Spontaneous Pneumothorax: A Review of Underlying Etiologies and Diagnostic Imaging Modalities
Simple Summary
Abstract
1. Introduction
2. Classification and Etiologies of Spontaneous Pneumothorax
2.1. Primary Spontaneous Pneumothorax (PSP)
2.2. Secondary Spontaneous Pneumothorax (SSP)
3. Diagnostic Imaging Modalities for Spontaneous Pneumothorax
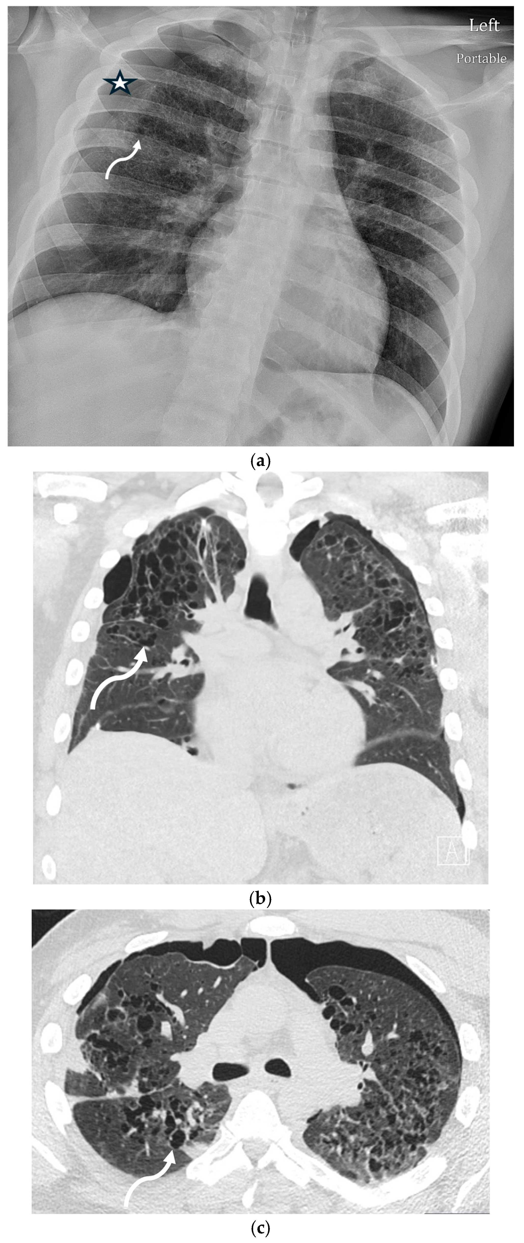
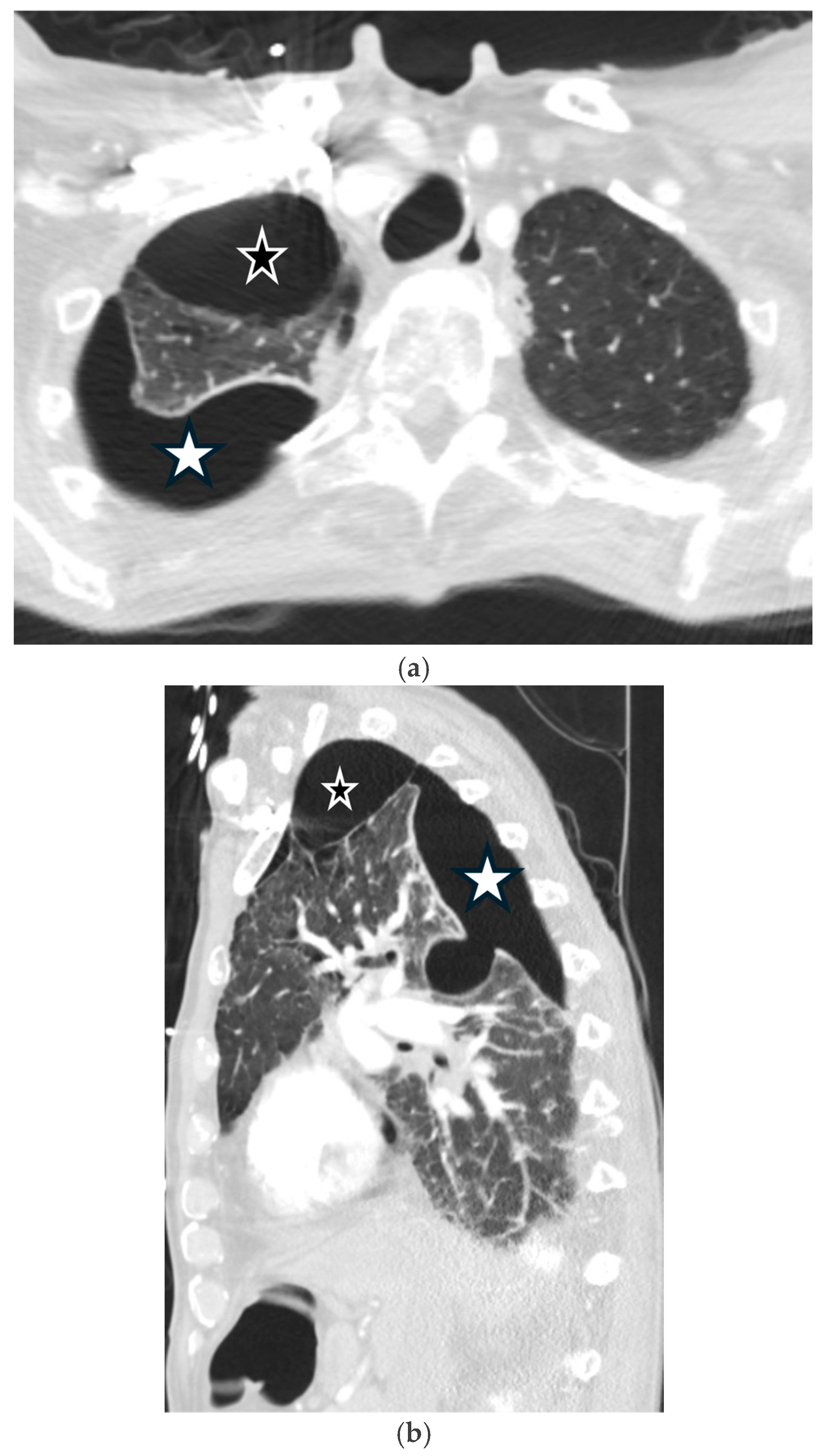
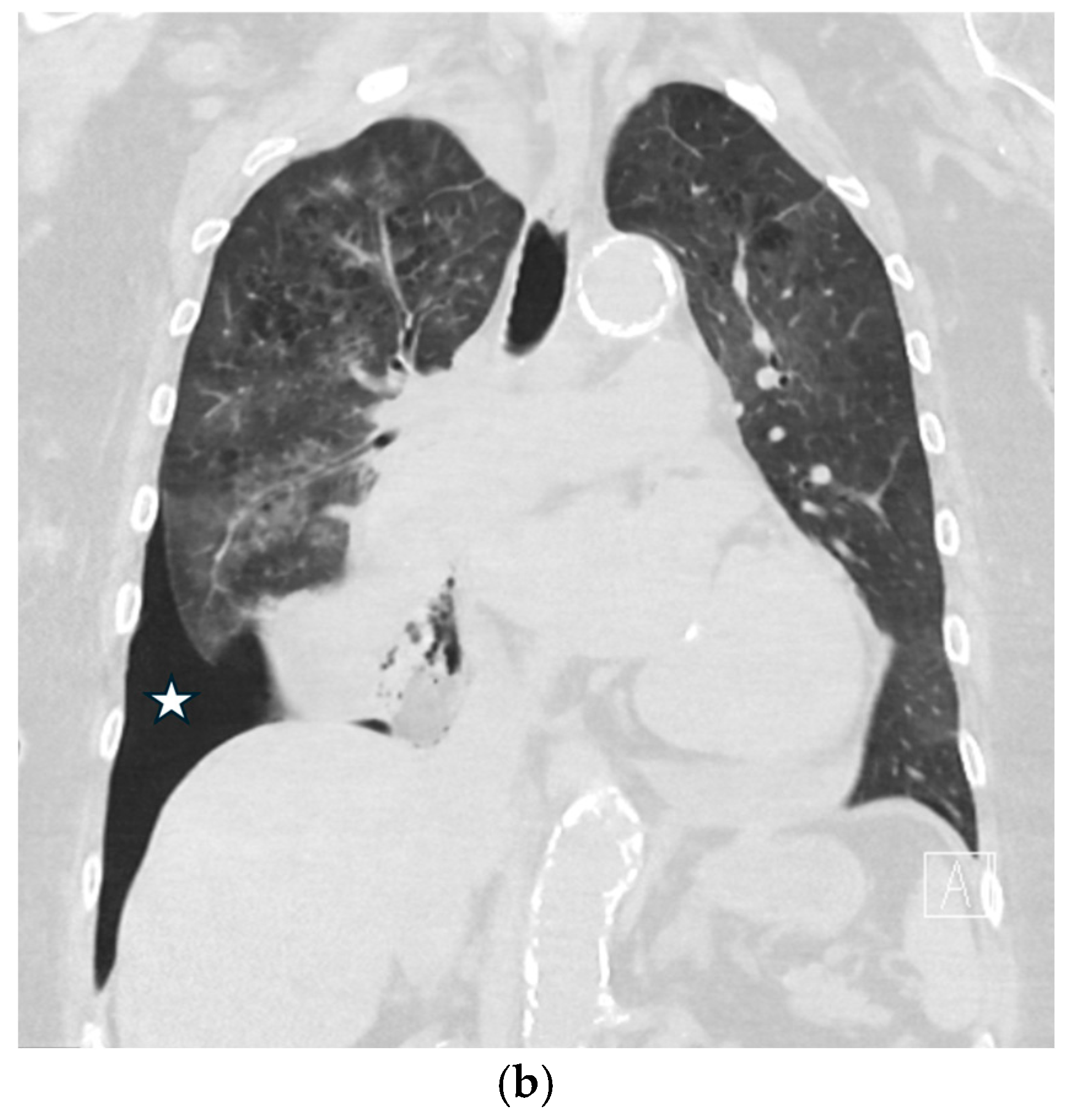
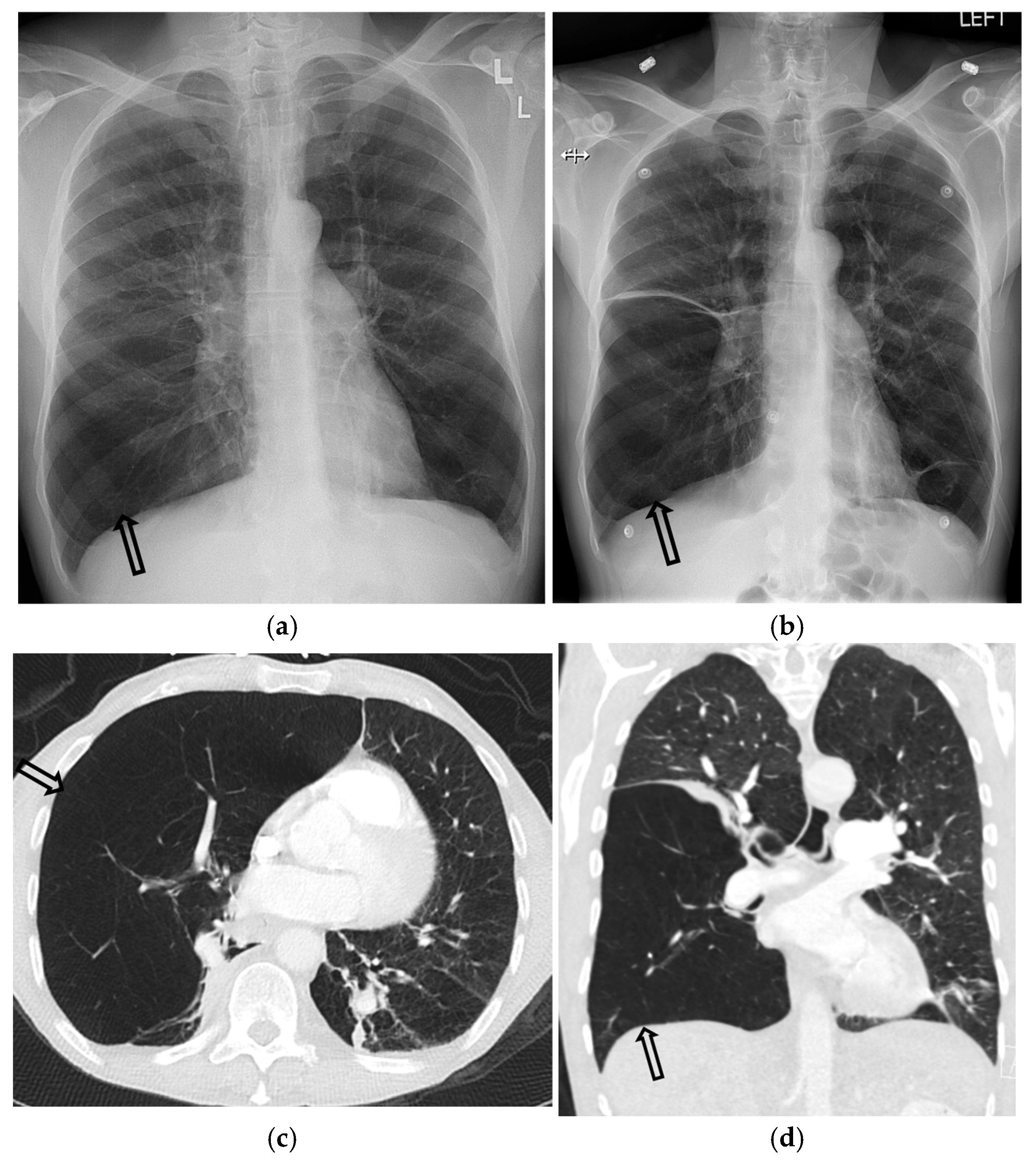
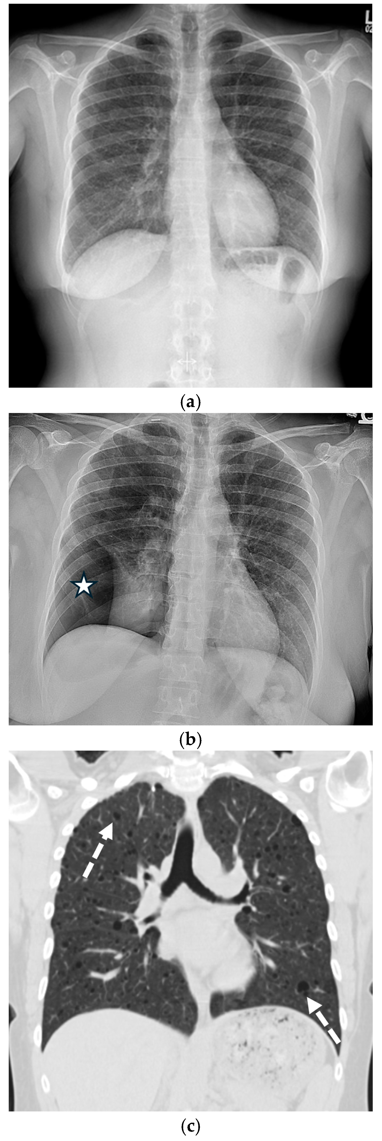
3.1. Chest Radiography
3.2. Ultrasonography
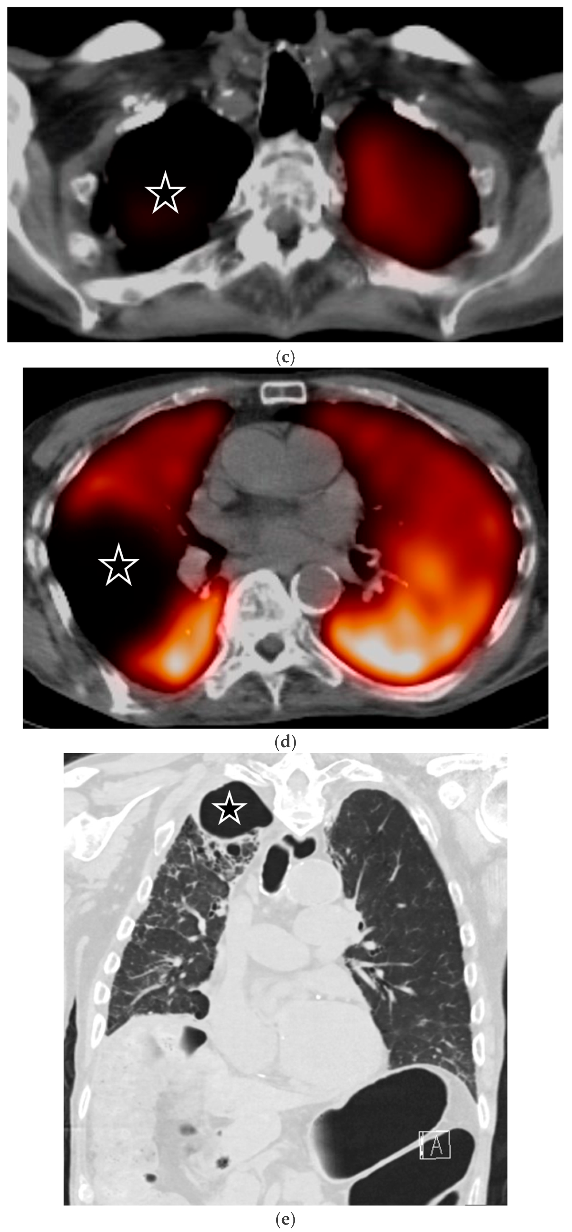
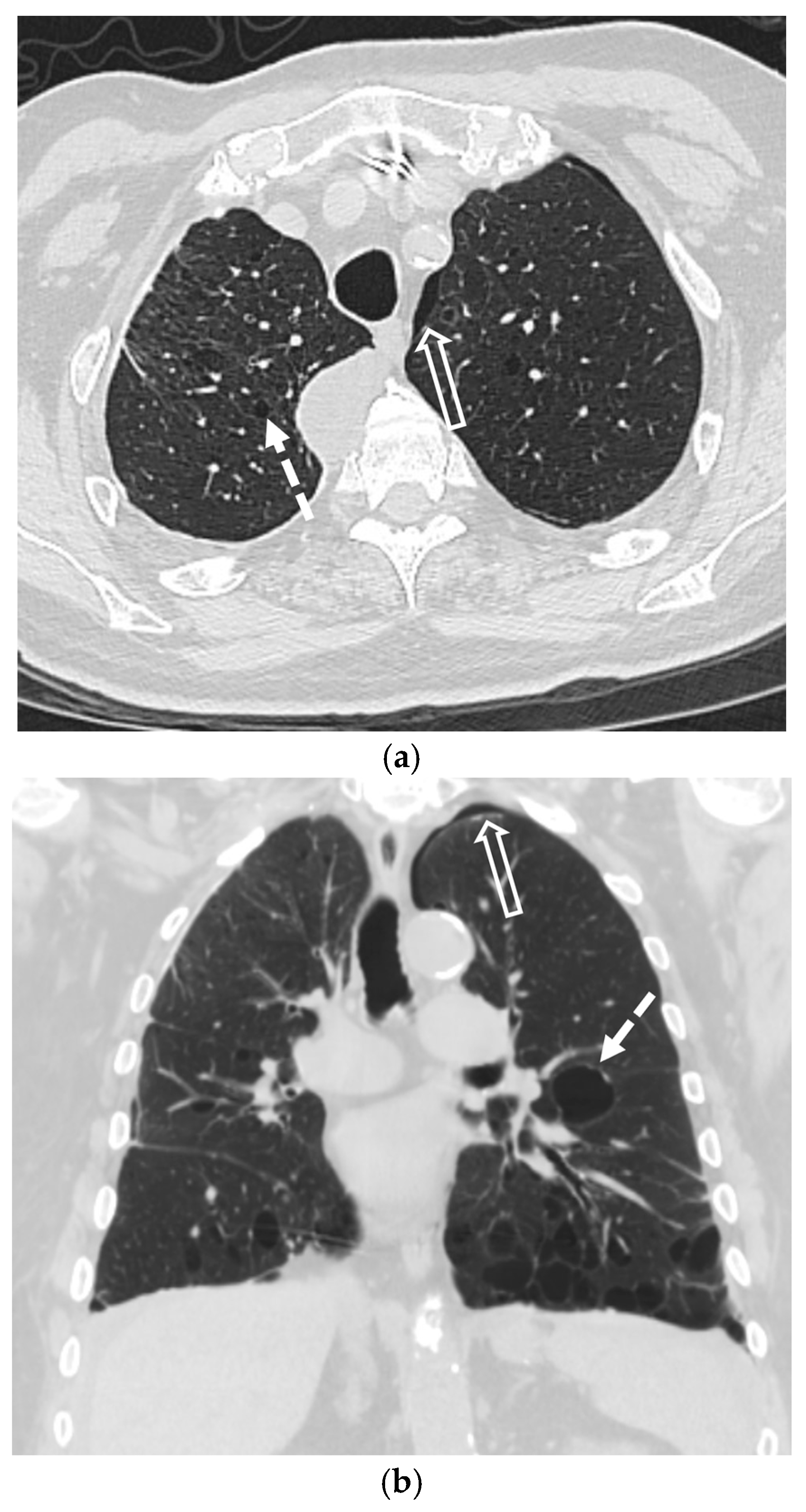
3.3. Computed Tomography (CT)
3.4. Magnetic Resonance Imaging (MRI)
4. Pneumothorax Mimics and Diagnostic Pitfalls
4.1. Chest Radiography Pitfalls
4.2. Computed Tomography Pitfalls
5. Underlying Etiologies of Secondary Spontaneous Pneumothorax (SSP): A Detailed Review
5.1. Infections
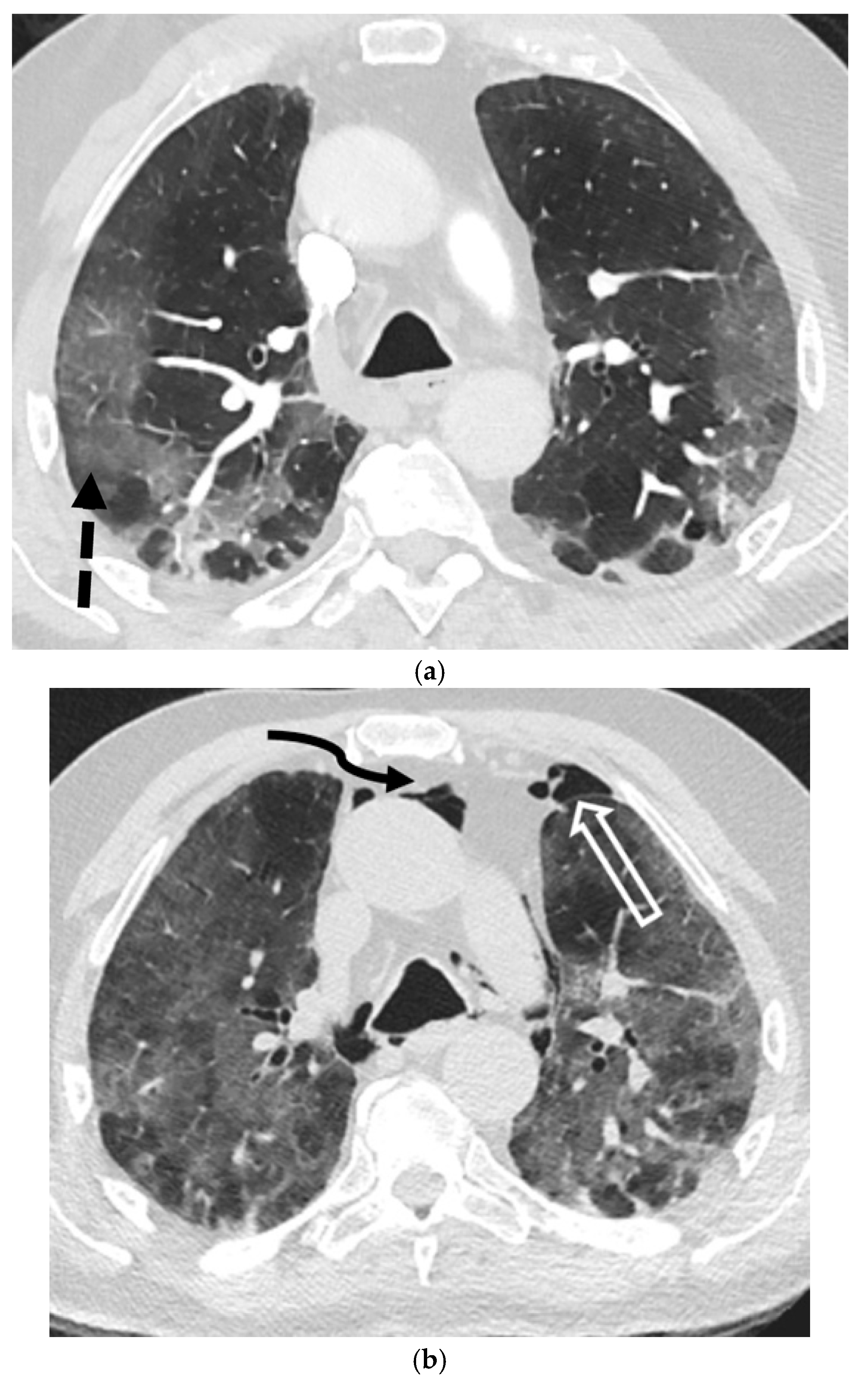
5.1.1. Tuberculosis (TB)
5.1.2. COVID-19 Pneumonia
5.1.3. Pneumocystis jirovecii Pneumonia (PJP)
5.1.4. Other Infections
5.2. Airway Diseases
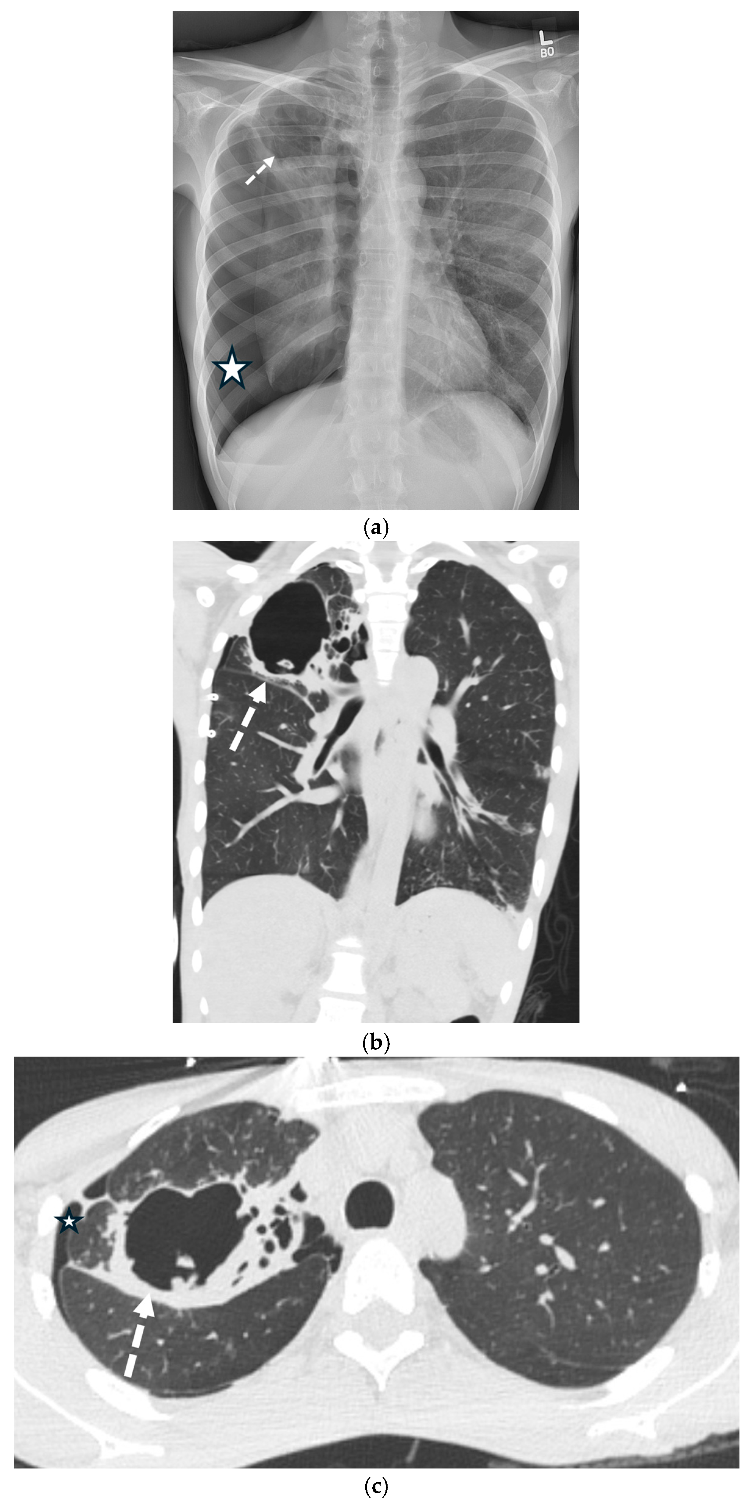
5.2.1. Chronic Obstructive Pulmonary Disease (COPD)
5.2.2. Cystic Fibrosis (CF)
5.2.3. Asthma
5.3. Malignancies
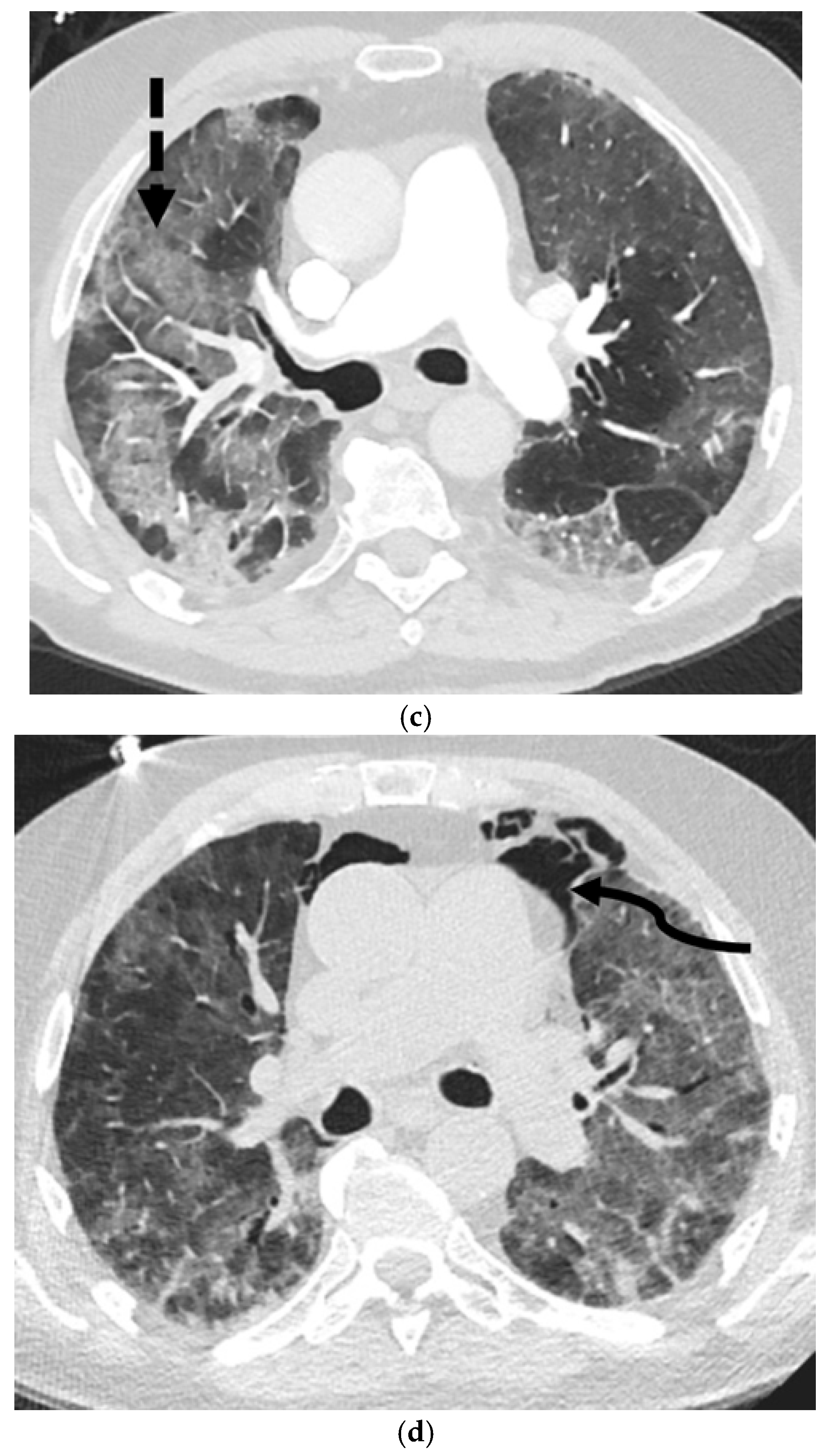
5.4. Interstitial Lung Diseases (ILDs)
5.4.1. Idiopathic Pulmonary Fibrosis (IPF)
5.4.2. Lymphoid Interstitial Pneumonia (LIP)
5.4.3. Sarcoidosis
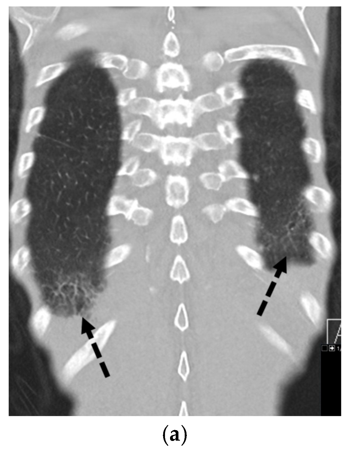
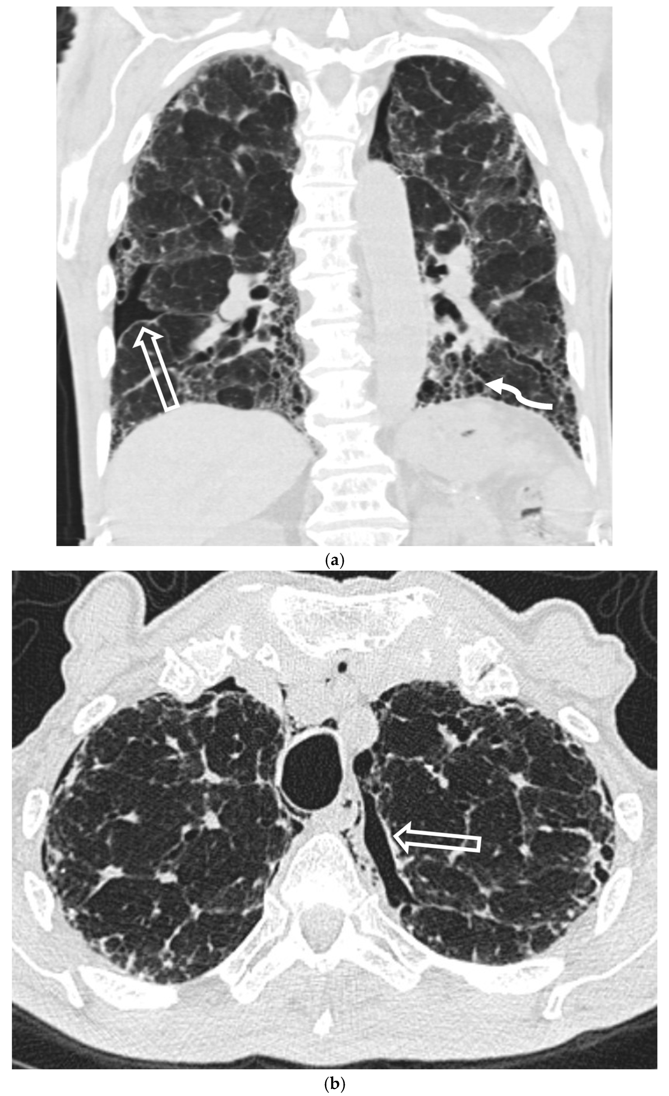
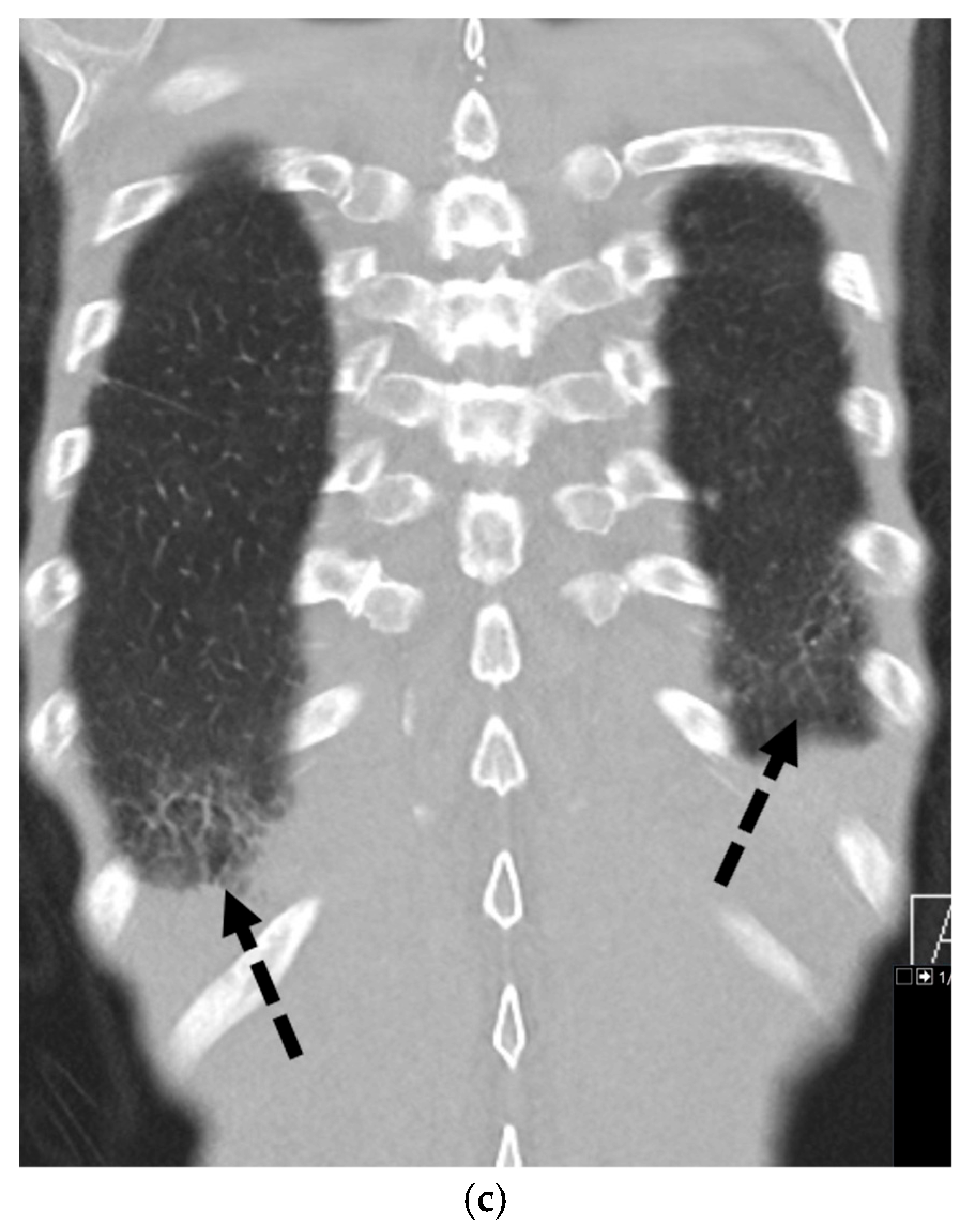
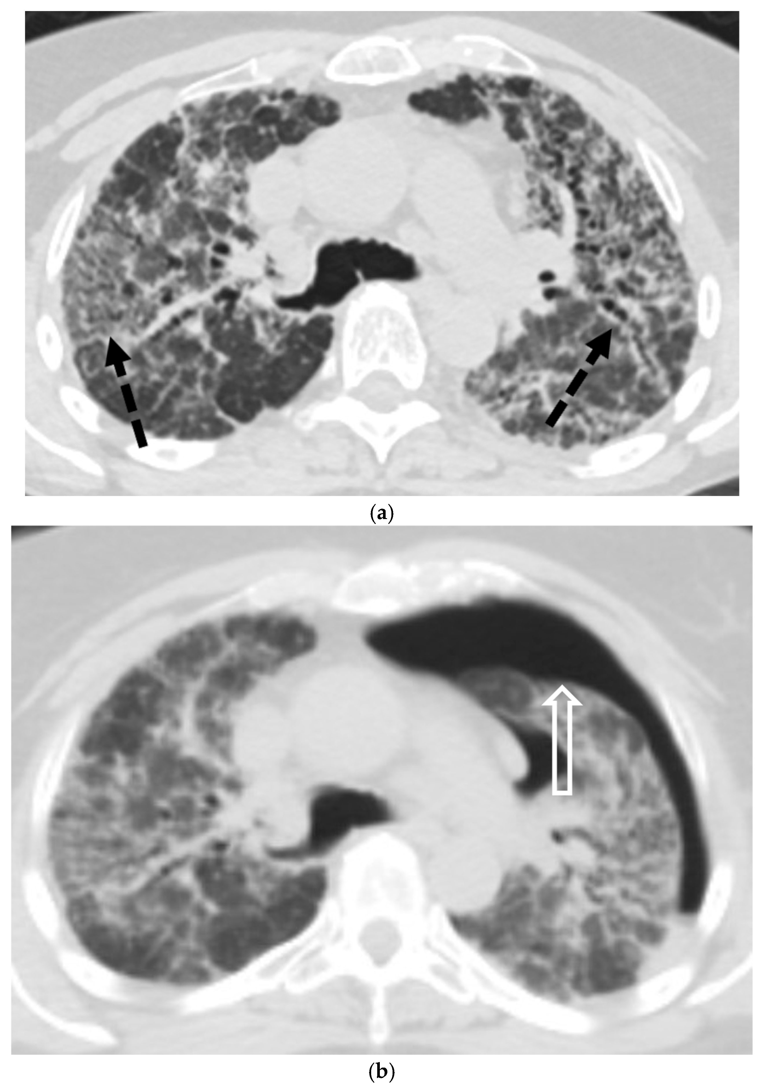
5.5. Diffuse Cystic Lung Diseases
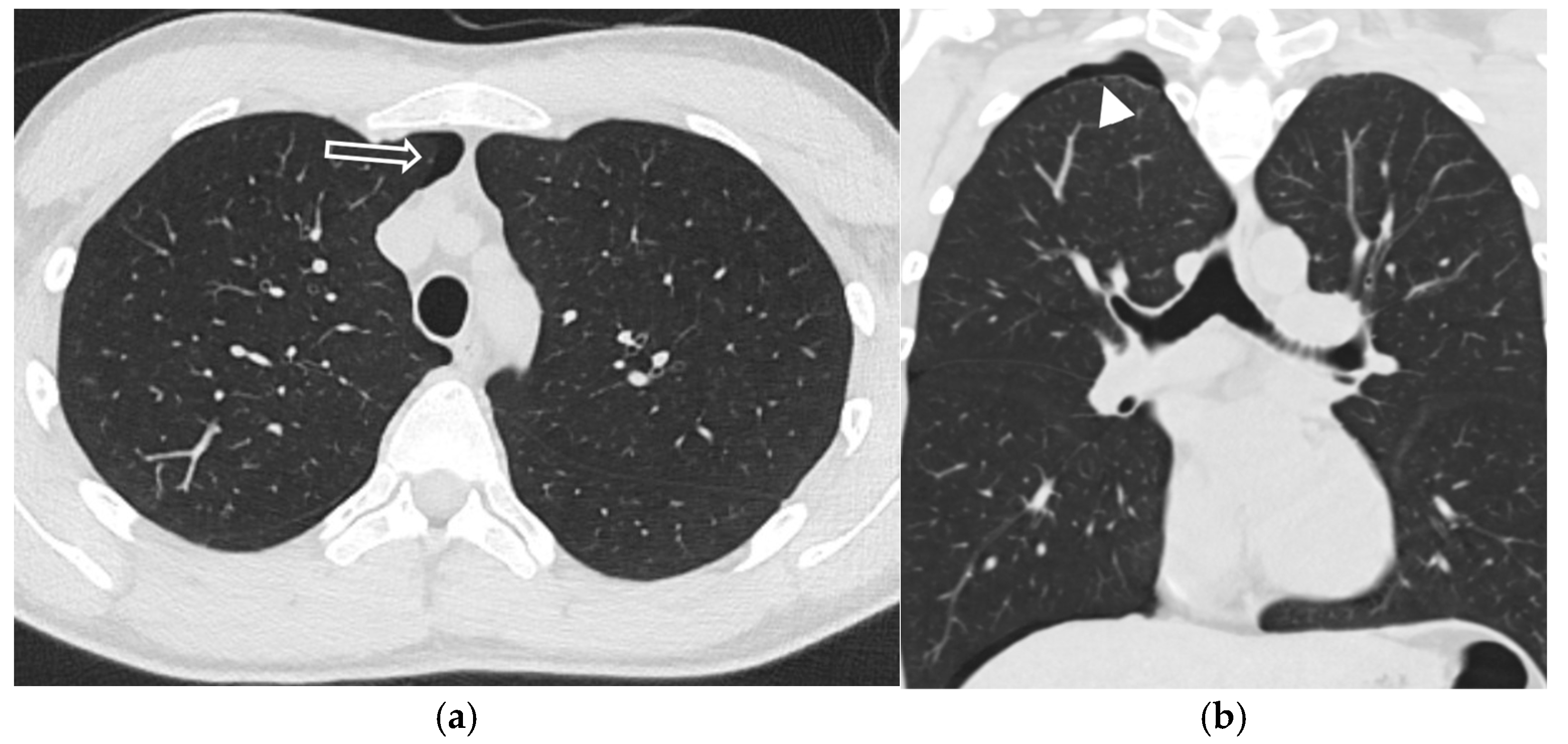
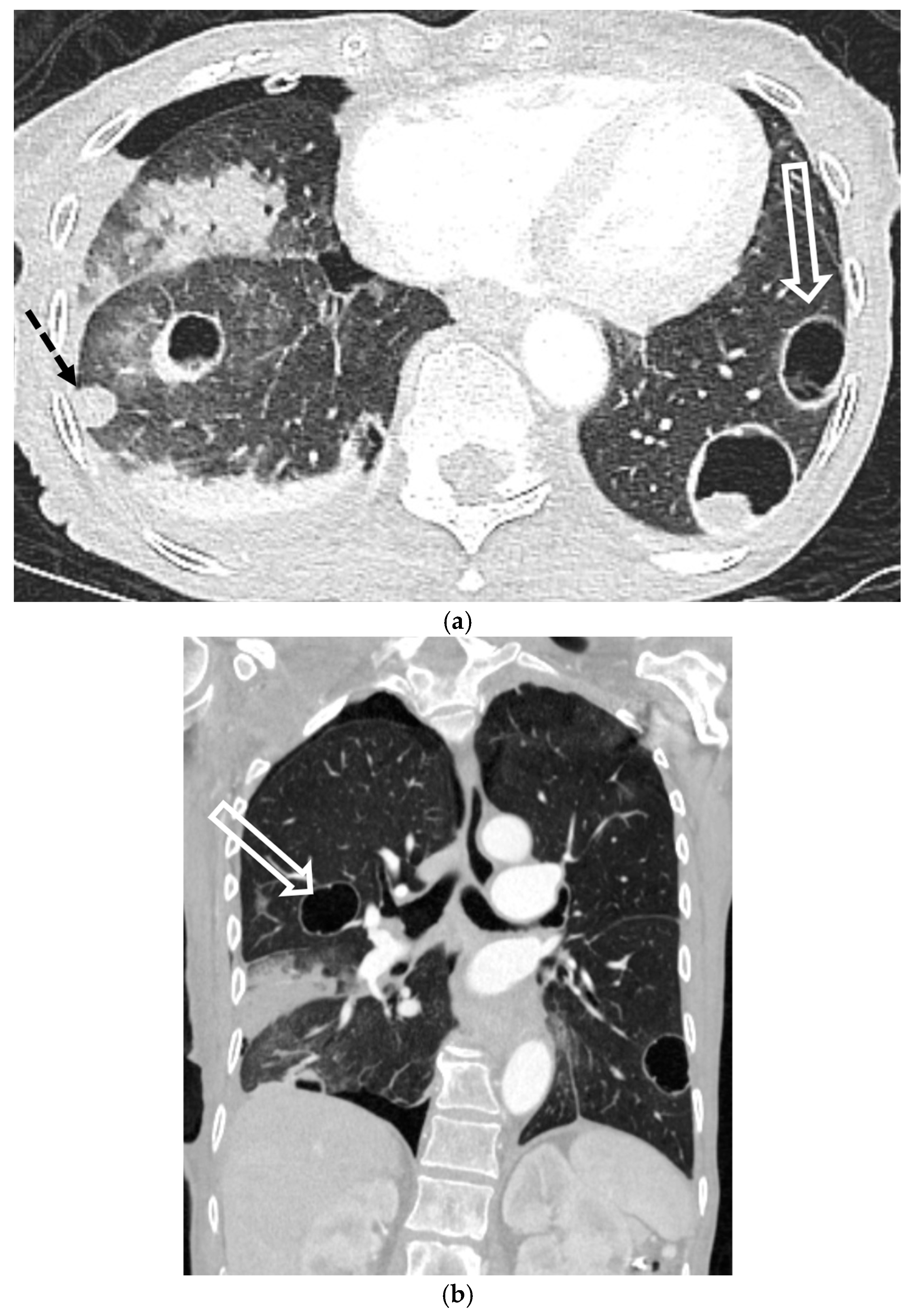
5.5.1. Pulmonary Langerhans Cell Histiocytosis (PLCH)
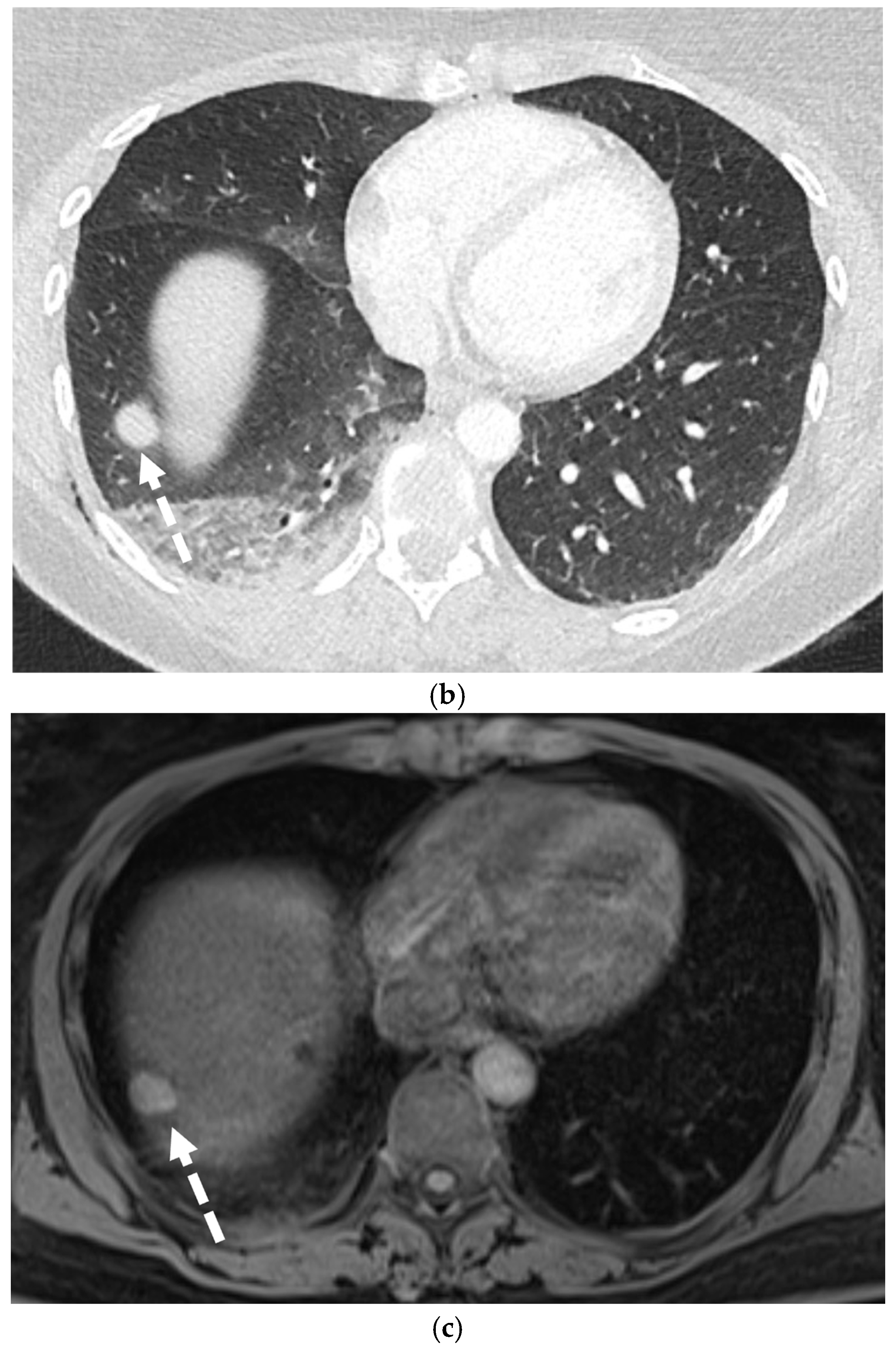
5.5.2. Lymphangioleiomyomatosis (LAM)
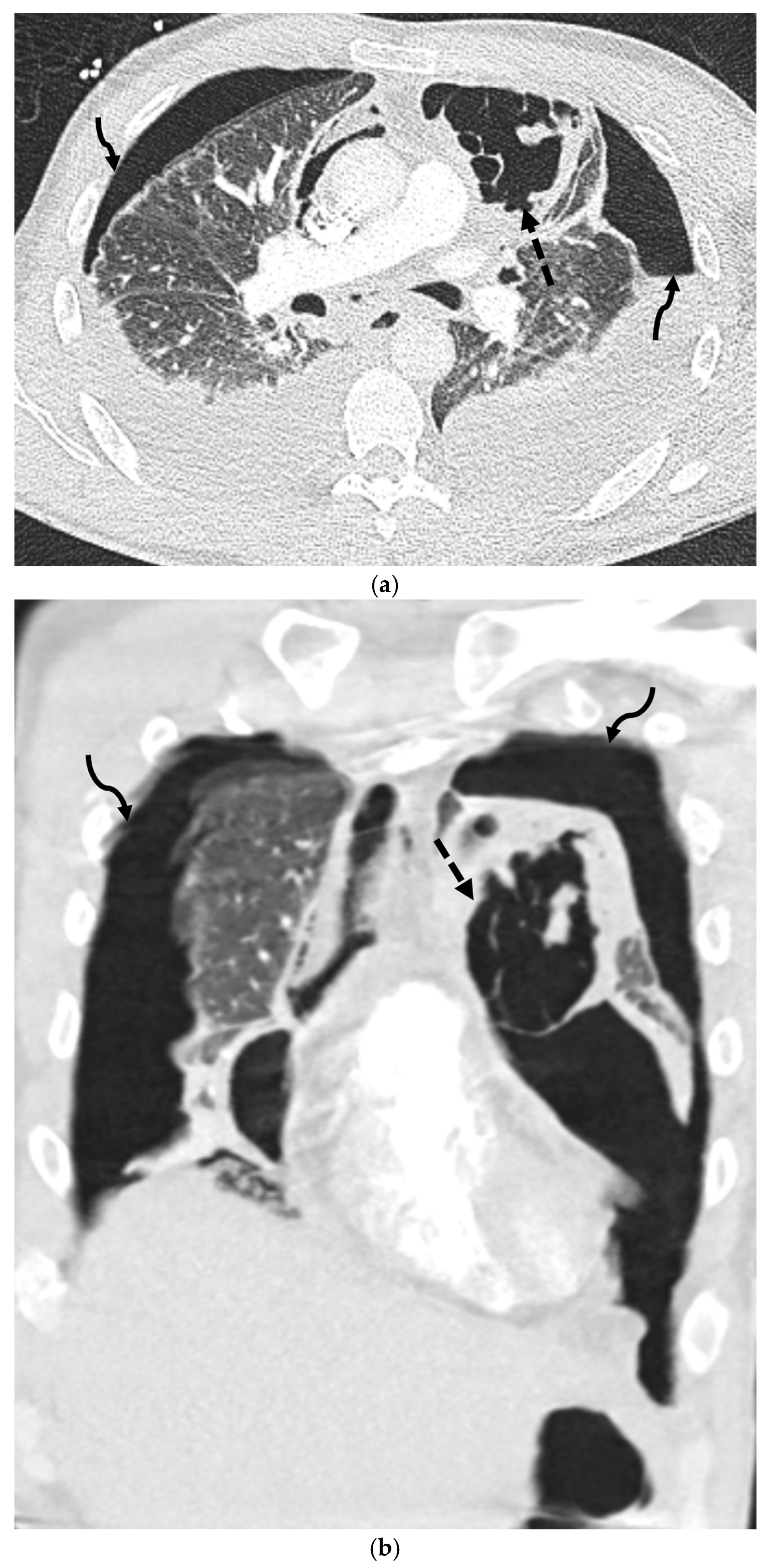
5.5.3. Birt–Hogg–Dubé Syndrome (BHDS)
5.6. Connective Tissue Diseases
5.6.1. Rheumatoid Arthritis
5.6.2. Systemic Sclerosis
5.6.3. Ankylosing Spondylitis
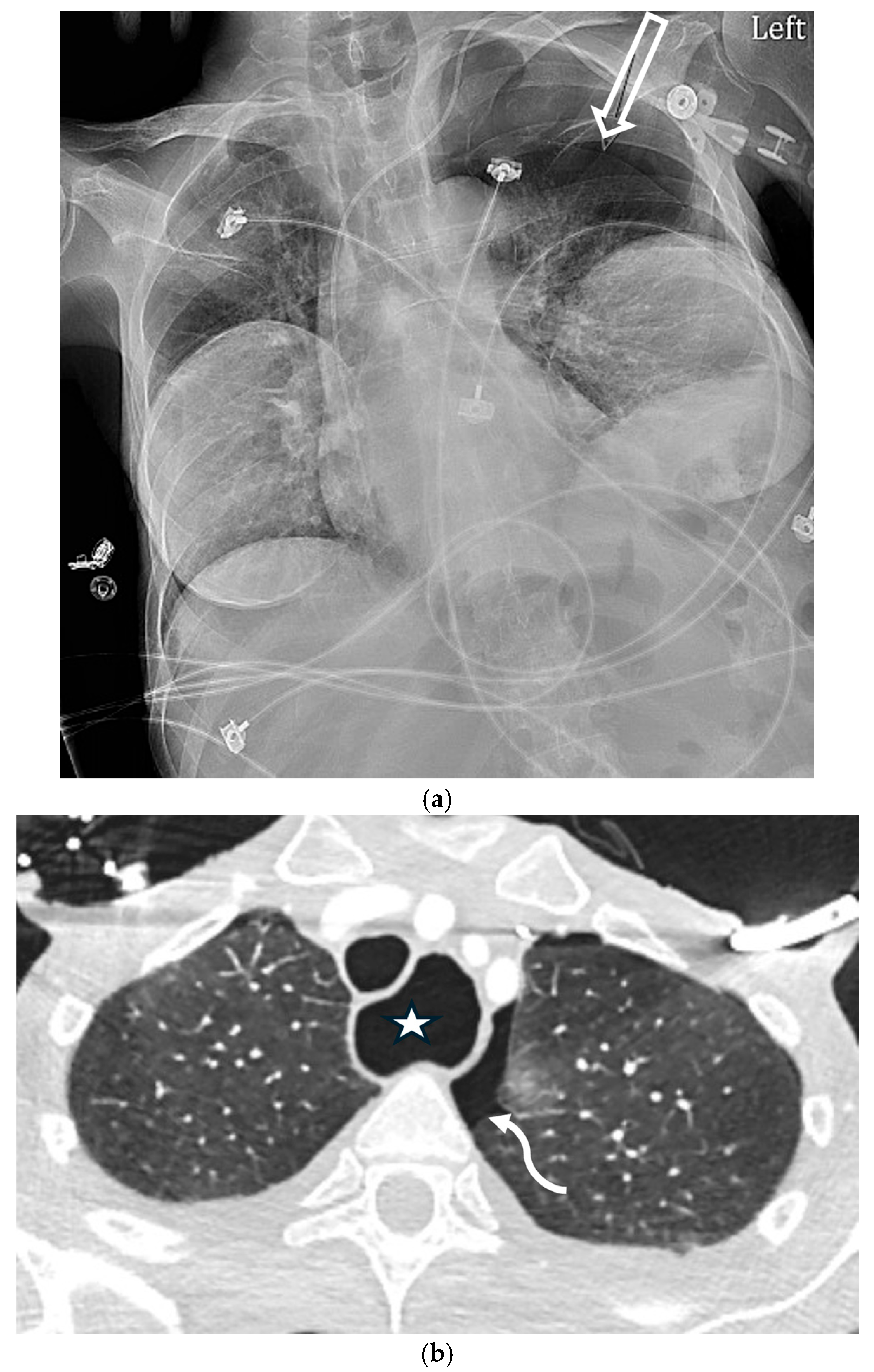
5.6.4. Marfan’s Syndrome
5.6.5. Ehlers–Danlos Syndrome (EDS)
5.7. Miscellaneous Causes
5.7.1. Endometriosis
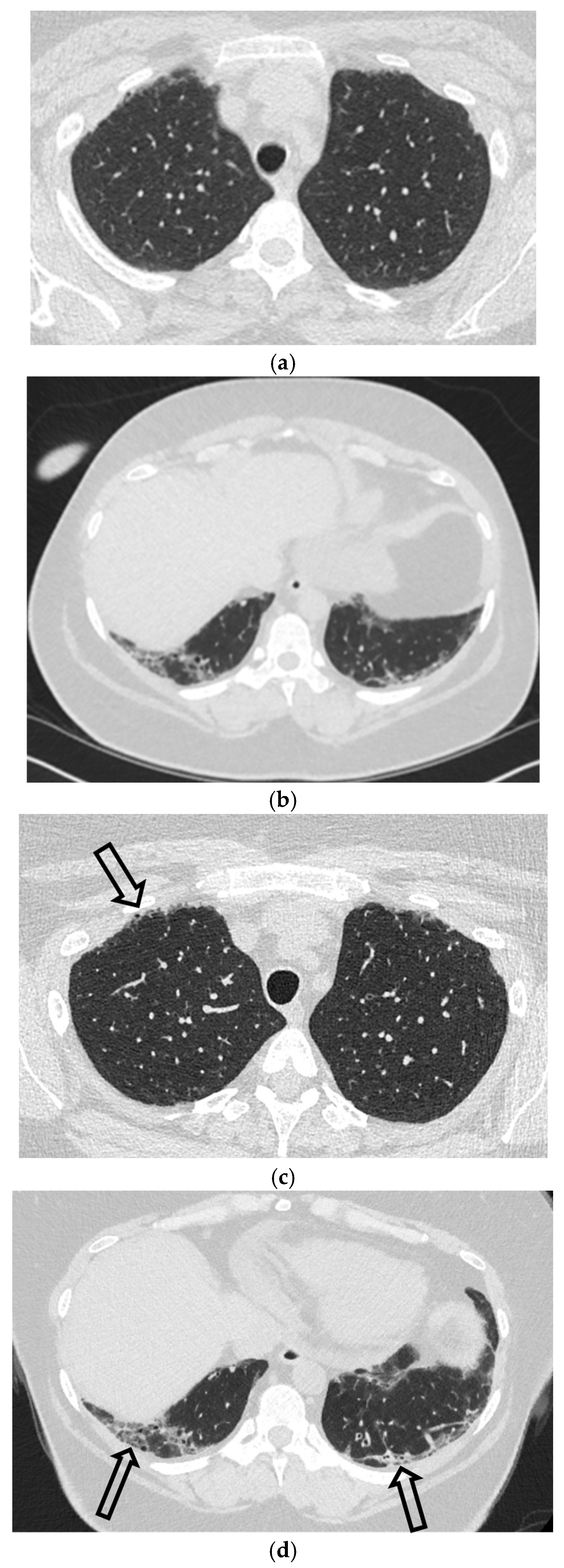
5.7.2. Electronic-Cigarette or Vaping Use-Associated Lung Injury (EVALI)
5.7.3. Other Acquired and Systemic Causes
5.7.4. Neurofibromatosis Type 1 (NF1)
5.7.5. IgA Vasculitis (Formerly Known as Henoch–Schönlein Purpura (HSP))
5.7.6. Loeys–Dietz Syndrome
6. Practical Considerations: Age-Related Variations
7. Conclusions
Author Contributions
Funding
Institutional Review Board Statement
Informed Consent Statement
Data Availability Statement
Conflicts of Interest
Abbreviations
| AIDS | acquired immunodeficiency syndrome |
| BHDS | Birt–Hogg–Dubé syndrome |
| CF | cystic fibrosis |
| COPD | chronic obstructive pulmonary disease |
| CT | computed tomography |
| CTA | computed tomography angiography |
| CXR | chest X-ray |
| EID | energy-integrating detector |
| EID-CT | energy-integrating detector-computed tomography |
| EVALI | electronic-cigarette or vaping product use-associated lung injury |
| FDG | 18F-fluorodeoxyglucose |
| GGO | ground-glass opacity |
| HCC | hepatocellular carcinoma |
| HIV | human immunodeficiency virus |
| HSP | Henoch–Schönlein purpura |
| IgA | immunoglobulin A |
| ILD | interstitial lung disease |
| IPF | idiopathic pulmonary fibrosis |
| IV | intravenous |
| LAM | lymphangioleiomyomatosis |
| LCH | Langerhans cell histiocytosis |
| LIP | lymphoid interstitial pneumonia |
| MFS | Marfan’s syndrome |
| MRI | magnetic resonance imaging |
| NF1 | neurofibromatosis type 1 |
| NSIP | non-specific interstitial pneumonia |
| PCD | photon-counting detector |
| PCD-CT | photon-counting detector-computed tomography |
| PET/CT | positron emission tomography/computed tomography |
| PJP | pneumocystis jirovecii pneumonia |
| PLCH | pulmonary Langerhans cell histiocytosis |
| PSP | primary spontaneous pneumothorax |
| SP | spontaneous pneumothorax |
| SPECT/CT | single-photon emission computed tomography/computed tomography |
| SSP | secondary spontaneous pneumothorax |
| TSC | tuberous sclerosis complex |
| vEDS | vascular Ehlers–Danlos syndrome |
References
- Zarogoulidis, P.; Kioumis, I.; Pitsiou, G.; Porpodis, K.; Lampaki, S.; Papaiwannou, A.; Katsikogiannis, N.; Zaric, B.; Branislav, P.; Secen, N.; et al. Pneumothorax: From definition to diagnosis and treatment. J. Thorac. Dis. 2014, 6 (Suppl. 4), S372–S376. [Google Scholar] [PubMed]
- Huan, N.C.; Sidhu, C.; Thomas, R. Pneumothorax: Classification and Etiology. Clin. Chest Med. 2021, 42, 711–727. [Google Scholar] [CrossRef]
- Tschopp, J.M.; Bintcliffe, O.; Astoul, P.; Canalis, E.; Driesen, P.; Janssen, J.; Krasnik, M.; Maskell, N.; Van Schil, P.; Tonia, T.; et al. ERS task force statement: Diagnosis and treatment of primary spontaneous pneumothorax. Eur. Respir. J. 2015, 46, 321–335. [Google Scholar] [CrossRef]
- Noppen, M.; De Keukeleire, T. Pneumothorax. Respiration 2008, 76, 121–127. [Google Scholar] [CrossRef]
- Zhong, X.; Goldacre, R.; Morris, E.J.A.; Hallifax, R.J. Trends in incidence of pneumothorax in England before, during and after the COVID-19 pandemic (2017–2023): A population-based observational study. Lancet Reg. Health Eur. 2024, 44, 100994. [Google Scholar] [CrossRef] [PubMed]
- Noppen, M. Spontaneous pneumothorax: Epidemiology, pathophysiology and cause. Eur. Respir. Rev. 2010, 19, 217–219. [Google Scholar] [CrossRef] [PubMed]
- Gupta, D.; Hansell, A.; Nichols, T.; Duong, T.; Ayres, J.G.; Strachan, D. Epidemiology of pneumothorax in England. Thorax 2000, 55, 666–671. [Google Scholar] [CrossRef]
- Bense, L.; Eklund, G.; Wiman, L.G. Smoking and the increased risk of contracting spontaneous pneumothorax. Chest 1987, 92, 1009–1012. [Google Scholar] [CrossRef]
- Melton, L.J.; Hepper, N.G.; Offord, K.P. Incidence of spontaneous pneumothorax in Olmsted County, Minnesota: 1950 to 1974. Am. Rev. Respir. Dis. 1979, 120, 1379–1382. [Google Scholar]
- Ozkale Yavuz, O.; Ayaz, E.; Ozcan, H.N.; Oguz, B.; Haliloglu, M. Spontaneous pneumothorax in children: A radiological perspective. Pediatr. Radiol. 2024, 54, 1864–1872. [Google Scholar] [CrossRef] [PubMed]
- Lippert, H.L.; Lund, O.; Blegvad, S.; Larsen, H.V. Independent risk factors for cumulative recurrence rate after first spontaneous pneumothorax. Eur. Respir. J. 1991, 4, 324–331. [Google Scholar] [CrossRef]
- Videm, V.; Pillgram-Larsen, J.; Ellingsen, O.; Andersen, G.; Ovrum, E. Spontaneous pneumothorax in chronic obstructive pulmonary disease: Complications, treatment and recurrences. Eur. J. Respir. Dis. 1987, 71, 365–371. [Google Scholar]
- Schramel, F.M.; Postmus, P.E.; Vanderschueren, R.G. Current aspects of spontaneous pneumothorax. Eur. Respir. J. 1997, 10, 1372–1379. [Google Scholar] [CrossRef]
- Sadikot, R.T.; Greene, T.; Meadows, K.; Arnold, A.G. Recurrence of primary spontaneous pneumothorax. Thorax 1997, 52, 805–809. [Google Scholar] [CrossRef]
- Olesen, W.H.; Lindahl-Jacobsen, R.; Katballe, N.; Sindby, J.E.; Titlestad, I.L.; Andersen, P.E.; Licht, P.B. Recurrent Primary Spontaneous Pneumothorax is Common Following Chest Tube and Conservative Treatment. World J. Surg. 2016, 40, 2163–2170. [Google Scholar] [CrossRef]
- Walker, S.P.; Bibby, A.C.; Halford, P.; Stadon, L.; White, P.; Maskell, N.A. Recurrence rates in primary spontaneous pneumothorax: A systematic review and meta-analysis. Eur. Respir. J. 2018, 52, 1800864. [Google Scholar] [CrossRef]
- Boone, P.M.; Scott, R.M.; Marciniak, S.J.; Henske, E.P.; Raby, B.A. The Genetics of Pneumothorax. Am. J. Respir. Crit. Care Med. 2019, 199, 1344–1357. [Google Scholar] [CrossRef] [PubMed]
- Cheng, Y.L.; Huang, T.W.; Lin, C.K.; Lee, S.C.; Tzao, C.; Chen, J.C.; Chang, H. The impact of smoking in primary spontaneous pneumothorax. J. Thorac. Cardiovasc. Surg. 2009, 138, 192–195. [Google Scholar] [CrossRef] [PubMed]
- Hedevang Olesen, W.; Katballe, N.; Sindby, J.E.; Titlestad, I.L.; Andersen, P.E.; Ekholm, O.; Lindahl-Jacobsen, R.; Licht, P.B. Cannabis increased the risk of primary spontaneous pneumothorax in tobacco smokers: A case-control study. Eur. J. Cardio-Thorac. Surg. 2017, 52, 679–685. [Google Scholar] [CrossRef] [PubMed]
- Stefani, A.; Aramini, B.; Baraldi, C.; Pellesi, L.; Della Casa, G.; Morandi, U.; Guerzoni, S. Secondary spontaneous pneumothorax and bullous lung disease in cannabis and tobacco smokers: A case-control study. PLoS ONE 2020, 15, e0230419. [Google Scholar] [CrossRef]
- Kanne, J.P.; Rother, M.D.M. Pneumothorax: Imaging Diagnosis and Etiology. Semin. Roentgenol. 2023, 58, 440–453. [Google Scholar] [CrossRef] [PubMed]
- Yamada, A.; Taiji, R.; Nishimoto, Y.; Itoh, T.; Marugami, A.; Yamauchi, S.; Minamiguchi, K.; Yanagawa, M.; Tomiyama, N.; Tanaka, T. Pictorial Review of Pleural Disease: Multimodality Imaging and Differential Diagnosis. RadioGraphics 2024, 44, e230079. [Google Scholar] [CrossRef]
- Fletcher, J.G.; Inoue, A.; Bratt, A.; Horst, K.K.; Koo, C.W.; Rajiah, P.S.; Baffour, F.I.; Ko, J.P.; Remy-Jardin, M.; McCollough, C.H.; et al. Photon-counting CT in Thoracic Imaging: Early Clinical Evidence and Incorporation Into Clinical Practice. Radiology 2024, 310, e231986. [Google Scholar] [CrossRef]
- Donuru, A.; Araki, T.; Dako, F.; Dave, J.K.; Perez, R.P.; Xu, D.; Nachiappan, A.C.; Barbosa, E.M.; Noel, P.; Litt, H.; et al. Photon-counting detector CT allows significant reduction in radiation dose while maintaining image quality and noise on non-contrast chest CT. Eur. J. Radiol. Open 2023, 11, 100538. [Google Scholar] [CrossRef]
- Willemink, M.J.; Persson, M.; Pourmorteza, A.; Pelc, N.J.; Fleischmann, D. Photon-counting CT: Technical Principles and Clinical Prospects. Radiology 2018, 289, 293–312. [Google Scholar] [CrossRef] [PubMed]
- Chaturvedi, A.; Lee, S.; Klionsky, N.; Chaturvedi, A. Demystifying the persistent pneumothorax: Role of imaging. Insights Imaging 2016, 7, 411–429. [Google Scholar] [CrossRef]
- Álvarez Barrial, M.; Nava Hurtado de Saracho, F.B.; Bueno Jiménez, A.; Serradilla Rodríguez, J.; Encinas Hernández, J.L.; Martínez, L.; de la Torre Ramos, C.; Barrena Delfa, S. Congenital pulmonary airway malformation (cpam) mimicking an spontaneous pneumothorax in a newborn. Cir. Pediatr. 2021, 34, 207–210. [Google Scholar]
- Stern, E.J.; Frank, M.S.; Schmutz, J.F.; Glenny, R.W.; Schmidt, R.A.; Godwin, J.D. Panlobular pulmonary emphysema caused by i.v. injection of methylphenidate (Ritalin): Findings on chest radiographs and CT scans. Am. J. Roentgenol. 1994, 162, 555–560. [Google Scholar] [CrossRef]
- Freixinet, J.L.; Caminero, J.A.; Marchena, J.; Rodríguez, P.M.; Casimiro, J.A.; Hussein, M. Spontaneous pneumothorax and tuberculosis: Long-term follow-up. Eur. Respir. J. 2011, 38, 126–131. [Google Scholar] [CrossRef]
- Ekanem, E.; Podder, S.; Donthi, N.; Bakhshi, H.; Stodghill, J.; Khandhar, S.; Mahajan, A.; Desai, M. Spontaneous pneumothorax: An emerging complication of COVID-19 pneumonia. Heart Lung 2021, 50, 437–440. [Google Scholar] [CrossRef] [PubMed]
- Solomon, J.J.; Heyman, B.; Ko, J.P.; Condos, R.; Lynch, D.A. CT of Post-Acute Lung Complications of COVID-19. Radiology 2021, 301, E383–E395. [Google Scholar] [CrossRef]
- Terzi, E.; Zarogoulidis, K.; Kougioumtzi, I.; Dryllis, G.; Kioumis, I.; Pitsiou, G.; Machairiotis, N.; Katsikogiannis, N.; Tsiouda, T.; Madesis, A.; et al. Human immunodeficiency virus infection and pneumothorax. J. Thorac. Dis. 2014, 6 (Suppl. 4), S377–S382. [Google Scholar]
- Kanne, J.P.; Yandow, D.R.; Meyer, C.A. Pneumocystis jiroveci pneumonia: High-resolution CT findings in patients with and without HIV infection. Am. J. Roentgenol. 2012, 198, W555–W561. [Google Scholar] [CrossRef]
- Liao, K.M.; Chiu, C.C.; Lu, H.Y. The risk of secondary spontaneous pneumothorax in patients with chronic obstructive pulmonary disease in Taiwan. Respir Med. 2024, 228, 107672. [Google Scholar] [CrossRef] [PubMed]
- Kioumis, I.P.; Zarogoulidis, K.; Huang, H.; Li, Q.; Dryllis, G.; Pitsiou, G.; Machairiotis, N.; Katsikogiannis, N.; Papaiwannou, A.; Lampaki, S.; et al. Pneumothorax in cystic fibrosis. J. Thorac. Dis. 2014, 6 (Suppl. 4), S480–S487. [Google Scholar] [PubMed]
- Flume, P.A. Pneumothorax in cystic fibrosis. Chest 2003, 123, 217–221. [Google Scholar] [CrossRef]
- Bugenhagen, S.M.; Grant, J.C.E.; Rosenbluth, D.B.; Bhalla, S. Update on the Role of Chest Imaging in Cystic Fibrosis. RadioGraphics 2024, 44, e240008. [Google Scholar] [CrossRef] [PubMed]
- Porpodis, K.; Zarogoulidis, P.; Spyratos, D.; Domvri, K.; Kioumis, I.; Angelis, N.; Konoglou, M.; Kolettas, A.; Kessisis, G.; Beleveslis, T.; et al. Pneumothorax and asthma. J. Thorac. Dis. 2014, 6 (Suppl. 1), S152–S161. [Google Scholar]
- Lin, C.H.; Lin, C.L.; Lin, W.C.; Wei, C.C. Long-term risk of pneumothorax in asthmatic children: A 12-year population-based cohort study. Medicine 2020, 99, e23779. [Google Scholar] [CrossRef]
- Maniwa, T.; Nakagawa, K.; Isaka, M.; Ohde, Y.; Okumura, T.; Kondo, H. Pneumothorax associated with treatment for pulmonary malignancy. Interact. Cardiovasc. Thorac. Surg. 2011, 13, 257–261. [Google Scholar] [CrossRef]
- Chen, C.H.; Liao, W.C.; Liu, Y.H.; Chen, W.C.; Hsia, T.C.; Hsu, W.H.; Shih, C.-M.; Tu, C.-Y. Secondary spontaneous pneumothorax: Which associated conditions benefit from pigtail catheter treatment? Am. J. Emerg. Med. 2012, 30, 45–50. [Google Scholar] [CrossRef] [PubMed]
- Srinivas, S.; Varadhachary, G. Spontaneous pneumothorax in malignancy: A case report and review of the literature. Ann. Oncol. 2000, 11, 887–889. [Google Scholar] [CrossRef]
- Hoag, J.B.; Sherman, M.; Fasihuddin, Q.; Lund, M.E. A comprehensive review of spontaneous pneumothorax complicating sarcoma. Chest 2010, 138, 510–518. [Google Scholar] [CrossRef]
- Choi, Y.K.; Kim, K.C. Spontaneous pneumothorax as the first manifestation of lung cancer: Two case report. J. Thorac. Dis. 2015, 7, E252–E254. [Google Scholar]
- Hashinokuchi, A.; Akamine, T.; Kometani, T.; Shikada, Y.; Nozoe, T.; Kato, S. Spontaneous pneumothorax associated with cavitating pulmonary metastasis from breast cancer: A case report and literature review. Gen. Thorac. Cardiovasc. Surg. 2021, 69, 137–141. [Google Scholar] [CrossRef] [PubMed]
- Guo, C.; Liu, C.; Pu, Q.; Lin, F.; Liu, L. Occult primary pulmonary synovial sarcoma presenting as recurrent spontaneous pneumothorax and explosive progression. Thorac. Cancer 2017, 8, 121–123. [Google Scholar] [CrossRef] [PubMed]
- Marchiori, E.; Müller, N.L.; Soares Souza, A.; Escuissato, D.L.; Gasparetto, E.L.; Franquet, T. Pulmonary disease in patients with AIDS: High-resolution CT and pathologic findings. AJR Am. J. Roentgenol. 2005, 184, 757–764. [Google Scholar] [CrossRef]
- Yamazaki, R.; Nishiyama, O.; Gose, K.; Saeki, S.; Sano, H.; Iwanaga, T.; Tohda, Y. Pneumothorax in patients with idiopathic pulmonary fibrosis: A real-world experience. BMC Pulm. Med. 2021, 21, 5. [Google Scholar] [CrossRef]
- Ferguson, E.C.; Berkowitz, E.A. Lung CT: Part 2, The interstitial pneumonias—Clinical, histologic, and CT manifestations. Am. J. Roentgenol. 2012, 199, W464–W476. [Google Scholar] [CrossRef]
- Ismael, S.; Wermert, D.; Dang-Tran, K.D.; Venot, M.; Fagon, J.Y.; Diehl, J.L. Severe excessive dynamic airway collapse in a patient with primary Sjögren’s syndrome. Respir. Care 2014, 59, e156–e159. [Google Scholar] [CrossRef]
- Parker, J.S.; Shellito, J.; Pei, L.A.; Mason, C.M. Lymphocytic interstitial pneumonitis presenting as recurrent pneumothoraces. Chest 1991, 100, 1733–1735. [Google Scholar] [CrossRef]
- Manika, K.; Kioumis, I.; Zarogoulidis, K.; Kougioumtzi, I.; Dryllis, G.; Pitsiou, G.; Machairiotis, N.; Katsikogiannis, N.; Lampaki, S.; Papaiwannou, A.; et al. Pneumothorax in sarcoidosis. J. Thorac. Dis. 2014, 6 (Suppl. 4), S466–S469. [Google Scholar]
- Criado, E.; Sánchez, M.; Ramírez, J.; Arguis, P.; de Caralt, T.M.; Perea, R.J.; Xaubet, A. Pulmonary sarcoidosis: Typical and atypical manifestations at high-resolution CT with pathologic correlation. Radiographics 2010, 30, 1567–1586. [Google Scholar] [CrossRef]
- Radzikowska, E.; Błasińska-Przerwa, K.; Wiatr, E.; Bestry, I.; Langfort, R.; Roszkowski-Śliż, K. Pneumothorax in Patients with Pulmonary Langerhans Cell Histiocytosis. Lung 2018, 196, 715–720. [Google Scholar] [CrossRef]
- Gupta, N.; Langenderfer, D.; McCormack, F.X.; Schauer, D.P.; Eckman, M.H. Chest Computed Tomographic Image Screening for Cystic Lung Diseases in Patients with Spontaneous Pneumothorax Is Cost Effective. Ann. Am. Thorac. Soc. 2017, 14, 17–25. [Google Scholar] [CrossRef] [PubMed]
- Abbott, G.F.; Rosado-de-Christenson, M.L.; Franks, T.J.; Frazier, A.A.; Galvin, J.R. From the archives of the AFIP: Pulmonary Langerhans cell histiocytosis. Radiographics 2004, 24, 821–841. [Google Scholar] [CrossRef] [PubMed]
- Abbott, G.F.; Rosado-de-Christenson, M.L.; Frazier, A.A.; Franks, T.J.; Pugatch, R.D.; Galvin, J.R. From the archives of the AFIP: Lymphangioleiomyomatosis: Radiologic-pathologic correlation. Radiographics 2005, 25, 803–828. [Google Scholar] [CrossRef] [PubMed]
- Lee, E.; Biko, D.M.; Sherk, W.; Masch, W.R.; Ladino-Torres, M.; Agarwal, P.P. Understanding Lymphatic Anatomy and Abnormalities at Imaging. Radiographics 2022, 42, 487–505. [Google Scholar] [CrossRef]
- Young, L.R.; Inoue, Y.; McCormack, F.X. Diagnostic potential of serum VEGF-D for lymphangioleiomyomatosis. N. Engl. J. Med. 2008, 358, 199–200. [Google Scholar] [CrossRef]
- Nickerson, M.L.; Warren, M.B.; Toro, J.R.; Matrosova, V.; Glenn, G.; Turner, M.L.; Duray, P.; Merino, M.; Choyke, P.; Pavlovich, C.P.; et al. Mutations in a novel gene lead to kidney tumors, lung wall defects, and benign tumors of the hair follicle in patients with the Birt-Hogg-Dubé syndrome. Cancer Cell 2002, 2, 157–164. [Google Scholar] [CrossRef]
- Toro, J.R.; Pautler, S.E.; Stewart, L.; Glenn, G.M.; Weinreich, M.; Toure, O.; Wei, M.-H.; Schmidt, L.S.; Davis, L.; Zbar, B.; et al. Lung cysts, spontaneous pneumothorax, and genetic associations in 89 families with Birt-Hogg-Dubé syndrome. Am. J. Respir. Crit. Care Med. 2007, 175, 1044–1053. [Google Scholar] [CrossRef] [PubMed]
- Johannesma, P.C.; van den Borne, B.E.E.M.; Gille, J.J.P.; Nagelkerke, A.F.; van Waesberghe, J.T.M.; Paul, M.A.; van Moorselaar, R.J.A.; Menko, F.H.; Postmus, P.E. Spontaneous pneumothorax as indicator for Birt-Hogg-Dubé syndrome in paediatric patients. BMC Pediatr. 2014, 14, 171. [Google Scholar] [CrossRef] [PubMed]
- Arango-Díaz, A.; Martínez-de-Alegría-Alonso, A.; Baleato-González, S.; García-Figueiras, R.; Ecenarro-Montiel, A.; Trujillo-Ariza, M.V.; Lama-López, A. CT findings of pulmonary cysts. Clin. Radiol. 2021, 76, e1–e548. [Google Scholar] [CrossRef] [PubMed]
- Komarla, A.; Yu, G.H.; Shahane, A. Pleural effusion, pneumothorax, and lung entrapment in rheumatoid arthritis. J. Clin. Rheumatol. Pract. Rep. Rheum. Musculoskelet. Dis. 2015, 21, 211–215. [Google Scholar] [CrossRef]
- Chansakul, T.; Dellaripa, P.F.; Doyle, T.J.; Madan, R. Intra-thoracic rheumatoid arthritis: Imaging spectrum of typical findings and treatment related complications. Eur. J. Radiol. 2015, 84, 1981–1991. [Google Scholar] [CrossRef]
- Groner, L.K.; Green, D.B.; Weisman, S.V.; Legasto, A.C.; Toy, D.; Gruden, J.F.; Escalon, J.G. Thoracic Manifestations of Rheumatoid Arthritis. RadioGraphics 2021, 41, 32–55. [Google Scholar] [CrossRef]
- Goldin, J.G.; Lynch, D.A.; Strollo, D.C.; Suh, R.D.; Schraufnagel, D.E.; Clements, P.J.; Elashoff, R.M.; Furst, D.E.; Vasunilashorn, S.; McNitt-Gray, M.F.; et al. High-resolution CT scan findings in patients with symptomatic scleroderma-related interstitial lung disease. Chest 2008, 134, 358–367. [Google Scholar] [CrossRef]
- Farrokh, D.; Abbasi, B.; Fallah-Rastegar, Y.; Mirfeizi, Z. The Extrapulmonary Manifestations of Systemic Sclerosis on Chest High Resolution Computed Tomography. Tanaffos 2015, 14, 193–200. [Google Scholar]
- Rosenow, E.; Strimlan, C.V.; Muhm, J.R.; Ferguson, R.H. Pleuropulmonary manifestations of ankylosing spondylitis. Mayo Clin. Proc. 1977, 52, 641–649. [Google Scholar]
- Mayberry, J.P.; Primack, S.L.; Müller, N.L. Thoracic manifestations of systemic autoimmune diseases: Radiographic and high-resolution CT findings. RadioGraphics 2000, 20, 1623–1635. [Google Scholar] [CrossRef]
- Ha, H.I.; Seo, J.B.; Lee, S.H.; Kang, J.W.; Goo, H.W.; Lim, T.H.; Shin, M.J. Imaging of Marfan syndrome: Multisystemic manifestations. RadioGraphics 2007, 27, 989–1004. [Google Scholar] [CrossRef]
- Tun, M.H.; Borg, B.; Godfrey, M.; Hadley-Miller, N.; Chan, E.D. Respiratory manifestations of Marfan syndrome: A narrative review. J. Thorac. Dis. 2021, 13, 6012–6025. [Google Scholar] [CrossRef]
- Loeys, B.L.; Dietz, H.C.; Braverman, A.C.; Callewaert, B.L.; De Backer, J.; Devereux, R.B.; Hilhorst-Hofstee, Y.; Jondeau, G.; Faivre, L.; Milewicz, D.M.; et al. The revised Ghent nosology for the Marfan syndrome. J. Med. Genet. 2010, 47, 476–485. [Google Scholar] [CrossRef]
- Chu, L.C.; Johnson, P.T.; Dietz, H.C.; Brooke, B.S.; Arnaoutakis, G.J.; Black, J.H.; Fishman, E.K. Vascular complications of Ehlers-Danlos syndrome: CT findings. Am. J. Roentgenol. 2012, 198, 482–487. [Google Scholar] [CrossRef]
- Visouli, A.N.; Zarogoulidis, K.; Kougioumtzi, I.; Huang, H.; Li, Q.; Dryllis, G.; Kioumis, I.; Pitsiou, G.; Machairiotis, N.; Katsikogiannis, N.; et al. Catamenial pneumothorax. J. Thorac. Dis. 2014, 6 (Suppl. 4), S448–S460. [Google Scholar] [PubMed]
- Alifano, M.; Jablonski, C.; Kadiri, H.; Falcoz, P.; Gompel, A.; Camilleri-Broet, S.; Regnard, J.-F. Catamenial and noncatamenial, endometriosis-related or nonendometriosis-related pneumothorax referred for surgery. Am. J. Respir. Crit. Care Med. 2007, 176, 1048–1053. [Google Scholar] [CrossRef] [PubMed]
- Marjański, T.; Sowa, K.; Czapla, A.; Rzyman, W. Catamenial pneumothorax—A review of the literature. Kardiochirurgia Torakochirurgia Pol. Pol. J. Cardio-Thorac. Surg. 2016, 13, 117–121. [Google Scholar] [CrossRef]
- Maniglio, P.; Ricciardi, E.; Meli, F.; Vitale, S.G.; Noventa, M.; Vitagliano, A.; Valenti, G.; La Rosa, V.L.; Laganà, A.S.; Caserta, D. Catamenial pneumothorax caused by thoracic endometriosis. Radiol. Case Rep. 2018, 13, 81–85. [Google Scholar] [CrossRef]
- Marchiori, E.; Zanetti, G.; Rafful, P.P.; Hochhegger, B. Pleural endometriosis and recurrent pneumothorax: The role of magnetic resonance imaging. Ann. Thorac. Surg. 2012, 93, 696–697, author reply 697–698. [Google Scholar] [CrossRef] [PubMed]
- Henry, T.S.; Kanne, J.P.; Kligerman, S.J. Imaging of Vaping-Associated Lung Disease. N. Engl. J. Med. 2019, 381, 1486–1487. [Google Scholar] [CrossRef]
- Bonilla, A.; Blair, A.J.; Alamro, S.M.; Ward, R.A.; Feldman, M.B.; Dutko, R.A.; Karagounis, T.K.; Johnson, A.L.; Folch, E.E.; Vyas, J.M. Recurrent spontaneous pneumothoraces and vaping in an 18-year-old man: A case report and review of the literature. J. Med. Case Rep. 2019, 13, 283. [Google Scholar] [CrossRef]
- Doll, D.C. Fatal pneumothorax associated with bleomycin-induced pulmonary fibrosis. Cancer Chemother. Pharmacol. 1986, 17, 294–295. [Google Scholar] [CrossRef]
- Russi, E.W. Diving and the risk of barotrauma. Thorax 1998, 53 (Suppl. 2), S20–S24. [Google Scholar] [CrossRef]
- Murayama, S.; Gibo, S. Spontaneous pneumomediastinum and Macklin effect: Overview and appearance on computed tomography. World J. Radiol. 2014, 6, 850–854. [Google Scholar] [CrossRef] [PubMed]
- Terzi, E.; Zarogoulidis, K.; Kougioumtzi, I.; Dryllis, G.; Kioumis, I.; Pitsiou, G.; Machairiotis, N.; Katsikogiannis, N.; Lampaki, S.; Papaiwannou, A.; et al. Acute respiratory distress syndrome and pneumothorax. J. Thorac. Dis. 2014, 6 (Suppl. 4), S435–S442. [Google Scholar] [PubMed]
- Uchida, T.; Ishizawa, K.; Yogi, S.; Katayama, K.; Sekiya, R.; Takahara, M.; Hoshino, Y.; Nakagome, K.; Soma, T.; Nakamura, H.; et al. Simultaneous bilateral spontaneous pneumothorax in a patient with anorexia nervosa. Respir. Med. Case Rep. 2023, 43, 101841. [Google Scholar] [CrossRef] [PubMed]
- Solomon, N.; Sailer, A.; Dixe de Oliveira Santo, I.; Pillai, A.; Heng, L.X.X.; Jha, P.; Katz, D.S.; Zulfiqar, M.; Sugi, M.; Revzin, M.V. Sequelae of Eating Disorders at Imaging. RadioGraphics 2022, 42, 1377–1397. [Google Scholar] [CrossRef]
- Abolnik, I.Z.; Lossos, I.S.; Zlotogora, J.; Brauer, R. On the inheritance of primary spontaneous pneumothorax. Am. J. Med. Genet. 1991, 40, 155–158. [Google Scholar] [CrossRef]
- Lorentzen, T.; Madsen, H.; Lausten-Thomsen, M.J.Z.; Bygum, A. Spontaneous pneumothorax as a clinical manifestation of neurofibromatosis type 1. BMJ Case Rep. 2021, 14, e238694. [Google Scholar] [CrossRef]
- Alves Júnior, S.F.; Zanetti, G.; Alves de Melo, A.S.; Souza, A.S.; Souza, L.S.; de Souza Portes Meirelles, G.; Irion, K.L.; Hochhegger, B.; Marchiori, E. Neurofibromatosis type 1: State-of-the-art review with emphasis on pulmonary involvement. Respir. Med. 2019, 149, 9–15. [Google Scholar] [CrossRef]
- Graham, R.B.; Nolasco, M.; Peterlin, B.; Garcia, C.K. Nonsense mutations in folliculin presenting as isolated familial spontaneous pneumothorax in adults. Am. J. Respir. Crit. Care Med. 2005, 172, 39–44. [Google Scholar] [CrossRef]
- Lenler-Petersen, P.; Grunnet, N.; Jespersen, T.W.; Jaeger, P. Familial spontaneous pneumothorax. Eur. Respir. J. 1990, 3, 342–345. [Google Scholar] [CrossRef]
- Soloukides, A.; Moutzouris, D.A.; Metaxatos, G.; Hadjiconstantinou, V. Pulmonary involvement in Henoch-Schonlein purpura. Emerg. Med. J. 2006, 23, 886. [Google Scholar] [CrossRef][Green Version]
- MacCarrick, G.; Black, J.H.; Bowdin, S.; El-Hamamsy, I.; Frischmeyer-Guerrerio, P.A.; Guerrerio, A.L.; Sponseller, P.D.; Loeys, B.; Dietz, H.C. Loeys-Dietz syndrome: A primer for diagnosis and management. Genet. Med. 2014, 16, 576–587. [Google Scholar] [CrossRef] [PubMed]
- Loughborough, W.W.; Minhas, K.S.; Rodrigues, J.C.L.; Lyen, S.M.; Burt, H.E.; Manghat, N.E.; Brooks, M.J.; Stuart, G.; Hamilton, M.C.K. Cardiovascular Manifestations and Complications of Loeys-Dietz Syndrome: CT and MR Imaging Findings. RadioGraphics 2018, 38, 275–286. [Google Scholar] [CrossRef] [PubMed]
- Goldman, R.D. Spontaneous pneumothorax in children. Can. Fam. Physician 2020, 66, 737–738. [Google Scholar]
- Greenough, A.; Dixon, A.K.; Roberton, N.R. Pulmonary interstitial emphysema. Arch. Dis. Child. 1984, 59, 1046–1051. [Google Scholar] [CrossRef] [PubMed]
- Takahashi, F.; Takihara, T.; Nakamura, N.; Horio, Y.; Enokida, K.; Hayama, N.; Oguma, T.; Aoki, T.; Masayuki, I.; Asano, K. Etiology and prognosis of spontaneous pneumothorax in the elderly. Geriatr. Gerontol. Int. 2020, 20, 878–884. [Google Scholar] [CrossRef]









































| Risk Category | Condition | Typical Age of Onset | Sex Predominance | Approximate Incidence/Prevalence | Recurrence Rate |
|---|---|---|---|---|---|
| Common (Often the primary differential) | Chronic obstructive pulmonary disease (COPD) | >55 years | Male | Leading cause of SSP (50–70%). | High (30–50%) |
| Idiopathic pulmonary fibrosis (IPF) | >60 years | Male | Second most common cause; 2–20% of IPF patients. | High | |
| Occasional (Frequently encountered) | Malignancy (Primary lung or metastatic) | >60 years | Equal | Up to 10% of SSP cases. | High |
| Tuberculosis | Any age | Male | ~1% of active TB; leading cause in endemic regions. | Moderate | |
| Cystic fibrosis | Childhood to young adult | Equal | Lifetime risk of 10–20%; annual incidence of up to 3.4% in CF patients. | Very high (>50%) | |
| Pneumocystis jirovecii pneumonia | Any age (Immunocompromised) | Male | ~33% of patients with PJP and pneumatoceles. | High | |
| Sarcoidosis | 20–40 s | Slightly female | ~2% of patients; typically late-stage/fibrotic disease. | Moderate to high | |
| Marfan syndrome | Adolescence to young adult | Equal | 4–14% prevalence in affected individuals. | High | |
| COVID-19 pneumonia | Any age (higher risk in >65) | Male | Incidence: ~1–1.4%. | Variable | |
| Rare (Important but less frequent) | Rheumatoid arthritis (With lung involvement) | 30–50 s | Female | Up to 5% of patients with RA-ILD. | Moderate to high |
| Lymphangioleiomyomatosis | Reproductive age (20–40 s) | Female | ~40% lifetime risk. | Very high (up to 70%) | |
| Birt–Hogg–Dubé syndrome | 30–50 s | Equal | Lifetime risk: 22–41%. | Very high | |
| Catamenial pneumothorax | Reproductive age (20–40 s) | Female | Most common cause of recurrent SP in reproductive-age women. | Extremely high (recurs with menstrual cycle) | |
| Ehlers-Danlos syndrome | Childhood to young adult | Equal | High prevalence in vEDS; often a presenting feature. | High | |
| Pulmonary Langerhans cell histiocytosis | 20–40 s | Equal | Pneumothorax is a presenting feature in ~15% of patients; 0.25–0.5% of all SP cases. | High |
| Modality | Features | Advantages | Disadvantages | Recommended Technique/Protocol |
|---|---|---|---|---|
| Radiography | Visceral pleural line Lucent peripheral space Deep sulcus sign (supine) | Widely available, low cost, low radiation. | Low sensitivity for small/loculated pneumothorax and underlying causes. Expiratory images may help slightly. | PA and lateral views Optional: Expiratory or lateral decubitus views to increase conspicuity. |
| Ultrasonography | Absence of “lung sliding” “Lung point” (highly specific) “Barcode sign” (M-mode) | Rapid, bedside, no radiation exposure, good for critically ill/children, excludes pneumothorax well. | Operator dependent, limited view (ribs), poor for detecting underlying cause. | High-frequency linear probe (5–12 MHz) Scan least dependent area of chest wall. |
| EID-CT | Subtle or loculated pneumothorax Subpleural blebs/bullae Characterizes underlying disease (e.g., ILD, emphysema) | Reference standard for detection and cause, quantification. | Higher radiation exposure/cost, less accessible than radiography or ultrasonography. | Non-contrast thin-slice (e.g., 1–1.25 mm) Reconstruct with high-spatial-frequency (lung) algorithm; MPR essential. |
| PCD-CT | Improved visualization of subtle findings (e.g., small blebs) | Potential for improved detail, radiation dose reduction. | Limited availability, clinical impact is still evolving. | Protocols are evolving; based on standard non-contrast chest protocols. |
Disclaimer/Publisher’s Note: The statements, opinions and data contained in all publications are solely those of the individual author(s) and contributor(s) and not of MDPI and/or the editor(s). MDPI and/or the editor(s) disclaim responsibility for any injury to people or property resulting from any ideas, methods, instructions or products referred to in the content. |
© 2025 by the authors. Licensee MDPI, Basel, Switzerland. This article is an open access article distributed under the terms and conditions of the Creative Commons Attribution (CC BY) license (https://creativecommons.org/licenses/by/4.0/).
Share and Cite
Jain, R.; Kandula, V.; Torigian, D.A.; Donuru, A. Spontaneous Pneumothorax: A Review of Underlying Etiologies and Diagnostic Imaging Modalities. Tomography 2025, 11, 125. https://doi.org/10.3390/tomography11110125
Jain R, Kandula V, Torigian DA, Donuru A. Spontaneous Pneumothorax: A Review of Underlying Etiologies and Diagnostic Imaging Modalities. Tomography. 2025; 11(11):125. https://doi.org/10.3390/tomography11110125
Chicago/Turabian StyleJain, Rupali, Vinay Kandula, Drew A. Torigian, and Achala Donuru. 2025. "Spontaneous Pneumothorax: A Review of Underlying Etiologies and Diagnostic Imaging Modalities" Tomography 11, no. 11: 125. https://doi.org/10.3390/tomography11110125
APA StyleJain, R., Kandula, V., Torigian, D. A., & Donuru, A. (2025). Spontaneous Pneumothorax: A Review of Underlying Etiologies and Diagnostic Imaging Modalities. Tomography, 11(11), 125. https://doi.org/10.3390/tomography11110125

