Development of a Fully Optimized Convolutional Neural Network for Astrocytoma Classification in MRI Using Explainable Artificial Intelligence
Abstract
1. Introduction
2. Materials and Methods
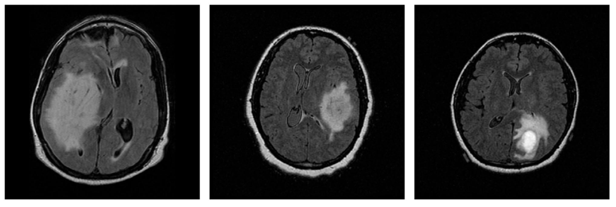
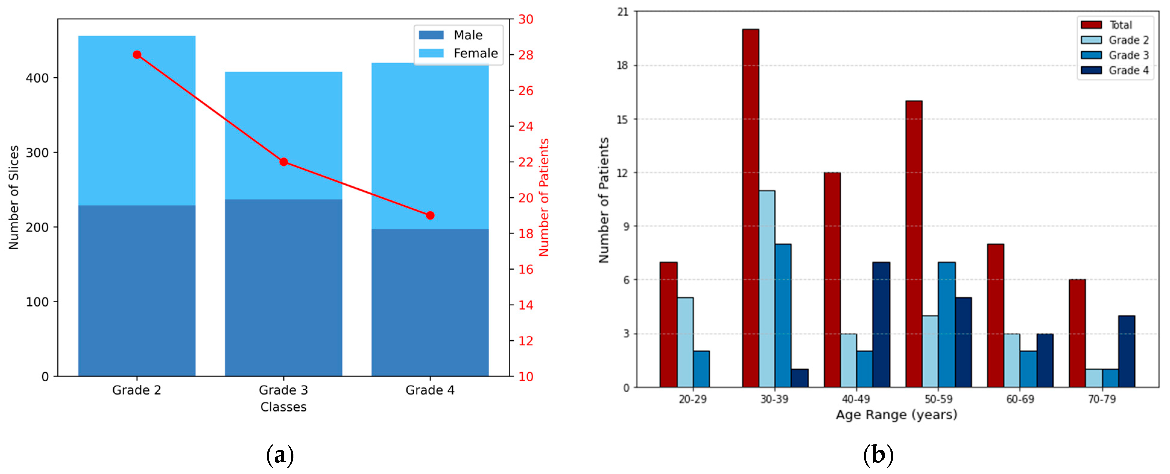
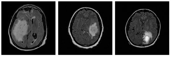
2.1. Data Collection
2.2. Data Pre-Processing
2.3. Convolutional Neural Network—Hyperparameter Optimization
2.4. Image Augmentation Methods
2.5. Explainable AI Methods
2.6. Experimental Setup and Evaluation Strategy
3. Results
3.1. Hyperparameter Optimization
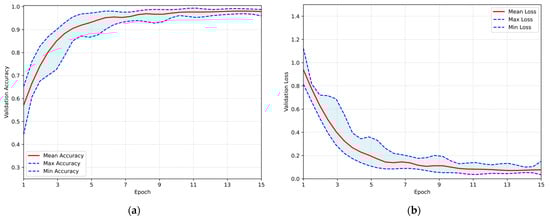
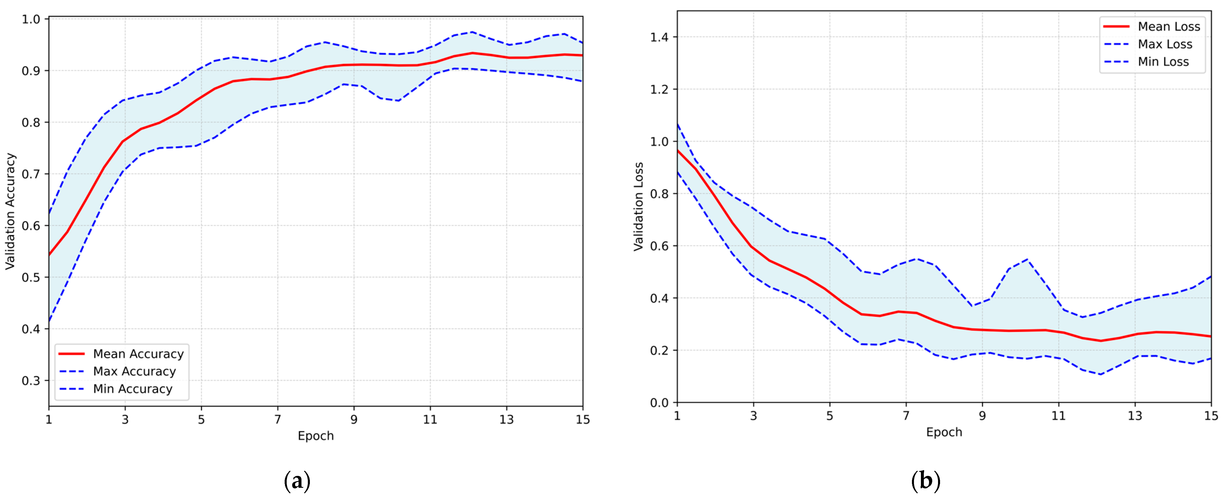
3.2. Optimized CNN Training Results
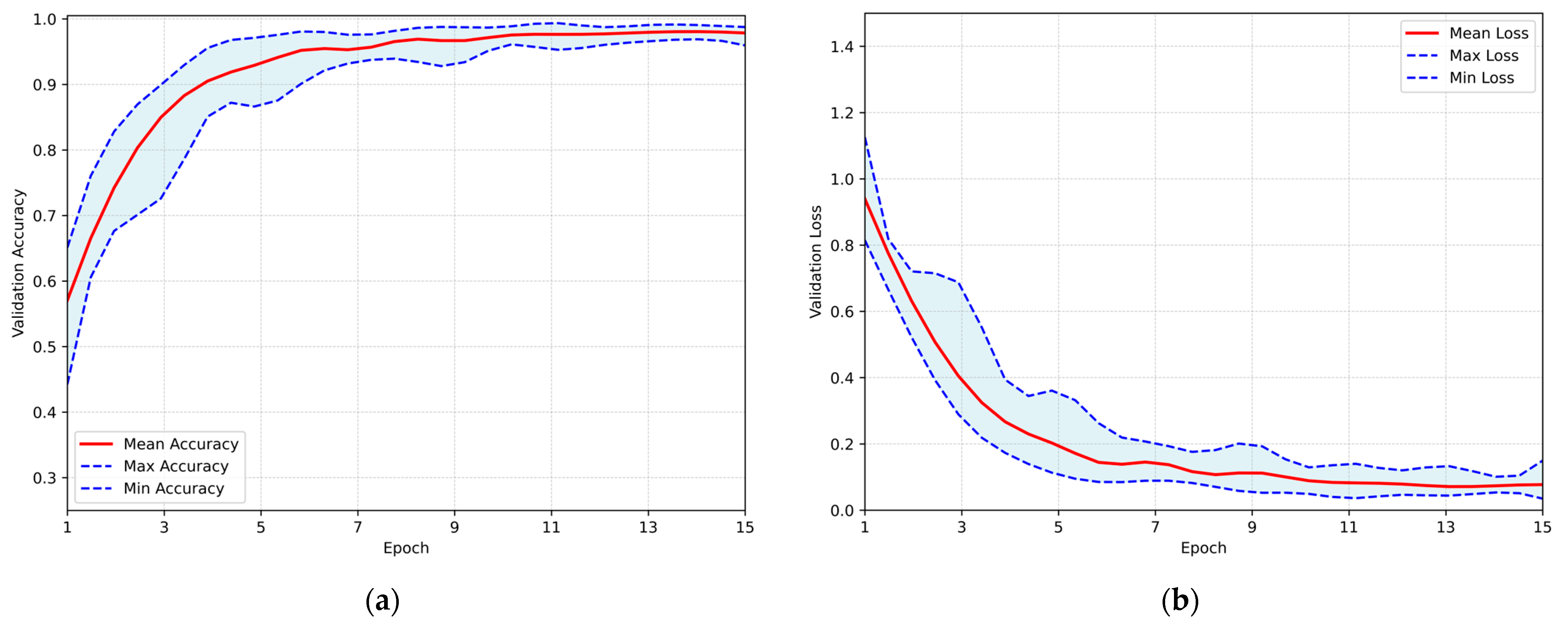
3.3. Effect of Augmentations on the Performance of the Proposed CNN
3.4. Comparison with State-of-the-Art Networks
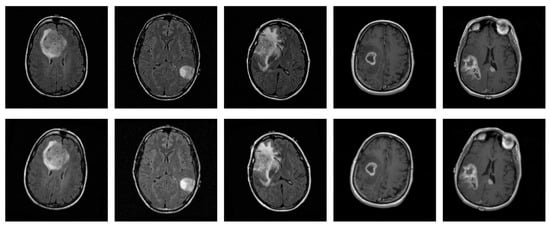
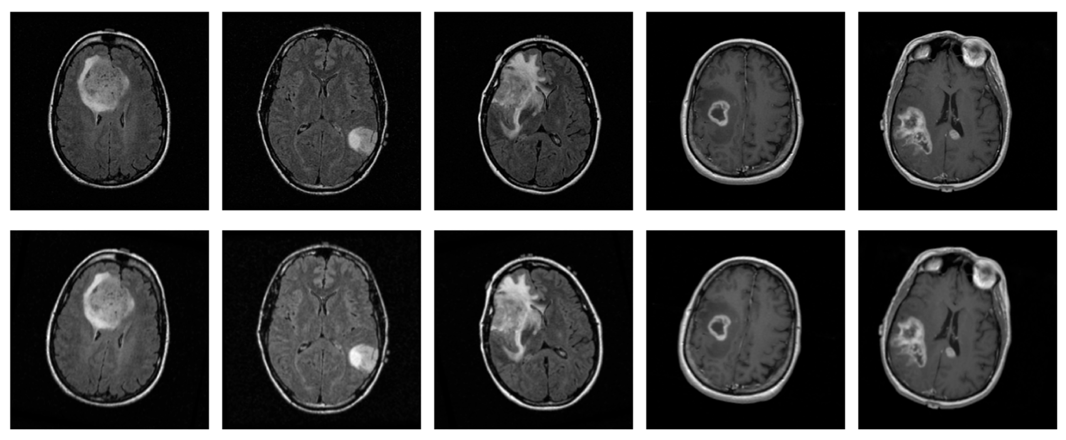
3.5. Explainable AI Insights
4. Discussion
5. Conclusions
Author Contributions
Funding
Data Availability Statement
Conflicts of Interest
Abbreviations
| AAI | Artificial Intelligence Act |
| AUC | Area Under the Curve |
| CE | Contrast Enhanced |
| CI | Confidence Interval |
| CNS | Central Nervous System |
| CNN | Convolutional Neural Network |
| FLAIR | Fluid-Attenuated Inversion Recovery |
| HGG | High Grade Glioma |
| LGG | Low Grade Glioma |
| LIME | Local Interpretable Model-Agnostic Explanations |
| MRI | Magnetic Resonance Imaging |
| REMBRANDT | Repository of Molecular Brain Neoplasia Data |
| RGB | Red, Green, Blue |
| ROI | Region of Interest |
| ROC | Receiver Operating Characteristic |
| SHAP | SHapley Additive exPlanations |
| TCGA-LGG | The Cancer Genome Atlas Low Grade Glioma |
| TCIA | The Cancer Imaging Archive |
| WHO | World Health Organization |
| XAI | Explainable Artificial Intelligence |
References
- Kapoor, M.; Gupta, V. Astrocytoma. In StatPearls; StatPearls Publishing: Treasure Island, FL, USA, 2024. [Google Scholar]
- Central Nervous System Tumours. In World Health Organization Classification of Tumours, 5th ed.; Organisation Mondiale de la Santé, Centre International de Recherche sur le Cancer, Eds.; International Agency for Research on Cancer: Lyon, France, 2021; ISBN 978-92-832-4508-7. [Google Scholar]
- Louis, D.N.; Perry, A.; Wesseling, P.; Brat, D.J.; Cree, I.A.; Figarella-Branger, D.; Hawkins, C.; Ng, H.K.; Pfister, S.M.; Reifenberger, G.; et al. The 2021 WHO Classification of Tumors of the Central Nervous System: A Summary. Neuro-Oncol. 2021, 23, 1231–1251. [Google Scholar] [CrossRef]
- Ganz, J.C. Chapter 15—Low Grade Gliomas. In Progress in Brain Research; Ganz, J.C., Ed.; Recent Advances and Controversies in Gamma Knife Neurosurgery; Elsevier: Amsterdam, The Netherlands, 2022; Volume 268, pp. 271–277. [Google Scholar]
- Nayak, L.; Reardon, D.A. High-Grade Gliomas. Continuum 2017, 23, 1548–1563. [Google Scholar] [CrossRef]
- Torp, S.H.; Solheim, O.; Skjulsvik, A.J. The WHO 2021 Classification of Central Nervous System Tumours: A Practical Update on What Neurosurgeons Need to Know—A Minireview. Acta Neurochir. 2022, 164, 2453–2464. [Google Scholar] [CrossRef] [PubMed]
- Gilanie, G.; Bajwa, U.I.; Waraich, M.M.; Anwar, M.W.; Ullah, H. An Automated and Risk Free WHO Grading of Glioma from MRI Images Using CNN. Multimed. Tools Appl. 2023, 82, 2857–2869. [Google Scholar] [CrossRef]
- Özkaya, Ç.; Sağiroğlu, Ş. Glioma Grade Classification Using CNNs and Segmentation With an Adaptive Approach Using Histogram Features in Brain MRIs. IEEE Access 2023, 11, 52275–52287. [Google Scholar] [CrossRef]
- Rizwan, M.; Shabbir, A.; Javed, A.R.; Shabbir, M.; Baker, T.; Obe, D.A.-J. Brain Tumor and Glioma Grade Classification Using Gaussian Convolutional Neural Network. IEEE Access 2022, 10, 29731–29740. [Google Scholar] [CrossRef]
- Srinivasan, S.; Francis, D.; Mathivanan, S.K.; Rajadurai, H.; Shivahare, B.D.; Shah, M.A. A Hybrid Deep CNN Model for Brain Tumor Image Multi-Classification. BMC Med. Imaging 2024, 24, 21. [Google Scholar] [CrossRef]
- Chen, B.; Chen, C.; Wang, J.; Teng, Y.; Ma, X.; Xu, J. Differentiation of Low-Grade Astrocytoma From Anaplastic Astrocytoma Using Radiomics-Based Machine Learning Techniques. Front. Oncol. 2021, 11, 521313. [Google Scholar] [CrossRef]
- Gilanie, G.; Bajwa, U.I.; Waraich, M.M.; Anwar, M.W. Risk-Free WHO Grading of Astrocytoma Using Convolutional Neural Networks from MRI Images. Multimed. Tools Appl. 2021, 80, 4295–4306. [Google Scholar] [CrossRef]
- Scarpace, L.; Flanders, A.E.; Jain, R.; Mikkelsen, T.; Andrews, D.W. Data from REMBRANDT 2019. Available online: https://www.cancerimagingarchive.net/collection/rembrandt/ (accessed on 29 May 2025).
- Pedano, N.; Flanders, A.E.; Scarpace, L.; Mikkelsen, T.; Eschbacher, J.M.; Hermes, B.; Sisneros, V.; Barnholtz-Sloan, J.; Ostrom, Q. The Cancer Genome Atlas Low Grade Glioma Collection (TCGA-LGG); the Cancer Imaging Archive. 2016. Available online: https://www.cancerimagingarchive.net/collection/tcga-lgg/ (accessed on 29 May 2025).
- Mzoughi, H.; Njeh, I.; Wali, A.; Slima, M.B.; BenHamida, A.; Mhiri, C.; Mahfoudhe, K.B. Deep Multi-Scale 3D Convolutional Neural Network (CNN) for MRI Gliomas Brain Tumor Classification. J. Digit. Imaging 2020, 33, 903–915. [Google Scholar] [CrossRef]
- Hashemi, M. Enlarging Smaller Images before Inputting into Convolutional Neural Network: Zero-Padding vs. Interpolation. J. Big Data 2019, 6, 98. [Google Scholar] [CrossRef]
- Yamashita, R.; Nishio, M.; Do, R.K.G.; Togashi, K. Convolutional Neural Networks: An Overview and Application in Radiology. Insights Imaging 2018, 9, 611–629. [Google Scholar] [CrossRef]
- Akl, A.; El-Henawy, I.; Salah, A.; Li, K. Optimizing Deep Neural Networks Hyperparameter Positions and Values. J. Intell. Fuzzy Syst. 2019, 37, 6665–6681. [Google Scholar] [CrossRef]
- Ghiasi, G.; Lin, T.-Y.; Le, Q.V. DropBlock: A Regularization Method for Convolutional Networks. arXiv 2018, arXiv:1810.12890. [Google Scholar] [CrossRef]
- Irmawati; Chai, R.; Basari; Gunawan, D. Optimizing CNN Hyperparameters for Blastocyst Quality Assessment in Small Datasets. IEEE Access 2022, 10, 88621–88631. [Google Scholar] [CrossRef]
- Irmak, E. COVID-19 Disease Severity Assessment Using CNN Model. IET Image Process. 2021, 15, 1814–1824. [Google Scholar] [CrossRef] [PubMed]
- Li, L.; Jamieson, K.; DeSalvo, G.; Rostamizadeh, A.; Talwalkar, A. Hyperband: A Novel Bandit-Based Approach to Hyperparameter Optimization. J. Mach. Learn. Res. 2018, 18, 1–52. [Google Scholar]
- Chlap, P.; Min, H.; Vandenberg, N.; Dowling, J.; Holloway, L.; Haworth, A. A Review of Medical Image Data Augmentation Techniques for Deep Learning Applications. J. Med. Imaging Radiat. Oncol. 2021, 65, 545–563. [Google Scholar] [CrossRef]
- Maharana, K.; Mondal, S.; Nemade, B. A Review: Data Pre-Processing and Data Augmentation Techniques. Glob. Transit. Proc. 2022, 3, 91–99. [Google Scholar] [CrossRef]
- Shorten, C.; Khoshgoftaar, T.M. A Survey on Image Data Augmentation for Deep Learning. J. Big Data 2019, 6, 60. [Google Scholar] [CrossRef]
- Goceri, E. Medical Image Data Augmentation: Techniques, Comparisons and Interpretations. Artif. Intell. Rev. 2023, 56, 12561–12605. [Google Scholar] [CrossRef]
- Freyer, N.; Groß, D.; Lipprandt, M. The Ethical Requirement of Explainability for AI-DSS in Healthcare: A Systematic Review of Reasons. BMC Med. Ethics 2024, 25, 104. [Google Scholar] [CrossRef]
- Chaddad, A.; Peng, J.; Xu, J.; Bouridane, A. Survey of Explainable AI Techniques in Healthcare. Sensors 2023, 23, 634. [Google Scholar] [CrossRef] [PubMed]
- Lundberg, S.; Lee, S.-I. A Unified Approach to Interpreting Model Predictions. arXiv 2017, arXiv:1705.07874. [Google Scholar] [CrossRef]
- Ribeiro, M.T.; Singh, S.; Guestrin, C. “Why Should I Trust You?”: Explaining the Predictions of Any Classifier. arXiv 2016, arXiv:1602.04938. [Google Scholar]
- Taha, A.A.; Hanbury, A. Metrics for Evaluating 3D Medical Image Segmentation: Analysis, Selection, and Tool. BMC Med. Imaging 2015, 15, 29. [Google Scholar] [CrossRef]
- Nakatsu, R.T. Validation of Machine Learning Ridge Regression Models Using Monte Carlo, Bootstrap, and Variations in Cross-Validation. J. Intell. Syst. 2023, 32, 20220224. [Google Scholar] [CrossRef]
- Bradshaw, T.J.; Huemann, Z.; Hu, J.; Rahmim, A. A Guide to Cross-Validation for Artificial Intelligence in Medical Imaging. Radiol. Artif. Intell. 2023, 5, e220232. [Google Scholar] [CrossRef]
- Allgaier, J.; Pryss, R. Cross-Validation Visualized: A Narrative Guide to Advanced Methods. Mach. Learn. Knowl. Extr. 2024, 6, 1378–1388. [Google Scholar] [CrossRef]
- Simonyan, K.; Zisserman, A. Very Deep Convolutional Networks for Large-Scale Image Recognition. arXiv 2015, arXiv:1409.1556. [Google Scholar] [CrossRef]
- Krizhevsky, A.; Sutskever, I.; Hinton, G.E. ImageNet Classification with Deep Convolutional Neural Networks. Commun. ACM 2017, 60, 84–90. [Google Scholar] [CrossRef]
- He, K.; Zhang, X.; Ren, S.; Sun, J. Deep Residual Learning for Image Recognition. In Proceedings of the 2016 IEEE Conference on Computer Vision and Pattern Recognition (CVPR), Las Vegas, NV, USA, 27–30 June 2016; IEEE: Las Vegas, NV, USA, 2016; pp. 770–778. [Google Scholar]
- Szegedy, C.; Vanhoucke, V.; Ioffe, S.; Shlens, J.; Wojna, Z. Rethinking the Inception Architecture for Computer Vision. 2015. Available online: https://www.cv-foundation.org/openaccess/content_cvpr_2016/papers/Szegedy_Rethinking_the_Inception_CVPR_2016_paper.pdf (accessed on 10 April 2025).
- Nanni, L.; Loreggia, A.; Brahnam, S. Comparison of Different Methods for Building Ensembles of Convolutional Neural Networks. Electronics 2023, 12, 4428. [Google Scholar] [CrossRef]
- Ozaltin, O.; Yeniay, O. A Novel Proposed CNN–SVM Architecture for ECG Scalograms Classification. Soft Comput. 2023, 27, 4639–4658. [Google Scholar] [CrossRef]
- Haydar, N.; Alyousef, K.; Alanan, U.; Issa, R.; Baddour, F.; Al-Shehabi, Z.; Al-Janabi, M.H. Role of Magnetic Resonance Imaging (MRI) in Grading Gliomas Comparable with Pathology: A Cross-Sectional Study from Syria. Ann. Med. Surg. 2022, 82, 104679. [Google Scholar] [CrossRef]
- Bhatele, K.R.; Bhadauria, S.S. Machine Learning Application in Glioma Classification: Review and Comparison Analysis. Arch. Comput. Methods Eng. 2022, 29, 247–274. [Google Scholar] [CrossRef]
- Buchlak, Q.D.; Esmaili, N.; Leveque, J.-C.; Bennett, C.; Farrokhi, F.; Piccardi, M. Machine Learning Applications to Neuroimaging for Glioma Detection and Classification: An Artificial Intelligence Augmented Systematic Review. J. Clin. Neurosci. 2021, 89, 177–198. [Google Scholar] [CrossRef]
















| Architectural Hyperparameters Optimization | |||
|---|---|---|---|
| Layer | Hyperparameter | Search Range | Optimal Value |
| Layer 1 | Number of filters | [32, 64, 96, 128, 160, 192, 224, 256] | 128 |
| Filter Size | [(3, 3), (4, 4), (5, 5), (6, 6)] | (6, 6) | |
| Max Pooling Layer | [True, False] | False | |
| Layer 2 | Number of filters | [32, 64, 96, 128, 160, 192, 224, 256] | 32 |
| Filter Size | [(3, 3), (4, 4), (5, 5), (6, 6)] | (3, 3) | |
| Max Pooling Layer | [True, False] | True | |
| Layer 3 | Number of filters | [32, 64, 96, 128, 160, 192, 224, 256] | 96 |
| Filter Size | [(2, 2), (3, 3), (4, 4)] | (4, 4) | |
| Max Pooling Layer | [True, False] | False | |
| Layer 4 | Number of filters | [32, 64, 96, 128, 160, 192, 224, 256] | 96 |
| Filter Size | [(2, 2), (3, 3), (4, 4)] | (3, 3) | |
| Max Pooling Layer | [True, False] | True | |
| Layer 5 | Number of filters | [32, 64, 96, 128, 160, 192, 224, 256] | 224 |
| Filter Size | [(2, 2), (3, 3), (4, 4)] | (3, 3) | |
| Max Pooling Layer | [True, False] | False | |
| Layer 6 | Number of filters | [32, 64, 96, 128, 160, 192, 224, 256] | 32 |
| Filter Size | [(2, 2), (3, 3), (4, 4)] | (4, 4) | |
| Max Pooling Layer | [True, False] | True | |
| Layer 1–6 | Strides | [(1, 1), (2, 2)] | (1, 1) |
| Padding | [Same, Valid] | Valid | |
| FC Layer | Units | [64, 96, 128, 160, 192, 224, 256, 288, 320, 352, 384, 416, 448, 480, 512] | 480 |
| Regularization Hyperparameters Optimization | ||
|---|---|---|
| Hyperparameter | Search Range | Optimal Value |
| Dropout Rate | [0.2, 0.3, 0.4, 0.5] | 0.2 |
| Training Hyperparameters Optimization | ||
|---|---|---|
| Hyperparameter | Search Range | Optimal Value |
| Learning Rate | [0.0001, 0.0005, 0.001] | 0.0001 |
| Batch Size | [16, 32, 64] | 32 |
| Classes | TP | TN | FP | FN | Acc (%) | Sp (%) | Se (%) | Pr (%) |
| Grade 2 | 110 | 205 | 3 | 2 | 98.44 | 98.56 | 98.21 | 97.35 |
| Grade 3 | 98 | 217 | 2 | 3 | 98.44 | 99.09 | 97.03 | 98.00 |
| Grade 4 | 106 | 212 | 1 | 1 | 99.38 | 99.53 | 99.06 | 99.06 |
| Classes | TP | TN | FP | FN | Acc (%) | Sp (%) | Se (%) | Pr (%) |
|---|---|---|---|---|---|---|---|---|
| Grade 2 | 105 | 200 | 9 | 7 | 95.02 | 95.69 | 93.75 | 92.10 |
| Grade 3 | 96 | 210 | 6 | 9 | 95.33 | 97.22 | 91.43 | 94.12 |
| Grade 4 | 97 | 209 | 8 | 7 | 95.33 | 96.31 | 93.27 | 92.38 |
| Network | Accuracy (%) | Loss | AUC |
|---|---|---|---|
| VGG-16 | 95.53 ± 1.75 [91.61–94.48] | 0.2523 | 0.9896 |
| AlexNet | 91.07 ± 2.71 [89.35–92.79] | 0.2436 | 0.9768 |
| ResNet-50 | 96.11 ± 1.38 [95.23–96.99] | 0.1217 | 0.9940 |
| InceptionV3 | 93.04 ± 2.26 [91.61–94.48] | 0.2283 | 0.9849 |
| Proposed CNN | 98.05 ± 0.72 [97.60–98.51] | 0.0713 | 0.9971 |
| Sample | Jaccard | Dice | Pearson | Cosine |
|---|---|---|---|---|
| Grade 2 | 0.56 ± 0.08 [0.51–0.61] | 0.72 ± 0.07 [0.68–0.76] | 0.66 ± 0.05 [0.63–0.69] | 0.67 ± 0.05 [0.64–0.70] |
| Grade 3 | 0.50 ± 0.10 [0.44–0.56] | 0.63 ± 0.11 [0.56–0.70] | 0.64 ± 0.11 [0.57–0.71] | 0.65 ± 0.12 [0.57–0.73] |
| Grade 4 | 0.51 ± 0.10 [0.45–0.57] | 0.64 ± 0.14 [0.55–0.73] | 0.65 ± 0.10 [0.59–0.71] | 0.66 ± 0.11 [0.59–0.73] |
| Author | Year | Classification Type | Accuracy AUC | Data Collection |
|---|---|---|---|---|
| [7] | 2023 | LG-Gliomas HG-Gliomas | 96.40%, 98.52% - | BraTS-2017, Department of Radiology, BVHB, Pakistan |
| [8] | 2023 | LG-Gliomas HG-Gliomas | 99.85% 0.9992 | BraTS-2020 |
| [9] | 2022 | G-2 Gliomas G-3 Gliomas G-4 Gliomas | 97.14% - | REMBRANDT |
| [10] | 2024 | G-2 Gliomas G-3 Gliomas G-4 Gliomas | 98.56% 0.9993 | RIDER REMBRANDT TCGA-LGG |
| [11] | 2021 | LG-Astrocytomas Anaplastic Astrocytomas | 72.90% 0.825 | Department of Neurosurgery and the Cancer Centre of West China Hospital |
| [12] | 2021 | G-1 Astrocytomas G-2 Astrocytomas G-3 Astrocytomas G-4 Astrocytomas | 96.56% - | Department of Radiology, BVHB, Pakistan |
| Proposed Method | 2025 | G-2 Astrocytomas G-3 Astrocytomas G-4 Astrocytomas | 98.05% 0.9971 | REMBRANDT TCGA-LGG |
Disclaimer/Publisher’s Note: The statements, opinions and data contained in all publications are solely those of the individual author(s) and contributor(s) and not of MDPI and/or the editor(s). MDPI and/or the editor(s) disclaim responsibility for any injury to people or property resulting from any ideas, methods, instructions or products referred to in the content. |
© 2025 by the authors. Licensee MDPI, Basel, Switzerland. This article is an open access article distributed under the terms and conditions of the Creative Commons Attribution (CC BY) license (https://creativecommons.org/licenses/by/4.0/).
Share and Cite
Andrianos, C.C.; Kostopoulos, S.A.; Kalatzis, I.K.; Glotsos, D.T.; Asvestas, P.A.; Cavouras, D.A.; Athanasiadis, E.I. Development of a Fully Optimized Convolutional Neural Network for Astrocytoma Classification in MRI Using Explainable Artificial Intelligence. J. Imaging 2025, 11, 343. https://doi.org/10.3390/jimaging11100343
Andrianos CC, Kostopoulos SA, Kalatzis IK, Glotsos DT, Asvestas PA, Cavouras DA, Athanasiadis EI. Development of a Fully Optimized Convolutional Neural Network for Astrocytoma Classification in MRI Using Explainable Artificial Intelligence. Journal of Imaging. 2025; 11(10):343. https://doi.org/10.3390/jimaging11100343
Chicago/Turabian StyleAndrianos, Christos Ch., Spiros A. Kostopoulos, Ioannis K. Kalatzis, Dimitris Th. Glotsos, Pantelis A. Asvestas, Dionisis A. Cavouras, and Emmanouil I. Athanasiadis. 2025. "Development of a Fully Optimized Convolutional Neural Network for Astrocytoma Classification in MRI Using Explainable Artificial Intelligence" Journal of Imaging 11, no. 10: 343. https://doi.org/10.3390/jimaging11100343
APA StyleAndrianos, C. C., Kostopoulos, S. A., Kalatzis, I. K., Glotsos, D. T., Asvestas, P. A., Cavouras, D. A., & Athanasiadis, E. I. (2025). Development of a Fully Optimized Convolutional Neural Network for Astrocytoma Classification in MRI Using Explainable Artificial Intelligence. Journal of Imaging, 11(10), 343. https://doi.org/10.3390/jimaging11100343

