Next Article in Journal
A Review of Postoperative Complications in Colon Cancer Surgery: The Need for Patient-Centered Therapy
Previous Article in Journal
Coronary Slow Flow Is Associated with Anxiety and Depression but Not Adverse Childhood Experiences and Alexithymia
 
 
Font Type:
Arial Georgia Verdana
Font Size:
Aa Aa Aa
Line Spacing:
Column Width:
Background:
Case Report

Synchronous Metastasizing High-Grade Papillary Serous Carcinoma of the Fallopian Tube and Triple-Negative Primary Breast Cancer in a BRCA1 Mutation Carrier

by
Mihnea-Andrei Nicodin
1,2,3,
Tudor-Petru Nicodin
2,4,
Anca Popescu
1,5,
Elena Rusu
6,
Cosmin Alec Moldovan
3,7,
Alice Elena Munteanu
3,8,
Mariam Dalaty
1,9,* and
Ovidiu Vasile Nicodin
1,3
1
Department of Obstetrics and Gynecology, “Carol Davila” Central Military Emergency University Hospital, 010825 Bucharest, Romania
2
Doctoral School of Medicine, “Carol Davila” University of Medicine and Pharmacy, 020021 Bucharest, Romania
3
Department of Medico-Surgical and Prophylactic Sciences, Faculty of Medicine, Titu Maiorescu University, 031593 Bucharest, Romania
4
Department of Urology, “Carol Davila” Central Military Emergency University Hospital, 010825 Bucharest, Romania
5
Doctoral School of Medicine, University of Medicine and Pharmacy of Craiova, 200349 Craiova, Romania
6
Department of Preclinical Disciplines, Faculty of Medicine, Titu Maiorescu University, 031593 Bucharest, Romania
7
Department of General Surgery, CF Witting Hospital, 10243 Bucharest, Romania
8
Department of Cardiovascular Disease, “Carol Davila” Central Military Emergency University Hospital, 010825 Bucharest, Romania
9
Doctoral School of Medicine, George Emil Palade University of Medicine, Pharmacy, Science, and Technology of Targu Mureș, 540142 Mures, Romania
*
Author to whom correspondence should be addressed.
J. Mind Med. Sci. 2025, 12(1), 20; https://doi.org/10.3390/jmms12010020
Submission received: 24 February 2025 / Revised: 19 March 2025 / Accepted: 7 April 2025 / Published: 15 April 2025

Abstract

Patients with a BRCA1 germline mutation often represent a challenge for medical healthcare, since they develop malignancies that tend to be more aggressive and which need to be addressed in multidisciplinary teams with more individualized therapies. We report a case of a 37-year-old woman with a BRCA1 mutation who was diagnosed and treated for high-grade papillary serous carcinoma of the fallopian tube. Eight years later, her regular check-up imaging revealed a latero-aortic lymphadenopathy and a right breast tumor. She underwent a fine needle breast biopsy which was positive for invasive non-specific type carcinoma with negative estrogen, progesterone and Her2 receptors in immunohistochemistry tests. The patient underwent debulking surgery for metastatic lymphadenopathy, followed by chemotherapy with Carboplatin and Paclitaxel, and a modified right mastectomy with axillary lymphadenectomy. She subsequently initiated therapy with the PARP inhibitor Olaparib. No evidence of tumor recurrence was detected during the six-month postoperative follow-up period. The primary goal of this paper is to emphasize the complexity and challenges of managing patients with BRCA1 mutations who develop synchronous malignancies. This case report aims to highlight the increasing role of precision medicine and the importance of personalized, multidisciplinary therapeutic strategies, which include surgery, chemotherapy, and targeted therapies.

1. Introduction

Fallopian tube carcinoma is a rare and aggressive form of cancer accounting for 1% to 2% of all gynecologic malignancies [1]. It is usually included under the umbrella of ovarian cancer which also encompasses peritoneal and high-grade serous carcinomas of the ovaries, with all three sharing similar histopathological features. Most cases of fallopian tube cancer are diagnosed at an advanced stage, due to unspecific symptoms, early spread in the peritoneal cavity, and lack of effective screening tests.
Among the risk factors, germline mutations such as BRCA1 are most prominently associated with fallopian tube and breast cancer [2]. The BRCA1 gene plays a crucial role in cellular repair mechanisms, and mutation in its gene leads to genomic instability and an increased risk of developing malignant tumors. Specifically, patients who inherit a BRCA1 mutation will develop cancer at a younger age, and all histopathological types tend to have more aggressive features. A particular kind of malignancy is triple-negative breast cancer which is characterized by the absence of estrogen, progesterone, and Her2 receptors. The connection between these types of cancer emphasizes the need for a comprehensive understanding of the treatment strategies, early detection, and genetic counseling in all patients with diagnosed BRCA1 mutation.

2. Clinical Case

A 37-year-old Caucasian female, with a height of 176 cm and weight of 75 kg, presented to the Obstetrics and Gynecology department of Carol Davila Central Military Emergency Hospital in Bucharest with pelvic and abdominal discomfort. Her medical history included Hashimoto’s disease and depression. The pelvic MRI described a complex expansive process with a mixed cystic and solid structure of approximately 44.3/40.3/32.2 mm and a similar peritoneal lesion. The patient underwent surgical intervention where total hysterectomy, bilateral salpingo-oophorectomy, and peritoneal node resection were performed. The histological result revealed high-grade papillary carcinoma of the fallopian tube (pT3b). She underwent six chemotherapy sessions with Cisplatin and Paclitaxel, followed by imagistic and clinical regular gynecology and oncology check-ups.
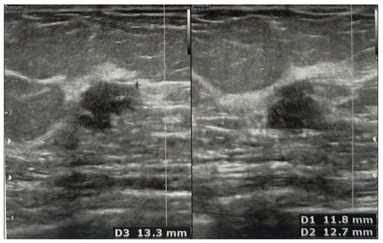
Eight years later, in May 2023, she presented her annual imagistic report where the following was described: abdomen and pelvic MRI—para-aortic left adenopathies with conglomerate aspect, the biggest measuring maximum 23/20 mm and 12/10 mm with features highly suggestive of an oncological process; breast ultrasound and MRI—right breast, supero-external quadrant, hour 10, at approximately 5 cm distance from the mammary papilla, the presence of a hypoechogenic nodule with microcalcifications, irregular margins, measuring 1.33/1.18/1.27 cm (Figure 1 and Figure 2).
A breast biopsy performed in June 2023 revealed NST invasive breast carcinoma, G3, with estrogen, progesterone, and HER2neu-negative receptors. No lymphovascular or perineural invasion was detected and P53 exhibited a high proliferation index—50–60%. PD-L1 was positive, with IC = 3%, and the TILs score was 2–3%. Blood tests were also performed to evaluate BRCA status. A class 5 pathogenic variant in the BRCA1 gene was detected: c.5266_5267insC (p.(Q1756Pfs*74)) with an allelic frequency of 47.93%. Also, a class 3 pathogenic variant in missense in the BRCA1 gene was detected: c.2666C>T (p.(S889F)) with an allelic frequency of 47.93%.
After presenting the case to the oncological board of the hospital, she was admitted to our department in July 2023 for debulking surgery under general anesthesia. Her blood pressure measured 126/76 mmHg at admission. The laboratory tests performed preoperatively showed normal hemoglobin and coagulation tests. Adequate bowel preparation and VTE prophylaxis were performed. Exploratory laparotomy revealed a large latero-aortic adenopathy exceeding the left vascular renal pedicle up to 5 cm above the emergence of the inferior mesenteric artery.
No other peritoneal implants were detected. Pelvic and para-aortic lymphadenectomy was performed, with no intraoperative complications. The histopathologic specimens belonging to the latero-aortic adenopathy (Figure 3) revealed high-grade papillary carcinoma. Immunohistochemistry in the metastatic tissue revealed PAX8, WT1, and p53 positive in tumor cells and ER, PGR and Her2neu negative in tumor cells. The other lymphatic tissue showed no sign of metastases.
She received six rounds of Carboplatin and Paclitaxel. After completing chemotherapy, a modified Madden right mastectomy with axillary lymphadenectomy was performed in February 2024. She is currently undergoing Olaparib PARP inhibitor therapy. There were no imagistic or clinical signs of tumor recurrence in the six-month postoperative check-up.

3. Discussion

The presented case underscores the intricate relationship between cancer predisposition in patients with BRCA1 mutations and the management of synchronous malignancies. For such patients, therapeutic strategies must be highly individualized, incorporating surgical, oncological, and targeted therapies. One of the primary challenges in treating these patients is the timely and accurate diagnosis, which facilitates comprehensive treatment planning. Moreover, it is important to highlight that the risk of developing synchronous malignancies is elevated in individuals with BRCA1 mutations [3]. Furthermore, studies have demonstrated that approximately 70% of patients with TNBC carry an inherited BRCA1 mutation [4]. This genetic predisposition to aggressive cancers makes the need for a personalized approach to treatment all the more urgent.
Surgery remains the cornerstone of treatment for advanced fallopian tube carcinoma, with the goal typically being to achieve optimal or complete cytoreduction [5]. This malignancy is known to spread predominantly within the peritoneal cavity [6]. In the case presented, however, the recurrence was confined to the latero-aortic lymph nodes, which is a noteworthy feature as patients with isolated nodal recurrence tend to have better survival outcomes compared to those with peritoneal carcinomatosis [5]. The therapeutic management of such cases must, therefore, be tailored to achieve the best possible outcome by addressing both the primary tumor and its recurrence.
The use of Olaparib, a PARP inhibitor, represents a significant advancement in the treatment of hereditary cancers, particularly those associated with BRCA1 mutations. By inhibiting the DNA repair mechanisms in cancer cells, Olaparib effectively exploits the defect in homologous recombination repair present in BRCA1-mutated tumors [7]. The selection of Olaparib in this case reflects the growing importance of targeted therapies in the era of precision medicine [8]. This treatment was chosen based on both the molecular profile of the breast tumor and the BRCA1 mutation status, as well as the known efficacy of PARP inhibitors in BRCA-mutant tumors. Additionally, PD-L1 testing of the breast tumor showed a positive result (>than 1%), and the stromal TILs score was low (2–3%). These results suggest that the tumor may have high potential for immune escape mechanisms, reducing the likelihood of responsiveness to immune checkpoint inhibitors, such as anti-PD-L1 therapies. As such, Olaparib was considered the optimal choice for this particular case. In line with therapeutic guidelines for recurrent fallopian tube cancer, Olaparib can be indicated as monotherapy for maintenance treatment for patients who have shown a response (either complete or partial) to platinum-based chemotherapy [9]. The patient in this case had a favorable response to Carboplatin and Paclitaxel chemotherapy, which are standard first-line treatments for fallopian tube cancer.
Bevacizumab, a monoclonal antibody targeting vascular endothelial growth factor, has been shown to improve progression-free survival in various cancers, including fallopian tube carcinoma, particularly in cases that are platinum-sensitive [10]. However, in this case, Bevacizumab was not selected because the patient had responded well to platinum-based chemotherapy, and Olaparib was considered more appropriate for her BRCA1 mutation profile. Although Bevacizumab may be considered in future treatment lines, particularly for recurrent or relapsed disease, the initial focus for this patient is on maintaining disease control through the use of Olaparib. Furthermore, while the role of immunotherapy is increasingly explored in the management of TNBC, the lack of a strong immune response (as evidenced by the low TILs and moderate PD-L1 expression) in this patient suggests that immunotherapy may be less effective. This underscores the importance of understanding the tumor microenvironment and incorporating immunological profiling into treatment decisions.
This case illustrates the complex interplay between genetic predisposition, molecular diagnostics, and individualized treatment strategies in managing patients with BRCA1 mutations and synchronous malignancies. The use of targeted therapies guided by genetic and molecular testing plays a central role in improving patient outcomes in hereditary cancers. Ongoing research and awareness of the molecular characteristics of such cancers are essential for optimizing treatment and enhancing survival rates for patients with BRCA1 mutations and synchronous malignancies.

4. Conclusions

This case highlights the intricate relationship between BRCA1 mutations and the increased risk of developing synchronous malignancies. The individualized treatment approach, which included surgery, chemotherapy, and targeted therapy, underscores the importance of a comprehensive, multi-disciplinary strategy in managing patients with hereditary cancer syndromes. Timely diagnosis and personalized therapy approaches are crucial in improving outcomes for such patients. The presented case emphasizes the need for continued research and awareness to increase survival rates for patients with BRCA1 mutations and synchronous cancers.

Author Contributions

Conceptualization, M.-A.N. and T.-P.N.; writing—original draft preparation, M.D.; writing—review and editing, A.P.; supervision, O.V.N. and A.E.M.; project administration, E.R. and C.A.M. All authors have read and agreed to the published version of the manuscript.

Funding

This research received no external funding.

Institutional Review Board Statement

The study was conducted in accordance with the Declaration of Helsinki and approved by the Ethics Committee of “Carol Davila” Central Military Emergency University Hospital, Bucharest, Romania (752/22 January 2025).

Informed Consent Statement

Informed consent was obtained from all subjects involved in the study.

Data Availability Statement

The data presented in this study are available on request from the corresponding author due to privacy reasons.

Conflicts of Interest

The authors declare no conflicts of interest.

Abbreviations

The following abbreviations are used in this manuscript:
BRCA1Breast Cancer Gene 1
TNBCTriple-negative breast cancer
Her2 receptorHuman Epidermal Growth Factor Receptor 2
VTEVenous Thromboembolism
PARP inhibitorPoly-ADP Ribose Polymerase inhibitor
PD-L1Programmed Death Ligand 1
TILsTumor-Infiltrating Lymphocytes
ICImmune Cells

References

  1. Sam, A.; George, J.; Mathew, B. Less Common Gynecologic Malignancies: An Integrative Review. Semin. Oncol. Nurs. 2019, 35, 175–181. [Google Scholar] [CrossRef] [PubMed]
  2. Eberhardt, S.C.; Gallegos, M.L. Chapter 34—Ovarian and Fallopian Tube Cancer. In Gynecologic Imaging; Fielding, J.R., Brown, D.L., Thurmond, A.S., Eds.; W.B. Saunders: Philadelphia, PA, USA, 2011; pp. 514–529. [Google Scholar]
  3. Joshi, S.; Murali-Nanavati, S.; Shylasree, T.S.; Hawaldar, R.; Tripathi, S.; Sahay, A.; Noronha, J.; Jain, U.; Thomas, A.; Kowtal, P.; et al. Synchronous and Metachronous Breast and Ovarian Cancers: Experience from a Single Tertiary Care Cancer Centre in India. Indian J. Surg. Oncol. 2023, 14, 809–821. [Google Scholar] [CrossRef] [PubMed]
  4. Stevens, K.N.; Vachon, C.M.; Couch, F.J. Genetic susceptibility to triple-negative breast cancer. Cancer Res. 2013, 73, 2025–2030. [Google Scholar] [CrossRef] [PubMed]
  5. Colombo, N.; Sessa, C.; du Bois, A.; Ledermann, J.; McCluggage, W.G.; McNeish, I.; Morice, P.; Pignata, S.; Ray-Coquard, I.; Vergote, I.; et al. ESMO-ESGO consensus conference recommendations on ovarian cancer: Pathology and molecular biology, early and advanced stages, borderline tumours and recurrent disease. Ann. Oncol. 2019, 30, 672–705. [Google Scholar] [CrossRef] [PubMed]
  6. Veloso Gomes, F.; Dias, J.L.; Lucas, R.; Cunha, T.M. Primary fallopian tube carcinoma: Review of MR imaging findings. Insights Imaging 2015, 6, 431–439. [Google Scholar] [CrossRef] [PubMed]
  7. Rose, M.; Burgess, J.T.; O’Byrne, K.; Richard, D.J.; Bolderson, E. PARP Inhibitors: Clinical Relevance, Mechanisms of Action and Tumor Resistance. Front. Cell Dev. Biol. 2020, 8, 564601. [Google Scholar] [CrossRef] [PubMed]
  8. Kim, D.; Nam, H.J. PARP Inhibitors: Clinical Limitations and Recent Attempts to Overcome Them. Int. J. Mol. Sci. 2022, 23, 8412. [Google Scholar] [CrossRef] [PubMed]
  9. NCCN Guidelines. Available online: https://www.nccn.org/professionals/physician_gls/pdf/ovarian.pdf (accessed on 18 March 2025).
  10. Burger, R.A.; Brady, M.F.; Bookman, M.A.; Fleming, G.F.; Monk, B.J.; Huang, H.; Mannel, R.S.; Homesley, H.D.; Fowler, J.; Greer, B.E.; et al. Incorporation of bevacizumab in the primary treatment of ovarian cancer. N. Engl. J. Med. 2011, 365, 2473–2483. [Google Scholar] [CrossRef] [PubMed]
Figure 1. MRI image showing right breast nodule (arrow).
Figure 1. MRI image showing right breast nodule (arrow).
Jmms 12 00020 g001
Figure 2. US image showing right breast nodule.
Figure 2. US image showing right breast nodule.
Jmms 12 00020 g002
Figure 3. Latero-aortic adenopathy after excision.
Figure 3. Latero-aortic adenopathy after excision.
Jmms 12 00020 g003
Disclaimer/Publisher’s Note: The statements, opinions and data contained in all publications are solely those of the individual author(s) and contributor(s) and not of MDPI and/or the editor(s). MDPI and/or the editor(s) disclaim responsibility for any injury to people or property resulting from any ideas, methods, instructions or products referred to in the content.

Share and Cite

MDPI and ACS Style

Nicodin, M.-A.; Nicodin, T.-P.; Popescu, A.; Rusu, E.; Moldovan, C.A.; Munteanu, A.E.; Dalaty, M.; Nicodin, O.V. Synchronous Metastasizing High-Grade Papillary Serous Carcinoma of the Fallopian Tube and Triple-Negative Primary Breast Cancer in a BRCA1 Mutation Carrier. J. Mind Med. Sci. 2025, 12, 20. https://doi.org/10.3390/jmms12010020

AMA Style

Nicodin M-A, Nicodin T-P, Popescu A, Rusu E, Moldovan CA, Munteanu AE, Dalaty M, Nicodin OV. Synchronous Metastasizing High-Grade Papillary Serous Carcinoma of the Fallopian Tube and Triple-Negative Primary Breast Cancer in a BRCA1 Mutation Carrier. Journal of Mind and Medical Sciences. 2025; 12(1):20. https://doi.org/10.3390/jmms12010020

Chicago/Turabian Style

Nicodin, Mihnea-Andrei, Tudor-Petru Nicodin, Anca Popescu, Elena Rusu, Cosmin Alec Moldovan, Alice Elena Munteanu, Mariam Dalaty, and Ovidiu Vasile Nicodin. 2025. "Synchronous Metastasizing High-Grade Papillary Serous Carcinoma of the Fallopian Tube and Triple-Negative Primary Breast Cancer in a BRCA1 Mutation Carrier" Journal of Mind and Medical Sciences 12, no. 1: 20. https://doi.org/10.3390/jmms12010020

APA Style

Nicodin, M.-A., Nicodin, T.-P., Popescu, A., Rusu, E., Moldovan, C. A., Munteanu, A. E., Dalaty, M., & Nicodin, O. V. (2025). Synchronous Metastasizing High-Grade Papillary Serous Carcinoma of the Fallopian Tube and Triple-Negative Primary Breast Cancer in a BRCA1 Mutation Carrier. Journal of Mind and Medical Sciences, 12(1), 20. https://doi.org/10.3390/jmms12010020

Article Metrics

Back to TopTop