Comprehensive CT Imaging Analysis of Primary Colorectal Squamous Cell Carcinoma: A Retrospective Study
Abstract
1. Background
2. Materials and Methods
2.1. Study Design
2.2. Patients
2.3. CT Scanning
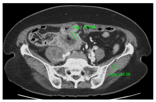
2.4. Image Analysis
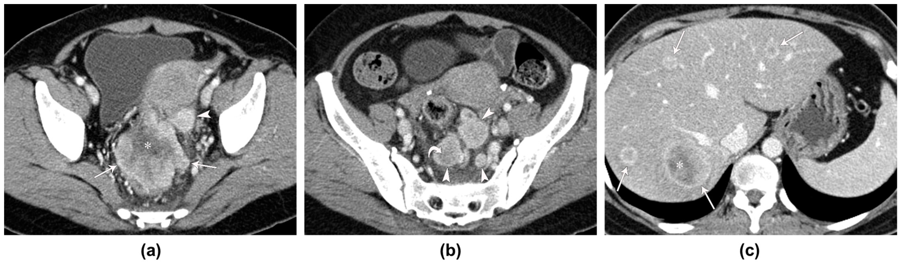
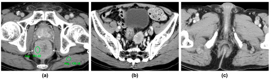
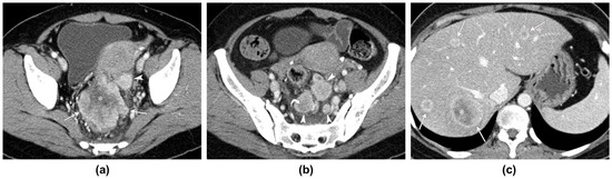
3. Results
4. Discussion
5. Conclusions
Author Contributions
Funding
Institutional Review Board Statement
Informed Consent Statement
Data Availability Statement
Conflicts of Interest
References
- Sung, H.; Ferlay, J.; Siegel, R.L.; Laversanne, M.; Soerjomataram, I.; Jemal, A.; Bray, F. Global cancer statistics 2020: GLOBOCAN estimates of incidence and mortality worldwide for 36 cancers in 185 countries. CA Cancer J. Clin. 2021, 71, 209–249. [Google Scholar] [CrossRef] [PubMed]
- Aung, Z.W.; Carina, M.A. A case of metastatic rectal squamous cell carcinoma initially diagnosed as lung cancer. J. Clin. Imaging Sci. 2015, 5, 22. [Google Scholar]
- Neil, V.; Sumair, A.; Khaled, B.; Carmine, C.; Hassan, A.; Robert, S.; James, N.; Aaron, W.; Joshua, A. Primary squamous cell carcinoma of the rectum: A case report and literature review. J. Community Hosp. Intern. Med. Perspect. 2016, 6, 31708. [Google Scholar]
- Pikarsky, A.J.; Belin, B.; Efron, J.; Woodhouse, S.; Weiss, E.G.; Wexner, S.D.; Nogueras, J.J. Squamous cell carcinoma of the rectum in ulcerative colitis: Case report and review of the literature. Int. J. Colorectal. Dis. 2007, 22, 445–447. [Google Scholar] [CrossRef] [PubMed]
- Gelas, T.; Peyrat, P.; Francois, Y.; Gerard, J.P.; Baulieux, J.; Gilly, F.N.; Vignal, J.; Glehen, O. Primary squamous-cell carcinoma of the rectum: Report of six cases and review of the literature. Dis. Colon Rectum 2002, 45, 1535–1540. [Google Scholar] [CrossRef] [PubMed]
- Musio, D.; De Felice, F.; Manfrida, S.; Balducci, M.; Meldolesi, E.; Gravina, G.L.; Tombolini, V.; Valentini, V. Squamous cell carcinoma of the rectum: The treatment paradigm. Eur. J. Surg. Oncol. 2015, 41, 1054–1058. [Google Scholar] [CrossRef] [PubMed]
- Frizelle, F.A.; Hobday, K.S.; Batts, K.P.; Nelson, H. Adenosquamous and squamous carcinoma of the colon and upper rectum: A clinical and histopathologic study. Dis. Colon Rectum 2001, 44, 341–346. [Google Scholar] [CrossRef] [PubMed]
- Comer, T.P.; Beahrs, O.H.; Dockerty, M.B. Primary squamous cell carcinoma and adenocanthoma of the colon. Cancer 1971, 28, 1111–1117. [Google Scholar] [CrossRef] [PubMed]
- Bartelink, H.; Roelofsen, F.; Eschwege, F.; Rougier, P.; Bosset, J.F.; Gonzalez, D.G.; Peiffert, D.; van Glabbeke, M.; Pierart, M. Concomitant radiotherapy and chemotherapy is superior to radiotherapy alone in the treatment of locally advanced anal cancer: Results of a phase III randomized trial of the European Organization for Research and Treatment of Cancer Radiotherapy and Gastrointestinal Cooperative Groups. J. Clin. Oncol. 1997, 15, 2040–2049. [Google Scholar]
- Jaffer, A.A.; Kathryn, A.W.; Leonard, L.G.; Pedersen, J.; Benson, A.B.; Thomas, C.R., Jr.; Mayer, R.J.; Haddock, M.G.; Rich, T.A.; Willett, C. Fluorouracil, mitomycin, and and radiotherapy vs fluorouracil, cisplantin, and radiotherapy for carcinoma of the anal canal: A randomized controlled trial. JAMA 2008, 299, 1914–1921. [Google Scholar]
- Al, B.B.; Alan, P.V.; Mahmoud, M.A.H.; Azad, N.; Chen, Y.-J.; Ciombor, K.K.; Cohen, S.; Cooper, H.S.; Deming, D.; Garrido-Laguna, I.; et al. Anal carcinoma, version 2.2023, NCCN clinical practice guidelines in oncology. J. Natl. Compr. Cancer Netw. 2023, 21, 653–677. [Google Scholar]
- Nahas, C.S.; Shia, J.; Joseph, R.; Schrag, D.; Minsky, B.D.; Weiser, M.R.; Guillem, J.G.; Paty, P.B.; Klimstra, D.S.; Tang, L.H.; et al. Squamous-cell carcinoma of the rectum: A rare but curable tumor. Dis. Colon Rectum 2007, 50, 1393–1400. [Google Scholar] [CrossRef] [PubMed]
- Guerra, G.R.; Kong, C.H.; Warrier, S.K.; Lynch, A.C.; Heriot, A.G.; Ngan, S.Y. Primary squamous cell carcinoma of the rectum: An update and implications for treatment. World, J. Gastrointest. Surg. 2016, 8, 252–265. [Google Scholar] [CrossRef] [PubMed]
- Williams, G.T.; Blackshaw, A.J.; Morson, B.C. Squamous carcinoma of the colorectum and its genesis. J. Pathol. 1979, 129, 139–147. [Google Scholar] [CrossRef] [PubMed]
- Macari, M.; Balthazar, E.J. CT of bowel wall thickening: Significance and pitfalls of interpretation. Am. J. Roentgenol. 2001, 176, 1105–1116. [Google Scholar] [CrossRef] [PubMed]
- Anthony, T.; Baron, T.; Mercadante, S.; Green, S.; Chi, D.; Cunningham, J.; Herbst, A.; Smart, E.; Krouse, R.S. Report of the clinical protocol committee: Development of randomized trials for malignant bowel obstruction. J. Pain Symptom Manag. 2007, 34, S49–S59. [Google Scholar] [CrossRef] [PubMed]
- Lafreniere, R.; Ketcham, A.S. Primary squamous carcinoma of the rectum. Report of a case and review of the literature. Dis. Colon Rectum 1985, 28, 967–972. [Google Scholar] [CrossRef] [PubMed]
- Lundquest, D.E.; Marcus, J.N.; Thorson, A.G.; Massop, D. Primary squamous cell carcinoma of the colon arising in a villous adenoma. Hum. Pathol. 1988, 19, 362–364. [Google Scholar] [CrossRef] [PubMed]
- Morimoto, Y.; Kurokawa, H.; Tanaka, T.; Yamashita, Y.; Kito, S.; Okabe, S.; Takahashi, T.; Ohba, T. Correlation between the incidence of central nodal necrosis in cervical lymph node metastasis and the extent of differentiation in oral squamous cell carcinoma. Dentomaxillofac. Radiol. 2006, 35, 18–23. [Google Scholar] [CrossRef]
- Sica, G.T.; Ji, H.; Ros, P.R. CT and MR imaging of hepatic metastases. Am. J. Roentgenol. 2000, 174, 691–698. [Google Scholar] [CrossRef]
- Semelka, R.C.; Helmberger, T.K. Contrast agents for MR imaging of the liver. Radiology 2001, 218, 27–38. [Google Scholar] [CrossRef] [PubMed]
- Lasser, P.; Elias, D.; Eschwege, F. Epidermoid epitheliomas of the rectum: A report on three cases. J. Chir. 1980, 117, 377–380. [Google Scholar]
- Miyamoto, K.; Nishioka, M.; Kurita, N.; Honda, J.; Yoshikawa, K.; Higashijima, J.; Miyatani, T.; Bandou, Y.; Shimada, M. Squamous cell carcinoma of the descending colon: Report of a case and literature review. Case Rep. Gastroenterol. 2007, 1, 77–83. [Google Scholar] [CrossRef]
- Siewert, J.R.; Stein, H.J.; Feith, M.; Bruecher, B.L.; Bartels, H.; Fink, U. Histologic tumor type is an independent prognostic parameter in esophageal cancer: Lessons from more than 1,000 consecutive resections at a single center in the western world. Ann. Surg. 2001, 234, 360–369. [Google Scholar] [CrossRef] [PubMed]
- Akiyama, H.; Tsurumaru, M.; Udagawa, H.; Kajiyama, Y. Radical lymph node dissection for cancer of the thoracic esophagus. Ann. Surg. 1994, 220, 364–372; discussion 372–363. [Google Scholar] [CrossRef] [PubMed]
- Ando, N.; Ozawa, S.; Kitagawa, Y.; Shinozawa, Y.; Kitajima, M. Improvement in the results of surgical treatment of advanced squamous esophageal carcinoma during 15 consecutive years. Ann. Surg. 2000, 232, 225–232. [Google Scholar] [CrossRef] [PubMed]
- Rasheed, S.; Yap, T.; Zia, A.; McDonald, P.J.; Glynne-Jones, R. Chemo-radiotherapy: An alternative to surgery for squamous cell carcinoma of the rectum--report of six patients and literature review. Color. Dis. 2009, 11, 191–197. [Google Scholar] [CrossRef]
- Cheng, H.; Sitrin, M.D.; Satchidanand, S.K.; Novak, J.M. Colonic squamous cell carcinoma in ulcerative colitis: Report of a case and review of the literature. Can. J. Gastroenterol. 2007, 21, 47–50. [Google Scholar] [CrossRef] [PubMed]
- Wiener, M.F.; Polayes, S.H.; Yidi, R. Squamous carcinoma with schistosomiasis of the colon. Am. J. Gastroenterol. 1962, 37, 48–54. [Google Scholar]
- Sotlar, K.; Koveker, G.; Aepinus, C.; Selinka, H.C.; Kandolf, R.; Bultmann, B. Human papillomavirus type 16-associated primary squamous cell carcinoma of the rectum. Gastroenterology 2001, 120, 988–994. [Google Scholar] [CrossRef]
- Yurdakul, G.; de Reijke, T.M.; Blank, L.E.; Rauws, E.A. Rectal squamous cell carcinoma 11 years after brachytherapy for carcinoma of the prostate. J. Urol. 2003, 169, 280. [Google Scholar] [CrossRef] [PubMed]
- Chen, K.T. Colonic adenomatous polyp with focal squamous metaplasia. Hum. Pathol. 1981, 12, 848–849. [Google Scholar] [CrossRef] [PubMed]
- Almagro, U.A.; Pintar, K.; Zellmer, R.B. Squamous metaplasia in colorectal polyps. Cancer 1984, 53, 2679–2682. [Google Scholar] [CrossRef] [PubMed]
- Forouhar, F. Neoplastic colonic polyp with extensive squamous metaplasia. Tumori J. 1984, 70, 99–103. [Google Scholar] [CrossRef]
- Kontozoglou, T. Squamous metaplasia in colonic adenomata: Report of two cases. J. Surg. Oncol. 1985, 29, 31–34. [Google Scholar] [CrossRef]




| Age (y)/ Sex | Clinical Presentation | Radiologic Studies | Tumor Location | Morphologic Type | Maximum Wall Thickness (mm) | Enhancement Pattern of the Tumor * | Enhancement Degree † | Tumor Necrosis | LAP (Number/Diameter (mm)) ‡ | LAP Necrosis | Adjacent Organ Invasion | Distant Metastases |
|---|---|---|---|---|---|---|---|---|---|---|---|---|
| 70/F | Abdominal pain | CT, US | Sigmoid colon | Bulky mass | 44 | Heterogeneous | Well (3.01) | Yes | 0/NA | NA | Right ureter and ovary, ileum, urinary bladder, iliopsoas muscle, and uterus | No |
| 59/M | Hematochezia | CT, PET-CT | Rb | Circumferential wall thickening | 24 | Homogeneous | Moderate (1.22) | No | 10/21 | Yes | Levator ani muscle, prostate, urinary bladder | No |
| 67/F | Hematochezia | CT | Ra | Eccentric wall thickening | 14 | Homogeneous | Moderate (1.36) | Yes | 2/12 | Yes | No | No |
| 92/M | Hematochezia, constipation | CT | Rb | Bulky mass | 44 | Heterogeneous | Well (1.53) | Yes | 2/17 | Yes | Prostate | No |
| 54/F | Fever | CT, US, PET-CT | Ra | Bulky mass | 49 | Heterogeneous | Well (2.02) | Yes | 8/21 | Yes | Uterus | Liver |
| 86/M | Hematochezia | CT | Rb | Circumferential wall thickening | 25 | Homogeneous | Well (2.36) | No | 1/25 | Yes | Levator ani muscle | No |
| 76/M | Abdominal pain | CT | Ra | Circumferential wall thickening | 14 | Homogeneous | Moderate (1.23) | No | 1/8 | No | No | No |
| 54/F | Hematochezia | CT | Rb | Circumferential wall thickening | 19 | Homogeneous | Moderate (1.16) | Yes | 1/12 | Yes | No | No |
Disclaimer/Publisher’s Note: The statements, opinions and data contained in all publications are solely those of the individual author(s) and contributor(s) and not of MDPI and/or the editor(s). MDPI and/or the editor(s) disclaim responsibility for any injury to people or property resulting from any ideas, methods, instructions or products referred to in the content. |
© 2024 by the authors. Licensee MDPI, Basel, Switzerland. This article is an open access article distributed under the terms and conditions of the Creative Commons Attribution (CC BY) license (https://creativecommons.org/licenses/by/4.0/).
Share and Cite
Yoon, E.J.; Song, S.G.; Kim, J.W.; Kim, H.C.; Kim, H.J.; Hur, Y.H.; Hong, J.H. Comprehensive CT Imaging Analysis of Primary Colorectal Squamous Cell Carcinoma: A Retrospective Study. Tomography 2024, 10, 674-685. https://doi.org/10.3390/tomography10050052
Yoon EJ, Song SG, Kim JW, Kim HC, Kim HJ, Hur YH, Hong JH. Comprehensive CT Imaging Analysis of Primary Colorectal Squamous Cell Carcinoma: A Retrospective Study. Tomography. 2024; 10(5):674-685. https://doi.org/10.3390/tomography10050052
Chicago/Turabian StyleYoon, Eun Ju, Sang Gook Song, Jin Woong Kim, Hyun Chul Kim, Hyung Joong Kim, Young Hoe Hur, and Jun Hyung Hong. 2024. "Comprehensive CT Imaging Analysis of Primary Colorectal Squamous Cell Carcinoma: A Retrospective Study" Tomography 10, no. 5: 674-685. https://doi.org/10.3390/tomography10050052
APA StyleYoon, E. J., Song, S. G., Kim, J. W., Kim, H. C., Kim, H. J., Hur, Y. H., & Hong, J. H. (2024). Comprehensive CT Imaging Analysis of Primary Colorectal Squamous Cell Carcinoma: A Retrospective Study. Tomography, 10(5), 674-685. https://doi.org/10.3390/tomography10050052

