Magnetic Resonance Imaging Template to Standardize Reporting of Evacuation Disorders
Abstract
1. Introduction
2. Materials and Methods
- Defining consistent anatomical landmarks, reference lines, parameters, and easy-to-use measurements;
- Describing diagnostic criteria and grading systems for the most relevant changes in quantitative terms;
- Examining the correspondence between clinical and imaging classification systems for pelvic organ prolapse (POP);
- Evaluating rectal emptying function.
3. Results
- Review articles and the most recent multidisciplinary consultation statements.
- Original definitions and descriptions of changes, measurement systems, and grading of POP syndromes.
- Quantification of rectal emptying function.
4. Proposed Methodology
4.1. Standardized MR Instrumentation, Scanning Technique, and Imaging Protocol
4.1.1. Initial Scanning
4.1.2. Contrast Administration
4.1.3. Dynamic Series
4.1.4. Rectal Emptying
4.1.5. Coronal Series
4.1.6. Axial Imaging of the Levator Hiatus
4.1.7. Post-Toilet Series
5. Image Analysis
5.1. Static Series
5.1.1. Bony Structures and Landmarks
5.1.2. Endopelvic Fascia and Ligaments
5.1.3. Paravaginal and Paraurethral Fascia
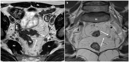
5.1.4. Muscles and Fat Recesses
5.1.5. Neural Pathways
5.1.6. Visceral Components
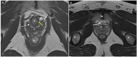
- Female urethra: This appears as a target-like structure, showing a central hypointense inner ring, which indicates the muscularis mucosa. Surrounding this is a middle, thicker ring of intermediate signal intensity, resulting from a combination of submucosa, longitudinal, and circular smooth muscle. The third, thinner hypointense outer ring represents the striated sphincter muscle. The surrounding space shows high signal intensity, representing connective tissue and smooth muscle within a highly collagenized vascular matrix. Within this space, three distinct ligaments can be identified at specific points along the urethra. At the 30th percentile, the periurethral ligament is visible as a thin hypointense linear structure originating from the medial aspect of the puborectal muscle, running ventrally to the urethra. The paraurethral ligament appears as a slightly oblique hypointense structure connecting the lateral wall of the urethra to the periurethral ligaments (Figure 4). At the 50th percentile, the pubourethral ligament is visible as a hypointense structure connecting the lateral aspect of the urethra to the arcus tendineus fasciae pelvis. In young males, corresponding structures may occasionally be visible in the retropubic space, just anterior to the prostate apex. On sagittal T2-weighted MR, the urethra appears as a cylindrical structure extending from the bladder neck to the external meatus. The signal intensity mirrors that described above, with the internal meatus as the zero point and the external meatus at the 100th percentile.
- Vaginal canal: From internal to external, the vaginal canal shows a high-signal intensity (due to mucous or secretions) surrounded by three layers with differing signal intensities: a low-signal-intensity inner layer corresponding to squamous keratinized epithelium and lamina propria; an intermediate-signal-intensity middle layer representing the muscular wall; and a low-signal-intensity outer layer representing loose connective tissue with its vascular supply.
- Anal sphincter complex: This shows variable composition and signal intensity on axial T2-weighted images depending on the level. The upper part consists of the internal sphincter, longitudinal muscle, and puborectal muscle. The middle part features the intersphincteric space, which appears as a high-signal-intensity, slit-like space between the internal sphincter (5 mm thick, intermediate signal intensity) and the external sphincter (1.5 mm thick, low signal intensity). A thin hypointense circular structure within this space represents the longitudinal muscle, which is a continuation of the outer longitudinal smooth muscle of the rectum. The lower part contains the external sphincter and the longitudinal muscle layer. On mid-coronal T2-weighted images, the thicker inner layer is formed by the two halves of the internal sphincter in apposition, while the intersphincteric space is visible as a thin, high-signal-intensity layer. At the outer margin, a cleft divides the puborectalis muscle (above) from the external sphincter (below). On midsagittal T2-weighted MR images, the anal sphincter appears as a low-signal-intensity, homogeneous, cylindrical structure, approximately 4 cm long, composed of muscle layers extending from the attachment of the levator ani muscle to the rectum. Lastly, the perianal spaces are clearly seen as two symmetrical, high-signal-intensity, fat-containing, pyramid-shaped spaces surrounding the hypointense anal canal, with multiple fibrous septa. The apex is visible at the origin of the V-shaped levator ani muscle, along with the supralevator space above it.
5.2. Dynamic Series
5.2.1. Rectal Diameters at Capacity
5.2.2. Vesicourethral Angle
5.2.3. The Length of Retropubic Urethra (UL)
5.2.4. The Posterior Anorectal Angle (ARA)
5.2.5. The Pubococcygeal Line (PCL)
5.2.6. The HMO Classification System
5.2.7. Morphologic Changes on Evacuation
- Bladder neck hypermobility: defined as an abnormal descent during straining, with the bladder neck descending more than 1 cm below the pubis, with or without funneling (shortening and dilation of the proximal portion). It is associated with a horizontal orientation and a urethrovescical (UV) angle greater than 115°.
- Cystocele: defined as a focal protrusion of the bladder profile outside the pelvic cavity, with the bladder base located below the pubic symphysis or more than 1 cm below the pubococcygeal line (PCL).
- Vaginal vault and cervical prolapse: defined as an abnormal descent and eversion of the vaginal vault or cervix to less than 1 cm above the PCL.
- Cul-de-Sac herniation: defined as an abnormal deepening of the pelvic peritoneum beyond the normal confines of the rectovaginal space or widening of the rectovaginal space containing fat, small bowel, or sigmoid colon.
- Rectocele: defined as an anterior protrusion of the rectal wall during evacuation, greater than 2 cm beyond the expected margin of a line extending upward from the anterior margin of the anal canal.
- Intussusception: defined as a full-thickness circumferential rectal wall invagination greater than 3 mm in thickness, descending toward the anal canal during evacuation but not extending beyond the anal verge. It is seen as a funnel-shaped infolding of the upper rectal wall, creating a “tube within a tube”. The thickness of the intraluminal defect, the depth of descent, and the distance from the point of inversion to the anal verge are measured.
- Mucous rectal prolapse: defined as an intraluminal infolding of the rectal wall during evacuation, less than 3 cm in thickness.
- External rectal prolapse: defined as a full-thickness protrusion of the rectal wall, occurring either at rest, during straining, or during evacuation. It may be reduced spontaneously or manually.
- Anal gaping: defined as a lack of apposition of the anal walls, allowing intrarectal contrast to penetrate the proximal half of the anal canal without leakage.
- Incontinence: defined as the loss of contrast material before reaching maximum rectal capacity, associated with an inability to interrupt the stream by voluntary contraction of the anal sphincters (poor stop test).
- Dyssynergia: defined as transient or persistent paradoxical contraction of either the puborectalis muscle or the anal sphincters during evacuation. This is seen as a persistent impression at the posterior margin of the anorectal junction, along with a lack of anorectal angle (ARA) widening and a failure of anal canal widening.
- Pelvic organ descent: defined as the difference between the resting and straining positions of the bladder neck, prostate base, vaginal vault, and anorectal junction (ARJ). This descent is measured relative to a reference line (PCL or horizontal line) and indicated by a number preceded by a minus sign (−) for above or a plus sign (+) for below the reference. Normal values are −3 cm for the bladder base, prostate, and vaginal vault and −2 cm for the ARJ.
5.3. The Emptying Pattern
6. The Proposed MR Template
7. Conclusions
Author Contributions
Funding
Institutional Review Board Statement
Informed Consent Statement
Data Availability Statement
Acknowledgments
Conflicts of Interest
References
- Lienemann, A.; Anthuber, C.; Baron, A.; Kohz, P.; Reiser, M. Dynamic MR colpocystorectography a ssessing pelvic flooor descent. Eur. Radiol. 1997, 7, 1309–1317. [Google Scholar] [CrossRef] [PubMed]
- Healy, J.C.; Halligan, S.; Reznek, R.H.; Watson, S.; Bartram, C.I.; Phillips, R.; Armstrong, P. Dynamic MR imaging compared with evacuation proctography when evaluating anorectal configuration and pelvic floor movement. Am. J. Roentgenol. 1997, 169, 775–779. [Google Scholar] [CrossRef] [PubMed]
- Maglinte, D.D.; Kelvin, F.M.; Fitzgerald, K.; Hale, D.S.; Benson, J.T. Association of compartment defects in pelvic floor dys-function. Am. J. Roentgenol. 1999, 172, 439–444. [Google Scholar] [CrossRef] [PubMed]
- Gufler, H.; Laubengerger, J.; DeGregorio, G.; Dochnicht, S.; Langer, M. Pelvic floor decent: Dynamic MR imaging using a half.fourier RARE sequence. J. Magn. Reson. Imaging 1999, 9, 378–383. [Google Scholar] [CrossRef]
- Comiter, C.V.; Vasavada, S.P.; Barbaric, Z.L.; Gousse, A.E.; Raz, S. Grading pelvic prolapse and pelvic floor relaxation using dynamic magnetic resonance imaging. Urology 1999, 54, 454–457. [Google Scholar] [CrossRef]
- Vanbeckevoort, D.; Van Hoe, L.; Oyen, R.; Ponette, E.; De Ridder, D.; Deprest, J. Pelvic floor descent in females: Comparative study of colpocystodefecography and fast MR imaging. J. Magn. Reson. Imaging 1999, 9, 373–377. [Google Scholar] [CrossRef]
- Kelvin, F.M.; Maglinte, D.D.T.; Hale, D.S.; Benson, J.T. Female pelvic organ prolapse: A comparison of triphasic dynamic MR imaging and triphasic fluoroscopic cystocoloproctography. Am. J. Roentgenol. 2000, 174, 81–88. [Google Scholar] [CrossRef]
- Goh, V.; Halligan, S.; Kaplan, G.; Healy, J.C.; Bartram, C.I. Dynamic MR imaging of the pelvic floor in asymptomatic subjects. Am. J. Roentgenol. 2000, 174, 661–666. [Google Scholar] [CrossRef]
- Pannu, H.K.; Kaufman, H.S.; Cundiff, G.W.; Genadry, R.; Bluemke, D.A.; Fishman, E.K. Dynamic MR imaging of pelvic organ prolapse: Spectrum of abnormalities. RadioGraphics 2000, 20, 1567–1582. [Google Scholar] [CrossRef]
- Singh, K.; Reid, W.M.; Berger, L.A. Assessment and grading of pelvic organ prolapse by use of dynamic resonance imaging. Am. J. Obstet. Gynecol. 2001, 185, 71–77. [Google Scholar] [CrossRef]
- Tunn, R.; DeLancey, J.O.; Quint, E.E. Visibility of pelvic organ support system structures in magnetic images without an endovaginal coil. Am. J. Obstet. Gynecol. 2001, 184, 1156–1163. [Google Scholar] [CrossRef] [PubMed]
- Roos, J.E.; Weishaupt, D.; Wildermuth, S.; Willmann, J.K.; Marincek, B.; Hilfiker, P.R. Experience of 4 years with open MR defecography: Pictorial review of anorectal anatomy and disease. RadioGraphics 2002, 22, 817–832. [Google Scholar] [CrossRef] [PubMed]
- Bertschinger, K.M.; Hetzer, F.H.; Roos, J.E.; Treiber, K.; Marincek, B.; Hilfiker, P.R. Dynamic MR imaging of the pelvic floor performed with patient sitting in an open-magnet unit versus with patient supine in a closed-magnet unit. Radiology 2002, 223, 501–508. [Google Scholar] [CrossRef]
- Fielding, J.R. Practical MR imaging of female pelvic floor weakness. Radiographics 2002, 22, 295–304. [Google Scholar] [CrossRef]
- Cortes, E.; Reid, W.M.N.; Singh, K.; Berger, L. Clinical examination and dynamic magnetic resonance imaging in vaginal prolapse. Obstet. Gynecol. 2004, 103, 41–46. [Google Scholar] [CrossRef] [PubMed]
- Dvorkin, L.S.; Hetzer, F.; Scott, S.M.; Williams, N.S.; Gedroyc, W.; Lunniss, P.J. Open-magnet MR defaecography compared with evacuation proctography in the diagnosis and management of patients with rectal intussuception. Color. Dis. 2004, 6, 45–53. [Google Scholar] [CrossRef]
- Piloni, V.; Vernelli, M.; Civitella, V.; Giomo, G.; Felici, T. MR-defecography: Which protocol is most appropriate? EC Gastroenterol. Dig. Syst. 2021, 8, 169–178. [Google Scholar]
- Kim, J.K.; Kim, Y.J.; Choo, M.S.; Cho, K.-S. The urethra and its supporting structures in women with stress urinary incontinence: MR imaging using an endovaginal coil. Am. J. Roentgenol. 2003, 180, 1037–1044. [Google Scholar] [CrossRef]
- DeLancey, J.O.; Hurd, W.W. Size of the urogenital hiatus in the levator ani muscles in normal women and women with pelvic organ prolapse. Obstet. Gynecol. 1998, 91, 364–368. [Google Scholar] [CrossRef]
- Piloni, V.; Bergamasco, M.; Chiapperin, A. Quantification of levator ani hiatus enlargement by magnetic resonance imaging in males and females with pelvic organ prolapse. J. Vis. Exp. 2019, 146, e58534. [Google Scholar] [CrossRef]
- Piloni, V.; Pignalosa, F.; Lucchetti, N.; Felici, T.; Andreatini, J.; Pillon, E. Biphasic MRI examination of fecal incontinence with external coil: Technique and clinical applications. EC Gastroenterol. Dig. Syst. 2019, 6, 725–735. [Google Scholar]
- Desouza, N.M.; Daniels, O.J.; Williams, A.D.; Gilderdale, D.J.; Abel, P.D. female urinary genuine stress incontinence: Anatomic considerations at MR imaging of the paravaginal fascia and urethra—Initial observations. Radiology 2002, 225, 433–439. [Google Scholar] [CrossRef] [PubMed]
- El Sayed, R.F.; Alt, C.D.; Maccioni, F.; Meissnitzer, M.; Masselli, G.; Manganaro, L.; Vinci, V.; Weishaupt, D. Magnetic resonance imaging of pelvic floor dysfunction—Joint recommendations of the ESUR and ESGAR pelvic floor working group. Eur. Radiol. 2016, 27, 2067–2085. [Google Scholar] [CrossRef] [PubMed]
- Gurland, B.H.; Khatri, G.; Ram, R.; Hull, T.L.; Kocjancic, E.; Quiroz, L.H.; El Sayed, R.F.E.; Jambhekar, K.R.; Chernyak, V.; Paspulati, R.M.; et al. Consensus definitions and inter-pretation templates for magnetic resonance imaging of defecatory pelvic floor disorders: Proceedings of the Consensus Meeting of the Pelvic Floor Disorders Consortium of the American Society of Colon and rectal Surgeons, the Society of Abdominal Radiology, the International Continence Society, the American Urogynecologic Society, the International Urogynecological Association, and the Society of Gynecologic Surgeons. Am. J. Roentgenol. 2021, 217, 800–812. [Google Scholar]
- Broekhuis, S.R.; Futterer, J.J.; Barentsz, J.O.; Vierhout, M.E.; Kluivers, K.B. A systematic review of clinical studies on dynamic magnetic resonane imaging of pelvic organ prolapse: The use of reference lines and anatomical landmarks. Int. Urogynecol. J. 2009, 20, 721–729. [Google Scholar] [CrossRef] [PubMed]
- Piloni, V.; Fogante, M.; Manisco, T. Advances in MR defecography: Analysis of rectal clearance. EC Gastroenterol. Dig. Syst. 2022, 9, 33–40. [Google Scholar]
- Narayanan, S.P.; Sharma, M.; Fletcher, J.G.; Karwoski, R.A.; Holmes, D.R.; Bharucha, A.E. Comparison of changes in rectal area and volume during MR evacuation proctography in healthy and constipated adults. Neurogastroenterol. Motil. 2019, 31, e13608. [Google Scholar] [CrossRef]






| N° | First Author | Year | Journal | Reference List (n°) | Category |
|---|---|---|---|---|---|
| 1 | Healy JC | 1997 | AJR | [2] | MR/X-Ray comparison |
| 2 | Maglinte DD | 1999 | AJR | [3] | Defects association |
| 3 | Gufler H | 1999 | J Mag Res I | [4] | Fast Pulse sequence |
| 4 | Comiter CV | 1999 | J Urol | [5] | Grading system |
| 5 | Vanbeckevoort D | 1999 | J Mag Res I | [6] | MR/X-Ray comparison |
| 6 | Kelvin FM | 2000 | AJR | [7] | MR/X-Ray comparison |
| 7 | Goh H | 2000 | AJR | [8] | Asymptomatic subjects |
| 8 | Pannu HK | 2000 | Radiographics | [9] | Changes in POP |
| 9 | Singh K | 2001 | Am J Obstet Gynecol | [10] | Grading system |
| 10 | Tunn R | 2001 | Obstet Gynecol | [11] | MR pelvic floor anatomy |
| 11 | Roos JE | 2002 | Radiographics | [12] | Vertical magnet |
| 12 | Bertshinger KM | 2002 | Radiology | [13] | Vertical magnet |
| 13 | Fielding JR | 2002 | Radiographics | [14] | Reference values in POP |
| 14 | Cortes E | 2004 | Obstet Gynecol | [15] | Reference values in POP |
| 15 | Dvorkin LS | 2004 | Colorectal Disease | [16] | MR/X-Ray comparison |
| Score | Grading | Description |
|---|---|---|
| 0 | To be rejected | Wrong, misleading content |
| 1 | Extremely poor | No > written notice of the examination |
| 2 | Poor | As 1 + patient complaint |
| 3 | Mediocre | As 2 + list of presenting symptoms |
| 4 | Good | As 3 + physical examination details |
| 5 | Excellent | As 4 + history, original records, clinical question |
Disclaimer/Publisher’s Note: The statements, opinions and data contained in all publications are solely those of the individual author(s) and contributor(s) and not of MDPI and/or the editor(s). MDPI and/or the editor(s) disclaim responsibility for any injury to people or property resulting from any ideas, methods, instructions or products referred to in the content. |
© 2024 by the authors. Licensee MDPI, Basel, Switzerland. This article is an open access article distributed under the terms and conditions of the Creative Commons Attribution (CC BY) license (https://creativecommons.org/licenses/by/4.0/).
Share and Cite
Piloni, V.; Manisco, T.; Fogante, M. Magnetic Resonance Imaging Template to Standardize Reporting of Evacuation Disorders. J. Imaging 2024, 10, 302. https://doi.org/10.3390/jimaging10120302
Piloni V, Manisco T, Fogante M. Magnetic Resonance Imaging Template to Standardize Reporting of Evacuation Disorders. Journal of Imaging. 2024; 10(12):302. https://doi.org/10.3390/jimaging10120302
Chicago/Turabian StylePiloni, Vittorio, Tiziana Manisco, and Marco Fogante. 2024. "Magnetic Resonance Imaging Template to Standardize Reporting of Evacuation Disorders" Journal of Imaging 10, no. 12: 302. https://doi.org/10.3390/jimaging10120302
APA StylePiloni, V., Manisco, T., & Fogante, M. (2024). Magnetic Resonance Imaging Template to Standardize Reporting of Evacuation Disorders. Journal of Imaging, 10(12), 302. https://doi.org/10.3390/jimaging10120302

