Esophageal Atresia Associating Gastrointestinal Malformations: A Study of Clinical Approach
Abstract
Introduction
Materials and Methods
| EA classif. | Sex | BW | GA | Prenatal diagnosis | Associated gastrointestinal malformation | |
|---|---|---|---|---|---|---|
| 1 | Type C | F | 2,820 | 40 | No | Esophageal duplication cyst |
| 2 | M | 1,100 | 34 | No prenatal monitoring | Duodenal atresia | |
| 3 | M | 2,830 | 37 | No prenatal monitoring | Duodenal atresia | |
| 4 | M | 2,600 | 33 | Polyhydramnios | Duodenal atresia | |
| 5 | M | 1,580 | 36 | Polyhydramnios | Duodenal atresia + Perineal fistula | |
| 6 | M | 1,700 | 35 | Polyhydramnios | Imperforate anus without fistula | |
| 7 | F | 2,620 | 38 | Polyhydramnios Absence of stomach bubble | Congenital microgastria |
Results
EA associating esophageal duplication cyst: case 1
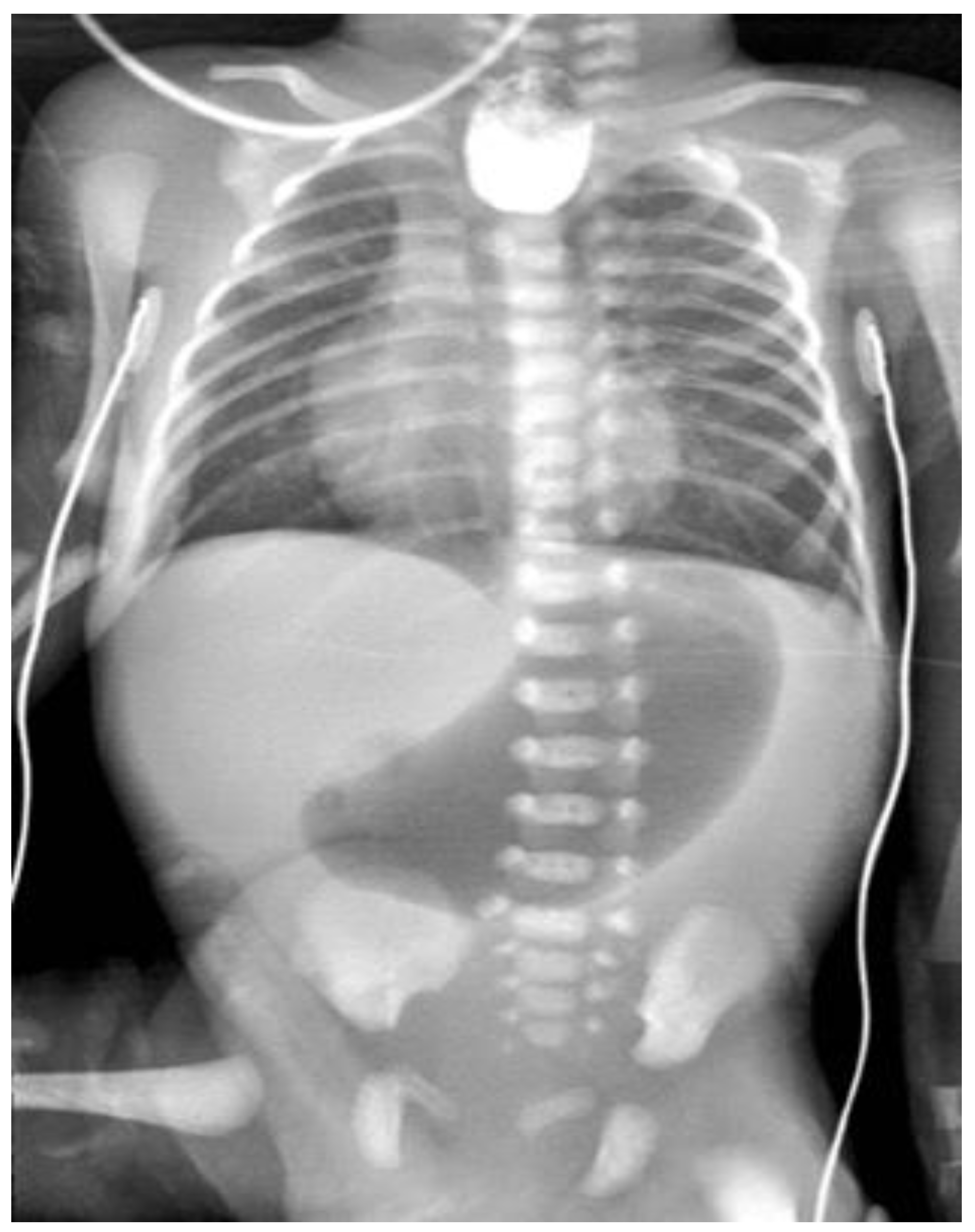
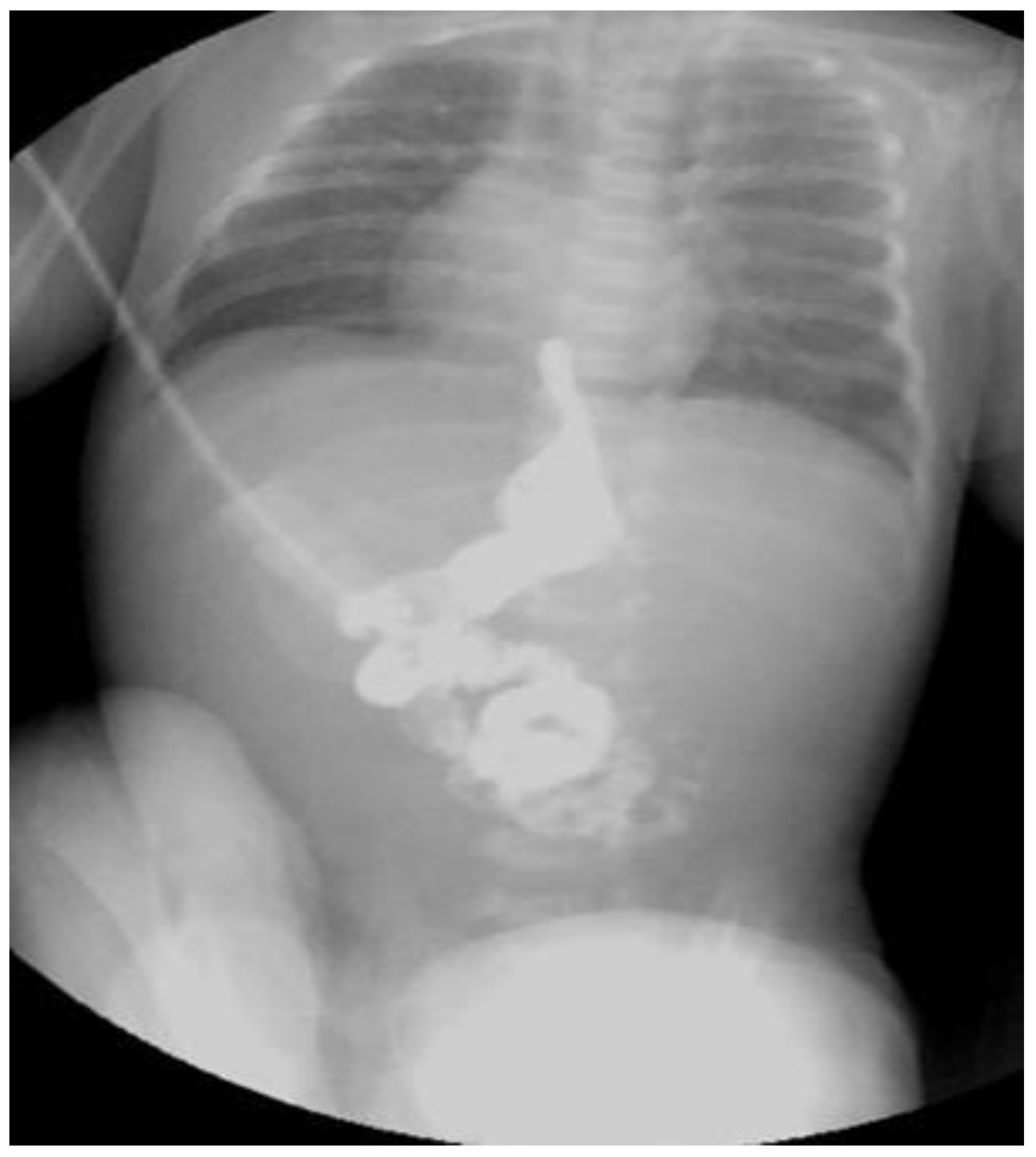
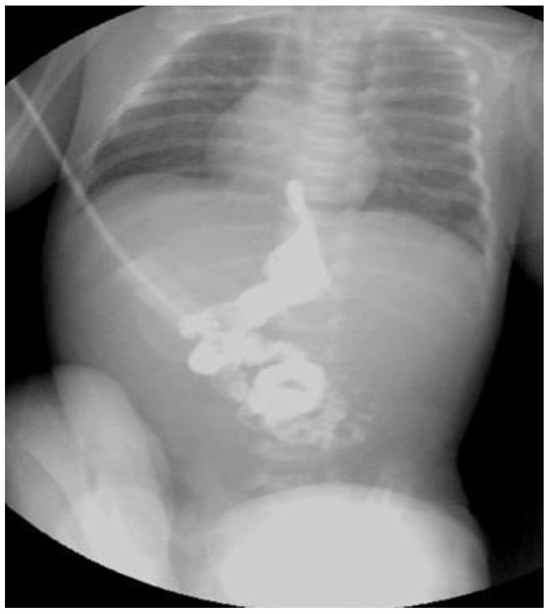
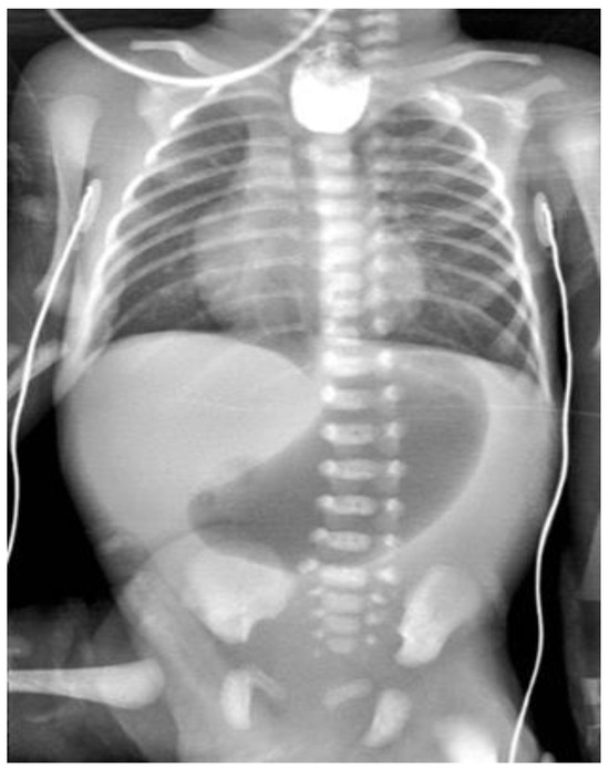
EA associating DA exclusively: cases 2, 3, 4
EA associating DA and perineal fistula: case 5
EA associating imperforate anus without fistula: case 6
EA associating congenital microgastria: case 7
Discussions
Highlights
- ✓
- Esophageal atresia/ tracheal esophageal fistula is a rare congenital anomaly.
- ✓
- Multidisciplinary approaches in matters of safety and timing are essential features when the operative plan is tailored on atypical congenital malformation complexes and clinical situations which cannot be standardized by treatment protocols.
Conclusions
Conflict of interest disclosure
Compliance with ethical standards
References
- Spitz, L. Esophageal atresia. Lessons I have learned in a 40-year experience. J Pediatr Surg. 2006, 41, 1635–1640. [Google Scholar] [CrossRef]
- Piper, H.G.; Alesbury, J.; Waterford, S.D.; Zurakowski, D.; Jaksic, T. Intestinal atresias: factors affecting clinical outcomes. J Pediatr Surg. 2008, 43, 1244–1248. [Google Scholar] [CrossRef] [PubMed]
- Theron, A.P.; Brisighelli, G.; Theron, A.E.; Leva, E.; Numanoglu, A. Comparison in the incidence of anorectal malformations between a first- and thirdworld referral center. Pediatr Surg Int. 2015, 31, 759–764. [Google Scholar] [CrossRef]
- Byun, S.Y.; Lim, R.K.; Park, K.H.; Cho, Y.H.; Kim, H.Y. Anorectal malformations associated with esophageal atresia in neonates. Pediatr Gastroenterol Hepatol Nutr. 2013, 16, 28–33. [Google Scholar] [CrossRef][Green Version]
- Spitz, L.; Ali, M.; Brereton, R.J. Combined esophageal and duodenal atresia: experience of 18 patients. J Pediatr Surg. 1981, 16, 4–7. [Google Scholar] [CrossRef]
- Spataru, R.I.; Popoiu, M.C.; Ivanov, M. Foregut duplication cyst associated with esophageal atresia-one-stage neonatal surgical repair. Indian J Surg. 2015, 77 (Suppl. 1), 52–55. [Google Scholar] [CrossRef] [PubMed][Green Version]
- Shackelford, G.D.; McAlister, W.H.; Brodeur, A.E.; Ragsdale, E.F. Congenital microgastria. Am J Roentgenol Radium Ther Nucl Med. 1973, 118, 72–76. [Google Scholar] [CrossRef][Green Version]
- de Jong, E.M.; Felix, J.F.; de Klein, A.; Tibboel, D. Etiology of esophageal atresia and tracheoesophageal fistula: “mind the gap”. Curr Gastroenterol Rep. 2010, 12, 215–222. [Google Scholar] [CrossRef] [PubMed]
- Tudosie, M.; Miulescu, R.; Negulescu, V.; Ionica, M.; Stefan, S.; Corlan, G.; Macovei, R. Evaluation and modeling of pharmacokinetics of copper ion during hemodialysis. Farmacia. 2013, 61, 53–65. [Google Scholar]
- Pinheiro, P.F.; Simões e Silva, A.C.; Pereira, R.M. Current knowledge on esophageal atresia. World J Gastroenterol. 2012, 18, 3662–3672. [Google Scholar] [CrossRef]
- Melek, M.; Demir, H.; Celikezen, F.C.; Ceylan, N.; Bilici, S.; Agengin, K.; Alkis, I.; Cobanoglu, U.; Gur, T.; Demir, C.; Demir, N. Some mineral, trace element and heavy metal concentrations in newborns with esophageal atresia and their mothers. Med Sci Discov. 2019, 1, 109–114. [Google Scholar] [CrossRef]
- Spitz, L.; Kiely, E.M.; Morecroft, J.A.; Drake, D.P. Oesophageal atresia: at-risk groups for the 1990s. J Pediatr Surg. 1994, 29, 723–725. [Google Scholar] [CrossRef] [PubMed]
- Okamoto, T.; Takamizawa, S.; Arai, H.; Bitoh, Y.; Nakao, M.; Yokoi, A.; Nishijima, E. Esophageal atresia: prognostic classification revisited. Surgery. 2009, 145, 675–681. [Google Scholar] [CrossRef]
- Cao, Z.P.; Li, Q.F.; Liu, S.Q.; Niu, J.H.; Zhao, J.R.; Chen, Y.J.; Wang, D.Y.; Li, X.S. Surgical management of newborns with combined tracheoesophageal fistula, esophageal atresia, and duodenal obstruction. Chin Med J (Engl). 2019, 132, 726–730. [Google Scholar] [CrossRef]
- Panda, S.S.; Srinivas, M.; Bajpai, M.; Sharma, N.; Singh, A.; Baidya, D.K.; Jana, M. Esophageal atresia, duodenal atresia and imperforate anus: triple atresia. J Clin Neonatol 2015, 4, 188–192. [Google Scholar]
- Serban, D.; Spataru, R.I.; Vancea, G.; Balasescu, S.A.; Socea, B.; Tudor, C.; Dascalu, A.M. Informed consent in all surgical specialties: from legal obligation to patient satisfaction. Rom J Leg Med 2020, 28, 317–321. [Google Scholar] [CrossRef]
- Pires, M.P.; Pedreira, M.L.; Peterlini, M.A. Surgical Safety in Pediatrics: practical application of the Pediatric Surgical Safety Checklist. Rev Lat Am Enfermagem. 2015, 23, 1105–1112. [Google Scholar] [CrossRef] [PubMed]
- Șerban, D.; Brănescu, C.M.; Smarandache, G.C.; Tudor, C.; Tănăsescu, C.; Tudosie, M.S.; Stana, D.; Costea, D.O.; Dascălu, A.M.; Spătaru, R.I. Safe surgery in day care centers: focus on preventing medical legal issues. Rom J Leg Med. 2021, 29, 60–64. [Google Scholar] [CrossRef]
- Toprak, S.S.; Gultekin, Y. A combination of laparoscopic Nissen fundoplication and laparoscopic gastric plication for gastric esophageal reflux disease and morbid obesity. J Clin Invest Surg. 2019, 4, 81–87. [Google Scholar] [CrossRef]
- Dascalu, A.M.; Tudosie, M.S.; Smarandache, G.C.; Serban, D. Impact of COVID-19 pandemic upon ophthalmological clinical practice. Rom J Leg Med. 2020, 28, 96–100. [Google Scholar] [CrossRef]
- Popescu, B.; Oașă, I.D.; Bertesteanu, S.V.; Balalau, C.; Scaunasu, R.; Manole, F.; Domuta, M.; Oancea, A.L. Emergency tracheostomy protocols in Coltea Clinical Hospital in patients with SARS-CoV-2 infection. J Clin Invest Surg. 2020, 5, 34–38. [Google Scholar] [CrossRef]
- Dedeilia, A.; Esagian, S.M.; Ziogas, I.A.; Giannis, D.; Katsaros, I.; Tsoulfas, G. Pediatric surgery during the COVID-19 pandemic. World J Clin Pediatr. 2020, 9, 7–16. [Google Scholar] [CrossRef] [PubMed]
- Parolini, F.; Bulotta, A.L.; Battaglia, S.; Alberti, D. Preoperative management of children with esophageal atresia: current perspectives. Pediatric Health Med Ther. 2017, 8, 1–7. [Google Scholar] [CrossRef]
- Serban, D.; Socea, B.; Balasescu, S.A.; Badiu, C.D.; Tudor, C.; Dascalu, A.M.; Vancea, G.; Spataru, R.I.; Sabau, A.D.; Sabau, D.; Tanasescu, C. Safety of Laparoscopic Cholecystectomy for Acute Cholecystitis in the Elderly: A Multivariate Analysis of Risk Factors for Intra and Postoperative Complications. Medicina (Kaunas). 2021, 57, 230. [Google Scholar] [CrossRef]
- Edelman, B.; Selvaraj, B.J.; Joshi, M.; Patil, U.; Yarmush, J. Anesthesia Practice: Review of Perioperative Management of H-Type Tracheoesophageal Fistula. Anesthesiol Res Pract. 2019, 2019, 8621801. [Google Scholar] [CrossRef]
- Suciu, N.; Serban, A.; Toader, O.; Oprescu, D.; Spataru, R.I. Case report of fetal lingual tumor - perinatal care and neonatal surgical intervention. J Matern Fetal Neonatal Med. 2014, 27, 314–319. [Google Scholar] [CrossRef] [PubMed]
- Mansi, M.; Mahajan, N.; Mahana, S.; Gupta, C.R.; Mohta, A. Aberrant Pancreatic Tissue in a Mediastinal Enteric Duplication Cyst: A Rarity with Review of Literature. Case Rep Gastrointest Med. 2017, 2017, 7294896. [Google Scholar] [CrossRef]
- Dave, S.; Shi, E.C. The management of combined oesophageal and duodenal atresia. Pediatr Surg Int. 2004, 20, 689–691. [Google Scholar] [CrossRef]
- Spătaru, R.I.; Sîrbu, A.; Sîrbu, D. Forensic ramifications in diagnosing and treating high forms of the Hirschsprung’s disease. Rom J Leg Med. 2013, 21, 105–110. [Google Scholar] [CrossRef]
- La Placa, S.; Giuffrè, M.; Gangemi, A.; Di Noto, S.; Matina, F.; Nociforo, F.; Antona, V.; Di Pace, M.R.; Piccione, M.; Corsello, G. Esophageal atresia in newborns: a wide spectrum from the isolated forms to a full VACTERL phenotype? Ital J Pediatr. 2013, 39, 45. [Google Scholar] [CrossRef]
- Amelot, A.; Cretolle, C.; de Saint Denis, T.; Sarnacki, S.; Catala, M.; Zerah, M. Spinal dysraphism as a new entity in V.A.C.TE.R.L syndrome, resulting in a novel acronym V.A.C.TE.R.L.S. Eur J Pediatr. 2020, 179, 1121–1129. [Google Scholar] [CrossRef] [PubMed]
- Rudisill, S.S.; Wang, J.T.; Jaimes, C.; Mongerson, C.R.L.; Hansen, A.R.; Jennings, R.W.; Bajic, D. Neurologic Injury and Brain Growth in the Setting of Long-Gap Esophageal Atresia Perioperative Critical Care: A Pilot Study. Brain Sci. 2019, 9, 383. [Google Scholar] [CrossRef] [PubMed]
- Spataru, R.I.; Iozsa, D.A.; Ivanov, M. Preputial calculus in a neurologically-impaired child. Indian Pediatr. 2015, 52, 149–150. [Google Scholar] [CrossRef] [PubMed][Green Version]
- Soni, S.C.; Mehta, N.; Ray, S.; Nundy, S. Intra-abdominal hypertension and abdominal compartment syndrome in patients undergoing gastrointestinal surgery. J Clin Invest Surg. 2019, 4, 101–107. [Google Scholar] [CrossRef]
- Francesca, B.; Benedetta, R.; Andrea, C.; Annabella, B.; Simonetta, G.; Antonio, Z.; Pietro, B.; Lucia, A. Neurodevelopmental outcome in infants with esophageal atresia: risk factors in the first year of life. Dis Esophagus. 2021, 34, doaa102. [Google Scholar] [CrossRef]



© 2021 by the author. 2021 Dan Alexandru Iozsa, Andreea Cristina Costea, Nicolae Sebastian Ionescu
Share and Cite
Iozsa, D.A.; Costea, A.C.; Ionescu, N.S. Esophageal Atresia Associating Gastrointestinal Malformations: A Study of Clinical Approach. J. Mind Med. Sci. 2021, 8, 273-279. https://doi.org/10.22543/7674.82.P273279
Iozsa DA, Costea AC, Ionescu NS. Esophageal Atresia Associating Gastrointestinal Malformations: A Study of Clinical Approach. Journal of Mind and Medical Sciences. 2021; 8(2):273-279. https://doi.org/10.22543/7674.82.P273279
Chicago/Turabian StyleIozsa, Dan Alexandru, Andreea Cristina Costea, and Nicolae Sebastian Ionescu. 2021. "Esophageal Atresia Associating Gastrointestinal Malformations: A Study of Clinical Approach" Journal of Mind and Medical Sciences 8, no. 2: 273-279. https://doi.org/10.22543/7674.82.P273279
APA StyleIozsa, D. A., Costea, A. C., & Ionescu, N. S. (2021). Esophageal Atresia Associating Gastrointestinal Malformations: A Study of Clinical Approach. Journal of Mind and Medical Sciences, 8(2), 273-279. https://doi.org/10.22543/7674.82.P273279