Long-Term Effects of COVID-19: Analysis of Imaging Findings in Patients Evaluated by Computed Tomography from 2020 to 2024
Abstract
1. Background
2. Materials and Methods
2.1. Study Population
2.2. Image Analysis and Evaluation of Chest CT Scores
2.3. Statistical Analysis
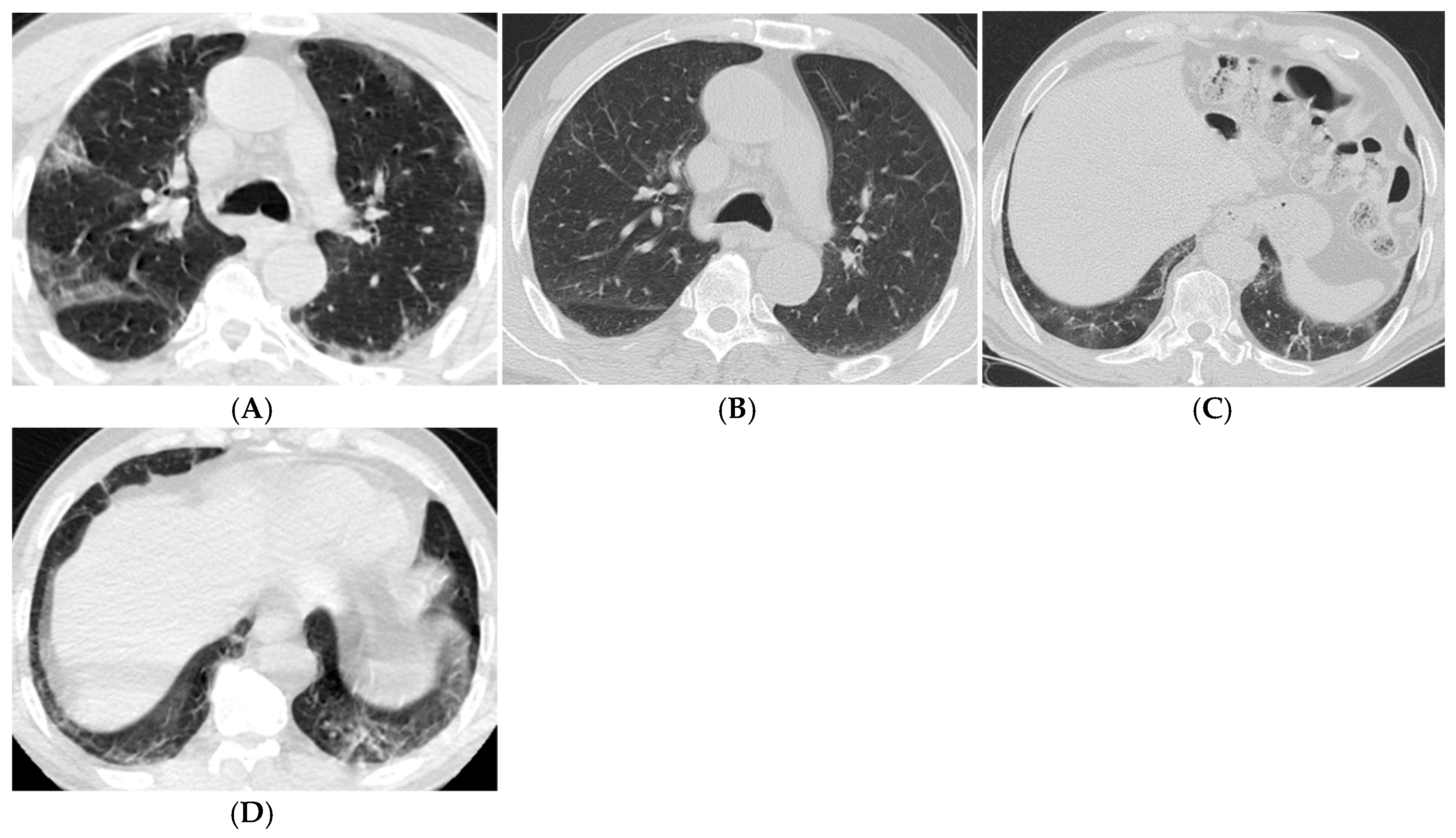
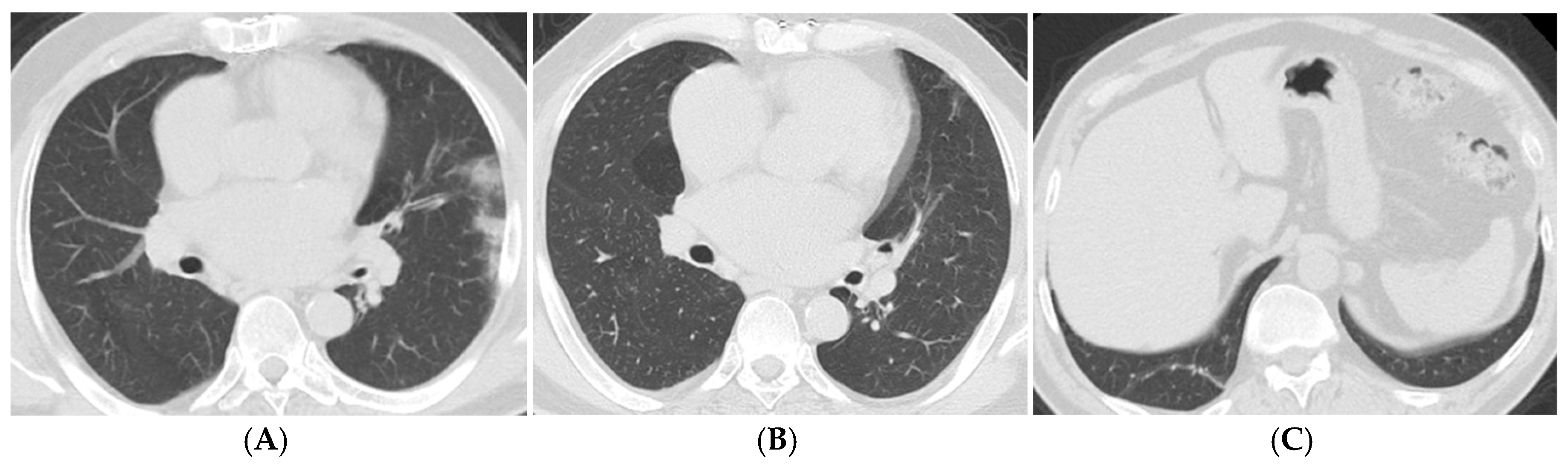
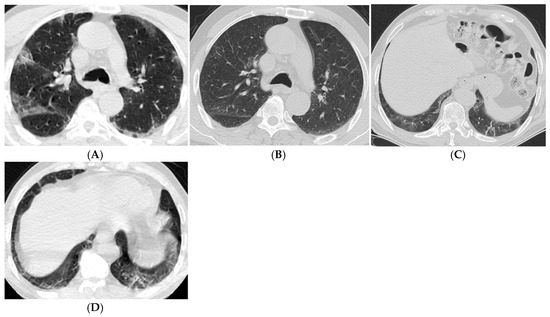
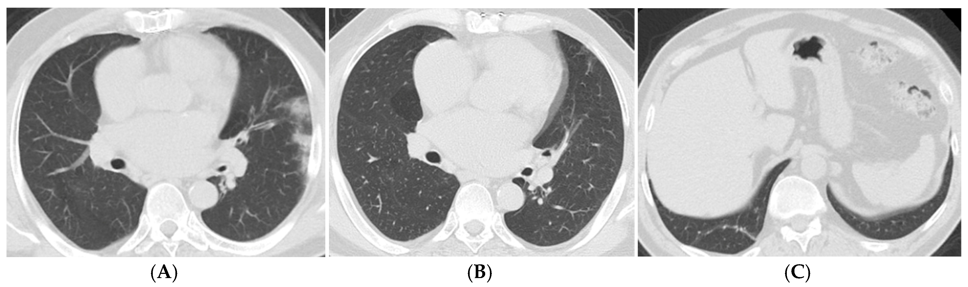
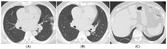
3. Results
4. Discussion
Author Contributions
Funding
Institutional Review Board Statement
Informed Consent Statement
Data Availability Statement
Acknowledgments
Conflicts of Interest
References
- Filip, R.; Gheorghita Puscaselu, R.; Anchidin-Norocel, L.; Dimian, M.; Savage, W.K. Global challenges to public health care systems during the COVID-19 pandemic: A review of pandemic measures and problems. J. Pers. Med. 2022, 12, 1295. [Google Scholar] [CrossRef] [PubMed]
- Torres-Castro, R.; Vasconcello-Castillo, L.; Alsina-Restoy, X.; Solis-Navarro, L.; Burgos, F.; Puppo, H.; Vilaró, J. Respiratory function in patients post-infection by COVID-19: A systematic review and meta-analysis. Pulmonology 2021, 27, 328–337. [Google Scholar] [CrossRef]
- Nalbandian, A.; Sehgal, K.; Gupta, A.; Madhavan, M.V.; McGroder, C.; Stevens, J.S.; Cook, J.R.; Nordvig, A.S.; Shalev, D.; Sehrawat, T.S.; et al. Post-acute COVID-19 syndrome. Nat. Med. 2021, 27, 601–615. [Google Scholar] [CrossRef]
- Babar, M.; Jamil, H.; Mehta, N.; Moutwakil, A.; Duong, T.Q. Short- and long-term chest CT findings after recovery from COVID-19: A systematic review and meta-analysis. Diagnostics 2024, 14, 621. [Google Scholar] [CrossRef]
- Yang, R.; Li, X.; Liu, H.; Zhen, Y.; Zhang, X.; Xiong, Q.; Luo, Y.; Gao, C.; Zeng, W. Chest CT severity score: An imaging tool for assessing severe COVID-19. Radiol. Cardiothorac. Imaging 2020, 30, e200047. [Google Scholar] [CrossRef]
- Han, X.; Chen, L.; Fan, Y.; Alwalid, O.; Jia, X.; Zheng, Y.; Liu, J.; Li, Y.; Cao, Y.; Gu, J.; et al. Longitudinal assessment of chest CT findings and pulmonary function after COVID-19 infection. Radiology 2023, 307, e222888. [Google Scholar] [CrossRef] [PubMed]
- Murphy, M.C.; Little, B.P. Chronic pulmonary manifestations of COVID-19 infection: Imaging evaluation. Radiology 2023, 307, e222379. [Google Scholar] [CrossRef] [PubMed]
- An, P.; Song, P.; Wang, Y.; Liu, B. Asymptomatic patients with novel coronavirus disease (COVID-19). Balk. Med. J. 2020, 37, 229. [Google Scholar] [CrossRef]
- Wang, J.; Zhu, X.; Xu, Z.; Yang, G.; Mao, G.; Jia, Y.; Xie, Z.; Wang, J.; Ao, W. Clinical and CT findings of COVID-19: Differences among three age groups. BMC Infect. Dis. 2020, 20, 434. [Google Scholar] [CrossRef]
- Chen, Z.; Fan, H.; Cai, J.; Li, Y.; Wu, B.; Hou, Y.; Xu, S.; Zhou, F.; Liu, Y.; Xuan, W.; et al. High-resolution computed tomography manifestations of COVID-19 infections in patients of different ages. Eur. J. Radiol. 2020, 126, 108972. [Google Scholar] [CrossRef]
- Solomon, J.J.; Heyman, B.; Ko, J.P.; Condos, R.; Lynch, D.A. CT of acute post-acute lung complications of COVID-19. Radiology 2021, 301, E383–E395. [Google Scholar] [CrossRef] [PubMed]
- Wu, X.; Liu, X.; Zhou, Y.; Yu, H.; Li, R.; Zhan, Q.; Ni, F.; Fang, S.; Lu, Y.; Ding, X.; et al. 3-month, 6-month, 9-month, and 12-month respiratory outcomes in patients following COVID-19-related hospitalization: A prospective study. Lancet Respir. Med. 2021, 9, 747–754. [Google Scholar] [CrossRef]
- Alarcón-Rodríguez, J.; Fernández-Velilla, M.; Ureña-Vacas, A.; Martín-Pinacho, J.J.; Rigual-Bobillo, J.A.; Jaureguízar-Oriol, A.; Gorospe-Sarasúa, L. Radiological management and follow-up of post-COVID-19 patients. Radiologia 2021, 63, 258–269. [Google Scholar] [CrossRef] [PubMed]
- Han, X.; Fan, Y.; Alwalid, O.; Li, N.; Jia, X.; Yuan, M.; Li, Y.; Cao, Y.; Gu, J.; Wu, H.; et al. Six-month follow-up chest CT findings after severe COVID-19 pneumonia. Radiology 2021, 299, 177–186. [Google Scholar] [CrossRef]
- Meduri, G.U.; Headley, S.; Kohler, G.; Stentz, F.; Tolley, E.; Umberger, R.; Leeper, K. Persistent elevation of inflammatory cytokines predicts a poor outcome in ARDS. Chest 1995, 107, 1062–1073. [Google Scholar] [CrossRef]
- Desai, S.R.; Wells, A.U.; Rubens, M.B.; Evans, T.W.; Hansell, D.M. Acute respiratory distress syndrome: CT abnormalities at long-term follow-up. Radiology 1999, 210, 29–35. [Google Scholar] [CrossRef]
- George, P.M.; Wells, A.U.; Jenkins, R.G. Pulmonary fibrosis and COVID-19: The potential role for antifibrotic therapy. Lancet Respir. Med. 2020, 8, 807–815. [Google Scholar] [CrossRef]
- Sah, A.; Fabian, E.J.; Remolina, C. Ventilator-induced barotrauma in critically ill patients with COVID-19: A retrospective observational study. J. Community Hosp. Intern. Med. Perspect. 2021, 11, 304–310. [Google Scholar] [CrossRef] [PubMed]
- McGuinness, G.; Zhan, C.; Rosenberg, N.; Azour, L.; Wickstrom, M.; Mason, D.M.; Thomas, K.M.; Moore, W.H. Increased incidence of barotrauma in patients with COVID-19 on invasive mechanical ventilation. Radiology 2020, 297, 252–262. [Google Scholar] [CrossRef]
- Liu, K.; Zeng, Y.; Xie, P.; Ye, X.; Xu, G.; Liu, J.; Wang, H.; Qian, J. COVID-19 with cystic features on computed tomography: A case report. Medicine 2020, 99, e20175. [Google Scholar] [CrossRef]
- Xu, Z.; Shi, L.; Wang, Y.; Zhang, J.; Huang, L.; Zhang, C.; Liu, S.; Zhao, P.; Liu, H.; Zhu, L.; et al. Pathological findings of COVID-19 associated with acute respiratory distress syndrome. Lancet Respir. Med. 2020, 8, 420–422. [Google Scholar] [CrossRef] [PubMed]
- Liu, J.; Zheng, X.; Tong, Q.; Li, W.; Wang, B.; Sutter, K.; Trilling, M.; Lu, M.; Dittmer, U.; Yang, D. Overlapping and discrete aspects of the pathology and pathogenesis of the emerging human pathogenic coronaviruses SARS-CoV, MERS-CoV, and 2019-nCoV. J. Med. Virol. 2020, 92, 491–494. [Google Scholar] [CrossRef] [PubMed]
- Kazerooni, E.A.; Martinez, F.J.; Flint, A.; Jamadar, D.A.; Gross, B.H.; Spizarny, D.L.; Cascade, P.N.; Whyte, R.I.; Lynch, J.P.; Toews, G. Thin-section CT obtained at 10-mm increments versus limited three-level thin-section CT for idiopathic pulmonary fibrosis: Correlation with pathologic scoring. Am. J. Roentgenol. 1997, 169, 977–983. [Google Scholar] [CrossRef] [PubMed]
- Francone, M.; Iafrate, F.; Masci, G.M.; Coco, S.; Cilia, F.; Manganaro, L.; Panebianco, V.; Andreoli, C.; Colaiacomo, M.C.; Zingaropoli, M.A.; et al. Chest CT score in COVID-19 patients: Correlation with disease severity and short-term prognosis. Eur. Radiol. 2020, 30, 6808–6817. [Google Scholar] [CrossRef]




| Finding | 3–6 Mo Male (n = 20) | 3–6 Mo Female (n = 31) | 6–12 Mo Male (n = 11) | 6–12 Mo Female (n = 16) | >12 Mo Male (n = 14) | >12 Mo Female (n = 19) | p-Value (Trend) | 
|---|---|---|---|---|---|---|---|
| Ground-glass opacity | 10 (50%) | 22 (71%) | 5 (45%) | 9 (56%) | 6 (43%) | 4 (21%) | 0.015 | 
| Parenchymal band | 11 (55%) | 22 (71%) | 6 (55%) | 12 (75%) | 8 (57%) | 9 (47%) | 0.385 | 
| Reticular pattern | 1 (5%) | 9 (29%) | 1 (9%) | 2 (12%) | 4 (29%) | 3 (16%) | 0.552 | 
| Traction bronchiectasis | 3 (15%) | 11 (35%) | 3 (27%) | 8 (50%) | 7 (50%) | 6 (32%) | 0.379 | 
| Mosaic attenuation | 2 (10%) | 5 (16%) | 2 (18%) | 3 (19%) | 3 (21%) | 6 (32%) | 0.301 | 
| Septal thickening | 1 (5%) | 2 (6%) | 0 (0%) | 0 (0%) | 0 (0%) | 0 (0%) | 0.163 | 
| Honeycombing | 0 (0%) | 1 (3%) | 1 (9%) | 0 (0%) | 1 (7%) | 1 (5%) | 0.616 | 
| Parenchymal distortion | 2 (10%) | 6 (19%) | 3 (27%) | 4 (25%) | 3 (21%) | 3 (16%) | 0.542 | 
| Atrophy | 0 (0%) | 1 (3%) | 1 (9%) | 0 (0%) | 1 (7%) | 1 (5%) | 0.616 | 
| Cyst | 0 (0%) | 0 (0%) | 0 (0%) | 0 (0%) | 3 (21%) | 1 (5%) | 0.007 | 
| Category | Parameter | Value | 
|---|---|---|
| Demographics | Mean Age (years) | 51.26 ± 1.82 | 
| Demographics | Gender Distribution (F/M) | 44/32 | 
| Comorbidities | Hypertension | Present in 35% of patients | 
| Diabetes Mellitus | Present in 30% of patients | |
| Chronic Obstructive Pulmonary Disease (COPD) | Present in 20% of patients | |
| Cardiovascular Disease | Present in 18% of patients | |
| Obesity (BMI > 30) | Present in 25% of patients | |
| COVID-19 Diagnosis | Mean Diagnosis Date | March 2020–November 2024 | 
| COVID-19 Diagnosis | Follow-Up Duration | 3–6, 6–12, >12 months | 
| CT Scan Info | Scan Indications | Post-COVID follow-up, respiratory symptoms | 
| CT Scan Info | Scan Frequency per Patient | 1–3 scans per patient | 
| Imaging Findings (3–6 Months) | Common Findings | Ground-glass opacities, parenchymal bands, traction bronchiectasis | 
| Imaging Findings (6–12 Months) | Common Findings | Parenchymal bands, traction bronchiectasis | 
| Imaging Findings (>12 Months) | Common Findings | Persistent fibrotic changes, cysts, ground-glass opacities | 
| Disclaimer/Publisher’s Note: The statements, opinions and data contained in all publications are solely those of the individual author(s) and contributor(s) and not of MDPI and/or the editor(s). MDPI and/or the editor(s) disclaim responsibility for any injury to people or property resulting from any ideas, methods, instructions or products referred to in the content. | 
© 2025 by the authors. Licensee MDPI, Basel, Switzerland. This article is an open access article distributed under the terms and conditions of the Creative Commons Attribution (CC BY) license (https://creativecommons.org/licenses/by/4.0/).
Share and Cite
Keskin, Z.; Yeşildağ, M.; Özberk, Ö.; Ödev, K.; Ateş, F.; Bakdık, B.Ö.; Kardaş, Ş.Ç. Long-Term Effects of COVID-19: Analysis of Imaging Findings in Patients Evaluated by Computed Tomography from 2020 to 2024. Tomography 2025, 11, 49. https://doi.org/10.3390/tomography11050049
Keskin Z, Yeşildağ M, Özberk Ö, Ödev K, Ateş F, Bakdık BÖ, Kardaş ŞÇ. Long-Term Effects of COVID-19: Analysis of Imaging Findings in Patients Evaluated by Computed Tomography from 2020 to 2024. Tomography. 2025; 11(5):49. https://doi.org/10.3390/tomography11050049
Chicago/Turabian StyleKeskin, Zeynep, Mihrican Yeşildağ, Ömer Özberk, Kemal Ödev, Fatih Ateş, Bengü Özkan Bakdık, and Şehriban Çağlak Kardaş. 2025. "Long-Term Effects of COVID-19: Analysis of Imaging Findings in Patients Evaluated by Computed Tomography from 2020 to 2024" Tomography 11, no. 5: 49. https://doi.org/10.3390/tomography11050049
APA StyleKeskin, Z., Yeşildağ, M., Özberk, Ö., Ödev, K., Ateş, F., Bakdık, B. Ö., & Kardaş, Ş. Ç. (2025). Long-Term Effects of COVID-19: Analysis of Imaging Findings in Patients Evaluated by Computed Tomography from 2020 to 2024. Tomography, 11(5), 49. https://doi.org/10.3390/tomography11050049
 
        


 
       