Role of Cardiovascular Magnetic Resonance in the Management of Atrial Fibrillation: A Review
Abstract
:1. Introduction
2. Pathophysiology of Atrial Myopathy
- Cardiomyocyte dysfunction, related with genetic diseases, lone AF, and diabetes;
- Fibrosis-related disease, associated with aging and smoking;
- Mixed cardiomyocyte and fibroblast dysfunction, which generally happens in heart failure and valvular diseases;
- Non-collagen deposition disease conditions, which encompass various disorders, such as infiltrative cardiomyopathies (amyloidosis, including isolated atrial amyloidosis, granulomatosis, iron overload, microscopic adipose deposition, etc).
3. Role of CMR for AF Ablation Planning
3.1. Pulmonary Veins’ Anatomy
3.2. Left Atrial and Left Atrial Appendage Volume
3.3. Atrial Appendage Morphology and Stroke Risk
- chicken wing: single lobe, bent in the proximal/middle portion;
- cactus: central dominant lobe with secondary lobes extending omnidirectionally;
- windsock: bent dominant lobe, plus secondary or tertiary lobes;
- cauliflower: lack of a central dominant lobe with complex internal characteristics.
3.4. Atrial Appendage Occlusion
3.5. Atrial Thrombus Assessment
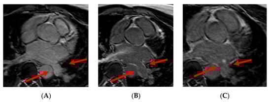
3.6. Esophagus and Esophageal Thermal Injury
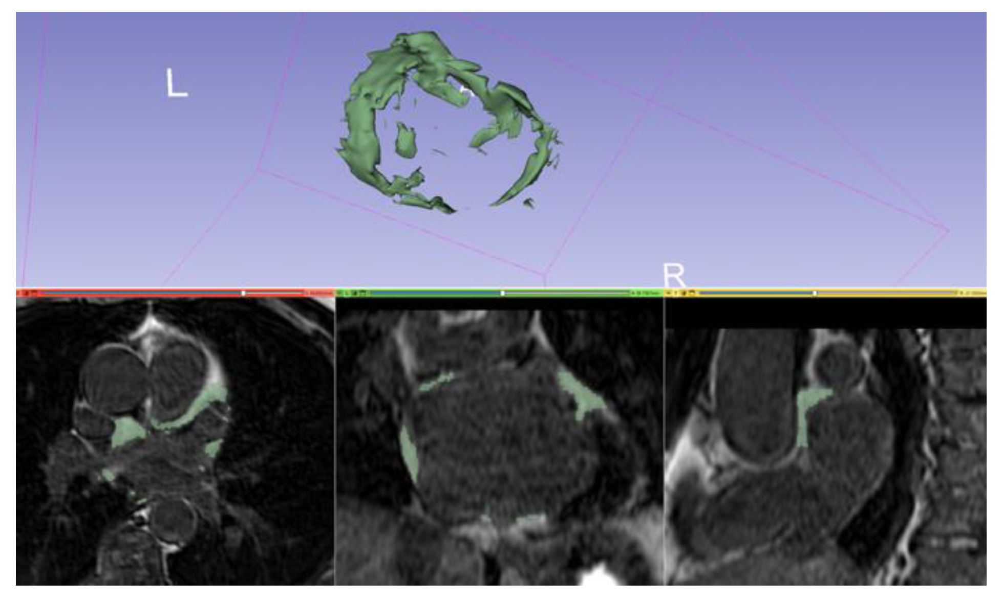
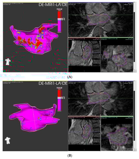
4. Prognostic Value of Atrial LGE
4.1. Preprocedural LGE
- Stage I, 0–5%;
- Stage II, 5–20%;
- Stage III, 20–30%;
- Stage IV, >30%.
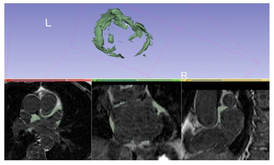
4.2. Procedure Induced Ablation Scars
5. CMR-Guided Ablation
- The DICOM images are imported in a dedicated workstation, and they are segmented;
- During the procedure the LA is electroanatomically mapped using a dedicated catheter;
- The anatomic CMR map is merged with the electroanatomic one to obtain a hybrid map; and
- Finally, the ablation catheter is navigated in the LA using a hybrid map [72].
6. Atrial Function, Stiffness, and Strain
7. Cardiac Adipose Tissue
8. Conclusions
Author Contributions
Funding
Institutional Review Board Statement
Informed Consent Statement
Conflicts of Interest
References
- Du, X.; Dong, J.; Ma, C. Is Atrial Fibrillation a Preventable Disease? J. Am. Coll. Cardiol. 2017, 69, 1968–1982. [Google Scholar] [CrossRef]
- Kavousi, M. Differences in Epidemiology and Risk Factors for Atrial Fibrillation Between Women and Men. Front. Cardiovasc. Med. 2020, 7, 3. [Google Scholar] [CrossRef] [Green Version]
- Haïssaguerre, M.; Jaïs, P.; Shah, D.C.; Takahashi, A.; Hocini, M.; Quiniou, G.; Garrigue, S.; le Mouroux, A.; le Métayer, P.; Clémenty, J. Spontaneous Initiation of Atrial Fibrill Ation by Ec Topic Beats Originating in the Pulmonary Veins. N. Engl. J. Med. 1998, 339, 659–666. [Google Scholar] [CrossRef] [Green Version]
- Saglietto, A.; Gaita, F.; de Ponti, R.; de Ferrari, G.M.; Anselmino, M. Catheter Ablation vs. Anti-Arrhythmic Drugs as First-Line Treatment in Symptomatic Paroxysmal Atrial Fibrillation: A Systematic Review and Meta-Analysis of Randomized Clinical Trials. Front. Cardiovasc. Med. 2021, 8, 418. [Google Scholar] [CrossRef]
- Lozano-Velasco, E.; Franco, D.; Aranega, A.; Daimi, H. Genetics and Epigenetics of Atrial Fibrillation. Int. J. Mol. Sci. 2020, 21, 5717. [Google Scholar] [CrossRef]
- Hindricks, G.; Potpara, T.; Dagres, N.; Bax, J.J.; Boriani, G.; Dan, G.A.; Fauchier, L.; Kalman, J.M.; Lane, D.A.; Lettino, M.; et al. 2020 ESC Guidelines for the Diagnosis and Management of Atrial Fibrillation Developed in Collaboration with the European Association for Cardio-Thoracic Surgery (EACTS). Eur. Heart J. 2021, 42, 373–498. [Google Scholar] [CrossRef]
- Wijesurendra, R.S.; Casadei, B. Mechanisms of Atrial Fibrillation. Heart 2019, 105, 1860–1867. [Google Scholar] [CrossRef]
- Chen, S.-A.; Hsieh, M.-H.; Tai, C.-T.; Tsai, C.-F.; Prakash, V.S.; Yu, W.-C.; Hsu, T.-L.; Ding, Y.-A.; Chang, M.-S. Initiation of Atrial Fibrillation by Ectopic Beats Originating From the Pulmonary Veins Electrophysiological Characteristics, Pharmacological Responses, and Effects of Radiofrequency Ablation. Circulation 1999, 100, 1879–1886. [Google Scholar] [CrossRef] [Green Version]
- Goette, A.; Kalman, J.M.; Aguinaga, L.; Akar, J.; Cabrera, J.A.; Chen, S.A.; Chugh, S.S.; Corradi, D.; D’Avila, A.; Dobrev, D.; et al. EHRA/HRS/APHRS/SOLAECE Expert Consensus on Atrial Cardiomyopathies: Definition, Characterization, and Clinical Implication. Europace 2016, 18, 1455–1490. [Google Scholar] [CrossRef]
- Baman, J.R.; Cox, J.L.; McCarthy, P.M.; Kim, D.; Patel, R.B.; Passman, R.S.; Wilcox, J.E. Atrial Fibrillation and Atrial Cardiomyopathies. J. Cardiovasc. Electrophysiol. 2021, 32, 2845–2853. [Google Scholar] [CrossRef]
- Ruwald, M.H.; Xu Parks, X.; Moss, A.J.; Zareba, W.; Baman, J.; McNitt, S.; Kanters, J.K.; Shimizu, W.; Wilde, A.A.; Jons, C.; et al. Stop-Codon and C-Terminal Nonsense Mutations Are Associated with a Lower Risk of Cardiac Events in Patients with Long QT Syndrome Type 1. Heart Rhythm 2016, 13, 122–131. [Google Scholar] [CrossRef] [Green Version]
- Herman, D.S.; Lam, L.; Taylor, M.R.G.; Wang, L.; Teekakirikul, P.; Christodoulou, D.; Conner, L.; DePalma, S.R.; McDonough, B.; Sparks, E.; et al. Truncations of Titin Causing Dilated Cardiomyopathy. N. Engl. J. Med. 2012, 366, 619–628. [Google Scholar] [CrossRef] [Green Version]
- Kumar, S.; Baldinger, S.H.; Gandjbakhch, E.; Maury, P.; Sellal, J.-M.; Androulakis, A.F.; Waintraub, X.; Charron, P.; Rollin, A.; Richard, P.; et al. Long-Term Arrhythmic and Nonarrhythmic Outcomes of Lamin A/C Mutation Carriers. J. Am. Coll. Cardiol. 2016, 68, 2299–2300. [Google Scholar] [CrossRef]
- John, R.M.; Kumar, S. Sinus Node and Atrial Arrhythmias. Circulation 2016, 133, 1892–1900. [Google Scholar] [CrossRef]
- Ho, S.Y.; Cabrera, A.J.; Sanchez-Quintana, D. Left Atrial Anatomy Revisited. Circ. Arrhythmia Electrophysiol. 2011, 5, 220–228. [Google Scholar] [CrossRef] [Green Version]
- Anselmino, M.; Blandino, A.; Beninati, S.; Rovera, C.; Boffano, C.; Belletti, M.; Caponi, D.; Scaglione, M.; Cesarani, F.; Gaita, F. Morphologic Analysis of Left Atrial Anatomy by Magnetic Resonance Angiography in Patients with Atrial Fibrillation: A Large Single Center Experience. J. Cardiovasc. Electrophysiol. 2011, 22, 1–7. [Google Scholar] [CrossRef]
- Kato, R.; Lickfett, L.; Meininger, G.; Dickfeld, T.; Wu, R.; Juang, G.; Angkeow, P.; LaCorte, J.; Bluemke, D.; Berger, R.; et al. Pulmonary Vein Anatomy in Patients Undergoing Catheter Ablation of Atrial Fibrillation: Lessons Learned by Use of Magnetic Resonance Imaging. Circulation 2003, 107, 2004–2010. [Google Scholar] [CrossRef]
- Porres, D.V.; Morenza, Ó.P.; Pallisa, E.; Roque, A.; Andreu, J.; Martínez, M. Learning from the Pulmonary Veins. Radiographics 2013, 33, 999–1023. [Google Scholar] [CrossRef]
- Dyer, K.T.; Hlavacek, A.M.; Meinel, F.G.; de Cecco, C.N.; McQuiston, A.D.; Schoepf, U.J.; Pietris, N.P. Imaging in Congenital Pulmonary Vein Anomalies: The Role of Computed Tomography. Pediatr. Radiol. 2014, 44, 1158–1168. [Google Scholar] [CrossRef]
- Saito, T.; Waki, K.; Becker, A.E. Left Atrial Myocardial Extension onto Pulmonary Veins in Humans: Anatomic Observations Relevant for Atrial Arrhythmias. J. Cardiovasc. Electrophysiol. 2000, 11, 888–894. [Google Scholar] [CrossRef]
- Agner, B.F.R.; Kühl, J.T.; Linde, J.J.; Kofoed, K.F.; Åkeson, P.; Rasmussen, B.V.; Jensen, G.B.; Dixen, U. Assessment of Left Atrial Volume and Function in Patients with Permanent Atrial Fibrillation: Comparison of Cardiac Magnetic Resonance Imaging, 320-Slice Multi-Detector Computed Tomography, and Transthoracic Echocardiography. Eur. Heart J. Cardiovasc. Imaging 2014, 15, 532–540. [Google Scholar] [CrossRef] [PubMed] [Green Version]
- Jeong, W.K.; Choi, J.H.; Son, J.P.; Lee, S.; Lee, M.J.; Choe, Y.H.; Bang, O.Y. Volume and Morphology of Left Atrial Appendage as Determinants of Stroke Subtype in Patients with Atrial Fibrillation. Heart Rhythm 2016, 13, 820–827. [Google Scholar] [CrossRef] [PubMed]
- Bajraktari, G.; Bytyçi, I.; Henein, M.Y. Left Atrial Structure and Function Predictors of Recurrent Fibrillation after Catheter Ablation: A Systematic Review and Meta-Analysis. Clin. Physiol. Funct. Imaging 2020, 40, 1–13. [Google Scholar] [CrossRef] [PubMed]
- Pinto Teixeira, P.; Martins Oliveira, M.; Ramos, R.; Rio, P.; Silva Cunha, P.; Delgado, A.S.; Pimenta, R.; Cruz Ferreira, R. Left Atrial Appendage Volume as a New Predictor of Atrial Fibrillation Recurrence after Catheter Ablation. J. Interv. Card. Electrophysiol. 2017, 49, 165–171. [Google Scholar] [CrossRef] [PubMed] [Green Version]
- Bisbal, F.; Alarcón, F.; Ferrero-De-Loma-Osorio, A.; González-Ferrer, J.J.; Alonso, C.; Pachón, M.; Tizón, H.; Cabanas-Grandío, P.; Sanchez, M.; Benito, E.; et al. Left Atrial Geometry and Outcome of Atrial Fibrillation Ablation: Results from the Multicentre LAGO-AF Study. Eur. Heart J. Cardiovasc. Imaging 2018, 19, 1002–1009. [Google Scholar] [CrossRef]
- Marchese, P.; Bursi, F.; Delle Donne, G.; Malavasi, V.; Casali, E.; Barbieri, A.; Melandri, F.; Modena, M.G. Indexed Left Atrial Volume Predicts the Recurrence of Non-Valvular Atrial Fibrillation after Successful Cardioversion. Eur. J. Echocardiogr. 2011, 12, 214–221. [Google Scholar] [CrossRef] [Green Version]
- Peters, D.C.; Lamy, J.; Sinusas, A.J.; Baldassarre, L.A. Left Atrial Evaluation by Cardiovascular Magnetic Resonance: Sensitive and Unique Biomarkers. Eur. Heart J. Cardiovasc. Imaging 2022, 23, 14–30. [Google Scholar] [CrossRef]
- Abecasis, J.; Dourado, R.; Ferreira, A.; Saraiva, C.; Cavaco, D.; Santos, K.R.; Morgado, F.B.; Adragão, P.; Silva, A. Left Atrial Volume Calculated by Multi-Detector Computed Tomography May Predict Successful Pulmonary Vein Isolation in Catheter Ablation of Atrial Fibrillation. Europace 2009, 11, 1289–1294. [Google Scholar] [CrossRef]
- Guglielmo, M.; Baggiano, A.; Muscogiuri, G.; Fusini, L.; Andreini, D.; Mushtaq, S.; Conte, E.; Annoni, A.; Formenti, A.; Mancini, E.M.; et al. Multimodality Imaging of Left Atrium in Patients with Atrial Fibrillation. J. Cardiovasc. Comput. Tomogr. 2019, 13, 340–346. [Google Scholar] [CrossRef]
- Simon, J.; el Mahdiui, M.; Smit, J.M.; Száraz, L.; van Rosendael, A.R.; Herczeg, S.; Zsarnóczay, E.; Nagy, A.I.; Kolossváry, M.; Szilveszter, B.; et al. Left Atrial Appendage Size Is a Marker of Atrial Fibrillation Recurrence after Radiofrequency Catheter Ablation in Patients with Persistent Atrial Fibrillation. Clin. Cardiol. 2022, 45, 273–281. [Google Scholar] [CrossRef]
- di Biase, L.; Santangeli, P.; Anselmino, M.; Mohanty, P.; Salvetti, I.; Gili, S.; Horton, R.; Sanchez, J.E.; Bai, R.; Mohanty, S.; et al. Does the Left Atrial Appendage Morphology Correlate with the Risk of Stroke in Patients with Atrial Fibrillation? Results from a Multicenter Study. J. Am. Coll. Cardiol. 2012, 60, 531–538. [Google Scholar] [CrossRef] [PubMed]
- Wang, Y.; di Biase, L.; Horton, R.P.; Nguyen, T.; Morhanty, P.; Natale, A. Left Atrial Appendage Studied by Computed Tomography to Help Planning for Appendage Closure Device Placement. J. Cardiovasc. Electrophysiol. 2010, 21, 973–982. [Google Scholar] [CrossRef] [PubMed]
- Anselmino, M.; Scaglione, M.; di Biase, L.; Gili, S.; Santangeli, P.; Corsinovi, L.; Pianelli, M.; Cesarani, F.; Faletti, R.; Righi, D.; et al. Left Atrial Appendage Morphology and Silent Cerebral Ischemia in Patients with Atrial Fibrillation. Heart Rhythm 2014, 11, 2–7. [Google Scholar] [CrossRef] [PubMed]
- Adukauskaite, A.; Barbieri, F.; Senoner, T.; Plank, F.; Knoflach, M.; Boehme, C.; Hintringer, F.; Mueller, S.; Bauer, A.; Feuchtner, G.; et al. Left Atrial Appendage Morphology and Left Atrial Wall Thickness Are Associated with Cardio-Embolic Stroke. J. Clin. Med. 2020, 9, 3944. [Google Scholar] [CrossRef]
- Beigel, R.; Wunderlich, N.C.; Siew, Z.; Ho, Y.; Arsanjani, R.; Siegel, R.J. The Left Atrial Appendage: Anatomy, Function, and Noninvasive Evaluation. JACC Cardiovasc. Imaging 2014, 7, 1251–1265. [Google Scholar] [CrossRef] [Green Version]
- Kitkungvan, D.; Nabi, F.; Ghosn, M.G.; Dave, A.S.; Quinones, M.; Zoghbi, W.A.; Valderrabano, M.; Shah, D.J. Detection of LA and LAA Thrombus by CMR in Patients Referred for Pulmonary Vein Isolation. JACC Cardiovasc. Imaging 2016, 9, 809–818. [Google Scholar] [CrossRef] [Green Version]
- Marashly, Q.; Gopinath, C.; Baher, A.; Acharya, M.; Kheirkhahan, M.; Hardisty, B.; Aljuaid, M.; Tawhari, I.; Ibrahim, M.; Morris, A.K.; et al. Late Gadolinium Enhancement Magnetic Resonance Imaging Evaluation of Post– Atrial Fibrillation Ablation Esophageal Thermal Injury across the Spectrum of Severity. J. Am. Heart Assoc. 2021, 10, e018924. [Google Scholar] [CrossRef]
- Houmsse, M.; Daoud, E.G. Protection of the Esophagus during Catheter Ablation of Atrial Fibrillation. J. Cardiovasc. Electrophysiol. 2021, 32, 2824–2829. [Google Scholar] [CrossRef]
- Kaneshiro, T.; Takeishi, Y. Esophageal Thermal Injury in Catheter Ablation of Atrial Fibrillation. Fukushima J. Med. Sci. 2021, 67, 95–101. [Google Scholar] [CrossRef]
- Faletti, R.; Rapellino, A.; Barisone, F.; Anselmino, M.; Ferraris, F.; Fonio, P.; Gaita, F.; Gandini, G. Use of Oral Gadobenate Dimeglumine to Visualise the Oesophagus during Magnetic Resonance Angiography in Patients with Atrial Fibrillation Prior to Catheter Ablation. J. Cardiovasc. Magn. Reson. 2014, 16, 41. [Google Scholar] [CrossRef]
- Faletti, R.; Gatti, M.; di Chio, A.; Fronda, M.; Anselmino, M.; Ferraris, F.; Gaita, F.; Fonio, P. Concentrated Pineapple Juice for Visualisation of the Oesophagus during Magnetic Resonance Angiography before Atrial Fibrillation Radiofrequency Catheter Ablation. Eur. Radiol. Exp. 2018, 2, 39. [Google Scholar] [CrossRef]
- Yamashita, K.; Quang, C.; Schroeder, J.D.; DiBella, E.; Han, F.; MacLeod, R.; Dosdall, D.J.; Ranjan, R. Distance between the Left Atrium and the Vertebral Body Is Predictive of Esophageal Movement in Serial MR Imaging. J. Interv. Card. Electrophysiol. 2018, 52, 149–156. [Google Scholar] [CrossRef]
- Chelu, M.G.; Morris, A.K.; Kholmovski, E.G.; King, J.B.; Kaur, G.; Silver, M.A.; Cates, J.E.; Han, F.T.; Marrouche, N.F. Durable Lesion Formation While Avoiding Esophageal Injury during Ablation of Atrial Fibrillation: Lessons Learned from Late Gadolinium MR Imaging. J. Cardiovasc. Electrophysiol. 2018, 29, 385–392. [Google Scholar] [CrossRef]
- Hinderer, S.; Schenke-Layland, K. Cardiac Fibrosis—A Short Review of Causes and Therapeutic Strategies. Adv. Drug Deliv. Rev. 2019, 146, 77–82. [Google Scholar] [CrossRef]
- Mahnkopf, C.; Kwon, Y.; Akoum, N. Atrial Fibrosis, Ischaemic Stroke and Atrial Fibrillation. Arrhythm Electrophysiol. Rev. 2021, 10, 225–229. [Google Scholar] [CrossRef]
- Chelu, M.G.; King, J.B.; Kholmovski, E.G.; Ma, J.; Gal, P.; Marashly, Q.; Aljuaid, M.A.; Kaur, G.; Silver, M.A.; Johnson, K.A.; et al. Atrial Fibrosis by Late Gadolinium Enhancement Magnetic Resonance Imaging and Catheter Ablation of Atrial Fibrillation: 5-Year Follow-up Data. J. Am. Heart Assoc. 2018, 7, e006313. [Google Scholar] [CrossRef] [Green Version]
- Marrouche, N.F.; Wilber, D.; Hindricks, G.; Jais, P.; Akoum, N.; Marchlinski, F.; Kholmovski, E.; Burgon, N.; Hu, N.; Mont, L.; et al. Association of Atrial Tissue Fibrosis Identified by Delayed Enhancement MRI and Atrial Fibrillation Catheter Ablation: The DECAAF Study. JAMA J. Am. Med. Assoc. 2014, 311, 498–506. [Google Scholar] [CrossRef]
- McGann, C.; Akoum, N.; Patel, A.; Kholmovski, E.; Revelo, P.; Damal, K.; Wilson, B.; Cates, J.; Harrison, A.; Ranjan, R.; et al. Atrial Fibrillation Ablation Outcome Is Predicted by Left Atrial Remodeling on MRI. Circ. Arrhythm Electrophysiol. 2014, 7, 23–30. [Google Scholar] [CrossRef] [Green Version]
- Çöteli, C.; Hazirolan, T.; Aytemir, K.; Erdemir, A.G.; Bakir, E.N.; Canpolat, U.; Yorgun, H.; Ateş, A.H.; Kaya, E.B.; Dikmen, Z.G.; et al. Evaluation of Atrial Fibrosis in Atrial Fibrillation Patients with Three Different Methods. Turk. J. Med. Sci. 2022, 52, 175–187. [Google Scholar] [CrossRef]
- Kuruvilla, S.; Adenaw, N.; Katwal, A.B.; Lipinski, M.J.; Kramer, C.M.; Salerno, M. Late Gadolinium Enhancement on Cardiac Magnetic Resonance Predicts Adverse Cardiovascular Outcomes in Nonischemic Cardiomyopathy: A Systematic Review and Meta-Analysis. Circ. Cardiovasc. Imaging 2014, 7, 250–257. [Google Scholar] [CrossRef]
- Marrouche, N.F.; Wazni, O.; McGann, C.; Greene, T.; Dean, J.M.; Dagher, L.; Kholmovski, E.; Mansour, M.; Marchlinski, F.; Wilber, D.; et al. Effect of MRI-Guided Fibrosis Ablation vs. Conventional Catheter Ablation on Atrial Arrhythmia Recurrence in Patients With Persistent Atrial Fibrillation: The DECAAF II Randomized Clinical Trial. JAMA 2022, 327, 2296–2305. [Google Scholar] [CrossRef] [PubMed]
- Peters, D.C.; Wylie, J.V.; Hauser, T.H.; Kissinger, K.V.; Botnar, R.M.; Essebag, V.; Josephson, M.E.; Manning, W.J. Detection of Pulmonary Vein and Left Atrial Scar after Catheter Ablation with Three-Dimensional Navigator-Gated Delayed Enhancement MR Imaging: Initial Experience. Radiology 2007, 243, 690–695. [Google Scholar] [CrossRef] [PubMed]
- Khurram, I.M.; Beinart, R.; Zipunnikov, V.; Dewire, J.; Yarmohammadi, H.; Sasaki, T.; Spragg, D.D.; Marine, J.E.; Berger, R.D.; Halperin, H.R.; et al. Magnetic Resonance Image Intensity Ratio, a Normalized Measure to Enable Interpatient Comparability of Left Atrial Fibrosis. Heart Rhythm 2014, 11, 85–92. [Google Scholar] [CrossRef] [Green Version]
- Cochet, H.; Dubois, R.; Yamashita, S.; al Jefairi, N.; Berte, B.; Sellal, J.-M.; Hooks, D.; Frontera, A.; Amraoui, S.; Zemoura, A.; et al. Relationship Between Fibrosis Detected on Late Gadolinium-Enhanced Cardiac Magnetic Resonance and Re-Entrant Activity Assessed With Electrocardiographic Imaging in Human Persistent Atrial Fibrillation. JACC Clin. Electrophysiol. 2017, 4, 17–29. [Google Scholar] [CrossRef]
- Benito, E.M.; Carlosena-Remirez, A.; Guasch, E.; Prat-González, S.; Perea, R.J.; Figueras, R.; Borràs, R.; Andreu, D.; Arbelo, E.; Tolosana, J.M.; et al. Left Atrial Fibrosis Quantification by Late Gadolinium-Enhanced Magnetic Resonance: A New Method to Standardize the Thresholds for Reproducibility. Europace 2017, 19, 1272–1279. [Google Scholar] [CrossRef] [PubMed]
- Sramko, M.; Peichl, P.; Wichterle, D.; Tintera, J.; Weichet, J.; Maxian, R.; Pasnisinova, S.; Kockova, R.; Kautzner, J. Clinical Value of Assessment of Left Atrial Late Gadolinium Enhancement in Patients Undergoing Ablation of Atrial Fibrillation. Int. J. Cardiol. 2015, 179, 351–357. [Google Scholar] [CrossRef]
- Hwang, S.H.; Oh, Y.W.; Lee, D.I.; Shim, J.; Park, S.W.; Kim, Y.H. Evaluation of Quantification Methods for Left Arial Late Gadolinium Enhancement Based on Different References in Patients with Atrial Fibrillation. Int. J. Cardiovasc. Imaging 2015, 31, 91–101. [Google Scholar] [CrossRef]
- Calkins, H.; Kuck, K.H.; Cappato, R.; Brugada, J.; John Camm, A.; Chen, S.A.; Crijns, H.J.G.; Damiano, R.J.; Davies, D.W.; DiMarco, J.; et al. 2012 HRS/EHRA/ECAS Expert Consensus Statement on Catheter and Surgical Ablation of Atrial Fibrillation: Recommendations for Patient Selection, Procedural Techniques, Patient Management and Follow-up, Definitions, Endpoints, and Research Trial Design. J. Interv. Card. Electrophysiol. 2012, 33, 171–257. [Google Scholar] [CrossRef]
- Khurram, I.M.; Catanzaro, J.N.; Zimmerman, S.; Zipunnikov, V.; Berger, R.D.; Cheng, A.; Sinha, S.; Dewire, J.; Marine, J.; Spragg, D.; et al. MRI Evaluation of Radiofrequency, Cryothermal, and Laser Left Atrial Lesion Formation in Patients with Atrial Fibrillation. PACE Pacing Clin. Electrophysiol. 2015, 38, 1317–1324. [Google Scholar] [CrossRef] [Green Version]
- Schmidt, B.; Metzner, A.; Chun, K.R.J.; Leftheriotis, D.; Yoshiga, Y.; Fuernkranz, A.; Neven, K.; Tilz, R.R.; Wissner, E.; Ouyang, F.; et al. Feasibility of Circumferential Pulmonary Vein Isolation Using a Novel Endoscopic Ablation System. Circ. Arrhythm Electrophysiol. 2010, 3, 481–488. [Google Scholar] [CrossRef]
- Calkins, H.; Brugada, J.; Packer, D.L.; Cappato, R.; Chen, S.A.; Crijns, H.J.G.; Damiano, R.J.; Davies, D.W.; Haines, D.E.; Haissaguerre, M.; et al. HRS/EHRA/ECAS Expert Consensus Statement on Catheter and Surgical Ablation of Atrial Fibrillation: Recommendations for Personnel, Policy, Procedures and Follow-up. A Report of the Heart Rhythm Society (HRS) Task Force on Catheter and Surgical Ablation of Atrial Fibrillation. Europace 2007, 9, 335–379. [Google Scholar] [CrossRef] [PubMed]
- Badger, T.J.; Daccarett, M.; Akoum, N.W.; Adjei-Poku, Y.A.; Burgon, N.S.; Haslam, T.S.; Kalvaitis, S.; Kuppahally, S.; Vergara, G.; McMullen, L.; et al. Evaluation of Left Atrial Lesions after Initial and Repeat Atrial Fibrillation Ablation; Lessons Learned from Delayed-Enhancement MRI in Repeat Ablation Procedures. Circ. Arrhythm Electrophysiol. 2010, 3, 249–259. [Google Scholar] [CrossRef] [PubMed] [Green Version]
- Parmar, B.R.; Jarrett, T.R.; Kholmovski, E.G.; Hu, N.; Parker, D.; MacLeod, R.S.; Marrouche, N.F.; Ranjan, R. Poor Scar Formation after Ablation Is Associated with Atrial Fibrillation Recurrence. J. Interv. Card. Electrophysiol. 2015, 44, 247–256. [Google Scholar] [CrossRef] [PubMed]
- Akoum, N.; Wilber, D.; Hindricks, G.; Jais, P.; Cates, J.; Marchlinski, F.; Kholmovski, E.; Burgon, N.; Hu, N.; Mont, L.; et al. MRI Assessment of Ablation-Induced Scarring in Atrial Fibrillation: Analysis from the DECAAF Study. J. Cardiovasc. Electrophysiol. 2015, 26, 473–480. [Google Scholar] [CrossRef]
- Chugh, A.; Oral, H.; Lemola, K.; Hall, B.; Cheung, P.; Good, E.; Tamirisa, K.; Han, J.; Bogun, F.; Pelosi, F.; et al. Prevalence, Mechanisms, and Clinical Significance of Macroreentrant Atrial Tachycardia during and Following Left Atrial Ablation for Atrial Fibrillation. Heart Rhythm 2005, 2, 464–471. [Google Scholar] [CrossRef] [PubMed]
- Nademanee, K.; McKenzie, J.; Kosar, E.; Schwab, M.; Sunsaneewitayakul, B.; Vasavakul, T.; Khunnawat, C.; Ngarmukos, T. A New Approach for Catheter Ablation of Atrial Fibrillation: Mapping of the Electrophysiologic Substrate. J. Am. Coll. Cardiol. 2004, 43, 2044–2053. [Google Scholar] [CrossRef] [Green Version]
- Haïssaguerre, M.; Hocini, M.; Sanders, P.; Sacher, F.; Rotter, M.; Takahashi, Y.; Rostock, T.; Hsu, L.F.; Bordachar, P.; Reuter, S.; et al. Catheter Ablation of Long-Lasting Persistent Atrial Fibrillation: Clinical Outcome and Mechanisms of Subsequent Arrhythmias. J. Cardiovasc. Electrophysiol. 2005, 16, 1138–1147. [Google Scholar] [CrossRef]
- Fochler, F.; Yamaguchi, T.; Kheirkahan, M.; Kholmovski, E.G.; Morris, A.K.; Marrouche, N.F. Late Gadolinium Enhancement Magnetic Resonance Imaging Guided Treatment of Post-Atrial Fibrillation Ablation Recurrent Arrhythmia. Circ. Arrhythm Electrophysiol. 2019, 12, e007174. [Google Scholar] [CrossRef]
- Anselmino, M.; Sillano, D.; Casolati, D.; Ferraris, F.; Scaglione, M.; Gaita, F. A New Electrophysiology Era: Zero Fluoroscopy. J. Cardiovasc. Med. 2013, 14, 221–227. [Google Scholar] [CrossRef]
- Gaita, F.; Guerra, P.G.; Battaglia, A.; Anselmino, M. The Dream of Near-Zero X-Rays Ablation Comes True. Eur. Heart J. 2016, 37, 2749–2755. [Google Scholar] [CrossRef]
- Troisi, F.; Guida, P.; Quadrini, F.; di Monaco, A.; Vitulano, N.; Caruso, R.; Orfino, R.; Cecere, G.; Anselmino, M.; Grimaldi, M. Zero Fluoroscopy Arrhythmias Catheter Ablation: A Trend Toward More Frequent Practice in a High-Volume Center. Front. Cardiovasc. Med. 2022, 9, 804424. [Google Scholar] [CrossRef] [PubMed]
- Njeim, M.; Desjardins, B.; Bogun, F. Multimodality Imaging for Guiding EP Ablation Procedures. Imaging 2016, 9, 873–886. [Google Scholar] [CrossRef] [PubMed]
- Harrison, J.L.; Sohns, C.; Linton, N.W.; Karim, R.; Williams, S.E.; Rhode, K.S.; Gill, J.; Cooklin, M.; Rinaldi, C.A.; Wright, M.; et al. Repeat Left Atrial Catheter Ablation. Circ. Arrhythm Electrophysiol. 2015, 8, 270–278. [Google Scholar] [CrossRef] [PubMed] [Green Version]
- Bisbal, F.; Guiu, E.; Cabanas-Grandío, P.; Berruezo, A.; Prat-Gonzalez, S.; Vidal, B.; Garrido, C.; Andreu, D.; Fernandez-Armenta, J.; María Tolosana, J.; et al. CMR-Guided Approach to Localize and Ablate Gaps in Repeat AF Ablation Procedure. JACC Cardiovasc. Imaging 2014, 7, 653–663. [Google Scholar] [CrossRef] [Green Version]
- Susil, R.C.; Yeung, C.J.; Halperin, H.R.; Lardo, A.C.; Atalar, E. Multifunctional Interventional Devices for MRI: A Combined Electrophysiology/MRI Catheter. Magn. Reson. Med. 2002, 47, 594–600. [Google Scholar] [CrossRef]
- Ashikaga, H.; Sasano, T.; Dong, J.; Zviman, M.M.; Evers, R.; Hopenfeld, B.; Castro, V.; Helm, R.H.; Dickfeld, T.; Nazarian, S.; et al. Magnetic Resonance-Based Anatomical Analysis of Scar-Related Ventricular Tachycardia: Implications for Catheter Ablation. Circ. Res. 2007, 101, 939–947. [Google Scholar] [CrossRef] [Green Version]
- Oduneye, S.O.; Pop, M.; Shurrab, M.; Biswas, L.; Ramanan, V.; Barry, J.; Crystal, E.; Wright, G.A. Distribution of Abnormal Potentials in Chronic Myocardial Infarction Using a Real Time Magnetic Resonance Guided Electrophysiology System. J. Cardiovasc. Magn. Reson. 2015, 17, 1–9. [Google Scholar] [CrossRef] [Green Version]
- Nazarian, S.; Kolandaivelu, A.; Zviman, M.M.; Meininger, G.R.; Kato, R.; Susil, R.C.; Roguin, A.; Dickfeld, T.L.; Ashikaga, H.; Calkins, H.; et al. Feasibility of Real-Time Magnetic Resonance Imaging for Catheter Guidance in Electrophysiology Studies. Circulation 2008, 118, 223–229. [Google Scholar] [CrossRef]
- Hilbert, S.; Sommer, P.; Gutberlet, M.; Gaspar, T.; Foldyna, B.; Piorkowski, C.; Weiss, S.; Lloyd, T.; Schnackenburg, B.; Krueger, S.; et al. Real-Time Magnetic Resonance-Guided Ablation of Typical Right Atrial Flutter Using a Combination of Active Catheter Tracking and Passive Catheter Visualization in Man: Initial Results from a Consecutive Patient Series. Europace 2016, 18, 572–577. [Google Scholar] [CrossRef]
- Krahn, P.R.P.; Singh, S.M.; Ramanan, V.; Biswas, L.; Yak, N.; Anderson, K.J.T.; Barry, J.; Pop, M.; Wright, G.A. Cardiovascular Magnetic Resonance Guided Ablation and Intra-Procedural Visualization of Evolving Radiofrequency Lesions in the Left Ventricle. J. Cardiovasc. Magn. Reson. 2018, 20, 20. [Google Scholar] [CrossRef]
- Wu, T.C. Left Atrial Stiffness, a Marker of Atrial Cardiomyopathy, and Atrial Fibrillation—Relationships and Predictors for Procedure Success after Catheter Ablation. Arq. Bras. Cardiol. 2019, 112, 509–510. [Google Scholar] [CrossRef] [PubMed]
- Habibi, M.; Zareian, M.; Ambale Venkatesh, B.; Samiei, S.; Imai, M.; Wu, C.; Launer, L.J.; Shea, S.; Gottesman, R.F.; Heckbert, S.R.; et al. Left Atrial Mechanical Function and Incident Ischemic Cerebrovascular Events Independent of AF: Insights From the MESA Study. JACC Cardiovasc. Imaging 2019, 12, 2417–2427. [Google Scholar] [CrossRef] [PubMed]
- Correia, E.T.D.O.; Barbetta, L.M.D.S.; da Silva, O.M.P.; Mesquita, E.T. Left Atrial Stiffness: A Predictor of Atrial Fibrillation Recurrence after Radiofrequency Catheter Ablation-a Systematic Review and Meta-Analysis. Arq. Bras. Cardiol. 2019, 112, 501–508. [Google Scholar] [CrossRef]
- Marino, P.N.; Degiovanni, A.; Baduena, L.; Occhetta, E.; Dell’Era, G.; Erdei, T.; Fraser, A.G. Non-Invasively Estimated Left Atrial Stiffness Is Associated with Short-Term Recurrence of Atrial Fibrillation after Electrical Cardioversion. J. Cardiol. 2017, 69, 731–738. [Google Scholar] [CrossRef] [PubMed] [Green Version]
- Khurram, I.M.; Maqbool, F.; Berger, R.D.; Marine, J.E.; Spragg, D.D.; Ashikaga, H.; Zipunnikov, V.; Kass, D.A.; Calkins, H.; Nazarian, S.; et al. Association between Left Atrial Stiffness Index and Atrial Fibrillation Recurrence in Patients Undergoing Left Atrial Ablation. Circ. Arrhythm Electrophysiol. 2016, 9, e003163. [Google Scholar] [CrossRef]
- Abdel Rahman, H.; Hassan, A.K.M.; Abosetta, A.H.S.; Kishk, Y.T. Increased Left Atrial Stiffness in Patients with Atrial Fibrillation Detected by Left Atrial Speckle Tracking Echocardiography. Egypt. Heart J. 2014, 67, 217–223. [Google Scholar] [CrossRef] [Green Version]
- Peters, D.C.; Duncan, J.S.; Grunseich, K.; Marieb, M.A.; Cornfeld, D.; Sinusas, A.J.; Chelikani, S. CMR-Verified Lower LA Strain in the Presence of Regional Atrial Fibrosis in Atrial Fibrillation. JACC Cardiovasc. Imaging 2017, 10, 207–208. [Google Scholar] [CrossRef]
- Park, J.J.; Park, J.H.; Hwang, I.C.; Park, J.B.; Cho, G.Y.; Marwick, T.H. Left Atrial Strain as a Predictor of New-Onset Atrial Fibrillation in Patients With Heart Failure. JACC Cardiovasc. Imaging 2020, 13, 2071–2081. [Google Scholar] [CrossRef]
- Bianco, F.; de Caterina, R.; Chandra, A.; Aquila, I.; Claggett, B.; Johansen, M.C.; Gonçalves, A.; Norby, F.L.; Cogswell, R.; Soliman, E.Z.; et al. Left Atrial Remodeling and Stroke in Patients With Sinus Rhythm and Normal Ejection Fraction: ARIC-NCS. J. Am. Heart Assoc. 2022, 11, e024292. [Google Scholar] [CrossRef]
- Ciuffo, L.; Nguyen, H.; Marques, M.D.; Aronis, K.N.; Sivasambu, B.; de Vasconcelos, H.D.; Tao, S.; Spragg, D.D.; Marine, J.E.; Berger, R.D.; et al. Periatrial Fat Quality Predicts Atrial Fibrillation Ablation Outcome. Circ. Cardiovasc. Imaging 2019, 12, e008764. [Google Scholar] [CrossRef]
- Bonou, M.; Mavrogeni, S.; Kapelios, C.J.; Markousis-Mavrogenis, G.; Aggeli, C.; Cholongitas, E.; Protogerou, A.D.; Barbetseas, J. Cardiac Adiposity and Arrhythmias: The Role of Imaging. Diagnostics 2021, 11, 362. [Google Scholar] [CrossRef] [PubMed]
- Goudis, C.A.; Korantzopoulos, P.; Ntalas, I.V.; Kallergis, E.M.; Ketikoglou, D.G. Obesity and Atrial Fibrillation: A Comprehensive Review of the Pathophysiological Mechanisms and Links. J. Cardiol. 2015, 66, 361–369. [Google Scholar] [CrossRef] [PubMed] [Green Version]
- Al-Rawahi, M.; Proietti, R.; Thanassoulis, G. Pericardial Fat and Atrial Fibrillation: Epidemiology, Mechanisms and Interventions. Int. J. Cardiol. 2015, 195, 98–103. [Google Scholar] [CrossRef] [PubMed]
- Wong, C.X.; Abed, H.S.; Molaee, P.; Nelson, A.J.; Brooks, A.G.; Sharma, G.; Leong, D.P.; Lau, D.H.; Middeldorp, M.E.; Roberts-Thomson, K.C.; et al. Pericardial Fat Is Associated with Atrial Fibrillation Severity and Ablation Outcome. J. Am. Coll. Cardiol. 2011, 57, 1745–1751. [Google Scholar] [CrossRef] [PubMed]
- Tereshchenko, L.G.; Rizzi, P.; Mewton, N.; Volpe, G.J.; Murthy, S.; Strauss, D.G.; Liu, C.Y.; Marchlinski, F.E.; Spooner, P.; Berger, R.D.; et al. Infiltrated Atrial Fat Characterizes Underlying Atrial Fibrillation Substrate in Patients at Risk as Defined by the ARIC Atrial Fibrillation Risk Score. Int. J. Cardiol. 2014, 172, 196–201. [Google Scholar] [CrossRef] [Green Version]
- Nakamori, S.; Nezafat, M.; Ngo, L.H.; Manning, W.J.; Nezafat, R. Left Atrial Epicardial Fat Volume Is Associated With Atrial Fibrillation: A Prospective Cardiovascular Magnetic Resonance 3D Dixon Study. J. Am. Heart Assoc. 2018, 7, e008232. [Google Scholar] [CrossRef]








| Protocol | Sequences | Key Points |
|---|---|---|
| Minimal protocol | ||
| Survey | bSSFP | Images used to orientate subsequent acquisitions |
| Contrast enhanced MR angiography | T1 weighted spoiled gradient-echo sequence | To evaluate pulmonary vein anatomy, atrial size, presence of thrombus, esophagus course |
| Additional sequences | ||
| Cine images | bSSFP | To evaluate LA/LAA volume, ejection fraction, strain |
| T1 mapping | MOLLI, ShMOLLI, STONE, SASHA, SAPPHIRE | To evaluate atrial wall native T1 |
| Dixon chemical shift imaging | 3D navigator gated mDIXON | To quantify pericardial/periatrial fat |
| T2 weighted imaging | T2 STIR, T2 TSE | To evaluate post procedural atrial and/or esophageal oedema |
| LGE | Inversion recovery gradient-echo (either 2D, 3D, single-shot, or phase-sensitive), breath-hold, or navigator gated | To quantify atrial fibrosis, to evaluate esophageal thermal injury |
Publisher’s Note: MDPI stays neutral with regard to jurisdictional claims in published maps and institutional affiliations. |
© 2022 by the authors. Licensee MDPI, Basel, Switzerland. This article is an open access article distributed under the terms and conditions of the Creative Commons Attribution (CC BY) license (https://creativecommons.org/licenses/by/4.0/).
Share and Cite
Tore, D.; Faletti, R.; Biondo, A.; Carisio, A.; Giorgino, F.; Landolfi, I.; Rocco, K.; Salto, S.; Santonocito, A.; Ullo, F.; et al. Role of Cardiovascular Magnetic Resonance in the Management of Atrial Fibrillation: A Review. J. Imaging 2022, 8, 300. https://doi.org/10.3390/jimaging8110300
Tore D, Faletti R, Biondo A, Carisio A, Giorgino F, Landolfi I, Rocco K, Salto S, Santonocito A, Ullo F, et al. Role of Cardiovascular Magnetic Resonance in the Management of Atrial Fibrillation: A Review. Journal of Imaging. 2022; 8(11):300. https://doi.org/10.3390/jimaging8110300
Chicago/Turabian StyleTore, Davide, Riccardo Faletti, Andrea Biondo, Andrea Carisio, Fabio Giorgino, Ilenia Landolfi, Katia Rocco, Sara Salto, Ambra Santonocito, Federica Ullo, and et al. 2022. "Role of Cardiovascular Magnetic Resonance in the Management of Atrial Fibrillation: A Review" Journal of Imaging 8, no. 11: 300. https://doi.org/10.3390/jimaging8110300
APA StyleTore, D., Faletti, R., Biondo, A., Carisio, A., Giorgino, F., Landolfi, I., Rocco, K., Salto, S., Santonocito, A., Ullo, F., Anselmino, M., Fonio, P., & Gatti, M. (2022). Role of Cardiovascular Magnetic Resonance in the Management of Atrial Fibrillation: A Review. Journal of Imaging, 8(11), 300. https://doi.org/10.3390/jimaging8110300

