Customized Efficient Neural Network for COVID-19 Infected Region Identification in CT Images
Abstract
:1. Introduction
2. Materials and Methods
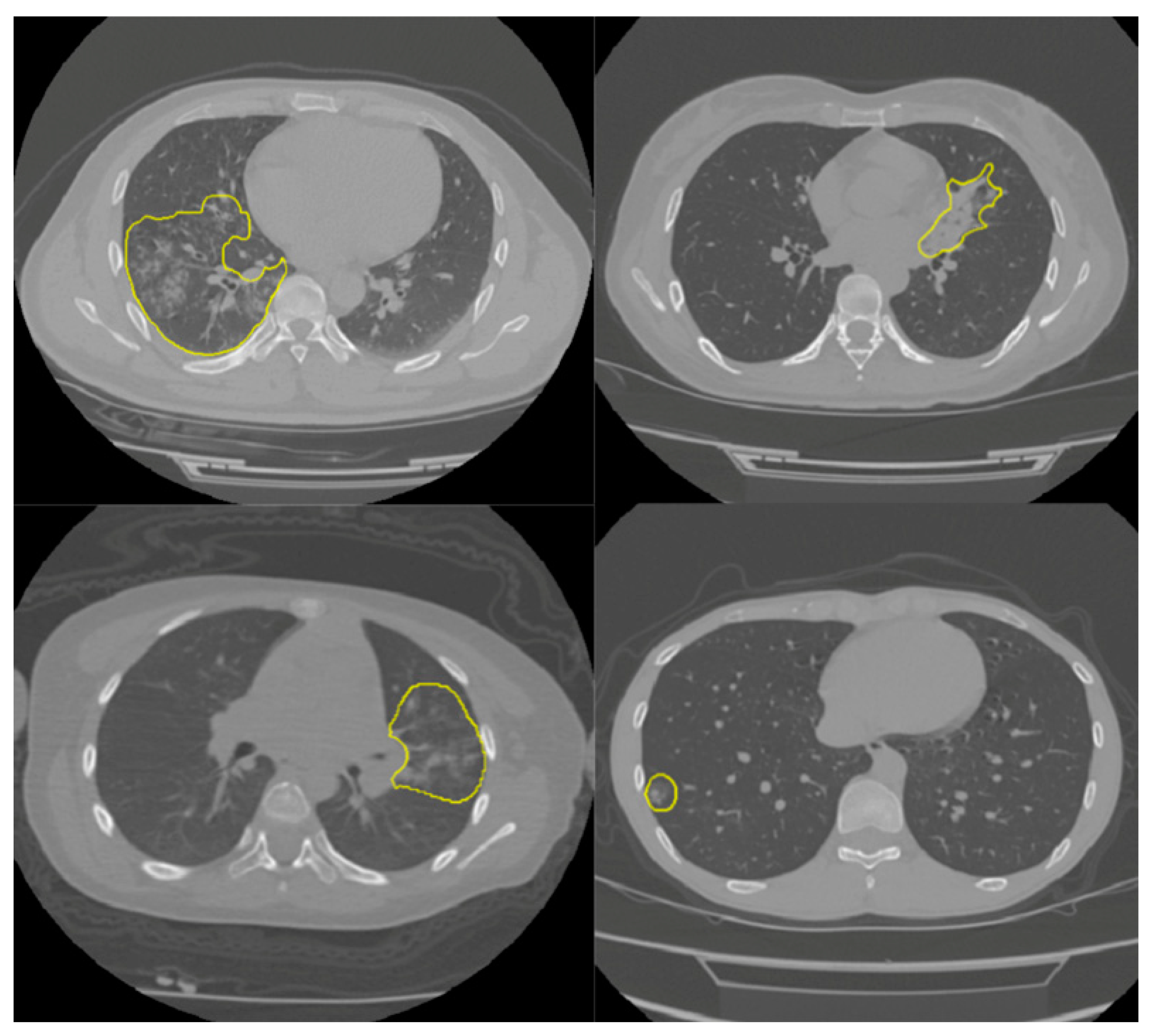
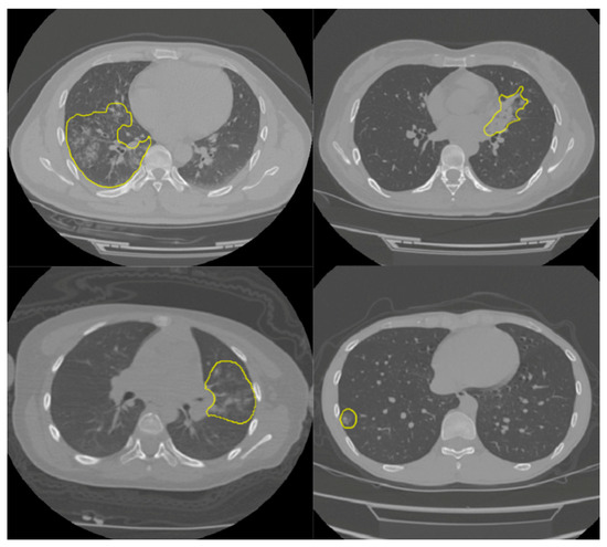
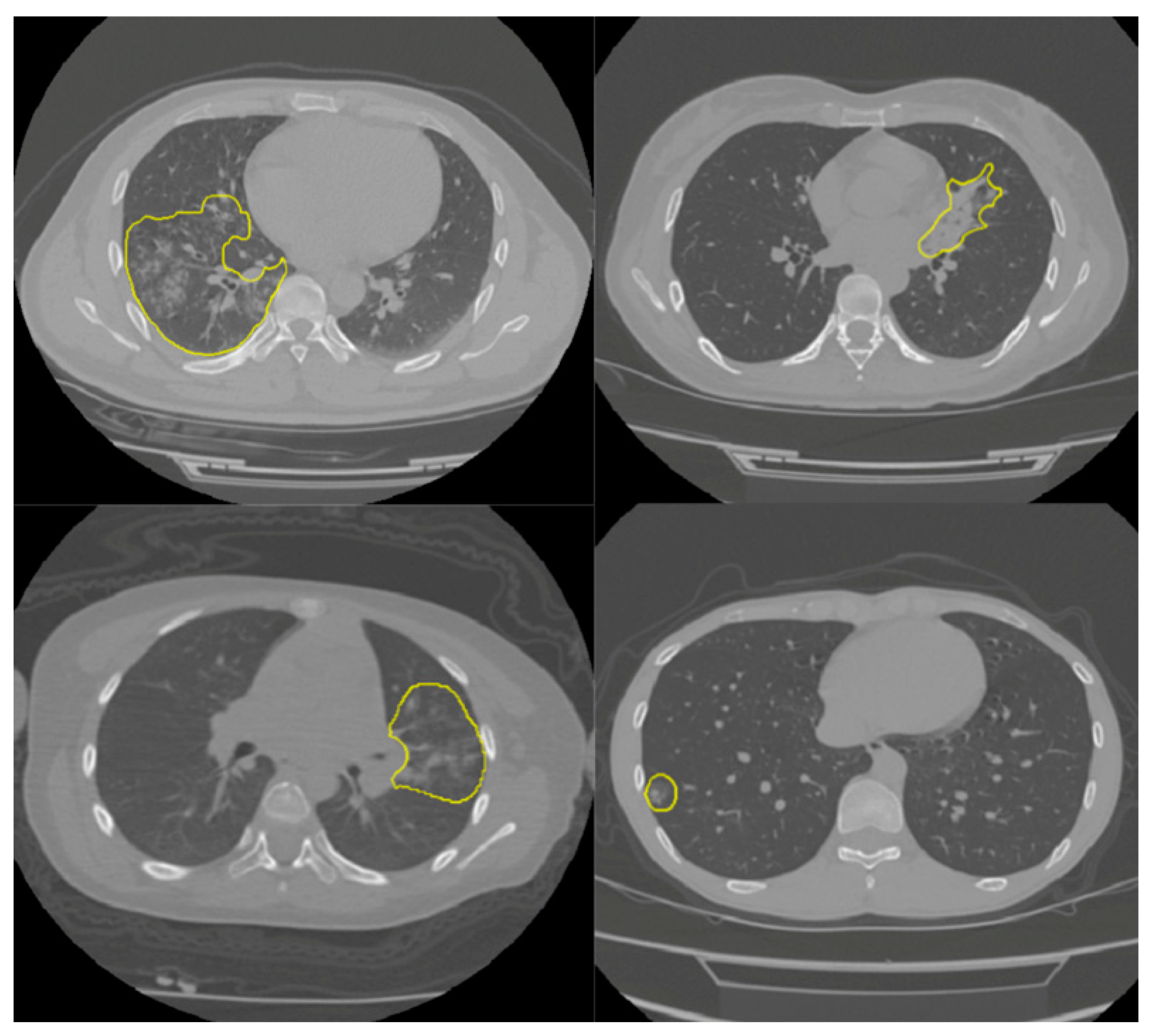
2.1. Dataset
2.2. C-ENET
2.3. Loss Function
2.4. Training
2.5. Experimental Details
2.6. Evaluation Metrics
3. Results
4. Discussion and Conclusions
Author Contributions
Funding
Institutional Review Board Statement
Informed Consent Statement
Data Availability Statement
Conflicts of Interest
References
- Li, Y.; Xia, L. Coronavirus disease 2019 (COVID-19): Role of chest CT in diagnosis and management. Am. J. Roentgenol. 2020, 214, 1280–1286. [Google Scholar] [CrossRef]
- Wei, W.; Hu, X.; Cheng, Q.; Zhao, Y.; Ge, Y. Identification of common and severe COVID-19: The value of CT texture analysis and correlation with clinical characteristics. Eur. Radiol. 2020, 1–9. [Google Scholar] [CrossRef]
- Khoo, V.S.; Adams, E.J.; Saran, F.; Bedford, J.L.; Perks, J.R.; Warrington, A.P.; Brada, M. A comparison of clinical target volumes determined by CT and MRI for the radiotherapy planning of base of skull meningiomas. Int. J. Radiat. Oncol. Biol. Phys. 2000, 46, 1309–1317. [Google Scholar] [CrossRef]
- Cuocolo, R.; Stanzione, A.; Ponsiglione, A.; Romeo, V.; Verde, F.; Creta, M.; La Rocca, R.; Longo, N.; Pace, L.; Imbriaco, M. Clinically significant prostate cancer detection on MRI: A radiomic shape features study. Eur. J. Radiol. 2019. [Google Scholar] [CrossRef]
- Sun, C.; Tian, X.; Liu, Z.; Li, W.; Li, P.; Chen, J.; Zhang, W.; Fang, Z.; Du, P.; Duan, H.; et al. Radiomic analysis for pretreatment prediction of response to neoadjuvant chemotherapy in locally advanced cervical cancer: A multicentre study. EBioMedicine 2019, 46, 160–169. [Google Scholar] [CrossRef] [PubMed] [Green Version]
- Cutaia, G.; La Tona, G.; Comelli, A.; Vernuccio, F.; Agnello, F.; Gagliardo, C.; Salvaggio, L.; Quartuccio, N.; Sturiale, L.; Stefano, A.; et al. Radiomics and Prostate MRI: Current Role and Future Applications. J. Imaging 2021, 7, 34. [Google Scholar] [CrossRef]
- Comelli, A.; Stefano, A.; Coronnello, C.; Russo, G.; Vernuccio, F.; Cannella, R.; Salvaggio, G.; Lagalla, R.; Barone, S. Radiomics: A New Biomedical Workflow to Create a Predictive Model. In Communications in Computer and Information Science; Springer: Cham, Switzerland, 2020; Volume 1248 CCIS, pp. 280–293. ISBN 9783030527907. [Google Scholar]
- Alongi, P.; Stefano, A.; Comelli, A.; Laudicella, R.; Scalisi, S.; Arnone, G.; Barone, S.; Spada, M.; Purpura, P.; Bartolotta, T.V.; et al. Radiomics analysis of 18F-Choline PET/CT in the prediction of disease outcome in high-risk prostate cancer: An explorative study on machine learning feature classification in 94 patients. Eur. Radiol. 2021. [Google Scholar] [CrossRef] [PubMed]
- Stefano, A.; Comelli, A.; Bravatà, V.; Barone, S.; Daskalovski, I.; Savoca, G.; Sabini, M.G.; Ippolito, M.; Russo, G. A preliminary PET radiomics study of brain metastases using a fully automatic segmentation method. BMC Bioinf. 2020, 21, 325. [Google Scholar] [CrossRef] [PubMed]
- George, P.M.; Wells, A.U.; Jenkins, R.G. Pulmonary fibrosis and COVID-19: The potential role for antifibrotic therapy. Lancet Respir. Med. 2020. [Google Scholar] [CrossRef]
- Christe, A.; Peters, A.A.; Drakopoulos, D.; Heverhagen, J.T.; Geiser, T.; Stathopoulou, T.; Christodoulidis, S.; Anthimopoulos, M.; Mougiakakou, S.G.; Ebner, L. Computer-Aided Diagnosis of Pulmonary Fibrosis Using Deep Learning and CT Images. Invest. Radiol. 2019, 54, 627–632. [Google Scholar] [CrossRef] [Green Version]
- Stefano, A.; Gioè, M.; Russo, G.; Palmucci, S.; Torrisi, S.E.; Bignardi, S.; Basile, A.; Comelli, A.; Benfante, V.; Sambataro, G.; et al. Performance of Radiomics Features in the Quantification of Idiopathic Pulmonary Fibrosis from HRCT. Diagnostics 2020, 10, 306. [Google Scholar] [CrossRef]
- Mei, X.; Lee, H.C.; Diao, K.; Huang, M.; Lin, B.; Liu, C.; Xie, Z.; Ma, Y.; Robson, P.M.; Chung, M.; et al. Artificial intelligence–enabled rapid diagnosis of patients with COVID-19. Nat. Med. 2020, 26, 1224–1228. [Google Scholar] [CrossRef] [PubMed]
- Shi, F.; Wang, J.; Shi, J.; Wu, Z.; Wang, Q.; Tang, Z.; He, K.; Shi, Y.; Shen, D. Review of Artificial Intelligence Techniques in Imaging Data Acquisition, Segmentation, and Diagnosis for COVID-19. IEEE Rev. Biomed. Eng. 2021, 14, 4–15. [Google Scholar] [CrossRef] [PubMed] [Green Version]
- Fan, D.P.; Zhou, T.; Ji, G.P.; Zhou, Y.; Chen, G.; Fu, H.; Shen, J.; Shao, L. Inf-Net: Automatic COVID-19 Lung Infection Segmentation from CT Images. IEEE Trans. Med. Imaging 2020, 39, 2626–2637. [Google Scholar] [CrossRef] [PubMed]
- Zhou, T.; Canu, S.; Ruan, S. Automatic COVID-19 CT segmentation using U-Net integrated spatial and channel attention mechanism. Int. J. Imaging Syst. Technol. 2021, 31, 16–27. [Google Scholar] [CrossRef]
- Roth, H.; Diez, C.T.; Jacob, R.S.; Zember, J.; Harouni, A.; Isensee, F.; Tang, C. Rapid Arti cial Intelligence Solutions in a Pandemic—The COVID-19-20 Lung CT Lesion Segmentation Challenge. Res. Sq. 2021. [Google Scholar] [CrossRef]
- Paszke, A.; Chaurasia, A.; Kim, S.; Culurciello, E. ENet: A Deep Neural Network Architecture for Real-Time Semantic Segmentation. arXiv 2016, arXiv:1606.02147. [Google Scholar]
- Comelli, A.; Coronnello, C.; Dahiya, N.; Benfante, V.; Palmucci, S.; Basile, A.; Vancheri, C.; Russo, G.; Yezzi, A.; Stefano, A. Lung Segmentation on High-Resolution Computerized Tomography Images Using Deep Learning: A Preliminary Step for Radiomics Studies. J. Imaging 2020, 6, 125. [Google Scholar] [CrossRef]
- Comelli, A.; Dahiya, N.; Stefano, A.; Benfante, V.; Gentile, G.; Agnese, V.; Raffa, G.M.; Pilato, M.; Yezzi, A.; Petrucci, G.; et al. Deep learning approach for the segmentation of aneurysmal ascending aorta. Biomed. Eng. Lett. 2020. [Google Scholar] [CrossRef]
- Cuocolo, R.; Comelli, A.; Stefano, A.; Benfante, V.; Dahiya, N.; Stanzione, A.; Castaldo, A.; De Lucia, D.R.; Yezzi, A.; Imbriaco, M. Deep Learning Whole-Gland and Zonal Prostate Segmentation on a Public MRI Dataset. J. Magn. Reson. Imaging 2021. [Google Scholar] [CrossRef]
- Cozzi, D.; Cavigli, E.; Moroni, C.; Smorchkova, O.; Zantonelli, G.; Pradella, S.; Miele, V. Ground-glass opacity (GGO): A review of the differential diagnosis in the era of COVID-19. Jpn. J. Radiol. 2021. [Google Scholar] [CrossRef] [PubMed]
- Fetita, C.; Rennotte, S.; Latrasse, M.; Tapu, R.; Maury, M.; Mocanu, B.; Nunes, H.; Brillet, P.-Y. Transferring CT image biomarkers from fibrosing idiopathic interstitial pneumonia to COVID-19 analysis. In Proceedings of the Medical Imaging 2021: Computer-Aided Diagnosis, Online Only, 15–20 February 2021; Volume 11597, p. 5. [Google Scholar]
- Ronneberger, O.; Fischer, P.; Brox, T. U-net: Convolutional networks for biomedical image segmentation. In Proceedings of the Lecture Notes in Computer Science (Including Subseries Lecture Notes in Artificial Intelligence and Lecture Notes in Bioinformatics), Fuzhou, China, 13–15 November 2015. [Google Scholar]
- Romera, E.; Alvarez, J.M.; Bergasa, L.M.; Arroyo, R. ERFNet: Efficient Residual Factorized ConvNet for Real-Time Semantic Segmentation. IEEE Trans. Intell. Transp. Syst. 2018. [Google Scholar] [CrossRef]
- CT Images in COVID-19—The Cancer Imaging Archive (TCIA) Public Access—Cancer Imaging Archive Wiki. Available online: https://wiki.cancerimagingarchive.net/display/Public/CT+Images+in+COVID-19#702271074dc5f53338634b35a3500cbed18472e0 (accessed on 25 March 2021).
- Salehi, S.S.M.; Erdogmus, D.; Gholipour, A. Tversky loss function for image segmentation using 3D fully convolutional deep networks. In Proceedings of the Lecture Notes in Computer Science (Including Subseries Lecture Notes in Artificial Intelligence and Lecture Notes in Bioinformatics), Quebec City, QC, Canada, 10 September 2017; pp. 379–387. [Google Scholar]
- Comelli, A.; Dahiya, N.; Stefano, A.; Vernuccio, F.; Portoghese, M.; Cutaia, G.; Bruno, A.; Salvaggio, G.; Yezzi, A. Deep Learning-Based Methods for Prostate Segmentation in Magnetic Resonance Imaging. Appl. Sci. 2021, 11, 782. [Google Scholar] [CrossRef] [PubMed]
- Comelli, A.; Bignardi, S.; Stefano, A.; Russo, G.; Sabini, M.G.; Ippolito, M.; Yezzi, A. Development of a new fully three-dimensional methodology for tumours delineation in functional images. Comput. Biol. Med. 2020, 120, 103701. [Google Scholar] [CrossRef]
- Palmucci, S.; Torrisi, S.E.; Falsaperla, D.; Stefano, A.; Torcitto, A.G.; Russo, G.; Pavone, M.; Vancheri, A.; Mauro, L.A.; Grassedonio, E.; et al. Assessment of Lung Cancer Development in Idiopathic Pulmonary Fibrosis Patients Using Quantitative High-Resolution Computed Tomography: A Retrospective Analysis. J. Thorac. Imaging 2020, 35, 115–122. [Google Scholar] [CrossRef]
- Torrisi, S.E.; Palmucci, S.; Stefano, A.; Russo, G.; Torcitto, A.G.; Falsaperla, D.; Gioè, M.; Pavone, M.; Vancheri, A.; Sambataro, G.; et al. Assessment of survival in patients with idiopathic pulmonary fibrosis using quantitative HRCT indexes. Multidiscip. Respir. Med. 2018, 13, 1–8. [Google Scholar] [CrossRef]
- Zaffino, P.; Marzullo, A.; Moccia, S.; Calimeri, F.; De Momi, E.; Bertucci, B.; Arcuri, P.P.; Spadea, M.F. An open-source covid-19 ct dataset with automatic lung tissue classification for radiomics. Bioengineering 2021, 8, 26. [Google Scholar] [CrossRef] [PubMed]
- Tsai, E.B.; Simpson, S.; Lungren, M.P.; Hershman, M.; Roshkovan, L.; Colak, E.; Erickson, B.J.; Shih, G.; Stein, A.; Kalpathy-Cramer, J.; et al. The RSNA International COVID-19 Open Radiology Database (RICORD). Radiology 2021, 299, E204–E213. [Google Scholar] [CrossRef]




| Name | Type | Stage | Output Size | |
|---|---|---|---|---|
| initial | stage0 | 16 × 256 × 256 | ||
| bottleneck1.0 | Down-sampling | stage1 | 64 × 128 × 128 | |
| 4 × bottleneck1.x | stage1 | 64 × 128 × 128 | ||
| bottleneck2.0 | Down-sampling | stage2 | 128 × 64 × 64 | |
| bottleneck2.1 | stage2 | 128 × 64 × 64 | ||
| bottleneck2.2 | dilated 2 | stage2 | 128 × 64 × 64 | |
| bottleneck2.3 | asymmetric 5 | stage2 | 128 × 64 × 64 | |
| bottleneck2.4 | dilated 4 | stage2 | 128 × 64 × 64 | |
| bottleneck2.5 | stage2 | 128 × 64 × 64 | ||
| bottleneck2.6 | dilated 8 | stage2 | 128 × 64 × 64 | |
| bottleneck2.7 | asymmetric 5 | stage2 | 128 × 64 × 64 | |
| bottleneck2.8 | dilated 16 | stage2 | 128 × 64 × 64 | |
| ENET | Repeat stage2, without bottleneck2.0 | stage3 | 128 × 64 × 64 | |
| C-ENET | Repeat stage2, without bottleneck2.0 | stage3 | 256 × 64 × 64 | |
| bottleneck4.0 | Up-sampling | stage4 | 64 × 128 × 128 | |
| bottleneck4.1 | stage4 | 64 × 128 × 128 | ||
| bottleneck4.2 | stage4 | 64 × 128 × 128 | ||
| bottleneck5.0 | Up-sampling | stage5 | 16 × 256 × 256 | |
| bottleneck5.1 | stage5 | 16 × 256 × 256 | ||
| fullconv | Final output | C × 512 × 512 | ||
| DSC | VOE | VD | PPV | Sensitivity | |
|---|---|---|---|---|---|
| C-ENET | |||||
| Mean | 74.83% | 39.01% | 20.97% | 76.26% | 76.50% |
| ±std | 11.18% | 13.67% | 21.21% | 10.01% | 16.79% |
| ±CI (95%) | 3.51% | 4.29% | 6.66% | 3.14% | 5.27% |
| ENET | |||||
| Mean | 72.28% | 41.80% | 27.60% | 70.84% | 77.10% |
| ±std | 13.44% | 15.41% | 38.35% | 14.19% | 15.95% |
| ±CI (95%) | 4.22% | 4.84% | 12.04% | 4.45% | 5.01% |
| ERFNET | |||||
| Mean | 54.23% | 60.56% | 119.92% | 48.65% | 72.97% |
| ±std | 18.64% | 17.66% | 180.15% | 20.67% | 20.11% |
| ±CI (95%) | 5.85% | 5.54% | 56.54% | 6.49% | 6.31% |
| ANOVA | F Value | F Critic Value | p-Value |
|---|---|---|---|
| C-ENET vs. ENET vs. ERFNET | 22.010 | 3.076 | p < 0.01 |
| Tukey HSD | Q-Statistic | p-Value |
|---|---|---|
| C-ENET vs. ENET | 10.659 | 0.7137408 |
| C-ENET vs. ERFNET | 75.402 | 0.0010053 |
| ENET vs. ERFNET | 86.062 | 0.0010053 |
| Model Name | Number of Parameters | Size on Disk | Inference Times/Dataset | Training Times/Dataset | ||
|---|---|---|---|---|---|---|
| Trainable | Non-Trainable | CPU (sec) | GPU (sec) | GPU (days) | ||
| C-ENET | 793,917 | 11426 | 11 MB | 16.857 | 4.026 | 4.22 |
| ENET | 363,069 | 8354 | 5.8 MB | 12.833 | 3.505 | 3.47 |
| ERFNET | 2,056,440 | 0 | 25.3 MB | 10.630 | 2.614 | 2.87 |
Publisher’s Note: MDPI stays neutral with regard to jurisdictional claims in published maps and institutional affiliations. |
© 2021 by the authors. Licensee MDPI, Basel, Switzerland. This article is an open access article distributed under the terms and conditions of the Creative Commons Attribution (CC BY) license (https://creativecommons.org/licenses/by/4.0/).
Share and Cite
Stefano, A.; Comelli, A. Customized Efficient Neural Network for COVID-19 Infected Region Identification in CT Images. J. Imaging 2021, 7, 131. https://doi.org/10.3390/jimaging7080131
Stefano A, Comelli A. Customized Efficient Neural Network for COVID-19 Infected Region Identification in CT Images. Journal of Imaging. 2021; 7(8):131. https://doi.org/10.3390/jimaging7080131
Chicago/Turabian StyleStefano, Alessandro, and Albert Comelli. 2021. "Customized Efficient Neural Network for COVID-19 Infected Region Identification in CT Images" Journal of Imaging 7, no. 8: 131. https://doi.org/10.3390/jimaging7080131
APA StyleStefano, A., & Comelli, A. (2021). Customized Efficient Neural Network for COVID-19 Infected Region Identification in CT Images. Journal of Imaging, 7(8), 131. https://doi.org/10.3390/jimaging7080131
