Chest X-ray at Emergency Admission and Potential Association with Barotrauma in Mechanically Ventilated Patients: Experience from the Italian Core of the First Pandemic Peak
Abstract
:1. Introduction
2. Materials and Methods
2.1. Study Population
2.2. Demographic, Clinical and Laboratory Data Collection
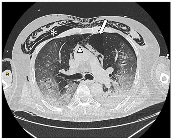
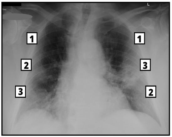
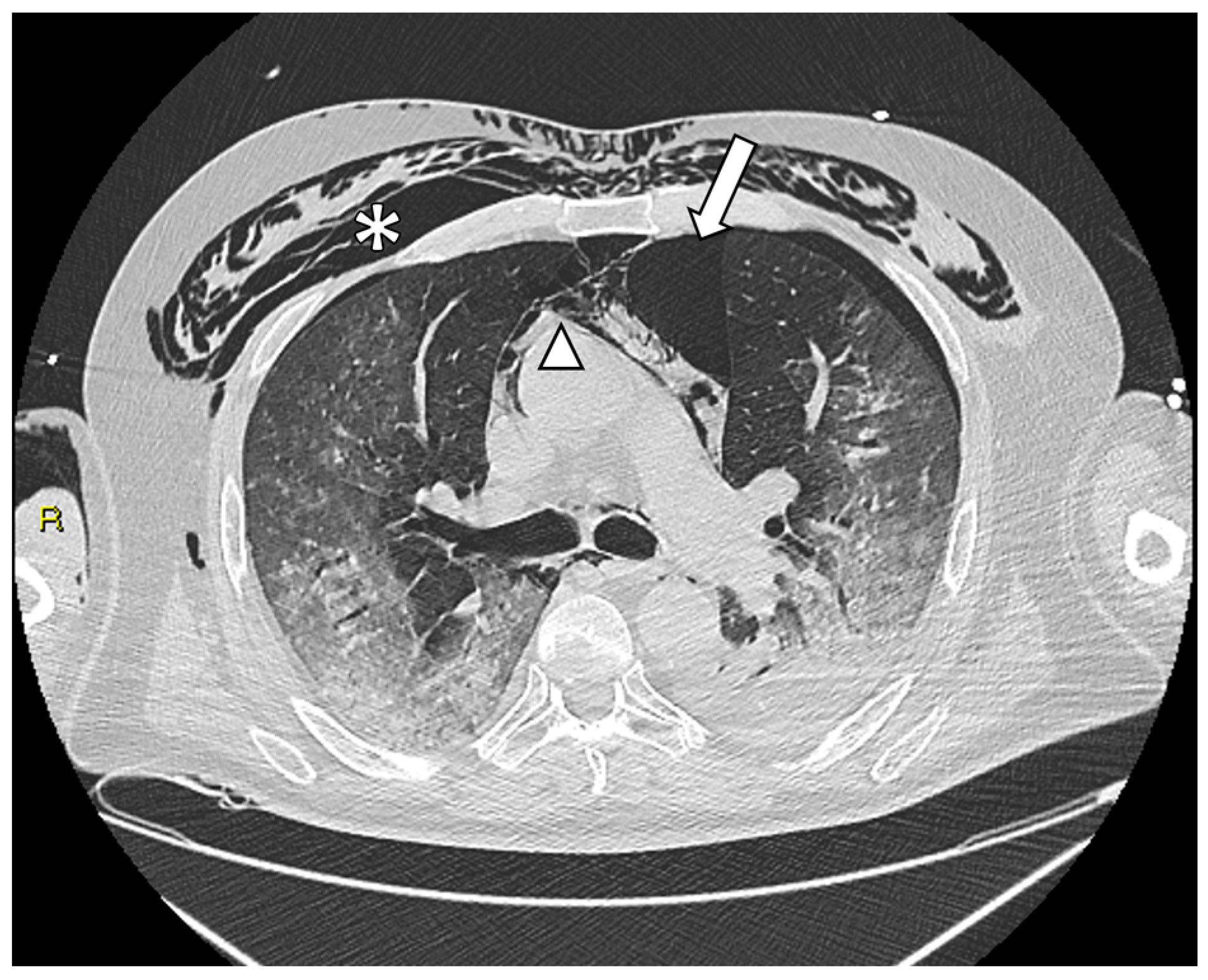
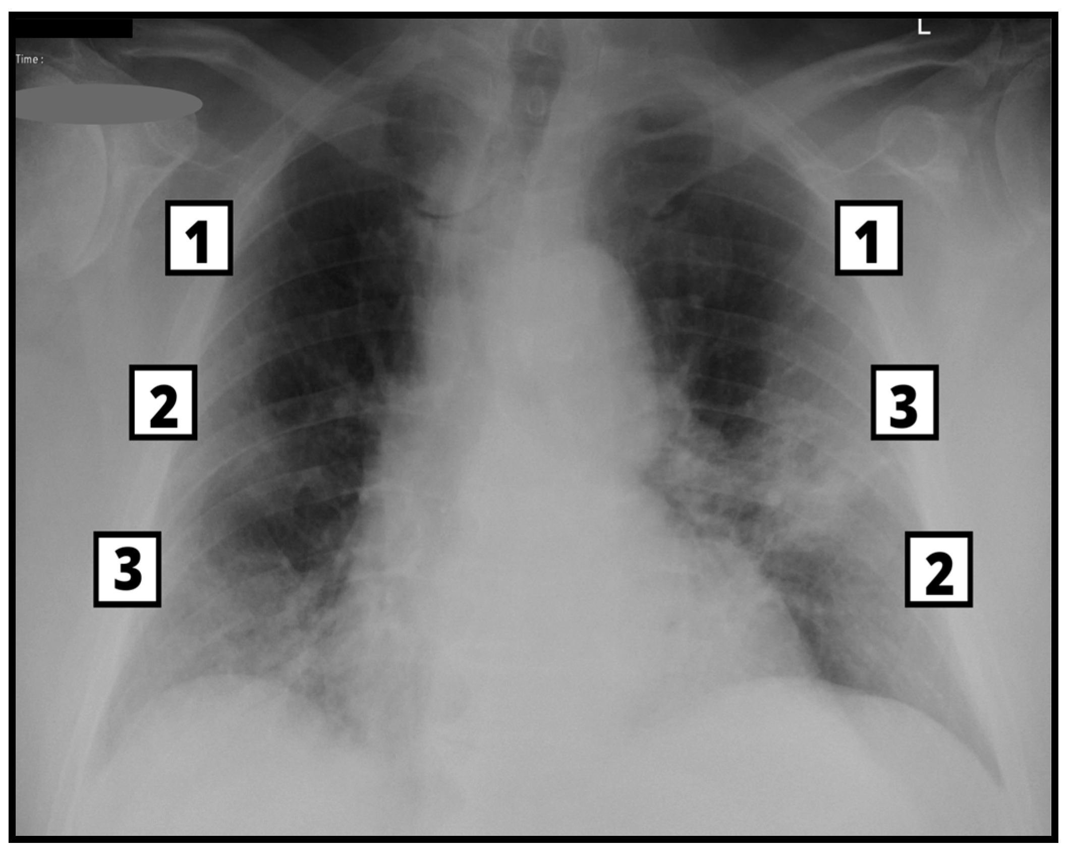
2.3. Imaging Acquisition and Analysis—CXR and CT
2.4. Statistical Analysis
3. Results
3.1. Patient Population
3.2. Clinical and Ventilatory Parameters
3.3. Brixia Score
3.4. Logistic-Regression Modelling
4. Discussion
5. Conclusions
Author Contributions
Funding
Institutional Review Board Statement
Informed Consent Statement
Data Availability Statement
Conflicts of Interest
References
- WHO Director-General’s Opening Remarks at the Media Briefing on COVID-19—11 March 2020. Available online: https://www.who.int/director-general/speeches/detail/who-director-general-s-opening-remarks-at-the-media-briefing-on-covid-19---11-march-2020 (accessed on 6 December 2023).
- Buoro, S.; Di Marco, F.; Rizzi, M.; Fabretti, F.; Lorini, F.L.; Cesa, S.; Fagiuoli, S. Papa Giovanni XXIII Bergamo Hospital at the time of the COVID-19 outbreak: Letter from the warfront. Int. J. Lab. Hematol. 2020, 42, 8–10. [Google Scholar] [CrossRef] [PubMed]
- McGuinness, G.; Zhan, C.; Rosenberg, N.; Azour, L.; Wickstrom, M.; Mason, D.M.; Thomas, K.M.; Moore, W.H. Increased Incidence of Barotrauma in Patients with COVID-19 on Invasive Mechanical Ventilation. Radiology 2020, 297, E252–E262. [Google Scholar] [CrossRef] [PubMed]
- Udi, J.; Lang, C.N.; Zotzmann, V.; Krueger, K.; Fluegler, A.; Bamberg, F.; Bode, C.; Duerschmied, D.; Wengenmayer, T.; Staudacher, D.L. Incidence of Barotrauma in Patients with COVID-19 Pneumonia During Prolonged Invasive Mechanical Ventilation—A Case-Control Study. J. Intensive Care Med. 2021, 36, 477–483. [Google Scholar] [CrossRef] [PubMed]
- Chong, W.H.; Saha, B.K.; Hu, K.; Chopra, A. The incidence, clinical characteristics, and outcomes of pneumothorax in hospitalized COVID-19 patients: A systematic review. Heart Lung 2021, 50, 599–608. [Google Scholar] [CrossRef] [PubMed]
- Guven, B.; Erturk, T.; Kompe, Ö.; Ersoy, A. Serious complications in COVID-19 ARDS cases: Pneumothorax, pneumomediastinum, subcutaneous emphysema and haemothorax. Epidemiol. Infect. 2021, 149, E137. [Google Scholar] [CrossRef] [PubMed]
- Ioannidis, G.; Lazaridis, G.; Baka, S.; Mpoukovinas, I.; Karavasilis, V.; Lampaki, S.; Kioumis, I.; Pitsiou, G.; Papaiwannou, A.; Karavergou, A.; et al. Barotrauma and pneumothorax. J. Thorac. Dis. 2015, 7 (Suppl. S1), S38–S43. [Google Scholar] [CrossRef]
- Boussarsar, M.; Thierry, G.; Jaber, S.; Roudot-Thoraval, F.; Lemaire, F.; Brochard, L. Relationship between ventilatory settings and barotrauma in the acute respiratory distress syndrome. Intensive Care Med. 2002, 28, 406–413. [Google Scholar] [CrossRef]
- Wang, J.; Su, X.; Zhang, T.; Zheng, C. Spontaneous pneumomediastinum: A probable unusual complication of coronavirus disease 2019 (COVID-19) pneumonia. Korean J. Radiol. 2020, 21, 627–628. [Google Scholar] [CrossRef]
- Zhou, C.; Gao, C.; Xie, Y.; Xu, M. COVID-19 with spontaneous pneumomediastinum. Lancet Infect. Dis. 2020, 20, 510. [Google Scholar] [CrossRef]
- Lacroix, M.; Graiess, F.; Monnier-Cholley, L.; Arrivé, L. SARS-CoV-2 pulmonary infection revealed by subcutaneous emphysema and pneumomediastinum. Intensive Care Med. 2020, 46, 1620–1621. [Google Scholar] [CrossRef]
- Quincho-Lopez, A.; Quincho-Lopez, D.L.; Hurtado-Medina, F.D. “Case Report: Pneumothorax and Pneumomediastinum as Uncommon Complications of COVID-19 Pneumonia—Literature Review. Am. J. Trop. Med. Hyg. 2020, 103, 1170–1176. [Google Scholar] [CrossRef] [PubMed]
- Shrestha, D.B.; Sedhai, Y.R.; Budhathoki, P.; Adhikari, A.; Pokharel, N.; Dhakal, R.; Kafle, S.; Yadullahi Mir, W.A.; Acharya, R.; Kashiouris, M.G.; et al. Pulmonary barotrauma in COVID-19: A systematic review and meta-analysis. Ann. Med. Surg. (Lond) 2022, 73, 103221. [Google Scholar] [CrossRef] [PubMed]
- Li, S.; Zhang, Y.; Guan, Z.; Li, H.; Ye, M.; Chen, X.; Shen, J.; Zhou, Y.; Shi, Z.-L.; Zhou, P.; et al. SARS-CoV-2 triggers inflammatory responses and cell death through caspase-8 activation. Signal Transduct. Target. Ther. 2020, 5, 235. [Google Scholar] [CrossRef] [PubMed]
- De Lassence, A.; Timsit, J.F.; Tafflet, M.; Azoulay, E.; Jamali, S.; Vincent, F.; Cohen, Y.; Garrouste-Orgeas, M.; Alberti, C.; Dreyfuss, D. Pneumothorax in the intensive care unit: Incidence, risk factors, and outcome. Anesthesiology 2006, 104, 5–13. [Google Scholar] [CrossRef] [PubMed]
- Steinberger, S.; Finkelstein, M.; Pagano, A.; Manna, S.; Toussie, D.; Chung, M.; Bernheim, A.; Concepcion, J.; Gupta, S.; Eber, C.; et al. Barotrauma in COVID 19: Incidence, pathophysiology, and effect on prognosis. Clin. Imaging 2022, 90, 71–77. [Google Scholar] [CrossRef] [PubMed]
- Balbi, M.; Caroli, A.; Corsi, A.; Milanese, G.; Surace, A.; Di Marco, F.; Novelli, L.; Silva, M.; Lorini, F.L.; Duca, A.; et al. Chest X-ray for predicting mortality and the need for ventilatory support in COVID-19 patients presenting to the emergency department. Eur. Radiol. 2021, 31, 1999–2012. [Google Scholar] [CrossRef] [PubMed]
- Borghesi, A.; Maroldi, R. COVID-19 outbreak in Italy: Experimental chest X-ray scoring system for quantifying and monitoring disease progression. Radiol. Med. 2020, 125, 509–513. [Google Scholar] [CrossRef]
- Vincent, J.L.; de Mendonça, A.; Cantraine, F.; Moreno, R.; Takala, J.; Suter, P.M.; Sprung, C.L.; Colardyn, F.; Blecher, S. Use of the SOFA score to assess the incidence of organ dysfunction/failure in intensive care units: Results of a multicenter, prospective study. Working group on “sepsis-related problems” of the European Society of Intensive Care Medicine. Crit. Care Med. 1998, 26, 1793–1800. [Google Scholar] [CrossRef]
- Allyn, J.; Ferdynus, C.; Bohrer, M.; Dalban, C.; Valance, D.; Allou, N. Simplified Acute Physiology Score II as Predictor of Mortality in Intensive Care Units: A Decision Curve Analysis. PLoS ONE 2016, 11, e0164828. [Google Scholar] [CrossRef]
- Elsaaran, H.; AlQinai, S.; AlTarrah, D.; Abdulrasoul, M.; Al-Youha, S.; Almazeedi, S.; Al-Haddad, M.; Jamal, M.H.; Al-Sabah, S. Prevalence and risk factors of barotrauma in COVID-19 patients admitted to an intensive care unit in Kuwait; a retrospective cohort study. Ann. Med. Surg. 2021, 63, 102141. [Google Scholar] [CrossRef]
- Kahn, M.R.; Watson, R.L.; Thetford, J.T.; Wong, J.I.; Kamangar, N. High incidence of barotrauma in patients with severe coronavirus disease 2019. J. Intensive Care Med. 2021, 36, 646–654. [Google Scholar] [CrossRef] [PubMed]
- Baratella, E.; Bussani, R.; Zanconati, F.; Marrocchio, C.; Fabiola, G.; Braga, L.; Maiocchi, S.; Berlot, G.; Volpe, M.C.; Moro, E.; et al. Radiological-pathological signatures of patients with COVID-19-related pneumomediastinum: Is there a role for the Sonic hedgehog and Wnt5a pathways? ERJ Open Res. 2021, 7, 00346–02021. [Google Scholar] [CrossRef] [PubMed]
- Vetrugno, L.; Castaldo, N.; Fantin, A.; Deana, C.; Cortegiani, A.; Longhini, F.; Forfori, F.; Cammarota, G.; Grieco, D.L.; Isola, M.; et al. Ventilatory associated barotrauma in COVID-19 patients: A multicenter observational case control study (COVI-MIX-study). Pulmonology 2023, 29, 457–468. [Google Scholar] [CrossRef] [PubMed]
- Abdallat, M.; Khalil, M.; Al-Awwa, G.; Kothuru, R.; La Punzina, C. Barotrauma in COVID-19 patients. J. Lung Health Dis. 2020, 4, 8–12. [Google Scholar] [CrossRef]
- Edwards, J.A.; Breitman, I.; Bienstock, J.; Badami, A.; Kovatch, I.; Dresner, L.; Schwartzman, A. Pulmonary barotrauma in mechanically ventilated coronavirus disease 2019 patients: A case series. Ann. Med. Surg. 2021, 61, 24–29. [Google Scholar] [CrossRef]
- Gazivoda, V.P.; Ibrahim, M.; Kangas-Dick, A.; Sun, A.; Silver, M.; Wiesel, O. Outcomes of Barotrauma in Critically Ill COVID-19 Patients with Severe Pneumonia. J. Intensive Care Med. 2021, 36, 1176–1183. [Google Scholar] [CrossRef]




| Type and Combination of Barotrauma | Number of Cases | Percentage (n = 38 pts) |
|---|---|---|
| Pneumomediastinum | 25 | 65.79% |
| Pneumothorax | 24 | 63.18% |
| Subcutaneous emphysema | 24 | 63.18% |
| Pneumomediastinum and subcutaneous emphysema | 9 | 23.68% |
| Pneumomediastinum and pneumothorax | 5 | 13.16% |
| Pneumothorax and subcutaneous emphysema | 1 | 2.63% |
| Pneumothorax, pneumomediastinum and subcutaneous emphysema | 10 | 26.38% |
| Barotrauma Dataset | No Barotrauma Dataset | |||||||
|---|---|---|---|---|---|---|---|---|
| Median | IQR | Mean | Std Dev | Median | IQR | Mean | Std Dev | |
| Age | 57.00 | 15.50 | 56.32 | 13.17 | 62.50 | 12.50 | 61.63 | 9.83 |
| BMI | 27.34 | 5.62 | 28.41 | 5.41 | 27.77 | 6.35 | 29.40 | 5.09 |
| SOFA score (0–24) | 7.00 | 4.00 | 7.08 | 2.71 | 6.00 | 3.50 | 5.93 | 2.27 |
| SAPS II (0–163) | 37.00 | 16.00 | 38.35 | 13.76 | 39.00 | 10.00 | 39.93 | 10.71 |
| BRIXIA score (0–18) | 12.00 | 7.00 | 12.05 | 4.33 | 10.00 | 7.00 | 9.38 | 4.83 |
| P\F at ICU admission | 103.00 | 47.00 | 112.84 | 48.29 | 100.00 | 49.25 | 117.75 | 52.59 |
| P\F at MV beginning | 65.50 | 37.00 | 76.57 | 26.75 | 73.00 | 35.50 | 79.21 | 26.11 |
| PEEP at MV beginning | 15.00 | 8.00 | 14.56 | 3.71 | 15.00 | 4.00 | 15.16 | 3.06 |
| Mean PEEP before MV | 15.00 | 4.00 | 14.21 | 2.69 | 14.50 | 4.38 | 14.30 | 2.93 |
| Maximum PEEP before MV | 16.00 | 3.00 | 16.15 | 3.03 | 16.00 | 4.00 | 15.72 | 3.23 |
| Days in NIV before MV | 4.00 | 3.75 | 4.20 | 3.19 | 2.00 | 3.00 | 2.75 | 2.17 |
| Integral of the PEEP before MV | 53.85 | 53.00 | 57.12 | 39.74 | 32.50 | 38.56 | 39.52 | 33.23 |
| Brixia Score at CXR | Barotrauma Data Set (Group 1, n = 38 pts) | NO Barotrauma Data Set (Group 2, n = 79 pts) |
|---|---|---|
| Mean | 12.18 | 9.28 |
| Median | 12 | 10 |
| Standard deviation | 4.35 | 4.78 |
| Interval | 15 | 18 |
| Minimum value | 3 | 0 |
| Maximum value | 18 | 18 |
| Mann–Whitney U-test on Brixia score median | ||
| Z-value | −2.67 | |
| Critical z | ±1.96 | |
| Decision rule | z ≥ |1.96| | |
| Result | H0 rejected | |
| Predictors | Coefficients | Estimate | Std. Err. | Z Value | Pr (>|z|) |
|---|---|---|---|---|---|
| Age | Intercept Slope | 1.76 −0.04 | 1.100 0.019 | 1.602 −2.316 | 0.1092 0.0206 |
| BMI | Intercept Slope | 0.31 −0.04 | 1.311 0.045 | 0.233 −0.881 | 0.8160 0.3780 |
| N. comorbidities | Intercept Slope | −0.58 −0.20 | 0.280 0.208 | −2.057 −0.954 | 0.0397 0.3402 |
| Brixia Score | Intercept Slope | −2.13 0.13 | 0.560 0.046 | −3.794 2.723 | 0.0001 0.0065 |
| SOFA score | Intercept Slope | −2.01 0.19 | 0.589 0.083 | −3.414 2.296 | 0.0006 0.0217 |
| SAPS II score | Intercept Slope | −0.30 −0.01 | 0.714 0.018 | −0.426 −0.676 | 0.6700 0.4990 |
| NIV days | Intercept Slope | −1.45 0.13 | 0.340 0.056 | −4.249 2.409 | 2.14e-05 0.0160 |
| Mean PEEP | Intercept Slope | −0.72 −0.01 | 1.059 0.073 | −0.675 −0.152 | 0.4990 0.8800 |
| Model | Predictors | Coefficients | E Stimate | Std. Err. | z Value | Pr (>|z|) | AIC | AIC c |
|---|---|---|---|---|---|---|---|---|
| 1 |
| Intercept Brixia score SOFA score NIV days | −4.15 0.12 0.19 0.17 | 1.087 0.057 0.098 0.077 | −3.821 2.073 1.910 2.161 | 0.0001 0.0381 0.0562 0.0307 | 99.91 | 100.40 |
| 2 |
| Intercept Brixia score NIV days | −2.95 0.12 0.15 | 0.835 0.056 0.073 | −3.530 2.240 2.073 | 0.0004 0.0251 0.0382 | 101.73 | 102.02 |
| 3 |
| Intercept Brixia score SOFA score | −3.17 0.11 0.17 | 0.908 0.054 0.095 | −3.487 1.982 1.835 | 0.0005 0.0475 0.0664 | 103.73 | 104.02 |
| 4 |
| Intercept SOFA score NIV days | −2.88 0.21 0.14 | 0.819 0.097 0.071 | −3.515 2.107 2.013 | 0.0004 0.0351 0.0441 | 102.64 | 102.93 |
Disclaimer/Publisher’s Note: The statements, opinions and data contained in all publications are solely those of the individual author(s) and contributor(s) and not of MDPI and/or the editor(s). MDPI and/or the editor(s) disclaim responsibility for any injury to people or property resulting from any ideas, methods, instructions or products referred to in the content. |
© 2023 by the authors. Licensee MDPI, Basel, Switzerland. This article is an open access article distributed under the terms and conditions of the Creative Commons Attribution (CC BY) license (https://creativecommons.org/licenses/by/4.0/).
Share and Cite
Bonaffini, P.A.; Stanco, F.; Dulcetta, L.; Poli, G.; Brambilla, P.; Marra, P.; Valle, C.; Lorini, F.L.; Mazzoleni, M.; Sonzogni, B.; et al. Chest X-ray at Emergency Admission and Potential Association with Barotrauma in Mechanically Ventilated Patients: Experience from the Italian Core of the First Pandemic Peak. Tomography 2023, 9, 2211-2221. https://doi.org/10.3390/tomography9060171
Bonaffini PA, Stanco F, Dulcetta L, Poli G, Brambilla P, Marra P, Valle C, Lorini FL, Mazzoleni M, Sonzogni B, et al. Chest X-ray at Emergency Admission and Potential Association with Barotrauma in Mechanically Ventilated Patients: Experience from the Italian Core of the First Pandemic Peak. Tomography. 2023; 9(6):2211-2221. https://doi.org/10.3390/tomography9060171
Chicago/Turabian StyleBonaffini, Pietro Andrea, Francesco Stanco, Ludovico Dulcetta, Giancarla Poli, Paolo Brambilla, Paolo Marra, Clarissa Valle, Ferdinando Luca Lorini, Mirko Mazzoleni, Beatrice Sonzogni, and et al. 2023. "Chest X-ray at Emergency Admission and Potential Association with Barotrauma in Mechanically Ventilated Patients: Experience from the Italian Core of the First Pandemic Peak" Tomography 9, no. 6: 2211-2221. https://doi.org/10.3390/tomography9060171
APA StyleBonaffini, P. A., Stanco, F., Dulcetta, L., Poli, G., Brambilla, P., Marra, P., Valle, C., Lorini, F. L., Mazzoleni, M., Sonzogni, B., Previdi, F., & Sironi, S. (2023). Chest X-ray at Emergency Admission and Potential Association with Barotrauma in Mechanically Ventilated Patients: Experience from the Italian Core of the First Pandemic Peak. Tomography, 9(6), 2211-2221. https://doi.org/10.3390/tomography9060171

