Realistic Aspects of Cardiac Ultrasound in Rats: Practical Tips for Improved Examination
Abstract
1. Introduction
2. Principles of Echocardiography
3. Practical Aspects of Echocardiography in Rodent Research
3.1. Anesthesia
3.2. Animal Positioning
3.3. Ultrasound Equipment
3.4. Echocardiography Modes
3.4.1. B-Mode
3.4.2. M-Mode
3.4.3. Doppler Mode
3.4.4. Speckle-Tracking Echocardiography
3.4.5. Three-/Four-Dimensional Imaging
4. Data Collection and Analysis
4.1. Measurable Parameters in Rat Echocardiography
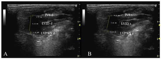
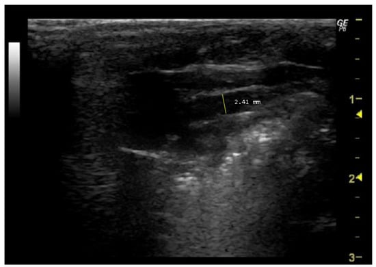
4.1.1. Parasternal Long-Axis (PLAX) View
- How to measure Aod
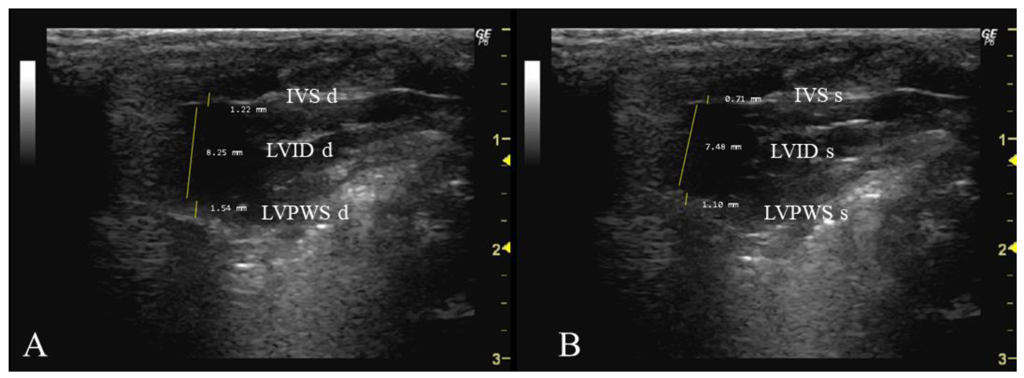
- How to measure IVS, LVID, and LVPW
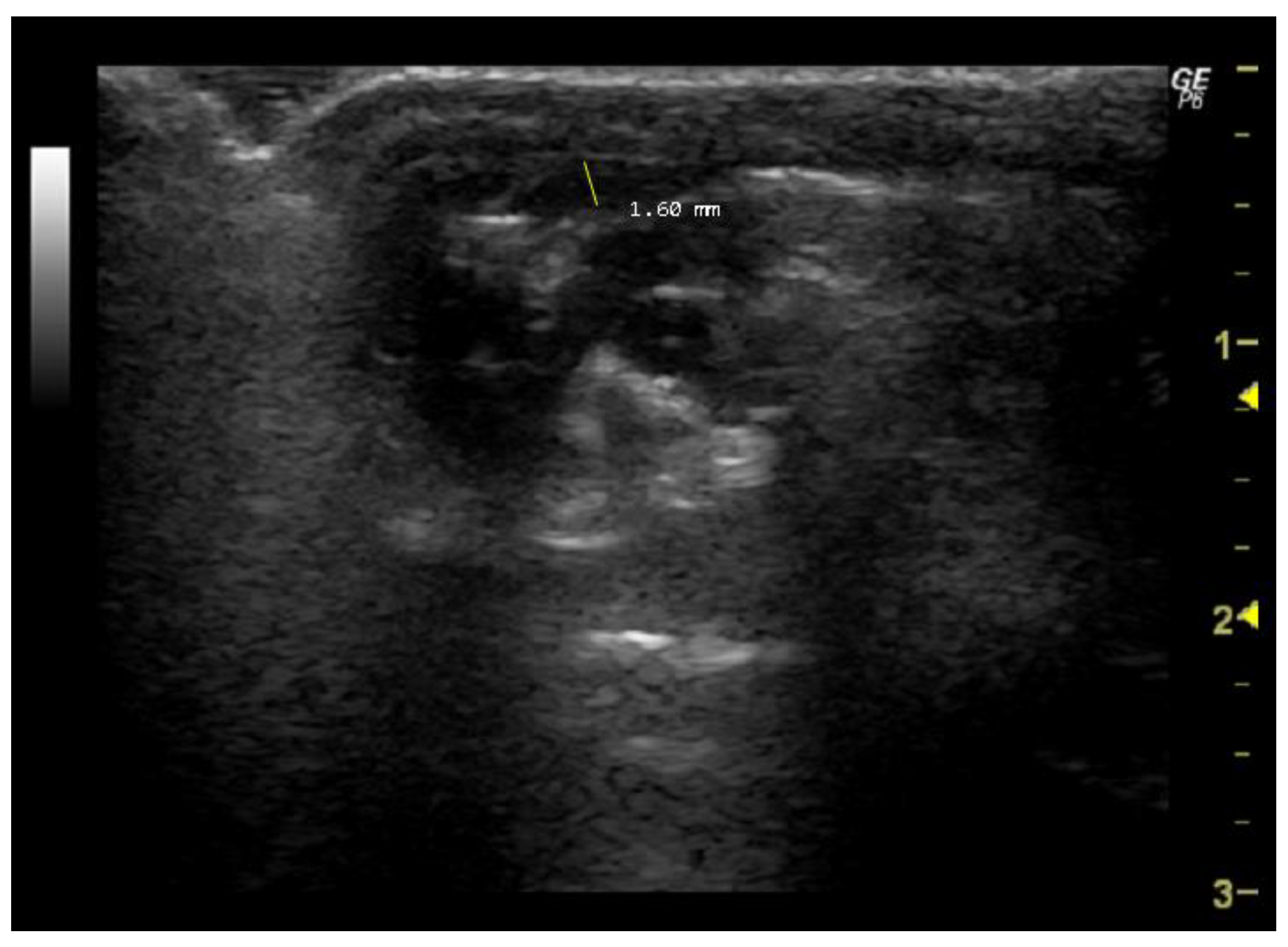
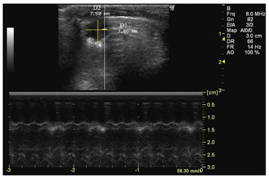
4.1.2. Parasternal Short-Axis (PSAX) View
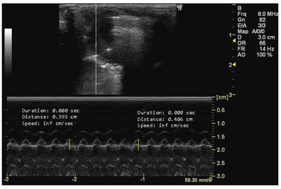
- How to measure HR
- How to measure D1 and D2
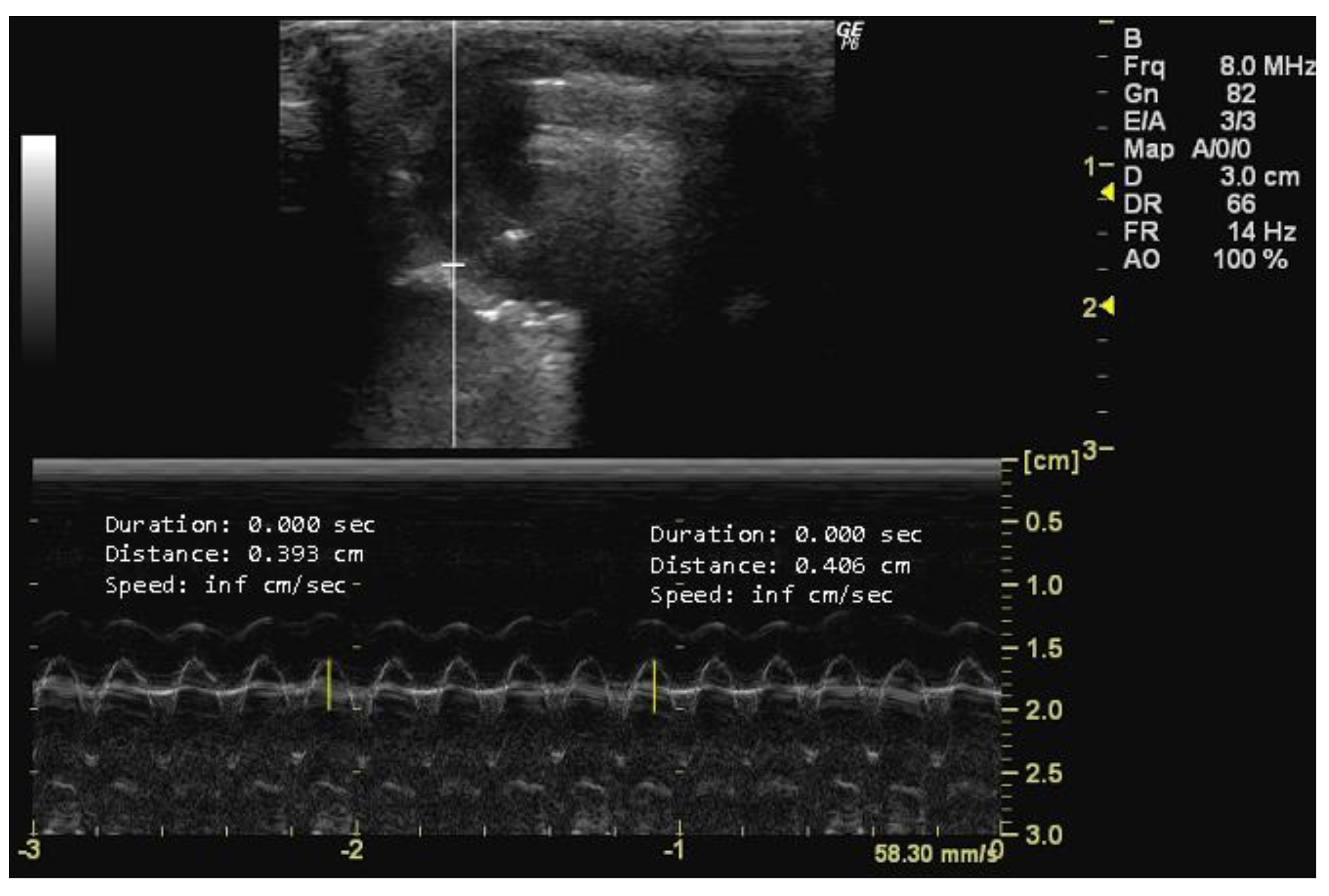
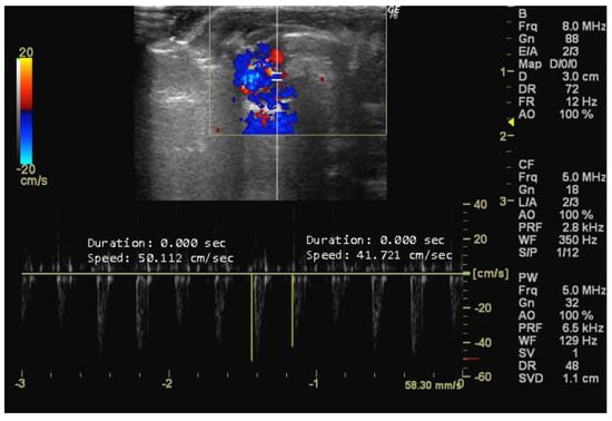
- How to measure PAAT
- How to measure pulmonary artery diameter
4.1.3. Apical View
Apical Four-Chamber View
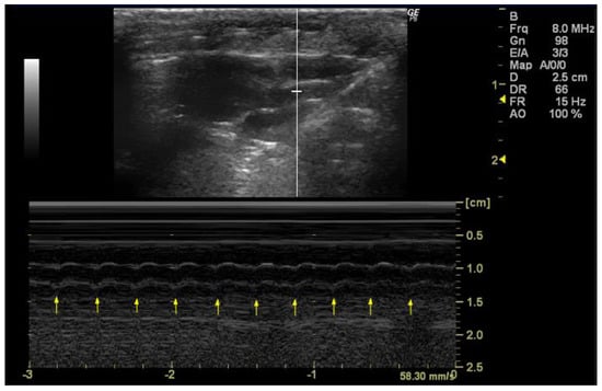
- How to measure TAPSE
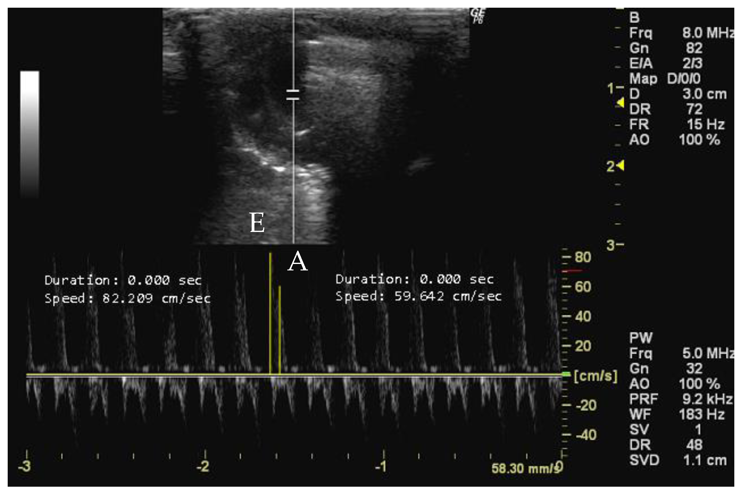
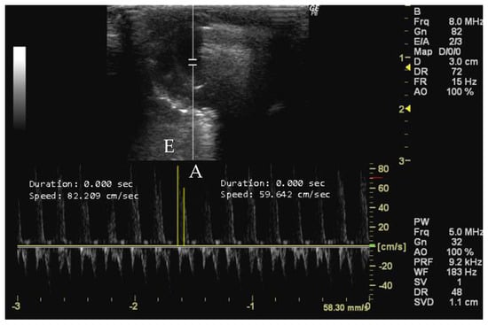
- How to measure E and A peaks
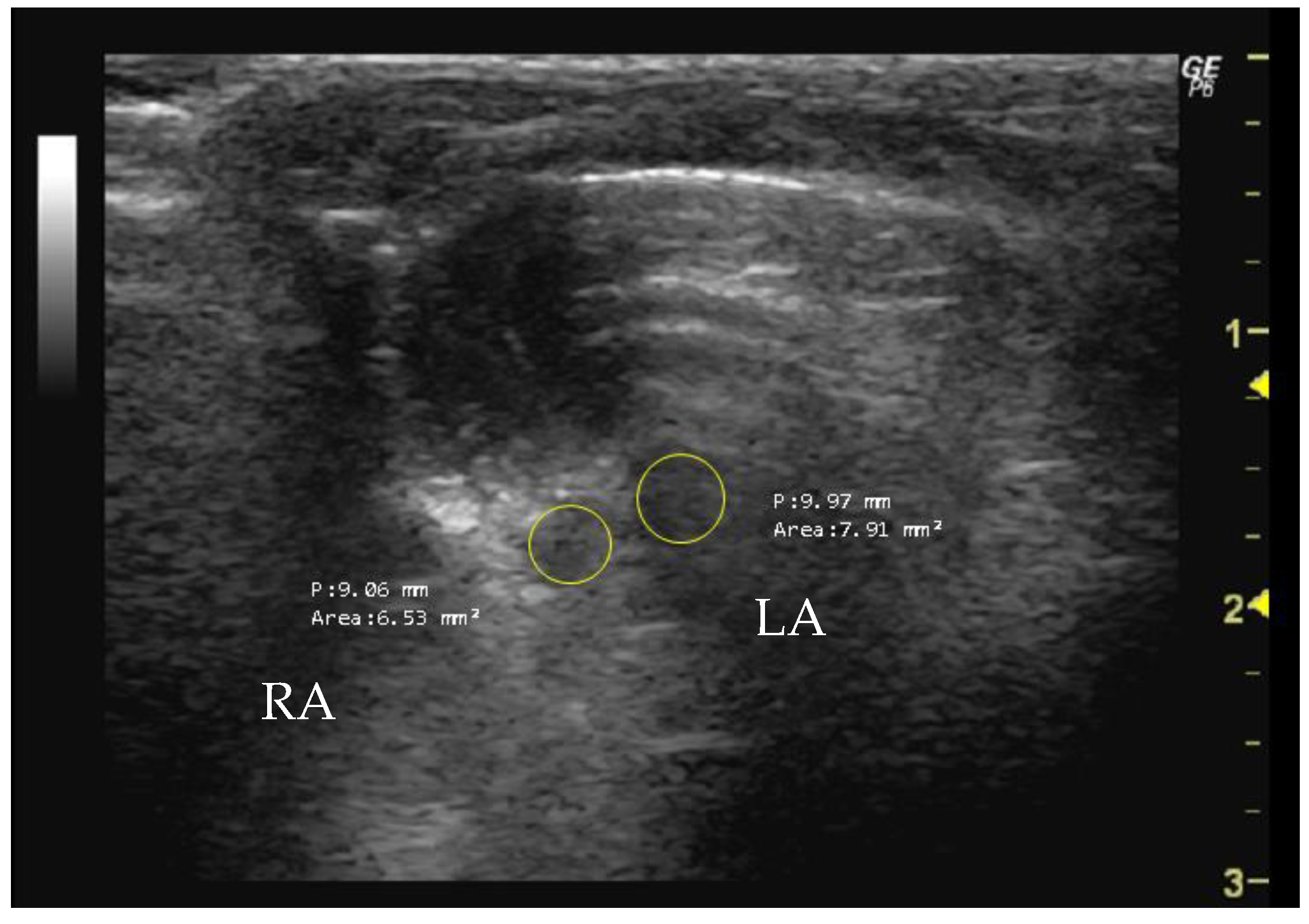
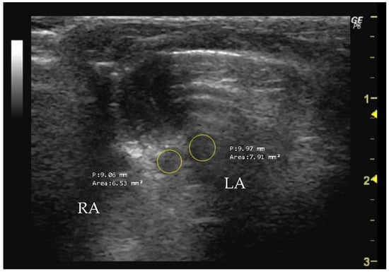
- How to measure RA and LA
Apical Five-Chamber View
- How to measure LVET
| Mode | View | Measurement | Disease/Lifestyle Models | Reference |
|---|---|---|---|---|
| PLAX | B-mode | Aod (mm) | Aging | [100,101] |
| Cancer | [102] | |||
| Cardiac diseases | [103] | |||
| Diabetes | [104] | |||
| IVS (mm) | Aging | [101] | ||
| Cardiac diseases | [71,105] | |||
| Cardiotoxicity | [106,107,108,109] | |||
| Diabetes | [104] | |||
| Exercise | [110] | |||
| Obesity | [111] | |||
| LV (mm) | Aging | [101] | ||
| Cardiac diseases | [103,112] | |||
| LVID (mm) | Aging | [101,113] | ||
| Cancer | [102] | |||
| Cardiac diseases | [105,114] | |||
| Cardiotoxicity | [106,107,109,115,116,117] | |||
| Diabetes | [99,118] | |||
| Exercise | [110,119,120,121,122] | |||
| Obesity | [123] | |||
| LVOT (cm) | Aging | [101] | ||
| Cardiac diseases | [71,124] | |||
| LVPW (mm) | Aging | [101,113] | ||
| Cancer | [102] | |||
| Cardiac diseases | [43,103,105,112] | |||
| Cardiotoxicity | [106,107,108,115] | |||
| Diabetes | [104,125] | |||
| Exercise | [110,119,120,122,126] | |||
| Obesity | [111,123,127] | |||
| PSAX | B-mode | D1 (mm) | Aging | [128] |
| Cardiac diseases | [129] | |||
| Cancer | [130] | |||
| D2 (mm) | Aging | [128] | ||
| Cardiac diseases | [129] | |||
| Cancer | [130] | |||
| M-mode | HR (bpm) | Aging | [113] | |
| Arthritis | [131] | |||
| Cancer | [102] | |||
| Cardiac diseases | [43,105,114] | |||
| Cardiotoxicity | [106,108,116] | |||
| Diabetes | [104] | |||
| Exercise | [120,121] | |||
| Obesity | [123,127] | |||
| Pulsed Doppler | PA diameter (mm) | Cardiac diseases | [103] | |
| PA VTI (cm) | Cardiac diseases | [71] | ||
| PAAT (cm/s) | Cardiac diseases | [109,132] | ||
| 4-chamber | B-mode | LA (mm2) | Aging | [100,101] |
| Cardiac diseases | [124,133] | |||
| Cardiotoxicity | [109] | |||
| RA (mm2) | Aging | [100] | ||
| Cardiac diseases | [124,133] | |||
| M-mode | TAPSE (cm) | Cardiac diseases | [132] | |
| Cardiotoxicity | [109] | |||
| Pulsed Doppler | A-wave (cm/s) | Aging | [113] | |
| Cardiac diseases | [43] | |||
| Cardiotoxicity | [109] | |||
| Diabetes | [99,104,125] | |||
| Exercise | [119] | |||
| E-wave (cm/s) | Aging | [113] | ||
| Cardiac diseases | [43] | |||
| Cardiotoxicity | [109] | |||
| Diabetes | [99,104,125] | |||
| Exercise | [119] | |||
| 5-chamber | Pulsed Doppler | Ao VTI (cm) | Cardiac diseases | [109] |
| Diabetes | [104] | |||
| LVET (cm) | Diabetes | [104] |
4.2. Calculable Parameters in Rodent Echocardiography
5. Practical Protocol
6. Applicability of Echocardiography in Preclinical Research
7. Conclusions
Author Contributions
Funding
Institutional Review Board Statement
Data Availability Statement
Conflicts of Interest
References
- Panis, V.; Donal, E. Imaging Techniques for Cardiac Function. Appl. Sci. 2021, 11, 10549. [Google Scholar] [CrossRef]
- Dietrich, C.F.; Bolondi, L.; Duck, F.; Evans, D.H.; Ewertsen, C.; Fraser, A.G.; Gilja, O.H.; Jenssen, C.; Merz, E.; Nolsoe, C.; et al. History of Ultrasound in Medicine from Its Birth to Date (2022), on Occasion of the 50 Years Anniversary of EFSUMB. A Publication of the European Federation of Societies for Ultrasound in Medicine and Biology (EFSUMB), Designed to Record the Historical Development of Medical Ultrasound. Med. Ultrason. 2022, 24, 434–450. [Google Scholar] [CrossRef]
- Mohamed, A.A.; Arifi, A.A.; Omran, A. The Basics of Echocardiography. J. Saudi Heart Assoc. 2010, 22, 71–76. [Google Scholar] [CrossRef] [PubMed][Green Version]
- Fraser, A.G.; Monaghan, M.J.; van der Steen, A.F.W.; Sutherland, G.R. A Concise History of Echocardiography: Timeline, Pioneers, and Landmark Publications. Eur. Heart J. Cardiovasc. Imaging 2022, 23, 1130–1143. [Google Scholar] [CrossRef] [PubMed]
- Smith, T.J. Multi-Modality Interventional Imaging, an Issue of Interventional Cardiology Clinics, E-Book: Multi-Modality Interventional Imaging, an Issue of Interventional Cardiology Clinics, E-Book; Elsevier Health Sciences: New York, NY, USA, 2023; ISBN 978-0-443-18353-9. [Google Scholar]
- Maleki, M.; Esmaeilzadeh, M. The Evolutionary Development of Echocardiography. Iran. J. Med. Sci. 2012, 37, 222–232. [Google Scholar] [PubMed]
- Nagueh, S.F.; Quiñones, M.A. Important Advances in Technology: Echocardiography. Methodist DeBakey Cardiovasc. J. 2014, 10, 146–151. [Google Scholar] [CrossRef]
- Jia, T.; Wang, C.; Han, Z.; Wang, X.; Ding, M.; Wang, Q. Experimental Rodent Models of Cardiovascular Diseases. Front. Cardiovasc. Med. 2020, 7, 588075. [Google Scholar] [CrossRef]
- Zaragoza, C.; Gomez-Guerrero, C.; Martin-Ventura, J.L.; Blanco-Colio, L.; Lavin, B.; Mallavia, B.; Tarin, C.; Mas, S.; Ortiz, A.; Egido, J. Animal Models of Cardiovascular Diseases. J. Biomed. Biotechnol. 2011, 2011, 497841. [Google Scholar] [CrossRef]
- Patten, R.D.; Hall-Porter, M.R. Small Animal Models of Heart Failure: Development of Novel Therapies, Past and Present. Circ. Heart Fail. 2009, 2, 138–144. [Google Scholar] [CrossRef]
- Silva-Reis, R.; Faustino-Rocha, A.I.; Silva, J.; Valada, A.; Azevedo, T.; Anjos, L.; Gonçalves, L.; Pinto, M.D.L.; Ferreira, R.; Silva, A.M.S.; et al. Studying and Analyzing Humane Endpoints in the Fructose-Fed and Streptozotocin-Injected Rat Model of Diabetes. Animals 2023, 13, 1397. [Google Scholar] [CrossRef]
- Johnson, K. Introduction to Rodent Cardiac Imaging. ILAR J. 2008, 49, 27–34. [Google Scholar] [CrossRef] [PubMed][Green Version]
- Lindsey, M.L.; Kassiri, Z.; Virag, J.A.I.; De Castro Brás, L.E.; Scherrer-Crosbie, M. Guidelines for Measuring Cardiac Physiology in Mice. Am. J. Physiol.-Heart Circ. Physiol. 2018, 314, H733–H752. [Google Scholar] [CrossRef] [PubMed]
- Donner, D.G.; Kiriazis, H.; Du, X.-J.; Marwick, T.H.; McMullen, J.R. Improving the Quality of Preclinical Research Echocardiography: Observations, Training, and Guidelines for Measurement. Am. J. Physiol.-Heart Circ. Physiol. 2018, 315, H58–H70. [Google Scholar] [CrossRef]
- Ram, R.; Mickelsen, D.M.; Theodoropoulos, C.; Blaxall, B.C. New Approaches in Small Animal Echocardiography: Imaging the Sounds of Silence. Am. J. Physiol.-Heart Circ. Physiol. 2011, 301, H1765–H1780. [Google Scholar] [CrossRef] [PubMed]
- Ribeiro, S.; Pereira, A.R.S.; Pinto, A.T.; Rocha, F.; Ministro, A.; Fiuza, M.; Pinto, F.; Santos, S.C.R. Echocardiographic Assessment of Cardiac Anatomy and Function in Adult Rats. J. Vis. Exp. 2019, 154, 60404. [Google Scholar] [CrossRef]
- Lee, S.H.; Park, J.-H. The Role of Echocardiography in Evaluating Cardiovascular Diseases in Patients with Diabetes Mellitus. Diabetes Metab. J. 2023, 47, 470–483. [Google Scholar] [CrossRef]
- Novo, G.; Santoro, C.; Manno, G.; Di Lisi, D.; Esposito, R.; Mandoli, G.E.; Evola, V.; Pastore, M.C.; Sperlongano, S.; D’Andrea, A.; et al. Usefulness of Stress Echocardiography in the Management of Patients Treated with Anticancer Drugs. J. Am. Soc. Echocardiogr. 2021, 34, 107–116. [Google Scholar] [CrossRef]
- Gao, S.; Ho, D.; Vatner, D.E.; Vatner, S.F. Echocardiography in Mice. Curr. Protoc. Mouse Biol. 2011, 1, 71–83. [Google Scholar] [CrossRef]
- Chetrit, M.; Xu, B.; Kwon, D.H.; Ramchand, J.; Rodriguez, R.E.; Tan, C.D.; Jellis, C.L.; Johnston, D.R.; Renapurkar, R.D.; Cremer, P.C.; et al. Imaging-Guided Therapies for Pericardial Diseases. JACC Cardiovasc. Imaging 2020, 13, 1422–1437. [Google Scholar] [CrossRef]
- Miotti, C.; Papa, S.; Manzi, G.; Scoccia, G.; Luongo, F.; Toto, F.; Malerba, C.; Cedrone, N.; Sciomer, S.; Ciciarello, F.; et al. The Growing Role of Echocardiography in Pulmonary Arterial Hypertension Risk Stratification: The Missing Piece. J. Clin. Med. 2021, 10, 619. [Google Scholar] [CrossRef]
- Havasi, K.; Ambrus, N.; Kalapos, A.; Forster, T.; Nemes, A. The Role of Echocardiography in the Management of Adult Patients with Congenital Heart Disease Following Operative Treatment. Cardiovasc. Diagn. Ther. 2018, 8, 771–779. [Google Scholar] [CrossRef] [PubMed]
- Todaro, M.C.; Carerj, S.; Zito, C.; Trifirò, M.P.; Consolo, G.; Khandheria, B. Echocardiographic Evaluation of Right Ventricular-Arterial Coupling in Pulmonary Hypertension. Am. J. Cardiovasc. Dis. 2020, 10, 272–283. [Google Scholar] [PubMed]
- Zhou, J.; Du, M.; Chang, S.; Chen, Z. Artificial Intelligence in Echocardiography: Detection, Functional Evaluation, and Disease Diagnosis. Cardiovasc. Ultrasound 2021, 19, 29. [Google Scholar] [CrossRef]
- Masarone, D.; Kittleson, M.; Gravino, R.; Valente, F.; Petraio, A.; Pacileo, G. The Role of Echocardiography in the Management of Heart Transplant Recipients. Diagnostics 2021, 11, 2338. [Google Scholar] [CrossRef]
- Marwick, T.H. The Role of Echocardiography in Heart Failure. J. Nucl. Med. 2015, 56, 31S–38S. [Google Scholar] [CrossRef]
- Guglielmo, M.; Lin, A.; Dey, D.; Baggiano, A.; Fusini, L.; Muscogiuri, G.; Pontone, G. Epicardial Fat and Coronary Artery Disease: Role of Cardiac Imaging. Atherosclerosis 2021, 321, 30–38. [Google Scholar] [CrossRef] [PubMed]
- Mandeş, L.; Roşca, M.; Ciupercă, D.; Popescu, B.A. The Role of Echocardiography for Diagnosis and Prognostic Stratification in Hypertrophic Cardiomyopathy. J. Echocardiogr. 2020, 18, 137–148. [Google Scholar] [CrossRef]
- Ryan, J.J.; Marsboom, G.; Archer, S.L. Rodent Models of Group 1 Pulmonary Hypertension. Handb. Exp. Pharmacol. 2013, 218, 105–149. [Google Scholar] [CrossRef]
- Allen, P.S.; Dell’Italia, L.J.; Esvelt, M.; Conte, M.L.; Cadillac, J.M.; Myers, D.D. Cardiovascular Research. In The Laboratory Rat; Elsevier: Amsterdam, The Netherlands, 2020; pp. 927–965. ISBN 978-0-12-814338-4. [Google Scholar]
- Mandour, A.S.; Farag, A.; Helal, M.A.Y.; El-Masry, G.; Al-Rejaie, S.; Takahashi, K.; Yoshida, T.; Hamabe, L.; Tanaka, R. Non-Invasive Assessment of the Intraventricular Pressure Using Novel Color M-Mode Echocardiography in Animal Studies: Current Status and Future Perspectives in Veterinary Medicine. Anim. Open Access J. 2023, 13, 2452. [Google Scholar] [CrossRef]
- Jensen, R.V.; Hjortbak, M.V.; Bøtker, H.E. Ischemic Heart Disease: An Update. Semin. Nucl. Med. 2020, 50, 195–207. [Google Scholar] [CrossRef]
- Bader, M. Rat Models of Cardiovascular Diseases. In Rat Genomics; Anegon, I., Ed.; Methods in Molecular Biology; Humana Press: Totowa, NJ, USA, 2010; Volume 597, pp. 403–414. ISBN 978-1-60327-388-6. [Google Scholar]
- Karpov, A.A.; Vaulina, D.D.; Smirnov, S.S.; Moiseeva, O.M.; Galagudza, M.M. Rodent Models of Pulmonary Embolism and Chronic Thromboembolic Pulmonary Hypertension. Heliyon 2022, 8, e09014. [Google Scholar] [CrossRef]
- Ahmadi-Noorbakhsh, S.; Farajli Abbasi, M.; Ghasemi, M.; Bayat, G.; Davoodian, N.; Sharif-Paghaleh, E.; Poormoosavi, S.M.; Rafizadeh, M.; Maleki, M.; Shirzad-Aski, H.; et al. Anesthesia and Analgesia for Common Research Models of Adult Mice. Lab. Anim. Res. 2022, 38, 40. [Google Scholar] [CrossRef] [PubMed]
- Cuijpers, I.; Carai, P.; Mendes-Ferreira, P.; Simmonds, S.J.; Mulder, P.; Miranda-Silva, D.; De Giorgio, D.; Pokreisz, P.; Heymans, S.; Jones, E.A.V. The Effect of Different Anaesthetics on Echocardiographic Evaluation of Diastolic Dysfunction in a Heart Failure with Preserved Ejection Fraction Model. Sci. Rep. 2020, 10, 15701. [Google Scholar] [CrossRef] [PubMed]
- Pachon, R.E.; Scharf, B.A.; Vatner, D.E.; Vatner, S.F. Best Anesthetics for Assessing Left Ventricular Systolic Function by Echocardiography in Mice. Am. J. Physiol. Heart Circ. Physiol. 2015, 308, H1525–H1529. [Google Scholar] [CrossRef]
- Cicero, L.; Salvatore, F.; Vincenzo, D.P.; Giovanni, C.; Attilio, I.L.M. Anesthesia Protocols in Laboratory Animals Used for Scientific Purposes. Acta Bio Medica Atenei Parm. 2018, 89, 337–342. [Google Scholar] [CrossRef]
- Brittain, E.; Penner, N.L.; West, J.; Hemnes, A. Echocardiographic Assessment of the Right Heart in Mice. J. Vis. Exp. 2013, 81, e50912. [Google Scholar] [CrossRef]
- Cokkinos, D.V. (Ed.) Introduction to Translational Cardiovascular Research; Springer International Publishing: Cham, Switzerland, 2015; ISBN 978-3-319-08797-9. [Google Scholar]
- Scherrer-Crosbie, M.; Thibault, H.B. Echocardiography in Translational Research: Of Mice and Men. J. Am. Soc. Echocardiogr. Off. Publ. Am. Soc. Echocardiogr. 2008, 21, 1083–1092. [Google Scholar] [CrossRef] [PubMed]
- Moran, C.M.; Thomson, A.J.W. Preclinical Ultrasound Imaging—A Review of Techniques and Imaging Applications. Front. Phys. 2020, 8, 124. [Google Scholar] [CrossRef]
- Daniels, L.J.; Macindoe, C.; Koutsifeli, P.; Annandale, M.; James, S.L.; Watson, L.E.; Coffey, S.; Raaijmakers, A.J.A.; Weeks, K.L.; Bell, J.R.; et al. Myocardial Deformation Imaging by 2D Speckle Tracking Echocardiography for Assessment of Diastolic Dysfunction in Murine Cardiopathology. Sci. Rep. 2023, 13, 12344. [Google Scholar] [CrossRef]
- Fenster, A.; Parraga, G.; Bax, J. Three-Dimensional Ultrasound Scanning. Interface Focus 2011, 1, 503–519. [Google Scholar] [CrossRef]
- Chen, G.; Li, Y.; Tian, J.; Zhang, L.; Jean-Charles, P.; Gobara, N.; Nan, C.; Jin, J.-P.; Huang, X.P. Application of Echocardiography on Transgenic Mice with Cardiomyopathies. Biochem. Res. Int. 2012, 2012, 715197. [Google Scholar] [CrossRef]
- Singh, S.; Goyal, A. The Origin of Echocardiography. Tex. Heart Inst. J. 2007, 34, 431–438. [Google Scholar]
- Abduch, M.C.D.; Assad, R.S.; Mathias Jr, W.; Aiello, V.D. The Echocardiography in the Cardiovascular Laboratory: A Guide to Research With Animals. Arq. Bras. Cardiol. 2014, 102, 97–103. [Google Scholar] [CrossRef]
- Capotosto, L.; Massoni, F.; De Sio, S.; Ricci, S.; Vitarelli, A. Early Diagnosis of Cardiovascular Diseases in Workers: Role of Standard and Advanced Echocardiography. BioMed Res. Int. 2018, 2018, 7354691. [Google Scholar] [CrossRef] [PubMed]
- Brady, B.; King, G.; Murphy, R.T.; Walsh, D. Myocardial Strain: A Clinical Review. Ir. J. Med. Sci. 2022, 192, 1649–1656. [Google Scholar] [CrossRef]
- Lo Gullo, A.; Rodríguez-Carrio, J.; Gallizzi, R.; Imbalzano, E.; Squadrito, G.; Mandraffino, G. Speckle Tracking Echocardiography as a New Diagnostic Tool for an Assessment of Cardiovascular Disease in Rheumatic Patients. Prog. Cardiovasc. Dis. 2020, 63, 327–340. [Google Scholar] [CrossRef] [PubMed]
- Coulter, S.A.; Campos, K. Artificial Intelligence in Echocardiography. Tex. Heart Inst. J. 2022, 49, e217671. [Google Scholar] [CrossRef] [PubMed]
- Kohut, A.; Patel, N.; Singh, H. Comprehensive Echocardiographic Assessment of the Right Ventricle in Murine Models. J. Cardiovasc. Ultrasound 2016, 24, 229. [Google Scholar] [CrossRef] [PubMed]
- Celebi, A.S.; Yalcin, H.; Yalcin, F. Current Cardiac Imaging Techniques for Detection of Left Ventricular Mass. Cardiovasc. Ultrasound 2010, 8, 19. [Google Scholar] [CrossRef]
- Lang, R.M.; Badano, L.P.; Mor-Avi, V.; Afilalo, J.; Armstrong, A.; Ernande, L.; Flachskampf, F.A.; Foster, E.; Goldstein, S.A.; Kuznetsova, T.; et al. Recommendations for Cardiac Chamber Quantification by Echocardiography in Adults: An Update from the American Society of Echocardiography and the European Association of Cardiovascular Imaging. Eur. Heart J. Cardiovasc. Imaging 2015, 16, 233–271. [Google Scholar] [CrossRef]
- Mukherjee, R.; Sprouse, C.; Pinheiro, A.; Abraham, T.; Burlina, P. Computing Myocardial Motion in 4D Echocardiography. Ultrasound Med. Biol. 2012, 38, 1284–1297. [Google Scholar] [CrossRef] [PubMed][Green Version]
- Takahashi, K.; Mackie, A.S.; Rebeyka, I.M.; Ross, D.B.; Robertson, M.; Dyck, J.D.; Inage, A.; Smallhorn, J.F. Two-Dimensional Versus Transthoracic Real-Time Three-Dimensional Echocardiography in the Evaluation of the Mechanisms and Sites of Atrioventricular Valve Regurgitation in a Congenital Heart Disease Population. J. Am. Soc. Echocardiogr. 2010, 23, 726–734. [Google Scholar] [CrossRef] [PubMed]
- Mcleod, G.; Shum, K.; Gupta, T.; Chakravorty, S.; Kachur, S.; Bienvenu, L.; White, M.; Shah, S.B. Echocardiography in Congenital Heart Disease. Prog. Cardiovasc. Dis. 2018, 61, 468–475. [Google Scholar] [CrossRef] [PubMed]
- Mitchell, C.; Rahko, P.S.; Blauwet, L.A.; Canaday, B.; Finstuen, J.A.; Foster, M.C.; Horton, K.; Ogunyankin, K.O.; Palma, R.A.; Velazquez, E.J. Guidelines for Performing a Comprehensive Transthoracic Echocardiographic Examination in Adults: Recommendations from the American Society of Echocardiography. J. Am. Soc. Echocardiogr. 2019, 32, 1–64. [Google Scholar] [CrossRef] [PubMed]
- Sztechman, D.; Żera, T.; Czarzasta, K.; Wojciechowska, M.; Szczepańska-Sadowska, E.; Cudnoch-Jędrzejewska, A. Transthoracic Echocardiography: From Guidelines for Humans to Cardiac Ultrasound of the Heart in Rats. Physiol. Meas. 2020, 41, 10TR02. [Google Scholar] [CrossRef]
- Daye, D.; Walker, T.G. Complications of Endovascular Aneurysm Repair of the Thoracic and Abdominal Aorta: Evaluation and Management. Cardiovasc. Diagn. Ther. 2018, 8, S138–S156. [Google Scholar] [CrossRef]
- Nienaber, C.A.; Clough, R.E.; Sakalihasan, N.; Suzuki, T.; Gibbs, R.; Mussa, F.; Jenkins, M.P.; Thompson, M.M.; Evangelista, A.; Yeh, J.S.M.; et al. Aortic Dissection. Nat. Rev. Dis. Primer 2016, 2, 16053. [Google Scholar] [CrossRef]
- Chengode, S. Left Ventricular Global Systolic Function Assessment by Echocardiography. Ann. Card. Anaesth. 2016, 19, S26–S34. [Google Scholar] [CrossRef] [PubMed]
- Pantazis, A.; Vischer, A.S.; Perez-Tome, M.C.; Castelletti, S. Diagnosis and Management of Hypertrophic Cardiomyopathy. Echo Res. Pract. 2015, 2, R45–R53. [Google Scholar] [CrossRef]
- Berman, M.N.; Tupper, C.; Bhardwaj, A. Physiology, Left Ventricular Function. In StatPearls; StatPearls Publishing: Treasure Island, FL, USA, 2023. [Google Scholar]
- Fukuta, H.; Little, W.C. The Cardiac Cycle and the Physiologic Basis of Left Ventricular Contraction, Ejection, Relaxation, and Filling. Heart Fail. Clin. 2008, 4, 1–11. [Google Scholar] [CrossRef]
- Bakaya, K.; Paracha, W.; Schievano, S.; Bozkurt, S. Assessment of Cardiac Dimensions in Children Diagnosed with Hypertrophic Cardiomyopathy. Echocardiography 2022, 39, 1233–1239. [Google Scholar] [CrossRef] [PubMed]
- Milićević, B.; Milošević, M.; Simić, V.; Preveden, A.; Velicki, L.; Jakovljević, Đ.; Bosnić, Z.; Pičulin, M.; Žunkovič, B.; Kojić, M.; et al. Machine Learning and Physical Based Modeling for Cardiac Hypertrophy. Heliyon 2023, 9, e16724. [Google Scholar] [CrossRef]
- Walpot, J.; Juneau, D.; Massalha, S.; Dwivedi, G.; Rybicki, F.J.; Chow, B.J.W.; Inácio, J.R. Left Ventricular Mid-Diastolic Wall Thickness: Normal Values for Coronary CT Angiography. Radiol. Cardiothorac. Imaging 2019, 1, e190034. [Google Scholar] [CrossRef]
- Huang, J.; Yan, Z.-N.; Fan, L.; Rui, Y.-F.; Song, X.-T. Left Ventricular Systolic Function Changes in Hypertrophic Cardiomyopathy Patients Detected by the Strain of Different Myocardium Layers and Longitudinal Rotation. BMC Cardiovasc. Disord. 2017, 17, 214. [Google Scholar] [CrossRef]
- Jian, Z.; Wang, X.; Zhang, J.; Wang, X.; Deng, Y. Diagnosis of Left Ventricular Hypertrophy Using Convolutional Neural Network. BMC Med. Inform. Decis. Mak. 2020, 20, 243. [Google Scholar] [CrossRef]
- Todd, E.A.; Williams, M.; Kamiar, A.; Rasmussen, M.A.; Shehadeh, L.A. Echocardiography Protocol: A Tool for Infrequently Used Parameters in Mice. Front. Cardiovasc. Med. 2022, 9, 1038385. [Google Scholar] [CrossRef]
- Bhattacharya, P.T.; Troutman, G.S.; Mao, F.; Fox, A.L.; Tanna, M.S.; Zamani, P.; Grandin, E.W.; Menachem, J.N.; Birati, E.Y.; Chirinos, J.A.; et al. Right Ventricular Outflow Tract Velocity Time Integral-to-Pulmonary Artery Systolic Pressure Ratio: A Non-Invasive Metric of Pulmonary Arterial Compliance Differs Across the Spectrum of Pulmonary Hypertension. Pulm. Circ. 2019, 9, 2045894019841978. [Google Scholar] [CrossRef] [PubMed]
- Buetow, B.S.; Laflamme, M.A. Cardiovascular. In Comparative Anatomy and Histology; Elsevier: Amsterdam, The Netherlands, 2018; pp. 163–189. ISBN 978-0-12-802900-8. [Google Scholar]
- Gopalan, C.; Kirk, E. Chapter 1—The Heart. In Biology of Cardiovascular and Metabolic Diseases; Gopalan, C., Kirk, E., Eds.; Academic Press: New York, NY, USA, 2022; pp. 1–33. ISBN 978-0-12-823421-1. [Google Scholar]
- Porter, T.R.; Shillcutt, S.K.; Adams, M.S.; Desjardins, G.; Glas, K.E.; Olson, J.J.; Troughton, R.W. Guidelines for the Use of Echocardiography as a Monitor for Therapeutic Intervention in Adults: A Report from the American Society of Echocardiography. J. Am. Soc. Echocardiogr. 2015, 28, 40–56. [Google Scholar] [CrossRef] [PubMed]
- Tissot, C.; Singh, Y.; Sekarski, N. Echocardiographic Evaluation of Ventricular Function—For the Neonatologist and Pediatric Intensivist. Front. Pediatr. 2018, 6, 79. [Google Scholar] [CrossRef]
- Burkett, D.A.; Patel, S.S.; Mertens, L.; Friedberg, M.K.; Ivy, D.D. Relationship Between Left Ventricular Geometry and Invasive Hemodynamics in Pediatric Pulmonary Hypertension. Circ. Cardiovasc. Imaging 2020, 13, e009825. [Google Scholar] [CrossRef]
- Chetrit, M.; Roujol, S.; Picard, M.H.; Timmins, L.; Manning, W.J.; Rudski, L.G.; Levine, R.A.; Afilalo, J. Optimal Technique for Measurement of Linear Left Ventricular Dimensions. J. Am. Soc. Echocardiogr. Off. Publ. Am. Soc. Echocardiogr. 2019, 32, 476–483. [Google Scholar] [CrossRef]
- Dammassa, V.; Corradi, F.; Colombo, C.N.J.; Mojoli, F.; Price, S.; Tavazzi, G. Pulmonary Artery Acceleration Time Accuracy for Systolic Pulmonary Artery Pressure Estimation in Critically Ill Patients. Ultrasound J. 2022, 14, 26. [Google Scholar] [CrossRef] [PubMed]
- Levy, P.T.; Patel, M.D.; Groh, G.; Choudhry, S.; Murphy, J.; Holland, M.R.; Hamvas, A.; Grady, M.R.; Singh, G.K. Pulmonary Artery Acceleration Time Provides a Reliable Estimate of Invasive Pulmonary Hemodynamics in Children. J. Am. Soc. Echocardiogr. Off. Publ. Am. Soc. Echocardiogr. 2016, 29, 1056–1065. [Google Scholar] [CrossRef] [PubMed]
- Koestenberger, M.; Grangl, G.; Avian, A.; Gamillscheg, A.; Grillitsch, M.; Cvirn, G.; Burmas, A.; Hansmann, G. Normal Reference Values and z Scores of the Pulmonary Artery Acceleration Time in Children and Its Importance for the Assessment of Pulmonary Hypertension. Circ. Cardiovasc. Imaging 2017, 10, e005336. [Google Scholar] [CrossRef] [PubMed]
- Parasuraman, S.; Walker, S.; Loudon, B.L.; Gollop, N.D.; Wilson, A.M.; Lowery, C.; Frenneaux, M.P. Assessment of Pulmonary Artery Pressure by Echocardiography—A Comprehensive Review. Int. J. Cardiol. Heart Vasc. 2016, 12, 45–51. [Google Scholar] [CrossRef]
- Crisler, R.; Johnston, N.A.; Sivula, C.; Budelsky, C.L. Functional Anatomy and Physiology. In The Laboratory Rat; Elsevier: Amsterdam, The Netherlands, 2020; pp. 91–132. ISBN 978-0-12-814338-4. [Google Scholar]
- Feher, J. The Heart as a Pump. In Quantitative Human Physiology; Elsevier: Amsterdam, The Netherlands, 2012; pp. 516–524. ISBN 978-0-12-800883-6. [Google Scholar]
- Mehta, Y.; Arora, D. Newer Methods of Cardiac Output Monitoring. World J. Cardiol. 2014, 6, 1022–1029. [Google Scholar] [CrossRef] [PubMed]
- Blanco, P. Rationale for Using the Velocity–Time Integral and the Minute Distance for Assessing the Stroke Volume and Cardiac Output in Point-of-Care Settings. Ultrasound J. 2020, 12, 21. [Google Scholar] [CrossRef] [PubMed]
- Oikawa, M.; Kobayashi, A.; Sato, T.; Suzuki, S.; Yoshihisa, A.; Nakazato, K.; Suzuki, H.; Saitoh, S.; Takeishi, Y. The Usefulness of Combined Assessment of E/E′ Ratio and Transmitral Flow Pattern to Interpret Cardiac Condition. Fukushima J. Med. Sci. 2017, 63, 16–21. [Google Scholar] [CrossRef] [PubMed][Green Version]
- Nishimura, R.A.; Borlaug, B.A. Diastology for the Clinician. J. Cardiol. 2019, 73, 445–452. [Google Scholar] [CrossRef]
- Ancona, R.; Comenale Pinto, S.; Caso, P.; D’Andrea, A.; Di Salvo, G.; Arenga, F.; Coppola, M.G.; Sellitto, V.; Macrino, M.; Calabrò, R. Left Atrium by Echocardiography in Clinical Practice: From Conventional Methods to New Echocardiographic Techniques. Sci. World J. 2014, 2014, 451042. [Google Scholar] [CrossRef]
- Schweintzger, S.; Kurath-Koller, S.; Burmas, A.; Grangl, G.; Fandl, A.; Noessler, N.; Avian, A.; Gamillscheg, A.; Chouvarine, P.; Hansmann, G.; et al. Normal Echocardiographic Reference Values of the Right Ventricular to Left Ventricular Endsystolic Diameter Ratio and the Left Ventricular Endsystolic Eccentricity Index in Healthy Children and in Children With Pulmonary Hypertension. Front. Cardiovasc. Med. 2022, 9, 950765. [Google Scholar] [CrossRef] [PubMed]
- Parajuli, P.; Ahmed, A.A. Left Atrial Enlargement. In StatPearls; StatPearls Publishing: Treasure Island, FL, USA, 2023. [Google Scholar]
- Wang, H.; Lei, W.; Liu, J.; Yang, B.; Li, H.; Huang, D. The Diastolic and Systolic Velocity-Time Integral Ratio of the Aortic Isthmus Is a Sensitive Indicator of Aortic Coarctation in Fetuses. J. Am. Soc. Echocardiogr. Off. Publ. Am. Soc. Echocardiogr. 2019, 32, 1470–1476. [Google Scholar] [CrossRef] [PubMed]
- de Boer, R.A.; Meijers, W.C.; van der Meer, P.; van Veldhuisen, D.J. Cancer and Heart Disease: Associations and Relations. Eur. J. Heart Fail. 2019, 21, 1515–1525. [Google Scholar] [CrossRef] [PubMed]
- Hayward, R.; Lien, C.-Y. Echocardiographic Evaluation of Cardiac Structure and Function during Exercise Training in the Developing Sprague–Dawley Rat. J. Am. Assoc. Lab. Anim. Sci. JAALAS 2011, 50, 454–461. [Google Scholar] [PubMed]
- L’Abbate, S.; Chianca, M.; Fabiani, I.; Del Franco, A.; Giannoni, A.; Vergaro, G.; Grigoratos, C.; Kusmic, C.; Passino, C.; D’Alessandra, Y.; et al. In Vivo Murine Models of Cardiotoxicity Due to Anticancer Drugs: Challenges and Opportunities for Clinical Translation. J Cardiovasc. Transl. Res. 2022, 15, 1143–1162. [Google Scholar] [CrossRef] [PubMed]
- Cannizzaro, M.T.; Inserra, M.C.; Passaniti, G.; Celona, A.; D’Angelo, T.; Romeo, P.; Basile, A. Role of Advanced Cardiovascular Imaging in Chemotherapy-Induced Cardiotoxicity. Heliyon 2023, 9, e15226. [Google Scholar] [CrossRef]
- Dhuli, K.; Naureen, Z.; Medori, M.C.; Fiorentti, F.; Caruso, P.; Perrone, M.A.; Nodari, S.; Manganotti, P.; Xhufi, S.; Bushati, M.; et al. Physical Activity for Health. J. Prev. Med. Hyg. 2022, 63, E150–E159. [Google Scholar] [CrossRef]
- Elagizi, A.; Kachur, S.; Carbone, S.; Lavie, C.J.; Blair, S.N. A Review of Obesity, Physical Activity, and Cardiovascular Disease. Curr. Obes. Rep. 2020, 9, 571–581. [Google Scholar] [CrossRef]
- Cohen, C.D.; De Blasio, M.J.; Lee, M.K.S.; Farrugia, G.E.; Prakoso, D.; Krstevski, C.; Deo, M.; Donner, D.G.; Kiriazis, H.; Flynn, M.C.; et al. Diastolic Dysfunction in a Pre-Clinical Model of Diabetes Is Associated with Changes in the Cardiac Non-Myocyte Cellular Composition. Cardiovasc. Diabetol. 2021, 20, 116. [Google Scholar] [CrossRef]
- Hinton, R.B.; Alfieri, C.M.; Witt, S.A.; Glascock, B.J.; Khoury, P.R.; Benson, D.W.; Yutzey, K.E. Mouse Heart Valve Structure and Function: Echocardiographic and Morphometric Analyses From the Fetus Through The Aged Adult. Am. J. Physiol.-Heart Circ. Physiol. 2008, 294, H2480–H2488. [Google Scholar] [CrossRef]
- Kitpipatkun, P.; Sukwan, C. Echocardiographic Parameters in Different Age and Sex of Sprague-Dawley Rats under Isoflurane Anesthesia. Vet. Integr. Sci. 2022, 20, 117–131. [Google Scholar] [CrossRef]
- Meijles, D.N.; Cull, J.J.; Cooper, S.T.E.; Markou, T.; Hardyman, M.A.; Fuller, S.J.; Alharbi, H.O.; Haines, Z.H.R.; Alcantara-Alonso, V.; Glennon, P.E.; et al. The Anti-Cancer Drug Dabrafenib Is Not Cardiotoxic and Inhibits Cardiac Remodelling and Fibrosis in a Murine Model of Hypertension. Clin. Sci. 2021, 135, 1631–1647. [Google Scholar] [CrossRef]
- Kessler, J.; Totoson, P.; Devaux, S.; Moretto, J.; Wendling, D.; Demougeot, C. Animal Models to Study Pathogenesis and Treatments of Cardiac Disorders in Rheumatoid Arthritis: Advances and Challenges for Clinical Translation. Pharmacol. Res. 2021, 170, 105494. [Google Scholar] [CrossRef]
- Silva, A.F.R.; Silva-Reis, R.; Ferreira, R.; Oliveira, P.A.; Faustino-Rocha, A.I.; Pinto, M.D.L.; Coimbra, M.A.; Silva, A.M.S.; Cardoso, S.M. The Impact of Resveratrol-Enriched Bread on Cardiac Remodeling in a Preclinical Model of Diabetes. Antioxidants 2023, 12, 1066. [Google Scholar] [CrossRef]
- Orgil, B.-O.; Xu, F.; Munkhsaikhan, U.; Alberson, N.R.; Bajpai, A.K.; Johnson, J.N.; Sun, Y.; Towbin, J.A.; Lu, L.; Purevjav, E. Echocardiography Phenotyping in Murine Genetic Reference Population of BXD Strains Reveals Significant QTLs Associated with Cardiac Function and Morphology. Physiol. Genom. 2023, 55, 51–66. [Google Scholar] [CrossRef]
- Hoffman, R.K.; Kim, B.-J.; Shah, P.D.; Carver, J.; Ky, B.; Ryeom, S. Damage to Cardiac Vasculature May Be Associated with Breast Cancer Treatment-Induced Cardiotoxicity. Cardio-Oncology 2021, 7, 15. [Google Scholar] [CrossRef]
- Dulf, P.L.; Mocan, M.; Coadă, C.A.; Dulf, D.V.; Moldovan, R.; Baldea, I.; Farcas, A.-D.; Blendea, D.; Filip, A.G. Doxorubicin-Induced Acute Cardiotoxicity Is Associated with Increased Oxidative Stress, Autophagy, and Inflammation in a Murine Model. Naunyn. Schmiedebergs Arch. Pharmacol. 2023, 396, 1105–1115. [Google Scholar] [CrossRef]
- Saleh, M.F.; Elsayad, M.E.; Goda, A.E. Mitigation of Doxorubicin-Induced Cardiotoxicity by Dichloroacetate: Potential Roles of Restoration of PGC-1α/SIRT3 Signaling and Suppression of Oxidative Stress and Apoptosis. Eur. Rev. Med. Pharmacol. Sci. 2021, 25, 6573–6584. [Google Scholar] [CrossRef] [PubMed]
- O’Riordan, C.E.; Trochet, P.; Steiner, M.; Fuchs, D. Standardisation and Future of Preclinical Echocardiography. Mamm. Genome 2023, 34, 123–155. [Google Scholar] [CrossRef]
- Gomes-Santos, I.L.; Jordão, C.P.; Passos, C.S.; Brum, P.C.; Oliveira, E.M.; Chammas, R.; Camargo, A.A.; Negrão, C.E. Exercise Training Preserves Myocardial Strain and Improves Exercise Tolerance in Doxorubicin-Induced Cardiotoxicity. Front. Cardiovasc. Med. 2021, 8, 605993. [Google Scholar] [CrossRef] [PubMed]
- L’Abbate, S.; Di Lascio, N.; Nicolini, G.; Forini, F.; Faita, F.; Kusmic, C. Murine Model of Left Ventricular Diastolic Dysfunction and Electro-Mechanical Uncoupling Following High-Fat Diet. Int. J. Obes. 2020, 44, 1428–1439. [Google Scholar] [CrossRef]
- Duan, C.; Montgomery, M.K.; Chen, X.; Ullas, S.; Stansfield, J.; McElhanon, K.; Hirenallur-Shanthappa, D. Fully Automated Mouse Echocardiography Analysis Using Deep Convolutional Neural Networks. Am. J. Physiol.-Heart Circ. Physiol. 2022, 323, H628–H639. [Google Scholar] [CrossRef]
- Zhang, T.Y.; Zhao, B.J.; Wang, T.; Wang, J. Effect of Aging and Sex on Cardiovascular Structure and Function in Wildtype Mice Assessed with Echocardiography. Sci. Rep. 2021, 11, 22800. [Google Scholar] [CrossRef] [PubMed]
- Fu, F.; Pietropaolo, M.; Cui, L.; Pandit, S.; Li, W.; Tarnavski, O.; Shetty, S.S.; Liu, J.; Lussier, J.M.; Murakami, Y.; et al. Lack of Authentic Atrial Fibrillation in Commonly Used Murine Atrial Fibrillation Models. PLoS ONE 2022, 17, e0256512. [Google Scholar] [CrossRef] [PubMed]
- Eekhoudt, C.R.; Bortoluzzi, T.; Varghese, S.S.; Cheung, D.Y.C.; Christie, S.; Eastman, S.; Mittal, I.; Austria, J.A.; Aukema, H.M.; Ravandi, A.; et al. Comparing Flaxseed and Perindopril in the Prevention of Doxorubicin and Trastuzumab-Induced Cardiotoxicity in C57Bl/6 Mice. Curr. Oncol. 2022, 29, 2941–2953. [Google Scholar] [CrossRef]
- Li, X.; Liang, J.; Qu, L.; Liu, S.; Qin, A.; Liu, H.; Wang, T.; Li, W.; Zou, W. Exploring the Role of Ferroptosis in the Doxorubicin-Induced Chronic Cardiotoxicity Using a Murine Model. Chem. Biol. Interact. 2022, 363, 110008. [Google Scholar] [CrossRef] [PubMed]
- Nicol, M.; Sadoune, M.; Polidano, E.; Launay, J.M.; Samuel, J.L.; Azibani, F.; Cohen-Solal, A. Doxorubicin-Induced and Trastuzumab-Induced Cardiotoxicity in Mice Is Not Prevented by Metoprolol. ESC Heart Fail. 2021, 8, 928–937. [Google Scholar] [CrossRef]
- Madonna, R.; Doria, V.; Minnucci, I.; Pucci, A.; Pierdomenico, D.S.; De Caterina, R. Empagliflozin Reduces the Senescence of Cardiac Stromal Cells and Improves Cardiac Function in a Murine Model of Diabetes. J. Cell. Mol. Med. 2020, 24, 12331–12340. [Google Scholar] [CrossRef]
- Huffman, K.M.; Andonian, B.J.; Abraham, D.M.; Bareja, A.; Lee, D.E.; Katz, L.H.; Huebner, J.L.; Kraus, W.E.; White, J.P. Exercise Protects Against Cardiac and Skeletal Muscle Dysfunction in a Mouse Model of Inflammatory Arthritis. J. Appl. Physiol. 2021, 130, 853–864. [Google Scholar] [CrossRef]
- Dede, E.; Liapis, D.; Davos, C.; Katsimpoulas, M.; Varela, A.; Mpotis, I.; Kostomitsopoulos, N.; Kadoglou, N.P.E. The Effects of Exercise Training on Cardiac Matrix Metalloproteinases Activity and Cardiac Function in Mice with Diabetic Cardiomyopathy. Biochem. Biophys. Res. Commun. 2022, 586, 8–13. [Google Scholar] [CrossRef]
- Semmler, L.; Jeising, T.; Huettemeister, J.; Bathe-Peters, M.; Georgoula, K.; Roshanbin, R.; Sander, P.; Fu, S.; Bode, D.; Hohendanner, F.; et al. Impairment of the Adrenergic Reserve Associated with Exercise Intolerance in a Murine Model of Heart Failure with Preserved Ejection Fraction. Acta Physiol. 2023, 240, e14124. [Google Scholar] [CrossRef] [PubMed]
- Caldwell, J.T.; Jones, K.M.D.; Park, H.; Pinto, J.R.; Ghosh, P.; Reid-Foley, E.C.; Ulrich, B.; Delp, M.D.; Behnke, B.J.; Muller-Delp, J.M. Aerobic Exercise Training Reduces Cardiac Function and Coronary Flow-Induced Vasodilation in Mice Lacking Adiponectin. Am. J. Physiol.-Heart Circ. Physiol. 2021, 321, H1–H14. [Google Scholar] [CrossRef] [PubMed]
- Yang, X.; Xiong, T.; Ning, D.; Wang, T.; Zhong, H.; Tang, S.; Mao, Y.; Zhu, G.; Wang, D. Long-Term Atorvastatin or The Combination of Atorvastatin and Nicotinamide Ameliorate Insulin Resistance and Left Ventricular Diastolic Dysfunction in a Murine Model of Obesity. Toxicol. Appl. Pharmacol. 2020, 402, 115132. [Google Scholar] [CrossRef]
- Zhang, M.J.; Gyberg, D.J.; Healy, C.L.; Zhang, N.; Liu, H.; Dudley, S.C.; O’Connell, T.D. Atrial Myopathy Quantified by Speckle-Tracking Echocardiography in Mice. Circ. Cardiovasc. Imaging 2023, 16, e015735. [Google Scholar] [CrossRef] [PubMed]
- De Blasio, M.J.; Huynh, N.; Deo, M.; Dubrana, L.E.; Prakoso, D.; Donner, D.G.; Chatham, J.C.; Ritchie, R.H. Defining the Progression of Diabetic Cardiomyopathy in a Mouse Model of Type 1 Diabetes. Front. Physiol. 2020, 11, 124. [Google Scholar] [CrossRef] [PubMed]
- Lerchenmüller, C.; Vujic, A.; Mittag, S.; Wang, A.; Rabolli, C.P.; Heß, C.; Betge, F.; Rangrez, A.Y.; Chaklader, M.; Guillermier, C.; et al. Restoration of Cardiomyogenesis in Aged Mouse Hearts by Voluntary Exercise. Circulation 2022, 146, 412–426. [Google Scholar] [CrossRef]
- Lohr, D.; Thiele, A.; Stahnke, M.; Braun, V.; Smeir, E.; Spranger, J.; Brachs, S.; Klopfleisch, R.; Foryst-Ludwig, A.; Schreiber, L.M.; et al. Assessment of Myocardial Microstructure in a Murine Model of Obesity-Related Cardiac Dysfunction by Diffusion Tensor Magnetic Resonance Imaging at 7T. Front. Cardiovasc. Med. 2022, 9, 839714. [Google Scholar] [CrossRef]
- Gimelli, A.; Liga, R.; Clemente, A.; Marras, G.; Kusch, A.; Marzullo, P. Left Ventricular Eccentricity Index Measured with SPECT Myocardial Perfusion Imaging: An Additional Parameter of Adverse Cardiac Remodeling. J. Nucl. Cardiol. 2020, 27, 71–79. [Google Scholar] [CrossRef]
- Sun, M.; Ishii, R.; Okumura, K.; Krauszman, A.; Breitling, S.; Gomez, O.; Hinek, A.; Boo, S.; Hinz, B.; Connelly, K.A.; et al. Experimental Right Ventricular Hypertension Induces Regional β1-Integrin–Mediated Transduction of Hypertrophic and Profibrotic Right and Left Ventricular Signaling. J. Am. Heart Assoc. 2018, 7, e007928. [Google Scholar] [CrossRef]
- Teng, W.H.; McCall, P.J.; Shelley, B.G. The Utility of Eccentricity Index as a Measure of the Right Ventricular Function in a Lung Resection Cohort. J. Cardiovasc. Echogr. 2019, 29, 103–110. [Google Scholar] [CrossRef]
- Bordy, R.; Moretto, J.; Devaux, S.; Wendling, D.; Moretto-Riedweg, K.; Demougeot, C.; Totoson, P. Adjuvant-Induced Arthritis Is a Relevant Model to Mimic Coronary and Myocardial Impairments in Rheumatoid Arthritis. Jt. Bone Spine 2021, 88, 105069. [Google Scholar] [CrossRef] [PubMed]
- Hansen, T.S.; Bubb, K.J.; Schiattarella, G.G.; Ugander, M.; Tan, T.C.; Figtree, G.A. High-Resolution Transthoracic Echocardiography Accurately Detects Pulmonary Arterial Pressure and Decreased Right Ventricular Contractility in a Mouse Model of Pulmonary Fibrosis and Secondary Pulmonary Hypertension. J. Am. Heart Assoc. 2022, 11, e018353. [Google Scholar] [CrossRef] [PubMed]
- Sosnovik, D.E.; Scherrer-Crosbie, M. Biomedical Imaging in Experimental Models of Cardiovascular Disease. Circ. Res. 2022, 130, 1851–1868. [Google Scholar] [CrossRef] [PubMed]
- Ristow, B.; Ali, S.; Na, B.; Turakhia, M.P.; Whooley, M.A.; Schiller, N.B. Predicting Heart Failure Hospitalization and Mortality by Quantitative Echocardiography: Is Body Surface Area the Indexing Method of Choice? The Heart and Soul Study. J. Am. Soc. Echocardiogr. Off. Publ. Am. Soc. Echocardiogr. 2010, 23, 406–413. [Google Scholar] [CrossRef]
- Iglesias-Garriz, I.; Alonso, D.; Garrote, C.; Casares, V.; Vara, J.; De la Torre, J.M.; Rodriguez, M.A.; Fernandez-Vazquez, F. Scaling Echocardiographic Cardiac Dimensions to Body Size: A Bayesian Analysis in Healthy Men and Women. J. Cardiovasc. Imaging 2020, 28, 10–17. [Google Scholar] [CrossRef]
- Cheung, M.C.; Spalding, P.B.; Gutierrez, J.C.; Balkan, W.; Namias, N.; Koniaris, L.G.; Zimmers, T.A. Body Surface Area Prediction in Normal, Hypermuscular, and Obese Mice. J. Surg. Res. 2009, 153, 326–331. [Google Scholar] [CrossRef]
- Li, P.; Yin, R.; Du, B.; Qin, C.; Li, B.; Chan, H.M.; Feng, X. Kinetics and Metabolism of Mercury in Rats Fed with Mercury Contaminated Rice Using Mass Balance and Mercury Isotope Approach. Sci. Total Environ. 2020, 736, 139687. [Google Scholar] [CrossRef]
- Itoh, T.; Kawabe, M.; Nagase, T.; Endo, K.; Miyoshi, M.; Miyahara, K. Body Surface Area Measurements in Male Hartley Guinea Pigs Using a Computed Tomography Scanner. J. Vet. Med. Sci. 2021, 83, 142–145. [Google Scholar] [CrossRef]
- Smiseth, O.A. Evaluation of Left Ventricular Diastolic Function: State of the Art after 35 Years with Doppler Assessment. J. Echocardiogr. 2018, 16, 55–64. [Google Scholar] [CrossRef]
- Schnelle, M.; Catibog, N.; Zhang, M.; Nabeebaccus, A.A.; Anderson, G.; Richards, D.A.; Sawyer, G.; Zhang, X.; Toischer, K.; Hasenfuss, G.; et al. Echocardiographic Evaluation of Diastolic Function in Mouse Models of Heart Disease. J. Mol. Cell. Cardiol. 2018, 114, 20–28. [Google Scholar] [CrossRef]
- Miyashita, S.; Hammoudi, N.; Watanabe, S.; Bikou, O.; Yamada, K.; Aguero, J.; Nomoto, K.; Kariya, T.; Fish, K.; Hajjar, R.J.; et al. Echocardiographic Left Ventricular Mass Estimation: Two-Dimensional Area-Length Method Is Superior to M-Mode Linear Method in Swine Models of Cardiac Diseases. J. Cardiovasc. Transl. Res. 2020, 13, 648–658. [Google Scholar] [CrossRef]
- Supe-Markovina, K.; Nielsen, J.C.; Musani, M.; Panesar, L.E.; Woroniecki, R.P. Assessment of Left Ventricular Mass and Hypertrophy by Cardiovascular Magnetic Resonance Imaging in Pediatric Hypertension. J. Clin. Hypertens. 2016, 18, 976–981. [Google Scholar] [CrossRef] [PubMed]
- Patel, K.; Tiwari, N.; Aronow, W.S.; Spevack, D. Can the Echocardiographic LV Mass Equation Reliably Demonstrate Stable LV Mass Following Acute Change in LV Load? Ann. Transl. Med. 2019, 7, 3. [Google Scholar] [CrossRef] [PubMed]
- Youn, H.J.; Rokosh, G.; Lester, S.J.; Simpson, P.; Schiller, N.B.; Foster, E. Two-Dimensional Echocardiography with a 15-MHz Transducer Is a Promising Alternative for In Vivo Measurement of Left Ventricular Mass in Mice. J. Am. Soc. Echocardiogr. Off. Publ. Am. Soc. Echocardiogr. 1999, 12, 70–75. [Google Scholar] [CrossRef]
- Gaspar, H.A.; Morhy, S.S. The Role of Focused Echocardiography in Pediatric Intensive Care: A Critical Appraisal. BioMed Res. Int. 2015, 2015, 596451. [Google Scholar] [CrossRef]
- Zerbib, Y.; Maizel, J.; Slama, M. Echocardiographic Assessment of Left Ventricular Function. J. Emerg. Crit. Care Med. 2019, 3, 1–9. [Google Scholar] [CrossRef]
- Kato, M.; Kitada, S.; Kawada, Y.; Nakasuka, K.; Kikuchi, S.; Seo, Y.; Ohte, N. Left Ventricular End-Systolic Volume Is a Reliable Predictor of New-Onset Heart Failure with Preserved Left Ventricular Ejection Fraction. Cardiol. Res. Pract. 2020, 2020, 3106012. [Google Scholar] [CrossRef]
- Zacchigna, S.; Paldino, A.; Falcão-Pires, I.; Daskalopoulos, E.P.; Dal Ferro, M.; Vodret, S.; Lesizza, P.; Cannatà, A.; Miranda-Silva, D.; Lourenço, A.P.; et al. Towards Standardization of Echocardiography for the Evaluation of Left Ventricular Function in Adult Rodents: A Position Paper of the ESC Working Group on Myocardial Function. Cardiovasc. Res. 2021, 117, 43–59. [Google Scholar] [CrossRef]
- Tournoux, F.; Petersen, B.; Thibault, H.; Zou, L.; Raher, M.J.; Kurtz, B.; Halpern, E.F.; Chaput, M.; Chao, W.; Picard, M.H.; et al. Validation of Non Invasive Measurements of Cardiac Output in Mice Using Echocardiography. J. Am. Soc. Echocardiogr. Off. Publ. Am. Soc. Echocardiogr. 2011, 24, 465–470. [Google Scholar] [CrossRef]
- Kaiser, R.; Liu, D.; Arias-Loza, P.; Hu, K.; Grotemeyer, K.; Nordbeck, P. Right Ventricular Pressure Overload Directly Affects Left Ventricular Torsion Mechanics in Patients with Precapillary Pulmonary Hypertension. PLoS ONE 2020, 15, e0232544. [Google Scholar] [CrossRef]
- Miller, R.J.H.; Sharir, T.; Otaki, Y.; Gransar, H.; Liang, J.X.; Einstein, A.J.; Fish, M.B.; Ruddy, T.D.; Kaufmann, P.A.; Sinusas, A.J.; et al. Quantitation of Poststress Change in Ventricular Morphology Improves Risk Stratification. J. Nucl. Med. 2021, 62, 1582–1590. [Google Scholar] [CrossRef]
- Roh, J.D.; Houstis, N.; Yu, A.; Chang, B.; Yeri, A.; Li, H.; Hobson, R.; Lerchenmüller, C.; Vujic, A.; Chaudhari, V.; et al. Exercise Training Reverses Cardiac Aging Phenotypes Associated with Heart Failure with Preserved Ejection Fraction in Male Mice. Aging Cell 2020, 19, e13159. [Google Scholar] [CrossRef]
- Rutledge, C.; Cater, G.; McMahon, B.; Guo, L.; Nouraie, S.M.; Wu, Y.; Villanueva, F.; Kaufman, B.A. Commercial 4-Dimensional Echocardiography for Murine Heart Volumetric Evaluation after Myocardial Infarction. Cardiovasc. Ultrasound 2020, 18, 9. [Google Scholar] [CrossRef] [PubMed]
- Naasner, L.; Froese, N.; Hofmann, W.; Galuppo, P.; Werlein, C.; Shymotiuk, I.; Szaroszyk, M.; Erschow, S.; Amanakis, G.; Bähre, H.; et al. Vitamin A Preserves Cardiac Energetic Gene Expression in a Murine Model of Diet-Induced Obesity. Am. J. Physiol.-Heart Circ. Physiol. 2022, 323, H1352–H1364. [Google Scholar] [CrossRef] [PubMed]
- de Lucia, C.; Wallner, M.; Eaton, D.M.; Zhao, H.; Houser, S.R.; Koch, W.J. Echocardiographic Strain Analysis for the Early Detection of Left Ventricular Systolic/Diastolic Dysfunction and Dyssynchrony in a Mouse Model of Physiological Aging. J. Gerontol. A Biol. Sci. Med. Sci. 2019, 74, 455–461. [Google Scholar] [CrossRef] [PubMed]
- Chen, H.-Y.; Lin, C.-S.; Fang, W.-H.; Lou, Y.-S.; Cheng, C.-C.; Lee, C.-C.; Lin, C. Artificial Intelligence-Enabled Electrocardiography Predicts Left Ventricular Dysfunction and Future Cardiovascular Outcomes: A Retrospective Analysis. J. Pers. Med. 2022, 12, 455. [Google Scholar] [CrossRef]
- Peverill, R.E. Changes in Left Ventricular Size, Geometry, Pump Function and Left Heart Pressures during Healthy Aging. Rev. Cardiovasc. Med. 2021, 22, 717–729. [Google Scholar] [CrossRef]
- Renjith, A.S.; Marwaha, V.; Aggarwal, N.; Koshy, V.; Singal, V.K.; Kumar, K.V.S.H. Prevalence of Left Ventricular Dysfunction in Rheumatoid Arthritis. J. Fam. Med. Prim. Care 2017, 6, 622–626. [Google Scholar] [CrossRef]
- Maayah, Z.H.; Takahara, S.; Alam, A.S.; Ferdaoussi, M.; Sutendra, G.; El-Kadi, A.O.S.; Mackey, J.R.; Pituskin, E.; Paterson, D.I.; Dyck, J.R.B. Breast Cancer Diagnosis Is Associated with Relative Left Ventricular Hypertrophy and Elevated Endothelin-1 Signaling. BMC Cancer 2020, 20, 751. [Google Scholar] [CrossRef]
- Chen, B.; Geng, J.; Gao, S.-X.; Yue, W.-W.; Liu, Q. Eplerenone Modulates Interleukin-33/sST2 Signaling and IL-1β in Left Ventricular Systolic Dysfunction after Acute Myocardial Infarction. J. Interferon Cytokine Res. 2018, 38, 137–144. [Google Scholar] [CrossRef]
- Wu, K.-L.; Liang, Q.-H.; Huang, B.-T.; Ding, N.; Li, B.-W.; Hao, J. The Plasma Level of mCRP Is Linked to Cardiovascular Disease in Antineutrophil Cytoplasmic Antibody-Associated Vasculitis. Arthritis Res. Ther. 2020, 22, 228. [Google Scholar] [CrossRef]
- Meléndez, G.C.; Sukpraphrute, B.; D’Agostino, R.B.; Jordan, J.H.; Klepin, H.D.; Ellis, L.; Lamar, Z.; Vasu, S.; Lesser, G.; Burke, G.L.; et al. Frequency of Left Ventricular End-Diastolic Volume Mediated Declines in Ejection Fraction in Patients Receiving Potentially Cardiotoxic Cancer Treatment. Am. J. Cardiol. 2017, 119, 1637–1642. [Google Scholar] [CrossRef] [PubMed]
- Cosyns, B.; Droogmans, S.; Weytjens, C.; Lahoutte, T.; Van Camp, G.; Schoors, D.; Franken, P.R. Effect of Streptozotocin-Induced Diabetes on Left Ventricular Function in Adult Rats: An In Vivo Pinhole Gated SPECT Study. Cardiovasc. Diabetol. 2007, 6, 30. [Google Scholar] [CrossRef]
- Radovits, T.; Oláh, A.; Lux, Á.; Németh, B.T.; Hidi, L.; Birtalan, E.; Kellermayer, D.; Mátyás, C.; Szabó, G.; Merkely, B. Rat Model of Exercise-Induced Cardiac Hypertrophy: Hemodynamic Characterization Using Left Ventricular Pressure-Volume Analysis. Am. J. Physiol.-Heart Circ. Physiol. 2013, 305, H124–H134. [Google Scholar] [CrossRef] [PubMed]
- Oláh, A.; Kovács, A.; Lux, Á.; Tokodi, M.; Braun, S.; Lakatos, B.K.; Mátyás, C.; Kellermayer, D.; Ruppert, M.; Sayour, A.A.; et al. Characterization of the Dynamic Changes in Left Ventricular Morphology and Function Induced by Exercise Training and Detraining. Int. J. Cardiol. 2019, 277, 178–185. [Google Scholar] [CrossRef]
- Linz, D.; Hohl, M.; Mahfoud, F.; Reil, J.-C.; Linz, W.; Hübschle, T.; Juretschke, H.-P.; Neumann-Häflin, C.; Rütten, H.; Böhm, M. Cardiac Remodeling and Myocardial Dysfunction in Obese Spontaneously Hypertensive Rats. J. Transl. Med. 2012, 10, 187. [Google Scholar] [CrossRef]
- Zhou, Z.; Miao, Z.; Luo, A.; Zhu, D.; Lu, Y.; Li, P.; Feng, X.; Tan, W.; Wang, F. Identifying a Marked Inflammation Mediated Cardiac Dysfunction during the Development of Arthritis in Collagen-Induced Arthritis Mice. Clin. Exp. Rheumatol. 2020, 38, 203–211. [Google Scholar] [CrossRef]
- Counseller, Q.; Aboelkassem, Y. Recent Technologies in Cardiac Imaging. Front. Med. Technol. 2022, 4, 984492. [Google Scholar] [CrossRef]
- Ponzoni, M.; Coles, J.G.; Maynes, J.T. Rodent Models of Dilated Cardiomyopathy and Heart Failure for Translational Investigations and Therapeutic Discovery. Int. J. Mol. Sci. 2023, 24, 3162. [Google Scholar] [CrossRef]
- Sørensen, L.L.; Bedja, D.; Sysa-Shah, P.; Liu, H.; Maxwell, A.; Yi, X.; Pozios, I.; Olsen, N.T.; Abraham, T.P.; Abraham, R.; et al. Echocardiographic Characterization of a Murine Model of Hypertrophic Obstructive Cardiomyopathy Induced by Cardiac-Specific Overexpression of Epidermal Growth Factor Receptor 2. Comp. Med. 2016, 66, 268–277. [Google Scholar] [PubMed]
- Snider, P.; Conway, S.J. Probing Human Cardiovascular Congenital Disease Using Transgenic Mouse Models. Prog. Mol. Biol. Transl. Sci. 2011, 100, 83–110. [Google Scholar] [CrossRef]
- Hanton, G.; Eder, V.; Rochefort, G.; Bonnet, P.; Hyvelin, J.-M. Echocardiography, a Non-Invasive Method for the Assessment of Cardiac Function and Morphology in Preclinical Drug Toxicology and Safety Pharmacology. Expert Opin. Drug Metab. Toxicol. 2008, 4, 681–696. [Google Scholar] [CrossRef]
- Todorova, V.K.; Siegel, E.R.; Kaufmann, Y.; Kumarapeli, A.; Owen, A.; Wei, J.Y.; Makhoul, I.; Klimberg, V.S. Dantrolene Attenuates Cardiotoxicity of Doxorubicin Without Reducing Its Antitumor Efficacy in a Breast Cancer Model. Transl. Oncol. 2020, 13, 471–480. [Google Scholar] [CrossRef]
- Fernandes, L.G.; Tobias, G.C.; Paixão, A.O.; Dourado, P.M.; Voltarelli, V.A.; Brum, P.C. Exercise Training Delays Cardiac Remodeling in a Mouse Model of Cancer Cachexia. Life Sci. 2020, 260, 118392. [Google Scholar] [CrossRef]
- Hausner, E.A.; Chi, X. Echocardiography in Nonclinical Studies: Where Are We? Regul. Toxicol. Pharmacol. 2020, 112, 104615. [Google Scholar] [CrossRef]
- Bukas, C.; Galter, I.; da Silva-Buttkus, P.; Fuchs, H.; Maier, H.; Gailus-Durner, V.; Müller, C.L.; Hrabě de Angelis, M.; Piraud, M.; Spielmann, N. Echo2Pheno: A Deep-Learning Application to Uncover Echocardiographic Phenotypes in Conscious Mice. Mamm. Genome 2023, 34, 200–215. [Google Scholar] [CrossRef]











| Advantages | Limitations |
|---|---|
| Non-invasive procedure | Time-consuming (more than 20 min) |
| Portable | Complex and subjective interpretation |
| Awake or anesthetized animals | Medical specialist training |
| Real-time imaging | Limited tissue penetration |
| Very versatile | Low image contrast |
| Reproducible | Stress factor |
| Cost-effective | Under anesthesia, heart rate needs to be monitored |
| Calculable Parameters | Disease/Lifestyle Model | Reference |
|---|---|---|
| CO (mL/min) | Aging | [101,109] |
| Cancer | [95] | |
| Cardiac diseases | [109] | |
| Cardiotoxicity | [116] | |
| Diabetes | [11] | |
| Exercise | [110] | |
| Obesity | [111] | |
| E/A ratio | Arthritis | [119] |
| Cardiac diseases | [109] | |
| Exercise | [106] | |
| Obesity | [111,123,127] | |
| Eccentricity index | Aging | [128] |
| Cardiac diseases | [129] | |
| Cancer | [130] | |
| EF (%) | Aging | [101,113] |
| Arthritis | [152] | |
| Cancer | [95,102,106] | |
| Cardiac diseases | [109,112,133,153] | |
| Cardiotoxicity | [107,108,109,113,115,116,117] | |
| Diabetes | [43,104,118] | |
| Exercise | [110,122] | |
| Obesity | [111,123,127,154] | |
| FS (%) | Aging | [101,113,155] |
| Arthritis | [119,152] | |
| Cancer | [95,102,106] | |
| Cardia diseases | [109,112,153] | |
| Cardiotoxicity | [107,108,113,116] | |
| Diabetes | [43,104,118,125,156] | |
| Exercise | [110,119,120,122,126,152] | |
| Obesity | [111,127] | |
| LV mass (mg) | Aging | [109,113] |
| Cardiac diseases | [109,112] | |
| Cardiotoxicity | [117] | |
| Diabetes | [43,104] | |
| Obesity | [111,123] | |
| LVEDV (mL/m2) | Aging | [113,157] |
| Arthritis | [119,158] | |
| Cancer | [159] | |
| Cardiac diseases | [112,153,160,161] | |
| Cardiotoxicity | [113,162] | |
| Diabetes | [43,163] | |
| Exercise | [119,164,165] | |
| Obesity | [166] | |
| LVESV (mL/m2) | Aging | [113,157] |
| Arthritis | [119,158,167] | |
| Cancer | [159] | |
| Cardiac diseases | [112,153,161] | |
| Cardiotoxicity | [113,162] | |
| Diabetes | [43,163] | |
| Exercise | [119,164,165] | |
| Obesity | [166] | |
| SV (µL) | Aging | [101,109] |
| Cardiac diseases | [109,153] | |
| Cardiotoxicity | [117] | |
| Diabetes | [43,104] | |
| Exercise | [110] | |
| Obesity | [111,123] |
| Stages | Recommendations |
|---|---|
| Stage 1: Animal preparation |
|
| Stage 2: Echocardiographic examination |
|
| Stage 3: Final steps in the examination |
|
Disclaimer/Publisher’s Note: The statements, opinions and data contained in all publications are solely those of the individual author(s) and contributor(s) and not of MDPI and/or the editor(s). MDPI and/or the editor(s) disclaim responsibility for any injury to people or property resulting from any ideas, methods, instructions or products referred to in the content. |
© 2024 by the authors. Licensee MDPI, Basel, Switzerland. This article is an open access article distributed under the terms and conditions of the Creative Commons Attribution (CC BY) license (https://creativecommons.org/licenses/by/4.0/).
Share and Cite
Silva, J.; Azevedo, T.; Ginja, M.; Oliveira, P.A.; Duarte, J.A.; Faustino-Rocha, A.I. Realistic Aspects of Cardiac Ultrasound in Rats: Practical Tips for Improved Examination. J. Imaging 2024, 10, 219. https://doi.org/10.3390/jimaging10090219
Silva J, Azevedo T, Ginja M, Oliveira PA, Duarte JA, Faustino-Rocha AI. Realistic Aspects of Cardiac Ultrasound in Rats: Practical Tips for Improved Examination. Journal of Imaging. 2024; 10(9):219. https://doi.org/10.3390/jimaging10090219
Chicago/Turabian StyleSilva, Jessica, Tiago Azevedo, Mário Ginja, Paula A. Oliveira, José Alberto Duarte, and Ana I. Faustino-Rocha. 2024. "Realistic Aspects of Cardiac Ultrasound in Rats: Practical Tips for Improved Examination" Journal of Imaging 10, no. 9: 219. https://doi.org/10.3390/jimaging10090219
APA StyleSilva, J., Azevedo, T., Ginja, M., Oliveira, P. A., Duarte, J. A., & Faustino-Rocha, A. I. (2024). Realistic Aspects of Cardiac Ultrasound in Rats: Practical Tips for Improved Examination. Journal of Imaging, 10(9), 219. https://doi.org/10.3390/jimaging10090219

