Pediatric Neuroimaging of Multiple Sclerosis and Neuroinflammatory Diseases
Abstract
1. Introduction
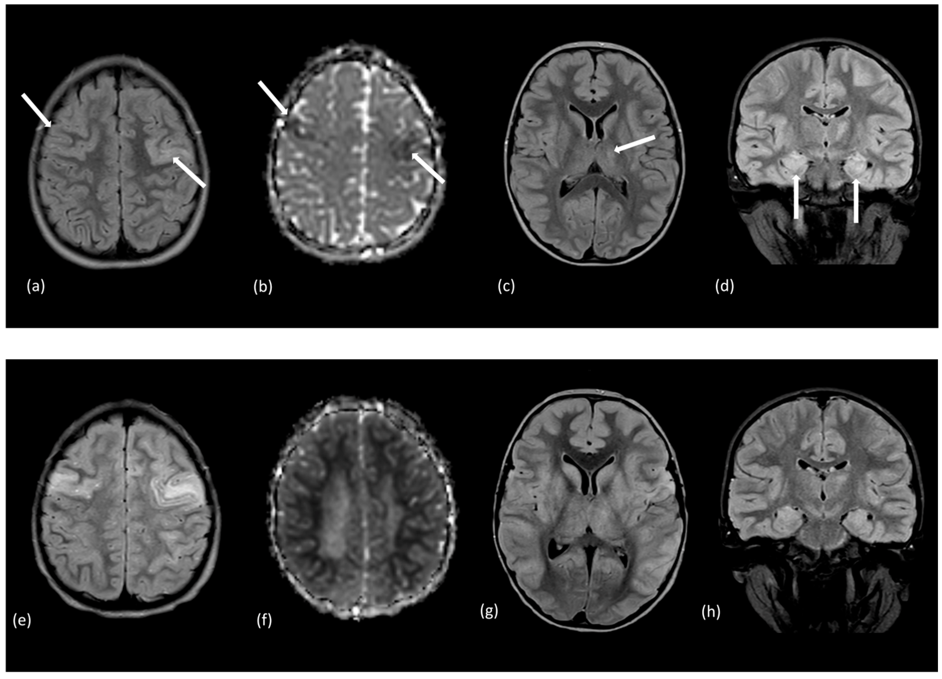
2. Multiple Sclerosis
2.1. Overview
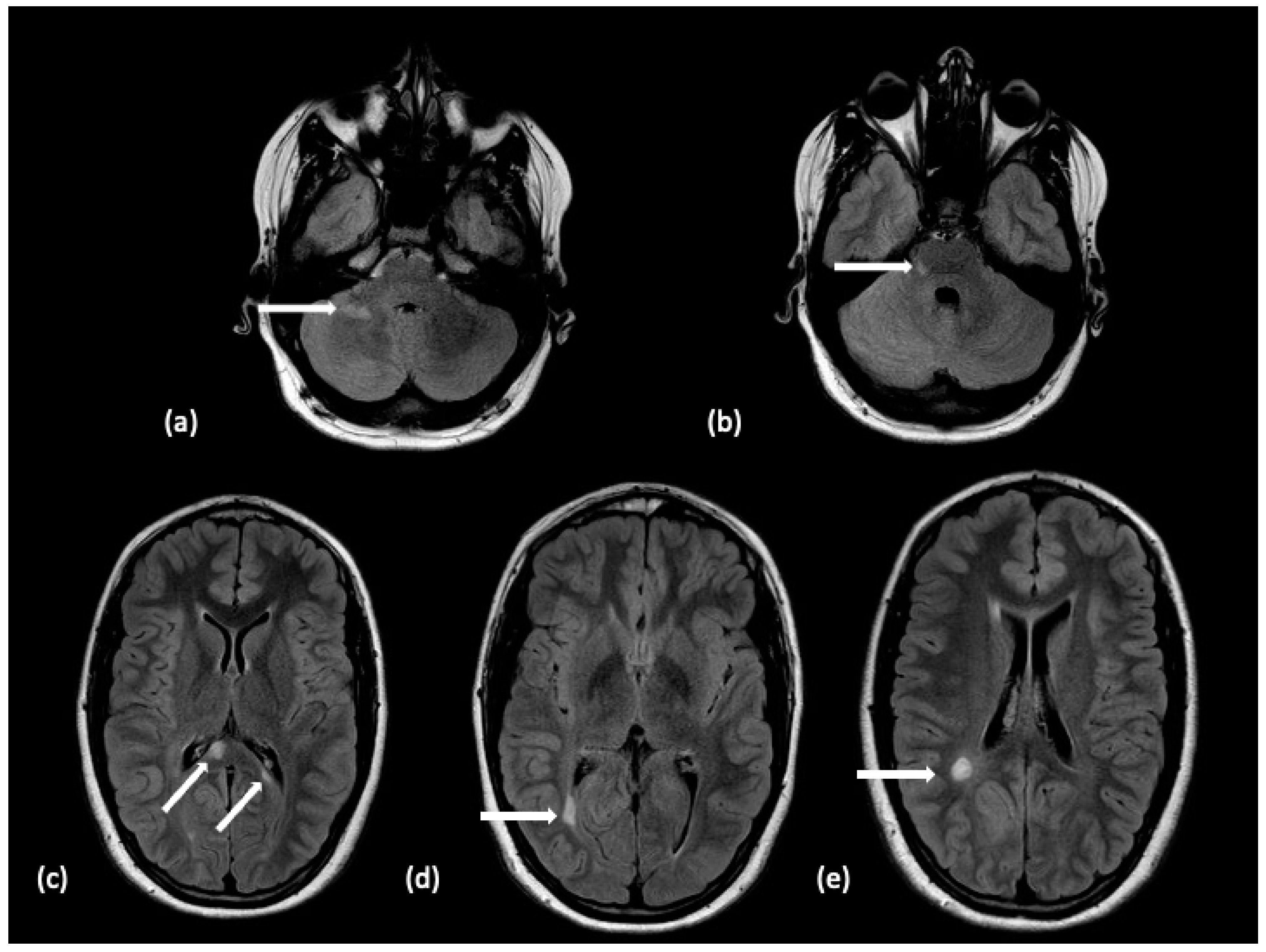
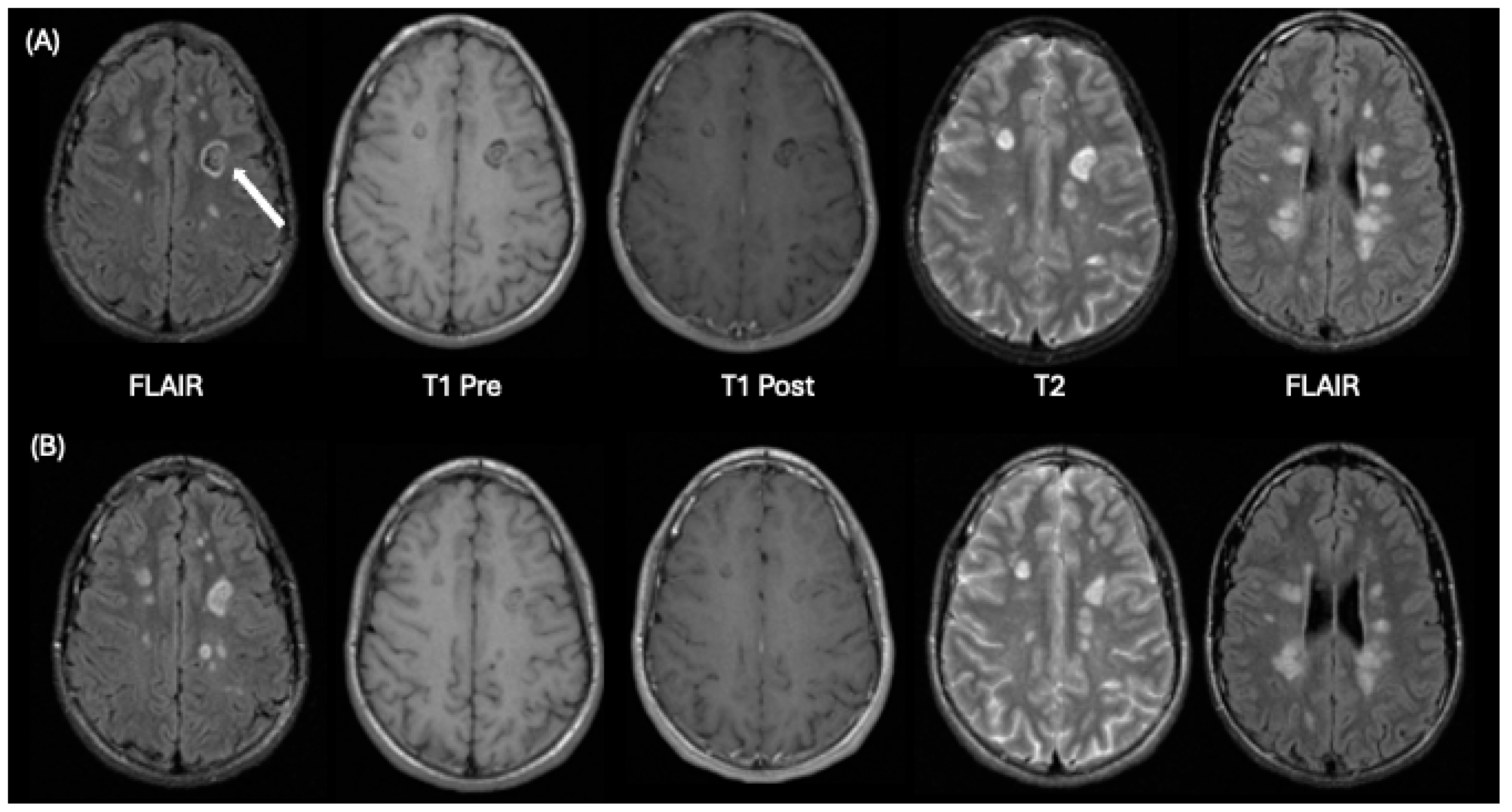
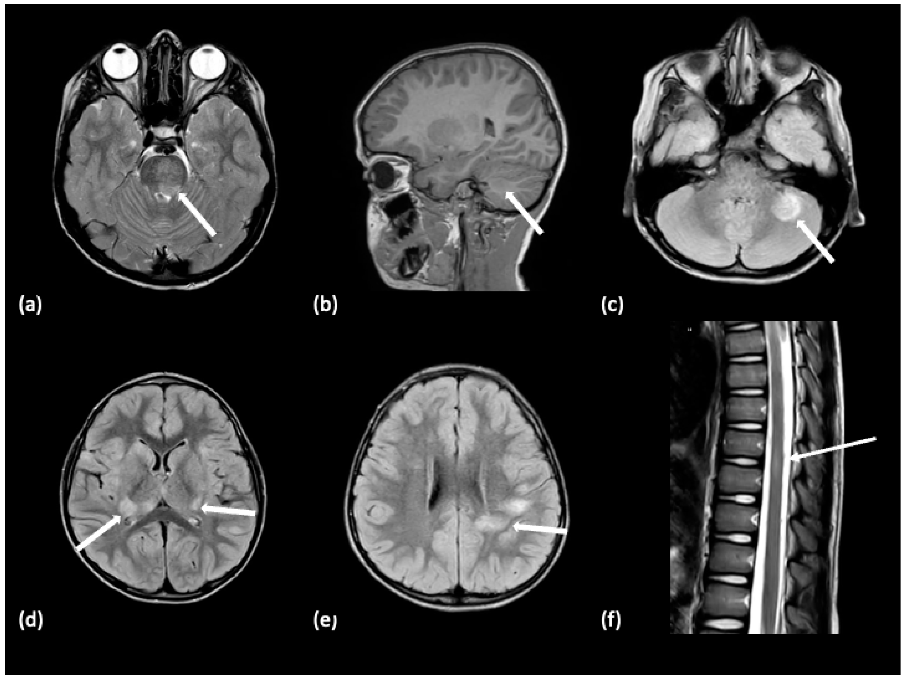
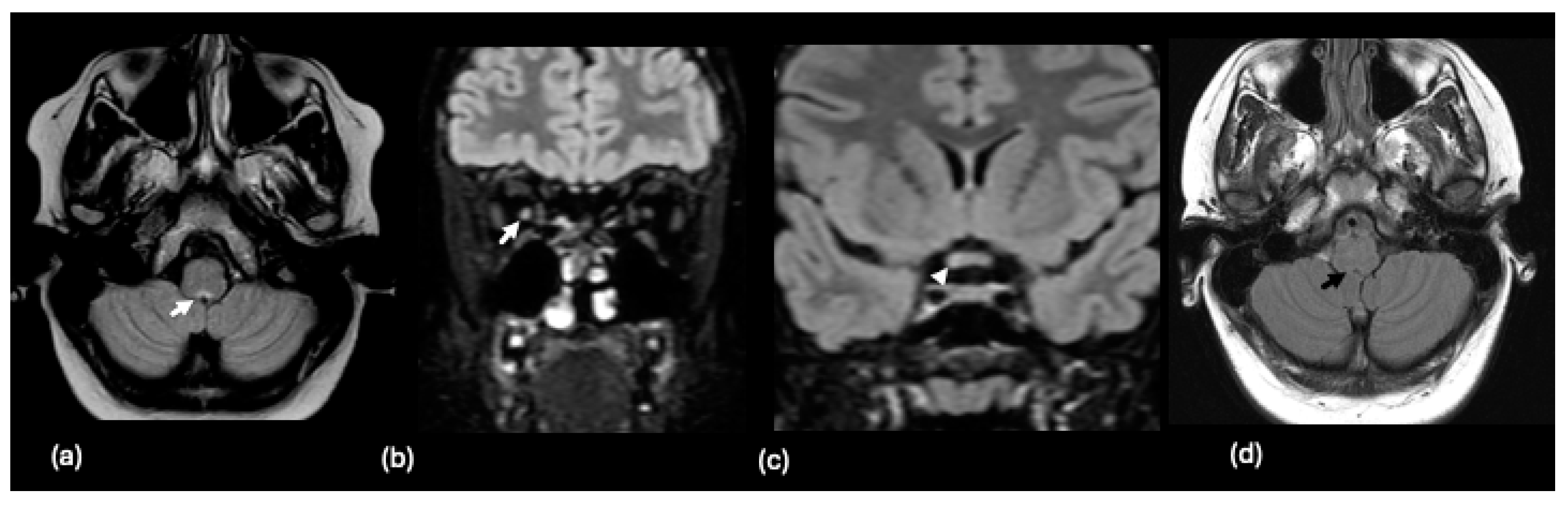
2.2. Conventional Neuroimaging
2.3. Advanced MRI Techniques
2.4. Summary of Imaging in Pediatric Patients with POMS
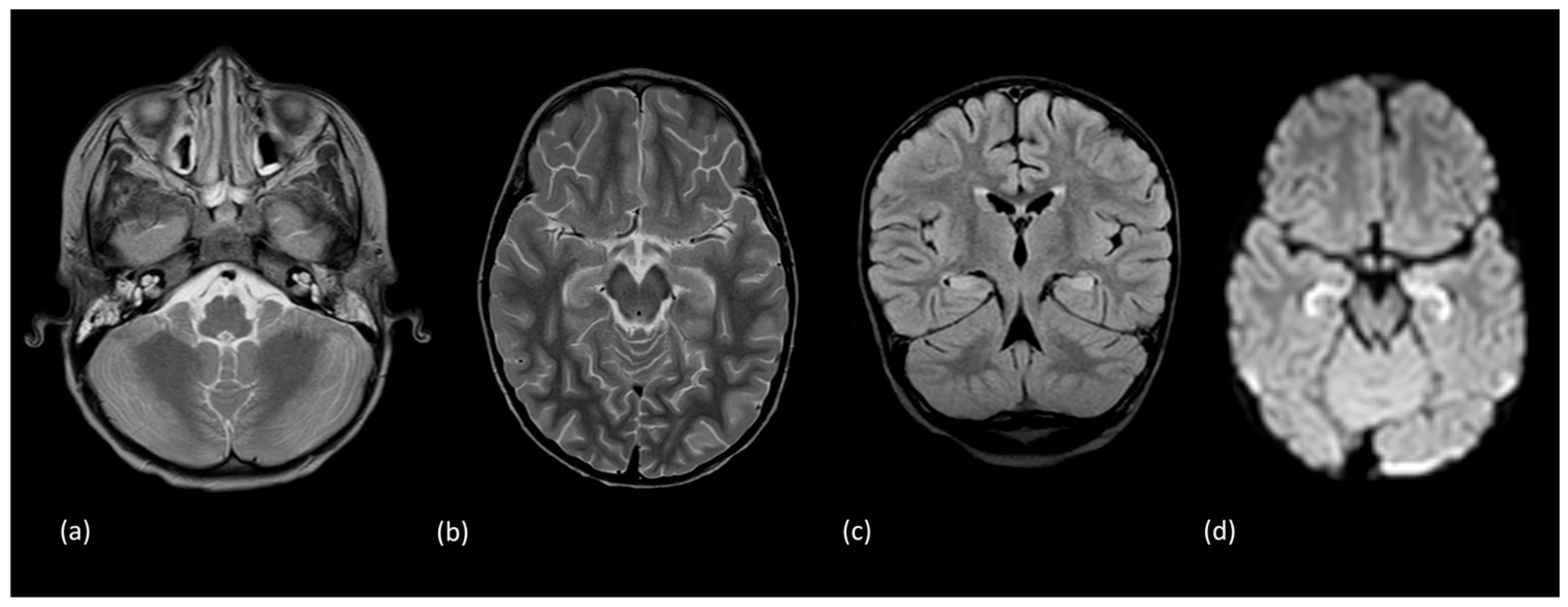
3. Acute Demyelinating Encephalomyelitis
3.1. Overview
3.2. Conventional Neuroimaging
3.3. Advanced MRI Techniques
3.4. Summary of Imaging in Pediatric Patients with ADEM
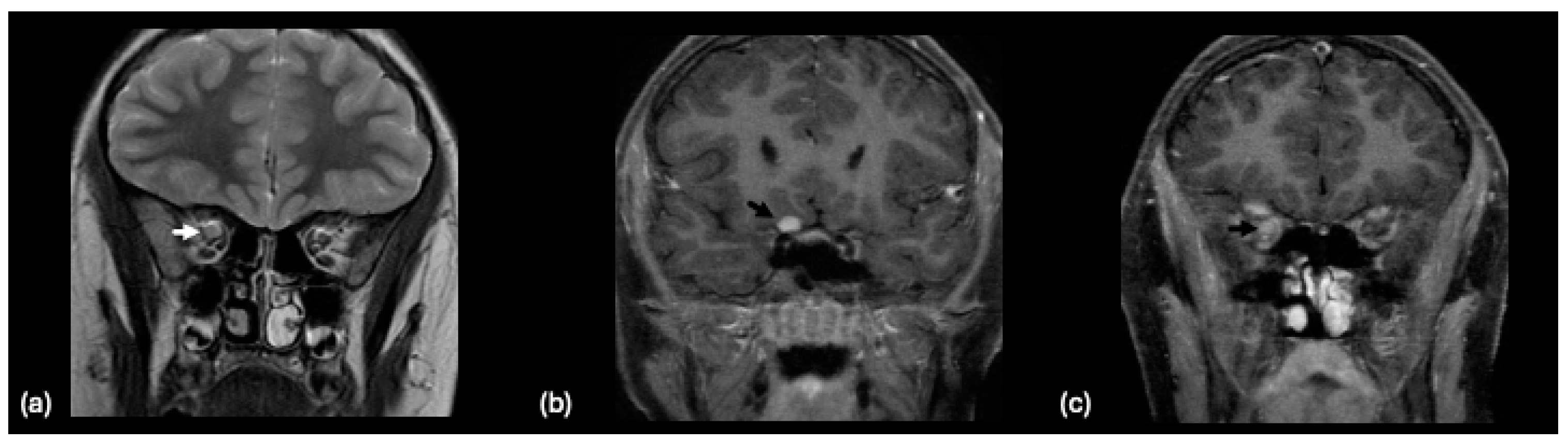
4. Optic Neuritis
4.1. Overview
4.2. Conventional Neuroimaging
4.3. Advanced MRI Techniques
4.4. Summary of Imaging in Pediatric Patients with ON
5. Neuromyelitis Optica Spectrum Disorders
5.1. Overview
5.2. Conventional Neuroimaging
5.3. Advanced MRI Techniques
5.4. Summary of Imaging in Pediatric Patients with NMOSD
6. Myelin Oligodendrocyte Glycoprotein Antibody Disease
6.1. Overview
6.2. Conventional Neuroimaging
6.3. Advanced MRI Techniques
6.4. Summary of Imaging in Pediatric Patients with MOGAD
7. Autoimmune Encephalitis
7.1. Overview
7.2. Conventional Neuroimaging
7.3. Advanced MRI Techniques
7.4. Summary of Imaging in Pediatric Patients with Autoimmune Encephalitis
8. Febrile-Infection-Related Epilepsy Syndrome
8.1. Overview
8.2. Conventional Neuroimaging
8.3. Summary of Imaging in Pediatric Patients with FIRES
9. Conclusions
Author Contributions
Funding
Informed Consent Statement
Data Availability Statement
Conflicts of Interest
References
- Alroughani, R.; Boyko, A. Pediatric multiple sclerosis: A review. BMC Neurol. 2018, 18, 27. [Google Scholar] [CrossRef]
- Krupp, L.B.; Vieira, M.C.; Toledano, H.; Peneva, D.; Druyts, E.; Wu, P.; Boulos, F.C. A Review of Available Treatments, Clinical Evidence, and Guidelines for Diagnosis and Treatment of Pediatric Multiple Sclerosis in the United States. J. Child. Neurol. 2019, 34, 612–620. [Google Scholar] [CrossRef]
- Boiko, A.; Vorobeychik, G.; Paty, D.; Devonshire, V.; Sadovnick, D.; University of British Columbia, M.S.C.N. Early onset multiple sclerosis: A longitudinal study. Neurology 2002, 59, 1006–1010. [Google Scholar] [CrossRef] [PubMed]
- Patel, Y.; Bhise, V.; Krupp, L. Pediatric multiple sclerosis. Ann. Indian. Acad. Neurol. 2009, 12, 238–245. [Google Scholar] [CrossRef]
- Prajjwal, P.; Marsool, M.D.M.; Natarajan, B.; Inban, P.; Gadam, S.; Sowndarya, D.; John, J.; Abbas, R.; Vaja, H.; Marsool, M.B.; et al. Juvenile multiple sclerosis: Addressing epidemiology, diagnosis, therapeutic, and prognostic updates along with cognitive dysfunction and quality of life. Ann. Med. Surg. 2023, 85, 4433–4441. [Google Scholar] [CrossRef]
- Kornbluh, A.B.; Kahn, I. Pediatric multiple sclerosis. Semin. Pediatr. Neurol. 2023, 46, 101054. [Google Scholar] [CrossRef]
- Schwenkenbecher, P.; Wurster, U.; Konen, F.F.; Gingele, S.; Suhs, K.W.; Wattjes, M.P.; Stangel, M.; Skripuletz, T. Impact of the McDonald Criteria 2017 on Early Diagnosis of Relapsing-Remitting Multiple Sclerosis. Front. Neurol. 2019, 10, 188. [Google Scholar] [CrossRef] [PubMed]
- Thompson, A.J.; Banwell, B.L.; Barkhof, F.; Carroll, W.M.; Coetzee, T.; Comi, G.; Correale, J.; Fazekas, F.; Filippi, M.; Freedman, M.S.; et al. Diagnosis of multiple sclerosis: 2017 revisions of the McDonald criteria. Lancet Neurol. 2018, 17, 162–173. [Google Scholar] [CrossRef]
- Filippi, M.; Bar-Or, A.; Piehl, F.; Preziosa, P.; Solari, A.; Vukusic, S.; Rocca, M.A. Multiple sclerosis. Nat. Rev. Dis. Primers 2018, 4, 43. [Google Scholar] [CrossRef]
- Banwell, B. Pediatric multiple sclerosis: The 2022 ECTRIMS lecture. Mult. Scler. 2023, 29, 772–778. [Google Scholar] [CrossRef]
- Nicotera, A.G.; Spoto, G.; Saia, M.C.; Midiri, M.; Turriziani, L.; Amore, G.; Di Rosa, G. Treatment of multiple sclerosis in children: A brief overview. Clin. Immunol. 2022, 237, 108947. [Google Scholar] [CrossRef] [PubMed]
- Duquette, P.; Murray, T.J.; Pleines, J.; Ebers, G.C.; Sadovnick, D.; Weldon, P.; Warren, S.; Paty, D.W.; Upton, A.; Hader, W.; et al. Multiple sclerosis in childhood: Clinical profile in 125 patients. J. Pediatr. 1987, 111, 359–363. [Google Scholar] [CrossRef]
- Ghezzi, A.; Deplano, V.; Faroni, J.; Grasso, M.G.; Liguori, M.; Marrosu, G.; Pozzilli, C.; Simone, I.L.; Zaffaroni, M. Multiple sclerosis in childhood: Clinical features of 149 cases. Mult. Scler. 1997, 3, 43–46. [Google Scholar] [CrossRef]
- Feng, J.; Rensel, M. Review Of The Safety, Efficacy And Tolerability Of Fingolimod In The Treatment Of Pediatric Patients With Relapsing-Remitting Forms Of Multiple Sclerosis (RRMS). Pediatr. Health Med. Ther. 2019, 10, 141–146. [Google Scholar] [CrossRef]
- Yan, K.; Balijepalli, C.; Desai, K.; Gullapalli, L.; Druyts, E. Epidemiology of pediatric multiple sclerosis: A systematic literature review and meta-analysis. Mult. Scler. Relat. Disord. 2020, 44, 102260. [Google Scholar] [CrossRef]
- Renoux, C.; Vukusic, S.; Mikaeloff, Y.; Edan, G.; Clanet, M.; Dubois, B.; Debouverie, M.; Brochet, B.; Lebrun-Frenay, C.; Pelletier, J.; et al. Natural history of multiple sclerosis with childhood onset. N. Engl. J. Med. 2007, 356, 2603–2613. [Google Scholar] [CrossRef]
- Yeh, E.A.; Weinstock-Guttman, B.; Ramanathan, M.; Ramasamy, D.P.; Willis, L.; Cox, J.L.; Zivadinov, R. Magnetic resonance imaging characteristics of children and adults with paediatric-onset multiple sclerosis. Brain 2009, 132, 3392–3400. [Google Scholar] [CrossRef]
- Jeong, A.; Oleske, D.M.; Holman, J. Epidemiology of Pediatric-Onset Multiple Sclerosis: A Systematic Review of the Literature. J. Child. Neurol. 2019, 34, 705–712. [Google Scholar] [CrossRef] [PubMed]
- Dale, R.C.; de Sousa, C.; Chong, W.K.; Cox, T.C.; Harding, B.; Neville, B.G. Acute disseminated encephalomyelitis, multiphasic disseminated encephalomyelitis and multiple sclerosis in children. Brain 2000, 123 Pt 12, 2407–2422. [Google Scholar] [CrossRef]
- Sudhakar, S.V.; Muthusamy, K.; Mani, S.; Gibikote, S.; Shroff, M. Imaging in Pediatric Demyelinating and Inflammatory Diseases of the Brain—Part 1. Indian J. Pediatr. 2016, 83, 952–964. [Google Scholar] [CrossRef] [PubMed]
- Verhey, L.H.; Branson, H.M.; Makhija, M.; Shroff, M.; Banwell, B. Magnetic resonance imaging features of the spinal cord in pediatric multiple sclerosis: A preliminary study. Neuroradiology 2010, 52, 1153–1162. [Google Scholar] [CrossRef]
- Verhey, L.H.; Shroff, M.; Banwell, B. Pediatric Multiple Sclerosis: Pathobiological, Clinical, and Magnetic Resonance Imaging Features. Neuroimaging Clin. North Am. 2013, 23, 227–243. [Google Scholar] [CrossRef] [PubMed]
- Mikaeloff, Y.; Adamsbaum, C.; Husson, B.; Vallee, L.; Ponsot, G.; Confavreux, C.; Tardieu, M.; Suissa, S.; Radiology, K.S.G.o. MRI prognostic factors for relapse after acute CNS inflammatory demyelination in childhood. Brain 2004, 127, 1942–1947. [Google Scholar] [CrossRef] [PubMed]
- Truyen, L.; van Waesberghe, J.H.; van Walderveen, M.A.; van Oosten, B.W.; Polman, C.H.; Hommes, O.R.; Adèr, H.J.; Barkhof, F. Accumulation of hypointense lesions (“black holes”) on T1 spin-echo MRI correlates with disease progression in multiple sclerosis. Neurology 1996, 47, 1469–1476. [Google Scholar] [CrossRef]
- Cotton, F.; Weiner, H.L.; Jolesz, F.A.; Guttmann, C.R. MRI contrast uptake in new lesions in relapsing-remitting MS followed at weekly intervals. Neurology 2003, 60, 640–646. [Google Scholar] [CrossRef]
- Fadda, G.; Brown, R.A.; Longoni, G.; Castro, D.A.; O’Mahony, J.; Verhey, L.H.; Branson, H.M.; Waters, P.; Bar-Or, A.; Marrie, R.A.; et al. MRI and laboratory features and the performance of international criteria in the diagnosis of multiple sclerosis in children and adolescents: A prospective cohort study. Lancet Child. Adolesc. Health 2018, 2, 191–204. [Google Scholar] [CrossRef]
- Waubant, E.; Chabas, D.; Okuda, D.T.; Glenn, O.; Mowry, E.; Henry, R.G.; Strober, J.B.; Soares, B.; Wintermark, M.; Pelletier, D. Difference in disease burden and activity in pediatric patients on brain magnetic resonance imaging at time of multiple sclerosis onset vs adults. Arch. Neurol. 2009, 66, 967–971. [Google Scholar] [CrossRef] [PubMed]
- Balassy, C.; Bernert, G.; Wober-Bingol, C.; Csapo, B.; Kornek, B.; Szeles, J.; Fleischmann, D.; Prayer, D. Long-term MRI observations of childhood-onset relapsing-remitting multiple sclerosis. Neuropediatrics 2001, 32, 28–37. [Google Scholar] [CrossRef] [PubMed]
- McAdam, L.C.; Blaser, S.I.; Banwell, B.L. Pediatric tumefactive demyelination: Case series and review of the literature. Pediatr. Neurol. 2002, 26, 18–25. [Google Scholar] [CrossRef] [PubMed]
- Linnoila, J.; Chitnis, T. Baló Concentric Sclerosis in Children. J. Child Neurol. 2014, 29, 603–607. [Google Scholar] [CrossRef]
- Southin, J.C.; Avula, S.; du Plessis, D.; Kumar, R.; Kneen, R. Balo’s concentric sclerosis presenting asymptomatically in a child: Clinico-radiological-pathological correlation. BMJ Case Rep. 2023, 16, e256185. [Google Scholar] [CrossRef] [PubMed]
- Arenas Vargas, L.E.; Bedoya Morales, A.M.; Rincón Carreño, C.; Espitia Segura, O.M.; Penagos, N. Balo’s concentric sclerosis: An atypical demyelinating disease in pediatrics. Mult. Scler. Relat. Disord. 2020, 44, 102198. [Google Scholar] [CrossRef] [PubMed]
- Jurkiewicz, E.; Opyrchal, P.; Slawinska, D.; Puzio-Bochen, I.; Pytlewska, A.; Roszkowski, M.; Kotulska, K. Magnetic Resonance Characteristics of Balo Concentric Sclerosis in Children. Pediatr. Neurol. 2021, 121, 3–10. [Google Scholar] [CrossRef] [PubMed]
- Kamari, C.; Galanakis, E.; Raissaki, M.; Briassoulis, G.; Vlachaki, G.; Vorgia, P. Pediatric tumefactive multiple sclerosis case (with balo-like lesions), diagnostic and treatment challenges. Neurol. Sci. 2023, 44, 343–345. [Google Scholar] [CrossRef]
- Aubert-Broche, B.; Fonov, V.; Narayanan, S.; Arnold, D.L.; Araujo, D.; Fetco, D.; Till, C.; Sled, J.G.; Banwell, B.; Collins, D.L.; et al. Onset of multiple sclerosis before adulthood leads to failure of age-expected brain growth. Neurology 2014, 83, 2140–2146. [Google Scholar] [CrossRef]
- De Meo, E.; Meani, A.; Moiola, L.; Ghezzi, A.; Veggiotti, P.; Filippi, M.; Rocca, M.A. Dynamic gray matter volume changes in pediatric multiple sclerosis: A 3.5 year MRI study. Neurology 2019, 92, e1709–e1723. [Google Scholar] [CrossRef]
- Eshaghi, A.; Prados, F.; Brownlee, W.J.; Altmann, D.R.; Tur, C.; Cardoso, M.J.; De Angelis, F.; van de Pavert, S.H.; Cawley, N.; De Stefano, N.; et al. Deep gray matter volume loss drives disability worsening in multiple sclerosis. Ann. Neurol. 2018, 83, 210–222. [Google Scholar] [CrossRef] [PubMed]
- Azevedo, C.J.; Cen, S.Y.; Khadka, S.; Liu, S.; Kornak, J.; Shi, Y.; Zheng, L.; Hauser, S.L.; Pelletier, D. Thalamic atrophy in multiple sclerosis: A magnetic resonance imaging marker of neurodegeneration throughout disease. Ann. Neurol. 2018, 83, 223–234. [Google Scholar] [CrossRef]
- Bruhn, H.; Frahm, J.; Merboldt, K.D.; Hanicke, W.; Hanefeld, F.; Christen, H.J.; Kruse, B.; Bauer, H.J. Multiple sclerosis in children: Cerebral metabolic alterations monitored by localized proton magnetic resonance spectroscopy in vivo. Ann. Neurol. 1992, 32, 140–150. [Google Scholar] [CrossRef]
- Thurston, J.H.; Sherman, W.R.; Hauhart, R.E.; Kloepper, R.F. myo-inositol: A newly identified nonnitrogenous osmoregulatory molecule in mammalian brain. Pediatr. Res. 1989, 26, 482–485. [Google Scholar] [CrossRef]
- Strange, K.; Emma, F.; Paredes, A.; Morrison, R. Osmoregulatory changes in myo-inositol content and Na+/myo-inositol cotransport in rat cortical astrocytes. Glia 1994, 12, 35–43. [Google Scholar] [CrossRef]
- Davie, C.A.; Hawkins, C.P.; Barker, G.J.; Brennan, A.; Tofts, P.S.; Miller, D.H.; McDonald, W.I. Serial proton magnetic resonance spectroscopy in acute multiple sclerosis lesions. Brain 1994, 117 Pt 1, 49–58. [Google Scholar] [CrossRef] [PubMed]
- De Stefano, N.; Matthews, P.M.; Antel, J.P.; Preul, M.; Francis, G.; Arnold, D.L. Chemical pathology of acute demyelinating lesions and its correlation with disability. Ann. Neurol. 1995, 38, 901–909. [Google Scholar] [CrossRef]
- Brex, P.A.; Gomez-Anson, B.; Parker, G.J.; Molyneux, P.D.; Miszkiel, K.A.; Barker, G.J.; MacManus, D.G.; Davie, C.A.; Plant, G.T.; Miller, D.H. Proton MR spectroscopy in clinically isolated syndromes suggestive of multiple sclerosis. J. Neurol. Sci. 1999, 166, 16–22. [Google Scholar] [CrossRef]
- Brex, P.A.; Parker, G.J.; Leary, S.M.; Molyneux, P.D.; Barker, G.J.; Davie, C.A.; Thompson, A.J.; Miller, D.H. Lesion heterogeneity in multiple sclerosis: A study of the relations between appearances on T1 weighted images, T1 relaxation times, and metabolite concentrations. J. Neurol. Neurosurg. Psychiatry 2000, 68, 627–632. [Google Scholar] [CrossRef]
- Horská, A.; Berrington, A.; Barker, P.B.; Tkáč, I. Magnetic Resonance Spectroscopy: Clinical Applications. In Functional Neuroradiology: Principles and Clinical Applications; Faro, S.H., Mohamed, F.B., Eds.; Springer International Publishing: Cham, Switzerland, 2023; pp. 241–292. [Google Scholar]
- De Stefano, N.; Matthews, P.M.; Fu, L.; Narayanan, S.; Stanley, J.; Francis, G.S.; Antel, J.P.; Arnold, D.L. Axonal damage correlates with disability in patients with relapsing-remitting multiple sclerosis. Results of a longitudinal magnetic resonance spectroscopy study. Brain 1998, 121, 1469–1477. [Google Scholar] [CrossRef]
- Narayana, P.A.; Doyle, T.J.; Lai, D.; Wolinsky, J.S. Serial proton magnetic resonance spectroscopic imaging, contrast-enhanced magnetic resonance imaging, and quantitative lesion volumetry in multiple sclerosis. Ann. Neurol. 1998, 43, 56–71. [Google Scholar] [CrossRef]
- Ikeguchi, R.; Shimizu, Y.; Abe, K.; Shimizu, S.; Maruyama, T.; Nitta, M.; Abe, K.; Kawamata, T.; Kitagawa, K. Proton magnetic resonance spectroscopy differentiates tumefactive demyelinating lesions from gliomas. Mult. Scler. Relat. Disord. 2018, 26, 77–84. [Google Scholar] [CrossRef]
- Grossman, R.I.; Gomori, J.M.; Ramer, K.N.; Lexa, F.J.; Schnall, M.D. Magnetization transfer: Theory and clinical applications in neuroradiology. RadioGraphics 1994, 14, 279–290. [Google Scholar] [CrossRef]
- Filippi, M.; Campi, A.; Dousset, V.; Baratti, C.; Martinelli, V.; Canal, N.; Scotti, G.; Comi, G. A Magnetization Transfer Imaging Study of Normal-Appearing White Matter in Multiple Sclerosis. Neurology 1995, 45, 478–482. [Google Scholar] [CrossRef] [PubMed]
- Verhey, L.H.; Sled, J.G. Advanced magnetic resonance imaging in pediatric multiple sclerosis. Neuroimaging Clin. N. Am. 2013, 23, 337–354. [Google Scholar] [CrossRef] [PubMed]
- Schmierer, K.; Scaravilli, F.; Altmann, D.R.; Barker, G.J.; Miller, D.H. Magnetization transfer ratio and myelin in postmortem multiple sclerosis brain. Ann. Neurol. 2004, 56, 407–415. [Google Scholar] [CrossRef]
- Yeh, E.A.; Eshaghi, A. Evolution of regional brain atrophy in children with multiple sclerosis: Gray matters. Neurology 2019, 92, 694–695. [Google Scholar] [CrossRef] [PubMed]
- Vishwas, M.S.; Chitnis, T.; Pienaar, R.; Healy, B.C.; Grant, P.E. Tract-based analysis of callosal, projection, and association pathways in pediatric patients with multiple sclerosis: A preliminary study. AJNR Am. J. Neuroradiol. 2010, 31, 121–128. [Google Scholar] [CrossRef]
- Vishwas, M.S.; Healy, B.C.; Pienaar, R.; Gorman, M.P.; Grant, P.E.; Chitnis, T. Diffusion tensor analysis of pediatric multiple sclerosis and clinically isolated syndromes. AJNR Am. J. Neuroradiol. 2013, 34, 417–423. [Google Scholar] [CrossRef] [PubMed]
- Blaschek, A.; Keeser, D.; Muller, S.; Koerte, I.K.; Sebastian Schroder, A.; Muller-Felber, W.; Heinen, F.; Ertl-Wagner, B. Early white matter changes in childhood multiple sclerosis: A diffusion tensor imaging study. AJNR Am. J. Neuroradiol. 2013, 34, 2015–2020. [Google Scholar] [CrossRef] [PubMed]
- Mezzapesa, D.M.; Rocca, M.A.; Falini, A.; Rodegher, M.E.; Ghezzi, A.; Comi, G.; Filippi, M. A preliminary diffusion tensor and magnetization transfer magnetic resonance imaging study of early-onset multiple sclerosis. Arch. Neurol. 2004, 61, 366–368. [Google Scholar] [CrossRef] [PubMed]
- Absinta, M.; Rocca, M.A.; Moiola, L.; Ghezzi, A.; Milani, N.; Veggiotti, P.; Comi, G.; Filippi, M. Brain macro- and microscopic damage in patients with paediatric MS. J. Neurol. Neurosurg. Psychiatry 2010, 81, 1357–1362. [Google Scholar] [CrossRef] [PubMed]
- Caulo, M.; Colasurdo, M.; Rossi, A. Inflammatory, Demyelinating, and Autoimmune Diseases in Infants and Children. In Pediatric Neuroradiology; Rossi, A., Ed.; Springer: Berlin/Heidelberg, Germany, 2020; pp. 1–48. [Google Scholar]
- Till, C.; Deotto, A.; Tipu, V.; Sled, J.G.; Bethune, A.; Narayanan, S.; Arnold, D.L.; Banwell, B.L. White matter integrity and math performance in pediatric multiple sclerosis: A diffusion tensor imaging study. Neuroreport 2011, 22, 1005–1009. [Google Scholar] [CrossRef]
- Tievsky, A.L.; Ptak, T.; Farkas, J. Investigation of apparent diffusion coefficient and diffusion tensor anisotrophy in acute and chronic multiple sclerosis lesions. AJNR Am. J. Neuroradiol. 1999, 20, 1491–1499. [Google Scholar] [PubMed]
- Akbar, N.; Giorgio, A.; Till, C.; Sled, J.G.; Doesburg, S.M.; De Stefano, N.; Banwell, B. Alterations in Functional and Structural Connectivity in Pediatric-Onset Multiple Sclerosis. PLoS ONE 2016, 11, e0145906. [Google Scholar] [CrossRef] [PubMed]
- De Meo, E.; Moiola, L.; Ghezzi, A.; Veggiotti, P.; Capra, R.; Amato, M.P.; Pagani, E.; Fiorino, A.; Pippolo, L.; Pera, M.C.; et al. MRI substrates of sustained attention system and cognitive impairment in pediatric MS patients. Neurology 2017, 89, 1265–1273. [Google Scholar] [CrossRef]
- Rocca, M.A.; Absinta, M.; Ghezzi, A.; Moiola, L.; Comi, G.; Filippi, M. Is a preserved functional reserve a mechanism limiting clinical impairment in pediatric MS patients? Hum. Brain Mapp. 2009, 30, 2844–2851. [Google Scholar] [CrossRef]
- Rocca, M.A.; Absinta, M.; Moiola, L.; Ghezzi, A.; Colombo, B.; Martinelli, V.; Comi, G.; Filippi, M. Functional and structural connectivity of the motor network in pediatric and adult-onset relapsing-remitting multiple sclerosis. Radiology 2010, 254, 541–550. [Google Scholar] [CrossRef]
- Rocca, M.A.; Valsasina, P.; Absinta, M.; Moiola, L.; Ghezzi, A.; Veggiotti, P.; Amato, M.P.; Horsfield, M.A.; Falini, A.; Comi, G.; et al. Intranetwork and internetwork functional connectivity abnormalities in pediatric multiple sclerosis. Hum. Brain Mapp. 2014, 35, 4180–4192. [Google Scholar] [CrossRef] [PubMed]
- Rocca, M.A.; Valsasina, P.; Martinelli, V.; Misci, P.; Falini, A.; Comi, G.; Filippi, M. Large-scale neuronal network dysfunction in relapsing-remitting multiple sclerosis. Neurology 2012, 79, 1449–1457. [Google Scholar] [CrossRef]
- Mistri, D.; Margoni, M.; Pagani, E.; Valsasina, P.; Meani, A.; Moiola, L.; Filippi, M.; Rocca, M.A. Structural and functional imaging features of cognitive phenotypes in pediatric multiple sclerosis. Ann. Clin. Transl. Neurol. 2024, 11, 1840–1851. [Google Scholar] [CrossRef]
- Barlow-Krelina, E.; Turner, G.R.; Akbar, N.; Banwell, B.; Lysenko, M.; Yeh, E.A.; Narayanan, S.; Collins, D.L.; Aubert-Broche, B.; Till, C. Enhanced Recruitment During Executive Control Processing in Cognitively Preserved Patients With Pediatric-Onset MS. J. Int. Neuropsychol. Soc. 2019, 25, 432–442. [Google Scholar] [CrossRef] [PubMed]
- Till, C.; Ghassemi, R.; Aubert-Broche, B.; Kerbrat, A.; Collins, D.L.; Narayanan, S.; Arnold, D.L.; Desrocher, M.; Sled, J.G.; Banwell, B.L. MRI correlates of cognitive impairment in childhood-onset multiple sclerosis. Neuropsychology 2011, 25, 319–332. [Google Scholar] [CrossRef] [PubMed]
- Absoud, M.; Lim, M.J.; Chong, W.K.; De Goede, C.G.; Foster, K.; Gunny, R.; Hemingway, C.; Jardine, P.E.; Kneen, R.; Likeman, M.; et al. Paediatric acquired demyelinating syndromes: Incidence, clinical and magnetic resonance imaging features. Mult. Scler. 2013, 19, 76–86. [Google Scholar] [CrossRef] [PubMed]
- Dale, R.C. Acute disseminated encephalomyelitis. Semin. Pediatr. Infect. Dis. 2003, 14, 90–95. [Google Scholar] [CrossRef][Green Version]
- Pohl, D.; Alper, G.; Van Haren, K.; Kornberg, A.J.; Lucchinetti, C.F.; Tenembaum, S.; Belman, A.L. Acute disseminated encephalomyelitis: Updates on an inflammatory CNS syndrome. Neurology 2016, 87, S38–S45. [Google Scholar] [CrossRef] [PubMed]
- Tenembaum, S.; Chitnis, T.; Ness, J.; Hahn, J.S.; International Pediatric, M.S.S.G. Acute disseminated encephalomyelitis. Neurology 2007, 68, S23–S36. [Google Scholar] [CrossRef]
- Young, N.P.; Weinshenker, B.G.; Lucchinetti, C.F. Acute disseminated encephalomyelitis: Current understanding and controversies. Semin. Neurol. 2008, 28, 84–94. [Google Scholar] [CrossRef] [PubMed]
- Zhang, M.; Shen, J.; Zhou, S.; Du, X.; Li, W.; Yu, L.; Zhang, Y.; Wang, Y.; Zhang, L. Clinical and Neuroimaging Characteristics of Pediatric Acute Disseminating Encephalomyelitis With and Without Antibodies to Myelin Oligodendrocyte Glycoprotein. Front. Neurol. 2020, 11, 593287. [Google Scholar] [CrossRef] [PubMed]
- Massa, S.; Fracchiolla, A.; Neglia, C.; Argentiero, A.; Esposito, S. Update on Acute Disseminated Encephalomyelitis in Children and Adolescents. Children 2021, 8, 280. [Google Scholar] [CrossRef] [PubMed]
- Paolilo, R.B.; Deiva, K.; Neuteboom, R.; Rostasy, K.; Lim, M. Acute Disseminated Encephalomyelitis: Current Perspectives. Children 2020, 7, 210. [Google Scholar] [CrossRef] [PubMed]
- Wang, C.X. Assessment and Management of Acute Disseminated Encephalomyelitis (ADEM) in the Pediatric Patient. Paediatr. Drugs 2021, 23, 213–221. [Google Scholar] [CrossRef] [PubMed]
- Balasubramanya, K.S.; Kovoor, J.M.; Jayakumar, P.N.; Ravishankar, S.; Kamble, R.B.; Panicker, J.; Nagaraja, D. Diffusion-weighted imaging and proton MR spectroscopy in the characterization of acute disseminated encephalomyelitis. Neuroradiology 2007, 49, 177–183. [Google Scholar] [CrossRef]
- Nishiyama, M.; Nagase, H.; Tomioka, K.; Tanaka, T.; Yamaguchi, H.; Ishida, Y.; Toyoshima, D.; Fujita, K.; Maruyama, A.; Sasaki, K.; et al. Clinical time course of pediatric acute disseminated encephalomyelitis. Brain Dev. 2019, 41, 531–537. [Google Scholar] [CrossRef]
- Burton, K.L.O.; Williams, T.A.; Catchpoole, S.E.; Brunsdon, R.K. Long-Term Neuropsychological Outcomes of Childhood Onset Acute Disseminated Encephalomyelitis (ADEM): A Meta-Analysis. Neuropsychol. Rev. 2017, 27, 124–133. [Google Scholar] [CrossRef] [PubMed]
- Shilo, S.; Michaeli, O.; Shahar, E.; Ravid, S. Long-term motor, cognitive and behavioral outcome of acute disseminated encephalomyelitis. Eur. J. Paediatr. Neurol. 2016, 20, 361–367. [Google Scholar] [CrossRef]
- Krupp, L.B.; Tardieu, M.; Amato, M.P.; Banwell, B.; Chitnis, T.; Dale, R.C.; Ghezzi, A.; Hintzen, R.; Kornberg, A.; Pohl, D.; et al. International Pediatric Multiple Sclerosis Study Group criteria for pediatric multiple sclerosis and immune-mediated central nervous system demyelinating disorders: Revisions to the 2007 definitions. Mult. Scler. 2013, 19, 1261–1267. [Google Scholar] [CrossRef]
- Rossi, A. Imaging of acute disseminated encephalomyelitis. Neuroimaging Clin. N. Am. 2008, 18, 149–161. [Google Scholar] [CrossRef]
- Banwell, B.; Bennett, J.L.; Marignier, R.; Kim, H.J.; Brilot, F.; Flanagan, E.P.; Ramanathan, S.; Waters, P.; Tenembaum, S.; Graves, J.S.; et al. Diagnosis of myelin oligodendrocyte glycoprotein antibody-associated disease: International MOGAD Panel proposed criteria. Lancet Neurol. 2023, 22, 268–282. [Google Scholar] [CrossRef] [PubMed]
- Tenembaum, S.N. Acute disseminated encephalomyelitis. Handb. Clin. Neurol. 2013, 112, 1253–1262. [Google Scholar] [CrossRef] [PubMed]
- Atzori, M.; Battistella, P.A.; Perini, P.; Calabrese, M.; Fontanin, M.; Laverda, A.M.; Suppiej, A.; Drigo, P.; Grossi, P.; Rinaldi, L.; et al. Clinical and diagnostic aspects of multiple sclerosis and acute monophasic encephalomyelitis in pediatric patients: A single centre prospective study. Mult. Scler. 2009, 15, 363–370. [Google Scholar] [CrossRef] [PubMed]
- Boesen, M.S.; Blinkenberg, M.; Thygesen, L.C.; Ilginiene, J.; Langkilde, A.R. Magnetic resonance imaging criteria at onset to differentiate pediatric multiple sclerosis from acute disseminated encephalomyelitis: A nationwide cohort study. Mult. Scler. Relat. Disord. 2022, 62, 103738. [Google Scholar] [CrossRef] [PubMed]
- Khatri, S.; Xerras, M.; Chamay, S.; Sharma, S. Insights from neuroradiology in acute disseminated encephalomyelitis. Radiol. Case Rep. 2023, 18, 4318–4322. [Google Scholar] [CrossRef] [PubMed]
- Callen, D.J.; Shroff, M.M.; Branson, H.M.; Li, D.K.; Lotze, T.; Stephens, D.; Banwell, B.L. Role of MRI in the differentiation of ADEM from MS in children. Neurology 2009, 72, 968–973. [Google Scholar] [CrossRef]
- Bizzi, A.; Ulug, A.M.; Crawford, T.O.; Passe, T.; Bugiani, M.; Bryan, R.N.; Barker, P.B. Quantitative proton MR spectroscopic imaging in acute disseminated encephalomyelitis. AJNR Am. J. Neuroradiol. 2001, 22, 1125–1130. [Google Scholar] [PubMed]
- Gabis, L.V.; Panasci, D.J.; Andriola, M.R.; Huang, W. Acute disseminated encephalomyelitis: An MRI/MRS longitudinal study. Pediatr. Neurol. 2004, 30, 324–329. [Google Scholar] [CrossRef]
- Kuker, W.; Ruff, J.; Gaertner, S.; Mehnert, F.; Mader, I.; Nagele, T. Modern MRI tools for the characterization of acute demyelinating lesions: Value of chemical shift and diffusion-weighted imaging. Neuroradiology 2004, 46, 421–426. [Google Scholar] [CrossRef] [PubMed]
- Ben Sira, L.; Miller, E.; Artzi, M.; Fattal-Valevski, A.; Constantini, S.; Ben Bashat, D. 1H-MRS for the diagnosis of acute disseminated encephalomyelitis: Insight into the acute-disease stage. Pediatr. Radiol. 2010, 40, 106–113. [Google Scholar] [CrossRef] [PubMed]
- Brand, A.; Richter-Landsberg, C.; Leibfritz, D. Multinuclear NMR studies on the energy metabolism of glial and neuronal cells. Dev. Neurosci. 1993, 15, 289–298. [Google Scholar] [CrossRef] [PubMed]
- Fernando, K.T.; McLean, M.A.; Chard, D.T.; MacManus, D.G.; Dalton, C.M.; Miszkiel, K.A.; Gordon, R.M.; Plant, G.T.; Thompson, A.J.; Miller, D.H. Elevated white matter myo-inositol in clinically isolated syndromes suggestive of multiple sclerosis. Brain 2004, 127, 1361–1369. [Google Scholar] [CrossRef] [PubMed]
- Zuccoli, G.; Panigrahy, A.; Sreedher, G.; Bailey, A.; Laney, E.J.t.; La Colla, L.; Alper, G. Vasogenic edema characterizes pediatric acute disseminated encephalomyelitis. Neuroradiology 2014, 56, 679–684. [Google Scholar] [CrossRef] [PubMed]
- Chen, C.I.; Mar, S.; Brown, S.; Song, S.K.; Benzinger, T.L. Neuropathologic correlates for diffusion tensor imaging in postinfectious encephalopathy. Pediatr. Neurol. 2011, 44, 389–393. [Google Scholar] [CrossRef] [PubMed]
- Inglese, M.; Salvi, F.; Iannucci, G.; Mancardi, G.L.; Mascalchi, M.; Filippi, M. Magnetization transfer and diffusion tensor MR imaging of acute disseminated encephalomyelitis. AJNR Am. J. Neuroradiol. 2002, 23, 267–272. [Google Scholar]
- Presicci, A.; Serra, M.; Achille, M.; Caputo, E.; Margari, L. Pediatric Optic Neuritis: Description of Four Cases and Review of the Literature. Children 2021, 8, 855. [Google Scholar] [CrossRef]
- Chang, M.Y.; Pineles, S.L. Pediatric Optic Neuritis. Semin. Pediatr. Neurol. 2017, 24, 122–128. [Google Scholar] [CrossRef] [PubMed]
- Banwell, B.; Kennedy, J.; Sadovnick, D.; Arnold, D.L.; Magalhaes, S.; Wambera, K.; Connolly, M.B.; Yager, J.; Mah, J.K.; Shah, N.; et al. Incidence of acquired demyelination of the CNS in Canadian children. Neurology 2009, 72, 232–239. [Google Scholar] [CrossRef]
- Langer-Gould, A.; Zhang, J.L.; Chung, J.; Yeung, Y.; Waubant, E.; Yao, J. Incidence of acquired CNS demyelinating syndromes in a multiethnic cohort of children. Neurology 2011, 77, 1143–1148. [Google Scholar] [CrossRef]
- Vegunta, S. Update on Pediatric Optic Neuritis. Adv. Ophthalmol. Optom. 2022, 7, 71–87. [Google Scholar] [CrossRef]
- Wan, H.; He, H.; Zhang, F.; Sha, Y.; Tian, G. Diffusion-weighted imaging helps differentiate multiple sclerosis and neuromyelitis optica-related acute optic neuritis. J. Magn. Reson. Imaging 2017, 45, 1780–1785. [Google Scholar] [CrossRef] [PubMed]
- Group, T.O.N.S. Visual function more than 10 years after optic neuritis: Experience of the optic neuritis treatment trial. Am. J. Ophthalmol. 2004, 137, 77–83. [Google Scholar] [CrossRef]
- Waldman, A.; Ghezzi, A.; Bar-Or, A.; Mikaeloff, Y.; Tardieu, M.; Banwell, B. Multiple sclerosis in children: An update on clinical diagnosis, therapeutic strategies, and research. Lancet Neurol. 2014, 13, 936–948. [Google Scholar] [CrossRef] [PubMed]
- Direk, M.Ç.; Besen, Ş.; Öncel, İ.; Günbey, C.; Özdoğan, O.; Orgun, L.T.; Sahin, S.; Cansu, A.; Yıldız, N.; Kanmaz, S.; et al. Optic neuritis in Turkish children and adolescents: A multicenter retrospective study. Mult. Scler. Relat. Disord. 2024, 81, 105149. [Google Scholar] [CrossRef] [PubMed]
- Bonhomme, G.R.; Waldman, A.T.; Balcer, L.J.; Daniels, A.B.; Tennekoon, G.I.; Forman, S.; Galetta, S.L.; Liu, G.T. Pediatric optic neuritis: Brain MRI abnormalities and risk of multiple sclerosis. Neurology 2009, 72, 881–885. [Google Scholar] [CrossRef]
- Wilejto, M.; Shroff, M.; Buncic, J.R.; Kennedy, J.; Goia, C.; Banwell, B. The clinical features, MRI findings, and outcome of optic neuritis in children. Neurology 2006, 67, 258–262. [Google Scholar] [CrossRef] [PubMed]
- Gise, R.A.; Heidary, G. Update on Pediatric Optic Neuritis. Curr. Neurol. Neurosci. Rep. 2020, 20, 4. [Google Scholar] [CrossRef] [PubMed]
- Waldman, A.T.; Stull, L.B.; Galetta, S.L.; Balcer, L.J.; Liu, G.T. Pediatric optic neuritis and risk of multiple sclerosis: Meta-analysis of observational studies. J. Am. Assoc. Pediatr. Ophthalmol. Strabismus 2011, 15, 441–446. [Google Scholar] [CrossRef]
- Moon, Y.; Park, K.-A.; Han, J.; Hwang, J.-M.; Kim, S.-J.; Han, S.-H.; Lee, B.J.; Kang, M.C.; Goh, Y.H.; Lim, B.C.; et al. Risk of central nervous system demyelinating attack or optic neuritis recurrence after pediatric optic neuritis in Korea. Neurol. Sci. 2024, 45, 1173–1183. [Google Scholar] [CrossRef]
- Ambrosius, W.; Michalak, S.; Kozubski, W.; Kalinowska, A. Myelin Oligodendrocyte Glycoprotein Antibody-Associated Disease: Current Insights into the Disease Pathophysiology, Diagnosis and Management. Int. J. Mol. Sci. 2020, 22, 100. [Google Scholar] [CrossRef] [PubMed]
- Bartels, F.; Lu, A.; Oertel, F.C.; Finke, C.; Paul, F.; Chien, C. Clinical and neuroimaging findings in MOGAD-MRI and OCT. Clin. Exp. Immunol. 2021, 206, 266–281. [Google Scholar] [CrossRef] [PubMed]
- Baumann, M.; Bartels, F.; Finke, C.; Adamsbaum, C.; Hacohen, Y.; Rostasy, K.; on behalf of the E.U. Paediatric MOG Consortium. E.U. paediatric MOG consortium consensus: Part 2—Neuroimaging features of paediatric myelin oligodendrocyte glycoprotein antibody-associated disorders. Eur. J. Paediatr. Neurol. 2020, 29, 14–21. [Google Scholar] [CrossRef]
- Marignier, R.; Hacohen, Y.; Cobo-Calvo, A.; Probstel, A.K.; Aktas, O.; Alexopoulos, H.; Amato, M.P.; Asgari, N.; Banwell, B.; Bennett, J.; et al. Myelin-oligodendrocyte glycoprotein antibody-associated disease. Lancet Neurol. 2021, 20, 762–772. [Google Scholar] [CrossRef] [PubMed]
- Shahriari, M.; Sotirchos, E.S.; Newsome, S.D.; Yousem, D.M. MOGAD: How It Differs From and Resembles Other Neuroinflammatory Disorders. AJR Am. J. Roentgenol. 2021, 216, 1031–1039. [Google Scholar] [CrossRef]
- Hoch, M.J.; Bruno, M.T.; Shepherd, T.M. Advanced MRI of the Optic Nerve. J. Neuroophthalmol. 2017, 37, 187–196. [Google Scholar] [CrossRef]
- Fatima, Z.; Motosugi, U.; Muhi, A.; Hori, M.; Ishigame, K.; Araki, T. Diffusion-weighted imaging in optic neuritis. Can. Assoc. Radiol. J. 2013, 64, 51–55. [Google Scholar] [CrossRef]
- Averseng-Peaureaux, D.; Mizzi, M.; Colineaux, H.; Mahieu, L.; Pera, M.C.; Brassat, D.; Chaix, Y.; Berard, E.; Deiva, K.; Cheuret, E.; et al. Paediatric optic neuritis: Factors leading to unfavourable outcome and relapses. Br. J. Ophthalmol. 2018, 102, 808–813. [Google Scholar] [CrossRef] [PubMed]
- Park, K.A.; Yang, H.K.; Han, J.; Kim, S.J.; Park, S.E.; Lee, H.J.; Han, S.H.; Oh, S.Y.; Hwang, J.M. Characteristics of Optic Neuritis in South Korean Children and Adolescents: A Retrospective Multicenter Study. J. Ophthalmol. 2022, 2022, 4281772. [Google Scholar] [CrossRef]
- Papp, V.; Magyari, M.; Aktas, O.; Berger, T.; Broadley, S.A.; Cabre, P.; Jacob, A.; Kira, J.I.; Leite, M.I.; Marignier, R.; et al. Worldwide Incidence and Prevalence of Neuromyelitis Optica: A Systematic Review. Neurology 2021, 96, 59–77. [Google Scholar] [CrossRef] [PubMed]
- Chitnis, T.; Ness, J.; Krupp, L.; Waubant, E.; Hunt, T.; Olsen, C.S.; Rodriguez, M.; Lotze, T.; Gorman, M.; Benson, L.; et al. Clinical features of neuromyelitis optica in children: US Network of Pediatric MS Centers report. Neurology 2016, 86, 245–252. [Google Scholar] [CrossRef] [PubMed]
- Baghbanian, S.M.; Asgari, N.; Sahraian, M.A.; Moghadasi, A.N. A comparison of pediatric and adult neuromyelitis optica spectrum disorders: A review of clinical manifestation, diagnosis, and treatment. J. Neurol. Sci. 2018, 388, 222–231. [Google Scholar] [CrossRef] [PubMed]
- Paolilo, R.B.; Paz, J.A.D.; Apóstolos-Pereira, S.L.; Rimkus, C.M.; Callegaro, D.; Sato, D.K. Neuromyelitis optica spectrum disorders: A review with a focus on children and adolescents. Arq. Neuropsiquiatr. 2023, 81, 201–211. [Google Scholar] [CrossRef]
- Wingerchuk, D.M.; Banwell, B.; Bennett, J.L.; Cabre, P.; Carroll, W.; Chitnis, T.; de Seze, J.; Fujihara, K.; Greenberg, B.; Jacob, A.; et al. International consensus diagnostic criteria for neuromyelitis optica spectrum disorders. Neurology 2015, 85, 177–189. [Google Scholar] [CrossRef]
- Lennon, V.A.; Wingerchuk, D.M.; Kryzer, T.J.; Pittock, S.J.; Lucchinetti, C.F.; Fujihara, K.; Nakashima, I.; Weinshenker, B.G. A serum autoantibody marker of neuromyelitis optica: Distinction from multiple sclerosis. Lancet 2004, 364, 2106–2112. [Google Scholar] [CrossRef]
- Jarius, S.; Paul, F.; Franciotta, D.; Waters, P.; Zipp, F.; Hohlfeld, R.; Vincent, A.; Wildemann, B. Mechanisms of disease: Aquaporin-4 antibodies in neuromyelitis optica. Nat. Clin. Pract. Neurol. 2008, 4, 202–214. [Google Scholar] [CrossRef]
- Ferilli, M.A.N.; Paparella, R.; Morandini, I.; Papetti, L.; Figa Talamanca, L.; Ruscitto, C.; Ursitti, F.; Moavero, R.; Sforza, G.; Tarantino, S.; et al. Pediatric Neuromyelitis Optica Spectrum Disorder: Case Series and Literature Review. Life 2021, 12, 19. [Google Scholar] [CrossRef]
- Maras, H.; Kara, B.; Anik, Y. Seropositive neuromyelitis optica: A pediatric case report and 6-year follow-up. Pediatr. Neurol. 2013, 49, 198–202. [Google Scholar] [CrossRef] [PubMed]
- Marino, A.; Narula, S.; Lerman, M.A. First Pediatric Patient With Neuromyelitis Optica and Sjogren Syndrome Successfully Treated With Tocilizumab. Pediatr. Neurol. 2017, 73, e5–e6. [Google Scholar] [CrossRef]
- Zhang, Z.; Zhou, H.; Liu, X.; Liu, L.; Shu, S.; Fang, F. Identification of the clinical and neuroimaging characteristics in children with neuromyelitis optica spectrum disorders: A case series. Transl. Pediatr. 2021, 10, 2459–2466. [Google Scholar] [CrossRef]
- Khalilidehkordi, E.; Clarke, L.; Arnett, S.; Bukhari, W.; Jimenez Sanchez, S.; O’Gorman, C.; Sun, J.; Prain, K.M.; Woodhall, M.; Silvestrini, R.; et al. Relapse Patterns in NMOSD: Evidence for Earlier Occurrence of Optic Neuritis and Possible Seasonal Variation. Front. Neurol. 2020, 11, 537. [Google Scholar] [CrossRef]
- Yeh, E.A.; Graves, J.S.; Benson, L.A.; Wassmer, E.; Waldman, A. Pediatric optic neuritis. Neurology 2016, 87, S53–S58. [Google Scholar] [CrossRef] [PubMed]
- Numata, Y.; Uematsu, M.; Suzuki, S.; Miyabayashi, T.; Oyama, T.; Kubota, S.; Itoh, T.; Hino-Fukuyo, N.; Takahashi, T.; Kure, S. Aquaporin-4 autoimmunity in a child without optic neuritis and myelitis. Brain Dev. 2015, 37, 149–152. [Google Scholar] [CrossRef] [PubMed]
- McKeon, A.; Lennon, V.A.; Lotze, T.; Tenenbaum, S.; Ness, J.M.; Rensel, M.; Kuntz, N.L.; Fryer, J.P.; Homburger, H.; Hunter, J.; et al. CNS aquaporin-4 autoimmunity in children. Neurology 2008, 71, 93–100. [Google Scholar] [CrossRef] [PubMed]
- Romeo, A.R.; Segal, B.M. Treatment of neuromyelitis optica spectrum disorders. Curr. Opin. Rheumatol. 2019, 31, 250–255. [Google Scholar] [CrossRef]
- Dutra, B.G.; da Rocha, A.J.; Nunes, R.H.; Maia, A.C.M. Neuromyelitis Optica Spectrum Disorders: Spectrum of MR Imaging Findings and Their Differential Diagnosis. RadioGraphics 2018, 38, 169–193. [Google Scholar] [CrossRef] [PubMed]
- Absoud, M.; Lim, M.J.; Appleton, R.; Jacob, A.; Kitley, J.; Leite, M.I.; Pike, M.G.; Vincent, A.; Wassmer, E.; Waters, P.; et al. Paediatric neuromyelitis optica: Clinical, MRI of the brain and prognostic features. J. Neurol. Neurosurg. Psychiatry 2015, 86, 470–472. [Google Scholar] [CrossRef] [PubMed]
- Bulut, E.; Karakaya, J.; Salama, S.; Levy, M.; Huisman, T.; Izbudak, I. Brain MRI Findings in Pediatric-Onset Neuromyelitis Optica Spectrum Disorder: Challenges in Differentiation from Acute Disseminated Encephalomyelitis. AJNR Am. J. Neuroradiol. 2019, 40, 726–731. [Google Scholar] [CrossRef]
- Barnett, Y.; Sutton, I.J.; Ghadiri, M.; Masters, L.; Zivadinov, R.; Barnett, M.H. Conventional and advanced imaging in neuromyelitis optica. AJNR Am. J. Neuroradiol. 2014, 35, 1458–1466. [Google Scholar] [CrossRef]
- Ikeda, A.; Watanabe, Y.; Kaba, H.; Kaneko, K.; Takahashi, T.; Takeshita, S. MRI findings in pediatric neuromyelitis optica spectrum disorder with MOG antibody: Four cases and review of the literature. Brain Dev. 2019, 41, 367–372. [Google Scholar] [CrossRef] [PubMed]
- Banker, P.; Sonni, S.; Kister, I.; Loh, J.P.; Lui, Y.W. Pencil-thin ependymal enhancement in neuromyelitis optica spectrum disorders. Mult. Scler. 2012, 18, 1050–1053. [Google Scholar] [CrossRef] [PubMed]
- Kim, H.J.; Paul, F.; Lana-Peixoto, M.A.; Tenembaum, S.; Asgari, N.; Palace, J.; Klawiter, E.C.; Sato, D.K.; de Seze, J.; Wuerfel, J.; et al. MRI characteristics of neuromyelitis optica spectrum disorder: An international update. Neurology 2015, 84, 1165–1173. [Google Scholar] [CrossRef]
- Matsushita, T.; Isobe, N.; Piao, H.; Matsuoka, T.; Ishizu, T.; Doi, H.; Masaki, K.; Yoshiura, T.; Yamasaki, R.; Ohyagi, Y.; et al. Reappraisal of brain MRI features in patients with multiple sclerosis and neuromyelitis optica according to anti-aquaporin-4 antibody status. J. Neurol. Sci. 2010, 291, 37–43. [Google Scholar] [CrossRef]
- Jarius, S.; Ruprecht, K.; Kleiter, I.; Borisow, N.; Asgari, N.; Pitarokoili, K.; Pache, F.; Stich, O.; Beume, L.A.; Hummert, M.W.; et al. MOG-IgG in NMO and related disorders: A multicenter study of 50 patients. Part 2: Epidemiology, clinical presentation, radiological and laboratory features, treatment responses, and long-term outcome. J. Neuroinflammation 2016, 13, 280. [Google Scholar] [CrossRef] [PubMed]
- Tenembaum, S.; Chitnis, T.; Nakashima, I.; Collongues, N.; McKeon, A.; Levy, M.; Rostasy, K. Neuromyelitis optica spectrum disorders in children and adolescents. Neurology 2016, 87, S59–S66. [Google Scholar] [CrossRef]
- Asgari, N.; Skejoe, H.P.; Lillevang, S.T.; Steenstrup, T.; Stenager, E.; Kyvik, K.O. Modifications of longitudinally extensive transverse myelitis and brainstem lesions in the course of neuromyelitis optica (NMO): A population-based, descriptive study. BMC Neurol. 2013, 13, 33. [Google Scholar] [CrossRef] [PubMed]
- Banwell, B.; Shroff, M.; Ness, J.M.; Jeffery, D.; Schwid, S.; Weinstock-Guttman, B.; International Pediatric, M.S.S.G. MRI features of pediatric multiple sclerosis. Neurology 2007, 68, S46–S53. [Google Scholar] [CrossRef]
- Kremer, S.; Renard, F.; Achard, S.; Lana-Peixoto, M.A.; Palace, J.; Asgari, N.; Klawiter, E.C.; Tenembaum, S.N.; Banwell, B.; Greenberg, B.M.; et al. Use of Advanced Magnetic Resonance Imaging Techniques in Neuromyelitis Optica Spectrum Disorder. JAMA Neurol. 2015, 72, 815–822. [Google Scholar] [CrossRef]
- Pichiecchio, A.; Tavazzi, E.; Poloni, G.; Ponzio, M.; Palesi, F.; Pasin, M.; Piccolo, L.; Tosello, D.; Romani, A.; Bergamaschi, R.; et al. Advanced magnetic resonance imaging of neuromyelitis optica: A multiparametric approach. Mult. Scler. 2012, 18, 817–824. [Google Scholar] [CrossRef]
- Klawiter, E.C.; Xu, J.; Naismith, R.T.; Benzinger, T.L.; Shimony, J.S.; Lancia, S.; Snyder, A.Z.; Trinkaus, K.; Song, S.K.; Cross, A.H. Increased radial diffusivity in spinal cord lesions in neuromyelitis optica compared with multiple sclerosis. Mult. Scler. 2012, 18, 1259–1268. [Google Scholar] [CrossRef] [PubMed]
- Rueda Lopes, F.C.; Doring, T.; Martins, C.; Cabral, F.C.; Malfetano, F.R.; Pereira, V.C.S.R.; Alves-Leon, S.; Gasparetto, E.L. The Role of Demyelination in Neuromyelitis Optica Damage: Diffusion-Tensor MR Imaging Study. Radiology 2012, 263, 235–242. [Google Scholar] [CrossRef]
- Zhao, D.D.; Zhou, H.Y.; Wu, Q.Z.; Liu, J.; Chen, X.Y.; He, D.; He, X.F.; Han, W.J.; Gong, Q.Y. Diffusion tensor imaging characterization of occult brain damage in relapsing neuromyelitis optica using 3.0T magnetic resonance imaging techniques. Neuroimage 2012, 59, 3173–3177. [Google Scholar] [CrossRef]
- Rocca, M.A.; Agosta, F.; Mezzapesa, D.M.; Martinelli, V.; Salvi, F.; Ghezzi, A.; Bergamaschi, R.; Comi, G.; Filippi, M. Magnetization transfer and diffusion tensor MRI show gray matter damage in neuromyelitis optica. Neurology 2004, 62, 476–478. [Google Scholar] [CrossRef]
- Bruijstens, A.L.; Lechner, C.; Flet-Berliac, L.; Deiva, K.; Neuteboom, R.F.; Hemingway, C.; Wassmer, E.; on behalf of the E.U. Paediatric MOG Consortium; Baumann, M.; Bartels, F.; et al. E.U. paediatric MOG consortium consensus: Part 1—Classification of clinical phenotypes of paediatric myelin oligodendrocyte glycoprotein antibody-associated disorders. Eur. J. Paediatr. Neurol. 2020, 29, 2–13. [Google Scholar] [CrossRef] [PubMed]
- de Mol, C.; Wong, Y.; van Pelt, E.; Wokke, B.; Siepman, T.; Neuteboom, R.; Hamann, D.; Hintzen, R. The clinical spectrum and incidence of anti-MOG-associated acquired demyelinating syndromes in children and adults. Mult. Scler. J. 2020, 26, 806–814. [Google Scholar] [CrossRef]
- Song, X.; Ma, J. Clinical characteristics of myelin-oligodendrocyte glycoprotein antibody-positive pediatric autoimmune encephalitis without demyelination: A case series. Front. Immunol. 2022, 13, 1050688. [Google Scholar] [CrossRef]
- Hacohen, Y.; Brownlee, W.; Mankad, K.; Chong, W.K.; Thompson, A.; Lim, M.; Wassmer, E.; Hemingway, C.; Barkhof, F.; Ciccarelli, O. Improved performance of the 2017 McDonald criteria for diagnosis of multiple sclerosis in children in a real-life cohort. Mult. Scler. 2020, 26, 1372–1380. [Google Scholar] [CrossRef]
- Ding, S.; Shi, Z.; Huang, K.; Fan, X.; Li, X.; Zheng, H.; Wang, L.; Yan, Z.; Cai, J. Aberrant white matter microstructure detected by automatic fiber quantification in pediatric myelin oligodendrocyte glycoprotein antibody-associated disease. Mult. Scler. Relat. Disord. 2024, 84, 105483. [Google Scholar] [CrossRef] [PubMed]
- Ren, J.; Yu, F.; Greenberg, B.M. ATP line splitting in association with reduced intracellular magnesium and pH: A brain (31) P MR spectroscopic imaging (MRSI) study of pediatric patients with myelin oligodendrocyte glycoprotein antibody-associated disorders (MOGADs). NMR Biomed. 2023, 36, e4836. [Google Scholar] [CrossRef]
- de Bruijn, M.; Bruijstens, A.L.; Bastiaansen, A.E.M.; van Sonderen, A.; Schreurs, M.W.J.; Sillevis Smitt, P.A.E.; Hintzen, R.Q.; Neuteboom, R.F.; Titulaer, M.J.; Group, C.S. Pediatric autoimmune encephalitis: Recognition and diagnosis. Neurol. Neuroimmunol. Neuroinflamm. 2020, 7, 130–134. [Google Scholar] [CrossRef]
- Ho, A.C.; Chan, S.H.; Chan, E.; Wong, S.S.; Fung, S.T.; Cherk, S.W.; Fung, E.L.; Ma, K.H.; Tsui, K.W.; Yau, E.K.; et al. Anti-N-methyl-d-aspartate receptor encephalitis in children: Incidence and experience in Hong Kong. Brain Dev. 2018, 40, 473–479. [Google Scholar] [CrossRef]
- Cellucci, T.; Van Mater, H.; Graus, F.; Muscal, E.; Gallentine, W.; Klein-Gitelman, M.S.; Benseler, S.M.; Frankovich, J.; Gorman, M.P.; Van Haren, K.; et al. Clinical approach to the diagnosis of autoimmune encephalitis in the pediatric patient. Neurol. Neuroimmunol. Neuroinflamm. 2020, 7, e663. [Google Scholar] [CrossRef]
- Florance, N.R.; Davis, R.L.; Lam, C.; Szperka, C.; Zhou, L.; Ahmad, S.; Campen, C.J.; Moss, H.; Peter, N.; Gleichman, A.J.; et al. Anti–N-methyl-D-aspartate receptor (NMDAR) encephalitis in children and adolescents. Ann. Neurol. 2009, 66, 11–18. [Google Scholar] [CrossRef]
- Armangue, T.; Titulaer, M.J.; Malaga, I.; Bataller, L.; Gabilondo, I.; Graus, F.; Dalmau, J.; Spanish Anti, N.m.-D.A.R.E.W.G. Pediatric anti-N-methyl-D-aspartate receptor encephalitis-clinical analysis and novel findings in a series of 20 patients. J. Pediatr. 2013, 162, 850–856.e852. [Google Scholar] [CrossRef]
- Tatencloux, S.; Chretien, P.; Rogemond, V.; Honnorat, J.; Tardieu, M.; Deiva, K. Intrathecal treatment of anti-N-Methyl-D-aspartate receptor encephalitis in children. Dev. Med. Child. Neurol. 2015, 57, 95–99. [Google Scholar] [CrossRef]
- Barbagallo, M.; Vitaliti, G.; Pavone, P.; Romano, C.; Lubrano, R.; Falsaperla, R. Pediatric Autoimmune Encephalitis. J. Pediatr. Neurosci. 2017, 12, 130–134. [Google Scholar] [CrossRef]
- Li, Y.; Luo, H.; Zheng, Y.; Zhou, L.; Jiang, Y.; Li, X.; Ma, J.; Jiang, L. Pediatric anti-NMDAR encephalitis with demyelination on brain MRI: A single center study. Mult. Scler. Relat. Disord. 2023, 80, 105063. [Google Scholar] [CrossRef]
- Garg, D.; Mohammad, S.S.; Sharma, S. Autoimmune Encephalitis in Children: An Update. Indian. Pediatr. 2020, 57, 662–670. [Google Scholar] [CrossRef]
- Lascano, A.M.; Vargas, M.I.; Lalive, P.H. Diagnostic tools for immune causes of encephalitis. Clin. Microbiol. Infect. 2019, 25, 431–436. [Google Scholar] [CrossRef] [PubMed]
- Gombolay, G.; Brenton, J.N.; Yang, J.H.; Stredny, C.M.; Kammeyer, R.; Otten, C.E.; Vu, N.; Santoro, J.D.; Robles-Lopez, K.; Christiana, A.; et al. MRI Features and Their Association With Outcomes in Children With Anti-NMDA Receptor Encephalitis. Neurol. Neuroimmunol. Neuroinflamm. 2023, 10, e200130. [Google Scholar] [CrossRef]
- Hou, C.; Li, X.; Zeng, Y.; Gao, Y.; Wu, W.; Zhu, H.; Zhang, Y.; Wu, W.; Tian, Y.; Zheng, K.; et al. Brain magnetic resonance imaging as predictors in pediatric anti-N-methyl-D-aspartate receptor encephalitis. Mult. Scler. Relat. Disord. 2024, 82, 105061. [Google Scholar] [CrossRef]
- Kotsenas, A.L.; Watson, R.E.; Pittock, S.J.; Britton, J.W.; Hoye, S.L.; Quek, A.M.; Shin, C.; Klein, C.J. MRI findings in autoimmune voltage-gated potassium channel complex encephalitis with seizures: One potential etiology for mesial temporal sclerosis. AJNR Am. J. Neuroradiol. 2014, 35, 84–89. [Google Scholar] [CrossRef]
- Bani-Sadr, A.; Ruitton-Allinieu, M.-C.; Brisset, J.-C.; Ducray, F.; Joubert, B.; Picard, G.; Cotton, F. Contribution of diffusion-weighted imaging to distinguish herpetic encephalitis from auto-immune encephalitis at an early stage. J. Neuroradiol. 2023, 50, 288–292. [Google Scholar] [CrossRef] [PubMed]
- Finke, C.; Kopp, U.A.; Scheel, M.; Pech, L.M.; Soemmer, C.; Schlichting, J.; Leypoldt, F.; Brandt, A.U.; Wuerfel, J.; Probst, C.; et al. Functional and structural brain changes in anti-N-methyl-D-aspartate receptor encephalitis. Ann. Neurol. 2013, 74, 284–296. [Google Scholar] [CrossRef] [PubMed]
- Cai, L.; Liang, Y.; Huang, H.; Zhou, X.; Zheng, J. Cerebral functional activity and connectivity changes in anti-N-methyl-D-aspartate receptor encephalitis: A resting-state fMRI study. Neuroimage Clin. 2020, 25, 102189. [Google Scholar] [CrossRef] [PubMed]
- Hon, K.L.; Leung, A.K.C.; Torres, A.R. Febrile Infection-Related Epilepsy Syndrome (FIRES): An Overview of Treatment and Recent Patents. Recent. Pat. Inflamm. Allergy Drug Discov. 2018, 12, 128–135. [Google Scholar] [CrossRef]
- Caraballo, R.H.; Reyes, G.; Avaria, M.F.; Buompadre, M.C.; Gonzalez, M.; Fortini, S.; Cersosimo, R. Febrile infection-related epilepsy syndrome: A study of 12 patients. Seizure 2013, 22, 553–559. [Google Scholar] [CrossRef]
- Lee, H.F.; Chi, C.S. Febrile infection-related epilepsy syndrome (FIRES): Therapeutic complications, long-term neurological and neuroimaging follow-up. Seizure 2018, 56, 53–59. [Google Scholar] [CrossRef]
- van Baalen, A. Febrile infection-related epilepsy syndrome in childhood: A clinical review and practical approach. Seizure 2023, 111, 215–222. [Google Scholar] [CrossRef] [PubMed]
- Van Baalen, A.; Häusler, M.; Boor, R.; Rohr, A.; Sperner, J.; Kurlemann, G.; Panzer, A.; Stephani, U.; Kluger, G. Febrile infection–related epilepsy syndrome (FIRES): A nonencephalitic encephalopathy in childhood. Epilepsia 2010, 51, 1323–1328. [Google Scholar] [CrossRef]
- Kramer, U.; Chi, C.S.; Lin, K.L.; Specchio, N.; Sahin, M.; Olson, H.; Nabbout, R.; Kluger, G.; Lin, J.J.; van Baalen, A. Febrile infection-related epilepsy syndrome (FIRES): Pathogenesis, treatment, and outcome: A multicenter study on 77 children. Epilepsia 2011, 52, 1956–1965. [Google Scholar] [CrossRef]
- Rivas-Coppola, M.S.; Shah, N.; Choudhri, A.F.; Morgan, R.; Wheless, J.W. Chronological Evolution of Magnetic Resonance Imaging Findings in Children With Febrile Infection-Related Epilepsy Syndrome. Pediatr. Neurol. 2016, 55, 22–29. [Google Scholar] [CrossRef] [PubMed]
- Culleton, S.; Talenti, G.; Kaliakatsos, M.; Pujar, S.; D’Arco, F. The spectrum of neuroimaging findings in febrile infection-related epilepsy syndrome (FIRES): A literature review. Epilepsia 2019, 60, 585–592. [Google Scholar] [CrossRef] [PubMed]














| Disease | Presentation | Locations of Involvement | Enhancement | Comments |
|---|---|---|---|---|
| Pediatric-onset Multiple Sclerosis | Two distinct events; Relapsing | Periventricular lesions in deep white matter, Juxtacortical (subcortical white matter) lesions, infratentorial lesions that are focal, ovoid-shaped lesions. Spinal cord lesions spanning less than 3 vertebral segments. | Active lesions show enhancement | Small, ovoid lesions perpendicular to long axis of corpus callosum (Dawson’s fingers); Lesions in subcortical U-fibers; Silent lesions; Black holes (T1 hypointense lesions); Variable age of lesions |
| ADEM | Typically, Monophasic following infection or vaccination | Centrum semiovale, thalamus, basal ganglia, cerebellum, brainstem; bilateral involvement; spinal cord involvement | Inconsistent lesion enhancement: if present, most lesions show enhancement | Asymmetric white matter, but symmetric deep gray matter lesions with borders not well-defined; variable sizes, larger than 2 cm; Similar age of lesions |
| ON | Acute Phase | Enlargement, swelling of the optic nerve; >70% bilateral involvement in children < 10 years | Optic nerve enhancement | May also be featured in other diseases |
| Chronic phase | Atrophy of the optic nerve | Absent optic nerve enhancement | ||
| NMOSD | At presentation: >60% unremarkable | N/A | N/A | N/A |
| At presentation: <40% with findings | Corpus callosum, subcortical white matter, periventricular white matter, area postrema, brainstem, near the 3rd and 4th ventricles, thalamus and hypothalamus; Spinal cord transverse myelitis | Cloud-like pattern; Linear, pencil-thin of the ependymal surface of lateral ventricles | Corpus callosum lesions-large, irregularly shaped; Tumefactive, confluent lesions->3 cm | |
| NMOSD with ON | At presentation: <40% with findings | Bilateral, longitudinally extensive posterior optic nerves (optic chiasm, optic tracts); spinal cord—central over three or more vertebral segments | Infraorbital fat enhancement | Initial presentation with ON; relapses with transverse myelitis |
| MOGAD | MOGAD | Corpus callosum, orbital frontal gyrus, thalamus, basal ganglia, cerebellar peduncles, brainstem; Spinal cord -longitudinally extensive transverse myelitis | Less common; 25% spinal | Large, confluent, leukodystrophy-like lesions; curvilinear corpus callosal lesions, lesions with borders not well-defined in young children |
| MOGAD-associated ADEM | Bilateral supratentorial, subcortical white matter, deep white matter, deep gray matter (thalamus) | |||
| MOGAD-associated NMOSD | Periventricular lesions, periaqueductal grey matter, dorsal brainstem | |||
| MOGAD-associated ON | Swelling of the anterior optic nerve, optic nerve sheath; bilateral involvement | |||
| MOGAD-associated AE | Confluent subcortical white matter, cortical and deep grey matter lesions | |||
| AE | At presentation: >60% unremarkable | N/A | N/A | Depends on Antibody |
| At presentation: <40% with findings | NMDAR: all lobes, cortical, subcortical, basal ganglia, infratentorial | Meningeal | ||
| FIRES | Acute phase: 2/3 unremarkable | N/A | N/A | |
| Acute phase: 1/3 with findings | temporal lobe, hippocampi, insular cortex: increased T2 and FLAIR signal | Leptomeningeal | ||
| Chronic phase | ventriculomegaly, mesial temporal lobe, cerebellum: atrophy | |||
Disclaimer/Publisher’s Note: The statements, opinions and data contained in all publications are solely those of the individual author(s) and contributor(s) and not of MDPI and/or the editor(s). MDPI and/or the editor(s) disclaim responsibility for any injury to people or property resulting from any ideas, methods, instructions or products referred to in the content. |
© 2024 by the authors. Licensee MDPI, Basel, Switzerland. This article is an open access article distributed under the terms and conditions of the Creative Commons Attribution (CC BY) license (https://creativecommons.org/licenses/by/4.0/).
Share and Cite
Dunseath, C.; Bova, E.J.; Wilson, E.; Care, M.; Cecil, K.M. Pediatric Neuroimaging of Multiple Sclerosis and Neuroinflammatory Diseases. Tomography 2024, 10, 2100-2127. https://doi.org/10.3390/tomography10120149
Dunseath C, Bova EJ, Wilson E, Care M, Cecil KM. Pediatric Neuroimaging of Multiple Sclerosis and Neuroinflammatory Diseases. Tomography. 2024; 10(12):2100-2127. https://doi.org/10.3390/tomography10120149
Chicago/Turabian StyleDunseath, Chloe, Emma J. Bova, Elizabeth Wilson, Marguerite Care, and Kim M. Cecil. 2024. "Pediatric Neuroimaging of Multiple Sclerosis and Neuroinflammatory Diseases" Tomography 10, no. 12: 2100-2127. https://doi.org/10.3390/tomography10120149
APA StyleDunseath, C., Bova, E. J., Wilson, E., Care, M., & Cecil, K. M. (2024). Pediatric Neuroimaging of Multiple Sclerosis and Neuroinflammatory Diseases. Tomography, 10(12), 2100-2127. https://doi.org/10.3390/tomography10120149

