Does Early Diagnosis and Treatment Alter the Clinical Course of Wolman Disease? Divergent Trajectories in Two Siblings and a Consideration for Newborn Screening
Abstract
1. Introduction
Royal Manchester Children’s Hospital (RMCH)
2. Materials and Methods
2.1. LAL Enzyme Activity
2.2. Molecular Genetic Diagnosis
2.3. Plasma Oxysterols Levels
3. Results
3.1. Siblings
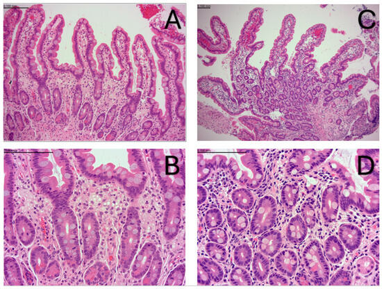
3.2. Sibling 1
3.3. Sibling 2
4. Discussion
5. Conclusions
Author Contributions
Funding
Institutional Review Board Statement
Informed Consent Statement
Data Availability Statement
Conflicts of Interest
References
- Kohli, R.; Ratziu, V.; Fiel, M.I.; Waldmann, E.; Wilson, D.P.; Balwani, M. Initial assessment and ongoing monitoring of lysosomal acid lipase deficiency in children and adults: Consensus recommendations from an international collaborative working group. Mol. Genet. Metab. 2020, 129, 59–66. [Google Scholar] [CrossRef] [PubMed]
- Pericleous, M.; Kelly, C.; Wang, T.; Livingstone, C.; Ala, A. Wolman’s disease and cholesteryl ester storage disorder: The phenotypic spectrum of lysosomal acid lipase deficiency. Lancet Gastroenterol. Hepatol. 2017, 2, 670–679. [Google Scholar] [CrossRef] [PubMed]
- Jones, S.A.; Valayannopoulos, V.; Schneider, E.; Eckert, S.; Banikazemi, M.; Bialer, M.; Cederbaum, S.; Chan, A.; Dhawan, A.; Di Rocco, M.; et al. Rapid progression and mortality of lysosomal acid lipase deficiency presenting in infants. Genet. Med. 2016, 18, 452–458. [Google Scholar] [CrossRef] [PubMed]
- Carter, A.; Brackley, S.M.; Gao, J.; Mann, J.P. The global prevalence and genetic spectrum of lysosomal acid lipase deficiency: A rare condition that mimics NAFLD. J. Hepatol. 2019, 70, 142–150. [Google Scholar] [CrossRef] [PubMed]
- Alabbas, F.; Elyamany, G.; Alanzi, T.; Bin Ali, T.; Albatniji, F.; Alfaraidi, H. Wolman’s disease presenting with secondary hemophagocytic lymphohistiocytosis: A case report from Saudi Arabia and literature review. BMC Pediatr. 2021, 21, 72. [Google Scholar] [CrossRef]
- Tinsa, F.; Ben Romdhane, M.; Boudabous, H.; Hadj, I.B.; Brini, I.; Tebib, N.; Louati, H.; Bekri, S.; Boussetta, K. A novel mutation c.153 C>A in a Tunisian girl with wolman disease and unusual presentation: Hemophagocytic lymphohistiocytosis. J. Pediatr. Hematol. 2019, 41, e193–e196. [Google Scholar] [CrossRef] [PubMed]
- Taurisiano, R.; Maiorana, A.; De Benedetti, F.; Dionisi-Vici, C.; Boldrini, R.; Deodato, F. Wolman disease associated with hemophagocytic lymphohistiocytosis: Attempts for an explanation. Eur. J. Pediatr. 2014, 173, 1391–1394. [Google Scholar] [CrossRef]
- Jones, S.A.; Rojas-Caro, S.; Quinn, A.G.; Friedman, M.; Marulkar, S.; Ezgu, F.; Zaki, O.; Gargus, J.J.; Hughes, J.; Plantaz, D.; et al. Survival in infants treated with sebelipase Alfa for lysosomal acid lipase deficiency: An open-label, multicenter, dose-escalation study. Orphanet J. Rare Dis. 2017, 12, 25. [Google Scholar] [CrossRef]
- Vijay, S.; Brassier, A.; Ghosh, A.; Fecarotta, S.; Abel, F.; Marulkar, S.; Jones, S.A. Long-term survival with sebelipase alfa enzyme replacement therapy in infants with rapidly progressive lysosomal acid lipase deficiency: Final results from 2 open-label studies. Orphanet J. Rare Dis. 2021, 16, 13. [Google Scholar] [CrossRef]
- Demaret, T.; Lacaille, F.; Wicker, C.; Arnoux, J.-B.; Bouchereau, J.; Belloche, C.; Gitiaux, C.; Grevent, D.; Broissand, C.; Adjaoud, D.; et al. Sebelipase alfa enzyme replacement therapy in Wolman disease: A nationwide cohort with up to ten years of follow-up. Orphanet J. Rare Dis. 2021, 16, 507. [Google Scholar] [CrossRef]
- Dairaku, T.; Iwamoto, T.; Nishimura, M.; Endo, M.; Ohashi, T.; Eto, Y. A practical fluorometric assay method to measure lysosomal acid lipase activity in dried blood spots for the screening of cholesteryl ester storage disease and Wolman disease. Mol. Genet. Metab. 2014, 111, 193–196. [Google Scholar] [CrossRef] [PubMed]
- Hong, X.; Chen, Y.; Barr, M.; Gelb, M.H. Stratification of patients with lysosomal acid lipase deficiency by enzyme activity in dried blood spots. Mol. Genet. Metab. Rep. 2022, 33, 100935. [Google Scholar] [CrossRef]
- Hong, X.; Sadilek, M.; Gelb, M.H. A highly multiplexed biochemical assay for analytes in dried blood spots: Application to newborn screening and diagnosis of lysosomal storage disorders and other inborn errors of metabolism. Genet. Med. 2020, 22, 1262–1268. [Google Scholar] [CrossRef]
- Jones, S.A.; Cheillan, D.; Chakrapani, A.; Church, H.J.; Heales, S.; Wu, T.H.Y.; Morton, G.; Roberts, P.; Sluys, E.F.; Burlina, A. Application of a Novel Algorithm for Expanding Newborn Screening for Inherited Metabolic Disorders across Europe. Int. J. Neonatal Screen. 2022, 8, 20. [Google Scholar] [CrossRef] [PubMed]
- Al-Sannaa, N.A.; Bay, L.; Barbouth, D.S.; Benhayoun, Y.; Goizet, C.; Guelbert, N.; Jones, S.A.; Kyosen, S.O.; Martins, A.M.; Phornphutkul, C.; et al. Early treatment with laronidase improves clinical outcomes in patients with attenuated MPS I: A retrospective case series analysis of nine sibships. Orphanet J. Rare Dis. 2015, 10, 131. [Google Scholar] [CrossRef] [PubMed]
- McGill, J.; Inwood, A.; Coman, D.; Lipke, M.; De Lore, D.; Swiedler, S.; Hopwood, J. Enzyme replacement therapy for mucopolysaccharidosis VI from 8 weeks of age–a sibling control study. Clin. Genet. 2010, 77, 492–498. [Google Scholar] [CrossRef] [PubMed]
- Muenzer, J.; Burton, B.K.; Harmatz, P.; Gutiérrez-Solana, L.G.; Ruiz-Garcia, M.; Jones, S.A.; Guffon, N.; Inbar-Feigenberg, M.; Bratkovic, D.; Rust, S.; et al. Evaluation of early treatment with intravenous idursulfase and intrathecal idursulfase-IT on cognitive function in siblings with neuronopathic mucopolysaccharidosis II. J. Inherit. Metab. Dis. 2024, 9. [Google Scholar] [CrossRef] [PubMed]
- Ghosh, A.; Aleck, K.; Arvonen, M.; Broomfield, A.; Fecarotta, S.; Gargus, J.J.; Gokcay, G.; Heras, J.d.L.; Holmes, V.; Jones, R.; et al. Experience of the nutritional management of infantile onset lysosomal acid lipase deficiency (LALD). Mol. Genet. Metab. 2018, 123, S51. [Google Scholar] [CrossRef]
- Lum, S.H.; Minkov, M.; Jones, S.A.; Hazelaar, S.; Sirait, T.; Potter, J.E.; Stepensky, P.; Garban, F.; Pichler, H.; Stein, J.; et al. Outcome of haematopoietic cell transplantation in children with lysosomal acid lipase deficiency: A study on behalf of the EBMT Inborn Errors Working Party. Bone Marrow Transplant. 2023, 58, 594–596. [Google Scholar] [CrossRef]
- Potter, J.E.; Petts, G.; Ghosh, A.; White, F.J.; Kinsella, J.L.; Hughes, S.; Roberts, J.; Hodgkinson, A.; Brammeier, K.; Church, H.; et al. Enzyme replacement therapy and hematopoietic stem cell transplant: A new paradigm of treatment in Wolman disease. Orphanet J. Rare Dis. 2021, 16, 235. [Google Scholar] [CrossRef]
- Masi, S.; Chennamaneni, N.; Turecek, F.; Scott, C.R.; Gelb, M.H. Specific substrate for the assay of lysosomal acid lipase. Clin. Chem. 2018, 64, 690–696. [Google Scholar] [CrossRef]
- Civallero, G.; De Mari, J.; Bittar, C.; Burin, M.; Giugliani, R. Extended use of a selective inhibitor of acid lipase for the diagnosis of Wolman disease and cholesteryl ester storage disease. Gene 2014, 539, 154–156. [Google Scholar] [CrossRef] [PubMed]
- Cooper, J.A.; Church, H.J.; Wu, H.Y. Cholestane-3β, 5α, 6β-triol: Further insights into the performance of this oxysterol in diagnosis of Niemann-Pick disease type C. Mol. Genet. Metab. 2020, 130, 77–86. [Google Scholar] [CrossRef]
- Boenzi, S.; Deodato, F.; Taurisano, R.; Goffredo, B.M.; Rizzo, C.; Dionisi-Vici, C. Evaluation of plasma cholestane-3β,5α,6β-triol and 7-ketocholesterol in inherited disorders related to cholesterol metabolism. J. Lipid Res. 2016, 57, 361–367. [Google Scholar] [CrossRef] [PubMed]
- Hassall, S.; Smith, D.M.; Rust, S.; Jones, S.A.; Wittkowski, A. “Why them, why me, why us?” The experiences of parents of children with lysosomal acid lipase deficiency: An interpretative phenomenological analysis study. Orphanet J. Rare Dis. 2022, 17, 193. [Google Scholar] [CrossRef] [PubMed]
- Wilson, J.M.G.; Jungner, G.; World Health Organization. Principles and Practice of Screening for Disease; World Health Organization: Geneva, Switzerland, 1968. [Google Scholar]
- Kelly, N.R.; Orsini, J.J.; Goldenberg, A.J.; Mulrooney, N.S.; Boychuk, N.A.; Clarke, M.J.; Paleologos, K.; Martin, M.M.; McNeight, H.; Caggana, M.; et al. ScreenPlus: A comprehensive, multi-disorder newborn screening program. Mol. Genet. Metab. Rep. 2023, 38, 101037. [Google Scholar] [CrossRef]
- Bradić, I.; Kuentzel, K.B.; Honeder, S.; Grabner, G.F.; Vujić, N.; Zimmermann, R.; Birner-Gruenberger, R.; Kratky, D. Off-target effects of the lysosomal acid lipase inhibitors Lalistat-1 and Lalistat-2 on neutral lipid hydrolases. Mol. Metab. 2022, 61, 101510. [Google Scholar] [CrossRef]
- Hamilton, J.; Jones, I.; Srivastava, R.; Galloway, P. A new method for the measurement of lysosomal acid lipase in dried blood spots using the inhibitor Lalistat 2. Clin. Chim. Acta 2012, 413, 1207–1210. [Google Scholar] [CrossRef]
- Hong, X.; Daiker, J.; Sadilek, M.; Ruiz-Schultz, N.; Kumar, A.B.; Norcross, S.; Dansithong, W.; Suhr, T.; Escolar, M.L.; Scott, C.R.; et al. Toward newborn screening of metachromatic leukodystrophy: Results from analysis of over 27,000 newborn dried blood spots. Genet Med. 2021, 23, 555–561. [Google Scholar] [CrossRef]
- Laugwitz, L.; Schoenmakers, D.H.; Adang, L.A.; Beck-Woedl, S.; Bergner, C.; Bernard, G.; Bley, A.; Boyer, A.; Calbi, V.; Dekker, H.; et al. Newborn screening in metachromatic leukodystrophy-European consensus-based recommendations on clinical management. Eur. J. Paediatr. Neurol. 2024, 49, 141–154. [Google Scholar] [CrossRef]
- Wu, T.H.; Brown, H.A.; Church, H.J.; Kershaw, C.J.; Hutton, R.; Egerton, C.; Cooper, J.; Tylee, K.; Cohen, R.N.; Gokhale, D.; et al. Improving newborn screening test performance for metachromatic leukodystrophy: Recommendation from a pre-pilot study that identified a late-infantile case for treatment. Mol. Genet. Metab. 2024, 142, 108349. [Google Scholar] [CrossRef] [PubMed]
- de Castro, M.J.; A Jones, S.; Heras, J.d.L.; Sánchez-Pintos, P.; Couce, M.L.; Colón, C.; Crujeiras, P.; Unceta, M.; Church, H.; Brammeier, K.; et al. Twice weekly dosing with Sebelipase alfa (Kanuma®) rescues severely ill infants with Wolman disease. Orphanet J. Rare Dis. 2024, 19, 244. [Google Scholar] [CrossRef] [PubMed]


Disclaimer/Publisher’s Note: The statements, opinions and data contained in all publications are solely those of the individual author(s) and contributor(s) and not of MDPI and/or the editor(s). MDPI and/or the editor(s) disclaim responsibility for any injury to people or property resulting from any ideas, methods, instructions or products referred to in the content. |
© 2025 by the authors. Published by MDPI on behalf of the International Society for Neonatal Screening. Licensee MDPI, Basel, Switzerland. This article is an open access article distributed under the terms and conditions of the Creative Commons Attribution (CC BY) license (https://creativecommons.org/licenses/by/4.0/).
Share and Cite
de Castro Lopez, M.J.; White, F.J.; Holmes, V.; Roberts, J.; Wu, T.H.Y.; Cooper, J.A.; Church, H.J.; Petts, G.; Wynn, R.F.; Jones, S.A.; et al. Does Early Diagnosis and Treatment Alter the Clinical Course of Wolman Disease? Divergent Trajectories in Two Siblings and a Consideration for Newborn Screening. Int. J. Neonatal Screen. 2025, 11, 17. https://doi.org/10.3390/ijns11010017
de Castro Lopez MJ, White FJ, Holmes V, Roberts J, Wu THY, Cooper JA, Church HJ, Petts G, Wynn RF, Jones SA, et al. Does Early Diagnosis and Treatment Alter the Clinical Course of Wolman Disease? Divergent Trajectories in Two Siblings and a Consideration for Newborn Screening. International Journal of Neonatal Screening. 2025; 11(1):17. https://doi.org/10.3390/ijns11010017
Chicago/Turabian Stylede Castro Lopez, Maria Jose, Fiona J. White, Victoria Holmes, Jane Roberts, Teresa H. Y. Wu, James A. Cooper, Heather J. Church, Gemma Petts, Robert F. Wynn, Simon A. Jones, and et al. 2025. "Does Early Diagnosis and Treatment Alter the Clinical Course of Wolman Disease? Divergent Trajectories in Two Siblings and a Consideration for Newborn Screening" International Journal of Neonatal Screening 11, no. 1: 17. https://doi.org/10.3390/ijns11010017
APA Stylede Castro Lopez, M. J., White, F. J., Holmes, V., Roberts, J., Wu, T. H. Y., Cooper, J. A., Church, H. J., Petts, G., Wynn, R. F., Jones, S. A., & Ghosh, A. (2025). Does Early Diagnosis and Treatment Alter the Clinical Course of Wolman Disease? Divergent Trajectories in Two Siblings and a Consideration for Newborn Screening. International Journal of Neonatal Screening, 11(1), 17. https://doi.org/10.3390/ijns11010017

