7-Tesla Functional Cardiovascular MR Using Vectorcardiographic Triggering—Overcoming the Magnetohydrodynamic Effect
Abstract
:1. Introduction
2. Materials and Methods
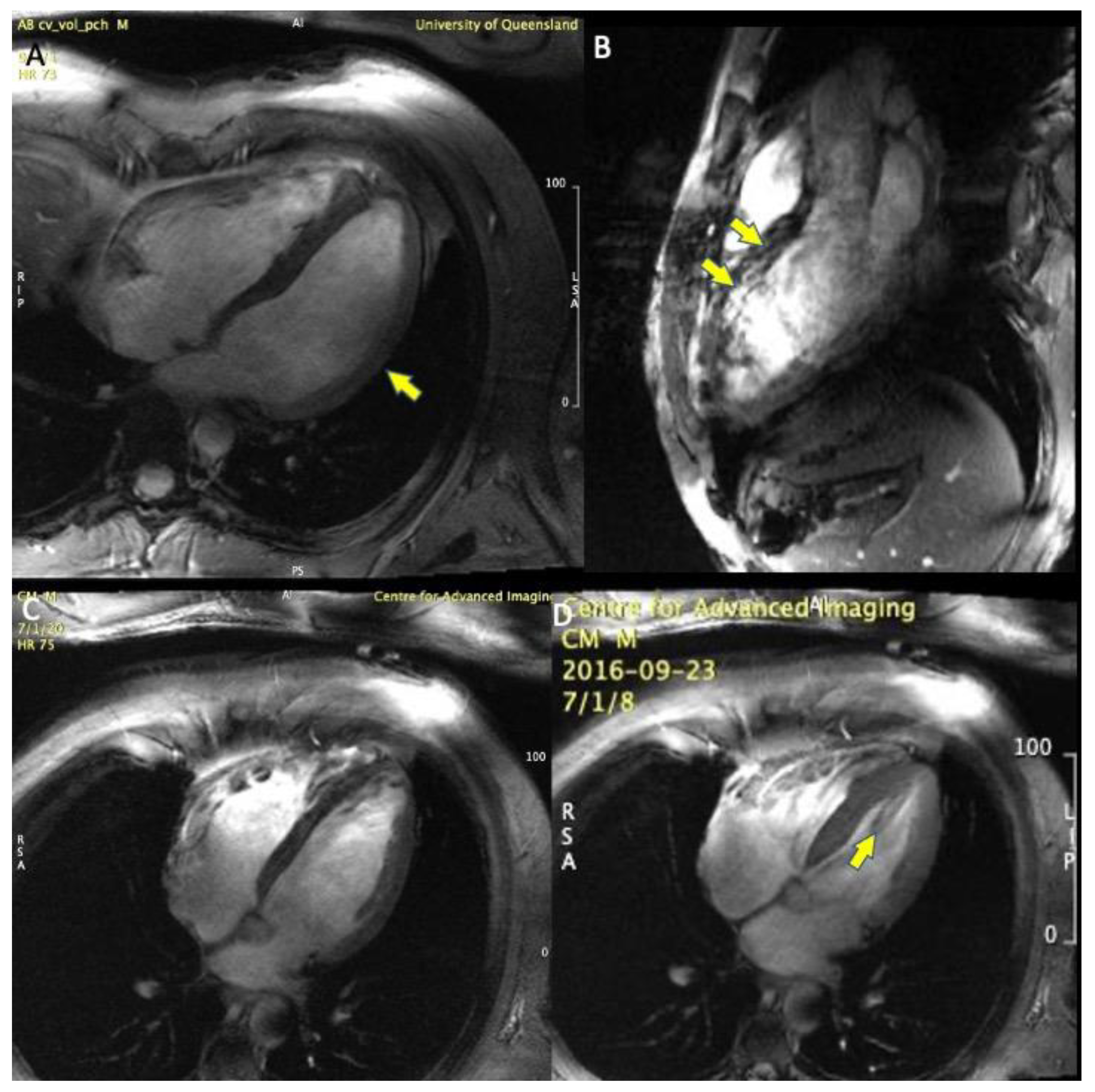
3. Results
4. Discussion
Limitations
5. Conclusions
Author Contributions
Funding
Institutional Review Board Statement
Informed Consent Statement
Data Availability Statement
Acknowledgments
Conflicts of Interest
References
- Hamilton-Craig, C.; Slaughter, R.E.; Maki, J. Cardiovascular magnetic resonance from basics to clinical applications. Appl. Radiol. 2010, 39, 43–52. [Google Scholar]
- Gutberlet, M.; Schwinge, K.; Freyhardt, P.; Spors, B.; Grothoff, M.; Denecke, T.; Lüdemann, L.; Noeske, R.; Niendorf, T.; Felix, R. Influence of high magnetic field strengths and parallel acquisition strategies on image quality in cardiac 2D CINE magnetic resonance imaging: Comparison of 1.5 T vs. 3.0 T. Eur. Radiol. 2005, 15, 1586–1597. [Google Scholar] [CrossRef] [PubMed]
- Kraff, O.; Fischer, A.; Nagel, A.; Mönninghoff, C.; Ladd, M.E. MRI at 7 tesla and above: Demonstrated and potential capabilities. J. Magn. Reson. Imaging 2015, 41, 13–33. [Google Scholar] [CrossRef] [PubMed]
- Sievers, B.; Wiesner, M.; Kiria, N.; Speiser, U.; Schoen, S.; Strasser, R.H. Influence of the trigger technique on ventricular function measurements using 3-Tesla magnetic resonance imaging: Comparison of ECG versus pulse wave triggering. Acta Radiol. 2011, 52, 385–392. [Google Scholar] [CrossRef] [PubMed]
- Suttie, J.J.; DelaBarre, L.; Pitcher, A.; Van De Moortele, P.F.; Dass, S.; Snyder, C.; Francis, J.M.; Metzger, G.; Weale, P.; Ugurbil, K.; et al. 7 Tesla (T) human cardiovascular magnetic resonance imaging using FLASH and SSFP to assess cardiac function: Validation against 1.5 T and 3 T. NMR Biomed. 2011, 25, 27–34. [Google Scholar] [CrossRef] [Green Version]
- Stäb, D.; Al Najjar, A.; O’Brien, K.; Strugnell, W.; Richer, J.; Rieger, J.; Niendorf, T.; Barth, M. Cardiac Magnetic Resonance Imaging at 7 Tesla. J. Vis. Exp. 2019, 143, e55853. [Google Scholar] [CrossRef] [Green Version]
- Frank, M.R.J. Method for Identifying an R-Wave in an ECG Signal, ECG Measuring Device and Magnetic Resonance Scanner. U.S. Patent No. 8,332,023, 11 December 2012. [Google Scholar]
- Stäb, D.; Roessler, J.; O’Brien, K.; Hamilton-Craig, C.; Barth, M. ECG Triggering in Ultra-High Field Cardiovascular MRI. Tomography 2016, 2, 167–174. [Google Scholar] [CrossRef] [PubMed]
- Moody, W.E.; Hudsmith, L.E.; Holloway, B.; Treibel, T.A.; Davies, R.; Kozor, R.; Hamilton-Craig, C.; Edwards, N.C.; Bradlow, W.M.; Moon, J.C.; et al. Variation in cardiovascular magnetic resonance myocardial contouring: Insights from an international survey. J. Magn. Reson. Imaging 2019, 50, 1336–1338. [Google Scholar] [CrossRef] [PubMed] [Green Version]
- Knesewitsch, T.; Meierhofer, C.; Rieger, H.; Rößler, J.; Frank, M.; Martinoff, S.; Hess, J.; Stern, H.; Fratz, S. Demonstration of value of optimizing ECG triggering for cardiovascular magnetic resonance in patients with congenital heart disease. J. Cardiovasc. Magn. Reson. 2013, 15, 3. [Google Scholar] [CrossRef] [PubMed] [Green Version]
- Krug, J.W.; Rose, G.; Clifford, G.D.; Oster, J. ECG-based gating in ultra high field cardiovascular magnetic resonance using an independent component analysis approach. J. Cardiovasc. Magn. Reson. 2013, 15, 104. [Google Scholar] [CrossRef] [PubMed] [Green Version]
- Frauenrath, T.; Hezel, F.; Renz, W.; d’Orth, T.G.; Dieringer, M.; von Knobelsdorff-Brenkenhoff, F.; Prothmann, M.; Schulz, M.J.; Niendorf, T. Acoustic cardiac triggering: A practical solution for synchronization and gating of cardiovascular magnetic resonance at 7 Tesla. J. Cardiovasc. Magn. Reson. 2010, 12, 67. [Google Scholar] [CrossRef] [PubMed] [Green Version]
- Kording, F.; Ruprecht, C.; Schoennagel, B.; Fehrs, K.; Yamamura, J.; Adam, G.; Goebel, J.; Nassenstein, K.; Maderwald, S.; Quick, H.; et al. Doppler ultrasound triggering for cardiac MRI at 7T. Magn. Reson. Med. 2018, 80, 239–247. [Google Scholar] [CrossRef] [PubMed]
- Ludwig, J.; Speier, P.; Seifert, F.; Schaeffter, T.; Kolbitsch, C. Pilot tone-based motion correction for prospective respiratory compensated cardiac cine MRI. Magn. Reson. Med. 2021, 85, 2403–2416. [Google Scholar] [CrossRef] [PubMed]
- Kolbitsch, C.; Prieto, C.; Schaeffter, T. Cardiac functional assessment without electrocardiogram using physiological self-navigation. Magn. Reson. Med. 2014, 71, 942–954. [Google Scholar] [CrossRef] [PubMed]
- Cawley, P.J.; Hamilton-Craig, C.; Owens, D.S.; Krieger, E.V.; Strugnell, W.E.; Mitsumori, L.; D’Jang, C.L.; Schwaegler, R.G.; Nguyen, K.Q.; Nguyen, B.; et al. Prospective Comparison of Valve Regurgitation Quantitation by Cardiac Magnetic Resonance Imaging and Transthoracic Echocardiography. Circ. Cardiovasc. Imaging 2013, 6, 48–57. [Google Scholar] [CrossRef] [PubMed] [Green Version]
- Krieger, E.V.; Lee, J.; Branch, K.; Hamilton-Craig, C. Quantitation of mitral regurgitation with cardiac magnetic resonance imaging: A systematic review. Heart 2016, 102, 1864–1870. [Google Scholar] [CrossRef] [PubMed]
- Lee, J.C.; Branch, K.; Hamilton-Craig, C.; Krieger, E.V. Evaluation of aortic regurgitation with cardiac magnetic resonance imaging: A systematic review. Heart 2017, 104, 103–110. [Google Scholar] [CrossRef] [PubMed]





| Subject | LVEDV mL | LVESV mL | SV mL | LVEF% | Mass g | RV-EDV mL | RV-ESV mL | RV-SV mL | RVEF % | AO-SV mL | PA-SV mL | IQ Score |
|---|---|---|---|---|---|---|---|---|---|---|---|---|
| 1 | 146 | 72 | 74 | 51 | 123 | 167 | 85 | 82 | 49 | 117 | 133 | 1 |
| 2 | 133 | 58 | 75 | 57 | 94 | 136 | 77 | 60 | 44 | 102 | 90 | 0 |
| 3 | 120 | 60 | 59 | 60 | 124 | 134 | 71 | 63 | 47 | 50 | 56 | 1 |
| 4 | 194 | 94 | 100 | 51 | 153 | 205 | 88 | 117 | 57 | 117 | 122 | 1 |
| 5 | 172 | 77 | 96 | 56 | 128 | 195 | 87 | 108 | 55 | 105 | 116 | 1 |
| 6 | 168 | 74 | 94 | 56 | 98 | 148 | 48 | 90 | 61 | 106 | 116 | 0 |
| 7 | 106 | 45 | 61 | 57 | 94 | 139 | 74 | 65 | 47 | 62 | 71 | 2 |
| 8 | 203 | 81 | 122 | 60 | 144 | 200 | 113 | 87 | 44 | 124 | 112 | 1 |
| 9 | 142 | 61 | 81 | 57 | 93 | 157 | 75 | 82 | 52 | 90 | 92 | 0 |
| 10 | 181 | 75 | 106 | 59 | 143 | 183 | 77 | 106 | 58 | 106 | 103 | 1 |
| mean | 156.5 | 69.7 | 86.8 | 56.4 | 119.4 | 166.4 | 79.5 | 86 | 51.4 | 97.9 | 101.1 | 0.9 |
Publisher’s Note: MDPI stays neutral with regard to jurisdictional claims in published maps and institutional affiliations. |
© 2021 by the authors. Licensee MDPI, Basel, Switzerland. This article is an open access article distributed under the terms and conditions of the Creative Commons Attribution (CC BY) license (https://creativecommons.org/licenses/by/4.0/).
Share and Cite
Hamilton-Craig, C.; Stäeb, D.; Al Najjar, A.; O’Brien, K.; Crawford, W.; Fletcher, S.; Barth, M.; Galloway, G. 7-Tesla Functional Cardiovascular MR Using Vectorcardiographic Triggering—Overcoming the Magnetohydrodynamic Effect. Tomography 2021, 7, 323-332. https://doi.org/10.3390/tomography7030029
Hamilton-Craig C, Stäeb D, Al Najjar A, O’Brien K, Crawford W, Fletcher S, Barth M, Galloway G. 7-Tesla Functional Cardiovascular MR Using Vectorcardiographic Triggering—Overcoming the Magnetohydrodynamic Effect. Tomography. 2021; 7(3):323-332. https://doi.org/10.3390/tomography7030029
Chicago/Turabian StyleHamilton-Craig, Christian, Daniel Stäeb, Aiman Al Najjar, Kieran O’Brien, William Crawford, Sabine Fletcher, Markus Barth, and Graham Galloway. 2021. "7-Tesla Functional Cardiovascular MR Using Vectorcardiographic Triggering—Overcoming the Magnetohydrodynamic Effect" Tomography 7, no. 3: 323-332. https://doi.org/10.3390/tomography7030029
APA StyleHamilton-Craig, C., Stäeb, D., Al Najjar, A., O’Brien, K., Crawford, W., Fletcher, S., Barth, M., & Galloway, G. (2021). 7-Tesla Functional Cardiovascular MR Using Vectorcardiographic Triggering—Overcoming the Magnetohydrodynamic Effect. Tomography, 7(3), 323-332. https://doi.org/10.3390/tomography7030029

