The “Black Pattern”, a Simplified Ultrasound Approach to Non-Traumatic Abdominal Emergencies
Abstract
1. Introduction
2. Black: US Features
2.1. Looking for Black Where It Should Not Be
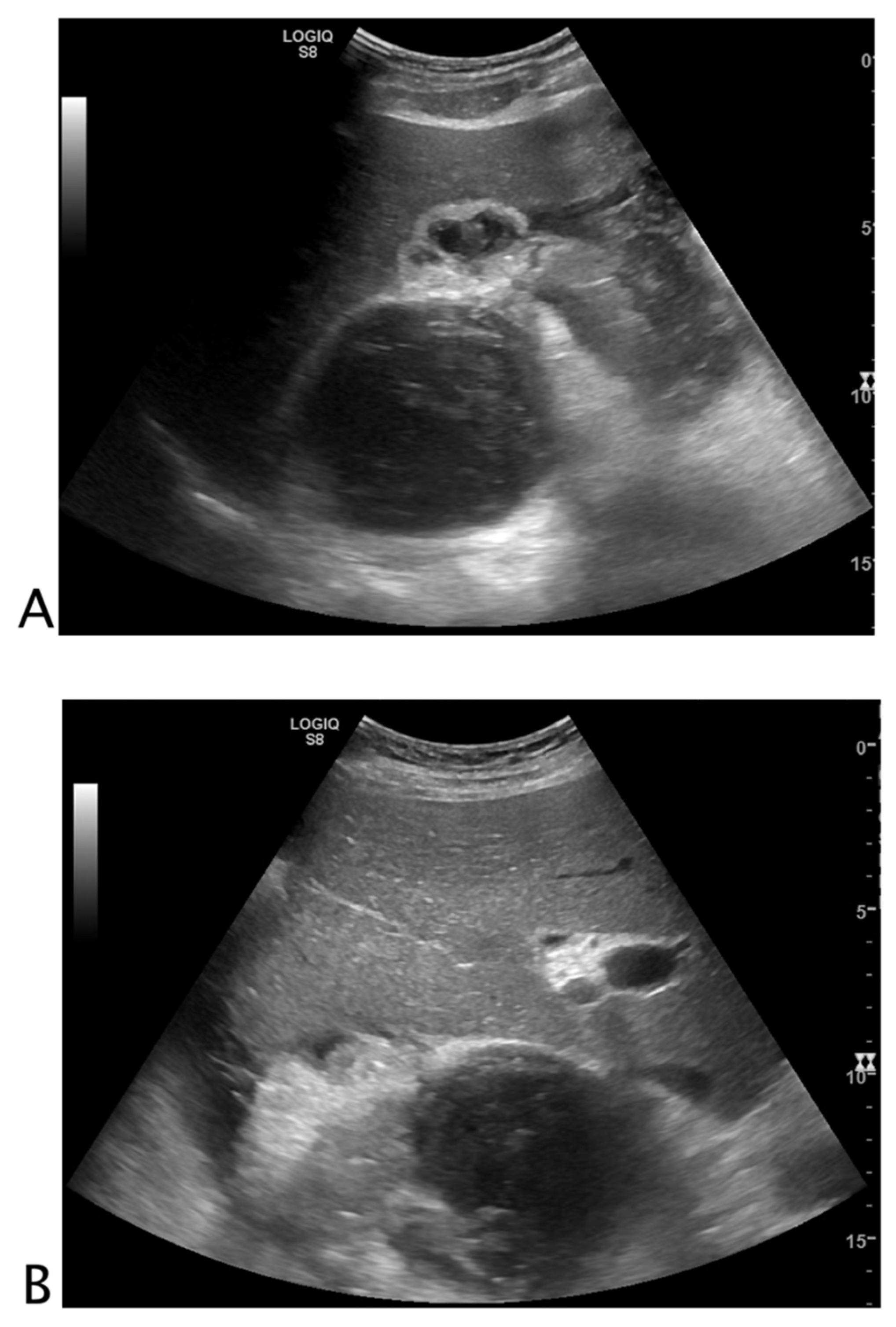
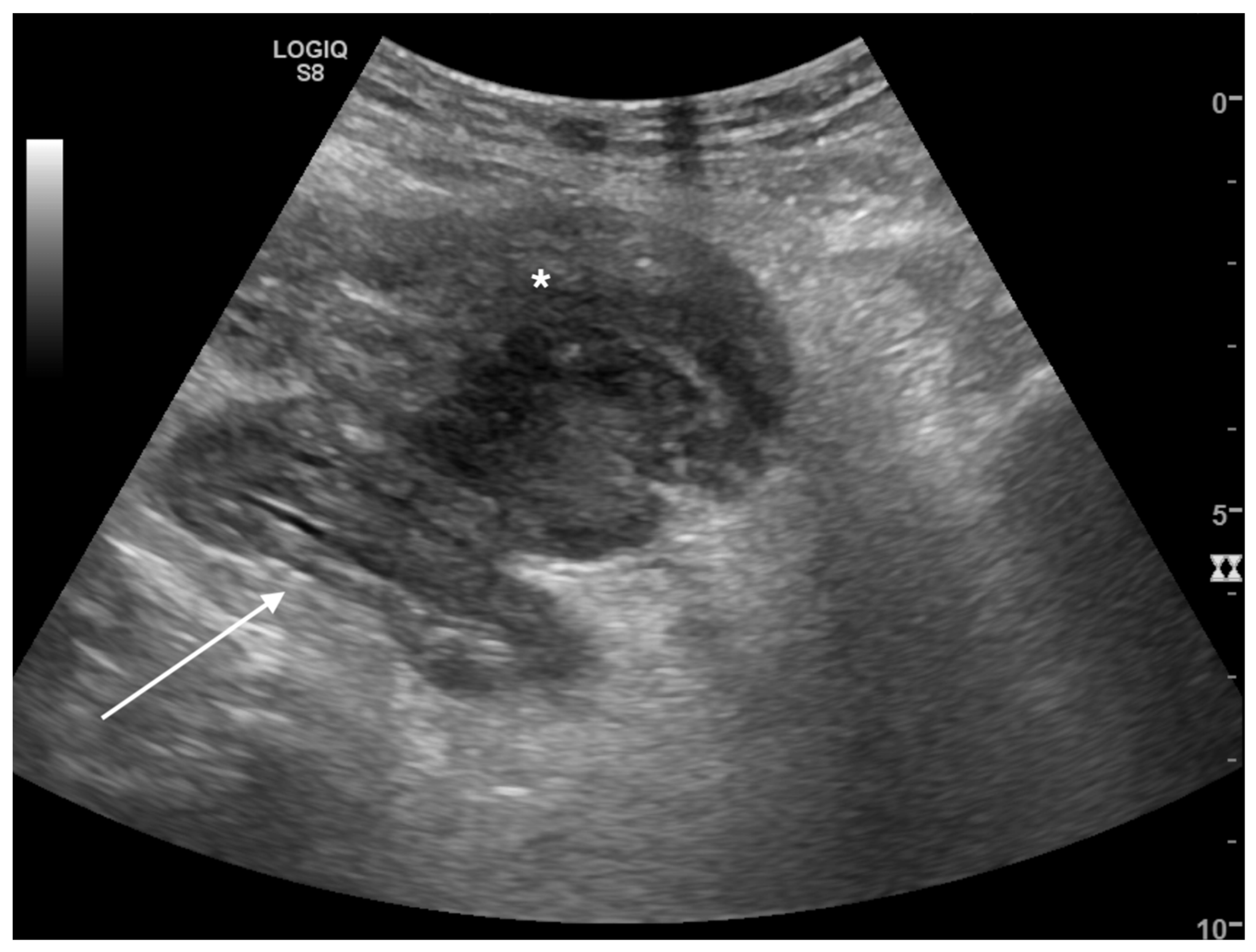
2.1.1. Non-Traumatic Hemoperitoneum
2.1.2. Non-Traumatic Free Fluid
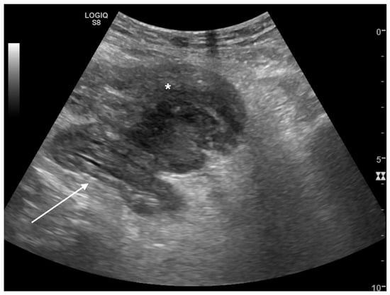
2.1.3. Post-Surgical Complications
Bowel
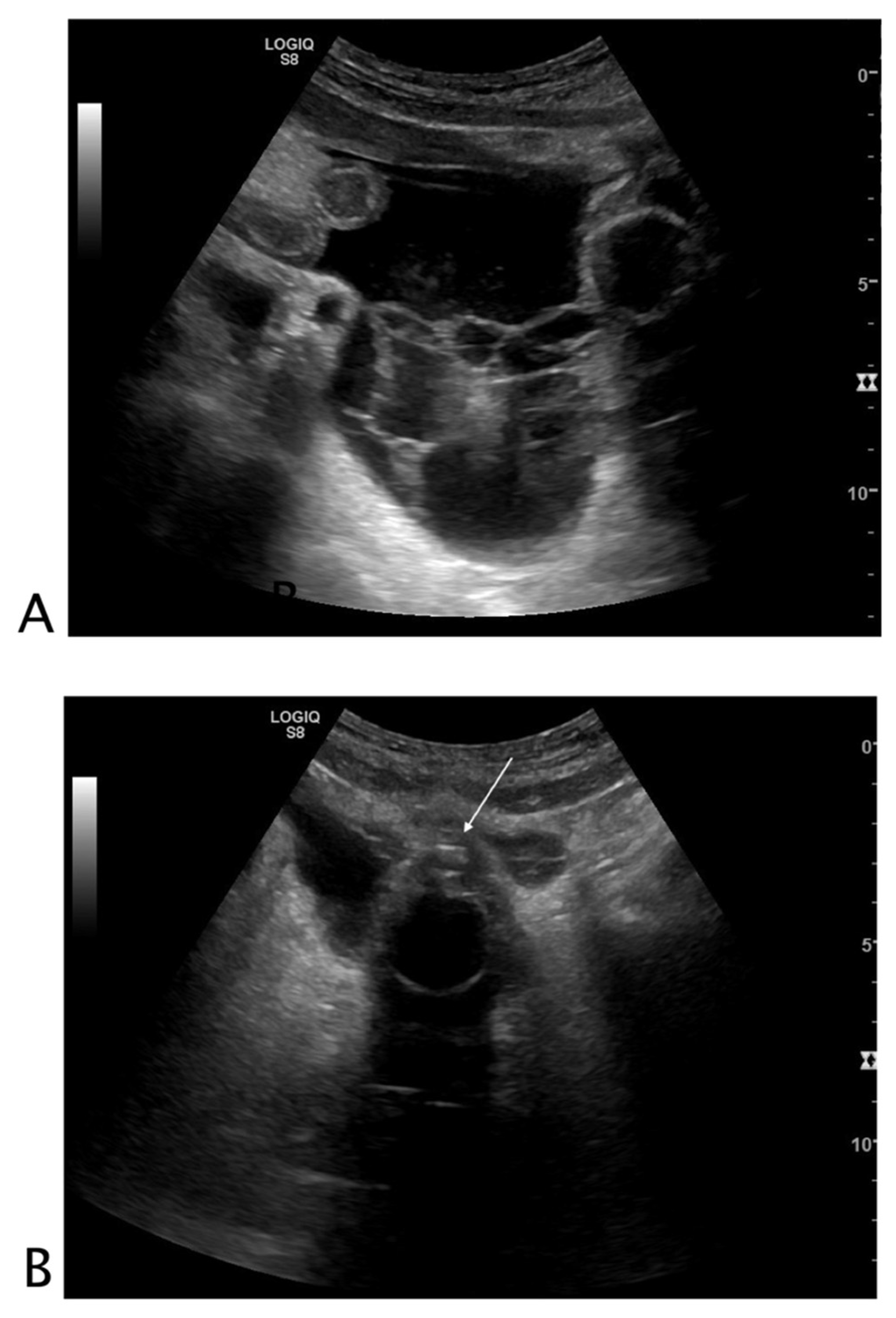
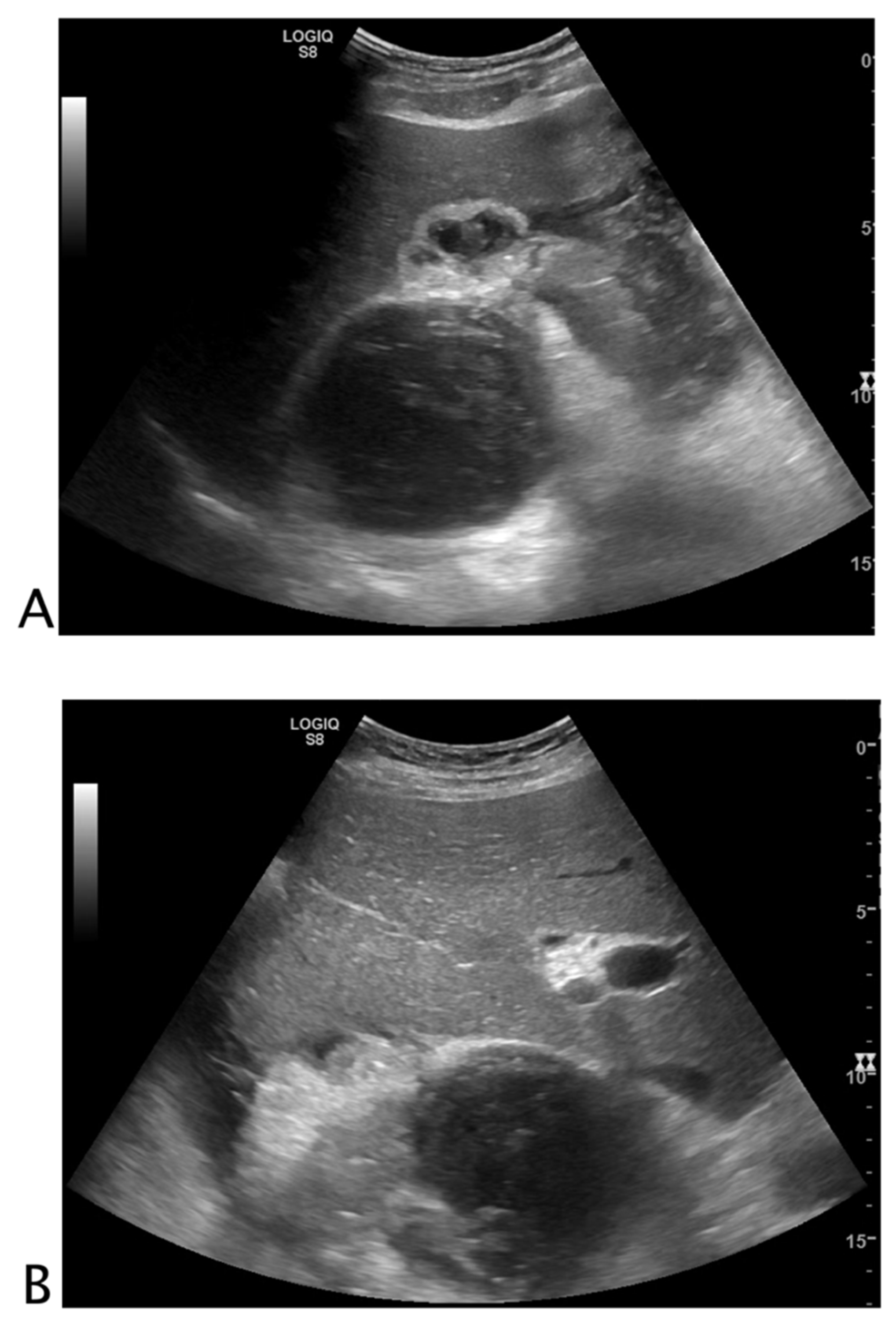
Urinary Tract
Gynecological Tract
Gallbladder
Inflammatory Diseases
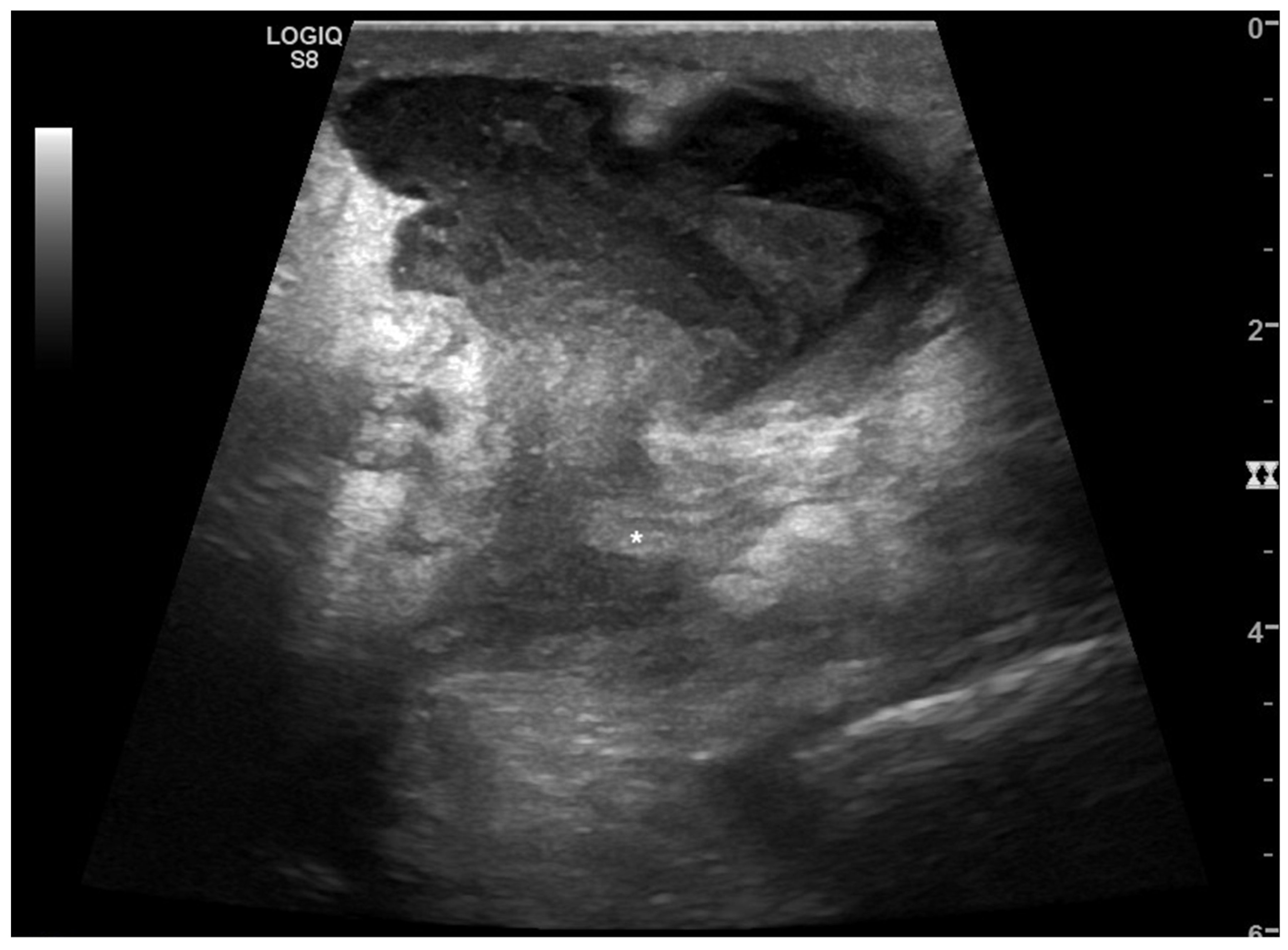
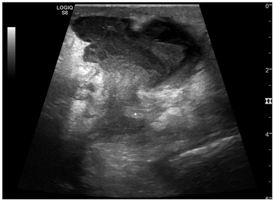
Intraparenchymal Fluid Lesions
Soft Tissue
2.2. Looking to See If There Is Too Much Black Where It Is Normally Present
2.2.1. Vessels
2.2.2. Urinary Tract
2.2.3. Biliary Tract
2.2.4. Bowel
2.3. Looking for Black That Is Not Clearly Black
2.3.1. Vessels
2.3.2. Urinary Tract
2.3.3. Biliary Tract
3. Conclusions
Author Contributions
Funding
Institutional Review Board Statement
Informed Consent Statement
Data Availability Statement
Conflicts of Interest
References
- Rudralingam, V.; Footitt, C.; Layton, B. Ascites matters. Ultrasound 2017, 25, 69–79. [Google Scholar] [CrossRef]
- Richards, J.R.; McGahan, J.P. Focused Assessment with Sonography in Trauma (FAST) in 2017: What Radiologists Can Learn. Radiology 2017, 283, 30–48. [Google Scholar] [CrossRef] [PubMed]
- Rosano, N.; Gallo, L.; Mercogliano, G.; Quassone, P.; Picascia, O.; Catalano, M.; Pesce, A.; Fiorini, V.; Pelella, I.; Vespere, G.; et al. Ultrasound of Small Bowel Obstruction: A Pictorial Review. Diagnostics 2021, 11, 617. [Google Scholar] [CrossRef]
- Edell, S.L.; Gefter, W.B. Ultrasonic differentiation of types of ascitic fluid. AJR Am. J. Roentgenol. 1979, 133, 111–114. [Google Scholar] [CrossRef][Green Version]
- Casillas, V.J.; Amendola, M.A.; Gascue, A.; Pinnar, N.; Levi, J.U.; Perez, J.M. Imaging of nontraumatic hemorrhagic hepatic lesions. Radiographics 2000, 20, 367–378. [Google Scholar] [CrossRef] [PubMed]
- Scheinfeld, M.H.; Schwartz, C.; Jain, V.R.; Goldman, I.A. Non-traumatic hemoperitoneum in the ED setting: Causes, characteristics, prevalence and sex differences. Abdom. Radiol. 2021, 46, 441–448. [Google Scholar] [CrossRef]
- Kurzweil, A.; Martin, J. Transabdominal Ultrasound; StatPearls: Treasure Island, FL, USA, 2021. [Google Scholar]
- Getnet, W.; Kebede, T.; Atinafu, A.; Sultan, A. The Value of Ultrasound in Characterizing and Determining the Etiology of Ascites. Ethiop. J. Health Sci. 2019, 29, 383–390. [Google Scholar] [CrossRef] [PubMed]
- Park, S.B.; Kim, J.K.; Cho, K.S. Complications of renal transplantation: Ultrasonographic evaluation. J. Ultrasound Med. 2007, 26, 615–633. [Google Scholar] [CrossRef]
- Hafner, J.; Tuma, F.; Hoilat, G.J.; Marar, O. Intestinal Perforation; StatPearls: Treasure Island, FL, USA, 2021. [Google Scholar]
- Kuzmich, S.; Burke, C.J.; Harvey, C.J.; Kuzmich, T.; Fascia, D.T. Sonography of small bowel perforation. AJR Am. J. Roentgenol. 2013, 201, W283–W291. [Google Scholar] [CrossRef]
- Lo Re, G.; Mantia, F.L.; Picone, D.; Salerno, S.; Vernuccio, F.; Midiri, M. Small Bowel Perforations: What the Radiologist Needs to Know. Semin. Ultrasound CT MR 2016, 37, 23–30. [Google Scholar] [CrossRef]
- Coppolino, F.; Gatta, G.; Di Grezia, G.; Reginelli, A.; Iacobellis, F.; Vallone, G.; Giganti, M.; Genovese, E. Gastrointestinal perforation: Ultrasonographic diagnosis. Crit. Ultrasound J. 2013, 5 (Suppl. 1), S4. [Google Scholar] [CrossRef] [PubMed]
- Picone, D.; Rusignuolo, R.; Midiri, F.; Lo Casto, A.; Vernuccio, F.; Pinto, F.; Lo Re, G. Imaging Assessment of Gastroduodenal Perforations. Semin. Ultrasound CT MR 2016, 37, 16–22. [Google Scholar] [CrossRef] [PubMed]
- Mally, D.; Paffenholz, P. Complication management for TUR of the bladder. Aktuelle Urol. 2020, 51, 450–455. [Google Scholar] [CrossRef]
- Kabarriti, A.E.; Ramchandani, P.; Guzzo, T.J. Spontaneous Urinary Bladder Perforation: An Unusual Presentation of Diabetes Mellitus. Urol. Case Rep. 2014, 2, 109–111. [Google Scholar] [CrossRef]
- Katafigiotis, I.; Adamakis, I.; Zormpala, A.; Pournaras, C.; Stravodimos, K. Idiopathic spontaneous perforation of the upper urinary tract. A presentation of 4 cases. Arch. Ital. Urol. Androl. 2014, 86, 142–143. [Google Scholar] [CrossRef]
- Pampana, E.; Altobelli, S.; Morini, M.; Ricci, A.; D’Onofrio, S.; Simonetti, G. Spontaneous ureteral rupture diagnosis and treatment. Case Rep. Radiol. 2013, 2013, 851859. [Google Scholar] [CrossRef] [PubMed]
- Huffman, J.L.; Schraut, W.; Bagley, D.H. Atraumatic perforation of bladder. Necessary differential in evaluation of acute condition of abdomen. Urology 1983, 22, 30–35. [Google Scholar] [CrossRef]
- Press, G.M.; Martinez, A. Heterotopic pregnancy diagnosed by emergency ultrasound. J. Emerg. Med. 2007, 33, 25–27. [Google Scholar] [CrossRef] [PubMed]
- Stone, B.S.; Muruganandan, K.M.; Tonelli, M.M.; Dugas, J.N.; Verriet, I.E.; Pare, J.R. Impact of point-of-care ultrasound on treatment time for ectopic pregnancy. Am. J. Emerg. Med. 2021, 49, 226–232. [Google Scholar] [CrossRef]
- Mashiach, R.; Melamed, N.; Gilad, N.; Ben-Shitrit, G.; Meizner, I. Sonographic diagnosis of ovarian torsion: Accuracy and predictive factors. J. Ultrasound Med. 2011, 30, 1205–1210. [Google Scholar] [CrossRef] [PubMed]
- Shapira-Rootman, M.; Mahamid, A.; Reindorp, N.; Nachtigal, A.; Zeina, A.R. Diagnosis of gallbladder perforation by ultrasound. Clin. Imaging 2015, 39, 827–829. [Google Scholar] [CrossRef] [PubMed]
- Malik, M.N.; Mahmood, T.; Tameez Ud Din, A.; Aslam, S.; Imtiaz, M. Gallbladder Perforation Secondary to Enteric Fever: An Interesting Case of Acute Abdomen. Cureus 2019, 11, e4516. [Google Scholar] [CrossRef]
- Tamburrini, S.; Lugara, M.; Iannuzzi, M.; Cesaro, E.; De Simone, F.; Del Biondo, D.; Toto, R.; Iulia, D.; Marrone, V.; Faella, P.; et al. Pyonephrosis Ultrasound and Computed Tomography Features: A Pictorial Review. Diagnostics 2021, 11, 331. [Google Scholar] [CrossRef] [PubMed]
- Miller, A.H.; Pepe, P.E.; Brockman, C.R.; Delaney, K.A. ED ultrasound in hepatobiliary disease. J. Emerg. Med. 2006, 30, 69–74. [Google Scholar] [CrossRef] [PubMed]
- Caremani, M.; Tacconi, D.; Lapini, L. Acute nontraumatic liver lesions. J. Ultrasound 2013, 16, 179–186. [Google Scholar] [CrossRef][Green Version]
- Serraino, C.; Elia, C.; Bracco, C.; Rinaldi, G.; Pomero, F.; Silvestri, A.; Melchio, R.; Fenoglio, L.M. Characteristics and management of pyogenic liver abscess: A European experience. Medicine 2018, 97, e0628. [Google Scholar] [CrossRef]
- Wagner, M.L.; Streit, S.; Makley, A.T.; Pritts, T.A.; Goodman, M.D. Hepatic Pseudoaneurysm Incidence After Liver Trauma. J. Surg. Res. 2020, 256, 623–628. [Google Scholar] [CrossRef]
- Chia, C.; Pandya, G.J.; Kamalesh, A.; Shelat, V.G. Splenic Artery Pseudoaneurysm Masquerading as a Pancreatic Cyst-A Diagnostic Challenge. Int. Surg. 2015, 100, 1069–1071. [Google Scholar] [CrossRef]
- Wagner, J.M.; Rebik, K.; Spicer, P.J. Ultrasound of Soft Tissue Masses and Fluid Collections. Radiol. Clin. N. Am. 2019, 57, 657–669. [Google Scholar] [CrossRef] [PubMed]
- Jain, N.; Goyal, N.; Mukherjee, K.; Kamath, S. Ultrasound of the abdominal wall: What lies beneath? Clin. Radiol. 2013, 68, 85–93. [Google Scholar] [CrossRef]
- Adhikari, S.; Blaivas, M. Sonography first for subcutaneous abscess and cellulitis evaluation. J. Ultrasound Med. 2012, 31, 1509–1512. [Google Scholar] [CrossRef] [PubMed]
- Subramaniam, S.; Bober, J.; Chao, J.; Zehtabchi, S. Point-of-care Ultrasound for Diagnosis of Abscess in Skin and Soft Tissue Infections. Acad. Emerg. Med. 2016, 23, 1298–1306. [Google Scholar] [CrossRef] [PubMed]
- Liu, F.; Huang, L. Usefulness of ultrasound in the management of aortic dissection. Rev. Cardiovasc. Med. 2018, 19, 103–109. [Google Scholar] [CrossRef]
- Costantino, T.G.; Bruno, E.C.; Handly, N.; Dean, A.J. Accuracy of emergency medicine ultrasound in the evaluation of abdominal aortic aneurysm. J. Emerg. Med. 2005, 29, 455–460. [Google Scholar] [CrossRef]
- Benson, R.A.; Meecham, L.; Fisher, O.; Loftus, I.M. Ultrasound screening for abdominal aortic aneurysm: Current practice, challenges and controversies. Br. J. Radiol. 2018, 91, 20170306. [Google Scholar] [CrossRef]
- Gibbons, R.C.; Singh, G.; Donuru, A.; Young, M. Abdominal Aortic Aneurysm Imaging; StatPearls: Treasure Island, FL, USA, 2021. [Google Scholar]
- Abdolrazaghnejad, A.; Banaie, M.; Safdari, M. Ultrasonography in Emergency Department; a Diagnostic Tool for Better Examination and Decision-Making. Adv. J. Emerg. Med. 2018, 2, e7. [Google Scholar] [CrossRef] [PubMed]
- Moore, C.L.; Carpenter, C.R.; Heilbrun, M.L.; Klauer, K.; Krambeck, A.C.; Moreno, C.; Remer, E.M.; Scales, C.; Shaw, M.M.; Sternberg, K.M. Imaging in Suspected Renal Colic: Systematic Review of the Literature and Multispecialty Consensus. J. Urol. 2019, 202, 475–483. [Google Scholar] [CrossRef]
- Jha, P.; Bentley, B.; Behr, S.; Yee, J.; Zagoria, R. Imaging of flank pain: Readdressing state-of-the-art. Emerg. Radiol. 2017, 24, 81–86. [Google Scholar] [CrossRef] [PubMed]
- Mackenzie, D.C.; Sajed, D.; Noble, V.E. Diagnosis of megaureter by point-of-care ultrasound. J. Emerg. Med. 2014, 47, e1–e3. [Google Scholar] [CrossRef]
- Castelletto, S.; Giudice, C.A.; Orso, D.; Copetti, R. A Preliminary Investigation on the “Swinging Kidney”: A Sonographic Sign Useful for Diagnosing Renal Colic. J. Diagn. Med. Sonogr. 2022. [Google Scholar] [CrossRef]
- Alabousi, A.; Patlas, M.N.; Mellnick, V.M.; Chernyak, V.; Farshait, N.; Katz, D.S. Renal Colic Imaging: Myths, Recent Trends, and Controversies. Can. Assoc. Radiol. J. 2019, 70, 164–171. [Google Scholar] [CrossRef]
- Scruggs, W.; Fox, J.C.; Potts, B.; Zlidenny, A.; McDonough, J.; Anderson, C.L.; Larson, J.; Barajas, G.; Langdorf, M.I. Accuracy of ED Bedside Ultrasound for Identification of gallstones: Retrospective analysis of 575 studies. West. J. Emerg. Med. 2008, 9, 1–5. [Google Scholar]
- Hu, K.C.; Chu, C.H.; Wang, H.Y.; Chang, W.H.; Lin, S.C.; Liu, C.C.; Liao, W.C.; Liu, C.J.; Wu, M.S.; Shih, S.C. How Does Aging Affect Presentation and Management of Biliary Stones? J. Am. Geriatr. Soc. 2016, 64, 2330–2335. [Google Scholar] [CrossRef]
- Skoczylas, K.; Pawelas, A. Ultrasound imaging of the liver and bile ducts—Expectations of a clinician. J. Ultrason. 2015, 15, 292–306. [Google Scholar] [CrossRef] [PubMed]
- Zenobii, M.F.; Accogli, E.; Domanico, A.; Arienti, V. Update on bedside ultrasound (US) diagnosis of acute cholecystitis (AC). Intern. Emerg. Med. 2016, 11, 261–264. [Google Scholar] [CrossRef]
- Barie, P.S.; Eachempati, S.R. Acute acalculous cholecystitis. Gastroenterol. Clin. N. Am. 2010, 39, 343–357. [Google Scholar] [CrossRef]
- Tamburrini, S.; Lugara, M.; Iaselli, F.; Saturnino, P.P.; Liguori, C.; Carbone, R.; Vecchione, D.; Abete, R.; Tammaro, P.; Marano, I. Diagnostic Accuracy of Ultrasound in the Diagnosis of Small Bowel Obstruction. Diagnostics 2019, 9, 88. [Google Scholar] [CrossRef] [PubMed]
- Tamburrini, S.; Serra, N.; Lugara, M.; Mercogliano, G.; Liguori, C.; Toro, G.; Somma, F.; Mandato, Y.; Guerra, M.V.; Sarti, G.; et al. Ultrasound Signs in the Diagnosis and Staging of Small Bowel Obstruction. Diagnostics 2020, 10, 277. [Google Scholar] [CrossRef] [PubMed]
- Soni, N.J.; Franco, R.; Velez, M.I.; Schnobrich, D.; Dancel, R.; Restrepo, M.I.; Mayo, P.H. Ultrasound in the diagnosis and management of pleural effusions. J. Hosp. Med. 2015, 10, 811–816. [Google Scholar] [CrossRef]
- Rolston, D.M.; Saul, T.; Wong, T.; Lewiss, R.E. Bedside ultrasound diagnosis of acute embolic femoral artery occlusion. J. Emerg. Med. 2013, 45, 897–900. [Google Scholar] [CrossRef]
- Gupta, P.; Lyons, S.; Hedgire, S. Ultrasound imaging of the arterial system. Cardiovasc. Diagn. Ther. 2019, 9, S2–S13. [Google Scholar] [CrossRef] [PubMed]
- Baker, M.; Anjum, F.; dela Cruz, J. Deep Venous Thrombosis Ultrasound Evaluation; StatPearls: Treasure Island, FL, USA, 2021. [Google Scholar]
- Pomero, F.; Dentali, F.; Borretta, V.; Bonzini, M.; Melchio, R.; Douketis, J.D.; Fenoglio, L.M. Accuracy of emergency physician-performed ultrasonography in the diagnosis of deep-vein thrombosis: A systematic review and meta-analysis. Thromb. Haemost. 2013, 109, 137–145. [Google Scholar] [CrossRef] [PubMed]
- Colemen, B.G.; Arger, P.H.; Mulhern, C.B., Jr.; Pollack, H.M.; Banner, M.P. Pyonephrosis: Sonography in the diagnosis and management. AJR Am. J. Roentgenol. 1981, 137, 939–943. [Google Scholar] [CrossRef]
- Hansen, K.L.; Nielsen, M.B.; Ewertsen, C. Ultrasonography of the Kidney: A Pictorial Review. Diagnostics 2015, 6, 2. [Google Scholar] [CrossRef] [PubMed]
- Gaspari, R.J.; Dickman, E.; Blehar, D. Learning curve of bedside ultrasound of the gallbladder. J. Emerg. Med. 2009, 37, 51–56. [Google Scholar] [CrossRef] [PubMed]
- Abboud, P.A.; Malet, P.F.; Berlin, J.A.; Staroscik, R.; Cabana, M.D.; Clarke, J.R.; Shea, J.A.; Schwartz, J.S.; Williams, S.V. Predictors of common bile duct stones prior to cholecystectomy: A meta-analysis. Gastrointest. Endosc. 1996, 44, 450–455. [Google Scholar] [CrossRef]
- Shea, J.A.; Berlin, J.A.; Escarce, J.J.; Clarke, J.R.; Kinosian, B.P.; Cabana, M.D.; Tsai, W.W.; Horangic, N.; Malet, P.F.; Schwartz, J.S.; et al. Revised estimates of diagnostic test sensitivity and specificity in suspected biliary tract disease. Arch. Intern. Med. 1994, 154, 2573–2581. [Google Scholar] [CrossRef]
- Wexler, B.B.; Panebianco, N.L. The Effervescent Gallbladder: An Emergency Medicine Bedside Ultrasound Diagnosis of Emphysematous Cholecystitis. Cureus 2017, 9, e1520. [Google Scholar] [CrossRef] [PubMed]










| Right Upper Quadrant | Morison pouch (hepatorenal recess), Liver tip (right paracolic gutter) |
| Left Upper Quadrant | Subphrenic space, Splenorenal recess, Spleen tip (left paracolic gutter) |
| Pelvic | Rectovesical pouch (male subjects) or, rectouterine/pouch of Douglas (female subjects) |
| Between Bowel Loops | Global view [3] |
| Surgical Site | Intrabdominal Soft tissue |
| Intraparenchymal |
| Too Much Black | Black Where It Should Not Be | Black That Is Not Clearly Black | |
|---|---|---|---|
| Urinary Tract | Renal colic Urinary obstruction | Ruptured urinary tract Complicated renal colic Urinoma Extrarenal diffusion of inflammatory/infectious process | Lithiasis Pyonephrosis Blood, clot/hemorrhage Hemorrhagic cyst |
| Bladder | Overdistension | Perforation Perivisceral inflammation | Cystitis Endoluminal mass Blood clot Lithiasis |
| Biliary tract | Biliary obstruction | Perivisceral inflammation Biloma | Intrabiliary lithiasis Cholangitis |
| Gallbladder | Cholecystitis | Perforation Perivisceral inflammation Perivisceral infected collection | Lithiasic cholecystitis Acalculous cholecystitis Emphysematous cholecystitis Mass |
| Small bowel | Obstruction | Perforation Obstruction Decompensated/complicated ileus | |
| Aorta | Aneurysm | Ruptured aneurysm | Thrombosis Dissection |
| Veins | Peri vessels oedema (phlebitis) | Thrombosis | |
| Intraparenchymal | Infected cyst Infectious cyst Hematoma Abscess Aneurysm Pseudoaneurysm |
Publisher’s Note: MDPI stays neutral with regard to jurisdictional claims in published maps and institutional affiliations. |
© 2022 by the authors. Licensee MDPI, Basel, Switzerland. This article is an open access article distributed under the terms and conditions of the Creative Commons Attribution (CC BY) license (https://creativecommons.org/licenses/by/4.0/).
Share and Cite
Tamburrini, S.; Consoli, L.; Garrone, M.; Sfuncia, G.; Lugarà, M.; Coppola, M.G.; Piccirillo, M.; Toto, R.; Stella, S.M.; Sofia, S.; et al. The “Black Pattern”, a Simplified Ultrasound Approach to Non-Traumatic Abdominal Emergencies. Tomography 2022, 8, 798-814. https://doi.org/10.3390/tomography8020066
Tamburrini S, Consoli L, Garrone M, Sfuncia G, Lugarà M, Coppola MG, Piccirillo M, Toto R, Stella SM, Sofia S, et al. The “Black Pattern”, a Simplified Ultrasound Approach to Non-Traumatic Abdominal Emergencies. Tomography. 2022; 8(2):798-814. https://doi.org/10.3390/tomography8020066
Chicago/Turabian StyleTamburrini, Stefania, Letizia Consoli, Marco Garrone, Giuseppe Sfuncia, Marina Lugarà, Maria Gabriella Coppola, Miryam Piccirillo, Roberta Toto, Salvatore Massimo Stella, Soccorsa Sofia, and et al. 2022. "The “Black Pattern”, a Simplified Ultrasound Approach to Non-Traumatic Abdominal Emergencies" Tomography 8, no. 2: 798-814. https://doi.org/10.3390/tomography8020066
APA StyleTamburrini, S., Consoli, L., Garrone, M., Sfuncia, G., Lugarà, M., Coppola, M. G., Piccirillo, M., Toto, R., Stella, S. M., Sofia, S., Scuderi, M., & Catalano, O. (2022). The “Black Pattern”, a Simplified Ultrasound Approach to Non-Traumatic Abdominal Emergencies. Tomography, 8(2), 798-814. https://doi.org/10.3390/tomography8020066

