Challenges in the Treatment of a Refractory Testicular Germ Cell Tumor in Young Patients with Imminent Organ Failure—A Case Report
Abstract
1. Introduction
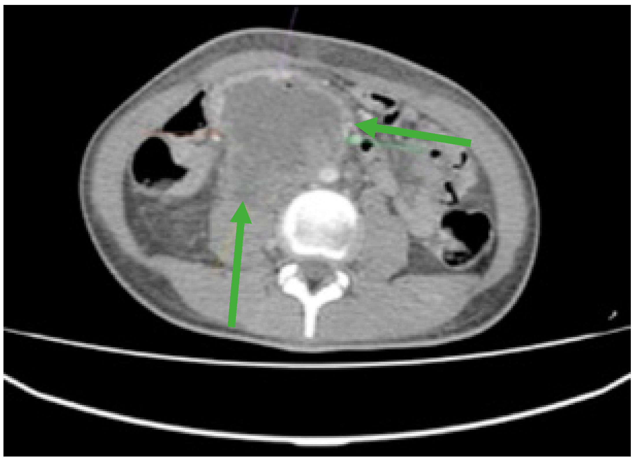
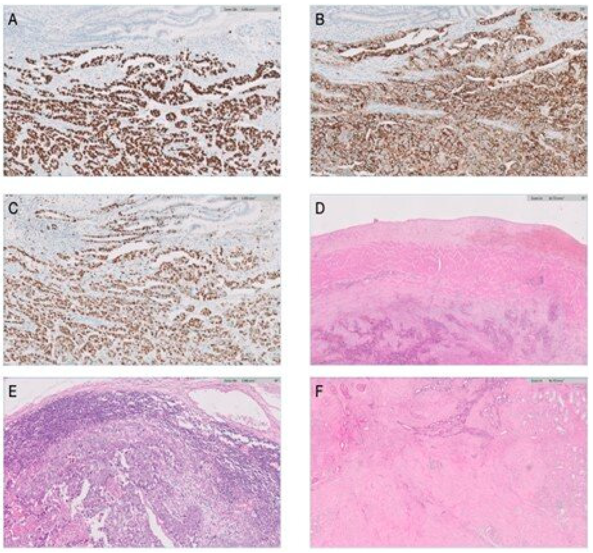
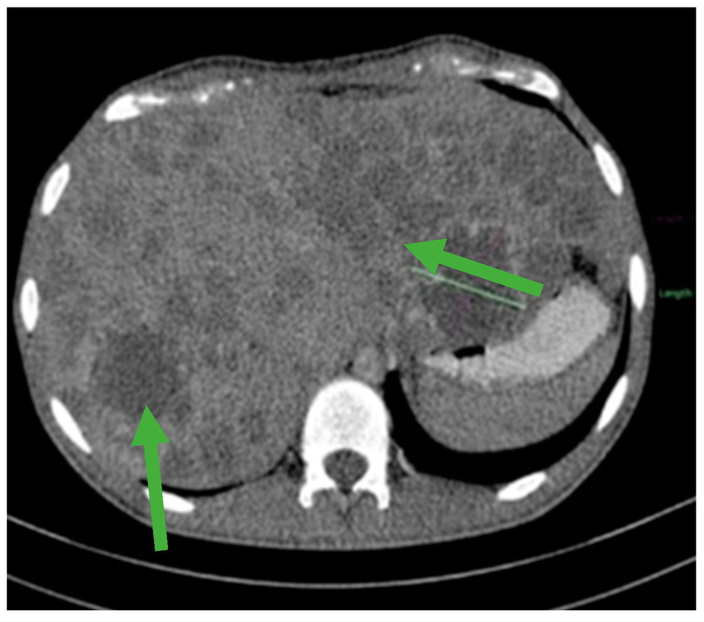
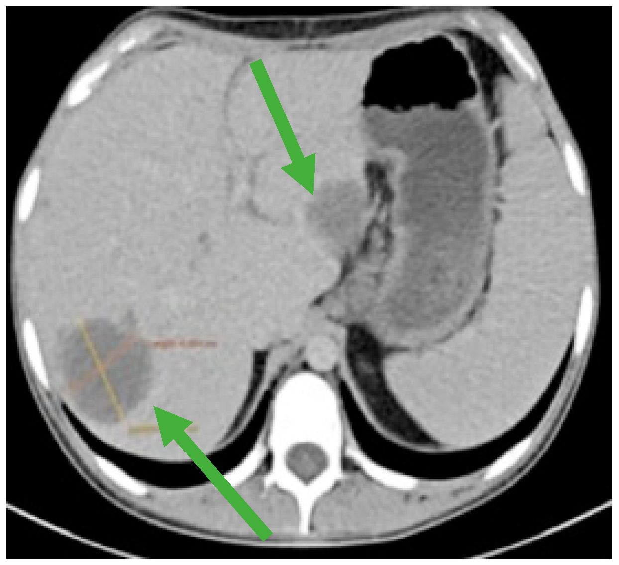
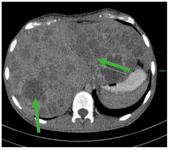
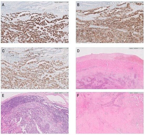
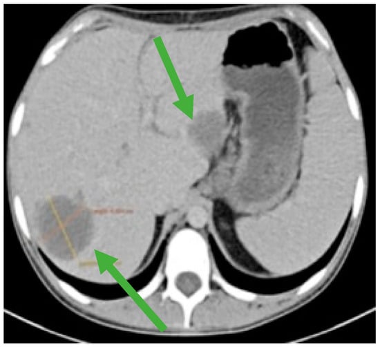
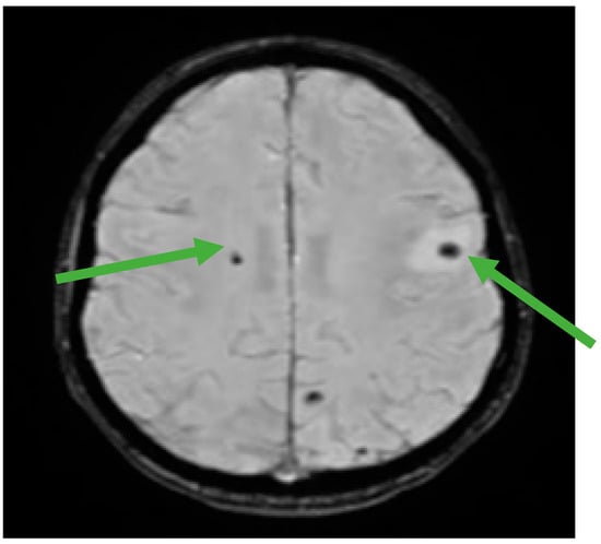
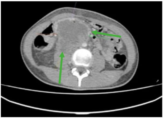
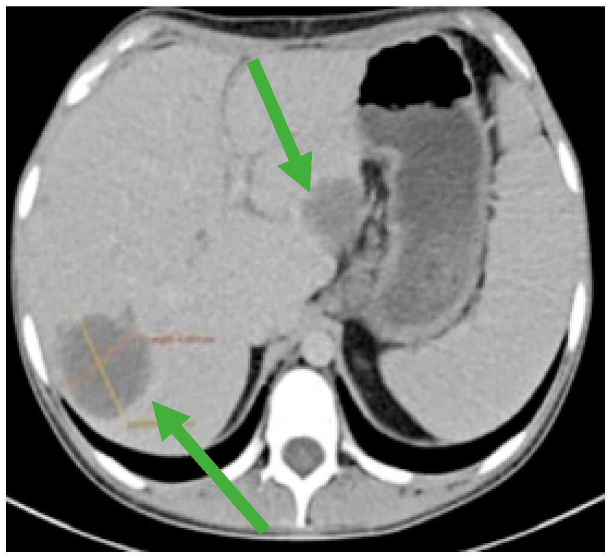
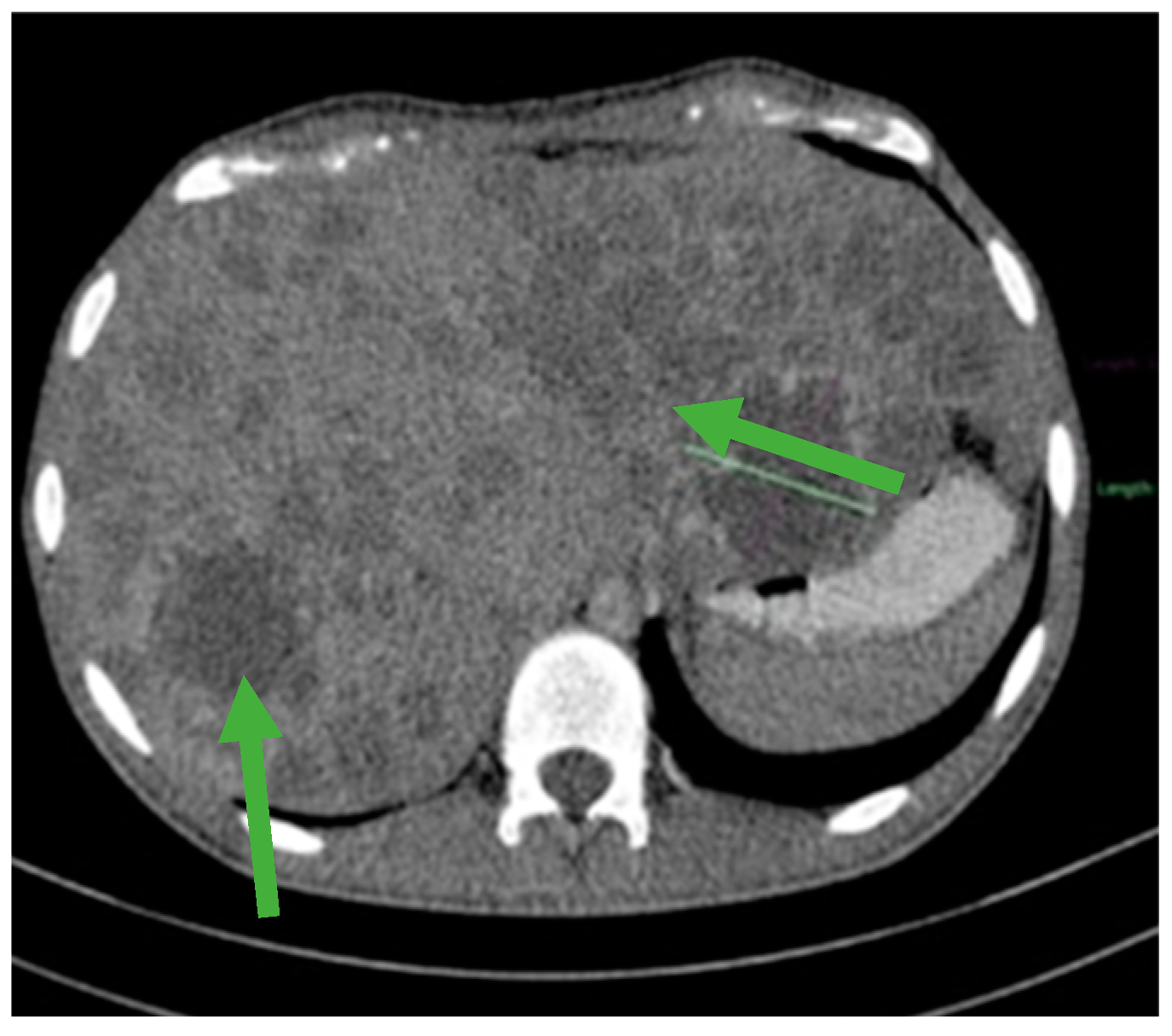
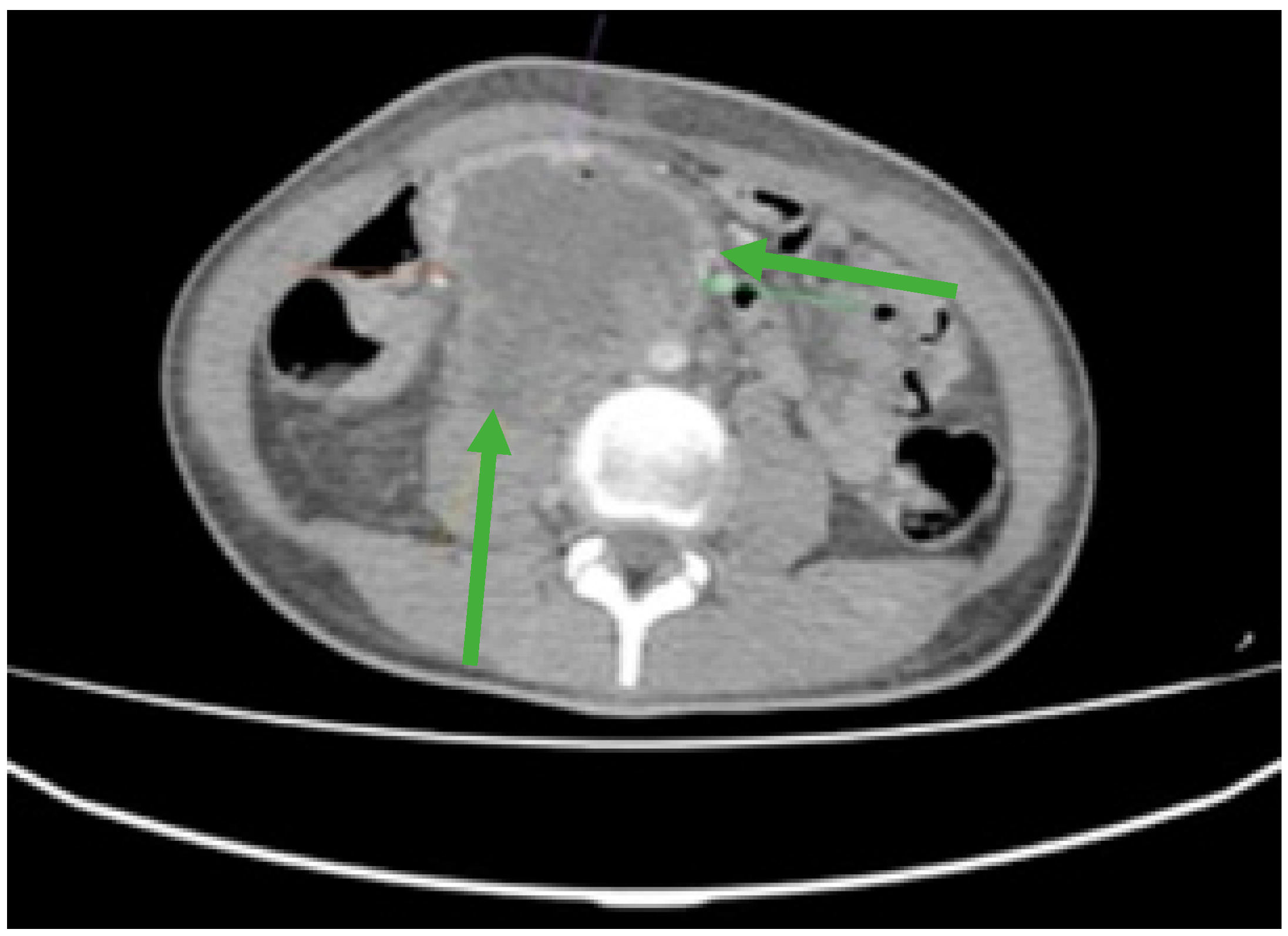
2. Case Report
3. Discussion
4. Conclusions
Author Contributions
Funding
Institutional Review Board Statement
Informed Consent Statement
Data Availability Statement
Conflicts of Interest
References
- Siegel, R.L.; Miller, K.D.; Wagle, N.S.; Jemal, A. Cancer statistics, 2023. CA Cancer J. Clin. 2023, 73, 17–48. [Google Scholar] [CrossRef] [PubMed]
- Oldenburg, J.; Fosså, S.D.; Nuver, J.; Heidenreich, A.; Schmoll, H.J.; Bokemeyer, C.; Horwich, A.; Beyer, J.; Kataja, V.; ESMO Guidelines Working Group. Testicular seminoma and non-seminoma: ESMO Clinical Practice Guidelines for diagnosis, treatment and follow-up. Ann. Oncol. 2013, 24, vi125-32. [Google Scholar] [CrossRef] [PubMed]
- McHugh, D.J.; Gleeson, J.P.; Feldman, D.R. Testicular cancer in 2023: Current status and recent progress. CA A Cancer J. Clin. 2024, 74, 115–203. [Google Scholar] [CrossRef]
- Barber, N.; Ali, A. Urologic Cancers (Internet); Exon Publications: Brisbane, AU, Australia, 2022. [Google Scholar]
- Surveillance, Epidemiology and End Results Program (SEER). Cancer Stat Facts: Testicular Cancer; National Cancer Institute, Division of Cancer Control and Population Sciences, Surveillance Research Program: Bethesda, MD, USA, 2022. [Google Scholar]
- Germà-Lluch, J.R.; Garcia del Muro, X.; Maroto, P.; Paz-Ares, L.; Arranz, J.A.; Gumà, J.; Alba, E.; Sastre, J.; Aparicio, J.; Fernández, A.; et al. Clinical pattern and therapeutic results achieved in 1490 patients with germ-cell tumours of the testis: The experience of the Spanish Germ-Cell Cancer Group (GG). Eur. Urol. 2002, 42, 553–562. [Google Scholar] [CrossRef]
- Dieckmann, K.P.; Krain, J.; Gottschalk, W.; Büttner, P. Atypische Symptomatik bei Patienten mit germinalen Hodentumoren (Atypical symptoms in patients with germinal testicular tumors). Urologe A 1994, 33, 325–330. [Google Scholar] [CrossRef]
- Park, J.S.; Kim, J.; Elghiaty, A.; Ham, W.S. Recent global trends in testicular cancer incidence and mortality. Medicine 2018, 97, e12390. [Google Scholar] [CrossRef]
- Vasdev, N.; Moon, A.; Thorpe, A.C. Classification, epidemiology andtherapies for testicular germ cell tumours. Int. J. Dev. Biol. 2013, 57, 133–139. [Google Scholar] [CrossRef]
- Taylor-Weiner, A.; Zack, T.; O’Donnell, E.; Guerriero, J.L.; Bernard, B.; Reddy, A.; Han, G.C.; AlDubayan, S.; Amin-Mansour, A.; Schumacher, S.E.; et al. Genomic evolution and chemoresistance in germ-cell tumours. Nature 2016, 540, 114–118. [Google Scholar] [CrossRef]
- Fung, C.; Dinh, P.C.; Fossa, S.D.; Travis, L.B. Testicular Cancer Survivorship. J. Natl. Compr. Cancer Netw. 2019, 17, 1557–1568. [Google Scholar] [CrossRef]
- Bokemeyer, C.; Hartmann, J.T.; Kuczyk, M.A.; Truss, M.C.; Kollmannsberger, C.; Beyer, J.; Jonas, U.; Kanz, L. Recent strategies for the use of paclitaxel in the treatment of urological malignancies. World J. Urol. 1998, 16, 155–162. [Google Scholar] [CrossRef]
- Jacobs, E.M.; Muggia, F.M.; Rozencweig, M. Chemotherapy of testicular cancer: From palliation to curative adjuvant therapy. Semin. Oncol. 1979, 6, 3–13. [Google Scholar]
- Chan Wah Hak, C.; Coyle, C.; Kocache, A.; Short, D.; Sarwar, N.; Seckl, M.J.; Gonzalez, M.A. Emergency Etoposide-Cisplatin (Em-EP) for patients with germ cell tumours (GCT) and trophoblastic neoplasia (TN). BMC Cancer 2019, 19, 770. [Google Scholar] [CrossRef]
- Ulbright, T.M.; Loehrer, P.J. Choriocarcinoma-like lesions in patients with testicular germ cell tumors. Two histologic variants. Am. J. Surg. Pathol. 1998, 12, 531–541. [Google Scholar] [CrossRef] [PubMed]
- Malbari, F.; Gershon, T.R.; Garvin, J.H.; Allen, J.C.; Khakoo, Y.; Levy, A.S.; Dunkel, I.J. Psychiatric manifestations as initial presentation for pediatric CNS germ cell tumors, a case series. Child’s Nerv. Syst. 2016, 32, 1359–1362. [Google Scholar] [CrossRef]
- Emre Duygulu, M.; Kaymazli, M.; Goren, I.; Yildirim, B.; Sullu, Y.; Nural, M.S.; Bektas, A. Embryonal Testicular Cancer with Duodenal Metastasis: Could Nausea and Vomiting be Alarm Symptoms? Euroasian J. Hepatogastroenterol. 2016, 6, 198–201. [Google Scholar] [CrossRef] [PubMed][Green Version]
- Al Ani, A.H.; Al Ani, H.A. Testicular seminoma metastasis to duodenum. Misdiagnosed as primary duodenal tumor. Int. J. Surg. Case Rep. 2016, 25, 149–152. [Google Scholar] [CrossRef] [PubMed][Green Version]
- National Comprehensive Cancer Network. Testicular Cancer, Version 2.2020, NCCN Clinical Practice Guidelines in Oncology. Available online: https://jnccn.org/view/journals/jnccn/17/12/article-p1529.xml (accessed on 1 January 2020).
- Hinton, S.; Catalano, P.J.; Einhorn, L.H.; Nichols, C.R.; David Crawford, E.; Vogelzang, N.; Trump, D.; Loehrer, P.J., Sr. Cisplatin, etoposide and either bleomycin or ifosfamide in the treatment of disseminated germ cell tumors: Final analysis of an intergroup trial. Cancer 2003, 97, 1869–1875. [Google Scholar] [CrossRef]
- Honecker, F.; Aparicio, J.; Berney, D.; Beyer, J.; Bokemeyer, C.; Cathomas, R.; Clarke, N.; Cohn-Cedermark, G.; Daugaard, G.; Dieckmann, K.P.; et al. ESMO Consensus Conference on testicular germ cell cancer: Diagnosis, treatment and follow-up. Ann. Oncol. 2018, 29, 1658–1686. [Google Scholar] [CrossRef]
- Oldenburg, J.; Berney, D.M.; Bokemeyer, C.; Climent, M.A.; Daugaard, G.; Gietema, J.A.; De Giorgi, U.; Haugnes, H.S.; Huddart, R.A.; Leão, R.; et al. Testicular seminoma and non-seminoma: ESMO-EURACAN Clinical Practice Guideline for diagnosis, treatment and follow-up. Ann. Oncol. 2022, 33, 362–375. [Google Scholar] [CrossRef]
- Lorch, A.; Bascoul-Mollevi, C.; Kramar, A.; Einhorn, L.; Necchi, A.; Massard, C.; De Giorgi, U.; Fléchon, A.; Margolin, K.; Lotz, J.P.; et al. Conventional-dose versus high-dose chemotherapy as first salvage treatment in male patients with metastatic germ cell tumors: Evidence from a large international database. J. Clin. Oncol. 2011, 29, 2178–2184. [Google Scholar] [CrossRef]
- Lorch, A.; Beyer, J.; Bascoul-Mollevi, C.; Kramar, A.; Einhorn, L.H.; Necchi, A.; Massard, C.; De Giorgi, U.; Fléchon, A.; Margolin, K.A.; et al. Prognostic factors in patients with metastatic germ cell tumors who experienced treatment failure with cisplatin-based first-line chemotherapy. J. Clin. Oncol. 2010, 28, 4906–4911. [Google Scholar]
- Bedano, P.M.; Brames, M.J.; Williams, S.D.; Juliar, B.E.; Einhorn, L.H. Phase II Study of Cisplatin Plus Epirubicin Salvage Chemotherapy in Refractory Germ Cell Tumors. J. Clin. Oncol. 2006, 24, 5403–5407. [Google Scholar] [CrossRef] [PubMed]
- Rajpert-De Meyts, E.; Skotheim, R.I. Complex Polygenic Nature of Testicular Germ Cell Cancer Suggests Multifactorial Aetiology. Eur. Urol. 2018, 73, 832–833. [Google Scholar] [CrossRef] [PubMed]
- Bagrodia, A.; Pierorazio, P.; Singla, N.; Albers, P. The Complex and Nuanced Care for Early-stage Testicular Cancer: Lessons from the European Association of Urology and American Urological Association Testis Cancer Guidelines. Eur. Urol. 2020, 77, 139–141. [Google Scholar] [CrossRef]
- Nestler, T.; Schmelz, H.; Müller, A.C.; Seidel, C. Multimodale Therapie des Hodentumors: Wann Chemotherapie, Operation oder Strahlentherapie? (Multimodal treatment of testicular cancer: Chemotherapy, surgery or radiotherapy?). Urologie 2022, 61, 1315–1323. [Google Scholar] [CrossRef] [PubMed]
- Rosas-Plaza, X.; de Vries, G.; Meersma, G.J.; Suurmeijer, A.J.; Gietema, J.A.; van Vugt, M.A.; de Jong, S. Dual mTORC1/2 Inhibition Sensitizes Testicular Cancer Models to Cisplatin Treatment. Mol. Cancer Ther. 2020, 19, 590–601. [Google Scholar] [CrossRef]
- McGrady, M.E.; Willard, V.W.; Williams, A.M.; Brinkman, T.M. Psychological Outcomes in Adolescent and Young Adult Cancer Survivors. J. Clin. Oncol. 2024, 42, 707–716. [Google Scholar] [CrossRef]
- Kreiberg, M.; Bandak, M.; Lauritsen, J.; Andersen, K.K.; Skøtt, J.W.; Johansen, C.; Agerbaek, M.; Holm, N.V.; Lau, C.J.; Daugaard, G. Psychological stress in long-term testicular cancer survivors: A Danish nationwide cohort study. J. Cancer Surviv. 2020, 14, 72–79. [Google Scholar] [CrossRef]






| Test | Results | Normal Values./Unit. Mass | 
|---|---|---|
| -Serum Albumin | 3.32 | 3.40–4.80 | 
| -Total Serum Bilirubin | 3.98 | 0.10–1.00 | 
| -Total Serum Calcium | 8.24 | 8.60–10.20 | 
| -Serum Creatinine | 0.32 | 0.70–1.20 | 
| -Serum Potassium | 2.92 | 3.50–5.10 | 
| -Total Serum Proteins | 5.18 | 6.60–8.70 | 
| -TGO | 450.11 | Women < 32 U/L | 
| -TGP | 77.91 | Women < 33 U/L | 
| -Hemoglobin | 7.70 | 12.30–17.00 | 
| -BHCG | 643,648.00 | 00.00–2.60 | 
| -AFP | 2799.00 | 00.00–7.00 | 
| -INR | 1.69 | 0.86–1.20 | 
| Disclaimer/Publisher’s Note: The statements, opinions and data contained in all publications are solely those of the individual author(s) and contributor(s) and not of MDPI and/or the editor(s). MDPI and/or the editor(s) disclaim responsibility for any injury to people or property resulting from any ideas, methods, instructions or products referred to in the content. | 
© 2025 by the authors. Licensee MDPI, Basel, Switzerland. This article is an open access article distributed under the terms and conditions of the Creative Commons Attribution (CC BY) license (https://creativecommons.org/licenses/by/4.0/).
Share and Cite
Pantelimon, I.; Stancu, A.-M.; Socoliuc, C.; Abzait, F.; Balescu, I.; Bacalbasa, N.; Balalau, C.; Galeș, L.N.; Brezean, I. Challenges in the Treatment of a Refractory Testicular Germ Cell Tumor in Young Patients with Imminent Organ Failure—A Case Report. J. Mind Med. Sci. 2025, 12, 30. https://doi.org/10.3390/jmms12010030
Pantelimon I, Stancu A-M, Socoliuc C, Abzait F, Balescu I, Bacalbasa N, Balalau C, Galeș LN, Brezean I. Challenges in the Treatment of a Refractory Testicular Germ Cell Tumor in Young Patients with Imminent Organ Failure—A Case Report. Journal of Mind and Medical Sciences. 2025; 12(1):30. https://doi.org/10.3390/jmms12010030
Chicago/Turabian StylePantelimon, Iuliana, Andra-Maria Stancu, Claudiu Socoliuc, Fikirie Abzait, Irina Balescu, Nicolae Bacalbasa, Cristian Balalau, Laurenţia Nicoleta Galeș, and Iulian Brezean. 2025. "Challenges in the Treatment of a Refractory Testicular Germ Cell Tumor in Young Patients with Imminent Organ Failure—A Case Report" Journal of Mind and Medical Sciences 12, no. 1: 30. https://doi.org/10.3390/jmms12010030
APA StylePantelimon, I., Stancu, A.-M., Socoliuc, C., Abzait, F., Balescu, I., Bacalbasa, N., Balalau, C., Galeș, L. N., & Brezean, I. (2025). Challenges in the Treatment of a Refractory Testicular Germ Cell Tumor in Young Patients with Imminent Organ Failure—A Case Report. Journal of Mind and Medical Sciences, 12(1), 30. https://doi.org/10.3390/jmms12010030
 
         
                                                


 
       