Next Article in Journal
Periaortic Venous Necklace and Renal Right Double Arteries; Case Report
Previous Article in Journal
Desire for Control Moderates the Relationship Between Perceived Control and Depressive Symptomology
 
 
Journal of Mind and Medical Sciences is published by MDPI from Volume 12 Issue 1 (2025). Previous articles were published by another publisher in Open Access under a CC-BY (or CC-BY-NC-ND) licence, and they are hosted by MDPI on mdpi.com as a courtesy and upon agreement with Valparaiso University (ValpoScholar).
Font Type:
Arial Georgia Verdana
Font Size:
Aa Aa Aa
Line Spacing:
Column Width:
Background:
Case Report

Neuroendocrine Carcinoma of the Breast: A Case Report

by
Iulia Gîvan
1,*,#,
George Ciulei
2,
Angela Cozma
2,#,
Mădălina Gabriela Indre
2,3,
Vlad Țâru
3,
Anca Pop
2,
Adela Sitar Tăut
2,
Simina Țărmure
2,
Vasile Negrean
2 and
Olga Hilda Orășan
2
1
Niculaie Stăncioiu Heart Institute Cluj Napoca, Motilor Street 143-145, 400370 Cluj-Napoca, Romania
2
4th Medical Department, Iuliu Hatieganu University of Medicine and Pharmacy Cluj-Napoca, Cluj-Napoca, Romania
3
Prof. Dr. O. Fodor Regional Institute of Gastroenterology and Hepatology, Cluj-Napoca, Romania
*
Author to whom correspondence should be addressed.
#
Iulia Gîvan and Angela Cozma equally contributed to this paper.
J. Mind Med. Sci. 2021, 8(2), 306-311; https://doi.org/10.22543/7674.82.P306311
Submission received: 8 March 2021 / Revised: 9 March 2021 / Accepted: 19 July 2021 / Published: 10 October 2021

Abstract

Neuroendocrine breast carcinomas represent a rare subtype of breast cancer. Their definition, prevalence and prognosis remain controversial in the literature. Regarding the presentation, there are no differences from other breast carcinomas and clinical syndromes related to hormone production are extremely rare. Refinement of the classification of neuroendocrine neoplasms of the breast is needed in order to improve the reproducibility of their diagnostic criteria and to define their clinical significance. This article presents the case of a 44-year-old female patient diagnosed with invasive breast carcinoma with neuroendocrine features, according to the 2012 World Health Organization (WHO) definition, with focus on presentation, clinical manifestations, diagnostic approach and differential diagnosis.

Introduction

Carcinomas with neuroendocrine differentiation represent <1% of breast carcinomas. However, since neuroendocrine markers are not routinely used on breast tumors with solid, alveolar and nested patterns of growth, the true incidence is difficult to assess [1].
Since primary mammary carcinoma with neuroendocrine features is rare, metastatic well- differentiated neuroendocrine tumor (carcinoid) and poorly differentiated neuroendocrine carcinoma/small cell carcinoma should be excluded before making a final diagnosis [1]. Metastases of the breast account for less than 1% of breast tumors and are most commonly hematologic or metastases from the contralateral breast. Metastatic neuroendocrine tumors account for 1-2% of breast metastases [2].
There are two main theories on the histogenesis of primary NETs of the breast. The first, a more controversial theory, affirms that these tumors evolve from the neoplastic transformation of native neuroendocrine cells. The second theory, which is more widely accepted, states that neuroendocrine differentiation arises from divergent differentiation of neoplastic stem cells into epithelial and endocrine cell lines during early carcinogenesis [2].
This paper presents the case of a young woman, diagnosed with invasive breast carcinoma with neuroendocrine features, who had no major risk factors and whose presentations were due to the presence of hepatic metastases.

Case Presentation

Patient H.F. aged 44 years, female, presented with the following complaints: pain in the right hypochondriac region, asthenia, unintentional weight loss (approximately 13 kilos in four months), loss of appetite, nausea and vomiting (2-3 episodes/day). She was referred to our hospital by a regional hospital for further investigation and biopsy of some hepatic lesions seen on an abdominal and pelvic CT scans. At the CT scan, multiple hypodense lesions in both hepatic lobes were described. In contrast-enhanced CT, the lesions appear as rapidly enhancing lesions visible on the arterial phase. This enhancement pattern is characteristic to hypervascular metastases such as those from neuroendocrine tumors, renal cell carcinoma, breast carcinoma, melanoma and thyroid carcinoma. In the right lobe, the lesion had a maximum diameter of 176/111 mm AP/LL, while, in the left lobe, the maximum diameter was up to 82 mm. There was also a small amount of ascites.
She had a history of tobacco use, but she had quit smoking eleven years ago. The patient was also suffering from arterial hypertension, for which she was under treatment with angiotensin converting enzyme inhibitors and diuretics. There was no relevant family history.
On the clinical examination, the patient was in a good general state, apyretic, with a blood pressure of 130/70 mmHg, a pulse of 80 bpm, and a SpO2 of 98%. Lung and cardiac auscultation revealed no pathological aspects and the abdomen was insensitive to superficial and deep palpation.
Laboratory investigation revealed: cholestasis with an elevated alkaline phosphatase (ALP) of 472 U/l (98-279), and a gamma-glutamyl transferase (GGT) of 305 U/l (7- 32), thrombocytosis PLT 486x10^3/ul (150-350), elevated erythrocyte sedimentation rate (ESR) 35 mm/1h (1-10). The transaminases were within normal limits, the surface antigen of the hepatitis B virus (HBsAg) was negative and the antibodies to the hepatitis C virus (anti-HCV antibodies) were also negative.
The presence of hepatic lesions was confirmed by abdominal ultrasonography and a needle biopsy of the liver was performed. Based on the clinical presentation, ultrasound and CT scan images, the hepatic lesions were suspected to be metastases, most probably, of a neuroendocrine tumor.
In anticipation of the histological results, investigations were conducted to search for a possible primary tumor. The upper endoscopy revealed acute erythematous pangastritis, while the lower endoscopy revealed grade II internal hemorrhoids, but no tumors. A thoracic CT scan was also performed, describing bone sclerotic lesions on the vertebral bodies (T6, T10, T11), sternum, scapula bilateral and the 6th left costal arch, and a mixed predominantly osteolytic bone lesion on the 7th right costal arch. Besides these bone lesions, a nodular densification in the right breast was also observed.
A mammography (Figure 1) was performed, showing an irregular opacity with spiculiform contour in the supero-external dial of the right breast. The maximum diameter of the lesion was 18/16 mm, and multiple microcalcifications (over 30) were observed. The next step was the ultrasound guided biopsy of the breast. At this moment, the possibility of having two different tumors at the same time was also included in the differential diagnosis.
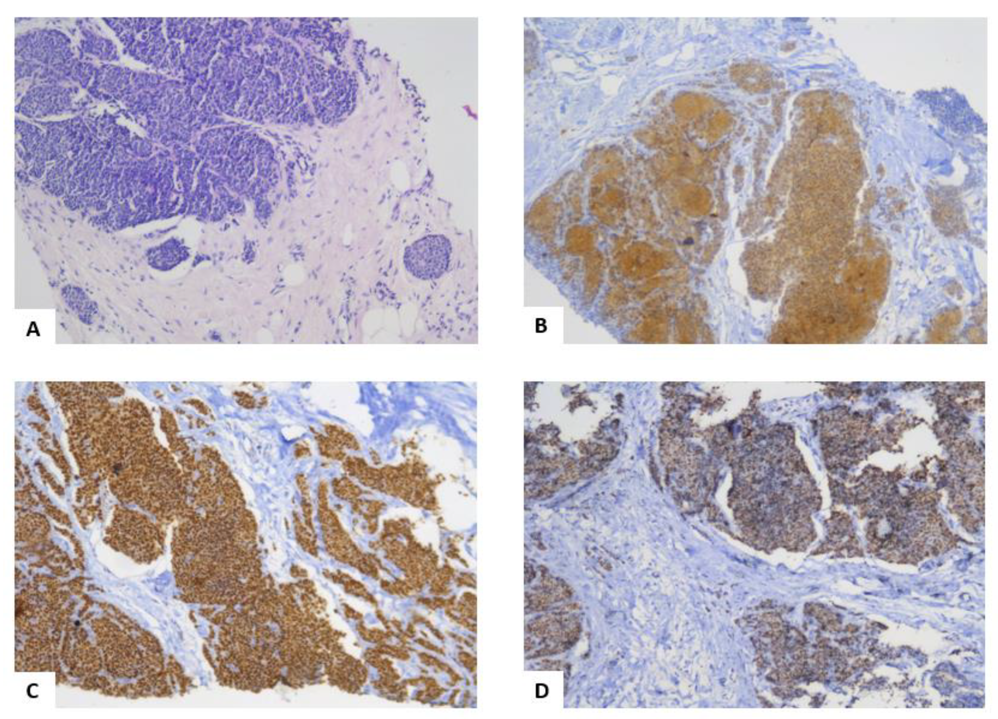
The histopathological exam of the breast biopsy (Figure 2), classified the breast lesion, according to the WHO definition in 2012, as an invasive breast carcinoma with neuroendocrine features. The coloration for neuron specific enolase (NSE) and synaptophysin were positive, while the cells were negative for chromogranin and CD56. Moreover, estrogen receptors (ER) were present in 100% of the tumor cells, while progesterone receptors (PR) were 80% positive. The ki67 index of proliferation was 5%. The tumor was moderately differentiated, grade II Nottingham with a total score of six (tubule formation=3, nuclear pleomorphism=2, mitotic activity=1).
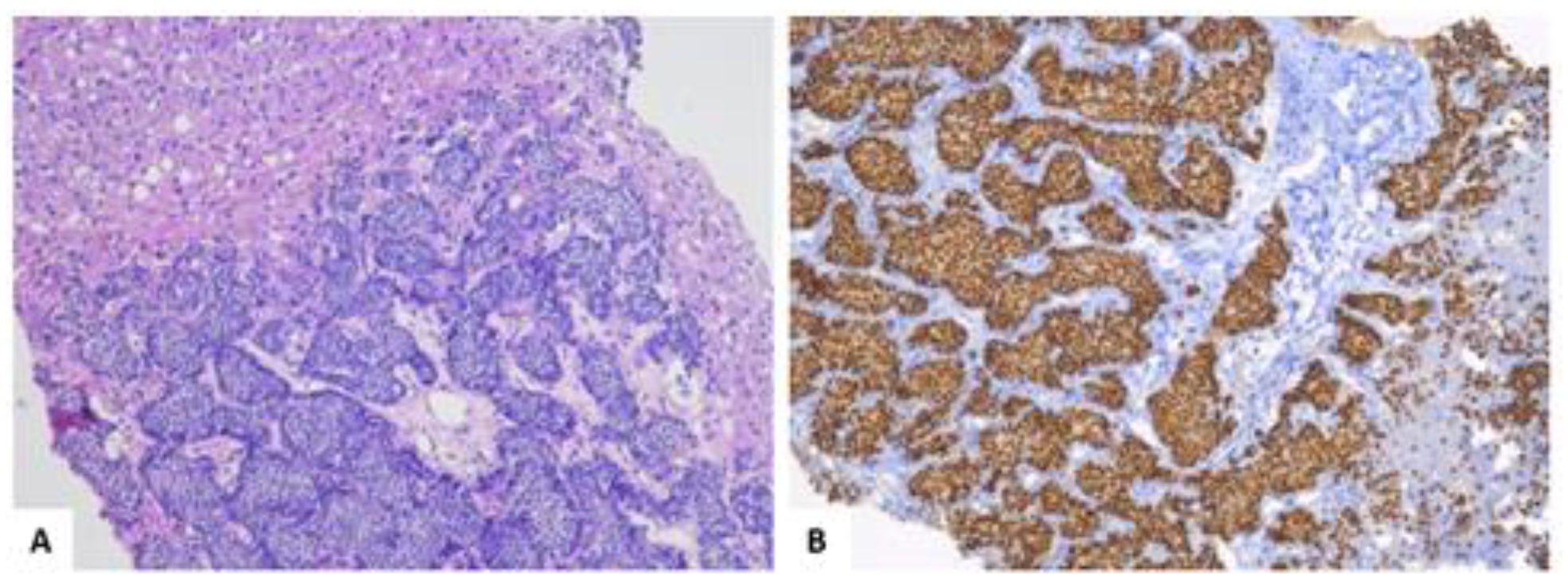
The liver biopsy (Figure 3) confirmed the diagnosis by describing the aspect of metastases originating most probably from a mammary carcinoma. This was supported by the presence of ER in the liver biopsy. Also, by comparing the breast biopsy (Figure 2A) and the liver biopsy (Figure 3A) in HE staining, it was observed that the tumor cells were similar.
The final diagnosis was: Invasive breast carcinoma with neuroendocrine features with liver and bone metastases. Grade II hypertension with moderate to high risk. Acute erythematous pangastritis. Grade II internal hemorrhoids. The patient was referred to the oncologist.

Discussions

In this case, the patient was diagnosed with invasive breast carcinoma with neuroendocrine features, according to the WHO classification in 2012, based on the immunohistochemical staining for NSE and the aspect of tumor cells. The various definitions of this type of cancer are worth being discussed, as there are few articles on this topic, and the definitions have changed several times in the last years, and this may affect the way these studies are interpreted [3,4].
The lack of uniformity in the definition and classification of neuroendocrine carcinomas hampers an exact estimate of the prevalence of these tumors, ranging from 0.1% to 15% depending on the series. This may also explain the controversial data on the prognostic implication of neuroendocrine differentiation in breast cancer [3]. In 2003, neuroendocrine carcinoma (NEC) of the breast was endorsed as a distinct entity in the third edition of the WHO Classification of Tumors series. Neuroendocrine tumors (NETs) of the breast were defined as tumors of epithelial origin, with morphology similar to that of gastrointestinal and pulmonary NETs, expressing neuroendocrine immunohistochemical markers (synaptophysin, chromogranin A) in at least 50% of the total invasive tumor cell population [4].
In 2012, in the fourth-edition volume WHO classification of tumors of the breast, NECs were included under the category “carcinomas with neuroendocrine features”, and they were defined as tumors exhibiting morphological features similar to those of the NETs of the gastrointestinal tract and of the lung, expressing neuroendocrine markers to any extent [4]. The revised 2012 WHO classification includes three categories of NETs of the breast: (1) NETs well differentiated, which resembles carcinoid tumors and includes low and intermediate grade tumors; (2) NEC poorly differentiated (small cell carcinoma), which has the same features as a primary small cell carcinoma of the lung; (3) invasive breast carcinoma with neuroendocrine features, including no special type (NST), as well as special types such as solid papillary carcinoma and the hypercellular subtype of mucinous carcinoma [4,5,6,7].
Although the majority of the articles in the literature refer to the definition from 2012, it is important to mention that, in 2019, the International Agency for Research on Cancer (IARC) and the WHO adopted the term “neuroendocrine neoplasm (NEN)” as a term encompassing all tumor classes with predominant neuroendocrine differentiation, including both well- differentiated and poorly differentiated forms. The morphology and the expression of the markers of neuroendocrine differentiation were recognized as the key features defining these neoplasms at any specific anatomical site. A uniform classification framework for NENs at all anatomical locations was proposed in order to reduce the inconsistencies and contradictions among the various systems currently in use [4,5,6,7].
Regarding the clinical presentation, neuroendocrine tumors of the breast occur predominately in white postmenopausal women in the sixth to seventh decade of life [2,5]. There are no notable or specific differences in presentation from other high-grade breast carcinomas and the clinical syndromes related to hormone production are extremely rare. Serological tests may detect circulating neuroendocrine markers such as chromogranin A [1,2]. "Carcinoid syndrome" is the term applied to a group of symptoms mediated by various humoral factors elaborated by some well-differentiated NETs which synthesize, store, and release a variety of polypeptides, biogenic amines, and prostaglandins. Carcinoid syndrome is most common in the setting of disseminated disease, particularly liver metastases, but it can occur in apparently locoregional disease [8]. The liver inactivates bioactive products secreted into the portal circulation. This may explain why patients with gastrointestinal NETs most often develop carcinoid syndrome if they suffer from hepatic metastases, resulting in the secretion of tumor products into the systemic circulation [9]. In the large majority of cases, carcinoid syndrome is associated with metastatic tumors originating in the midgut (jejunum, ileum, and cecum); however, the expression is variable in individual patients. Less often, carcinoid syndrome is caused by a NET arising in the lung or in the distal colon or rectum and extremely rarely it is caused by NET arising in other sites such as the breasts. In Table 1, the most important clinical manifestations of carcinoid syndrome are highlighted [10].
In this case, the presentation was also not specific and was due mainly to pain in the right hypochondriac region, caused by the infiltration of the liver. What is notable in our case, is that the age of onset was 44 years and the menopause was not installed.
The main risk factors for NEC of the breast are currently believed to be the same as for non-neuroendocrine breast cancer, such as age and family history. Moreover, the risk of the disease may also be increased by early menarche, late menopause as well as significant exposure to estrogen, typical of patients undergoing hormone replacement therapy or taking oral contraceptives [11]. Some evidence suggests a link between high prolactin level and breast cancer development; however, it is unclear whether breast NEC may be associated with hyperprolactinemia. Zang et al. have recently published two cases of breast NEC associated with hyperprolactinemia, one patient suffering from mental disorder under antipsychotic drugs, and another one diagnosed in late pregnancy [12].
As well as the clinical presentation, the radiologic characteristics are also unspecific and similar to the other malignant breast lesions. In a mini review article, Gallo et al. summarized the imaging characteristics of breast NEC, reported in case reports or small series: the most common mammographic appearance is a hyperdense, irregularly shaped solitary mass; margins are more commonly reported as indistinct, micro-lobulated or speculated. In most cases, calcifications are absent [12,13,14]. Taking into account the most common mammographic appearance described by Gallo et al., it is important to remember that multiple microcalcifications were observed in this case.
There are no data from prospective clinical trials on the optimal management of NETs of the breast, and these tumors are usually treated with the same strategy used for other types of invasive breast carcinoma. Therefore, outside of the context of the exceedingly rare NEC of the breast, neuroendocrine differentiations in breast neoplasms are not regarded as specific therapeutic implications [4]. Surgery is the mainstay of the treatment for early NEC of the breast. Adjuvant radiation and systemic therapy must be decided in a personalizing view. Regimens including anthracyclines and/or taxanes are preferable when the indication for chemotherapy exists. Also, patients with positive hormone receptors are likely candidates for adjuvant endocrine therapy [15].
Although breast NEC does not have a specific targeted therapy, several new targeted therapies based on specific biomarkers have recently been investigated in the NEC of the lung and in other types of breast carcinomas, which may provide guidance to their feasibility in breast NEC. According to an analysis performed by S.Vranic et al., several potential targets for novel therapies in breast NEC were identified, including farletuzumab and mirvetuximab soravtansine (FOLR1), sacituzumab govitecan (TROP-2), and HDAC inhibitors (H3K36Me3). For example, the expression of TROP-2 protein was found in 21% of the cases, suggesting that a small proportion of NEBCs may be sensitive to target therapy with sacituzumab govitecan. In some cases, CCND1 gene amplification may indicate the usefulness of investigational therapies [16,17]. All currently approved biomarkers of response to immune checkpoint inhibitors, have proven negative so far, thus suggesting that patients with neuroendocrine breast carcinoma are unlikely to benefit from immunotherapy [18]. The reported results should serve as an early indication of potential clinical relevance in selected patients with breast NEC.
The tumor stage and the histological grade, which encompass mitotic counts, are used as the main prognostic parameters. The prognostic relevance of neuroendocrine differentiation in breast carcinoma is still under debate, because of the lack of specific criteria for its definition; therefore, several studies have been published with mixed results [4]. These conflicting results might be explained by the different inclusion criteria based on whether 2003 or 2012 WHO definitions were applied to identify NEC, by the limited number of cases reported in each series and also by the analysis performed considering NEC as a whole, without analyzing the outcomes according to the different histologic subtypes [19,20]. According to a study published by Yang et al., within the same clinical stage or grade, neuroendocrine tumors and neuroendocrine carcinoma of the breast had worse disease-specific survival (DSS) and overall survival (OS) than corresponding stage or grade of invasive ductal carcinomas of no special type (IDCs-NST). In univariate and multivariate survival analyses, NENs of the breast had significantly worse DSS and OS than IDCs-NST [21]. Even if this is a case of advanced breast carcinoma, with liver and bone metastases and a grade II Nottingham, the neuroendocrine component of the tumor made it difficult to make statements about the prognosis and the efficacy of the treatment.
A limitation of this case report is the lack of information regarding the management of the case in the oncology department and the response to the treatment. As a strength point, this case report presents the discovery of a rare tumor, in a young patient without other important risk factors or comorbidities. It is worth mentioning that one of the challenges of this case was its management, both medically and with regard to the doctor-patient relationship, because of the necessity to provide information to the patient on a rare pathology whose treatment and prognosis are not well known.

Conclusions

Neuroendocrine tumors of the breast are rare and they can be misdiagnosed due to the lack of distinguishing features on presentation and imaging. Also, the expression of neuroendocrine markers is probably under-recognized in breast cancer, because routine staining of invasive breast carcinoma for neuroendocrine markers is not recommended, as there is currently no clinical relevance. Because of the low incidence of NEC, and because there are no data from prospective clinical trials, the optimal management and the prognosis should be derived from case reports or series. As future perspectives, cancer registries to centralize uniform data collection might be useful; moreover, prospective clinical trials are needed and better knowledge of the molecular profile could help to identify novel targets for a tailored treatment. The purpose of this case report is to raise awareness on this rare type of cancer and the lack of information regarding the prognosis and the optimal treatment.

Conflicts of Interest disclosure

There are no known conflicts of interest in the publication of this article. The manuscript was read and approved by all authors.

Compliance with ethical standards

Any aspect of the work covered in this manuscript has been conducted with the ethical approval of all relevant bodies and that such approvals are acknowledged within the manuscript.

References

  1. Lakhani, S.R.; Ellis, I.O.; Schnitt, S.J.; Tan, P.H.; van de Vijver, M.J. WHO Classification of Tumours of the Breast. WHO Classification of Tumours, 4th ed.; 2012; Volume 4, ISBN 978-92-832-2433-4. [Google Scholar]
  2. Rosen, L.E.; Gattuso, P. Neuroendocrine Tumors of the Breast. Arch Pathol Lab Med. 2017, 141, 1577–1581. [Google Scholar] [CrossRef] [PubMed]
  3. Lavigne, M.; Menet, E.; Tille, J.C.; Lae, M.; Fuhrmann, L.; Bonneau, C.; Deniziaut, G.; Melaabi, S.; Ng, C.C.K.; Marchiò, C.; Rouzier, R.; Bièche, I.; Vincent-Salomon, A. Comprehensive clinical and molecular analyses of neuroendocrine carcinomas of the breast. Mod Pathol. 2018, 31, 68–82. [Google Scholar] [CrossRef] [PubMed]
  4. WHO Classification of Tumours Editorial Board. Breast Tumours. In WHO Classification of Tumours, 5th ed.; 2019; Volume 2, ISBN 978-92-832-4500-1. [Google Scholar]
  5. Motofei, I.G. Biology of Cancer; From Cellular Cancerogenesis to Supracellular Evolution of Malignant Phenotype. Cancer Invest. 2018, 36, 309–317. [Google Scholar] [CrossRef] [PubMed]
  6. Osamura, R.Y.; Matsui, N.; Okubo, M.; Chen, L.; Field, A.S. Histopathology and Cytopathology of Neuroendocrine Tumors and Carcinomas of the Breast: A Review. Acta Cytol. 2019, 63, 340–346. [Google Scholar] [CrossRef] [PubMed]
  7. Pareja, F.; D'Alfonso, T.M. Neuroendocrine neoplasms of the breast: A review focused on the updated World Health Organization (WHO) 5th Edition morphologic classification. Breast J. 2020, 26, 1160–1167. [Google Scholar] [CrossRef] [PubMed]
  8. Datta, S.; Williams, N.; Suortamo, S.; Mahmood, A.; Oliver, C.; Hedley, N.; Ray, P. Carcinoid syndrome from small bowel endocrine carcinoma in the absence of hepatic metastasis. Age Ageing. 2011, 40, 760–2. [Google Scholar] [CrossRef] [PubMed]
  9. Modlin, I.M.; Kidd, M.; Latich, I.; Zikusoka, M.N.; Shapiro, M.D. Current status of gastrointestinal carcinoids. Gastroenterology. 2005, 128, 1717–51. [Google Scholar] [CrossRef] [PubMed]
  10. Mota, J.M.; Sousa, L.G.; Riechelmann, R.P. Complications from carcinoid syndrome: review of the current evidence. Ecancermedicalscience 2016, 10, 662. [Google Scholar] [CrossRef]
  11. Gallo, M.; Campione, S.; Di Vito, V.; Fortunati, N.; Lo Calzo, F.; Messina, E.; Ruggeri, R.M.; Faggiano, A.; Colao, A.A.L. Primary Neuroendocrine Neoplasms of the Breast: Still Open Issues. Front Endocrinol (Lausanne). 2021, 11, 610230. [Google Scholar] [CrossRef] [PubMed]
  12. Zhang, Q.; He, L.; Lv, W.; Wang, N. Neuroendocrine carcinoma of the breast with hyperprolactinemia: report of two cases and a minireview. Int J Clin Exp Pathol. 2020, 13, 1457–1462. [Google Scholar] [PubMed]
  13. Wu, J.; Yang, Q.X.; Wu, Y.P.; Wang, D.L.; Liu, X.W.; Cui, C.Y.; Wang, L.; Chen, Y.; Xie, C.M.; Zhang, R. Solid neuroendocrine breast carcinoma: mammographic and sonographic features in thirteen cases. Chin J Cancer. 2012, 31, 549–556. [Google Scholar] [CrossRef] [PubMed][Green Version]
  14. Andrei, C.A.; Scăunașu, R.V.; Simionescu, A.A.; Burcoș, T.; Lupușoru, M.D.; Lica, G. The incidence of haemorrhagic and thrombo-embolic events after breast cancer surgery in patients treated with pharmacological thrombo- prophylaxis. J Clin Invest Surg. 2019, 4, 10–18. [Google Scholar] [CrossRef]
  15. Patel, G.; Bipte, S. Updates in primary neuroendocrine breast carcinoma - A case report and review of literature. J Cancer Res Ther. 2020, 16, 1528–1531. [Google Scholar] [CrossRef] [PubMed]
  16. Miricescu, D.; Diaconu, C.C.; Stefani, C.; Stanescu, A.M.A.; Totan, A.; Rusu, I.R.; Bratu, O.G.; Spinu, D.; Greabu, M. The Serine/Threonine Protein Kinase (Akt)/Protein Kinase B (PkB) Signaling Pathway in Breast Cancer. J Mind Med Sci. 2020, 7, 34–39. [Google Scholar] [CrossRef]
  17. Vranic, S.; Palazzo, J.; Sanati, S.; Florento, E.; Contreras, E.; Xiu, J.; Swensen, J.; Gatalica, Z. Potential Novel Therapy Targets in Neuroendocrine Carcinomas of the Breast. Clin Breast Cancer. 2019, 19, 131–136. [Google Scholar] [CrossRef] [PubMed]
  18. Trevisi, E.; La Salvia, A.; Daniele, L.; Brizzi, M.P.; De Rosa, G.; Scagliotti, G.V.; Di Maio, M. Neuroendocrine breast carcinoma: a rare but challenging entity. Med Oncol. 2020, 37, 70. [Google Scholar] [CrossRef] [PubMed]
  19. van Oers, H.; Schlebusch, L. Indicators of psychological distress and body image disorders in female patients with breast cancer. J Mind Med Sci. 2020, 7, 179–187. [Google Scholar] [CrossRef]
  20. Inno, A.; Bogina, G.; Turazza, M.; Bortesi, L.; Duranti, S.; Massocco, A.; Zamboni, G.; Carbognin, G.; Alongi, F.; Salgarello, M.; Gori, S. Neuroendocrine Carcinoma of the Breast: Current Evidence and Future Perspectives. Oncologist. 2016, 21, 28–32. [Google Scholar] [CrossRef] [PubMed]
  21. Yang, L.; Roy, M.; Lin, H.; Shen, Y.; Albarracin, C.; Huo, L.; Chen, H.; Wei, B.; Bedrosian, I.; Bu, H.; Wu, Y. Validation of prognostic significance of the proposed uniform classification framework in neuroendocrine neoplasms of the breast. Breast Cancer Res Treat. 2021, 186, 403–415. [Google Scholar] [CrossRef] [PubMed]
Figure 1. Mammography of the right breast: irregular opacity with spiculiform contour in the supero-external dial with a maximum diameter of 18/16mm, and multiple microcalcifications.
Figure 1. Mammography of the right breast: irregular opacity with spiculiform contour in the supero-external dial with a maximum diameter of 18/16mm, and multiple microcalcifications.
Jmms 08 00040 g001
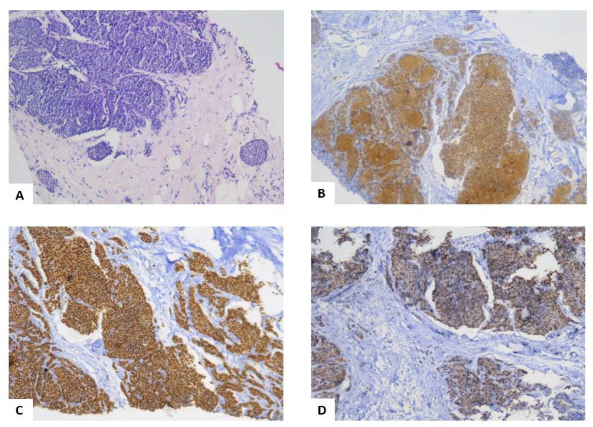
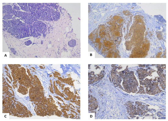
Figure 2. Breast biopsy. A. Hematoxylin and eosin (HE) staining x20. Tumor cells are disposed in nests and islands and no breast parenchyma is visible. The cells are small, without visible cell boundaries, the eosinophilic, fine granular cytoplasm is in small quantities; nuclei with granular chromatin, and no nucleolus visible; B. Immunohistochemical staining for neuron-specific enolase (NSE). Tumor cells are positive for NSE; C. Immunohistochemical staining for ER, x20. All tumor cells are ER-positive. D. Immunohistochemical staining for PR, x20. 80% of the tumor cells are PR-positive.
Figure 2. Breast biopsy. A. Hematoxylin and eosin (HE) staining x20. Tumor cells are disposed in nests and islands and no breast parenchyma is visible. The cells are small, without visible cell boundaries, the eosinophilic, fine granular cytoplasm is in small quantities; nuclei with granular chromatin, and no nucleolus visible; B. Immunohistochemical staining for neuron-specific enolase (NSE). Tumor cells are positive for NSE; C. Immunohistochemical staining for ER, x20. All tumor cells are ER-positive. D. Immunohistochemical staining for PR, x20. 80% of the tumor cells are PR-positive.
Jmms 08 00040 g002
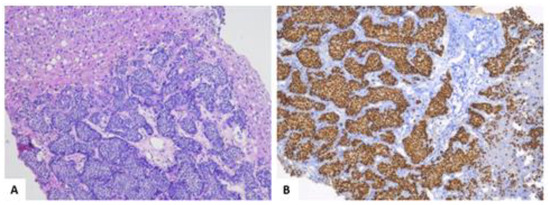
Figure 3. Liver biopsy – A) HE staining x20. A fragment of liver parenchyma with tumor proliferation formed by small and round cells with pale eosinophilic cytoplasm and round nuclei with granular chromatin and no nucleolus visible. The tumor cells are grouped in nests and islands and are visible in the lower part of the picture. B) Immunohistochemical staining for ER, x20. Tumor cells are ER positive.
Figure 3. Liver biopsy – A) HE staining x20. A fragment of liver parenchyma with tumor proliferation formed by small and round cells with pale eosinophilic cytoplasm and round nuclei with granular chromatin and no nucleolus visible. The tumor cells are grouped in nests and islands and are visible in the lower part of the picture. B) Immunohistochemical staining for ER, x20. Tumor cells are ER positive.
Jmms 08 00040 g003
Table 1. Clinical manifestation of carcinoid syndrome.
Table 1. Clinical manifestation of carcinoid syndrome.
1. 
Cutaneous flushing - the typical flush associated with midgut neuroendocrine tumors begins suddenly and lasts from 30 seconds to 30 minutes. It primarily involves the face, neck, and upper chest, which become red to violaceous or purple, and it is associated with a mild burning sensation.
2. 
Venous telangiectasia - appear late in the course of carcinoid syndrome. They are due to prolonged vasodilatation and most often occur on the nose, upper lip, and malar areas.
3. 
Secretory diarrhea - stools may vary from few to more than 30 per day, are typically watery and non- bloody, and can be explosive and accompanied by abdominal cramping. Diarrhea is usually unrelated to flushing episodes. Transit time through the intestine may be extremely short.
4. 
Bronchospasm - wheezing and dyspnea, often during flushing episodes. Carcinoid wheezing should not be confused with bronchial asthma because treatment with beta agonists can trigger intense, prolonged vasodilation.
5. 
Cardiac valvular lesions - Carcinoid heart disease is characterized by pathognomonic plaque-like deposits of fibrous tissue. These deposits occur most commonly on the endocardium of valvular cusps, the cardiac chambers, and occasionally, the intima of the pulmonary arteries or aorta. The valves and the endocardium of the right side of the heart are most often affected because the inactivation of humoral substances by the lung protects the left heart. Left-sided valve disease may be caused by right-to-left shunting or with high levels of circulating vasoactive substances.

Share and Cite

MDPI and ACS Style

Gîvan, I.; Ciulei, G.; Cozma, A.; Indre, M.G.; Țâru, V.; Pop, A.; Tăut, A.S.; Țărmure, S.; Negrean, V.; Orășan, O.H. Neuroendocrine Carcinoma of the Breast: A Case Report. J. Mind Med. Sci. 2021, 8, 306-311. https://doi.org/10.22543/7674.82.P306311

AMA Style

Gîvan I, Ciulei G, Cozma A, Indre MG, Țâru V, Pop A, Tăut AS, Țărmure S, Negrean V, Orășan OH. Neuroendocrine Carcinoma of the Breast: A Case Report. Journal of Mind and Medical Sciences. 2021; 8(2):306-311. https://doi.org/10.22543/7674.82.P306311

Chicago/Turabian Style

Gîvan, Iulia, George Ciulei, Angela Cozma, Mădălina Gabriela Indre, Vlad Țâru, Anca Pop, Adela Sitar Tăut, Simina Țărmure, Vasile Negrean, and Olga Hilda Orășan. 2021. "Neuroendocrine Carcinoma of the Breast: A Case Report" Journal of Mind and Medical Sciences 8, no. 2: 306-311. https://doi.org/10.22543/7674.82.P306311

APA Style

Gîvan, I., Ciulei, G., Cozma, A., Indre, M. G., Țâru, V., Pop, A., Tăut, A. S., Țărmure, S., Negrean, V., & Orășan, O. H. (2021). Neuroendocrine Carcinoma of the Breast: A Case Report. Journal of Mind and Medical Sciences, 8(2), 306-311. https://doi.org/10.22543/7674.82.P306311

Article Metrics

Back to TopTop