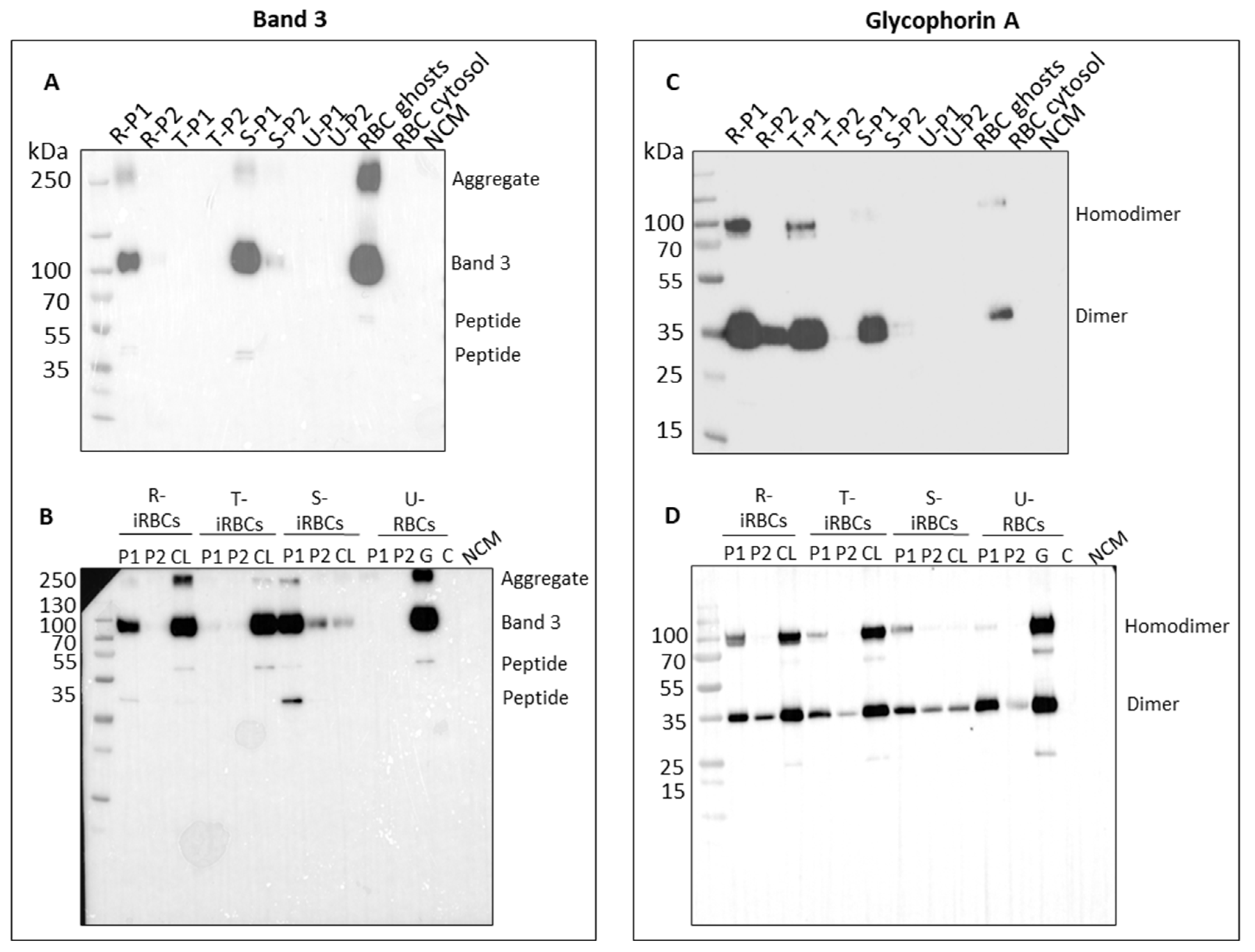
4. Expected Results
5. Reagent Setup
- Incomplete medium
- Complete medium
- Thawing solution I: Sterile 12% NaCl (w/v)
- Thawing solution II: Sterile 1.67% NaCl (w/v)
- Thawing solution III: Sterile 0.9% NaCl + 0.2% D-glucose (w/v)
- 10% Giemsa working solution (v/v)
- 5% sorbitol solution (w/v)
- 90% Percoll solution (v/v)
- 65% Percoll solution (v/v)
- 35% Percoll solution (v/v)
- 10× tris-buffered saline (TBS)
- 10× PBS
- 10% saponin solution (w/v)
- 5 mM sodium phosphate buffer
- 6× Laemmli’s buffer
- 10× SDS running buffer
- 1× transfer buffer
- 5% tris-buffered saline milk-tween 20 (5% TBSM-T; blocking buffer)
- 0.5% tris-buffered saline milk-tween 20 (0.5% TBSM-T; incubation buffer)
- 0.1% tris-buffered saline-tween 20 (0.1% TBS-T; wash buffer)
Author Contributions
Funding
Institutional Review Board Statement
Informed Consent Statement
Data Availability Statement
Acknowledgments
Conflicts of Interest
Appendix A
| P. falciparum Culture Parameter | Typical Condition | Modified Condition for EV Isolation |
|---|---|---|
| Parasitemia | 5% | ≥10% |
| Hematocrit | 4% | ≤2% |
| Age of RBCs | Up to 28 days after collection | Up to 14 days after collection |
| RBC preparation | Not usually stated | Leukoreduced |
| Parameter | Details | |
|---|---|---|
| RBC for parasite culture | Blood group | A, B, AB, O |
| Processing method | Leukoreduced or non-leukoreduced | |
| Storage duration from time of collection | 1 to 14 days post collection | |
| Culture conditions | Nutrient source | AlbuMAX I, AlbuMAX II, or serum |
| Culture medium | Brand, supplements | |
| Positioning * | Stationary or shaking | |
| Hematocrit | ≤2% or up to 4% | |
| Parasitemia | Low or high; less than or greater than 10% | |
| CCM harvest | Intervals of harvest | e.g., 12 or 24 h post invasion |
| Parasite life stage | Ring-, trophozoite-, or schizont CCM | |
| Volume | Exact volume stated | |
| CCM storage | Temperature | 4 °C, −80 °C |
| Duration | Number of days, weeks, or months | |
| EV Isolation | Concentration step | Vivacell units or other means used to concentrate CCM |
| Rotor | Type of rotor and centrifuge | |
| Centrifugation speeds | RPM, RCF | |
Appendix B

Appendix C

Appendix D

Appendix E

Appendix F

References
- Cowman, A.F.; Healer, J.; Marapana, D.; Marsh, K. Malaria: Biology and Disease. Cell 2016, 167, 610–624. [Google Scholar] [CrossRef] [PubMed]
- Graumans, W.; Jacobs, E.; Bousema, T.; Sinnis, P. When Is a Plasmodium-Infected Mosquito an Infectious Mosquito? Trends Parasitol. 2020, 36, 705–716. [Google Scholar] [CrossRef] [PubMed]
- World Health Organization. World Malaria Report 2023; Licence: CC BY-NC-SA 3.0 IGO; World Health Organization: Geneva, Switzerland, 2023; Available online: https://www.who.int/publications/i/item/9789240086173 (accessed on 29 November 2022).
- WHO. Severe Malaria. Trop. Med. Int. Health 2014, 19, 7–131. [CrossRef]
- Lee, W.C.; Russell, B.; Rénia, L. Sticking for a Cause: The Falciparum Malaria Parasites Cytoadherence Paradigm. Front. Immunol. 2019, 10, 1444. [Google Scholar] [CrossRef]
- Dunst, J.; Kamena, F.; Matuschewski, K. Cytokines and Chemokines in Cerebral Malaria Pathogenesis. Front. Cell Infect. Microbiol. 2017, 7, 324. [Google Scholar] [CrossRef]
- Phyo, A.P.; Dahal, P.; Mayxay, M.; Ashley, E.A. Clinical impact of vivax malaria: A collection review. PLoS Med. 2022, 19, e1003890. [Google Scholar] [CrossRef] [PubMed]
- Anstey, N.M.; Grigg, M.J.; Rajahram, G.S.; Cooper, D.J.; William, T.; Kho, S.; Barber, B.E. Knowlesi malaria: Human risk factors, clinical spectrum, and pathophysiology. Adv. Parasitol. 2021, 113, 1–43. [Google Scholar] [CrossRef]
- Babatunde, K.A.; Subramanian, B.Y.; Ahouidi, A.D.; Martinez Murillo, P.; Walch, M.; Mantel, P.Y. Role of Extracellular Vesicles in Cellular Cross Talk in Malaria. Front. Immunol. 2020, 11, 22. [Google Scholar] [CrossRef]
- Opadokun, T.; Rohrbach, P. Extracellular vesicles in malaria: An agglomeration of two decades of research. Malar. J. 2021, 20, 442. [Google Scholar] [CrossRef]
- Cocucci, E.; Meldolesi, J. Ectosomes and exosomes: Shedding the confusion between extracellular vesicles. Trends Cell Biol. 2015, 25, 364–372. [Google Scholar] [CrossRef]
- Mathieu, M.; Martin-Jaular, L.; Lavieu, G.; Théry, C. Specificities of secretion and uptake of exosomes and other extracellular vesicles for cell-to-cell communication. Nat. Cell Biol. 2019, 21, 9–17. [Google Scholar] [CrossRef] [PubMed]
- Couper, K.N.; Barnes, T.; Hafalla, J.C.; Combes, V.; Ryffel, B.; Secher, T.; Grau, G.E.; Riley, E.M.; de Souza, J.B. Parasite-Derived Plasma Microparticles Contribute Significantly to Malaria Infection-Induced Inflammation through Potent Macrophage Stimulation. PLoS Pathog. 2010, 6, e1000744. [Google Scholar] [CrossRef] [PubMed]
- Mantel, P.Y.; Hoang, A.N.; Goldowitz, I.; Potashnikova, D.; Hamza, B.; Vorobjev, I.; Ghiran, I.; Toner, M.; Irimia, D.; Ivanov, A.R.; et al. Malaria-Infected Erythrocyte-Derived Microvesicles Mediate Cellular Communication within the Parasite Population and with the Host Immune System. Cell Host Microbe 2013, 13, 521–534. [Google Scholar] [CrossRef] [PubMed]
- Ofir-Birin, Y.; Karam, P.; Rudik, A.; Giladi, T.; Porat, Z.; Regev-Rudzki, N. Monitoring extracellular Vesicle Cargo Active Uptake by Imaging Flow Cytometry. Front. Immunol. 2018, 9, 1011. [Google Scholar] [CrossRef]
- Sisquella, X.; Ofir-Birin, Y.; Pimentel, M.A.; Cheng, L.; Abou Karam, P.; Sampaio, N.G.; Penington, J.S.; Connolly, D.; Giladi, T.; Scicluna, B.J.; et al. Malaria parasite DNA-harbouring vesicles activate cytosolic immune sensors. Nat. Commun. 2017, 8, 1985. [Google Scholar] [CrossRef]
- Mbagwu, S.I.; Lannes, N.; Walch, M.; Filgueira, L.; Mantel, P.Y. Human Microglia Respond to Malaria-Induced Extracellular Vesicles. Pathogens 2020, 9, 21. [Google Scholar] [CrossRef]
- Mantel, P.Y.; Hjelmqvist, D.; Walch, M.; Kharoubi-Hess, S.; Nilsson, S.; Ravel, D.; Ribeiro, M.; Grüring, C.; Ma, S.; Padmanabhan, P.; et al. Infected erythrocyte-derived extracellular vesicles alter vascular function via regulatory Ago2-miRNA complexes in malaria. Nat. Commun. 2016, 7, 12727. [Google Scholar] [CrossRef]
- Regev-Rudzki, N.; Wilson, D.W.; Carvalho, T.G.; Sisquella, X.; Coleman, B.M.; Rug, M.; Bursac, D.; Angrisano, F.; Gee, M.; Hill, A.F.; et al. Cell-Cell Communication between Malaria-Infected Red Blood Cells via Exosome-like Vesicles. Cell 2013, 153, 1120–1133. [Google Scholar] [CrossRef] [PubMed]
- Borgheti-Cardoso, L.N.; Kooijmans, S.A.A.; Chamorro, L.G.; Biosca, A.; Lantero, E.; Ramírez, M.; Avalos-Padilla, Y.; Crespo, I.; Fernández, I.; Fernandez-Becerra, C.; et al. Extracellular vesicles derived from Plasmodium-infected and non-infected red blood cells as targeted drug delivery vehicles. Int. J. Pharm. 2020, 587, 119627. [Google Scholar] [CrossRef]
- Colombo, M.; Raposo, G.; Théry, C. Biogenesis, Secretion, and Intercellular Interactions of Exosomes and Other Extracellular Vesicles. Annu. Rev. Cell Dev. Biol. 2014, 30, 255–289. [Google Scholar] [CrossRef]
- Kowal, J.; Arras, G.; Colombo, M.; Jouve, M.; Morath, J.P.; Primdal-Bengtson, B.; Dingli, F.; Loew, D.; Tkach, M.; Théry, C. Proteomic comparison defines novel markers to characterize heterogeneous populations of extracellular vesicle subtypes. Proc. Natl. Acad. Sci. USA 2016, 113, E968–E977. [Google Scholar] [CrossRef] [PubMed]
- Tkach, M.; Kowal, J.; Zucchetti, A.E.; Enserink, L.; Jouve, M.; Lankar, D.; Saitakis, M.; Martin-Jaular, L.; Théry, C. Qualitative differences in T-cell activation by dendritic cell-derived extracellular vesicle subtypes. EMBO J. 2017, 36, 3012–3028. [Google Scholar] [CrossRef] [PubMed]
- Couch, Y.; Buzas, E.I.; Di Vizio, D.; Gho, Y.S.; Harrison, P.; Hill, A.F.; Lötvall, J.; Raposo, G.; Stahl, P.D.; Théry, C.; et al. A brief history of nearly EV-erything—The rise and rise of extracellular vesicles. J. Extracell. Vesicles 2021, 10, e12144. [Google Scholar] [CrossRef]
- Yáñez-Mó, M.; Siljander, P.R.; Andreu, Z.; Zavec, A.B.; Borràs, F.E.; Buzas, E.I.; Buzas, K.; Casal, E.; Cappello, F.; Carvalho, J.; et al. Biological properties of extracellular vesicles and their physiological functions. J. Extracell. Vesicles 2015, 4, 27066. [Google Scholar] [CrossRef]
- Théry, C.; Witwer, K.W.; Aikawa, E.; Alcaraz, M.J.; Anderson, J.D.; Andriantsitohaina, R.; Antoniou, A.; Arab, T.; Archer, F.; Atkin-Smith, G.K.; et al. Minimal information for studies of extracellular vesicles 2018 (MISEV2018): A position statement of the International Society for Extracellular Vesicles and update of the MISEV2014 guidelines. J. Extracell. Vesicles 2018, 7, 1535750. [Google Scholar] [CrossRef] [PubMed]
- Araldi, E.; Krämer-Albers, E.M.; Hoen, E.N.; Peinado, H.; Psonka-Antonczyk, K.M.; Rao, P.; van Niel, G.; Yáñez-Mó, M.; Nazarenko, I. International Society for Extracellular Vesicles: First annual meeting, April 17–21, 2012: ISEV-2012. J. Extracell. Vesicles 2012, 1, 19995. [Google Scholar] [CrossRef]
- Lötvall, J.; Hill, A.F.; Hochberg, F.; Buzás, E.I.; Di Vizio, D.; Gardiner, C.; Gho, Y.S.; Kurochkin, I.V.; Mathivanan, S.; Quesenberry, P.; et al. Minimal experimental requirements for definition of extracellular vesicles and their functions: A position statement from the International Society for Extracellular Vesicles. J. Extracell. Vesicles 2014, 3, 26913. [Google Scholar] [CrossRef]
- Van Deun, J.; Mestdagh, P.; Agostinis, P.; Akay, Ö.; Anand, S.; Anckaert, J.; Martinez, Z.A.; Baetens, T.; Beghein, E.; Bertier, L.; et al. EV-TRACK: Transparent reporting and centralizing knowledge in extracellular vesicle research. Nat. Methods 2017, 14, 228–232. [Google Scholar] [CrossRef]
- Tauro, B.J.; Greening, D.W.; Mathias, R.A.; Ji, H.; Mathivanan, S.; Scott, A.M.; Simpson, R.J. Comparison of ultracentrifugation, density gradient separation, and immunoaffinity capture methods for isolating human colon cancer cell line LIM1863-derived exosomes. Methods 2012, 56, 293–304. [Google Scholar] [CrossRef]
- Andreu, Z.; Rivas, E.; Sanguino-Pascual, A.; Lamana, A.; Marazuela, M.; González-Alvaro, I.; Sánchez-Madrid, F.; de la Fuente, H.; Yáñez-Mó, M. Comparative analysis of EV isolation procedures for miRNAs detection in serum samples. J. Extracell. Vesicles 2016, 5, 31655. [Google Scholar] [CrossRef]
- Gutiérrez García, G.; Galicia García, G.; Zalapa Soto, J.; Izquierdo Medina, A.; Rotzinger-Rodríguez, M.; Casas Aguilar, G.A.; López Pacheco, C.P.; Aguayo, Á.; Aguilar-Hernandez, M.M. Analysis of RNA yield in extracellular vesicles isolated by membrane affinity column and differential ultracentrifugation. PLoS ONE 2020, 15, e0238545. [Google Scholar] [CrossRef] [PubMed]
- Brennan, K.; Martin, K.; FitzGerald, S.P.; O’Sullivan, J.; Wu, Y.; Blanco, A.; Richardson, C.; Mc Gee, M.M. A comparison of methods for the isolation and separation of extracellular vesicles from protein and lipid particles in human serum. Sci. Rep. 2020, 10, 1039. [Google Scholar] [CrossRef] [PubMed]
- Torres Crigna, A.; Fricke, F.; Nitschke, K.; Worst, T.; Erb, U.; Karremann, M.; Buschmann, D.; Elvers-Hornung, S.; Tucher, C.; Schiller, M.; et al. Inter-Laboratory Comparison of Extracellular Vesicle Isolation Based on Ultracentrifugation. Transfus. Med. Hemother. 2021, 48, 48–59. [Google Scholar] [CrossRef]
- Gardiner, C.; Di Vizio, D.; Sahoo, S.; Théry, C.; Witwer, K.W.; Wauben, M.; Hill, A.F. Techniques used for the isolation and characterization of extracellular vesicles: Results of a worldwide survey. J. Extracell. Vesicles 2016, 5, 32945. [Google Scholar] [CrossRef]
- Sampaio, N.G.; Cheng, L.; Eriksson, E.M. The role of extracellular vesicles in malaria biology and pathogenesis. Malar. J. 2017, 16, 245. [Google Scholar] [CrossRef]
- Linares, R.; Tan, S.; Gounou, C.; Arraud, N.; Brisson, A.R. High-speed centrifugation induces aggregation of extracellular vesicles. J. Extracell. Vesicles 2015, 4, 29509. [Google Scholar] [CrossRef]
- Cvjetkovic, A.; Lötvall, J.; Lässer, C. The influence of rotor type and centrifugation time on the yield and purity of extracellular vesicles. J. Extracell. Vesicles 2014, 3, 23111. [Google Scholar] [CrossRef]
- Nordin, J.Z.; Lee, Y.; Vader, P.; Mäger, I.; Johansson, H.J.; Heusermann, W.; Wiklander, O.P.; Hällbrink, M.; Seow, Y.; Bultema, J.J. Ultrafiltration with size-exclusion liquid chromatography for high yield isolation of extracellular vesicles preserving intact biophysical and functional properties. Nanomedicine 2015, 11, 879–883. [Google Scholar] [CrossRef] [PubMed]
- Ramirez, M.I.; Amorim, M.G.; Gadelha, C.; Milic, I.; Welsh, J.A.; Freitas, V.M.; Nawaz, M.; Akbar, N.; Couch, Y.; Makin, L.; et al. Technical challenges of working with extracellular vesicles. Nanoscale 2018, 10, 881–906. [Google Scholar] [CrossRef]
- Trager, W.; Jensen, J.B. Human Malaria Parasites in Continuous Culture. Science 1976, 193, 673–675. [Google Scholar] [CrossRef]
- Gunalan, K.; Rowley, E.H.; Miller, L.H. A Way Forward for Culturing Plasmodium vivax. Trends Parasitol. 2020, 36, 512–519. [Google Scholar] [CrossRef] [PubMed]
- Mohamad, F.S.; Abu-Bakar, N. Towards Successful Adaptation of Plasmodium Knowlesi To Long-Term In-Vitro Culture In Human Erythrocytes. Int. J. Pharm. Sci. Res. 2019, 10, 2663–2669. [Google Scholar] [CrossRef]
- LeRoux, M.; Lakshmanan, V.; Daily, J.P. Plasmodium falciparum biology: Analysis of in vitro versus in vivo growth conditions. Trends Parasitol. 2009, 25, 474–481. [Google Scholar] [CrossRef]
- Leal, J.K.F.; Adjobo-Hermans, M.J.W.; Bosman, G.J.C.G.M. Red Blood Cell Homeostasis: Mechanisms and Effects of Microvesicle Generation in Health and Disease. Front. Physiol. 2018, 9, 703. [Google Scholar] [CrossRef]
- Nguyen, D.B.; Ly, T.B.; Wesseling, M.C.; Hittinger, M.; Torge, A.; Devitt, A.; Perrie, Y.; Bernhardt, I. Characterization of Microvesicles Released from Human Red Blood Cells. Cell Physiol. Biochem. 2016, 38, 1085–1099. [Google Scholar] [CrossRef]
- Avalos-Padilla, Y.; Georgiev, V.N.; Lantero, E.; Pujals, S.; Verhoef, R.; Borgheti-Cardoso, L.N.; Albertazzi, L.; Dimova, R.; Fernàndez-Busquets, X. The ESCRT-III machinery participates in the production of extracellular vesicles and protein export during Plasmodium falciparum infection. PLoS Pathog. 2021, 17, e1009455. [Google Scholar] [CrossRef] [PubMed]
- Abdi, A.; Yu, L.; Goulding, D.; Rono, M.K.; Bejon, P.; Choudhary, J.; Rayner, J. Proteomic analysis of extracellular vesicles from a Plasmodium falciparum Kenyan clinical isolate defines a core parasite secretome. Wellcome Open Res. 2017, 2, 50. [Google Scholar] [CrossRef]
- Vimonpatranon, S.; Roytrakul, S.; Phaonakrop, N.; Lekmanee, K.; Atipimonpat, A.; Srimark, N.; Sukapirom, K.; Chotivanich, K.; Khowawisetsut, L.; Pattanapanyasat, K. Extracellular Vesicles Derived from Early and Late Stage Plasmodium falciparum-Infected Red Blood Cells Contain Invasion-Associated Proteins. J. Clin. Med. 2022, 11, 4250. [Google Scholar] [CrossRef]
- Abou Karam, P.; Rosenhek-Goldian, I.; Ziv, T.; Ben Ami Pilo, H.; Azuri, I.; Rivkin, A.; Kiper, E.; Rotkopf, R.; Cohen, S.R.; Torrecilhas, A.C.; et al. Malaria parasites release vesicle subpopulations with signatures of different destinations. EMBO Rep. 2022, 23, e54755. [Google Scholar] [CrossRef]
- Opadokun, T.; Agyapong, J.; Rohrbach, P. Protein Profiling of Malaria-Derived Extracellular Vesicles Reveals Distinct Subtypes. Membranes 2022, 12, 397. [Google Scholar] [CrossRef]
- Greenwalt, T.J.; Sostok, C.Z.; Dumaswala, U.J. Studies in Red Blood Cell Preservation 1. Effect of the Other Formed Elements. Vox Sang 1990, 58, 85–89. [Google Scholar] [CrossRef] [PubMed]
- Antonelou, M.H.; Tzounakas, V.L.; Velentzas, A.D.; Stamoulis, K.E.; Kriebardis, A.G.; Papassideri, I.S. Effects of pre-storage leukoreduction on stored red blood cells signaling: A time-course evaluation from shape to proteome. J. Proteom. 2012, 76, 220–238. [Google Scholar] [CrossRef] [PubMed]
- Tzounakas, V.L.; Stamoulis, K.E.; Anastasiadi, A.T.; Papassideri, I.S.; Kriebardis, A.G.; Rinalducci, S.; Antonelou, M.H. Leukoreduction makes a difference: A pair proteomics study of extracellular vesicles in red blood cell units. Transfus. Apher. Sci. 2021, 60, 103166. [Google Scholar] [CrossRef] [PubMed]
- Gamonet, C.; Desmarets, M.; Mourey, G.; Biichle, S.; Aupet, S.; Laheurte, C.; François, A.; Resch, E.; Bigey, F.; Binda, D.; et al. Processing methods and storage duration impact extracellular vesicle counts in red blood cell units. Blood Adv. 2020, 4, 5527–5539. [Google Scholar] [CrossRef]
- Bebesi, T.; Kitka, D.; Gaál, A.; Szigyártó, I.C.; Deák, R.; Beke-Somfai, T.; Koprivanacz, K.; Juhász, T.; Bóta, A.; Varga, Z.; et al. Storage conditions determine the characteristics of red blood cell derived extracellular vesicles. Sci. Rep. 2022, 12, 977. [Google Scholar] [CrossRef] [PubMed]
- Laurén, E.; Tigistu-Sahle, F.; Valkonen, S.; Westberg, M.; Valkeajärvi, A.; Eronen, J.; Siljander, P.; Pettilä, V.; Käkelä, R.; Laitinen, S.; et al. Phospholipid composition of packed red blood cells and that of extracellular vesicles show a high resemblance and stability during storage. Biochim. Biophys. Acta Mol. Cell Biol. Lipids 2018, 1863, 1–8. [Google Scholar] [CrossRef]
- Radfar, A.; Mendez, D.; Moneriz, C.; Linares, M.; Marín-García, P.; Puyet, A.; Diez, A.; Bautista, J.M. Synchronous culture of Plasmodium falciparum at high parasitemia levels. Nat. Protoc. 2009, 4, 1899–1915. [Google Scholar] [CrossRef]
- Singh, K.; Agarwal, A.; Khan, S.I.; Walker, L.A.; Tekwani, B.L. Growth, Drug Susceptibility, and Gene Expression Profiling of Plasmodium falciparum Cultured in Medium Supplemented with Human Serum or lipid-rich Bovien Serum Albumin [corrected]. J. Biomol. Screen. 2007, 12, 1109–1114. [Google Scholar] [CrossRef]
- Tilly, A.-K.; Thiede, J.; Metwally, N.; Lubiana, P.; Bachmann, A.; Roeder, T.; Rockliffe, N.; Lorenzen, S.; Tannich, E.; Gutsmann, T. Type of in vitro cultivation influences cytoadhesion, knob structure, protein localization and transcriptome profile of Plasmodium falciparum. Sci. Rep. 2015, 5, 16766. [Google Scholar] [CrossRef]
- Coumans, F.A.W.; Brisson, A.R.; Buzas, E.I.; Dignat-George, F.; Drees, E.E.E.; El-Andaloussi, S.; Emanueli, C.; Gasecka, A.; Hendrix, A.; Hill, A.F. Methodological Guidelines to Study Extracellular Vesicles. Circ. Res. 2017, 120, 1632–1648. [Google Scholar] [CrossRef]
- Théry, C.; Amigorena, S.; Raposo, G.; Clayton, A. Isolation and Characterization of Exosomes from Cell Culture Supernatants and Biological Fluids. Curr. Protoc. Cell Biol. 2006, 30, 3.22.1–3.22.29. [Google Scholar] [CrossRef] [PubMed]
- Livshits, M.A.; Khomyakova, E.; Evtushenko, E.G.; Lazarev, V.N.; Kulemin, N.A.; Semina, S.E.; Generozov, E.V.; Govorun, V.M. Isolation of exosomes by differential centrifugation: Theoretical analysis of a commonly used protocol. Sci. Rep. 2015, 5, 17319. [Google Scholar] [CrossRef] [PubMed]
- Wang, Z.S.; Xi, J.; Hao, X.; Deng, W.; Liu, J.; Wei, C.; Gao, Y.; Zhang, L.; Wang, H. Red blood cells release microparticles containing human argonaute 2 and miRNAs to target genes of Plasmodium falciparum. Emerg. Microbes Infect. 2017, 6, e75. [Google Scholar] [CrossRef]
- Build Your Centrifuge Configuration. Available online: https://www.mybeckman.ca/centrifuges/rotors/calculator (accessed on 15 December 2022).
- Ribacke, U. Growing Plasmodium falciparum cultures at high parasitemia. In Methods in Malaria Research, 5th ed.; Moll, K., Ljungstrom, I., Perlmann, H., Scherf, A., Wahlgren, M., Eds.; MR4/ATCC: Manassas, VA, USA, 2008; p. 8. [Google Scholar]
- Miao, J.; Cui, L. Rapid isolation of single malaria parasite–infected red blood cells by cell sorting. Nat. Protoc. 2011, 6, 140–146. [Google Scholar] [CrossRef]
- Cooper, R.A. SDS-PAGE and Western Blotting of Plasmodium falciparum Proteins. Methods Mol. Med. 2002, 72, 177–188. [Google Scholar] [CrossRef]
- Steck, T.L.; Kant, J.A. Preparation of impermeable ghosts and inside-out vesicles from human erythrocyte membranes. Methods Enzymol. 1974, 31, 172–180. [Google Scholar] [CrossRef]
- Challou, N.; Goormaghtigh, E.; Cabiaux, V.; Conrath, K.; Ruysschaert, J.M. Sequence and Structure of the Membrane-Associated Peptide of Glycophorin A. Biochemistry 1994, 33, 6902–6910. [Google Scholar] [CrossRef]
- Auffray, I.; Marfatia, S.; de Jong, K.; Lee, G.; Huang, C.H.; Paszty, C.; Tanner, M.J.; Mohandas, N.; Chasis, J.A. Glycophorin A dimerization and band 3 interaction during erythroid membrane biogenesis: In vivo studies in human glycophorin A transgenic mice. Blood 2001, 97, 2872–2878. [Google Scholar] [CrossRef] [PubMed]
- Mathivanan, S.; Fahner, C.J.; Reid, G.E.; Simpson, R.J. ExoCarta 2012: Database of exosomal proteins, RNA and lipids. Nucleic Acids Res 2012, 40, D1241–D1244. [Google Scholar] [CrossRef]
- Kalra, H.; Simpson, R.J.; Ji, H.; Aikawa, E.; Altevogt, P.; Askenase, P.; Bond, V.C.; Borràs, F.E.; Breakefield, X.; Budnik, V.; et al. Vesiclepedia: A compendium for extracellular vesicles with continuous community annotation. PLoS Biol. 2012, 10, e1001450. [Google Scholar] [CrossRef]
- Verma, R.; Tiwari, A.; Kaur, S.; Varshney, G.C.; Raghava, G.P. Identification of Proteins Secreted by Malaria Parasite into Erythrocyte using SVM and PSSM profiles. BMC Bioinform. 2008, 9, 201. [Google Scholar] [CrossRef] [PubMed]
- Sim, B.K.L.; Narum, D.L.; Chattopadhyay, R.; Ahumada, A.; Haynes, J.D.; Fuhrmann, S.R.; Wingard, J.N.; Liang, H.; Moch, J.K.; Hoffman, S.L. Delineation of stage specific expression of Plasmodium falciparum EBA-175 by biologically functional region II monoclonal antibodies. PLoS ONE 2011, 6, e18393. [Google Scholar] [CrossRef] [PubMed][Green Version]
- Rudlaff, R.M.; Kraemer, S.; Marshman, J.; Dvorin, J.D. Three-dimensional ultrastructure of Plasmodium falciparum throughout cytokinesis. PLoS Pathog. 2020, 16, e1008587. [Google Scholar] [CrossRef] [PubMed]







Disclaimer/Publisher’s Note: The statements, opinions and data contained in all publications are solely those of the individual author(s) and contributor(s) and not of MDPI and/or the editor(s). MDPI and/or the editor(s) disclaim responsibility for any injury to people or property resulting from any ideas, methods, instructions or products referred to in the content. |
© 2024 by the authors. Licensee MDPI, Basel, Switzerland. This article is an open access article distributed under the terms and conditions of the Creative Commons Attribution (CC BY) license (https://creativecommons.org/licenses/by/4.0/).
Share and Cite
Opadokun, T.; Rohrbach, P. A Reproducible Protocol for the Isolation of Malaria-Derived Extracellular Vesicles by Differential Centrifugation. Methods Protoc. 2024, 7, 92. https://doi.org/10.3390/mps7060092
Opadokun T, Rohrbach P. A Reproducible Protocol for the Isolation of Malaria-Derived Extracellular Vesicles by Differential Centrifugation. Methods and Protocols. 2024; 7(6):92. https://doi.org/10.3390/mps7060092
Chicago/Turabian StyleOpadokun, Tosin, and Petra Rohrbach. 2024. "A Reproducible Protocol for the Isolation of Malaria-Derived Extracellular Vesicles by Differential Centrifugation" Methods and Protocols 7, no. 6: 92. https://doi.org/10.3390/mps7060092
APA StyleOpadokun, T., & Rohrbach, P. (2024). A Reproducible Protocol for the Isolation of Malaria-Derived Extracellular Vesicles by Differential Centrifugation. Methods and Protocols, 7(6), 92. https://doi.org/10.3390/mps7060092

