Abstract
Imatinib is generally well tolerated, with mild common side effects such as nausea and vomiting, diarrhea, muscle cramps, fatigue, skin rash and edema; however, pulmonary complications are uncommon. A 73-year-old woman undergoing one month treatment with Imatinib for chronic myeloid neoplasm associated with eosinophilia was admitted for sudden alteration of her performance status, dyspnea at rest and productive cough. On clinical examination, the patient was hypoxic (oxygen saturation on room air was 87%), and auscultation of her lungs revealed diffuse bilateral fine crackles. Computed tomography showed bilateral pulmonary interstitial syndrome. Imatinib was discontinued and the patient received systemic corticosteroid therapy and oxygen therapy. After one month, the symptoms and radiological findings were resolved. When Imatinib therapy was resumed, respiratory symptoms reappeared, which is why treatment with Imatinib was interrupted. Imatinib-induced pneumonitis should take into consideration when patients develop respiratory symptoms or abnormal pulmonary radiological features.
Introduction
Tyrosine kinase inhibitors are the main class of drugs used for the treatment of chronic myeloid leukemia (CML). Imatinib was the first tyrosine kinase inhibitor used and significantly increased survival in CML. The mechanism consists of inhibition of BCR-ABL1 fusion protein (encoded in all cases of Philadelphia chromosome-positive CML), but Imatinib also leads to inhibition of other tyrosine kinases such as platelet-derived growth factor receptor (PDGFR) or tyrosine kinase Kit [1]. The fusion of tyrosine kinase genes has been observed to be involved in the occurrence of primary eosinophilia cases. The World Health Organization recognizes the category of myeloid/lymphoid neoplasms associated with eosinophilia and rearrangements of PDGFRα, PDGFRβ, FGFR1 genes or with PCM1-JAK2 mutation. Imatinib was successfully used in patients with myeloid neoplasm associated with eosinophilia and FIP1-like1-platelet-derived growth factor receptor-alpha (FIP1L1-PDGFRA) mutation. The results were confirmed by many studies using daily doses from 100 mg to 400 mg. Unlike CML, very few cases of resistance to Imatinib occurred in patients with FIP1L1-PDGFRA mutation [2]. Imatinib is considered to be relatively well tolerated. The most frequent non-hematological adverse effects (in more than 10% of the patients) caused by its use are edema (60%, particularly infraorbital edema), nausea, vomiting, diarrhea, skin changes (rash in 35% of the cases at the onset of therapy, pruritus, hyper/hypopigmentation, photosensitivity, rarely exfoliative dermatitis or Stevens-Johnson syndrome within 10 days of initiation of therapy), and musculoskeletal pain. Between 1 and 10% of patients exhibit neutropenia, pancytopenia or mild hepatotoxicity. The greatest number of side effects occur during the first two years of treatment, and some of these remit even when treatment is continued with the same dose. Very rarely (less than 1% of the cases), long-term use of Imatinib may cause cardiotoxicity, pulmonary toxicity, secondary malignancy, renal failure or opportunistic infection [3].
Respiratory side effects caused by Imatinib are rare (<1.3%); of these, cough, dyspnea and upper respiratory tract infections have been reported [4,5]. The development of pneumonitis as an adverse effect of treatment with Imatinib is extremely rare and has only been described by isolated case reports. Symptoms are non-specific and can also be found as part of other diseases.
Imatinib-induced interstitial lung disease (ILD) generally develops at about 2 months (range 10–282 days) after initiation of treatment, following administration of mean Imatinib doses of 400 mg (200 mg-600 mg) [4,6]. The literature data emphasize a higher incidence of this adverse effect in the case of patients with preexisting lung diseases [6].
We report the first case of ILD in Romania in a patient with myeloid neoplasm associated with hypereosinophilia. This patient developed acute respiratory failure at about one month after initiation of treatment with Imatinib in a dose of 100 mg/day. Symptoms and imaging lung changes improved following cessation of treatment with tyrosine kinase inhibitor and administration of corticosteroids. Resumption of Imatinib treatment led to the reappearance of respiratory symptoms, which required discontinuation of immunosuppressive treatment.
Case Report
We report the case of a 73-year-old female patient who presented to our service for rest dyspnea starting about 2 weeks before and worsening over the last 12 h, associated with cough with mucous expectoration, extreme asthenia, somnolence and dysthymia. She had a medical history of essential hypertension grade III, silent ischemic heart disease, poorly controlled type 2 insulin-dependent diabetes mellitus complicated by diabetic retinopathy, autoimmune thrombocytopenic purpura treated by splenectomy. Two months before, she was diagnosed with chronic myeloid leukemia associated with eosinophilia with positive FIP1L1-PDGFRA fusion kinase, for which Imatinib in a dose of 100 mg/day and Allium cepa L extract for the antioxidant and antiplatelet effect were initiated one month before [7].
On objective examination, the patient had an altered general state with a performance index 3, generalized pallor with lip cyanosis. Objective chest examination showed kyphotic chest, pulmonary sonority, harsh vesicular murmur, diffuse bilateral crackles, room air arterial blood oxygen saturation (SaO2) = 87%, corrected to 95% after oxygen therapy by nasal cannula.
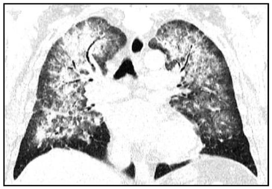
Initial investigations included chest computed tomography (CT), which evidenced in the lung, starting with the apex, a bilateral interstitial pattern with reticular appearance and in some places with ground-glass appearance, alternating with several areas of discrete condensation and positive air bronchogram in the upper lobes, anteriorly, more obvious to the left; in the middle lobes without condensation, radiological changes decreased in intensity towards the lung bases (Figure 1).
Figure 1.
Chest computer tomography scan showing signs of interstitial lung disease (admission).
Blood tests showed marked inflammatory syndrome (leukocytosis with neutrophilia, elevated C-reactive protein and erythrocyte sedimentation rate. Infectious evaluation was performed by sputum examination—negative, blood cultures—negative, CMV IgM—negative, determination of Aspergillus galactomannan antigen titer in serum—negative, in sputum—positive (Table 1).
Table 1.
Laboratory results on admission.
Eosinophil count decreased under treatment both at the periphery and in the hematogenous bone marrow (at the time of the diagnosis of hypereosinophilic syndrome (HES): complete blood count 26% eosinophils; medullogram 30% eosinophils, predominantly mature cells).
The cardiac etiology of dyspnea was excluded by transthoracic echocardiography which evidenced a left ventricular ejection fraction higher than 50%, and brain natriuretic peptide dosage excluded cardiac disease (Figure 2).
Figure 2.
Differential diagnosis (1BNP—brain natriuretic peptide; 2LVEF—left ventricular ejection fraction; 3CBC—complete blood count; 4HES—hypereosinophilic syndrome; 5FIP1L1-PDGFRA—FIP1-like1-platelet-derived growth factor receptor alpha).
Sputum examination and blood cultures were performed in order to exclude an infectious etiology of pneumonitis (bronchopneumonia, atypical pneumonia, etc.). However, Aspergillus galactomannan antigen was detected in sputum, serum Aspergillus galactomannan being negative.
Alveolar hemorrhage was excluded both by clinical examination—the patient did not present hemoptysis, and by biological examination—the patient did not have anemia (hemoglobin = 11.9 g/dl, within normal limits).
The suspicion of new tumor proliferation was raised, but this was denied by the blood picture within normal limits; relapse of myeloid neoplasm with eosinophilia was refuted by negative FIP1L1-PDGFRA fusion kinase.
Given that the patient was diagnosed with myeloid neoplasm associated with eosinophilia two months before, for which she received 1 month treatment with Imatinib, the suspicion of Imatinib-induced toxicity was raised. Imatinib treatment was discontinued, systemic and inhaled corticotherapy was administered (oral Prednisone 40 mg with the progressive reduction of doses up to 10 mg/day after 2 weeks), as well as continuous oxygen therapy and oral antifungal drugs (oral Posaconazole 300 mg) for the suspicion of pulmonary aspergillosis. The patient was discharged in an improved condition, being dependent on oxygen at home, with the indication of continuing corticoid (oral Prednisone 10 mg/day) and antifungal treatment (oral Posaconazole 300 mg), as well as the indication of discontinuing Imatinib treatment.
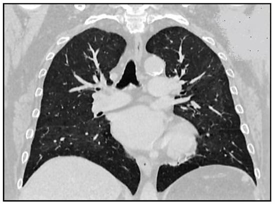
One month later, the patient was reevaluated by chest CT, which showed complete resorption of interstitial lesions and preexisting infiltrates (Figure 3).
Figure 3.
Chest computer tomography scan—one month after Imatinib discontinuation.
Considering the complete resorption of lesions, the problem of resuming Imatinib therapy to treat the HES was posed. Ten days after resumption of treatment with Imatinib 100 mg/day, the patient exhibited progressive exertional dyspnea and hypoxemia (SaO2 on room air = 90%), which is why she was reassessed by chest CT that evidenced the reappearance of interstitial lesions. Imatinib treatment was stopped once again and administration of corticotherapy (Prednisone 15 mg/day) was continued, treatment under which the pulmonary lesions remitted in 2 weeks.
Discussions
Adverse drug reactions due to antineoplastic agents are a common form of iatrogenic injury and the lungs are frequently involved [8,9,10]. About 10–20% of all patients treated with an antineoplastic agent have some form of lung toxicity, although the incidence varies depending on the specific agent, dose and other factors [11,12,13,14,15].
Imatinib is generally well tolerated with mild common side effects such as nausea and vomiting, diarrhea, muscle cramps, fatigue, skin rash and edema; however, pulmonary complications are uncommon [5]. Most of the lung complications reported during Imatinib therapy have been related to fluid retention. Nevertheless, peripheral and periorbital edema are far more frequent manifestations of fluid retention than are pleural or pericardial effusions and pulmonary edema [16,17,18]. Furthermore, ILD is a rare entity [6,19,20,21,22,23,24,25].
Ohnishi et al. analyzed the side effects associated with Imatinib therapy in 5000 patients with CML and 500 patients with gastrointestinal stromal tumor [26,27,28,29,30,31,32]. Only 27 patients appeared to have developed ILD. The median period until ILD developed was 49 days (range: 10–282 days) and the median daily dose of Imatinib was 400 mg (range: 200–600 mg) at the time when ILD was diagnosed. Lung toxicity has been reported with doses as low as 100 mg per day [27,33,34,35,36,37,38]. However, there was no clear correlation between the development of ILD and either the dose or duration of Imatinib therapy, but the incidence of the disease seemed higher in patients who had preexisting pulmonary diseases. Preexisting lung disease was present in more than 40% of patients with ILD [38]. In the case of our patient, it took one month for IDL to occur and the dosage of Imatinib was only 100 mg/day. Our patient had no previous lung disease.
ILD is thought to be the result of an immune complex-mediated reaction involving T cells and cytokines. If allowed to progress, the inflammation can extend to the pulmonary interstitium and its capillaries, leading to pneumosclerosis, alveolar deformation and disturbances of lung diffusion capacity [31]. It is unclear whether the mechanism is a drug hypersensitivity phenomenon or a pharmacological effect of tyrosine kinase inhibition. The diffuse ground-glass opacities seen on CT scan and lymphocytic infiltrate showed by transbronchial biopsy, as well as resolution with drug cessation and corticosteroid therapy suggest a hypersensitivity phenomenon, as has been reported in the literature [19,23]. Alternatively, interstitial pneumonitis could probably be a pharmacological effect. Imatinib aggravates interstitial pneumonitis by inhibiting PDGF tyrosine kinase, which leads to acute lung injury [39,40].
Diagnosis is based on history, radiological findings and pathology results. It may be challenging as signs and symptoms are often non-specific. Malaise, low-grade fever, dyspnea and cough seem to prevail [41]. Chest radiographs show different patterns such as interstitial pneumonitis, cryptogenic-organizing pneumonia, nodular or peribronchovascular lesions and diffuse alveolar damage [38]. Pathology features also vary and may include diffuse alveolar damage, non-specific interstitial pneumonia, bronchiolitis obliterans organizing pneumonia, eosinophilic pneumonia and pulmonary hemorrhage [42].
Management of drug-induced pneumonitis involves immediate discontinuation of the triggering agent. Although the syndrome may resolve with drug discontinuation alone [21,27,36], most cases require glucocorticoid therapy for resolution [4,20,29,37]. Only one fatality has been reported [20].
A resumption of Imatinib therapy may be considered when the patient has displayed improvement both clinically and radiologically [30,43]. Serial imaging may be required to ensure resolution.
Resumption does not always prompt a recurrence of lung injury [38]. In the Japanese series described above, Imatinib was readministered to 11 patients after ILD improved; four had a recurrence of lung toxicity. However, in general, resumption is not recommended unless other therapeutic options are not available.
It was confirmed that our patient had drug-induced interstitial pneumonitis since her symptoms and radiological findings improved after Imatinib withdrawal and steroid therapy initiation, and even more since symptoms and radiological findings reoccurred after Imatinib therapy resumption.
To our knowledge, our report represents the first published case of IDL in a patient with CML in Eastern Europe and the second case worldwide of pneumonitis induced by Imatinib at a low dose of 100 mg/day.
Highlights
Respiratory side effects caused by Imatinib are rare (<1.3%); of these, cough, dyspnea and upper respiratory tract infections have been reported.
The development of pneumonitis as an adverse effect of treatment with Imatinib is extremely rare and has only been described by isolated case reports. Symptoms are non-specific and can also be found as part of other diseases.
Conclusions
Drug-induced pneumonitis is a rare complication of Imatinib treatment. Initial diagnosis may be challenging due to non-specific signs and symptoms and may be mistaken for more common infectious etiologies. This report widens the spectrum of Imatinib-induced pneumonitis that clinicians should take into consideration when patients undergoing Imatinib treatment develop respiratory symptoms or abnormal pulmonary radiological features.
Funding
This research received no external funding.
Informed Consent Statement
The patient has provided informed consent for publication of the case.
Conflicts of Interest
The authors declare no conflict of interest.
Abbreviations
BNP—brain natriuretic peptide; CBC—complete blood count; CML—chronic myeloid leukemia; CMV IgM—cytomegalovirus immunoglobulin M antibodies; CT—computed tomography; FIP1L1-PDGFRA—FIP1-like1-platelet-derived growth factor receptor-alpha; HES—hypereosinophilic syndrome; ILD—Imatinib-induced interstitial lung disease; LVEF—left ventricular ejection fraction; PDGFR—platelet-derived growth factor receptor; SaO2—room air arterial blood oxygen saturation.
References
- Rosti, G.; Castagnetti, F.; Gugliott, G.; Baccarani, M. Tyrosine Kinase Inhibitors in Chronic Myeloid Leukaemia: Which, When, for Whom? Nat Rev Clin Oncol. 2016, 14, 141–154. [Google Scholar] [CrossRef]
- Gotlib, J. World Health Organization-Defined Eosinophilic Disorders: 2017 Update on Diagnosis, Risk Stratification, and Management. Am J Hematol. 2017, 92, 1243–1259. [Google Scholar] [CrossRef] [PubMed]
- Mughal, T.I.; Schrieber, A. Principal Long-Term Adverse Effects of Imatinib in Patients with Chronic Myeloid Leukemia in Chronic Phase. Biologics. 2010, 4, 315–323. [Google Scholar] [CrossRef] [PubMed]
- Watson, G.; Picardo, S.; Hodnett, P.; O’Brien, J.; Osman, N. A Rare Case of Imatinib-Induced Pneumonitis. Canc Ther & Oncol Int J. 2016, 2, 1–4. [Google Scholar]
- Kantarjian, H.; Sawyers, C.; Hochhaus, A.; Guilhot, F.; Schiffer, C.; Gambacorti-Passerini, C.; Niederweiser, D.; Resta, D.; Capdeville, R.; Zoellner, U.; Talpaz, M. Hematologic and cytogenetic responses to imatinib mesylate in chronic myelogenous leukemia. N Engl J Med. 2002, 346, 645–652. [Google Scholar] [CrossRef]
- Seddik, Y.; Sami, A.B.; Afqir, S. Interstitial Pneumonitis during Imatinib Therapy in a Patient with Gastrointestinal Stromal Tumor: A Case Report. J. Cancer Sci Ther. 2015, 7, 269–271. [Google Scholar]
- Saplontai-Pop, A.; Mot, A.; Moldovan, M.; Oprean, R.; Silaghi-Dumitrescu, R.; Orasan, O.; Parvu, M.; Gal, E.; Ionescu, C. Testing antiplatelet and antioxidant activity of the extract of seven varieties of Allium cepa L. Open Life Sci. 2015, 10, 89–98. [Google Scholar] [CrossRef]
- Rosenow, E.C., 3rd; Limper, A.H. Drug-induced pulmonary disease. Semin Respir Infect. 1995, 10, 86–95. [Google Scholar]
- Snyder, L.S.; Hertz, M.I. Cytotoxic drug-induced lung injury. Semin Respir Infect. 1988, 3, 217–228. [Google Scholar]
- Nebeker, J.R.; Barach, P.; Samore, M.H. Clarifying adverse drug events: A clinician’s guide to terminology, documentation, and reporting. Ann Intern Med. 2004, 140, 795–801. [Google Scholar] [CrossRef]
- Camus, P.; Fanton, A.; Bonniaud, P.; Camus, C.; Foucher, P. Interstitial lung disease induced by drugs and radiation. Respiration. 2004, 71, 301–326. [Google Scholar] [CrossRef] [PubMed]
- Bonniaud, P.; Georges, M.; Favrolt, N.; Camus, P. Drug-induced interstitial lung diseases. Rev Prat. 2014, 64, 951–956. [Google Scholar]
- Camus, P. Interstitial lung disease from drugs, biologics, and radiation. In Interstitial Lung Disease, 5th ed.; Schwarz, M., King, T.E., Jr., Eds.; People’s Medical Publishing House: Shelton, Connectitut, USA, 2011; p. 637. [Google Scholar]
- Fujimoto, D.; Kato, R.; Morimoto, T.; Shimizu, R.; Sato, Y.; Kogo, M.; Ito, J.; Teraoka, S.; Nagata, K.; Nakagawa, A.; Ostuka, K.; Tomii, K. Characteristics and Prognostic Impact of Pneumonitis during Systemic Anti-Cancer Therapy in Patients with Advanced Non-Small-Cell Lung Cancer. PLoS ONE 2016, 11, 1–16. [Google Scholar] [CrossRef]
- Dhokarh, R.; Li, G.; Schmickl, C.N.; Kashyap, R.; Assudani, J.; Limper, A.H.; Gajic, O. Drug-associated acute lung injury: A population-based cohort study. Chest. 2012, 142, 845–850. [Google Scholar] [CrossRef] [PubMed]
- Goldsby, R.; Pulsipher, M.; Adams, R.; Coffin, C.; Albritton, K.; Wagner, L. Unexpected pleural effusions in 3 pediatric patients treated with STI-571. J Pediatr Hematol Oncol. 2002, 24, 694–695. [Google Scholar] [CrossRef] [PubMed]
- Ishii, Y.; Shoji, N.; Kimura, Y.; Ohyashiki, K. Prominent pleural effusion possibly due to imatinib mesylate in adult Philadelphia chromosome-positive acute lymphoblastic leukemia. Intern Med. 2006, 45, 339–340. [Google Scholar] [CrossRef][Green Version]
- Breccia, M.; D’Elia, G.M.; D’Andrea, M.; Latagliata, R.; Alimena, G. Pleural-pericardic effusion as uncommon complication in CML patients treated with Imatinib. Eur J Haematol. 2005, 74, 89–90. [Google Scholar] [CrossRef] [PubMed]
- Suceveanu, A.I.; Stoian APantea Mazilu, L.; et al. Interferon-free therapy is not a trigger for hepatocellular carcinoma in patients with chronic infection with hepatitis C Virus. Farmacia 2018, 66, 904–908. [Google Scholar] [CrossRef]
- Rosado, M.F.; Donna, E.; Ahn, Y.S. Challenging problems in advanced malignancy: Case 3. Imatinib mesylate-induced interstitial pneumonitis. J Clin Oncol. 2003, 21, 3171–3173. [Google Scholar] [CrossRef]
- Wagner, U.; Staats, P.; Moll, R.; Feek, U.; Vogelmeier, C.; Groneberg, D.A. Imatinib associated pulmonary alveolar proteinosis. Am J Med. 2003, 115, 674. [Google Scholar] [CrossRef]
- Ma, C.X.; Hobday, T.J.; Jett, J.R. Imatinib mesylate-induced interstitial pneumonitis. Mayo Clin Proc. 2003, 78, 1578–1579. [Google Scholar] [CrossRef]
- Yokoyama, T.; Miyazawa, K.; Kurakawa, E.; Nagate, A.; Shimamoto, T.; Iwaya, K.; Akata, S.; Aoshima, M.; Serizawa, H.; Ohyashiki, K. Interstitial pneumonia induced by imatinib mesylate: Pathologic study demonstrates alveolar destruction and fibrosis with eosinophilic infiltration. Leukemia. 2004, 18, 645–646. [Google Scholar] [CrossRef][Green Version]
- Isshiki, I.; Yamaguchi, K.; Okamoto, S. Interstitial pneumonitis during imatinib therapy. Br J Haematol. 2004, 125, 420. [Google Scholar] [CrossRef] [PubMed]
- Rajda, J.; Phatak, P.D. Reversible drug-induced interstitial pneumonitis following imatinib mesylate therapy. Amer J Hem. 2005, 79, 80–81. [Google Scholar] [CrossRef] [PubMed]
- Grimison, P.; Goldstein, D.; Schneeweiss, J.; Murray, N. Corticosteroid-responsive interstitial pneumonitis related to imantinib mesylate with successful rechallenge, and potential causative mechanisms. Intern Med J. 2005, 35, 136–137. [Google Scholar] [CrossRef] [PubMed]
- Lin, J.T.; Yeh, K.T.; Fang, H.Y.; Chang, C.S. Fulminant, but reversible interstitial pneumonitis associated with imatinib mesylate. Leuk Lymphoma. 2006, 47, 1693–1695. [Google Scholar] [CrossRef]
- Seki, N.; Ito, A.; Watanabe, K.; Shibakuki, R.; Seto, T.; Uematsu, K.; Eguchi, K. Irreversible imatinib-induced pneumonitis following long-term imatinib administration. Intern Med. 2007, 46, 1941–1942. [Google Scholar] [CrossRef]
- Yamasawa, H.; Sugiyama, Y.; Bando, M.; Ohno, S. Drug-induced pneumonitis associated with imatinib mesylate in a patient with idiopathic pulmonary fibrosis. Respiration. 2008, 75, 350–354. [Google Scholar] [CrossRef]
- Delomas, T.; Darne, C.; Besson, C. Lack of recurrence of imatinib-induced interstitial lung disease with nilotinib. Leuk Lymphoma. 2012, 53, 332–333. [Google Scholar] [CrossRef]
- Lazareva, O.V.; Turkina, A.G. Drug-Induced Pneumonitis: A Rare Complication of Imatinib Mesylate Therapy in Patients with Chronic Myeloid Leukemia. In Myeloid Leukemia—Clinical Diagnosis and Treatment; Koschmieder, S., Ed.; InTech: Shanghai, China, 2012; pp. 85–94. Available online: http://www.intechopen.com/books/myeloid-leukemia-clinical-diagnosis-and-treatment/drug-induced-pneumonitis-a-rare-complication-of-imatinib-mesylate-therapy-in-patients-with-chronic-m.
- Dao, K.; Vedy, D.; Lopez, J.; Staneczek, O.; Buclin, T.; Livio, F. Imatinib-induced dose-dependent interstitial lung disease successfully switched to nilotinib: A case report with concentration exposure data. Int J Hematol. 2013, 97, 299–300. [Google Scholar] [CrossRef]
- Eşkazan, A.E.; Salihoğlu, A.; Erturan, S.; Soysal, T. Interstitial pneumonitis in a patient with chronic myeloid leukemia. Turk J Hematol. 2013, 30, 435–436. [Google Scholar] [CrossRef]
- Go, S.W.; Kim, B.K.; Lee, S.H.; Kim, T.J.; Huh, J.Y.; Lee, J.M.; Hah, J.H.; Kim, D.W.; Cho, M.J.; Kim, T.W.; Kang, J.Y. Successful Rechallenge with Imatinib in a Patient with Chronic Myeloid Leukemia Who Previously Experienced Imatinib Mesylate Induced Pneumonitis. Tuberc Respir Dis. 2013, 75, 256–259. [Google Scholar] [CrossRef] [PubMed]
- Seddik, Y.; Brahmi, S.A.; Afqir, S. Interstitial Pneumonitis during Imatinib Therapy in a Patient with Gastrointestinal Stromal Tumor: A Case Report. J Cancer Sci Ther. 2015, 7, 242–248. [Google Scholar]
- Lee, N.R.; Jang, J.W.; Kim, H.S.; Yhim, H.Y. Imatinib mesylate-induced interstitial lung disease in a patient with prior history of Mycobacterium tuberculosis infection. Korean J Intern Med. 2015, 30, 550–553. [Google Scholar] [CrossRef] [PubMed]
- Luo, Z.-B.; Xu, N.; Huang, X.-P.; Ouyang, G.-F. Imatinib-Induced Interstitial Pneumonitis Successfully Switched to Nilotinib in a Patient with Prior History of Mycobacterium tuberculosis Infection. Turk J Hematol. 2017, 34, 356–381. [Google Scholar] [CrossRef] [PubMed]
- Ohnishi, K.; Sakai, F.; Kudoh, S.; Ohno, R. Twenty-seven cases of drug-induced interstitial lung disease associated with imatinib mesylate. Leukemia. 2006, 20, 1162–1164. [Google Scholar] [CrossRef]
- Snyder, L.S.; Hertz, M.I.; Peterson, M.S.; Harmon, K.R.; Marinelli, W.A.; Henke, C.A.; Greenheck, J.R.; Chen, B.; Bitterman, P.B. Acute lung injury: Pathogenesis of intraalveolar fibrosis. J Clin Invest. 1991, 88, 663–673. [Google Scholar] [CrossRef]
- Walsh, J.; Absher, M.; Kelley, J. Variable expression of platelet-derived growth factor family proteins in acute lung injury. Am J Respir Cell Mol Biol. 1993, 9, 637–644. [Google Scholar] [CrossRef]
- Peerzada, M.M.; Spiro, T.P.; Daw, H.A. Pulmonary toxicities of tyrosine kinase inhibitors. Clin Adv Hematol Oncol. 2011, 9, 824–836. [Google Scholar]
- Rossi, S.E.; Erasmus, J.J.; McAdams, H.P.; Sporn, T.A.; Goodman, P.C. Pulmonary drug toxicity: Radiologic and pathologic manifestations. Radiographics 2000, 20, 1245–1259. [Google Scholar] [CrossRef]
- Seong, W.G.; Boo, K.K.; Sung, H.L.; Tae-Jung, K.; Joo, Y.H.; Jong, M.L.; Jick, H.H.; Dong, W.K.; Min, J.C.; Tae, W.K.; Ji, Y.K. Successful Rechallenge with Imatinib in a Patient with Chronic Myeloid Leukemia Who Previously Experienced Imatinib Mesylate Induced Pneumonitis. Tuberc Respir Dis. 2013, 75, 256–259. [Google Scholar]
© 2020 by the author. 2020 Olga Hilda Orasan, Andreea Maria Stefan, Iulia Minciuna, Adela Sitar-Taut, George Ciulei, Simina Tarmure, Ioana Para, Flaviu Muresan, Ovidiu Fabian, Sorina Cezara Coste, Vasile Negrean, Angela Cozma, Laura Urian.
